Abstract
An abdominal wall pseudohernia is a rare clinical entity which consists of an abnormal bulging of the abdominal wall that can resemble a true hernia, but without an associated underlying fascial or muscle defect. It is caused by segmental neuropathy and subsequent denervation of abdominal wall musculature. We present two cases of an abdominal wall pseudohernia. One secondary to a thoracic extraforaminal disc herniation in a 57-year-old male, which, as far as the authors are aware, has not been described previously. The other in a 67 year old male due to right foraminal and paracentral disc protrusion at T9/10.
Keywords: Pseudohernia, Abdominal pseudohernia, Abdominal wall pseudohernia, Thoracic intervertebral disc herniation, Extraforaminal intervertebral disc herniation
1. Introduction
An abdominal wall pseudohernia is an abnormal bulging of the abdominal wall, which can resemble a true hernia, but without an underlying fascial or muscle defect.1 It is a rare phenomenon,2,3 and can arise from a wide range of causes, all of which are related to an underlying segmental neuropathy with subsequent denervation of the abdominal wall musculature. It can be a diagnostic challenge both clinically and radiologically.
Intervertebral disc herniations, particularly those that have a degenerative aetiology and lumbar anatomical location, are common. Thoracic disc herniations are less common and are rarely symptomatic.3,4 They can therefore be easily overlooked as a potential cause of symptoms.
In the thoracic spine, as in the lumbar spine, central, subarticular, and foraminal disc herniations form the majority of presentations. Extraforaminal disc herniations, however, are exceedingly rare.3 They can also be difficult to identify on MRI imaging, especially on sagittal sequences which more clearly demonstrate disc herniations in the more central locations.
We present a case of an abdominal wall pseudohernia secondary to segmental neuropraxia of the subcostal (T12) nerve caused by a thoracic extraforaminal disc herniation in a 57-year-old male. The other pseuodohernia was in a 67 year old male due to right paracentral and foraminal disc protrusion at T9/10. The purpose of presenting this case report is twofold. Firstly, it is to bring to attention what is likely to be an underappreciated association between an abdominal wall pseudohernia and nerve root compression. This is an important learning point for clinicians dealing with musculoskeletal and abdominal presentations, especially general surgeons and spinal surgeons. Secondly, it is to highlight the importance of checking for rarer and often occult disc herniations, namely extraforaminal and thoracic disc herniations on cross sectional imaging, particularly on MRI spine and CT scans investigating abdominal wall pathology, which is an important learning point for radiologists.
2. Case presentation
Case 1
This case describes a 57-year-old fit and healthy man with no co-morbidities, except for a prior central cord syndrome in his cervical spine, from which he had recovered well. The patient developed pain in the left thoracolumbar region after playing golf that persisted for a few days and was associated with severe muscle spasms that lasted for the next three weeks. Soon after the onset of pain, he noticed a swelling in his left lower abdomen when he looked in the mirror. He also complained of pain radiating into the left inguinal region and numbness in the left groin.
Initial treatment by a consultant physiotherapist included range of motion stretches, but he found that lateral bending to the left was so painful it made him vomit. Within a few weeks the acute back and radiating pain settled, but he continued to have altered sensation in the left upper inguinal area and deep medial groin pain. The swelling of the abdomen did not improve.
His primary care doctor diagnosed a possible Spigelian hernia and referred him for a general surgical opinion. As there was no obvious fascial/muscular defect, the general surgeon referred him for a CT scan of the abdomen. The radiologist ruled out an abdominal wall hernia but made no comment on the spine. The patient was subsequently referred to a spinal surgeon for a second opinion.
The spinal surgeon found on examination a swelling of the left anterolateral abdominal wall. This swelling was only apparent on standing [Fig. 1b] and it disappeared when the patient was supine [Fig. 1a]. There was no significant cough impulse. He was unable to recruit his oblique, transversus and rectus abdominis muscles on the left side but had normal power and sensation in his abdominal muscles on the contralateral right side. He had a normal range of motion of the lumbar spine in all planes. Neurologically, he had hyperreflexia in the lower limbs consistent with his previous central cord syndrome. There was some reduced sensation in the left groin but no other neurological loss. An abdominal wall pseudohernia was diagnosed clinically.
Fig. 1.
Clinical photographs of the anterior abdominal wall in supine (a) and standing (b) positions. Focal bulge is apparent in the anterolateral left abdominal wall while the patient is standing (b). It resolves when lying in the supine position (a).
The CT abdomen was re-reviewed, given the suspicion of left sided focal neurological compromise. This showed some degenerative changes in the lumbar spine. On careful inspection of the axial images, a focal soft-tissue mass was noted in the left extraforaminal region at T12/L1 which appeared to displace and compress the extraforaminal left T12 nerve [Fig. 2]. MRI of the thoracolumbar spine confirmed the presence of a focal soft tissue abnormality at T12/L1 [Fig. 3] appearing to arise as a focal eccentricity of the circumference of the adjacent intervertebral disc which posteriorly displaced and compressed the adjacent left T12 nerve root. Relative to skeletal muscle, the lesion was isointense on T1 and hyperintense on T2/STIR. Post-gadolinium images demonstrated peripheral, rim-type enhancement reflecting local inflammation, with a central non-enhancing component. Location, morphology, and signal characteristics were in keeping with a left extraforaminal disc protrusion of the T12/L1 disc. The differential diagnosis would include a peripheral nerve sheath tumour (eg., neurofibroma, schwannoma) but the described radiological appearances would be atypical for this. Furthermore, a clear history of acute onset of pain and muscle spasm was more in keeping with a disc-based pathology.
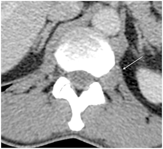
Fig. 2.
Axial CT with soft tissue window settings at the T12/L1 level. A soft tissue density eccentric bulge of the intervertebral disc contour displaces the left extraforaminal fat. It contacts and posteriorly displaces the left extraforaminal T12 nerve root.
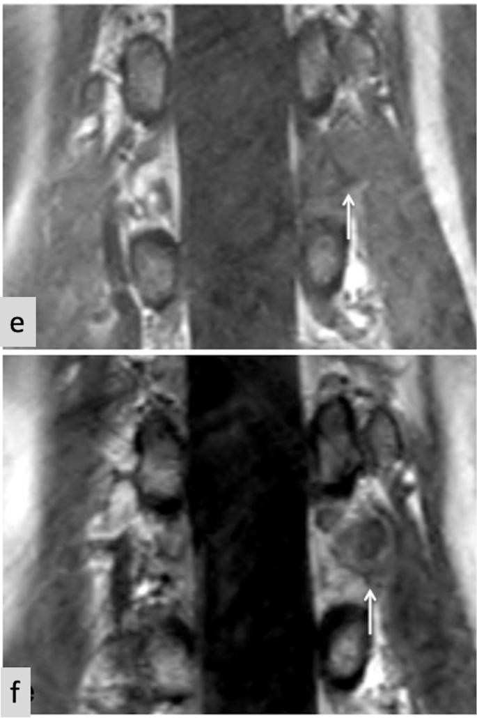
Fig. 3.
MRI thoracolumbar spine. a–d: Axial images at the T12/L1 level. e&f coronal images of thoracolumbar junction. All images show eccentric bulge of intervertebral disc contour that displaces left extraforaminal fat, and posteriorly displaces the left extraforaminal T12 nerve root. a) Axial T2. Disc bulge is hyperintense relative to skeletal muscle. b) Axial T1. Disc bulge is isointense relative to skeletal muscle. c) Axial STIR. Disc bulge is hyperintense relative to skeletal muscle. d) Axial T1FS post-contrast. Disc bulge demonstrates peripheral enhancement. e) Coronal T1. Disc bulge is isointense relative to skeletal muscle. f) Coronal T1FS post-contrast. Disc bulge demonstrates peripheral enhancement.
Subsequent specialist neurological physiotherapy assessment and investigation with electromyography demonstrated normal innervation of the right external and internal oblique muscles. However, on the left, there was a clear disparity with evidence of marked denervation in both the left internal and external oblique muscles.
The combined clinical history, clinical examination, imaging, and electromyographic studies confirmed the diagnosis of a left abdominal wall pseudohernia secondary to a T12/L1 extraforaminal disc herniation.
Given the time from presentation to diagnosis and the degree of clinical improvement, no invasive intervention was considered necessary. Regular clinical and electomyographic monitoring to assess return of function in the left sub-costal nerve was carried out. During that time, he underwent a program of rehabilitation including a graduated return to normal spinal activity over a period of three months. He had complete resolution at 8 months follow up (Fig. 5).
Fig. 5.
Clinical photograph of case 1 showing complete resolution of pseudohernia.
Case 2
67-year-old fit and well male presented with 2 month insidious history of right mid back pain. There was no history of trauma. Past medical history was unremarkable. He developed allodynia over the right mid/lower thoracic region. He had continued to experience pain with rotational movements or any activity that involved leaning forward. There was no significant improvement with analgesics.
On examination there was small pseudo-hernia on the right side at and just below the umbilicus in the standing position that disappeared when he lies down. There was no obvious muscular defect and no impulse pain. In the spine there was a loss of normal lumbar lordosis, but the thoracic kyphosis was not exaggerated. There was allodynia over the paraspinal region at the level of T9 and T10 that extended from just lateral to the spinous process for about 15 cm. Spinal movements in extension, right lateral rotation and right lateral bending were about 25% of normal but movements to the left side were about 50% of normal. Flexion was 3 cm on the skin creases method (normal range is 6–9 cm). There was no motor or sensory deficit in lower limbs on neurological examination.
MRI scan of his thoracic and lumbar spine was performed for further evaluation. In the thoracic spine there was a right sided paramedian and foraminal disc protrusion at T9/10 that in combination with facet joint arthropathy and a small anterior osteophyte caused significant narrowing of the foramen and compression of the exiting T9 nerve root at the level of the dorsal root ganglion which would explain the pseudohernia and allodynia (Fig. 4). Electromyogram was not done in this patient. He was managed successfully with pregabalin 50 mg twice a day for four weeks and physiotherapy with decrease in allodynia. He had 90% resolution at 5 months follow up.
Fig. 4.
T2 sagittal (a) and axial (b) showing right paracentral and foraminal disc protrusion at T9/10 (arrow).
3. Discussion
An abdominal pseudohernia is an abnormal bulging of the abdominal wall, which can resemble a true hernia, but without an associated underlying fascial or muscle defect.1 As such, the abdominal wall itself often appears entirely normal on imaging, unless there is evidence of chronic muscle denervation.
The aetiology of abdominal wall pseudohernia relates to an underlying segmental neuropathy with denervation of the musculature in the relevant myotome. It can be caused by a range of pathologies affecting the segmental nerves including intervertebral disc herniation (lower thoracic/upper lumbar),2,5 iatrogenic (eg. Post-surgical),6,7 diabetes mellitus,1 viral infections (eg herpes zoster),8, 9, 10 and trauma (eg. Rib fracture).1
The differential diagnosis for an abdominal wall pseudohernia is large, depending on whether it presents as a focal bulge, abdominal muscular weakness, neurosensory abnormalities, or a combination of these. A focal bulge may act as a ‘red herring’ and make a clinician consider an underlying mass or true hernia, rather than investigating a neurological cause. If this diagnostic route is chosen, then these alternative pathologies are normally excluded on imaging, for example by dynamic ultrasound, CT or MRI.
Complications of abdominal wall pseudohernias have been reported, particularly those that affect activities of daily living such as gait disturbances and disturbance of bowel function leading to constipation and paralytic ileus.9
Thoracic disc herniations, whilst not uncommon, are rarely symptomatic3,4 therefore the thoracic spine might not be examined as scrupulously as the lumbar region for disc pathology on imaging, especially if the request asks the radiologist to focus on an abdominal wall problem.
Extraforaminal disc herniations are uncommon3 and the extraforaminal zone is frequently overlooked on MRI.11 Sagittal MRI sequences often only extend as far laterally as the foramen and may not cover the whole of the extra-foraminal space. Because of this, it is the axial sequences, and primarily the axial T1 sequences which best demonstrate the anatomy, showing contrast between soft tissue and fat, and therefore disc herniations of the extraforaminal space. This is important to note for several reasons. One of which is that, due to the rarity and subtly of pathology in this region, it is an area that can be forgotten during interpretation of a routine MRI spine. Another is that the axial T1 sequence is sometimes left out as part of a rapid/screening protocol for spinal cases. A further reason is that axial sequences are often performed at select levels through the spine, as performing them through the entire spine would be a wasteful use of resources, and as such if the neurological level of concern is not specified (eg. T12/L1 in this case) then axial images may not be performed at all at that level. Each of these reasons may exclude the chance of making the imaging diagnosis.
Several MRI imaging features can indicate the presence of an extraforaminal disc herniation, including focal eccentricity of disc contour, displacement of nerve root, or change in nerve root diameter, of which the former was found to be the most reliable.11 In addition, displacement or obliteration of extraforaminal fat can be a helpful feature. Rim-type enhancement is typical, as with disc herniations in other locations,3 although it is worth noting that gadolinium contrast is rarely used or indicated in spinal MRI examinations.
Whilst disc herniations can sometimes be seen on CT imaging as subtle increases in density (from perineural fat to soft tissue density), this should not necessarily be relied upon due to the lower soft tissue contrast compared to MRI. In hindsight in this case, and with the benefit of a precise neurological examination, the disc herniation can indeed be seen and was identified by the spinal surgeon.
Another reason for the importance of diagnosing extraforaminal disc herniations on imaging is that if surgery is indicated they require a lateral rather than paramedian surgical approach12,13 and thus identifying them on imaging reports allows the surgeons to plan appropriately.
There are some published case reports of thoracic disc herniations causing abdominal wall pseudohernias or paresis.4,10 The second case is similar to published reports. However, as far as the authors are aware, our first case is the first published case of an extraforaminal disc herniation as the cause an abdominal wall pseudohernia.
The first case case demonstrates the clinical importance of a sound understanding of anatomy. By correlating clinical examination findings of sensory abnormalities and muscle weakness with the appropriate dermatome, myotome, or level in the spinal cord, the imaging modality and report can thus be tailored appropriately, increasing the chance of an accurate diagnosis. This can be as fundamental as imaging the correct level, as discussed above. In this case the unilaterality, reduced sensation in the groin area, and weakness of the anterolateral abdominal wall muscles (including external oblique, internal oblique, and transversus abdominus) all point to focal neurological pathology and indicate a spinal nerve level at the thoracolumbar junction.14 Inclusion of this clinical information in an imaging request can make the difference between making and missing a diagnosis.
In summary, there are several important learning points in this case. Pseudohernias are rare but should be considered when there is the suggestion of neurological or atypical findings with abdominal bulging or weakness. The affected nerves can be inferred from the clinical findings, which can influence which level is imaged, and should thus be detailed in imaging requests. Extraforaminal and symptomatic thoracic disc herniations are both rare which, in conjunction with subtle imaging findings, can make them easy to overlook. As such T1 axial images through the level indicated by clinical examination are advised.
4. Conclusion
An abdominal wall pseudohernia is a rare clinical entity which consists of an abnormal bulging of the abdominal wall that can resemble a true hernia, but without an underlying fascial or muscle defect. It is caused by segmental neuropathy and subsequent denervation of abdominal wall musculature. One possible cause is intervertebral disc bulge, as in this case where a thoracic extra-foramanial disc bulge is responsible. Our cases demonstrate the importance of being aware of these rarer pathologies and highlights some important review areas on MRI and CT imaging.
Compliance with Ethical Standards
Funding Statement: The authors have not declared a specific grant for this research from any funding agency in the public, commercial or not-for-profit sectors.
Competing interests: None declared
Disclosure Statement and Conflict of Interest statement: Nothing to disclose. “The authors declare no conflict of interest”
Acknowledgements-
E Graham, Physiofunction Ltd, UK, J Graham, Physiofunction Ltd, UK, Dr D Beale, Heath Lodge Clinic, Knowle, UK.
Footnotes
No funding to declare.
References
- 1.Butensky A.M., Gruss L.P., Gleit Z.L. Flank pseudohernia following posterior rib fracture: a case report. J Med Case Rep. 2016;10:273. doi: 10.1186/s13256-016-1054-9. [DOI] [PMC free article] [PubMed] [Google Scholar]
- 2.Bartolomei L., Carbonin C., Cagnin G., Toso V. Unilateral swelling of the lower abdominal wall. Unusual clinical manifestation of an upper lumbar disc herniation. Acta Neurochir. 1992;117(1-2):78–79. doi: 10.1007/BF01400642. [DOI] [PubMed] [Google Scholar]
- 3.Diehn F.E., Maus T.P., Morris J.M., et al. Uncommon manifestations of intervertebral disk pathologic conditions. Radiographics. 2016;36(3):801–823. doi: 10.1148/rg.2016150223. [DOI] [PubMed] [Google Scholar]
- 4.Butenschoen, V.M., Hoenikl, L., Deschauer, M. et al. Bilateral thoracic disc herniation with abdominal wall paresis: a case report. Acta Neurochir, 20202;162:2055–2059. [DOI] [PMC free article] [PubMed]
- 5.Billet F.P., Ponssen H., Veenhuizen D. Unilateral paresis of the abdominal wall: a radicular syndrome caused by herniation of the L1-2 disc? J Neurol Neurosurg Psychiatr. 1989;52:678. doi: 10.1136/jnnp.52.5.678. [DOI] [PMC free article] [PubMed] [Google Scholar]
- 6.Timmermans L., Klitsie P.J., Maat A.P., de Goede B., Kleinrensink G.J., Lange J.F. Abdominal wall bulging after thoracic surgery, an underdiagnosed wound complication. Hernia. 2013;17(1):89–94. doi: 10.1007/s10029-012-0971-9. [DOI] [PubMed] [Google Scholar]
- 7.Bárbara-Bataller E., Martín Del Rosario F., Méndez-Suárez J.L., Alemán-Sánchez C., Sosa Henríquez M. Abdominal pseudohernia after spinal cord injury: report of three cases. Cir Esp. 2018;96(9):587–589. doi: 10.1016/j.ciresp.2018.02.020. [DOI] [PubMed] [Google Scholar]
- 8.Tirelli L.L., Luna P.C., Larralde M. Postherpetic abdominal pseudohernia. Presentation of a clinical case and literature review. Int J Dermatol. 2019;58(4):497–499. doi: 10.1111/ijd.14146. [DOI] [PubMed] [Google Scholar]
- 9.Yagi Y., Matono T., Nakamura K., Imura H. Postherpetic abdominal pseudohernia: a diagnostic pitfall. J Gen Fam Med. 2018;19:36–37. doi: 10.1002/jgf2.147. [DOI] [PMC free article] [PubMed] [Google Scholar]
- 10.LaBan Myron M.MD. MMSc; gorin, gabriel MD A thoracic disc herniation presenting as an abdominal hernia. Am J Phys Med Rehabil. 2007;86(7):601. doi: 10.1097/PHM.0b013e31806dd497. [DOI] [PubMed] [Google Scholar]
- 11.Moon K.P., Suh K.T., Lee J.S. Reliability of MRI findings for symptomatic extraforaminal disc herniation in lumbar spine. Asian Spine J. 2009;3(1):16–20. doi: 10.4184/asj.2009.3.1.16. [DOI] [PMC free article] [PubMed] [Google Scholar]
- 12.Arrotegui I. Extraforaminal lumbar disc herniation-how to approach. J Spine Res Surg. 2019;1 033-036. [Google Scholar]
- 13.Salame K., Lidar Z. Minimally invasive approach to far lateral lumbar disc herniation: technique and clinical results. Acta Neurochir. 2010;152:663–668. doi: 10.1007/s00701-009-0519-7. [DOI] [PubMed] [Google Scholar]
- 14.Standring S. 40th Edition. Churchill Livingstone Elsevier; London: 2008. Gray's Anatomy: The Anatomical Basis of Clinical Practice. [Google Scholar]






