Abstract
Background
Bacterial opportunistic infections are common in people living with HIV/AIDS (PLHA). Besides HIV-TB co-infection, lower respiratory tract infections (LRTIs) due to multidrug-resistant (MDR) bacteria cause significant morbidity and mortality among PLHA. This study identified bacterial co-infection of the lower respiratory tract and detected plasmid-mediated blaTEM and blaCTX-M genes among Extended-Spectrum β-Lactamase (ESBL) producing isolates from sputum samples in PLHA.
Methods
A total of 263 PLHA with LRTIs were enrolled in this study, out of which, 50 were smokers, 70 had previous pulmonary tuberculosis, and 21 had CD4 count < 200 cells/µl. Sputum samples collected from PLHA were processed with standard microbiological methods to identify the possible bacterial pathogens. The identified bacterial isolates were assessed for antibiotic susceptibility pattern using modified Kirby Bauer disk diffusion method following Clinical Laboratory Standard Institute (CLSI) guidelines. In addition, plasmid DNA was extracted from MDR and ESBL producers for screening of ESBL genes; blaCTX-M and blaTEM by conventional PCR method using specific primers.
Results
Of 263 sputum samples, 67 (25.48%) showed bacterial growth. Among different bacterial pathogens, Klebsiella pneumoniae, (17; 25.37%) was the most predominant, followed by Haemophillus influenzae, (14; 20.90%) and Escherichia coli, (12; 17.91%). A higher infection rate (4/8; 50%) was observed among people aged 61–70 years, whereas no infection was observed below 20 years. About 30.0% (15/50) of smokers, 32.86% (23/70) cases with previous pulmonary tuberculosis, and 52.38% (11/21) with CD4 count < 200 cells/µl had bacterial LRTIs. Among 53 bacterial isolates excluding H. influenzae, 28 isolates were MDR and 23 were ESBL producers. All ESBL producers were sensitive to colistin and polymyxin B. Among ESBL producers, 47.83% (11/23) possessed blaCTX-M, 8.6% (2/23) were positive for blaTEM gene, and 43.48% (10/23) possessed both ESBL genes.
Conclusion
The increasing rate of MDR bacterial infections, mainly ESBL producers of LRTIs causes difficulty in disease management, leading to high morbidity and mortality of PLHA. Hence, it is crucial to know the antibiogram pattern of the isolates to recommend effective antimicrobial therapy to treat LRTIs in PLHA.
Keywords: PLHA, Lower respiratory tract infection, ESBL, BlaCTX-M, BlaTEM
Background
Human Immunodeficiency Virus (HIV), first confirmed in 1981, has killed more than one million people worldwide. Thirty-eight million people were living with HIV/AIDS (PLHA) at the end of 2019, with 1.8 million people becoming newly infected [1]. There are 37,596 PLHA in Nepal, with 2416 new cases in 2020. Unsafe sexual behavior among the heterosexual population is the main route of HIV transmission, followed by unsafe injecting behavior in the Nepalese context [2]. Once, the virus penetrates the host, it destroys the function of immune cells like helper T cells specifically CD4 + T cells, macrophages, and dendritic cells, reducing the significant number of CD4 cell count [3] and subsequently it leads to an increased number of opportunistic infections in PLHA. Although 67% of total PLHA were covered with antiretroviral therapy (ART) globally, the secondary infections by fungi, bacteria, parasites and other viruses have not reduced as expected. Bacterial and fungal infections are common opportunistic infections, followed by parasitic and viral infections in PLHA [4]. Similarly, 19,410 PLHA are currently receiving antiretroviral therapy in Nepal. AIDS-related deaths are declining in Nepal because of improved access to ART with 80 ART sites and 20 ART dispensing centers in 61 districts. Among the HIV-related deaths, the primary cause is advanced HIV disease (60.6%), followed by tuberculosis (22.7%). However, bacterial lower respiratory tract infections (LRTIs) other than Mycobacterium tuberculosis cannot be avoided in PLHA. The third important cause of death among PLHA is pneumonia (4.2%). Klebsiella pneumoniae, Haemophillus influenzae, Streptococcus pneumoniae, Pseudomonas aeruginosa, Staphylococcus aureus, Acinetobacter spp, Escherichia coli are some common bacterial pathogens causing LRTIs in PLHA [5, 6]. The development of antimicrobial resistance to commonly prescribed antibiotics among those bacterial pathogens is a matter of concern nowadays due to the increase in the ineffectiveness of antibiotic therapy in PLHA [7].
In the context of Nepal, 2000–3000 people die of AIDS-related infections every year due to a lack of effective treatment and care [2]. In most developing countries, the lack of proper diagnosis and treatment of secondary bacterial infection is deteriorating the quality of life of PLHA. However, very few studies have documented such infections and their impacts on PLHA in Nepal. Hence, this study focused on identifying potential bacterial pathogens of LRTIs among PLHA and their antibiogram phenotypically and genotypically. Moreover, we also evaluated the efficacy of co-trimoxazole, a WHO-recommended broad-spectrum antibiotic, in the treatment of pneumonia in PLHA. Finally we recommend a few potential antimicrobial agents for treating LRTIs among those patients.
Methods
Study design, site and duration
A hospital-based prospective cross-sectional study was conducted in Antiretroviral Treatment (ART) center of Sukraraj Tropical and Infectious Disease Hospital, one of the tertiary care hospitals with 100 beds capacity in Kathmandu, Nepal from February to August 2019. The hospital was the first to start ART service in Nepal in 2004. Around 4200–4500 PLHA visit the ART center for therapy annually. Sample collection from the participants and processing were done in the same hospital. In addition, further processing of plasmid DNA extraction and gene detection were done in the Central Department of Microbiology, Tribhuvan University, Kathmandu.
Inclusion and exclusion criteria
All age groups of both sexes living with HIV, under ART and with LRTIs confirmed by a physician after physical examination, blood investigations including CBC and chest x-ray, were enrolled n this study. Sputum samples and the demographic information from the participants were collected only after obtaining written consent. However, the patients infected with tuberculosis were excluded from the study.
Sample size
The calculated sample size was 255 based on the 21% prevalence rate of bacterial LRTIs in PLHA as reported by Kandati et al. [8]. Therefore, for this study, 263 sputum samples were collected.
Sample collection, transportation and processing
Sputum sample were collected from the participants using sterile vials with a wide mouth and tight lid. Participants were instructed first to take a deep breath and then to expectorate a cough [9]. The collected sputum samples were transported to the Microbiology laboratory for further processing. The quality of sputum was checked macroscopically for the presence of mucopurulent part before accepting the sample.
Sputum culture
Mucopurulent sputum was cultured on MacConkey Agar (MA), Blood Agar (BA), and Chocolate Agar (along with 10-unit bacitracin disk) and incubated at 37 °C for 24 h. Incubated plates were examined for the presence of distinct colonies, and identification was made using standard microbiological protocols, including their colony morphology on different culture media, microscopically by Gram staining and various biochemical tests [9].
For identification of H. influenzae, a satellitism test was performed. A loopful of suspected colonies of H. influenzae was mixed in about 2 ml of sterile physiological saline. Using a sterile swab stick, the bacterial suspension was inoculated on a plate of blood agar, and a pure culture of S. aureus was streaked across the inoculated blood agar plate. It was then incubated in a CO2 enriched atmosphere at 35–37 °C for 18–24 h. The culture plate was examined for growth and satellite colonies [9].
Antibiotics susceptibility test
Out of 67 bacterial isolates from sputum culture, only 53 isolates excluding H. influenzae (n = 14) were processed further. Antibiotic susceptibility patterns of those organisms were performed using the modified Kirby Bauer disk diffusion method recommended by CLSI 2019 [10]. The antibiotics used were amoxicillin (10 µg), amoxicillin/clavulanic acid (AMC, 20/10 mcg), cefepime (CPM, 30mcg), ceftazidime (CTZ, 30 mcg), ceftriaxone (CTR, 30 mcg), chloramphenicol (C, 30 mcg), ciprofloxacin (CIP, 5 mcg), colistin (CL 10 mcg), co-trimoxazole (COT, 25 mcg), gentamycin (GEN, 10 mcg), imipenem (IMP, 10 mcg), piperacillin/tazobactam (PIT, 100/10 mcg), polymyxin-B (PB, 300 units) and tetracycline (TET, 30 mcg). The isolates resistant to at least one agent in ≥ 3 antimicrobial categories were considered MDR [11]. Subsequently, the prevalence of MDR bacteria was determined.
Screening and confirmation of extended-spectrum β-lactamase (ESBL)
The isolates resistant to antibiotics—ceftazidime (30 µg) or ceftriaxone (30 µg) were considered as potential ESBL producers. The confirmatory test was performed by double disk diffusion method using ceftazidime and ceftazidime clavulanic acid. More than 5 mm zone of diameter around ceftazidime-clavulanic acid disc than ceftazidime disc alone was confirmed an ESBL producer [10].
Detection of metallo β-lactamase (MBL)
Two imipenem discs were placed on an MHA plate inoculated with a test organism (bacterial density equivalent to 0.5 McFarland Standard). A 5 µl of EDTA (0.5 M, pH = 8.0) solution was added to one of the imipenem discs and incubated for 16–18 h at 37 °C. An increased zone of diameter (> 7 mm) around the imipenem and EDTA disc than the imipenem alone was confirmed MBL positive [10].
Bacterial plasmid DNA extraction
Plasmid DNA from MDR isolates was extracted by the alkaline lysis method followed by purification with phenol–chloroform. The isolated plasmid DNAs were visualized on 0.8% agarose gel electrophoresis with 0.2 μg/ml concentration of ethidium bromide as described by Sambrook, 1989 and Thapa Shrestha and Adhikari 2014 [12, 13].
Molecular detection of blaCTX-M and blaTEM gene
A set of primers for each gene was selected from the previous studies and verified on NCBI BLAST. A set of primers (Forward: 5′-TTTGCGATGTGCAGTACCAGTAA-3′ and reverse: 5′-CTCCGCCTGCCGGTTTTAT-3′) as described in Edelsteint et al. [14] were used for amplification of blaCTX-M gene. Similarly, a set of primers (Forward: 5′-GAGACAATAAGGGTGGTAAAT-3′ and reverse: 5′-AGAAGTAAGTTGGCAGCAGTG-3′) as mentioned in Sharma et al. 2013 were used to amplify blaTEM gene [15]. A conventional PCR was used to amplify the blaTEM and blaCTX-M genes. A PCR reaction mixture was prepared containing 12.5 µl master mix (Qiagen), 0.5 µl of each primer, 3 µl template DNA and 8.5 µl PCR grade water [14]. PCR amplification was run at initial denaturation of 95 °C for 15 min; followed by 35 cycles of denaturation at 94 °C for 45 s, annealing at 55 °C for blaTEM genes and 56 °C for the blaCTX-M gene for 30 s, extension at 72 °C for 3 min and a final extension at 72 °C for 10 min. The PCR products were analyzed on 1.5% agarose gel electrophoresis with 0.2 μg/ml concentration of ethidium bromide and visualized under UV transilluminator.
Quality control
Control strain of E. coli (ATCC 25922) and P. aeruginosa (ATCC 27853) were used as positive controls for ESBL and MBL producing strains, respectively. For PCR, a previously harvested plasmid DNA containing target genes were used as positive control and nuclease-free water as negative control.
Data management and analysis
All data collected were analyzed using SPSS-21 software. The Chi-square test was used to assess the association of different variables. p-value < 0.05 was considered as significant.
Results
Mode of transmission of HIV among study participants: Among 263 PLHA, 145 (55.13%) were male, and 118 (44.87%) were female. Heterosexual activities were the most dominant transmission route (78.33%), whereas the least transmission rate, 0.76% (n = 2), was observed cia a vertical route from mother to infants (Fig. 1).
Fig. 1.

Mode of transmission of HIV among participants
Bacterial growth according to age and gender of participants: Overall, 67 (25.48%) sputum samples were positive for bacterial growth. The bacterial infection of LRT was found highest (50%) in the age group 61–70 years, followed by 40% (n = 10) among the males aged 51–60 years. No infection was observed among participants below 20 years (Table 1).
Table 1.
Age and sex-wise distribution of Microbial growth
| Age group (years) | Male | Female | Total number (growth %) | ||
|---|---|---|---|---|---|
| No. of sample | Growth (%) | No. of sample | Growth (%) | ||
| Below 20 | 3 | 0 | 1 | 0 | 4 (0) |
| 21–30 | 29 | 8 (27.59) | 20 | 5 (25) | 49 (26.53) |
| 31–40 | 40 | 9 (22.5) | 52 | 12 (23.08) | 92 (22.83) |
| 41–50 | 42 | 10 (23.81) | 32 | 10 (31.25) | 74 (27.03) |
| 51–60 | 25 | 10 (40) | 11 | 1 (9.09) | 36 (30.56) |
| 61–70 | 6 | 3 (50) | 2 | 1 (50) | 8 (50) |
| Total | 145 | 40 (27.59) | 118 | 27 (22.88) | 263 (25.48) |
Bacterial co-infection and predisposing factors: Bacterial infection was significantly higher (p = 0.02) among particiapnts with CD4 count < 200 cells/µl. Similarly, bacterial infections were higher among smokers and those with a history of pulmonary tuberculosis, but the data was not statistically significant (Table 2).
Table 2.
Relation bacterial infection with predisposing factors
| Predisposing factors | Status of predisposing factors | Bacterial Growth | Total | p-value | |
|---|---|---|---|---|---|
| Negative (%) | Positive (%) | ||||
| CD4 count cells/µl | < 200 | 10 (47.62) | 11 (52.38) | 21 | 0.02 |
| 200–499 | 56 (60.22) | 37 (39.78) | 93 | ||
| > 500 | 130 (87.25) | 19 (12.75) | 149 | ||
| Total | 196 (74.52) | 67 (25.48) | 263 | ||
| Smoking habit | Non-smoker | 117 (77.48) | 34 (22.52) | 151 | > 0.05 |
| Smoker | 35 (70) | 15 (30.0) | 50 | ||
| Previous smoker | 44 (70.97) | 18 (29.03) | 62 | ||
| Total | 196 (74.52) | 67 (25.48) | 263 | ||
| History of PTB | No cases | 149 (77.20) | 44 (22.80) | 193 | > 0.05 |
| Cases | 47 (67.14) | 23 (32.86) | 70 | ||
| Total | 196 (74.52) | 67 (25.48) | 263 | ||
Bacterial infection based on their literacy and occupation: Most samples (43.3%) were from PLHA who had completed their primary level education. The bacterial infection was found higher among literate people as compared to illiterate PLHA. Likewise, bacterial infection was higher (30%) among business people followed by office workers (26.6%) (Table 3).
Table 3.
Microbial growth pattern and literacy
| Literacy | Number of sample | Bacterial growth (%) | Occupation | Number of sample | Bacterial growth (%) |
|---|---|---|---|---|---|
| Illiterate | 85 | 26 (30.59) | Households | 82 | 20 (24.39) |
| Primary | 114 | 28 (24.56) | Farmer | 36 | 10 (27.78) |
| Secondary | 52 | 8 (15.38) | Business | 50 | 15 (30) |
| Higher secondary | 9 | 3 (33.33) | Driving | 13 | 2 (15.38) |
| Bachelors | 3 | 2 (66.67) | Social work | 10 | 2 (20) |
| Total | 263 | 67 (25.48) | Labor | 9 | 2 (22.22) |
| Official work | 38 | 10 (26.32) | |||
| Others | 25 | 6 (24) | |||
| Total | 263 | 67 (25.48) |
Frequency of bacterial pathogens from LRT infections: Of 67 Gram negative bacterial isolates, K. pneumoniae was the most predominant bacteria followed by H. influenzae (Fig. 2).
Fig. 2.
Distribution of bacterial pathogens in LRT infections of HIV people
Antibiotic susceptibility pattern: All isolated strains of K. pneumoniae and K. oxytoca were resistant to amoxicillin, whereas all of them were sensitive to colistin and polymyxin B. Of 12 isolates of E. coli, 10 (83.33%) were resistant to amoxicillin, and 9 (75%) were resistant to third-generation cephalosporins. Similarly, nearly 90% of E. aerogenes (8/9) were resistant to amoxicillin. All isolates of C. frundii were resistant to amoxicillin (Table 4).
Table 4.
Antibiogram of bacterial isolates of Enterobacteriaceae family
| Antibiotics used | Number of resistant pathogens (%) | ||||
|---|---|---|---|---|---|
| K. pneumoniae (n = 17) | K. oxytoca (n = 4) | E. coli (n = 12) | E. aerogenes (n = 9) | C. frundii (n = 6) | |
| Amoxicillin | 17 (100) | 4 (100) | 10 (83.33) | 8 (88.89) | 6 (100) |
| Cotrimoxazole | 10 (58.82) | 2 (50) | 8 (66.67) | 1 (11.11) | 0 |
| Ceftriaxone | 9 (52.94) | 2 (50) | 9 (75) | 1 (11.11) | 0 |
| Ciprofloxacin | 4 (23.53) | 1 (25) | 7 (58.33) | 1 (11.11) | 0 |
| Chloramphenicol | 3 (17.65) | 0 | 3 (25) | 1 (11.11) | 0 |
| Gentamycin | 2 (11.76) | 0 | 1 (8.33) | 1 (11.11) | 0 |
| Tetracycline | 14 (82.35) | 3 (75) | 7 (58.33) | 3 (33.33) | 3 (50) |
| Ceftazidime | 9 (52.94) | 2 (50) | 9 (75) | 1 (11.11) | 0 |
| Amoxicillin-clavulanic acid | 10 (58.82) | 2 (50) | 9 (75) | 2 (22.22) | 0 |
| Piperacillin tazobactam | 5 (29.41) | 1 (25) | 7 (58.33) | 1 (11.11) | 0 |
| Cefepime | 5 (29.41) | 1 (25) | 5 (41.67) | 1 (11.11) | 0 |
| Imipenem | 2 (11.76) | 0 | 1 (8.33) | 1 (11.11) | 0 |
| Polymyxin B | 0 | 0 | 0 | 0 | 0 |
| Colistin | 0 | 0 | 0 | 0 | 0 |
Besides the intrinsic resistance of P. aeruginosa to many antibiotics, including amoxicillin, co-trimoxazole, ceftriaxone, ceftazidime, chloramphenicol, tetracycline, amoxicillin-clavulanic acid, piperacillin-tazobactam and 3 strains (75%) were also resistant to ofloxacin and cefepime. However, all strains were sensitive to gentamycin, ciprofloxacin, imipenem, amikacin, and colistin. Likewise, Acinetobacter spp were sensitive to gentamycin, imipenem, polymyxin B and colistin out of 14 antimicrobials used in our study.
Multidrug-resistant (MDR) and extended-spectrum β-lactamase (ESBL) producing strains: Out of 53 bacterial isolates, 28 (52.83%) were multidrug-resistant (MDR). All strains of P. aeruginosa and Acinetobacter spp were found to be MDR strains whereas no strain of C. frundii were MDR. Similarly, 75% (9/12) of E. coli, 64.71% (11/17) of K. pneumoniae, and 50% (2/4) of K. oxytoca were MDR strains.
A total of 23 (43.4%) isolates were ESBL producers, including 75% (9/12) E. coli and all isolates of P. aeruginosa and Acinetobacter spp. Of the total MDR strains, 72.73% (8/11) of K. pneumoniae and 50% (1/2) of K. oxytoca were ESBL producers. In addition, one strain of P. aeruginosa was found MBL producer.
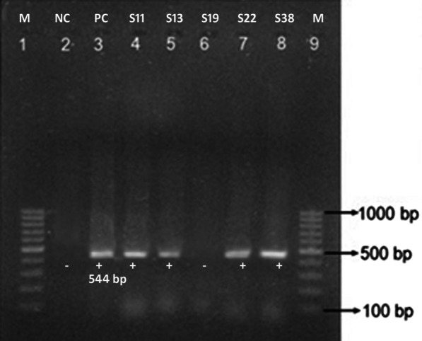
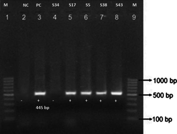
Detection of ESBL genes: Of 53 isolates, 23 (43.4%) possessed ESBL genes. Among them, 11 (47.83%) harbored the blaCTX-M gene (Fig. 3) and 2 (8.69%) contained the blaTEM gene (Fig. 4). Similarly, ten isolates (43.48%) possessed both blaTEM and blaCTX-M genes in their plasmid DNA (Table 5).
Fig. 3.

Amplification of blaCTM gene (Lane 1 and 9; DNA marker (100 bp), Lane 2; NC (Negative control), Lane 3; PC (Positive control) and Lane 4–8; gene amplification from isolates) (The photo has been cropped to clearly show the bands of blaCTM gene, the original photo can be submitted as supplementary on request)
Fig. 4.

Amplification of blaTEM gene (Lane 1 and 9; DNA marker (100 bp), Lane 2; NC (Negative control), Lane 3; PC (Positive control) and Lane 4–8; gene amplification from isolates) (The photo has been cropped to clearly show the bands of blaTEM gene, the original photo can be submitted as supplementary on request)
Table 5.
Detection of blaCTX-M and blaTEM ESBL genes among the isolates
| Isolates | n | Phenotypic ESBL | Genotypic ESBL | Number of amplified genes | ||
|---|---|---|---|---|---|---|
| blaCTX-M (%) | blaTEM (%) | blaCTX-M + blaTEM (%) | ||||
| K. pneumoniae | 17 | 8 (47.06) | 7 (41.18) | 3 (42.86) | 0 | 4 (57.14) |
| K. oxytoca | 4 | 1 (25) | 2 (50) | 1 (50) | 0 | 1 (50) |
| E. coli | 12 | 9 (75) | 9 (75) | 3 (33.33) | 2 (22.22) | 4 (44.45) |
| P. aeruginosa | 4 | 4 (100) | 3 (75) | 3 (100) | 0 | 0 |
| Acinetobacter spp | 1 | 1 (100) | 1 (100) | 1 (100) | 0 | 0 |
| E. aerogenes | 9 | 0 | 1 (11.11) | 0 | 0 | 1 (100) |
| C. frundii | 6 | 0 | 0 | 0 | 0 | 0 |
| Total | 53 | 23 (43.4) | 23 (43.4) | 11 (47.83) | 2 (8.69) | 10 (43.48) |
Discussion
Among the different routes of HIV transmission, most participants in this study were infected through the heterosexual route (78.33%). Similar to this study, Chandwani et al. reported the highest transmission rate (95%) via the heterosexual route [16]. Almost all female participants in our study were housewives and got HIV infections from their husbands. The least rate of transmission from mother to infants might be due to increased awareness on HIV-AIDS and wide coverage by ART, reducing the rate of transmission as recommended by WHO [1].
Of 263 samples processed, 67 (25.5%) were found culture positive. Similarly, KC et al. and Ojha et al. reported 24% and 46.6% of bacterial infections among PLHA, respectively, from tertiary care hospitals in Kathmandu [5, 6]. KC et al. reported a higher rate of fungal infection (42%) as compared to bacterial infection (24%) in the same hospital from August 2017 to March 2018 [6]. Likewise, Oja-Bola and Oluyege reported 55.6% of PLHA to be associated with pneumonia [7]. The comparatively lower rate of bacterial infections might be due to the co-trimoxazole prophylaxis which is recommended for people under ART by WHO [17]. In addition, PLHA having lower CD4 cells were given Isoniazid preventive treatment to prevent MTB [18, 19]. A relatively higher occurrence of LRTIs was observed in the old aged 61–70 years as compared to other age groups (p-value 0.49). The weakness of the immune system with age makes PLHA vulnerable to different types of infections. Macfarlane et al. 1993 also reported the same [20]. No infection was reported in young participants of aged below 20. The infection rate was higher in male participants (27.5%) than female participants (22.88%). Similar to our study, Ojha et al. reported the rate of infection in males and females in the ratio of 1.3:1 (p = 0.39) [5].
Many predisposing factors are associated with bacterial co-infection in PLHA. A significantly higher rate of bacterial infection (39.8%) was observed in participants having CD4 count < 200 cells/µl as compared to the least infection in those with CD4 count > 500 cells/µl. Yadav and Prakash also observed a significantly higher rate of LRTIs (63.4%) among cases with a CD4 count < 200 cells/µl, followed by those within the 200–500 range category (53.1%) and least (18.7%) in that above 500 cells/µl [21]. The most important risk factor for bacterial pneumonia in PLHA is the degree of immunosuppression reflected by the CD4 + T-lymphocyte count [22]. On the other hand, a slightly higher bacterial infection rate was observed in active smokers (p = 0.43). In contrast, Yadav and Prakash reported a significantly higher rate of LRTIs among smokers [21]. They also identifed tobacco smoking as one of the most important risk factors contributing to Nepal’s higher prevalence of chronic bronchitis and chronic obstructive lung disease. Various mechanisms cause increasing susceptibility of smokers to different infections, including structural changes in the respiratory tract and decreased immune response [23]. Thirdly, bacterial infection in PLHA previously infected with pulmonary tuberculosis (PTB) were comparatively higher than those without a history of PTB (22.8%) (p = 0.06). Since PTB is a chronic lung disease and leaves patches, pulmonary nodules, or granuloma in the lungs, it might enhance the secondary bacterial infection [24]. Likewise, people who are more exposed to the external environment such as shopkeepers, carpenters, tourist guides, security guards, army, police, etc., were found more susceptible to LRTIs than other people involved in household activities. The reason might be due to exposure to the polluted outdoor environment.
Among 67 Gram-negative isolates, K. pneumoniae was the predominant one, followed by H. influenzae and E. coli. Similar to this study, Jemal et al. found K. pneumoniae as a predominant one, accounting for 41.3% [25]. Few other studies have also reported K. pneumoniae as the predominant bacteria causing LRTIs among PLHA [5, 6]. In contrast, Oja-Bola and Oluyege reported E. coli (40%) as the most frequent organism, followed by P. aeruginosa (35%) and K. pneumoniae as the least (5%) isolated one [7]. K. pneumoniae can cause diseases in non-HIV people as well; however, pneumonia due to Klebsiella is classically thought to be community-acquired [6]. However, Mishra and the coworkers reported H. influenzae as the most predominant (21%) isolate in the sputum of PLHA [26]. H. influenzae associated pneumonia is highly associated with a high degree of immune suppression [27].
We found amoxicillin, tetracycline, and co-trimoxazole to be the least effective drugs against Gram-negative pathogens; however, WHO has recommended co-trimoxazole to treat pneumococcal disease in PLHA. This result was also supported by Oja-Bola and Oluyege [7]. They found only 20% of Klebsiella spp were sensitive towards co-trimoxazole. Similarly, Adeleye et al. reported co-trimoxazole to be resistant for LRT isolates in Nigeria [28]. The resistance towards trimethoprim-sulfamethoxaxole might be due to the extensive use of co-trimoxazole by PLHA as their basic regimen for treating opportunistic bacterial infections. In the study, ESBL producing strains were resistant towards most of the antibiotics used except gentamycin, imipenem, polymyxin B and colistin, while non-ESBLproducing isolates were sensitive towards all antibiotics except amoxicillin and tetracycline.
Plasmid-mediated ESBL producers are nowadays a matter of concern due to their capacity to hydrolyze 3rd and 4th generation cephalosporin and monobactams [29]. Decreased susceptibility of Gram-negative isolates towards 3rd and 4th generation cephalosporin could be attributed to ESBL or AMP-C beta-lactamase production. The most predominant ESBL producers were found to be E. coli, P. aeruginosa and Acinetobacter spp, followed by K. pneumoniae by the phenotypic method. Contrary to our result, KC et al. reported K. pneumoniae (80%) and P. aeruginosa (50%) as the two predominant species to produce ESBL from the same study site [6].
On amplifying the plasmid-mediated ESBL gene, 23 (43.3%) isolates gave a positive result. The two isolates that gave positive ESBL test phenotypically contained neither of the two genes. It might be due to the presence of ESBL genes other than targeted ones. This result is supported by those from de Oliveira et al. [30]. Another two isolates possessed ESBL genes but were phenotypically undetectable by combined disk test, highlighting the sensitivity of the genotypic method over the phenotypic method. Another reason might be a low level of ESBL gene expression. Gautam et al. also reported 40.8% of PCR-positive ESBL producers were phenotypically undetectable [31]. They also explained that phenotypic identification of ESBL was based on the inhibition of the enzyme by clavulanic acid, and the inhibitory action of clavulanic acid could be masked due to the co-existence of multiple enzymes. In addition, the co-existence of AmpC enzymes in ESBL producers may alter the pores of the cell membranes, resulting in reduced affinity for β-lactamase inhibitors for enzymes such as TEM and SHV. Hence, the production of different types of β-lactamases (TEM, SHV, CTX-M and OXA) by the same microorganism can lead to erroneous phenotypic conclusions.
As a significant study limitation, we couldn’t analyze the antibiotic susceptibility pattern of H. influenzae due to the lack of X and V factors in the hospital laboratory at the time of research. In addition, all possible ESBL genes were not detected because of the low budget and limited timeframe for the study. Instead, we observed a few antimicrobial agents such as gentamycin, imipenem, polymyxin B and colistin, that have higher effectiveness to inhibit all MDR and ESBL producing bacterial strains. These antimicrobial agents can be a choice of drugs for treating LRTIs in PLHA.
Conclusion
LRTIs other than PTB by MDR Gram-negative pathogens are common opportunistic infections deteriorating the quality of life of PLHA. Furthermore, the higher rate of resistance towards the WHO-recommended broad-spectrum antibiotic—co-trimoxazole and the presence of drug-resistant genes call for an alarm against the rampant use of antibiotics among PLHA.
Acknowledgements
We would like to express our sincere gratitude to all laboratory and technical staff, and participants at the Antiretroviral Treatment (ART) center, Sukraraj Tropical and Infectious Disease Hospital and Central Department of Microbiology, Tribhuvan University for their generous support throughout the research work. And we would also like to thank Dr. Manash Shrestha for his help on data analysis.
Abbreviations
- AIDS
Acquired immune deficiency syndrome
- ATCC
American type culture collection
- ART
Antiretroviral treatment
- AST
Antibiotic susceptibility testing
- BA
Blood agar
- CA
Chocolate agar
- CDC
Center for diseases control and prevention
- CLSI
Clinical Laboratory Standard Institute
- DOHS
Department of health service
- ESBL
Extended spectrum β-lactamase
- HIV
Human immunodeficiency virus
- LRTI
Lower respiratory tract infection
- MA
Mac-Conkey agar
- MBL
Metallo β-lactamase
- MHA
Mueller hinton agar
- DR
Multidrug resistance
- min
Minute/s
- PCR
Polymerase chain reaction
- PLHA
People living with HIV-AIDS
- PTB
Pulmonary tuberculosis
- STIDHH
Sukraraj Tropical and Infectious Disease Hospital
- WHO
World Health Organization
Author contributions
All authors have made substantial contributions to the conception of the study, methodology and interpretation of results obtained from the study. All authors have drafted the work and substantively revised it. All authors have approved and revised the submitted version of the manuscript and agreed to publish it. All authors read and approved the final manuscript.
Funding
This project did not receive any funding support for the research work and publishing.
Availability of data and materials
The datasets used and/or analyzed during the current study are available from the corresponding author on reasonable request at upendrats@gmail.com.
Declarations
Ethics approval and consent to participate
The study was reviewed and approved by Nepal Health Research Council (NHRC). A copy of the information sheet and a consent form was given to the participants to obtain written consent before enrollment in the research and collecting samples. In addition, a local language-translated information sheet was read for illiterate participants. Informed consent was obtained from all the participants. In the case of children under 16 years, both written informed consent with assent was obtained from a parent or a local guardian attending the hospital along with the participant. All the methods were carried out in accordance with the principles stated in the Declaration of Helsinki.
Consent for publication
Not applicable.
Competing interests
We declare no competing interests.
Footnotes
Publisher's Note
Springer Nature remains neutral with regard to jurisdictional claims in published maps and institutional affiliations.
References
- 1.WHO. HIV/AIDS-Fact sheets. 2020.
- 2.Factsheet. HIV epidemic update of Nepal. 2020.
- 3.Vidya Vijayan KK, Karthigeyan KP, Tripathi SP, Hanna LE. Pathophysiology of CD4+ T-cell depletion in HIV-1 and HIV-2 infections. Front Immunol. 2017;8:580. doi: 10.3389/fimmu.2017.00580. [DOI] [PMC free article] [PubMed] [Google Scholar]
- 4.NACO. Guidelines for prevention and management of common opportunistic infections/malignancies among HIV infected adult and adolescents. National AIDS control organization Ministry of Health and Family Welfare Government of India. 2007.
- 5.Ojha CR, Rijal N, Khagendra KC, Palpasa K, Kansakar P, Gupta BP, et al. Lower respiratory tract infections among HIV positive and control group in Nepal. Virusdisease. 2015;26(1–2):77–81. doi: 10.1007/s13337-015-0254-z. [DOI] [PMC free article] [PubMed] [Google Scholar]
- 6.Kc R, Adhikari S, Bastola A, Devkota L, Bhandari P, Ghimire P, et al. Opportunistic respiratory infections in HIV patients attending sukraraj tropical and infectious diseases hospital in Kathmandu. Nepal HIV AIDS (Auckl) 2019;11:357–367. doi: 10.2147/HIV.S229531. [DOI] [PMC free article] [PubMed] [Google Scholar]
- 7.Ojo-Bola O, Oluyege AO. Antibiotics resistance of bacteria associated with pneumonia in HIV/AIDS patients in Nigeria. Am J Infect Dis Microbiol. 2014;2(6):138–144. [Google Scholar]
- 8.Kandati J, Boorsu S, Ponugoti M, Samudrala V. Bacterial and fungal agents causing lower respiratory tract infections in patients with human immunodeficiency virus infection. Int J Res Med Sci. 2016:3595–600.
- 9.Cheesbrough M. District laboratory practice in tropical countries. Part 2. 2nd ed. 22, editor. Cambridge: Cambdrige University Press; 2006.
- 10.CLSI. Clinical Laboratory Standard Institute (CLSI): performance standards for antimicrobial susceptibility testing. 29 ed: Clinical and Laboratory Standrads Institute antimicrobial susceptibility testing standards M02, M07 and M11.; 2019. 118–28 p.
- 11.Magiorakos AP, Srinivasan A, Carey RB, Carmeli Y, Falagas ME, Giske CG, et al. Multidrug-resistant, extensively drug-resistant and pandrug-resistant bacteria: an international expert proposal for interim standard definitions for acquired resistance. Clin Microbiol Infect. 2012;18(3):268–281. doi: 10.1111/j.1469-0691.2011.03570.x. [DOI] [PubMed] [Google Scholar]
- 12.Sambrook J, Fritsch EF, Maniatis T. Molecular cloning: a laboratory manual. 1989.
- 13.Thapa Shrestha U, Adhikari N. A practical manual for microbial genetics. 2014:pp. 68–92.
- 14.Edelstein M, Pimkin M, Palagin I, Edelstein I, Stratchounski L. Prevalence and molecular epidemiology of CTX-M extended-spectrum beta-lactamase-producing Escherichia coli and Klebsiella pneumoniae in Russian hospitals. Antimicrob Agents Chemother. 2003;47(12):3724–3732. doi: 10.1128/AAC.47.12.3724-3732.2003. [DOI] [PMC free article] [PubMed] [Google Scholar]
- 15.Sharma M, Pathak S, Srivastava P. Prevalence and antibiogram of extended spectrum β-Lactamase (ESBL) producing Gram negative bacilli and further molecular characterization of ESBL producing Escherichia coli and Klebsiella spp. J Clin Diagn Res. 2013;7(10):5. doi: 10.7860/JCDR/2013/6460.3462. [DOI] [PMC free article] [PubMed] [Google Scholar]
- 16.Chandwani J, Vyas N, Hooja S. Antibiotic susceptibility pattern of bacteria causing lower respiratory tract infections in HIV/AIDS patients with correlation to CD4+T cell counts. Int J Med Res Prof. 2017;3(1):6. [Google Scholar]
- 17.WHO. Guidelines on cotrimoxazol prophylaxis for HIV related infections among children, adolescent and adults. 2006.
- 18.Golub JE, Cohn S, Saraceni V, Cavalcante SC, Pacheco AG, Moulton LH, et al. Long-term protection from isoniazid preventive therapy for tuberculosis in HIV-infected patients in a medium-burden tuberculosis setting: the TB/HIV in Rio (THRio) study. Clin Infect Dis. 2014;60(4):639–645. doi: 10.1093/cid/ciu849. [DOI] [PMC free article] [PubMed] [Google Scholar]
- 19.Timmins GS, Deretic V. Mechanisms of action of isoniazid. Mol Microbiol. 2006;62(5):1220–1227. doi: 10.1111/j.1365-2958.2006.05467.x. [DOI] [PubMed] [Google Scholar]
- 20.Macfarlane JT, Macfarlane RM, Rose DH, Colville A, Guion A. Prospective study of aetiology and outcome of adult lower-respiratory-tract infections in the community. The Lancet. 1993;341(8844):P511–P514. doi: 10.1016/0140-6736(93)90275-L. [DOI] [PubMed] [Google Scholar]
- 21.Yadav K, Prakash S. Bacteriological profile of lower respiratory tract infection (LRTI) among HIV seropositive cases in Central Terai of Nepal. Int J Curr Microbiol App Sci. 2015;4(11):12. [Google Scholar]
- 22.Mayaud C, Parrot A, Cadranel J. Pyogenic bacterial lower respiratory tract infection in human immunodeficiency virus-infected patients. Eur Respir J Suppl. 2002;36:28s–39s. doi: 10.1183/09031936.02.00400602. [DOI] [PubMed] [Google Scholar]
- 23.Feldman C, Anderson R. Cigarette smoking and mechanisms of susceptibility to infections of the respiratory tract and other organ systems. J Infect. 2013;67(3):169–184. doi: 10.1016/j.jinf.2013.05.004. [DOI] [PubMed] [Google Scholar]
- 24.Nachiappan AC, Rahbar K, Shi X, Guy ES, Mortani Barbosa EJ, Jr, Shroff GS, et al. Pulmonary tuberculosis: role of radiology in diagnosis and management. Radiographics. 2017;37(1):52–72. doi: 10.1148/rg.2017160032. [DOI] [PubMed] [Google Scholar]
- 25.Jemal M, Deress T, Belachew T, Adem Y. Antimicrobial resistance patterns of bacterial isolates from blood culture among HIV/AIDS patients at Felege Hiwot Referral Hospital, Northwest Ethiopia. Int J Microbiol. 2020;2020:8893266. doi: 10.1155/2020/8893266. [DOI] [PMC free article] [PubMed] [Google Scholar]
- 26.Mishra SK, Acharya J, Kattel HP, Koirala J, Rijal BP, Pokhrel BM. Metallo-beta-lactamase producing gram-negative bacterial isolates. J Nepal Health Res Counc. 2012;10(22):208–213. [PubMed] [Google Scholar]
- 27.Cordero E, Pachón J, Rivero A, Girón JA, Gómez-Mateos J, Merino MD, et al. Haemophilus influenzae pneumonia in human immunodeficiency virus-infected patients. Clin Infect Dis. 2000;30(3):5. doi: 10.1086/313690. [DOI] [PubMed] [Google Scholar]
- 28.Adeleye A, Uju L, Idika N, Sobande O. Cotrimoxazole resistance in Streptococcus pneumoniae isolated from sputum of HIV-positive patients. West Indian Med J. 2008;57(5):3. [PubMed] [Google Scholar]
- 29.Ur Rahman S, Ali T, Ali I, Khan NA, Han B, Gao J. The growing genetic and functional diversity of extended spectrum beta-lactamases. Biomed Res Int. 2018;2018:9519718. doi: 10.1155/2018/9519718. [DOI] [PMC free article] [PubMed] [Google Scholar]
- 30.de Oliveira CF, Salla A, Lara VM, Rieger A, Horta JA, Alves SH. Prevalence of extended-spectrum beta-lactamases-producing microorganisms in nosocomial patients and molecular characterization of the shv type isolates. Braz J Microbiol. 2010;41(2):5. doi: 10.1590/S1517-83822010000200002. [DOI] [PMC free article] [PubMed] [Google Scholar]
- 31.Gautam V, Thakur A, Sharma M, Singh A, Bansal S, Sharma A, et al. Molecular characterization of extended-spectrum beta-lactamases among clinical isolates of Escherichia coli & Klebsiella pneumoniae: a multi-centric study from tertiary care hospitals in India. Indian J Med Res. 2019;149(2):208–215. doi: 10.4103/ijmr.IJMR_172_18. [DOI] [PMC free article] [PubMed] [Google Scholar]
Associated Data
This section collects any data citations, data availability statements, or supplementary materials included in this article.
Data Availability Statement
The datasets used and/or analyzed during the current study are available from the corresponding author on reasonable request at upendrats@gmail.com.

