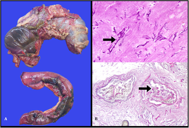
A 65-year-old diabetic woman with respiratory failure due to SARS-CoV-2 infection. She presented with anaemising enterorrhagia and underwent CT angiography compatible with severe mesenteric ischaemia. Emergency surgery was performed, and colonic necrosis with ischaemic ileal perforations was observed intraoperatively, and a right hemicolectomy and ileal resection were performed. The patient progressed unfavourably with multiorgan dysfunction, and died on the 15th day. Histology confirmed angioinvasive intestinal mucormycosis with endovascular involvement (Fig. 1 ).
Fig. 1.
A- Righ colectomy with cecal necrosis and obliterated ileocolic vessels, and ileum ischemia. B-Abundant fungal structures within vascular lumen.
Intestinal mucormycosis is rare and fulminant, therefore, early suspicion is vital. It should be considered a differential diagnosis of acute abdomen in immunocompromised patients, high dose corticotherapy or risk factors for opportunistic infections.
Footnotes
Please cite this article as: Torroella Vallejo A, Turrado-Rodríguez V, Morales Sevillano X. Isquemia mesentérica en paciente con mucormicosis intestinal. Cir Esp. 2022. https://doi.org/10.1016/j.ciresp.2022.05.007

