Abstract
Summary
Graves’ disease can have multiple cardiac manifestations. A rare complication is that of severe mitral regurgitation secondary to mitral valve chordae rupture, due to both compromise of valve integrity by deposition of glycosaminoglycans and the hemodynamic stresses of thyrotoxicosis. Pregnancy, with its related hemodynamic changes, is another setting in which mitral valve chordae rupture has occasionally been documented. We present a unique case of a 36-year-old female with uncontrolled Graves’ disease who presented during pregnancy at 13 weeks gestation with atrial flutter and features of congestive heart failure. Echocardiogram found severe mitral regurgitation secondary to a ruptured mitral chord. She was treated conservatively with diuresis and ultimately delivered her baby without complication at 28 weeks when she had preterm premature rupture of membranes. She is currently on methimazole and propranolol and pending definitive management of her Graves’ disease. This represents not only a rare cardiac complication in a patient with Graves’ disease but also is the first in the literature, to our knowledge, which describes this complication in a pregnant patient with Graves’ disease.
Learning points
Thyroid disease can have multiple effects on the heart through hemodynamic and structural changes and can result in heart failure, arrhythmias, valvular disease, and pulmonary hypertension.
Graves’ disease can cause glycosaminoglycan deposition in valvular tissue resulting in fragile leaflets that can rupture with little stress.
Pregnancy and thyrotoxicosis have similar hemodynamic consequences with increased cardiac output and reduced systemic vascular resistance.
Be vigilant in those with hyperthyroidism with a new murmur or features of acute heart failure, as a ruptured valve chord can result in increased morbidity and mortality if not recognized and addressed quickly.
Patient Demographics: Pregnant adult, Female, Black - African, United States
Clinical Overview: Thyroid, Thyroid
Related Disciplines: Cardiology
Publication Details: Insight into disease pathogenesis or mechanism of therapy, July, 2022
Background
Graves’ disease is a multisystem autoimmune disease and represents the most common cause of thyrotoxicosis. Thyrocardiac disease represents a broad spectrum of pathology. We present a very unusual case of a pregnant patient with uncontrolled Graves’ disease who was found to have severe mitral regurgitation due to mitral valve chord rupture, a rare complication in Graves’ disease and one not described in the literature in a pregnant patient with Graves’ disease.
Case presentation
A 36-year-old female G5P4 at 13 weeks gestation with uncontrolled Graves’ disease presented to our hospital with progressive shortness of breath, orthopnea, leg swelling, and palpitations. Regarding her Graves’ disease, she was diagnosed 9 months prior with initial laboratory values showing a thyroid-stimulating hormon (TSH) of <0.01 mcIU/mL, free T4 of 6.4 ng/dL (ref 0.8–1.8), and a thyroid-stimulating immunoglobulin of 235% (ref <140%), no thyroid imaging was performed. She was initially placed on methimazole 20 mg, but her adherence was poor. When pregnancy was diagnosed, she was switched to propylthiouracil 50 mg three times a day, which she took consistently. Her other medical history was significant for atrial flutter diagnosed after her Graves’ disease for which she was taking propranolol. She otherwise did not have any known cardiac disease and had no prior echocardiograms performed. Her prior pregnancies were term deliveries without complications. Her family history was significant for a sister with hyperthyroidism, but no family history of heart disease. On presentation, she was hemodynamically stable but tachycardic. Physical examination was notable for elevated jugular venous pressure, and a mildly diffusely enlarged thyroid. She did not have any evidence of thyroid eye disease or dermopathy. There was presence of a systolic murmur at the apex, and trace bipedal pitting edema.
Investigation
Electrocardiogram showed atrial flutter with variable A-V block (Fig. 1).
Figure 1.
Electrocardiogram showing atrial flutter with variable A-V block.
Laboratory studies were significant for a suppressed TSH of <0.01 mcIU/mL (ref 0.35–4.94) and an elevated free T4 of 2.42 ng/dL (ref 0.8–1.8).
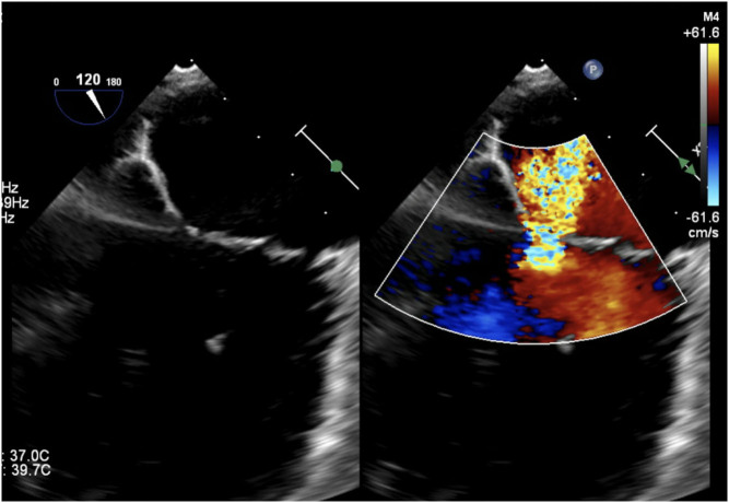
A 2D echocardiogram showed eccentric moderate mitral regurgitation. Right heart catheterization was performed and demonstrated elevated right and left filling pressures and mildly elevated pulmonary pressures with venous congestion. To further evaluate the severity and etiology of the mitral regurgitation, a transesophageal echocardiogram was done, revealing severe mitral regurgitation with a ruptured chord and a markedly thickened, highly mobile chord (Fig. 2).
Figure 2.
Transesophageal echocardiogram demonstrating severe mitral regurgitation with eccentric, posteriorly directed jet.
Treatment
In non-pregnant patients with severe symptomatic primary mitral regurgitation, mitral valve intervention with repair or replacement is recommended (1). However, special consideration needs to be given to pregnant patients due to high morbidity and mortality in these cases owing to the hemodynamic and labor stress of pregnancy. Symptomatic patients in whom the intervention is deemed too high risk should receive guideline-directed medical therapy. Angiotensin-converting enzyme inhibitors, angiotensin receptor blockers, and aldosterone antagonists should be avoided due to potential teratogenic effects of these agents in pregnancy (2). Vasodilator therapy can be given safely to pregnant patients with hydralazine and isosorbide mononitrate (2). Diuretics such as furosemide and bumetanide and beta-blocker therapy with metoprolol are generally considered safe in pregnancy (2).
Thorough risk assessment should be conducted by a multidisciplinary team consisting of obstetrics, cardiology, maternal–fetal medicine, and anesthesiology. Risk classification scores such as the CAPREG-II and mWHO have been studied in pregnant patients with underlying heart disease and should be utilized to determine if the patient is at a prohibitive risk to proceed with pregnancy (2). Extensive contraception counseling should be provided prior to discharge from the hospital after delivery given the high risk of complications in future pregnancy.
For our patient, from the perspective of her valvular rupture and acute heart failure, she was treated conservatively with IV diuresis and counseled about her high-risk pregnancy. For her uncontrolled hyperthyroidism, she was continued on propylthiouracil 50 mg three times a day and propranolol 10 mg three times a day. She was followed closely as an outpatient by cardiology and endocrinology and switched to methimazole 20 mg in the morning and 15 mg in the evening in her second trimester.
Outcome and follow-up
She was readmitted secondary to preterm premature rupture of membranes at 23 weeks gestation. Her laboratory studies at the time showed a total T4 of 14.7 µg/dL (ref 4.9–11.7) with a pregnancy goal of 1–1.5 times the upper limit normal, free T4 checked 2 weeks prior was 1.3 ng/dL (ref 0.8–1.8). Her TSH remained suppressed. There was no fetal tachycardia noted during this admission or prior and no structural fetal abnormalities were detected on the fetal anomaly scan performed at 23 weeks gestation.
After a prolonged hospitalization, she delivered her baby at 28 weeks without major complications. She is pending a decision for definitive treatment for her Graves’ disease.
Discussion
Thyroid hormone has a multitude of effects on the heart. Cardiac complications in hyperthyroidism that have been described include arrhythmias such as atrial fibrillation or flutter, heart failure, valvular disease, and pulmonary hypertension (3).
In terms of the hemodynamics, hyperthyroidism causes a hyperdynamic circulation with elevated preload, heart rate, and cardiac output with low systemic vascular resistance (SVR) (3). This is congruent with the hemodynamic changes seen in pregnancy whereby cardiac output increases by 30% with a reduction in SVR (4).
Primary mitral regurgitation occurs as a result of a structural or functional abnormality in the mitral valve apparatus consisting of mitral valve leaflets, chordae tendineae, and papillary muscles. Mitral chordae rupture is rare in young patients without any predisposing conditions (5). Bacterial endocarditis and rheumatic mitral valve disease are well-recognized etiologies that can lead to a spontaneous chordal rupture in this patient population (5). Furthermore, myxomatous degeneration of the mitral valve leaflets with resulting prolapse is the most common valvular pathology noted in women of childbearing age (6). Graves’ disease causes glycosaminoglycan deposition in a variety of extra thyroid tissues, and this has been implicated in Graves orbitopathy and dermopathy. This process can also occur in cardiac tissue resulting in myxomatous degeneration of valvular tissue, preferentially the mitral valve (7). Fibroblast-derived cells in valvular tissue have the potential to express TSH receptors on their surface and thus can be activated to produce mucopolysaccharides when triggered by autoantibodies. This process causes thickening of the valve leaflets and results in fragile tissue that can rupture with minor stress. In addition, disruption of collagen can also make this myxomatous valve prolapse into the left atrium.
Chordae tendineae rupture often leads to excessive leaflet mobility and prolapse of the leaflet tip into the left atrium during systole giving rise to a flail leaflet which then results in severe mitral regurgitation. Interestingly, the transesophageal echocardiogram of our patient did not reveal significant systolic excursion of the leaflets indicating prolapse or flail but did have a regurgitant jet indicative of severe mitral regurgitation. Unlike chronic mitral regurgitation where a compensatory increase in left atrial compliance and size helps to offset the increase in left atrial pressure from the regurgitant jet, acute mitral regurgitation often leads to a sudden rise in left atrial pressures with the rapid development of symptoms and hemodynamic compromise.
In our patient, the compounded hemodynamic effects of both thyrotoxicosis and pregnancy resulting in a high output state, in addition to myxomatous degeneration of her mitral valve all likely contributed to chordal rupture and her resultant severe mitral regurgitation and acute heart failure.
This represents a unique case. Chordal rupture as a complication of uncontrolled hyperthyroidism is a rare occurrence and managing this in the context of a pregnant patient becomes even more challenging and represents a very high-risk pregnancy. A multidisciplinary team approach is vital in such a case. There have been cases described of mitral valve chord rupturing occurring in the context of hyperthyroidism (8, 9), and separately in pregnancy (10), but this is the first case, to our knowledge that describes mitral valve chord rupture in the context of both pregnancy and uncontrolled hyperthyroidism, as well as the complexity of managing such a patient. It therefore becomes imperative to monitor for the full spectrum of cardiac complications in those with hyperthyroidism, and an echocardiogram would be warranted in such a patient presenting with a new murmur or signs and symptoms of heart failure.
Declaration of interest
The authors declare that there is no conflict of interest that could be perceived as prejudicing the impartiality of the research reported.
Funding
This work did not receive any specific grant from any funding agency in the public, commercial, or not-for-profit sector.
Patient consent
Written informed consent for publication of their clinical details and/or clinical images was obtained from the patient.
Author contribution statement
T F wrote and prepared the manuscript. N B and C A were involved in the endocrine management of the patient and in the writing of the manuscript. H A was involved in the cardiac management of the patient and in writing the manuscript.
References
- 1.Otto CM, Nishimura RA, Bonow RO, Carabello BA, Erwin JP, Gentile F, Jneid H, Krieger EV, Mack M, McLeod Cet al. 2020 ACC/AHA guideline for the management of patients with valvular heart disease: executive summary: a report of the American College of Cardiology/American Heart Association Joint Committee on clinical practice guidelines. Circulation 2021143e35–e71. ( 10.1161/CIR.0000000000000932). Erratum in: Circulation 2021143 e228. Erratum in: Circulation 2021143 e784. [DOI] [PubMed] [Google Scholar]
- 2.DeFilippis EM, Haythe JH, Walsh MN, Kittleson MM. Intersection of heart failure and pregnancy: beyond peripartum cardiomyopathy. Circulation: Heart Failure 202114 e008223. ( 10.1161/CIRCHEARTFAILURE.120.008223) [DOI] [PubMed] [Google Scholar]
- 3.Biondi B, Kahaly GJ. Cardiovascular involvement in patients with different causes of hyperthyroidism. Nature Reviews: Endocrinology 20106431–443. ( 10.1038/nrendo.2010.105) [DOI] [PubMed] [Google Scholar]
- 4.May L.Cardiac physiology of pregnancy. Comprehensive Physiology 201551325–1344. ( 10.1002/cphy.c140043) [DOI] [PubMed] [Google Scholar]
- 5.Caves PK, Paneth M. Acute mitral regurgitation in pregnancy due to ruptured chordae tendineae. British Heart Journal 197234541–544. ( 10.1136/hrt.34.5.541) [DOI] [PMC free article] [PubMed] [Google Scholar]
- 6.Gelson E, Johnson M, Gatzoulis M, Abselm U. Cardiac disease in pregnancy. Part 2: acquired heart disease. Obstetrician and Gynaecologist 2007983–87. ( 10.1576/toag.9.2.083.27308) [DOI] [Google Scholar]
- 7.Klein I, Danzi S. Thyroid disease and the heart. Current Problems in Cardiology 20164165–92. ( 10.1016/j.cpcardiol.2015.04.002) [DOI] [PubMed] [Google Scholar]
- 8.Karashima S, Tsuda T, Kometani M, Oka R, Demura M, Kawashiri MA, Takeda Y, Hayashi K, Yoneda T. Severe mitral regurgitation as a result of rupture of mitral valve chordae tendineae in a patient with Graves disease. Journal of the Endocrine Society 201821246–1250. ( 10.1210/js.2018-00173) [DOI] [PMC free article] [PubMed] [Google Scholar]
- 9.Chen AW, Wee HC, Sonawane V. Flail mitral valve: a rare complication of thyroid storm. AACE Clinical Case Reports 20195e4–e6. ( 10.4158/ACCR-2018-0137) [DOI] [PMC free article] [PubMed] [Google Scholar]
- 10.Chiu FH, Yang CJ, Huang CK, Lin CY, Tsai SH. Spontaneous chordae tendineae rupture during peripartum. American Journal of Emergency Medicine 2018361127.e1–1127.e3. ( 10.1016/j.ajem.2018.03.038) [DOI] [PubMed] [Google Scholar]

This work is licensed under a 
