Abstract
Summary
Central diabetes insipidus (CDI) is a rare manifestation of acute myeloid leukemia (AML) with unclear etiology. When present, CDI in AML has most often been described in patients with chromosome 3 or 7 aberrations and no abnormalities on brain imaging. In this case, we present a woman with newly diagnosed AML t(12;14)(p12;q13) found to have diabetes insipidus (DI) with partial anterior pituitary dysfunction and abnormal brain imaging. While in hospital, the patient developed an elevated serum sodium of 151 mmol/L with a serum osmolality of 323 mmol/kg and urine osmolality of 154 mmol/kg. On history, she reported polyuria and polydipsia for 5 months preceding hospitalization. Based on her clinical symptoms and biochemistry, she was diagnosed with DI and treated using intravenous desmopressin with good effect; sodium improved to 144 mmol/L with a serum osmolality of 302 mmol/kg and urine osmolality of 501 mmol/kg. An MRI of the brain done for the assessment of neurologic involvement revealed symmetric high-T2 signal within the hypothalamus extending into the mamillary bodies bilaterally, a partially empty sella, and loss of the pituitary bright spot. A pituitary panel was completed which suggested partial anterior pituitary dysfunction. The patient’s robust improvement with low-dose desmopressin therapy along with her imaging findings indicated a central rather than nephrogenic cause for her DI. Given the time course of her presentation with respect to her AML diagnosis, MRI findings, and investigations excluding other causes, her CDI and partial anterior pituitary dysfunction were suspected to be secondary to hypothalamic leukemic infiltration.
Learning points
Leukemic infiltration of the pituitary gland is a rare cause of central diabetes insipidus (CDI) in patients with acute myeloid leukemia (AML).
Patients with AML and CDI may compensate for polyuria and prevent hypernatremia with increased water intake.
AML-associated CDI can require long-term desmopressin treatment, independent of AML response to treatment.
Patient Demographics: Geriatric, Female, White, Canada
Clinical Overview: Hypothalamus, Pituitary, Pituitary
Related Disciplines: Haematology
Publication Details: Insight into disease pathogenesis or mechanism of therapy, July, 2022
Background
Diabetes insipidus (DI) is characterized by hypotonic polyuria and polydipsia. Central diabetes insipidus (CDI) results from inadequate secretion of antidiuretic hormone (ADH). Magnocellular neurons that produce ADH are found in the hypothalamus, and storage and release of ADH occur at the posterior pituitary (1). Acquired CDI occurs with disruption of the neurohypophysis; known causes include surgical trauma, vascular insults, local infiltration, inflammation, and infection (1).
CDI is recognized as a potential complication of malignancy through local invasion or metastasis. However, it has rarely been observed with acute myeloid leukemia (AML) and when present, the majority of patients have been found to have no abnormalities on brain imaging making the etiology unclear (2). In previous case reports, CDI has largely been observed with aberrations in chromosomes 3 and 7 (2). In the absence of definitive leukemic infiltration, a number of mechanisms related to these chromosomal abnormalities have been postulated to contribute to CDI with hypotheses including (i) overexpression of the nuclear transcription factor ecotropic viral integration site 1 which may reduce and/or impair ADH, (ii) platelet dysregulation which could limit circulating ADH levels given 90% of peripheral ADH is platelet-bound, and (iii) defective chemotaxis and neutrophil migration due to reduction of GP130, a surface glycoprotein leading to aberrant ADH function (2, 3, 4).
In this case, we describe a woman with CDI known to have AML with cytogenetic findings that have not previously been reported in patients with AML and CDI. Her imaging findings revealed leukemic infiltration as the most likely cause for CDI.
Case presentation
An 81-year-old woman presented to the emergency room with a 3-month history of 40-pound weight loss and progressive fatigue. Pre-existing medical conditions included hypertension, asthma, osteoporosis, and a remotely resected melanoma. Her initial blood work showed bicytopenia, and a bone marrow biopsy confirmed the diagnosis of AML.
On her fourth day in the hospital, she developed an elevated serum sodium. At this time, she had received 2 days of induction chemotherapy with cytarabine. No other medications contributing to hypernatremia, such as steroids, were prescribed. On further review of her clinical history, she reported nocturia, polyuria, and polydipsia ongoing for 5 months preceding her hospitalization. In the hospital, she had reduced independent access to water resulting in an oral intake of around 2 L/day which was likely less than her intake at home. Based on her clinical history and biochemical parameters, she was diagnosed with DI, and the endocrinology service was consulted for etiological assessment of her DI.
Investigations
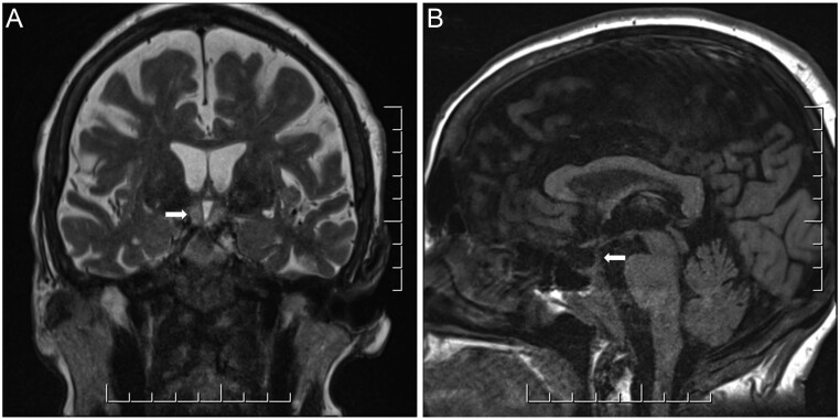
Her complete blood count (CBC) showed leukocytosis (22.5 × 109/L) with numerous blasts (7.3 × 109/L), normochromic anemia (69 g/L), and moderate thrombocytopenia (74 × 109/L). Cytogenetics on bone marrow biopsy revealed translocation of chromosomes t(12;14)(p12;q13) and pathogenic variants in NPM1, DNMT3A, and PTPN11. An MRI of the brain for the assessment of neurologic involvement revealed symmetric high-T2 signal within the hypothalamus extending into the mamillary bodies bilaterally without obvious enhancement, a partially empty sella, and loss of the pituitary bright spot (Fig. 1). A lumbar puncture showed no blasts.
Figure 1.
MRI of the brain showing symmetric high T2 signal within the hypothalamus extending into the mamillary bodies bilaterally (A), a partially empty sella and loss of the pituitary bright spot (B). Image quality was degraded by motion artifact.
In the hospital, she was found to have a serum sodium of 151 mmol/L, serum osmolality of 323 mmol/kg, urine sodium of 30 mmol/L, and urine osmolality of 154 mmol/kg. After 4 µg IV desmopressin therapy, serum sodium improved to 144 mmol/L, with a serum osmolality of 302 mmol/kg and urine osmolality of 501 mmol/kg. Further workup including urinalysis, anti-nuclear antbody (ANA), anti-neutrophil cytoplasmic antibodies (ANCA), erythrocyte sedimentation rate (ESR), C-reactive protein (CRP), and iron studies to assess for vasculitic, inflammatory, and infiltrative causes of CDI were within normal limits. Clinical symptoms and whole-body CT imaging were not suggestive of infectious or granulomatous disease.
Given the notable MRI findings, a pituitary panel was completed: IGF-1 70 µg/L (13–73 µg/L), luteinizing hormone (LH) 7.0 IU/L (5.2–62 IU/L), follicle-stimulating hormone (FSH) 27.5 IU/L (26.7–133.4 IU/L), thyroid-stimulating hormone 0.71 mIU/L (0.35–4.94 mIU/L), thyroxine (T4) 7 pmol/L (9–19 pmol/L), adrenocorticotrophic hormone (ACTH) 4.2 pmol/L (<10.1 pmol/L), prolactin 16.2 µg/L (5.2–26.5 µg/L). Morning cortisol was low-normal (117 nmol/L, 252 nmol/L on repeat) with an appropriate response to a 250 µg ACTH stimulation test (588 nmol/L). The absence of a significant increase in LH and FSH in the context of her post-menopausal status and low free T4 were suggestive of partial anterior pituitary dysfunction.
Treatment
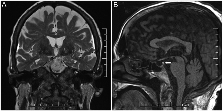
The patient completed an initial course of induction chemotherapy with cytarabine and daunorubicin. The oncology service additionally recommended twice weekly intrathecal chemotherapy, of which she tolerated four doses. Her post-induction bone marrow biopsy and flow cytometry indicated disease remission. A repeat MRI of the brain with gadolinium following chemotherapy showed resolution of the previously noted T2-hyperintensity and return of the pituitary bright spot (Fig. 2). Despite resolution on imaging, her CDI persisted requiring maintenance on sublingual desmopressin 120 µg twice daily. Missed doses of her desmopressin while in an intermediate care facility caused a recurrence of her previous symptoms with hypernatremia up to 158 mmol/L which resolved with re-initiation of desmopressin therapy.
Figure 2.
MRI of the brain showing resolution of the previously seen increased signal at the hypothalamus and mamillary bodies on T2-weighted image (A) and return of the pituitary bright spot (B) following chemotherapy.
Outcome and follow-up
After being discharged from the hospital, she completed two cycles of consolidation therapy with cytarabine and continued to be in remission. On 6-month follow-up, her pituitary status remained stable with levothyroxine and desmopressin replacement therapy.
Discussion
The patient’s robust improvement in symptoms and biochemistry with desmopressin therapy along with her MRI findings suggested a central rather than nephrogenic cause for her DI. CDI has been uncommonly seen in association with AML, with approximately 100 case studies reported worldwide (2, 5). When present, it has largely been observed with aberrations in chromosomes 3 and 7 (2). Ladigan et al. completed the largest case review to date of 51 patients with AML-associated CDI. The median age at diagnosis was 48 years old. Cytogenetic analysis was performed in 41/51 of these cases which showed monosomy 7 as the most prevalent aberration in 75.6% of cases followed by inversion (3)(q21q26) in 46.3% of cases. Only 19.5% of cases had neither of these mutations (2). To the best of our knowledge, no previous case reports have associated CDI and AML with t(12;14)(p12;q13) cytogenetics, as seen in this patient.
CDI associated with AML may be underrecognized; in this case, the patient’s CDI was only identified after she developed hypernatremia in hospital prompting symptom review and subsequent identification of months of preceding polyuria and polydipsia. Her outpatient sodium levels were previously normal suggesting the ability to compensate when she had ready access to water. In the hospital, she was unable to independently access water; as such, she likely had a reduced oral intake of water as compared to home causing her sodium levels to increase. In Ladigan et al.’s review, the majority of patients were diagnosed with CDI ±2 months from the time of diagnosis of their myeloid malignancy (2). Here, the patient’s polyuria and polydipsia preceded her AML diagnosis by 5 months as one of her first symptoms but were only identified at the time of her hospitalization. This further suggests that in this case, the patient’s DI was not secondary to chemotherapy with cytarabine which has been reported previously as a rare cause of nephrogenic DI (6).
When diagnosing DI, the presence of hypotonic polyuria (>50 mL/kg of body weight/24 h) and polydipsia (>3 L/day) should be confirmed and interpreted against plasma osmolality and serum sodium (1). In the assessment for CDI, a water deprivation test can be utilized to indirectly assess if ADH can be appropriately activated. If urine osmolality remains <300 mOsm/kg following a period of dehydration with an elevated serum osmolality >290 mOsm/kg, this suggests that the patient is either not secreting enough ADH as in the case of CDI or not responding to ADH as in the case of nephrogenic DI (1). To help differentiate between central and nephrogenic DI, a desmopressin challenge may be completed. Desmopressin is an exogenous synthetic ADH analog. If in the presence of desmopressin, the patient is able to concentrate urine (urine osmolality increases by >50%), it is suggestive of central DI as the kidneys responded to the ADH analog (1). However, nephrogenic DI is also a possibility if the kidneys remain partially responsive to ADH (1). If the etiology of DI remains unclear in the clinical context, a serum copeptin measurement may be taken. Copeptin is the C-terminal segment of the ADH prohormone and reflects ADH concentration. If the copeptin level is >21.4 pmol/L without prior thirsting, then CDI can be ruled out (1). This patient’s CDI was diagnosed based on her clinical history of polyuria and polydipsia, laboratory findings of hypernatremia and hypotonic urine which were significantly improved with desmopressin, and supporting imaging findings. Further, water deprivation testing was not undertaken to avoid discomfort in the context of a strongly suggestive history.
Interestingly, the majority (61.4%) of patients with AML-associated CDI have no abnormalities in brain imaging (2). In this case, MRI revealed a symmetrical high-T2 signal in the hypothalamus, a partially empty sella, and loss of the pituitary bright spot. While the loss of the pituitary bright spot by itself is a non-specific finding, a partially empty sella and symmetric enhancement at the hypothalamus is rare (1, 2). We found only one other study which showed symmetrically enhanced lesions in the hypothalamus in a patient with myelodysplastic syndrome and CDI (7). Although uncommon, previous autopsy studies have shown evidence of peri-pituitary leukemic infiltration in patients both with and without clinical CDI (8, 9). However, the absence of supporting imaging findings in the majority of patients with AML makes the pathogenesis of CDI unclear, and several alternate mechanisms related to cytogenetic abnormalities have been proposed as well (2, 3, 4).
In this case, the most likely mechanism for the development of CDI and partial anterior pituitary dysfunction is leukemic infiltration, with hemorrhage, infection, or thrombosis of the small vessels of the hypophysis (3, 5, 7). Supporting evidence includes the time course of her presentation with respect to her AML diagnosis, imaging findings, and investigations excluding other causes. Our patient’s AML was responsive to 7+3 induction therapy but her DI required ongoing desmopressin therapy suggesting there may be chronic deficits. As with most previously documented cases, an improvement in symptoms was achieved with desmopressin therapy (2, 3, 5, 7).
In summary, a careful endocrinological history and workup are necessitated for patients with AML who present with signs and symptoms of pituitary dysfunction. Leukemic infiltration, though rare, may be a cause of pituitary dysfunction.
Declaration of interest
The authors declare that there is no conflict of interest that could be perceived as prejudicing the impartiality of the research reported.
Funding
This work did not receive any specific grant from any funding agency in the public, commercial, or not-for-profit sector.
Patient consent
Written informed consent has been obtained from the patient for publication of the submitted article and accompanying images.
Author contribution statement
Rigya Arya prepared the initial draft or the article. Tehmina Ahmad and Satya Dash provided edits. All authors approved the final manuscript for publication.
Acknowledgements
The authors thank Robert Willinsky and Fahd Alkhalifah from the Radiology Department at the University of Toronto for their review of the MRI images.
References
- 1.Christ-Crain M, Bichet DG, Fenske WK, Goldman MB, Rittig S, Verbalis JG, Verkman AS. Diabetes insipidus. Nature Reviews: Disease Primers 2019554. ( 10.1038/s41572-019-0103-2) [DOI] [PubMed] [Google Scholar]
- 2.Ladigan S, Mika T, Figge A, May AM, Schmiegel W, Schroers R, Baraniskin A. Acute myeloid leukemia with central diabetes insipidus. Blood Cells, Molecules and Diseases 20197645–52. ( 10.1016/j.bcmd.2019.01.005) [DOI] [PubMed] [Google Scholar]
- 3.Levine JA, Pariser A, Bloomgarden E. Acute myeloid leukemia associated leukocytic hypophysitis presenting with central diabetes insipidus. AACE Clinical Case Reports 20184e518–e520. ( 10.4158/ACCR-2018-0184) [DOI] [Google Scholar]
- 4.De La Chapelle A, Lahtinen R. Monosomy 7 predisposes to diabetes insipidus in leukemia and myelodysplastic syndrome. European Journal of Haematology 198739404–411. ( 10.1111/j.1600-0609.1987.tb01447.x) [DOI] [PubMed] [Google Scholar]
- 5.Pritzl SL, Matson DR, Juckett MB, Ciske DJ. Concurrent central diabetes insipidus and acute myeloid leukemia. Case Reports in Hematology 202120218898671. ( 10.1155/2021/8898671) [DOI] [PMC free article] [PubMed] [Google Scholar]
- 6.Siddiqui MF, Silverberg A, Gupta D, Prasad A. Nephrogenic diabetes insipidus secondary to cytarabine and idarubicin in a patient with acute myelogenous leukemia: a case report. Endocrine Practice 201824181–182. ( 10.1016/S1530-891X(2047306-9) [DOI] [Google Scholar]
- 7.Sano S, Yamagami K, Morikawa T, Yoshioka K. Myelodysplastic syndrome complicated by central diabetes insipidus and cerebral salt wasting syndrome with peculiar changes in magnetic resonance images. Internal Medicine 201049161–165. ( 10.2169/internalmedicine.49.2697) [DOI] [PubMed] [Google Scholar]
- 8.Miller VI, Campbell WG. Diabetes insipidus as a complication of leukemia: a case report with a literature review. Cancer 197128666–673. () [DOI] [PubMed] [Google Scholar]
- 9.Ufuk F, Duran M, Ertürk MS. Acute myeloid leukemia with hypothalamic involvement causing central diabetes insipidus. Turkish Journal of Neurology 20182477–78. ( 10.4274/tnd.80664) [DOI] [Google Scholar]

This work is licensed under a 
