Abstract
Biallelic inactivation of NF2 represents the primary or sole oncogenic driver event in the vast majority of schwannomas. We report on a four-year-old female who underwent subtotal resection of a right medullary intraparenchymal schwannoma. RNA sequencing revealed an in-frame fusion between exon 5 of YAP1 and exon 2 of MAML2. YAP1-MAML2 fusions have previously been reported in a variety of tumor types, but not schwannomas. Our report expands the spectrum of oncogenic YAP1 gene fusions an alternative to NF2 inactivation to include sporadic schwannoma, analogous to what has recently been described in NF2-wildtype pediatric meningiomas. Appropriate somatic and germline molecular testing should be undertaken in all young patients with solitary schwannoma and meningioma given the high prevalence of an underlying tumor predisposition syndrome. In such patients, the identification of a somatic non-NF2 driver alteration such as this newly described YAP1 fusion, can help ascertain the diagnosis of a sporadic schwannoma.
Keywords: Schwannoma, Pediatric, Mastermind like transcriptional coactivator 2 (MAML2), Yes1 associated transcriptional regulator (YAP1)
Background
Schwannomas are benign peripheral nerve sheath tumors that arise sporadically or in the context of inheritable tumor predisposition; i.e., neurofibromatosis type 2 (NF2) or schwannomatosis. Biallelic inactivation of NF2 represents the primary or sole oncogenic driver event in the vast majority of schwannomas; in addition, SH3PXD2A-HTRA1 fusions have been recently identified as an alternative oncogenic driver in a subset of sporadic schwannomas [1, 2]. Among pediatric and young adult patients with newly diagnosed solitary schwannoma, up to 30% will ultimately be diagnosed with an inheritable tumor predisposition syndrome, i.e. NF2 or less commonly, schwannomatosis. However, accurate determination of germline status can be difficult given the high prevalence of mosaicism associated with false-negative germline testing results [3].
Case presentation
A four-year-old female underwent subtotal resection of a right medullary schwannoma. The tumor was identified on magnetic resonance imaging (MRI) obtained for progressive head tilt (Fig. 1). Past medical history was notable for developmental delay and facial asymmetry (hemifacial microsomia). A prior MRI performed at age 18 months showed cerebellar hypoplasia, but no tumor. A comprehensive clinical genetic workup including targeted and whole exome sequencing of the germline was negative. Most recent follow-up MRI of the brain eight months after diagnosis showed stable residual disease.
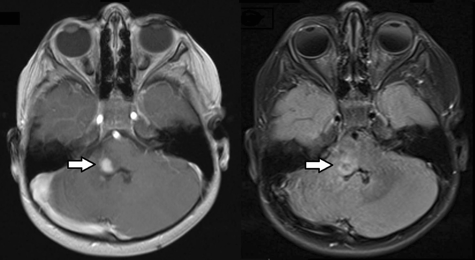
Fig. 1.

T1-weighted post-contrast (left panel) and T2/FLAIR-weighted (right panel) magnetic resonance images revealing a partially contrast-enhancing intra-parenchymal right medullary tumor (arrows). The tumor involved the right lateral aspect of the inferior pons, brachium pontis and ventral cerebellum
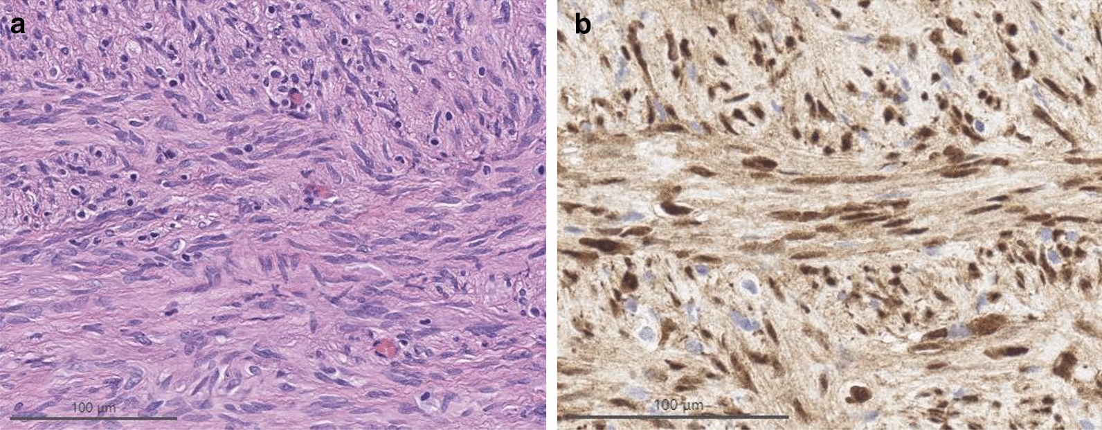
Histologic examination disclosed a neoplasm composed of monomorphous spindle cells in tight, interlacing fascicles (Fig. 2a), without Verocay bodies or Antoni B areas. Devoid of mitotic activity, tumor cells focally dissected into adjoining neuroparenchyma along blood vessels. Immunohistochemical studies showed the lesion to be rich in collagen IV, with tumor cells being negative for GFAP, EMA and SSTR2A, while expressing S100 protein (cytoplasmic/nuclear) and SOX10 (nuclear).
Fig. 2.

Hematoxylin and eosin staining of the tumor (a) and immunohistochemistry for YAP1 (b)
DNA methylation profiling [4] with the Heidelberg brain tumor classifier version 11b6 revealed a match to the methylation class schwannoma with a calibrated score of 0.97. Paired targeted next-generation sequencing analysis of tumor and matched normal sample [5] was negative for somatic mutations as well as structural variants, and revealed a relatively flat DNA copy number profile with focal genomic gains and losses at chromosome 11q including the YAP1 locus (Fig. 3) [6]. RNA sequencing using Anchored Multiplex PCR [7] revealed an in-frame fusion between exon 5 of YAP1 and exon 2 of MAML2 (Fig. 4). YAP1-MAML2 fusions have been reported in NF2-wild type meningioma [8] and other cancers [9], but not schwannomas. As seen in all N-terminal YAP1 fusions reported to date, the fusion detected in our patient retains the TEAD transcription factor binding domain of YAP1, along with the nuclear localization sequence and transactivation domain of MAML2. The resulting fusion protein is resistant to inhibitory signaling of the Hippo tumor suppressor pathway by constitutive nuclear localization and resistance to proteasomal degradation [10]. In keeping with these observations, we confirmed strong nuclear localization of YAP1, as well as weaker cytoplasmic labelling in our patient’s tumor by immunohistochemistry (Fig. 2b).
Fig. 3.
DNA copy number profile derived from paired targeted next-generation sequencing analysis of tumor and matched normal sample, revealing a relatively flat DNA copy number profile with focal genomic gains (depicted in red) and losses (depicted in blue) at chromosome 11q including the YAP1 locus. CNA: copy number alterations
Fig. 4.
RNA sequencing using Anchored Multiplex PCR revealing an in-frame fusion between exon 5 of YAP1 and exon 2 of MAML2
Discussion and conclusions
Our finding of an oncogenic YAP1-MAML2 fusion in an NF2 wild-type schwannoma supports the notion that canonical Hippo signaling through the effectors YAP/TAZ is required for schwannomagenesis [11]. Intraparenchymal schwannomas including brainstem schwannomas are rare, and molecularly not well characterized [12].
Among pediatric and young adult patients with solitary schwannoma or meningioma, up to 30% and 50%, respectively, will have an identifiable genetic predisposition, most commonly NF2 [3]. Accordingly, appropriate clinical screening examinations and molecular genetic testing of tumor and germline are recommended for all young patients with solitary schwannoma or meningioma. However, a diagnosis of NF2 or schwannomatosis can be difficult to rule out in patients with negative germline testing due to the high prevalence of mosaicism [13]. In such patients, the identification of a somatic non-NF2 driver alteration such as a YAP1 fusion, can help ascertain the diagnosis of a sporadic schwannoma or meningioma with confidence, and may obviate the need for further genetic or clinical testing to rule out an inheritable tumor predisposition syndrome.
Acknowledgements
We would like to acknowledge the MSK Kids Pediatric Translational Medicine Program (PTMP) and the Director of the PTMP, Dr. Neerav Shukla. We gratefully acknowledge the members of the Molecular Diagnostics Service in the Department of Pathology.
Abbreviations
- EMA
Epithelial membrane antigen
- GFAP
Glial fibrillary acidic protein
- HTRA1
HtrA serine peptidase 1
- MAML2
Mastermind like transcriptional coactivator 2
- MRI
Magnetic resonance imaging
- NF2
NF2, moesin-ezrin-radixin like (MERLIN) tumor suppressor
- S100
S100 calcium binding protein
- SH3PXD2A
SH3 and PX domains 2A gene
- SOX10
SRY-box transcription factor 10
- SSTR2A
Somatostatin receptor subtype 2A
- YAP1
Yes1 associated transcriptional regulator
Author contributions
Conceptualization, MAK; Sample and/or data acquisition, all authors; data analysis: MAK, BL, JJY, JKB, TAB, MKR. Manuscript writing and approval of the final version, all authors. All authors read and approved the final manuscript.
Funding
This work was funded in part by the Marie-Josée and Henry R. Kravis Center for Molecular Oncology and the National Cancer Institute Cancer Center Core Grant P30 CA008748.
Availability of data and materials
All data generated or analyzed during this study are included in this published article.
Declarations
Ethics approval and consent to participate
The patient’s legal guardian signed informed consent under a research protocol approved by the MSK Institutional Review Board.
Consent for publication
The patient’s legal guardian signed informed consent under a research protocol approved by the MSK Institutional Review Board.
Competing interests
The authors declare that they have no competing interests.
Footnotes
Publisher's Note
Springer Nature remains neutral with regard to jurisdictional claims in published maps and institutional affiliations.
References
- 1.Agnihotri S, Jalali S, Wilson MR, et al. The genomic landscape of schwannoma. Nat Genet. 2016;48:1339–1348. doi: 10.1038/ng.3688. [DOI] [PubMed] [Google Scholar]
- 2.Havik AL, Bruland O, Myrseth E, et al. Genetic landscape of sporadic vestibular schwannoma. J Neurosurg. 2018;128:911–922. doi: 10.3171/2016.10.JNS161384. [DOI] [PubMed] [Google Scholar]
- 3.Pathmanaban ON, Sadler KV, Kamaly-Asl ID, et al. Association of genetic predisposition with solitary schwannoma or meningioma in children and young adults. JAMA Neurol. 2017;74:1123–1129. doi: 10.1001/jamaneurol.2017.1406. [DOI] [PMC free article] [PubMed] [Google Scholar]
- 4.Capper D, Jones DTW, Sill M, et al. DNA methylation-based classification of central nervous system tumours. Nature. 2018;555:469–474. doi: 10.1038/nature26000. [DOI] [PMC free article] [PubMed] [Google Scholar]
- 5.Cheng DT, Mitchell TN, Zehir A, et al. Memorial sloan kettering-integrated mutation profiling of actionable cancer targets (MSK-IMPACT): a hybridization capture-based next-generation sequencing clinical assay for solid tumor molecular oncology. J Mol Diagn. 2015;17:251–264. doi: 10.1016/j.jmoldx.2014.12.006. [DOI] [PMC free article] [PubMed] [Google Scholar]
- 6.Cerami E, Gao J, Dogrusoz U, et al. The cBio cancer genomics portal: an open platform for exploring multidimensional cancer genomics data. Cancer Discov. 2012;2:401–404. doi: 10.1158/2159-8290.CD-12-0095. [DOI] [PMC free article] [PubMed] [Google Scholar]
- 7.Zheng Z, Liebers M, Zhelyazkova B, et al. Anchored multiplex PCR for targeted next-generation sequencing. Nat Med. 2014;20:1479–1484. doi: 10.1038/nm.3729. [DOI] [PubMed] [Google Scholar]
- 8.Sievers P, Chiang J, Schrimpf D, et al. YAP1-fusions in pediatric NF2-wildtype meningioma. Acta Neuropathol. 2020;139:215–218. doi: 10.1007/s00401-019-02095-9. [DOI] [PubMed] [Google Scholar]
- 9.Szulzewsky F, Holland EC, Vasioukhin V. YAP1 and its fusion proteins in cancer initiation, progression and therapeutic resistance. Dev Biol. 2021;475:205–221. doi: 10.1016/j.ydbio.2020.12.018. [DOI] [PMC free article] [PubMed] [Google Scholar]
- 10.Szulzewsky F, Arora S, Hoellerbauer P, et al. Comparison of tumor-associated YAP1 fusions identifies a recurrent set of functions critical for oncogenesis. Genes Dev. 2020;34:1051–1064. doi: 10.1101/gad.338681.120. [DOI] [PMC free article] [PubMed] [Google Scholar]
- 11.Chen Z, Li S, Mo J, et al. Schwannoma development is mediated by Hippo pathway dysregulation and modified by RAS/MAPK signaling. JCI Insight. 2020;5:e141514. doi: 10.1172/jci.insight.141514. [DOI] [PMC free article] [PubMed] [Google Scholar]
- 12.Ishigami D, Miyawaki S, Nakatomi H, et al. Brainstem intraparenchymal schwannoma with genetic analysis: a case report and literature review. BMC Med Genomics. 2021;14:205. doi: 10.1186/s12920-021-01049-z. [DOI] [PMC free article] [PubMed] [Google Scholar]
- 13.Evans DG, Raymond FL, Barwell JG, Halliday D. Genetic testing and screening of individuals at risk of NF2. Clin Genet. 2012;82:416–424. doi: 10.1111/j.1399-0004.2011.01816.x. [DOI] [PubMed] [Google Scholar]
Associated Data
This section collects any data citations, data availability statements, or supplementary materials included in this article.
Data Availability Statement
All data generated or analyzed during this study are included in this published article.


