Abstract
Organic solvent extracts of whole cells of the gram-positive bacterium Rhodococcus erythropolis contain a channel-forming protein. It was identified by lipid bilayer experiments and purified to homogeneity by preparative sodium dodecyl sulfate (SDS)-polyacrylamide gel electrophoresis (PAGE). The pure protein had a rather low molecular mass of about 8.4 kDa, as judged by SDS-PAGE. SDS-resistant oligomers with a molecular mass of 67 kDa were also observed, suggesting that the channel is formed by a protein oligomer. The monomer was subjected to partial protein sequencing, and 45 amino acids were resolved. According to the partial sequence, the sequence has no significant homology to known protein sequences. To check whether the channel was indeed localized in the cell wall, the cell wall fraction was separated from the cytoplasmic membrane by sucrose step gradient centrifugation. The highest channel-forming activity was found in the cell wall fraction. The purified protein formed large ion-permeable channels in lipid bilayer membranes with a single-channel conductance of 6.0 nS in 1 M KCl. Zero-current membrane potential measurements with different salts suggested that the channel of R. erythropolis was highly cation selective because of negative charges localized at the channel mouth. The correction of single-channel conductance data for negatively charged point charges and the Renkin correction factor suggested that the diameter of the cell wall channel is about 2.0 nm. The channel-forming properties of the cell wall channel of R. erythropolis were compared with those of other members of the mycolata. These channels have common features because they form large, water-filled channels that contain net point charges.
Rhodococcus erythropolis is a member of the genus Rhodococcus that belongs to the mycolata, a broad and diverse group of mycolic acid-containing actinomycetes (7, 11, 16, 31, 36). Common to all these bacteria is the mycolic acid layer on the surface of the cells. The mycolic acids either are covalently bound to the peptidoglycan-arabinogalactan skeleton of the cell wall or are extractable (11, 12, 23, 37, 38). The chain length of these two-branch, 3-hydroxylated fatty acids varies considerably within the mycolic-acid-containing taxa. Thus, especially long mycolic acids have been found in mycobacteria (60 to 90 carbon atoms); they are medium in size in nocardiae (46 to 58 carbon atoms) and small in rhodococci (30 to 54 carbon atoms) and corynebacteria (22 to 38 carbon atoms) (6, 11, 14, 20, 22, 23, 29, 38). Besides mycolic acids, the cell wall of R. erythropolis also contains other free lipids, such as trehalose dimycolates, glycosyl monomycolates, and peptidolipids (17, 18, 38). The mycolic acids and free lipids are arranged perpendicular to the cell surface (22, 24), suggesting that they could form a membrane-like structure. At least in mycobacteria, the mycolic acid layer clearly forms a considerable permeability barrier for the diffusion of hydrophilic solutes (6, 15, 28).
Rhodococci are slow-growing mycolata mostly found in the soil. Some of them are either animal or human pathogens, such as Rhodococcus bronchialis or Rhodococcus equi (10). R. erythropolis is not considered a pathogenic organism, although it may be present in human immunodeficiency virus infections (42). Rhodococci are, in general, more susceptible to antibiotic action than mycobacteria and nocardia, but they are less sensitive to drugs that inhibit mycolic acid and lipoarabinomannan biosynthesis (9, 38). If the idea of the cell wall of rhodococci being an outer lipid permeability barrier for hydrophilic compounds is accepted, the question arises as to how these molecules cross the cell wall. The cell wall of certain rhodococci contains up to 10% protein by weight (8). However, with a few exceptions (1), the function of the cell wall proteins is not known so far. It has been predicted, however (38), that rhodococci must contain cell wall porins similar to those of other members of the group of mycolic-acid containing actinomycetes, such as nocardia (33, 34), mycobacteria (39, 40, 41), and corynebacteria (19). In the cell wall of these bacteria, channels have been identified; their function but not their structures seem to be similar to those of their gram-negative counterparts. In this study, we identified the permeability pathway in the mycolic acid layer of R. erythropolis as a 67-kDa oligomer of a small protein with a molecular mass of about 8.4 Da; according to partial sequencing of 45 amino acids, this protein has no homology to known proteins. The properties of the cell wall channel were investigated by use of the lipid bilayer assay. According to the results of electrophysiology studies, the cell wall channel of R. erythropolis is wide and water filled. It is mainly permeable for cations because of the presence of negatively charged groups at the channel mouth.
MATERIALS AND METHODS
Bacterial strain and growth conditions.
R. erythropolis ATCC 15592 was grown in batch cultures in 400 ml of Luria-Bertani or double yeast tryptone (DYT) medium at 30°C for 1 to 2 days.
Isolation and purification of the channel-forming protein from the cell wall.
The cells were harvested by centrifugation (10,000 rpm for 10 min in a Beckman J2-21M/E centrifuge [rotor JA20]) and washed once in 10 mM Tris-HCl (pH 8). We used the same method as that used for the extraction of the cell wall channel of Corynebacterium glutamicum (18). For this extraction, about 2 g of centrifuged cells was extracted with 16 ml of a 1:2 mixture of chloroform-methanol. The duration of the extraction was about 2 h at room temperature (20°C) with stirring in a closed container to avoid the loss of chloroform. Cells and the chloroform-methanol solution were centrifuged for about 10 min (10,000 rpm in a Beckman J2-21M/E centrifuge [rotor JA20]). The pellet was extracted a second time with 4 ml of a 1:2 mixture of chloroform-methanol, and the mixture was centrifuged again. The pellet was discarded. The supernatants of both extractions contained the channel-forming activity. They were combined (20 ml) and were mixed with 36 ml of ice-cold ether. The mixture was kept on ice for 2 h. The precipitated protein was dissolved in a solution containing 0.4% lauryl dimethyl amine oxide and 10 mM Tris-HCl (pH 8) and inspected for channel-forming activity.
Isolation of the cell wall by sucrose density centrifugation.
The cell wall of R. erythropolis was isolated in a manner similar to that used previously to separate the cytoplasmic membrane and the cell wall of Mycobacterium chelonae (39) and of C. glutamicum (26). In brief, the cells were harvested by centrifugation and washed once in 10 mM Tris-HCl (pH 8). The cells were then passed three times through a French pressure cell at a gauge pressure of 900 lb/in2 (cell pressure, 13,000 lb/in2). Unbroken cells were removed by centrifugation at 5,000 × g for 15 min. The supernatant was pelleted by centrifugation at 170,000 × g for 90 min. The pellet containing the cell wall and the cytoplasmic membrane was resuspended in 2 ml of 10 mM Tris-HCl (pH 8) and applied to a sucrose step gradient of 30% (3 ml), 40% (4 ml), and 70% (3 ml) sucrose. The gradient was centrifuged at 170,000 × g for 16 h. Eight fractions of 1 ml were collected from top to bottom. Fraction 3 contained most of the cytoplasmic membrane, and fraction 7 contained most of the cell wall (26).
SDS-PAGE.
Sodium dodecyl sulfate (SDS)-polyacrylamide gel electrophoresis (PAGE) was performed as described by Schägger and von Jagow (35) with Tricine-containing gels because of the low resolution of the normal gel system for low-molecular-mass proteins. The gels were stained with Coomassie brilliant blue or with silver stain (13). Preparative SDS-PAGE was used for identification and purification of the channel-forming activity from the organic solvent extracts of whole R. erythropolis cells.
Peptide sequencing.
The purified polypeptide with a molecular mass of about 8 kDa was precipitated with trichloroacetic acid to remove the detergent. The amino acid sequence of the peptide was determined by the Edman degradation method with a gas-phase sequencer (470A; Applied Biosystems) and online detection of the amino acids.
Membrane experiments.
Black lipid bilayer membranes were formed as described previously (3, 4). The instrumentation consisted of a Teflon chamber with two aqueous compartments connected by a small circular hole. The hole had a surface area of about 0.5 mm2. Membranes were formed across the hole by painting on a 1% solution of a mixture (molar ratio, 4:1) of diphytanoyl phosphatidylcholine (PC) and phosphatidylserine (PS) (Avanti Polar Lipids, Alabaster, Ala.) in n-decane.
Estimation of the channel diameter by use of the Renkin correction factor.
Calculation of the channel size is possible from conductance data when only cations or anions can permeate the channel and when the ions inside the channel have the same mobility as in the aqueous phase. It is based on the same assumptions that have previously been used for the derivation of the Renkin correction factor for the diffusion of neutral molecules through porous filters, outer membrane porins, and cell wall channels (27, 32, 39, 40). The validity of the method has previously been assessed by comparing the sizes of the cell wall channel of M. chelonae estimated by use of the Renkin correction factor and by the vesicle-swelling assay. The results of both methods exhibit satisfactory agreement (39, 40).
Channel size estimated from the effect of negatively charged groups at the channel mouth.
Negative charges at the opening of an ion channel result in substantial ionic-strength-dependent surface potentials at the pore mouth that attract cations and repel anions. Accordingly, they influence both single-channel conductance and zero-current membrane potential. A quantitative description of the effect of point charges on single-channel conductance may be given by the treatment proposed by Nelson and McQuarrie (25). It describes the effect of point charges on the conductance of a channel, which is dependent on ion concentration, on the channel diameter, and on the number of negative charges (5). A comparison of the crystal structure of the Rhodobacter capsulatus porin with the diameter derived from this theoretical treatment yields good agreement (30).
RESULTS AND DISCUSSION
Isolation and purification of the channel-forming protein from whole R. erythropolis cells.
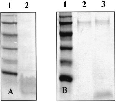
Treatment of whole C. glutamicum cells with organic solvents has been shown to provide an elegant and simple way to isolate the channel-forming protein from whole cells (19). We used here a similar method for the isolation of channel-forming activity. Whole R. erythropolis cells were extracted two times with chloroform-methanol in a ratio of 1:2. Then, protein was precipitated with ether under cold conditions. In lipid bilayer experiments, the pellet had a high membrane activity (see below). SDS-PAGE of the precipitated protein demonstrated that it contained only a few predominantly low-molecular-mass protein bands (Fig. 1A).
FIG. 1.
(A) SDS-PAGE (10% Tricine) analysis (35) of the purification of the cell wall channel-forming protein of R. erythropolis. The gel was stained with Coomassie brilliant blue. Lane 1, molecular mass markers (94, 67, 43, 30, 20.1, and 14.4 kDa). Lane 2, 400 μl of the chloroform-methanol supernatant precipitated with ice-cold ether. The resulting pellet was solubilized at 40°C for 30 min in 5 μl of sample buffer and 5 μl of distilled water. (B) SDS-PAGE (10% Tricine) analysis (35) of the pure cell wall channel-forming protein of R. erythropolis obtained by elution of the 8.4- and 67-kDa bands from preparative SDS-PAGE. The gel was stained with Coomassie brilliant blue. Lane 1, molecular mass markers (94, 67, 43, 30, 20.1, and 14.4 kDa). Lane 2, 100 μl of the excised 67-kDa band precipitated with ice-cold ether. The resulting pellet was solubilized at 40°C for 30 min in 5 μl of sample buffer and 5 μl of distilled water. Lane 3, 100 μl of the excised 8.4-kDa band precipitated with ice-cold ether. The resulting pellet was solubilized at 40°C for 30 min in 5 μl of sample buffer and 5 μl of distilled water.
Further identification of the channel-forming protein was achieved by excision of bands with different molecular masses from Tricine-containing preparative SDS-polyacrylamide gels and their extraction with 1% Genapol–10 mM Tris-HCl (pH 8) under cold conditions overnight. The addition of the extracts with different molecular masses to planar lipid bilayers resulted in a very fast reconstitution of channels. The highest channel-forming activities were observed in the low-molecular-mass region (6 to 10 kDa) and in the high-molecular-mass region (60 to 80 kDa). However, we also observed some activity in the other excised bands, indicating that they all contained some channel-forming protein, although probably at a very low concentration because the activity could not be related to protein bands. Inspection of the eluted proteins by SDS-PAGE suggested that the low-molecular-mass region contained a protein smear at a molecular mass of about 6 to 10 kDa probably because of the high lipid content of the chloroform-methanol extraction method that is normally used to extract lipids from membranes. To remove the lipids from the eluted low-molecular-mass protein, either it was subjected to two-phase precipitation (43) or it was dissolved in 100 μl of chloroform-methanol (1:2) and precipitated again with 900 μl of ether under cold conditions. When the results of both procedures were inspected by SDS-PAGE, we observed two bands; one had a molecular mass of 8.4 kDa, and the other had a molecular mass of 67 kDa (Fig. 1B). When the 67-kDa band was excised again and solubilized for 10 min at 100°C in sample buffer, only the 8.4-kDa band was visible. This result indicated that the 67-kDa protein was an oligomer of the 8.4-kDa protein. It is noteworthy, however, that both proteins, the 67-kDa oligomer and the 8.4-kDa monomer, were active in the lipid bilayer assay and formed channels with the same single-channel distribution.
The channel is a cell wall component.
To check whether the channel observed in the organic solvent extracts of whole R. erythropolis cells was indeed a cell wall component, we performed sucrose density centrifugation of the cell envelopes of disrupted cells. The eight fractions, from top to bottom of the sucrose density gradient, were collected and assessed for the presence of channel formation and NADH oxidase activity. The highest channel-forming activity and the lowest NADH oxidase activity were found in fraction 7, in agreement with the previous investigation of the cell envelope of C. glutamicum (26). It is noteworthy, however, that small amounts of channel-forming activity were smeared over all eight fractions, including fraction 3, which had the highest NADH oxidase activity.
Partial sequencing of the 8.4-kDa protein.
We subjected the 8.4-kDa protein to partial sequencing starting from the N-terminal end by Edman degradation. A total of 45 amino acids were resolved; the sequence was AFTTGSSKTDLAZLGDFQKIIAGLGGVLVGAVAGLLGAIGAXXXQ (X represents an unidentified amino acid). No flanking sequences were observed, indicating that the protein was essentially free of major amounts of contaminant protein, consistent with the results of SDS-PAGE. So far, no significant homology of the partial sequence with other protein sequences has been found in different databases. Partial sequencing of the 67-kDa oligomer led to the same N-terminal sequence as that found for the 8.4-kDa monomer.
Effect of the purified 8.4-kDa protein or its 67-kDa oligomer on the conductance of lipid bilayer membranes.
We performed conductance measurements with lipid bilayer membranes to study the interaction of the 8.4-kDa protein or its 67-kDa oligomer with artificial membranes. Membranes were formed from 1% PC-PS mixtures (molar ratio, 4:1) dissolved in n-decane. The addition of the 67-kDa protein or the 8.4-kDa monomer dissolved in 1% Genapol at a low concentration (100 ng/ml) to one or both sides of the lipid membranes resulted in a strong increase in conductance, which was approximately the same as when the same amount of the 8.4-kDa protein or the 67-kDa protein was added to the aqueous phase. These results probably indicate that the channel is formed by an oligomer of about six to eight monomers because the 8.4-kDa protein alone cannot form such a wide, water-filled channel. The results presented here and elsewhere (19) demonstrate a substantial difference between gram-negative bacterial porins and the cell wall porins of members of the suborder Corynebacteriaceae. The latter can be isolated from the cell wall with organic solvents such as chloroform-methanol and, in contrast to gram-negative bacterial porins, do not lose their channel-forming activity in organic solvents (19).
The conductance increase was not sudden, but it was a function of time after the addition of the protein to a black membrane. The time course of the conductance increase was similar to that described previously for membrane proteins of the gram-negative bacterial porin type (4) and for the cell wall channel of C. glutamicum (19). After an initial rapid increase for 15 to 20 min, the membrane conductance increased at a much slower rate. The conductance increase occurred regardless of whether the protein or its oligomer was added to only one side or to both sides of the membranes. We found some sort of lipid specificity for the interaction between the 8.4-kDa protein and lipid bilayer membranes. When PC alone was used for membrane formation, we observed some delay in channel formation. When a PC-PS mixture (molar ratio, 4:1) was used, channels formed more rapidly. The addition of other lipids had virtually no influence on the membrane activities of the 8.4-kDa protein and the 67-kDa oligomer.
Single-channel analysis.
The addition of smaller amounts of protein eluted from either the high (67-kDa)- or the low (8.4-kDa)-molecular-mass bands in preparative SDS-PAGE to lipid bilayer membranes allowed the resolution of step increases in conductance (Fig. 2). These conductance steps were specific for the presence of the protein. In particular, they were not observed when Genapol was added alone to the aqueous phase at a much higher concentration than that used in combination with the eluted protein. Figure 2 shows a single-channel experiment in which we added the eluted 8.4-kDa band from preparative SDS-PAGE to a lipid bilayer membrane made of PC-PS (molar ratio, 4:1) in n-decane. The single-channel recording demonstrates that the conductance steps formed by the 8.4-kDa protein had a rather long lifetime, on the time scale of minutes. Figure 3 shows a histogram of 435 conductance steps in 1 M KCl at a membrane potential of 10 mV. The most frequent value for the single-channel conductance of the channels was 6 nS, but we also observed some smaller conductance steps, for an unknown reason (3 to 5 nS; Fig. 3). The smaller channels could be truncated forms of the 6-nS channel which occurred much less frequently. It is noteworthy that crude protein from the chloroform-methanol extracts, the eluted protein from SDS-PAGE, and the detergent extracts of the cell wall formed the same channels. We tested several different lipids for bilayer formation. As in the multichannel experiments described above, lipids had virtually no influence on the single-channel conductance formed by the 8.4-kDa protein and the 67-kDa oligomer, indicating that they had the same single-channel conductance in membranes formed from different lipids.
FIG. 2.
Single-channel recording of a PC–PS (molar ratio, 4:1)–n-decane membrane in the presence of pure 8.4-kDa protein from the cell wall of R. erythropolis. The aqueous phase contained 1 M KCl, 10 mM Tris-HCl (pH 8.0), and 10 ng of cell wall protein per ml. The applied membrane potential was 10 mV; the temperature was 20°C.
FIG. 3.
Histogram of the probability [P(G)] for the occurrence of a given conductivity unit observed with membranes formed of PC–PS (molar ratio, 4:1)–n-decane in the presence of the pure 8.4-kDa protein of R. erythropolis. P(G) is the probability that a given conductance increment G is observed in the single-channel experiments. It was calculated by dividing the number of fluctuations with a given conductance increment by the total number of conductance fluctuations. The aqueous phase contained 1 M KCl and 10 mM Tris-HCl (pH 8.0). The applied membrane potential was 10 mV; the temperature was 20°C. The average single-channel conductance was 6.0 nS for 451 single-channel events. G is the single-channel conductance in nanosiemens.
The cell wall channel of R. erythropolis is large and filled with water.
The cell wall channel of R. erythropolis was permeable to a variety of different ions. The average single-channel conductances of the channel in the presence of 1 M solutions of LiCl, NaCl, KCl, RbCl, NH4Cl, and KCH3COO− were 2.5, 3.5, 6.0, 6.0, 5.5, and 4.0 nS, respectively. It is noteworthy that the single-channel conductances of different salts followed the mobility sequences of the cations in the aqueous phase [Rb+ = K+ > Na+ > Li+ > N(CH3)4+ > N(C2H5)4+ = Tris+, corresponding to a single-channel conductance of 6.0 = 6.0 > 3.5 > 2.5 > 2.0 > 1.0 = 1.0 nS in a 1 M solution, respectively). This means that the cell wall channel is wide and filled with water and has only a low field strength and no small-selectivity filter (i.e., no binding site) inside, as suggested by the fact that the large organic ions Tris+ and N(C2H5)4+ could also penetrate the channel. This means that its minimum diameter is approximately 1 nm. The real diameter of the channel is probably closer to 2 nm, as estimated from the Renkin correction factor for the diffusion of solutes through porous filters (27, 32, 40) and the effect of negative point charges at the channel mouth on the single-channel conductance (see below). Figure 4 shows the best fit of the single-channel conductance of the cell wall channel with the Renkin correction factor times the aqueous diffusion coefficient of the corresponding cation (27, 32, 40). The data points are given relative to that for Rb+ (relative permeability equal to unity), and the best fit of the relative permeability calculated from the single-channel conductance was obtained with an r value of 1.0 nm; this means that the diameter of the channel is 2.0 nm. The data lie within the r value range of 0.7 to 1.5 nm, as shown in Fig. 4. A diameter of 2 nm is very similar to those of cell wall channels from other mycolata, despite different molecular masses of the channel-forming proteins (see Table 1).
FIG. 4.
Fit of the single-channel conductance data for the cell wall channel by use of the Renkin correction factor times the aqueous diffusion coefficients of the different cations (40). The relative permeabilities were normalized to 1 for a radius (a) of 0.105 nm (Rb+). The single-channel conductances were normalized to those of Rb+ and plotted against the hydrated ion radii taken from Trias and Benz (40). The single-channel conductances (solid circles) correspond to Li+ (0.216 nm), Na+ (0.163 nm), K+ (0.110 nm), NH4+ (0.110 nm), N(CH3)4+ (0.182 nm), N(C2H5)4+ (0.250 nm) and Tris+ (0.321 nm), which were all used for the pore diameter estimation (see Discussion). The fit (solid lines) is shown for the cell wall channel of R. erythropolis, with an r value of 1.5 nm (upper line) and an r value of 0.7 nm (lower line). The best fit of all data was achieved with an r value of 1.0 nm (diameter, 2.0 nm) (broken line).
TABLE 1.
Comparison of the cell wall channel properties of M. chelonae, M. smegmatis, N. farcinica, C. glutamicum, and R. erythropolis
| Cell wall channel source | G (nS) in 1 M KCl | Selectivity (Pc/Pa) in KCl | Negative point charges at the channel mouth | Channel diam (nm)a | Reference(s) or source |
|---|---|---|---|---|---|
| M. chelonae | 2.7 | 14 | 2.5 | 2.2, 2.0 | 39, 41 |
| M. smegmatis | 4.1 | 9.7 | 4 | 1.8, 3.0 | 40 |
| N. farcinica | 3.0 | 8.2 | 1.3 | 1.4, 1.6 | 34 |
| C. glutamicum | 5.5 | 8.1 | 2 | 2.2 | 19 |
| R. erythropolis | 6.0 | 11.8 | 2.7 | 2 | This study |
The channel diameters were estimated from the liposome-swelling assay (value in italic type), the single-channel conductance as a function of the hydrated ion radii (values in bold type), or the effort of negative point charges on single-channel conductance (values in bold italic type).
Effect of point charges at the channel mouth.
When the KCl concentration was changed in the single-channel experiments, we noticed that the single-channel conductance was not a linear function of the bulk aqueous concentration. Instead, a slope of about 0.5 to 0.6 was observed on a double-logarithmic scale for the conductance-versus-concentration curve (Fig. 5). This result indicates that surface charge effects influence the properties of the cell wall channel. The point charges are attached to the channels themselves, as the experiments with different lipids clearly demonstrate. Negative charges at the pore mouth result in substantial ionic-strength-dependent surface potentials at the pore mouth, which attract cations and repel anions. Accordingly, they influence both single-channel conductance and zero-current membrane potential, and the single-channel conductance is much larger than expected from the dimensions of the channel. A quantitative description of the effect of the point charges on the single-channel conductance may be given with the considerations of Nelson and McQuarrie (25), as previously described (5). A best fit of the data of Fig. 5 was obtained by assuming that 2.7 negatively charged groups (total charge [q] = −5.1 × 10−19 As) are located at the pore mouth and that its radius is approximately 1 nm. The data in Fig. 5 demonstrate that the influence of surface charges is high at a low salt concentration and rather low at a high ionic strength. This means that the negative point charges are well shielded when the salt concentration is very high and have only a small influence on the conductance of the channel. The negative potential at the mouth of the channel has important implications for the function of the cell wall channel. At a concentration of 150 mM KCl or NaCl, the potential (Φ) is approximately −28 mV at the channel mouth. This means that the concentration of monovalent cations is increased there to 452 mM {bulk concentration, 150 mM; calculated according to c0+ = c exp[−ΦF/(RT)], where F is Faraday's constant, R is the gas constant, and T is the absolute temperature}, while the concentration of monovalent anions is decreased to 50 mM {bulk concentration, 150 mM; calculated according to c0− = c exp[ΦF/(RT)]}. This means that under physiological conditions, the channel conducts cations approximately nine times better than anions of the same aqueous mobility without being really selective for cations due to the presence of a selectivity filter for cations. Similar considerations apply to the discussion of the zero-current membrane potential.
FIG. 5.
Single-channel conductance of the cell wall channel of R. erythropolis as a function of the KCl concentration in the aqueous phase (squares). The solid line represents the fit of the single-channel conductance data with equations 2 to 4 of Benz et al. (5), assuming the presence of negative point charges (2.7 negative charges; q = −5.1 × 10−19 As) at the channel mouth on both sides of the membrane and assuming a channel radius of 1.0 nm (diameter, 2.0 nm). c, concentration of the KCl solution (molar); G, average single-channel conductance (nanoSiemens). The broken line shows the single-channel conductance of the cell wall channel without the effect of point charges and corresponds to a linear function between channel conductance and bulk aqueous concentration.
Zero-current membrane potentials.
Further information about the structure of the cell wall channel of R. erythropolis was obtained from zero-current membrane potential measurements in the presence of salt gradients. A 10-fold KCl gradient across a lipid bilayer membrane in which about 100 to 1,000 cell wall channels were reconstituted resulted in an asymmetry potential of about 44 mV (positive on the more diluted side). This result indicated indeed some preferential movement of cations over anions through the channel at a neutral pH. Also, for other salts, such as LiCl and potassium acetate, the zero-current membrane potentials always became positive on the more diluted side (41 and 43 mV, respectively, for 10-fold salt gradients), although the magnitude of the potentials was somewhat dependent on the different salts. This means that the channel was cation selective in all of these cases. The zero-current membrane potentials were analyzed with the Goldman-Hodgkin-Katz equation (3). The ratios of the cation permeability, Pc, divided by the anion permeability, Pa, for the three different salts were highest for KCl and potassium acetate and lowest for LiCl (Pc/Pa, 11.8, 11.7, and 10.5, respectively). This result indicated that the selectivity of the cell wall changed somewhat with the aqueous mobility of the ions. On the other hand, it changed considerably less than expected for a general diffusion pore (3), a result which could mean that the cell wall channel of R. erythropolis is indeed highly selective for cations.
The R. erythropolis cell wall channel is voltage dependent.
At voltages of up to about 20 mV, closing events represented only a very small fraction of the total number of conductance fluctuations. However, at membrane potentials of higher than 20 mV, closing events became increasingly frequent when the 8.4-kDa protein was reconstituted in the lipid bilayer membranes. This result suggested that the cell wall channel is voltage dependent. Its voltage dependence was studied with single-channel and multichannel experiments. Figure 6A shows the results of experiments of the latter type. The channel-forming protein was added at a concentration of 500 ng/ml to one side of a black PC–PS–n-decane membrane (the cis side). After 30 min, the conductance had increased considerably. At this point, we applied different potentials to the membrane. We first applied positive potentials at the cis side and then applied negative potentials. For both potentials, the membrane current decreased in an exponential fashion, as has been shown previously for the cell wall channel of C. glutamicum (19). This result suggested either that the protein was reconstituted in a random orientation in the membrane or that the channels reacted symmetrically to the applied membrane potentials. The addition of the protein to both sides of the membrane also resulted in a symmetric response to the applied voltage.
FIG. 6.
(A) Study of the voltage dependence of R. erythropolis cell wall porin. Cell wall channel-forming protein (500 ng/ml) was added to the cis side of a PC–PS (molar ratio, 4:1)–n-decane membrane, and the reconstitution of the channels was monitored for about 30 min. Then, increasing positive voltages (50 and 60 mV; upper traces) and negative voltages (−50 and −60 mV; lower traces) were applied to the cis side of the membrane, and the membrane current was measured as a function of time. The aqueous phase contained 1 M KCl and 10 mM Tris-HCl (pH 8); the temperature was 20°C. (B) Ratio of the conductance G at a given membrane potential to the conductance G0 at 10 mV as a function of the membrane potential. The squares represent the results of measurements in which R. erythropolis cell wall porin was added to the cis side of membranes formed of PC-PS (molar ratio, 4:1) dissolved in n-decane. The membrane potential always refers to the cis side of the membrane. The aqueous phase contained 1 M KCl, 10 mM Tris-HCl (pH 8.0), and 100 ng of porin per ml; the temperature was 20°C. Means of four membranes are shown.
The data from the experiments were analyzed in the following way. The membrane conductance (G), as a function of voltage (Vm), was measured when the opening and closing of channels reached an equilibrium, i.e., after the exponential decay of the membrane current following the voltage step Vm (Fig. 6A). G was divided by the initial value of the conductance (G0, which was a linear function of the voltage) obtained immediately after the onset of the voltage. The data in Fig. 6B correspond to the symmetric voltage dependence of the cell wall porin (mean of four membranes) when the protein was added to the cis side. To study the voltage dependence in more detail, the data in Fig. 6B were analyzed by assuming a Boltzmann distribution between the numbers of open and closed channels, No and Nc, respectively (21):
![]() |
1 |
F, R, and T are defined above, n is the number of charges moving through the entire transmembrane potential gradient for channel gating; and V0 is the potential at which 50% of the total number of channels are in the closed configuration. The open/closed ratio of the channels (No/Nc) may be calculated from the data in Fig. 5 according to the following equation:
![]() |
2 |
In this equation, G is the conductance at a given membrane potential Vm, and G0 and Gmin are the conductances at 10 mV (conductance of the open state) and very high potentials, respectively. The semilogarithmic plot of the No/Nc ratio as a function of the transmembrane Vm could be fitted to straight lines (data not shown). The lines could be used for the calculation of the number of gating charges n (number of charges involved in the gating process) and the midpoint potential Vo (potential at which the number of open and closed channels is identical). The midpoint potential for the addition of the cell wall porin to the cis side and negative potentials applied to the cis side was −36 mV, and the midpoint potential for the application of positive potentials to the cis side was 30 mV, somewhat smaller. The gating charge in both cases was close to 1.9.
Comparison to cell wall channels of other members of the mycolata.
R. erythropolis is a member of the genus Rhodococcus, which belongs to the mycolata, a broad and diverse group of mycolic acid-containing actinomycetes (7, 11, 16, 31, 36). A variety of other members of the suborder Corynebacterineae of the order Actinomycetales within the class Actinobacteria, as recently defined (36), contain cell wall channels (19, 33, 34, 39, 40, 41). This means that the mycolic acid layer of these bacteria acts as a permeability barrier for hydrophilic compounds in a manner similar to that of the outer membrane of gram-negative bacteria (2, 6, 15, 28). Water-filled channels are needed to overcome this permeability barrier. In fact, channel-forming proteins are present in the mycolic acid layer of members of the suborder Corynebacterineae. Channels have been identified in M. chelonae (39, 41), Mycobacterium smegmatis (40), Nocardia farcinica (34), and C. glutamicum (19, 26). Common to this new class of porins is that they are wide and filled with water and have a channel diameter of about 2 nm. Furthermore, they are cation specific because of the presence of negative charges at the channel mouth (19, 39, 41). A comparison of the channel properties of the known cell wall channels of the mycolata is given in Table 1. In particular, the electrophysiological properties of the cell wall channels of R. erythropolis and C. glutamicum are very similar. Both channels have the same diameter and contain negative point charges, which limit their permeability to anions. Nevertheless, the known partial sequences of the subunits of both channels do not show any remarkable sequence homology, a result which probably means that despite similar channel properties and a possibly analogous channel architecture, the organisms are only distantly related. It is noteworthy, however, that both sequences exhibit some indications for the presence of β strands on the basis of secondary structure predictions, suggesting that the channels are formed by β-barrel cylinders.
ACKNOWLEDGMENTS
This investigation was supported by a grant from the Deutsche Forschungsgemeinschaft (Be 865/9-1) and the Fond der Chemischen Industrie.
REFERENCES
- 1.Atrat, P. G., B. Wagner, M. Wagner, and G. Schumann. Localization of the cholesterol oxidase in Rhodococcus erythropolis IMET 7185 studied by immunoelectron microscopy. J. Steroid Biochem. Mol. Biol. 42:193–200. [DOI] [PubMed]
- 2.Benz R. Solute uptake through bacterial outer membranes. In: Ghuysen J-M, Hakenbeck R, editors. Bacterial cell wall. Amsterdam, The Netherlands: Elsevier Science B. V.; 1994. pp. 397–423. [Google Scholar]
- 3.Benz R, Janko K, Läuger P. Ionic selectivity of pores formed by the matrix protein (porin) of Escherichia coli. Biochim Biophys Acta. 1979;551:238–247. doi: 10.1016/0005-2736(89)90002-3. [DOI] [PubMed] [Google Scholar]
- 4.Benz R, Janko K, Boos W, Läuger P. Formation of large, ion-permeable membrane channels by the matrix protein (porin) of Escherichia coli. Biochim Biophys Acta. 1978;511:305–319. doi: 10.1016/0005-2736(78)90269-9. [DOI] [PubMed] [Google Scholar]
- 5.Benz R, Hardie K R, Hughes C. Pore formation in artificial membranes by the secreted hemolysins of Proteus vulgaris and Morganella morganii. Eur J Biochem. 1994;220:339–347. doi: 10.1111/j.1432-1033.1994.tb18630.x. [DOI] [PubMed] [Google Scholar]
- 6.Brennan P J, Nikaido H. The envelope of mycobacteria. Annu Rev Biochem. 1995;64:29–63. doi: 10.1146/annurev.bi.64.070195.000333. [DOI] [PubMed] [Google Scholar]
- 7.Chun J, Kang S-O, Hah Y C, Goodfellow M. Phylogeny of mycolic acid-containing actinomycetes. J Ind Microbiol. 1996;17:205–213. [Google Scholar]
- 8.Dufrene Y F, van der Wal A, Norde W, Rouxhet P G. X-ray photoelectron spectroscopy analysis of whole cells and isolated cell walls of gram-positive bacteria: comparison with biochemical analysis. J Bacteriol. 1997;179:1023–1028. doi: 10.1128/jb.179.4.1023-1028.1997. [DOI] [PMC free article] [PubMed] [Google Scholar]
- 9.Goodfellow M, Orchard V A. Antibiotic sensitivity of some nocardioform bacteria and its value as a criterion for taxonomy. J Gen Microbiol. 1974;83:375–387. doi: 10.1099/00221287-83-2-375. [DOI] [PubMed] [Google Scholar]
- 10.Goodfellow M, Minnikin D E. Identification of Mycobacterium chelonei by thin-layer chromatographic analysis of whole-organism methanolysates. Tubercle. 1981;62:285–287. doi: 10.1016/s0041-3879(81)80010-4. [DOI] [PubMed] [Google Scholar]
- 11.Goodfellow M, Ferguson E V, Sanglier J J. Numerical classification and identification of Streptomyces species—a review. Gene. 1992;115:225–233. doi: 10.1016/0378-1119(92)90563-5. [DOI] [PubMed] [Google Scholar]
- 12.Goodfellow M, Collins M D, Minnikin D E. Thin-layer chromatographic analysis of mycolic acid and other long-chain components in whole organism methanolysates of coryneform and related taxa. J Gen Microbiol. 1976;96:351–358. doi: 10.1099/00221287-96-2-351. [DOI] [PubMed] [Google Scholar]
- 13.Gross H J, Baier H, Blum H. Improved silver staining of plant proteins, RNA and DNA in polyacrylamide gels. Electrophoresis. 1987;8:93–99. [Google Scholar]
- 14.Holt J G, Krieg N R, Sneath P H A, Staley J T, Williams S T, editors. Bergey's manual of determinative biology. 9th ed. Baltimore, Md: The Williams & Wilkins Co.; 1994. pp. 625–650. [Google Scholar]
- 15.Jarlier V, Nikaido H. Permeability barrier to hydrophilic solutes in Mycobacterium chelonae. J Bacteriol. 1990;172:1418–1423. doi: 10.1128/jb.172.3.1418-1423.1990. [DOI] [PMC free article] [PubMed] [Google Scholar]
- 16.Klatte S, Rainey F A, Kroppenstedt R M. Transfer of Rhodococcus aichiensis Tsukamura 1982 and Nocardia amarae Lechevalier and Lechevalier 1974 to the genus Gordona as Gordona aichiensis comb. nov. and Gordona amarae comb. nov. Int J Syst Bacteriol. 1994;44:769–773. doi: 10.1099/00207713-44-4-769. [DOI] [PubMed] [Google Scholar]
- 17.Kretschmer A, Bock H, Wagner F. Chemical and physical characterization of interfacial-active lipids from Rhodococcus erythropolis grown on n-alkanes. Appl Environ Microbiol. 1982;44:864–870. doi: 10.1128/aem.44.4.864-870.1982. [DOI] [PMC free article] [PubMed] [Google Scholar]
- 18.Kurane R, Hatamochi K, Kakuno T, Kiyohara M, Tajima T, Hirano M, Taniguchi Y. Chemical structure of lipid bioflocculant produced by Rhodococcus erythropolis. Biosci Biotechnol Biochem. 1995;59:1652–1656. [Google Scholar]
- 19.Lichtinger T, Burkovski A, Niederweis M, Krämer R, Benz R. Biochemical and biophysical characterization of the cell wall channel of Corynebacterium glutamicum: the channel is formed by a low molecular mass subunit. Biochemistry. 1998;37:15024–15032. doi: 10.1021/bi980961e. [DOI] [PubMed] [Google Scholar]
- 20.Liu J, Rosenberg E Y, Nikaido H. Fluidity of the lipid domain of cell wall from Mycobacterium chelonae. Proc Natl Acad Sci USA. 1995;92:11254–11258. doi: 10.1073/pnas.92.24.11254. [DOI] [PMC free article] [PubMed] [Google Scholar]
- 21.Ludwig O, De Pinto V, Palmieri F, Benz R. Pore formation by the mitochondrial porin of rat brain in lipid bilayer membranes. Biochim Biophys Acta. 1986;860:268–276. doi: 10.1016/0005-2736(86)90523-7. [DOI] [PubMed] [Google Scholar]
- 22.Minnikin D E. Lipids: complex lipids, their chemistry, biosynthesis and roles. In: Ratledge C, Stanford J C, editors. The biology of the mycobacteria. New York, N.Y: Academic Press, Inc.; 1982. pp. 95–184. [Google Scholar]
- 23.Minnikin D E. Chemical targets in cell envelopes. In: Hopper M, editor. Chemotherapy of tropical diseases. Chichester, England: John Wiley & Sons Ltd.; 1987. pp. 19–43. [Google Scholar]
- 24.Minnikin D E. Chemical principles in the organization of lipid components in the mycobacterial cell envelope. Res Microbiol. 1991;142:423–427. doi: 10.1016/0923-2508(91)90114-p. [DOI] [PubMed] [Google Scholar]
- 25.Nelson A P, McQuarrie D A. The effect of discrete charges on the electrical properties of the membrane. J Theor Biol. 1975;55:13–27. doi: 10.1016/s0022-5193(75)80106-8. [DOI] [PubMed] [Google Scholar]
- 26.Niederweis M, Maier E, Lichtinger T, Benz R, Krämer R. Identification of channel-forming activity in the cell wall of Corynebacterium glutamicum. J Bacteriol. 1995;177:5716–5718. doi: 10.1128/jb.177.19.5716-5718.1995. [DOI] [PMC free article] [PubMed] [Google Scholar]
- 27.Nikaido H, Rosenberg E Y. Effect of solute size on diffusion rates through the transmembrane pores of the outer membrane of Escherichia coli. J Gen Physiol. 1981;77:121–135. doi: 10.1085/jgp.77.2.121. [DOI] [PMC free article] [PubMed] [Google Scholar]
- 28.Nikaido H, Kim S H, Rosenberg E Y. Physical organisation of lipids in the cell wall of Mycobacterium chelonae. Mol Microbiol. 1993;8:1025–1030. doi: 10.1111/j.1365-2958.1993.tb01647.x. [DOI] [PubMed] [Google Scholar]
- 29.Ochi K. Phylogenetic analysis of mycolic acid-containing wall-chemotype IV actinomycetes and allied taxa by partial sequencing of ribosomal protein AT-L30. Int J Syst Bacteriol. 1995;45:653–660. doi: 10.1099/00207713-45-4-653. [DOI] [PubMed] [Google Scholar]
- 30.Przybylski M, Glocker M O, Nestel U, Schnaible V, Bluggel M, Diederichs K, Weckesser J, Schad M, Schmid A, Welte W, Benz R. X-ray crystallographic and mass spectrometric structure determination and functional characterization of succinylated porin from Rhodobacter capsulatus: implications for ion selectivity and single-channel conductance. Protein Sci. 1996;5:1477–1489. doi: 10.1002/pro.5560050804. [DOI] [PMC free article] [PubMed] [Google Scholar]
- 31.Rainey F A, Burghardt J, Kroppenstedt R M, Klatte S, Stackebrandt E. Phylogenetic analysis of the genera Rhodococcus and Nocardia and evidence for the evolutionary origin of the genus Nocardia from within the radiation of Rhodococcus species. Microbiology. 1995;141:523–528. [Google Scholar]
- 32.Renkin E M. Filtration, diffusion, and molecular sieving through porous cellulose membranes. J Gen Physiol. 1954;38:225–243. [PMC free article] [PubMed] [Google Scholar]
- 33.Rieß F G, Lichtinger T, Yassin A F, Schaal K P, Benz R. The cell wall porin of the gram-positive bacterium Nocardia asteroides forms cation-selective channels that exhibit asymmetric voltage-dependence. Arch Microbiol. 1999;171:173–182. doi: 10.1007/s002030050696. [DOI] [PubMed] [Google Scholar]
- 34.Rieß F G, Lichtinger T, Cseh R, Yassin A F, Schaal K P, Benz R. The cell wall porin of Nocardia farcinica: biochemical identification of the channel-forming protein and biophysical characterisation of the channel properties. Mol Microbiol. 1998;29:139–150. doi: 10.1046/j.1365-2958.1998.00914.x. [DOI] [PubMed] [Google Scholar]
- 35.Schägger H, von Jagow G. Tricine-sodium dodecyl sulfate-polyacrylamide gel electrophoresis for the separation of proteins in the range from 1 to 100 KDa. Anal Biochem. 1987;166:368–379. doi: 10.1016/0003-2697(87)90587-2. [DOI] [PubMed] [Google Scholar]
- 36.Stackebrandt E, Rainey F A, Ward-Rainey N L. Proposal for a new hierarchic classification system, Actinobacteria classis nov. Int J Syst Bacteriol. 1997;47:479–491. [Google Scholar]
- 37.Sutcliffe I C. Cell envelope components of Rhodococcus equi and closely related bacteria. Vet Microbiol. 1997;56:287–299. doi: 10.1016/s0378-1135(97)00097-7. [DOI] [PubMed] [Google Scholar]
- 38.Sutcliffe I C. Cell envelope composition and organisation in the genus Rhodococcus. Antonie Leeuwenhoek. 1998;74:49–58. doi: 10.1023/a:1001747726820. [DOI] [PubMed] [Google Scholar]
- 39.Trias J, Benz R. Characterization of the channel formed by the mycobacterial porin of Mycobacterium chelonae in lipid-bilayer membranes: demonstration of voltage dependent regulation and the presence of negative point charges at the channel mouth. J Biol Chem. 1993;268:6234–6240. [PubMed] [Google Scholar]
- 40.Trias J, Benz R. Permeability of the cell wall of Mycobacterium smegmatis. Mol Microbiol. 1994;14:283–290. doi: 10.1111/j.1365-2958.1994.tb01289.x. [DOI] [PubMed] [Google Scholar]
- 41.Trias J, Jarlier V, Benz R. Porins in the cell wall of mycobacteria. Science. 1992;258:1479–1481. doi: 10.1126/science.1279810. [DOI] [PubMed] [Google Scholar]
- 42.Vernazza P L, Bodmer T, Galeazzi R L. Rhodococcus erythropolis infection in HIV-associated immunodeficiency. Schweiz Med Wochenschr. 1991;121:1095–1098. [PubMed] [Google Scholar]
- 43.Wessel D, Flügge U I. A method for the quantitative recovery of protein in dilute solution in the presence of detergents and lipids. Anal Biochem. 1984;138:141–143. doi: 10.1016/0003-2697(84)90782-6. [DOI] [PubMed] [Google Scholar]








