Sr. Editor:
El barotrauma, definido como el daño ocurrido a los tejidos secundario a un gradiente de presión entre una cavidad corporal no ventilada y el aire o líquido que la rodea, es una complicación frecuente en los pacientes con síndrome de distrés respiratorio agudo (SDRA)1.
Recientemente hemos apreciado que la neumonía por COVID-19 se asocia a insuficiencia respiratoria y SDRA, que en los casos más graves llegan a requerir ventilación mecánica invasiva (VMI). Se ha observado que los pacientes COVID-19 con SDRA que precisan ventilación mecánica invasiva presentan una incidencia mayor de barotrauma cuando se comparan con pacientes que presentan SDRA de otra etiología2, incluso con la utilización de estrategias de ventilación protectivas3.
El barotrauma se puede manifestar como neumotórax (PTX), neumomediastino (PMD) o enfisema subcutáneo3. Con el fin de intentar predecir el riesgo de presentar PTX/PMD en los pacientes con SDRA a causa de una neumonía por COVID-19 que requieren ventilación mecánica invasiva, se ha utilizado el efecto Macklin, descrito como una colección lineal de aire contigua a la vaina broncovascular en la ventana de parénquima pulmonar de una TC torácica, como predictor radiológico precoz4 que permite seleccionar aquellos pacientes más vulnerables al desarrollo de esta complicación.
Reportamos la incidencia de barotrauma en nuestra unidad de cuidados intensivos (UCI) del Hospital de Mataró y el número de pacientes que presentaron PTX/PMD en los que se observó el efecto Macklin en la ventana de parénquima pulmonar de una TC torácica realizada con anterioridad a la primera evidencia radiológica del mismo (fig. 1 ).
Figura 1.
Diagrama de flujo de los criterios de inclusión y exclusión.
COVID-19: enfermedad por coronavirus 2019; PMD: neumomediastino; PTX: neumotórax; SDRA: síndrome de distrés respiratorio agudo; TC: tomografía computarizada; VMI: ventilación mecánica invasiva.
Analizamos de forma retrospectiva todos los pacientes ingresados en nuestra UCI por COVID-19 del 1 de marzo del 2020 al 31 de octubre del 2021 que recibieron ventilación mecánica invasiva y desarrollaron PTX/PMD. Se excluyeron los casos de barotrauma iatrogénicos, los pacientes que no recibieron ventilación mecánica invasiva durante el ingreso y aquellos que no tenían una TC torácica previa a la primera evidencia radiológica del barotrauma (fig. 1). De los 321 pacientes ingresados en nuestra UCI, 216 (67,2%) requirieron ventilación mecánica invasiva, de los cuales 14 (6,48%) presentaron PTX/PMD durante su evolución. De los 14 pacientes que presentaron PTX/PMD, únicamente 7 (50%) disponían de una TC torácica previa a la primera evidencia radiológica de aparición del PTX/PMD que permitió evaluar la presencia del efecto Macklin. De estos 7 pacientes, en 6 de ellos (85,7%) encontramos imágenes compatibles con el efecto Macklin en la ventana de parénquima pulmonar de la TC torácica realizada días antes a la aparición del barotrauma (fig. 2 ).
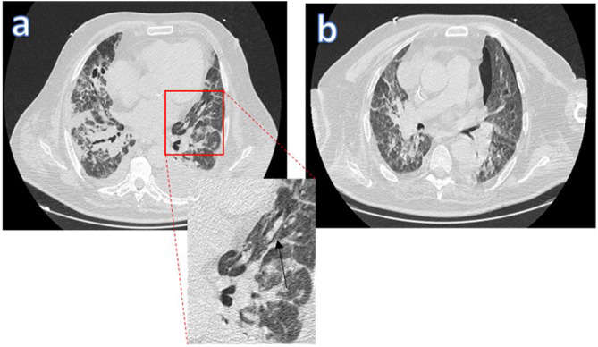
Figura 2.
Efecto Macklin en paciente COVID-19 con SDRA en VMI. La ventana pulmonar de la TC torácica (a) muestra una colección lineal de aire contigua a la vaina broncoavascular del lóbulo superior izquierdo (la flecha negra indica el efecto Macklin). b) Aparición de neumotórax días después.
Como limitaciones destaca el bajo tamaño muestral, la necesidad de un radiólogo experimentado y la realización de una TC torácica basal precoz que permita valorar la presencia del efecto Macklin para poder estimar el riesgo y la vulnerabilidad de estos pacientes.
Confirmamos que el efecto Macklin fue un buen predictor radiológico precoz para el desarrollo de PTX/PMD en nuestros pacientes COVID-19 con SDRA que requirieron VMI, reafirmando la alta especificidad (95,6%) y sensibilidad (89,2%) reportada en otros estudios4. En pacientes COVID-19 en ventilación mecánica invasiva que presentan empeoramiento respiratorio, en los que además existe evidencia del efecto Macklin en una TC torácica basal, además de continuar utilizando estrategias ventilatorias protectivas, se debería realizar una TC torácica o radiografía de tórax convencional de control, según disponibilidad, para descartar la aparición de barotrauma como responsable de dicho empeoramiento. Por todo lo anterior, consideramos oportuno que debería estar recomendada la realización de una TC torácica precoz a la insuficiencia respiratoria y al ingreso en la UCI que permita valorar la presencia del efecto Macklin con la intención de ajustar las estrategias ventilatorias con el objetivo de minimizar la aparición de PTX/PMD como complicación asociada, dada la alta mortalidad (60%) encontrada en los pacientes que presentan barotrauma y SDRA por COVID-19 asociado5.
Aspectos éticos
El estudio realizado ha sido aprobado por el comité de ética de investigación clínica del Hospital de Mataró el 17 de junio del 2022 con el código CEIm 01/22.
Financiación
No ha existido financiamiento.
Conflicto de intereses
Los autores declaran no tener conflicto de intereses.
Bibliografía
- 1.Battisti A.S., Haftel A., Murphy-Lavoie H.M. StatPearls Publishing; Treasure Island (FL): 2022. Barotrauma. PMID: 29493973. [PubMed] [Google Scholar]
- 2.McGuinness G., Zhan C., Rosenberg N., Azour L., Wickstrom M., Mason D.M., et al. Increased incidence of barotrauma in patients with COVID-19 on invasive mechanical ventilation. Radiology. 2020;297:E252–E262. doi: 10.1148/radiol.2020202352. [DOI] [PMC free article] [PubMed] [Google Scholar]
- 3.Rajdev K., Spanel A.J., McMillan S., Lahan S., Boer B., Birge J., et al. Pulmonary barotrauma in COVID-19 patients with ARDS on invasive and non-invasive positive pressure ventilation. J Intensive Care Med. 2021;36:1013–1017. doi: 10.1177/08850666211019719. [DOI] [PubMed] [Google Scholar]
- 4.Palumbo D., Zangrillo A., Belletti A., Guazzarotti G., Calvi M.R., Guzzo F., et al. COVID-BioB Study Group A radiological predictor for pneumomediastinum/pneumothorax in COVID-19 ARDS patients. J Crit Care. 2021;66:14–19. doi: 10.1016/j.jcrc.2021.07.022. [DOI] [PMC free article] [PubMed] [Google Scholar]
- 5.Belletti A., Todaro G., Valsecchi G., Losiggio R., Palumbo D., Landoni G., et al. Barotrauma in Coronavirus Disease 2019 patients undergoing invasive mechanical ventilation: A systematic literature review. Crit Care Med. 2022;50:491–500. doi: 10.1097/CCM.0000000000005283. [DOI] [PMC free article] [PubMed] [Google Scholar]


