Abstract
Various PCR-based genome-walking methods have been developed to acquire unknown flanking DNA sequences. However, the specificity and efficacy levels, and the operational processes, of the available methods are unsatisfactory. This work proposes a novel walking approach, termed differential annealing-mediated racket PCR (DAR-PCR). The key to DAR-PCR is the use of primer-mediated intra-strand annealing (ISA). An ISA primer consists of a 5’ root homologous to the known sequence and a heterologous 3’ bud. In the single low-stringency cycle, the ISA primer anneals to a site on an unknown region and extends towards the sequence-specific primer (SSP) 1 site, thereby forming a target single-stranded DNA bound by the SSP1 complement and the ISA primer. In the subsequent more stringent cycles, its complementary strand is accumulated, owing to the differential annealing between the moderate-stringency ISA primer and the high-stringency SSP1. The accumulation of this strand provides an opportunity for ISA mediated by the ISA primer root. A loop-back extension subsequent to ISA occurs, creating a racket-like DNA with the known region positioned at both ends of the unknown sequence. This DNA is exponentially amplified during the secondary PCR driven by an SSP pair inner to SSP1. DAR-PCR was validated as an efficient walking method by determining unknown flanking sequences in Lactobacillus brevis and Oryza sativa.
Supplementary Information
The online version contains supplementary material available at 10.1186/s13568-022-01471-1.
Keywords: Genome walking, Differential annealing, Intra-strand annealing, Racket-like DNA, Primer root, Primer bud
Introduction
Genome walking refers to a sequence-dependent strategy used to access unknown sequences flanking known DNA regions. The genomic DNA library-based walking technique is unpopular owing to the heavy workload and high cost. PCR-based approaches have been favored because of their efficiency, rapidity and simplicity (Rishi et al. 2004). To date, numerous PCR-based methods have been developed and widely applied to acquire unknown flanking sequences (Kotik 2009; Kim et al. 2021a, b). These PCR methods differ largely in experimental processes but can be classified into three categories according to their underlying principles: (i) inverse PCR (Ochman et al. 1988; Benkel and Fong 1996; Uchiyama and Watanabe 2006); (ii) terminal modification-dependent PCR (Tsuchiya et al. 2009; Ashrafmansouri et al. 2020); and (iii) randomly primed PCR (Liu and Whittier 1995; Tan et al. 2005; Wang et al. 2013; Zhang et al. 2018).
Inverse PCR requires the endonuclease digestion of genomic DNA and the subsequent self-cyclization of the digested DNA. It thus produces cyclized DNA in which unidentified upstream and downstream regions are situated adjacent to each other, with the known DNA being placed on both ends of this unknown hybrid (Triglia et al. 1988; Wang et al. 2021). This cyclized DNA serves as a template for PCR using two sequence-specific primers (SSPs) having opposite orientations. The two primers extend outward from the known region of this special template to amplify unknown flanking segments. Inverse PCR features high specificity because the primers used are completely sequence-specific (Tsaftaris et al. 2010; Trinh et al. 2014). However, the efficiency of inverse PCR is relatively low. In addition, extra operations prior to PCR amplification make this method complex (Uchiyama and Watanabe 2006).
Terminal modification-dependent PCR requires the endonuclease digestion of the genome, followed by the ligation of the digested DNA fragments to a synthetic oligonucleotide (Siebert et al. 1995; Ishihara et al. 2017). A ligated target product is enriched by two to three rounds of PCRs performed using the oligonucleotide primer successively paired with nested SSPs (Tsuchiya et al. 2009; Reddy et al. 2012). Clearly, the elimination of the non-specific background arising from the oligonucleotide primer is an issue in this strategy (Alquezar-Planas et al. 2020). Although improvements in the oligonucleotide, such as the dephosphorylation of the 5’ end or amination of the 3’ end, have been made to enhance specificity, non-specific amplification has not yet been effectively overcome (Tsuchiya et al. 2009; Bae and Sohn 2010; Ashrafmansouri et al. 2020).
Randomly primed PCR is a pretreatment-free DNA-walking approach (Jia et al. 2017). A single low-stringency cycle allows the walking primer to arbitrarily anneal to genomic DNA and prime DNA polymerization. As a result, a pool of DNA fragments are produced (Li et al. 2015; Chang et al. 2018). The target DNA becomes major product after two to three rounds of PCRs are conducted using the walking primer successively paired with nested SSPs (Zhou et al. 2012). Thermal asymmetric interlaced PCR (Liu and Whittier 1995), universal fast walking (Myrick and Gelbart 2002) and its variants (Park 2005; Wang et al. 2007), and partially overlapping primer-based PCR (Li et al. 2015) and its improved versions (Chang et al. 2018; Wang et al. 2022), are types of randomly primed PCR. Nevertheless, for thermal asymmetric interlaced PCR, non-target DNAs arising from the walking primer are inevitable, as one in three cycles must be of low stringency. The other randomly primed PCRs involve complicated operations or require several walking primers (Thirulogachandar et al. 2011; Tan et al. 2019).
In this work, we describe differential annealing-mediated racket PCR (DAR-PCR), an efficient tool for genome walking. This method relies on intra-strand annealing (ISA) at an ISA locus and a subsequent loop-back extension along the known region. As a result, a racket-like DNA is synthesized with the known region being incorporated on each side of the unknown DNA. This racket-like DNA serves as template in the subsequent nested PCR. For a proof-of-concept, DAR-PCR was successfully employed to determine the sequences of the unknown regions flanking the Lactobacillus brevis CD0817 glutamate decarboxylase gene (gadA) and Oryza sativa hygromycin gene (hyg).
Materials and methods
Extraction of genomic DNAs
Genomic DNA of L. brevis CD0817 (= CCTCCM2018462) was extracted using the Bacterial Genomic DNA Isolation Kit (Tiangen Biotech Co., Ltd, Beijing, China) in accordance with the manufacturer’s instructions. Oryza sativa genomic DNA was kindly provided by the Peng laboratory at Nanchang University (Nanchang, China).
Oligonucleotides
An ISA primer contains a sequence-specific 5’ root appended to a random 3’ bud. The root is fixed and responsible for ISA. The bud consists of very few (here, 0 to 2) nucleotides heterologous to the known sequence. Therefore, one ISA root can be used in many ISA primers. All the ISA primers are 15–20 bp and have a moderate melting temperature (Tm) of 45–55℃. The SSPs were derived from the gadA locus (CP032931.1) and hyg gene (KF206149.1), and have a high Tm values of 60–65℃. The software Oligo 7 (Molecular Biology Insights, Inc., USA) was used to evaluate primer Tm and potential primer-dimer or hairpin formation. Any primer or primer pair should not form an obvious dimer or hairpin (Table 1).
Table 1.
Primers used in this study
| Primary PCR | Secondary PCR | ||
|---|---|---|---|
| ISA primer | SSP1 | Inner SSP pair (SSP2/SSP3) | |
| gad-ISA1 | TGAAAACTAACCGGCTTAC | gad-1: TCCATACCCTCATCTCCATTTCCAT |
gad-2: AACTATCACCCCACAACGTCATCTC gad-3: ACCGTTCATAGGCGAAATTGTTTGT |
| gad-ISA2 | TAAACCTGCGTAAAAACT | ||
| gad-ISA3 | AACCGGCTTTTTAAACT | ||
| hygU-ISA1 | CGGGCGTACACAAATCTC | hygU-1: GGCGTATATGCTCCGCATTGGTCTT |
hygU-2: CGGCAATTTCGATGATGCAGCTTGG hygU-3: GACCGATGGCTGTGTAGAAGTACTC |
| hygU-ISA2 | GCAATCGTCCGATCCCT | ||
| hygU-ISA3 | AAATCGCCCGCAGAA | ||
| hygD-ISA1§ | CTAAACTCCCCAATGTC | hygD-1: GCCATGTAGTGTATTGACCGATTCC |
hygD-2: CAGTTCGGTTTCAGGCAGGT hygD-3: CATATCCACGCCCTCCTACA |
| hygD-ISA1a§ | CTAAACTCCCCAATGTCT | ||
| hygD-ISA1b§ | CTAAACTCCCCAATGTCC | ||
| hygD-ISA1c§ | CTAAACTCCCCAATGTCTC | ||
| hygD-ISA1d§ | CTAAACTCCCCAATGTCCA | ||
| hygD-ISA2 | AGTGCCGATAAACATAA | ||
Note: ISA roots are underlined. Buds are unmarked nucleotides located at the 3’ ends of ISA roots. ISA primers paired with SSP1 in the same row were used in the primary PCR; corresponding secondary PCRs were performed using the inner SSP pair (SSP2/SSP3) in the same row. § indicates ISA primers derived from the same ISA root
PCR system and thermal cycling
The DAR-PCR consists of two rounds of nested PCR reactions. Genomic DNA was used as the template of the primary PCR using SSP1 and an ISA primer. The 50-µL primary PCR mixture included 0.4 mM of each dNTP, 0.2 µM of each primer, genomic DNA (10–100 ng for the microbe and 100–1,000 ng for Oryza sativa), 1× LA PCR buffer II (Mg2+ plus) and 2.5 U of TaKaRa LA Taq. In total, 1 µL of primary PCR product was used as the template in the 50-µL secondary PCR reaction, along with two inner SSPs instead of the primary PCR primers. The other components of secondary PCR were identical to those of the primary PCR.
The primary PCR included the following four stages: (i) five slightly high-stringency (60℃) cycles (SHSC); (ii) one low-stringency (25℃) cycle (LSC); (iii) 15 moderate-stringency (55℃) cycles (MSC); and (iv) 25 high-stringency (65℃) cycles (HSC). Secondary PCR was composed of 35 SHSCs. The detailed thermal cycling parameters are presented in Table 2.
Table 2.
Thermal cycling parameters for the DAR-PCR method
| Round of PCR | Stage | Thermal conditions | Cycle number |
|---|---|---|---|
| Primary | 94 °C, 2 min | ||
| 1 | 94 °C 30 s, 60 °C 30 s, 72 °C 2 min | 5 | |
| 2 | 94 °C 30 s, 25 °C 30 s, 72 °C 2 min | 1 | |
| 3 | 94 °C 30 s, 55 °C 30 s, 72 °C 2 min | 15 | |
| 4 | 94 °C 30 s, 65 °C 30 s, 72 °C 2 min | 25 | |
| 72 °C 5 min | |||
| 1 µL of the product was directly used as template for secondary PCR | |||
| Secondary | 94 °C, 2 min | ||
| 1 | 94 °C 30 s, 60 °C 30 s, 72 °C 2 min | 35 | |
| 72 °C 5 min | |||
DNA sequencing and analysis
PCR products were electrophoresed on 1% agarose gels and stained with ethidium bromide to obtain visible DNA bands. The clear DNA bands were recovered using an Agarose Gel DNA Purification Kit Version 2.0 (TaKaRa, Beijing, China) and were entrusted to Sangon Biotech Co., Ltd. (Shanghai, China) for sequencing.
Results
Outline of DAR-PCR
The principle and process of DAR-PCR are shown in Fig. 1. The key to this method is the design and application of the ISA primer. As described in the Materials and Methods section, an ISA primer contains a sequence-specific root with a mismatched bud attached at the 3’ end. For primary PCR, the initial five SHSCs (60℃) only allow SSP1 (Tm 60–65℃) to bind its complementary site within the known sequence and elongate towards the unknown region, thereby exclusively increasing the copies of the target single-stranded DNA (ssDNA). The following one LSC (25℃) permits the ISA primer (Tm 45–55℃) to arbitrarily anneal to some position on the unknown flank and to prime DNA polymerization towards the known region, producing a molecule enclosed by the ISA primer and SSP1. This new molecule is exponentially amplified in the following 15 MSCs (55℃). The strand of this new molecule, with SSP1 at the 5’ end and the ISA complement at the 3’ end, is preferentially amplified in the next 25 HSCs (65℃) owing to the differential annealing of SSP1 and the ISA primer. In addition, some of the strands undergo ISA at the ISA locus, and thereafter, a racket-like DNA is synthesized using the protruding 5’ part as the template. As a result, the known region between SSP1 and ISA is incorporated into each side of the unknown segment. The racket-like DNA can then be used as the template in the secondary PCR to identify the unknown region.
Fig. 1.

Schematic depiction of DAR-PCR. Primary PCR is performed using SSP1 and the ISA primer; and the secondary PCR is performed using SSP2 and SSP3. The bud heterologous to the known DNA is indicated by the up-ended arrow. The solid lines denote known sequences; Dotted lines denote unknown sequences. SHSC: slightly high-stringency (60℃) cycle; LSC: low-stringency (25℃) cycle; MSC: moderate-stringency (55℃) cycle; HSC: high-stringency (65℃) cycle. The PCR primers are indicated by numbered arrows, and their locations in relation to the relevant strand of genomic DNA are shown on top of the diagram in Step 1
The secondary PCR, which is performed using two SSPs (SSP2 and SSP3) inner to SSP1, is a type of classical end-to-end PCR. The positional relationship of SSP2 and SSP3 avoids the production of an overlap at the two ends of the final PCR product; consequently, exponential amplification is achieved. Additionally, any non-target product generated in the primary PCR is eliminated owing to the lack of a perfect binding-site for SSP2 or SSP3.
Validation of DAR-PCR
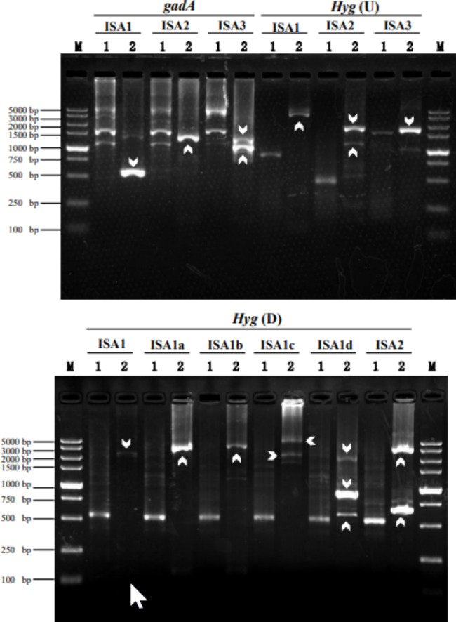
The feasibility of DAR-PCR was tested by probing unknown regions flanking the L. brevis CD0817 gadA gene and the Oryza sativa hyg gene. As illustrated in Fig. 2, more than one clear band appeared in all the secondary PCR reactions. Sequencing data demonstrated that all the dominant bands were target products, verifying the high specificity of the current method (supplementary materials Fig. S1-S3). The longest DNA fragments obtained in each walking experiment ranged from 1.5 to 5.0 kb (Fig. 2), indicating the high efficiency of DAR-PCR.
Fig. 2.

Walking upstream of gadA(U) and hyg (U), as well as downstream of hyg (D). The ISA primers listed under each gene were respectively paired with SSP1 during the primary PCR reactions; the corresponding secondary PCRs were then performed using SSP2 and SSP3 (as described in Table 1). Lane 1: primary PCR; lane 2: secondary PCR; white arrows indicate target bands; and M: DL5000 DNA marker
Discussion
PCR-based genome-walking strategies have been unsuccessful owing to non-specific amplification attributed to walking primers (Tonooka and Fujishima 2009). In general, improvements to the existing PCR-based techniques have been aimed at controlling the balance between specificity and efficiency (Myrick and Gelbart 2002; Kim et al. 2021a, b). For DAR-PCR, however, this is unnecessary because its secondary PCR involves only site-specific amplification. The current technique possesses high efficiency and specificity that are equal to those of classical end-to-end PCR.
Traditional panhandle PCR (Jones and Winistorfer 1992), inverse PCR (Ochman et al. 1988; Benkel and Fong 1996; Uchiyama and Watanabe 2006) and terminal modification-dependent PCR (Tsuchiya et al. 2009; Ashrafmansouri et al. 2020) involve pretreatments prior to the PCR reactions, such as endonuclease cleavage and DNA ligation, which reduce the walking efficiency and increase the cost and workload (Jeung et al. 2005). Therefore, the development of a truly PCR-based genome-walking technique is desired. Universal fast walking (Myrick and Gelbart 2002) and its variants (Park 2005; Wang et al. 2007) are completely PCR-based techniques. However, these techniques do not always result in positive outcomes because the exclusive single walking primer sometimes fails to bind to the DNA of interest. Moreover, the number of ssDNAs anticipated to form panhandle-like molecules is limited, which also reduces the success rates of these methods. In our method, more than one ISA root can be obtained from the known region between SSP2 and SSP3 (Fig. 1), and any ISA root can result in many ISA primers by adding buds at the 3’ end. Thus, SSP1 can pair with various ISA primers, allowing a set of parallel PCR reactions to be conducted. We hypothesize that at least one ISA primer will successfully anneal to some site on the unknown DNA of interest at the low-stringency cycle, resulting in the guaranteed success of the method. In addition, an ISA primer should have a distinctive annealing site because of its unique 3’ bud. Thus, a rather long fragment may be produced if parallel PCR reactions are performed. These features ensure the high walking efficiency and success rate of DAR-PCR.
TAIL-PCR (Tan et al. 2019) and POP-PCR (Li et al. 2015) are versatile genome-walking methods. The two methods dilute undesired products owing to the differential annealing between the walking primer and SSP. Thus, the two methods enrich target DNAs by having the efficiency of the specific amplification surpass that of non-specific amplification, which implies that non-specific amplification is not negligible. For specificity and efficiency, DAR-PCR is superior to TAIL-PCR or POP-PCR because its secondary reaction is performed using a completely sequence-specific primer pair.
In some cases, multiple bands appeared in the gel (Fig. 2). This multi-band phenomenon is common in most PCR-based DNA-walking technologies, and it may be interpreted as the walking primer annealing to multiple sites on the unknown region of interest (Tan et al. 2019; Liu and Chen 2007).
A new tool, DAR-PCR, has been established for the efficient determination of unknown DNA. This method dispenses with extra steps prior to PCR reactions and decreases the number of artifacts that occur in available genome-walking strategies. This method has many potential applications in molecular biology and related areas. DAR-PCR is a promising alternative to the existing DNA walking methods owing to its high specificity and efficiency, along with its simplicity.
Electronic supplementary material
Below is the link to the electronic supplementary material.
Supplementary Material 1: Figure S1. Alignment of confirmatory sequencing data and locations of primers used to probe upstream of gadA. Figure S2. Alignment of confirmatory sequencing data and locations of primers used to probe upstream of hyg. Figure S3. Alignment of confirmatory sequencing data and locations of primers used to probe downstream of hyg.
Acknowledgements
We are grateful to the Peng laboratory at Nanchang University (Nanchang, China) for providing Oryza sativa genomic DNA.
Abbreviations
- DAR-PCR
Differential annealing-mediated racket PCR.
- gadA
Glutamate decarboxylase gene A.
- hyg
Hygromycin gene.
- ISA
Intra-strand annealing.
- PCR
Polymerase chain reaction.
- ssDNA
Single-stranded DNA.
- SSP
Sequence-specific primer.
- Tm
Melting temperature.
- SHSC
Slightly high-stringency cycle.
- LSC
low-stringency cycle.
- MSC
Moderate-stringency cycle.
- HSC
High-stringency cycle.
Author contributions
Tianyi Sun: Investigation, Methodology, Image analysis, Writing - original draft, Writing - review & editing; Mengya Jia: Investigation, Validation; Lingqin Wang: Project administration, Supervision, Writing - review & editing; Zhaoqin Li: Conception, Writing- review & editing; Zhiyu Lin: Data curation, Writing - review & editing; Cheng Wei and Jinfeng Pei: Investigation, Supervision, Writing - review & editing; Haixing Li: Project administration, Methodology, Formal analysis, Supervision, Writing - review & editing.
Funding
This study was funded by the National Natural Science Foundation of China (Grants Nos 32160014 and 31570070) and the State Key Laboratory of Food Science and Technology, Nanchang University (Grant No SKLF-ZZB-202118).
Data availability
The datasets supporting the conclusions of this article are included within the
article.
Declarations
Ethics approval and consent to participate
Not applicable.
Consent for publication
Not applicable.
Competing interests
The authors declare no commercial or financial conflict of interest.
Footnotes
Publisher’s Note
Springer Nature remains neutral with regard to jurisdictional claims in published maps and institutional affiliations.
References
- Alquezar-Planas DE, Löber U, Cui P, Quedenau C, Chen W, Greenwood AD, Johnston S. DNA sonication inverse PCR for genome scale analysis of uncharacterized flanking sequences. Methods Ecol Evol. 2020;12:182–195. doi: 10.1111/2041-210X.13497. [DOI] [Google Scholar]
- Ashrafmansouri SS, Kamaladini H, Haddadi F, Seidi M. Simple innovative adaptor to improve genome walking with convenient PCR. J Genet Eng Biotechnol. 2020;18:1–8. doi: 10.1186/s43141-020-00082-2. [DOI] [PMC free article] [PubMed] [Google Scholar]
- Bae JH, Sohn JH. Template-blocking PCR: an advanced PCR technique for genome walking. Anal Biochem. 2010;398:112–116. doi: 10.1016/j.ab.2009.11.003. [DOI] [PubMed] [Google Scholar]
- Benkel BF, Fong Y. Long range-inverse PCR (LR-IPCR): extending the useful range of inverse PCR. Genet Anal: Biomol Eng. 1996;13:123–127. doi: 10.1016/S1050-3862(96)00161-1. [DOI] [PubMed] [Google Scholar]
- Chang KP, Wang Q, Shi XF, Wang SX, Wu HJ, Nie LJ, Li HX. Stepwise partially overlapping primer-based PCR for genome walking. AMB Express. 2018;8:1–7. doi: 10.1186/s13568-018-0610-7. [DOI] [PMC free article] [PubMed] [Google Scholar]
- Ishihara S, Kotomura N, Yamamoto N, Ochiai H. Ligation-mediated PCR with a back-to-back adapter reduces amplification bias resulting from variations in GC content. Anal Biochem. 2017;531:37–44. doi: 10.1016/j.ab.2017.05.011. [DOI] [PubMed] [Google Scholar]
- Jeung JU, Cho SK, Shin JS. A partial-complementary adapter for an improved and simplified ligation-mediated suppression PCR technique. J Biochem Biophys Methods. 2005;64:110–120. doi: 10.1016/j.jbbm.2005.06.001. [DOI] [PubMed] [Google Scholar]
- Jia XB, Lin XJ, Chen JC. Linear and exponential TAIL-PCR: a method for efficient and quick amplification of flanking sequences adjacent to Tn5 transposon insertion sites. AMB Express. 2017;7:1–8. doi: 10.1186/s13568-017-0495-x. [DOI] [PMC free article] [PubMed] [Google Scholar]
- Jones DH, Winistorfer SC. Sequence specific generation of a DNA panhandle permits PCR amplification of unknown flanking DNA. Nucleic Acids Res. 1992;20:595–600. doi: 10.1093/nar/20.3.595. [DOI] [PMC free article] [PubMed] [Google Scholar]
- Kim E, Yang SM, Kim D, Kim HY. Real-time PCR method for qualitative and quantitative detection of Lactobacillus sakei group species targeting novel markers based on bioinformatics analysis. Int J Food Microbiol. 2021;355:109335. doi: 10.1016/j.ijfoodmicro.2021.109335. [DOI] [PubMed] [Google Scholar]
- Kim MJ, Park SB, Kang HB, Lee KM, Kim HY. Development of ultrafast PCR for rapid detection of buckwheat allergen DNA (fag e 1) in processed foods. Food Control. 2021;130:108334. doi: 10.1016/j.foodcont.2021.108334. [DOI] [Google Scholar]
- Kotik M. Novel genes retrieved from environmental DNA by polymerase chain reaction: Current genome-walking techniques for future metagenome applications. J Biotechnol. 2009;144:75–82. doi: 10.1016/j.jbiotec.2009.08.013. [DOI] [PubMed] [Google Scholar]
- Li HX, Ding DQ, Cao YS, Yu B, Guo L, Liu XH. Partially overlapping primer-based PCR for genome walking. PLoS ONE. 2015;10:e0120139. doi: 10.1371/journal.pone.0120139. [DOI] [PMC free article] [PubMed] [Google Scholar]
- Liu YG, Chen Y. High-efficiency thermal asymmetric interlaced PCR for amplification of unknown flanking sequences. Biotechniques. 2007;43:649–656. doi: 10.2144/000112601. [DOI] [PubMed] [Google Scholar]
- Liu YG, Whittier RF. Thermal asymmetric interlaced PCR: automatable amplification and sequencing of insert end fragments from P1 and YAC clones for chromosome walking. Genomics. 1995;25:674–681. doi: 10.1016/0888-7543(95)80010-J. [DOI] [PubMed] [Google Scholar]
- Myrick KV, Gelbart WM. Universal fast walking for direct and versatile determination of flanking sequence. Gene. 2002;284:125–131. doi: 10.1016/S0378-1119(02)00384-0. [DOI] [PubMed] [Google Scholar]
- Ochman H, Gerber AS, Hartl DL. Genetic applications of an inverse polymerase chain-reaction. Genetics. 1988;120:621–623. doi: 10.1093/genetics/120.3.621. [DOI] [PMC free article] [PubMed] [Google Scholar]
- Park DJ. LaNe RAGE: a new tool for genomic DNA flanking sequence determination. Electron J Biotechnol. 2005;8:218–225. doi: 10.2225/vol8-issue2-fulltext-7. [DOI] [Google Scholar]
- Reddy PK, Ramlal S, Sripathy MH, Batra H. A simple and universal ligation mediated fusion of genes based on hetero-staggered PCR for generating immunodominant chimeric proteins. Gene. 2012;509:104–109. doi: 10.1016/j.gene.2012.08.011. [DOI] [PubMed] [Google Scholar]
- Rishi AS, Nelson ND, Goyal A. Genome walking of large fragments: an improved method. J Biotechnol. 2004;111:9–15. doi: 10.1016/j.jbiotec.2004.03.008. [DOI] [PubMed] [Google Scholar]
- Siebert PD, Chenchik A, Kellogg DE, Lukyanov KA, Lukyanov SA. An improved PCR method for walking in uncloned genomic DNA. Nucleic Acids Res. 1995;23:1087–1088. doi: 10.1093/nar/23.6.1087. [DOI] [PMC free article] [PubMed] [Google Scholar]
- Tan GH, Gao Y, Shi M, Zhang XY, He SP, Cheng ZL, An CC. SiteFinding-PCR: a simple and efficient PCR method for chromosome walking. Nucleic Acids Res. 2005;33:e122. doi: 10.1093/nar/gni124. [DOI] [PMC free article] [PubMed] [Google Scholar]
- Tan JT, Gong Q, Yu SZ, Hou YK, Zeng DC, Zhu QL, Liu YG. A modified high-efficiency thermal asymmetric interlaced PCR method for amplifying long unknown flanking sequences. J Genet Genomics. 2019;46:363–366. doi: 10.1016/j.jgg.2019.05.002. [DOI] [PubMed] [Google Scholar]
- Thirulogachandar V, Pandey P, Vaishnavi CS, Reddy MK. An affinity-based genome walking method to find transgene integration loci in transgenic genome. Anal Biochem. 2011;416:196–201. doi: 10.1016/j.ab.2011.05.021. [DOI] [PubMed] [Google Scholar]
- Tonooka Y, Fujishima M. Comparison and critical evaluation of PCR-mediated methods to walk along the sequence of genomic DNA. Appl Microbiol Biotechnol. 2009;85:37–43. doi: 10.1007/s00253-009-2211-5. [DOI] [PubMed] [Google Scholar]
- Triglia T, Peterson MG, Kemp DJ. A procedure for in vitro amplification of DNA segments that lie outside the boundaries of known sequences. Nucleic Acids Res. 1988;16:8186–8186. doi: 10.1093/nar/16.16.8186. [DOI] [PMC free article] [PubMed] [Google Scholar]
- Trinh Q, Zhu PY, Shi H, Xu WT, Hao JR, Luo YB, Huang KL. A-T linker adapter polymerase chain reaction for determining flanking sequences by rescuing inverse PCR or thermal asymmetric interlaced PCR products. Anal Biochem. 2014;466:24–26. doi: 10.1016/j.ab.2014.07.022. [DOI] [PubMed] [Google Scholar]
- Tsaftaris A, Pasentzis K, Argiriou A. Rolling circle amplification of genomic templates for inverse PCR (RCA-GIP): a method for 5’- and 3’-genome walking without anchoring. Biotechnol Lett. 2010;32:157–161. doi: 10.1007/s10529-009-0128-9. [DOI] [PubMed] [Google Scholar]
- Tsuchiya T, Kameya N, Nakamura I. Straight walk: A modified method of ligation-mediated genome walking for plant species with large genomes. Anal Biochem. 2009;388:158–160. doi: 10.1016/j.ab.2009.02.002. [DOI] [PubMed] [Google Scholar]
- Uchiyama T, Watanabe K. Improved inverse PCR scheme for metagenome walking. Biotechniques. 2006;41:183–188. doi: 10.2144/000112210. [DOI] [PubMed] [Google Scholar]
- Wang S, He J, Cui ZL, Li S. Self-formed adaptor PCR: a simple and efficient method for chromosome walking. Appl Environ Microbiol. 2007;73:5048–5051. doi: 10.1128/AEM.02973-06. [DOI] [PMC free article] [PubMed] [Google Scholar]
- Wang HL, Yao T, Cai M, Xiao XQ, Ding XZ, Xia LQ. A genome walking strategy for the identification of nucleotide sequences adjacent to known regions. Biotechnol Lett. 2013;35:279–284. doi: 10.1007/s10529-012-1076-3. [DOI] [PubMed] [Google Scholar]
- Wang J, Bi X, Chen W, Zhao Q, Yang J, Tong X, Zhao M. Identification of the insertion site of transgenic DNA based on cyclization of the target gene with the flanking sequence and nested inverse PCR. Talanta Open. 2021;3:100033. doi: 10.1016/j.talo.2021.100033. [DOI] [Google Scholar]
- Wang L, Jia M, Li Z, Liu X, Sun T, Pei J, Wei C, Lin Z, Li H. Wristwatch PCR: a versatile and efficient genome walking strategy. Front Bioeng Biotechnol. 2022;10:792848. doi: 10.3389/fbioe.2022.792848. [DOI] [PMC free article] [PubMed] [Google Scholar]
- Zhang H, Xu W, Feng Z, Hong Z (2018) A low degenerate primer pool improved the efficiency of high-efficiency thermal asymmetric interlaced PCR to amplify T-DNA flanking sequences in Arabidopsis thaliana. 3 Biotech. 10.1007/s13205-017-1032-y [DOI] [PMC free article] [PubMed]
- Zhou ZW, Ma HY, Qu LJ, Xie F, Ma QW, Ren ZR. Establishment of an improved high-efficiency thermal asymmetric interlaced PCR for identification of genomic integration sites mediated by phiC31 integrase. World J Microbiol Biotechnol. 2012;28:1295–1299. doi: 10.1007/s11274-011-0877-1. [DOI] [PubMed] [Google Scholar]
Associated Data
This section collects any data citations, data availability statements, or supplementary materials included in this article.
Supplementary Materials
Supplementary Material 1: Figure S1. Alignment of confirmatory sequencing data and locations of primers used to probe upstream of gadA. Figure S2. Alignment of confirmatory sequencing data and locations of primers used to probe upstream of hyg. Figure S3. Alignment of confirmatory sequencing data and locations of primers used to probe downstream of hyg.
Data Availability Statement
The datasets supporting the conclusions of this article are included within the
article.
