Abstract
Introduction and importance
Acute appendicitis associated with ovarian epidermoid cyst torsion is extremely rare. To our knowledge, there are about 7 cases that have been reported in English literature, and there was no epidermoid cyst in any of them.
Case presentation
Herein, we present the case of a 2.5-year-old girl with a history of vomiting, fever, and abdominal pain. She was prepared for the operation following the clinical and radiological assessment. At laparotomy, appendicitis and left ovarian lesion torsion were found. An appendectomy and salpingo-oophorectomy were performed with no complications occurring during surgery or the follow-up period. The results of the histology analysis showed that the appendix was inflamed and that there was an epidermoid cyst with a wide infarction.
Clinical discussion
Epidermoid cysts of the ovary are uncommon and often discovered by accident, and histological investigation is required for a definitive diagnosis. In our case, the signs and symptoms before surgery suggested appendicitis. Acute appendicitis in young children is also uncommon. Ovarian lesion torsion associated with acute appendicitis is extremely rare. The treatment is surgery and often requires appendectomy and salpingo-oopherectomy as in our case.
Conclusion
Such cases should be considered in the differential diagnosis of abdominal pain at any age, and early diagnosis and surgery are always required.
Keywords: Appendicitis, Epidermoid, Ovarian torsion
Highlights
-
•
Ovarian epidermoid cyst torsion and acute appendicitis rarely occur together.
-
•
A 2.5-year-old girl was presented with an acute abdomen.
-
•
A torsion of an ovarian cyst and an inflamed appendix were found by laparotomy.
-
•
A histological examination is required for a definitive diagnosis of an epidermoid cyst.
1. Introduction
Appendicitis is the most frequent surgical abdominal emergency in children, but it rarely occurs in those under 3 years old [1]. Early diagnosis and surgical intervention can reduce the morbidity and mortality rates related to complicated appendicitis [2].
Ovarian epidermoid cysts are extremely rare benign tumors that are lined by mature, stratified, squamous epithelium and contain flakes of keratin in their interior [3].
Ovarian lesion torsion concomitant with acute appendicitis is extremely rare and an indication for surgery [4]. Patients with both apendicitis and ovarian lesion torsion are at risk of sepsis and increased mortality rates, so early diagnosis and management are required. This article discusses the relation between two rare diseases and the importance of early diagnosis in order to avoid ovarian excision. The surgery was performed at Tishreen University Hospital by a pediatric surgeon(specialist). This work has been reported in line with the SCARE criteria [5].
2. Case presentation
A 2.5-year-old girl presented to the emergency room complaining of 6 days of abdomen pain, fever (39 °C), and recurrent vomiting. An abdominal exam revealed lower abdominal pain and palpable muscle guarding. There was no significant medical or surgical history. The white cell count was 11 × 109/l, C-reactive protein 60 mg/l, and hemoglobin 8 g/dl. The other tests were normal. Ultrasonography of the pelvis and the abdomen revealed a cystic lesion in the right iliac fossa, filled with fluid and measuring 7.5 × 5.5 × 6 cm with a cystic wall measuring 1 cm (Fig. 1).
Fig. 1.

Ultrasound scan of the pelvis shows a cystic structure measuring 7.5 × 5.5 × 6 cm.
During a laparotomy examination, a twisted ovarian cyst (Fig. 2) and an inflamed appendix were found. The patient underwent appendectomy and left salpingo-oophorectomy. She was discharged 3 days after surgery with no problems during surgery or the follow-up period. The microscope investigation revealed an epidermoid cyst, which was coated in squamous epithelium that contained keratin and showed no signs of malignancy (Fig. 3).
Fig. 2.

Appearance of the ovarian lesion during surgery.
Fig. 3.

Microscopic examination shows squamous epithelium that contains keratin and hemorrhage.
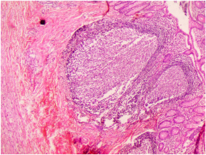
Additionally, the appendix showed signs of inflammation (Fig. 4).
Fig. 4.

Microscopic appearance of infiltrated neutrophils in the appendix.
3. Discussion
Adnexal torsion is a surgical emergency that is more common in women of reproductive age but can occur at any age [6]. Torsion is most frequently in ovaries with masses, such as functional cysts and neoplasms. Torsion is often more common on the right side. This could be due to either the sigmoid colon on the left restricting movement or a hypermobile cecum on the right that allows for increased mobility [7]. In our case, the cause of the torsion was a large epidermoid cyst of the left ovary extending to the right side near the appendix.
Epidermoid cysts of the ovary are extremely rare, with only about 40 cases described in the English literature. They account for less than 1 % of gonadal tumors, and their origin is unknown [8]. The absence of hair follicles and sebaceous glands distinguishes them from mature cystic teratomas of the ovary [3]. These cysts are often discovered by accident, and histological investigation is required for a definitive diagnosis [9].
In our case, the signs and symptoms before surgery suggested appendicitis, but an ultrasound scan revealed a cyst lesion in the right iliac fossa and the cyst was diagnosed by histopathology.
Acute appendicitis in young children is uncommon, and prediagnosis is challenging [1]. The patient in our case was 2.5 years old, and a few cases of appendicitis at this age have been reported in the medical literature [1], [2].
Ovarian lesion torsion associated with acute appendicitis is extremely rare. To our knowledge, about 7 cases have been described in English literature, and none of them had an epidermoid cyst [4].The treatment is surgery and often requires appendectomy and salpingo-oopherectomy [4], as in our case.
4. Conclusion
Despite the rarity of appendicitis in young children, as well as appendicitis associated with torsion of ovarian lesions such as an epidermoid cyst, it should be included in the differential diagnosis of abdominal pain at any age. Early diagnosis and surgery are always required.
Funding
None.
Ethical approval
Not applicable.
Consent for publication
Written informed consent was obtained from the patient for publication of this case report and accompanying images. A copy of the written consent is available for review by the Editor-in-Chief of this journal on request.
Research registration
None.
Guarantor
Gulan Maree
Provenance and peer review
Not commissioned, externally peer-reviewed.
CRediT authorship contribution statement
Gulan Maree contributed to the management of this case, acquisition and analysis of data, drafting of the case report.
Ferhad Hemi contributed to management of this case.
Alaa Ghuzlan contributed to the management of this case.
Hanna kassab contributed to management of this case.
Rana issa contributed to the diagnosis of this case.
Ammar Omran contributed to the management of this case.
All authors approved the final article to be submitted.
Declaration of competing interest
Authors declare that they have no competing interests.
References
- 1.Alloo J., Gerstle T., Shilyansky J., Ein S.H. Appendicitis in children less than 3 years of age: a 28-year review. Pediatr. Surg. Int. 2004 Jan;19(12):777–779. doi: 10.1007/s00383-002-0775-6. Epub 2004 Jan 16 PMID: 14730382. [DOI] [PubMed] [Google Scholar]
- 2.Almaramhy Hamdi Hameed. Acute appendicitis in young children less than 5 years: review article. Ital. J. Pediatr. 2017;43(1):15. doi: 10.1186/s13052-017-0335-2. [DOI] [PMC free article] [PubMed] [Google Scholar]
- 3.Sharma N. A rare case of a giant epidermoid cyst of the ovary. J. Clin. Diagn. Res. 2012 doi: 10.7860/jcdr/2012/4374.2571. [DOI] [PMC free article] [PubMed] [Google Scholar]
- 4.Hoey B.A., Stawicki S.P., Hoff W.S., Veeramasuneni R.K., Kovich H., Grossman M.D. Ovarian torsion associated with appendicitis in a 5-year-old girl: a case report and review of the literature. J. Pediatr. Surg. 2005 Sep;40(9):e17–e20. doi: 10.1016/j.jpedsurg.2005.05.068. PMID: 16150327. [DOI] [PubMed] [Google Scholar]
- 5.Agha R.A., Franchi T., Sohrabi C., Mathew G., for the SCARE Group The SCARE 2020 guideline: updating consensus Surgical CAse REport (SCARE) guidelines. Int. J. Surg. 2020;84:226–230. doi: 10.1016/j.ijsu.2020.10.034. [DOI] [PubMed] [Google Scholar]
- 6.Childress K.J., Dietrich J.E. Pediatric ovarian torsion. Surg. Clin. North Am. 2017 Feb;97(1):209–221. doi: 10.1016/j.suc.2016.08.008. PMID: 27894428. [DOI] [PubMed] [Google Scholar]
- 7.Poonai N., Poonai C., Lim R., Lynch T. Pediatric ovarian torsion: case series and review of the literature. Can. J. Surg. 2013 Apr;56(2):103–108. doi: 10.1503/cjs.013311. PMID: 23351494; PMCID: PMC3617114. [DOI] [PMC free article] [PubMed] [Google Scholar]
- 8.Morgan Guilherme José, Bes Taniela Marli, Severo Ingrid Berger, Bicca Eduardo de Barros Coelho, Jannke Heitor Alberto. Intratesticular and intraovarian epidermoid inclusion cysts: report of two cases. Jornal Brasileiro de Patologia e Medicina Laboratorial. 49(2) 2013. pp. 130–133. [DOI] [Google Scholar]
- 9.Idress R., Ahmad Z., Minhas K., Kayani N. Epidermoid cyst of the ovary. J. Pak. Med. Assoc. 2007 May;57(5):263–264. PMID: 17571487. [PubMed] [Google Scholar]
