Abstract
Primary thyroid lymphoma is a rare malignancy, accounting for 1–2% of extra-nodal lymphomas and 1–5% of thyroid malignancies. Diffuse large B-cell lymphoma is the most common type of primary thyroid lymphoma. It usually presents with a rapidly enlarging neck mass with cervical lymphadenopathy. Though rare, early diagnosis of this condition is important because its management is quite different from the treatment of other thyroid neoplasms. It is usually treated by chemotherapy with or without radiotherapy. We present the case of a 43 years old male who presented with thyroid swelling which on histopathology and subsequent immunohistochemistry was confirmed as diffuse large B-cell lymphoma of the thyroid.
Keywords: Primary thyroid lymphoma, Non-hodgkin’s lymphoma, Diffuse large B-cell lymphoma, Hashimoto’s thyroiditis
Introduction
Primary thyroid lymphoma (PTL) is a rare tumor and accounts for 1–5% of thyroid malignancies and 1–2% of extra nodal lymphomas [1]. PTL is more common in elderly women, with a female: male ratio of 4:1. Patients usually present in the 6th to 7th decade of life with an enlarging neck mass with cervical lymphadenopathy [2, 3]. Preexisting Hashimoto’s thyroiditis is a well-recognized risk factor predisposing to the development of PTL [4]. Most primary thyroid lymphomas are B cell non-Hodgkin’s lymphoma and usually treated by combination of chemotherapy and radiotherapy.
Case Report
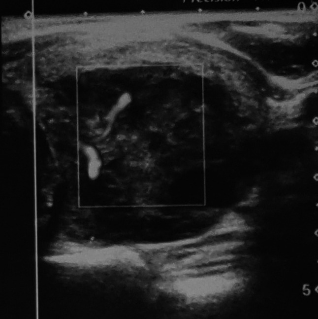
A 43 years old man presented to ENT outpatient department with a history of anterior neck swelling for 2 weeks. There was no history of exposure to neck radiation. Other medical and family history was not significant. On examination, there was enlarged left lobe of the thyroid gland. Thyroid function tests were within normal limits. Ultrasonography (USG) of neck showed hyperechoic lesion in left lobe of thyroid (42 × 35 mm) with increased vascularity, suggestive of malignant lesion (Fig. 1). Patient was advised for USG guided fine needle aspiration cytology (FNAC) from thyroid swelling. FNA smear showed atypical lymphoid cells with high N:C ratio, irregular nuclear membrane, prominent nucleoli and scant amount of cytoplasm suggestive of Non-Hodgkin’s lymphoma in a background of Hashimoto’s thyroiditis (Fig. 2). Biopsy and immunohistochemistry were advised for confirmation and typing. Patient underwent left hemithyroidectomy and specimen was sent for histopathological examination. Microscopic pictures showed diffuse infiltration by monotonous population of atypical lymphoid cells in focal area (Fig. 3). Individual tumor cells were small to intermediate size, round shaped with scant to moderate amount of cytoplasm and round to oval hyperchromatic nuclei with coarse chromatin pattern and prominent nucleoli. Focal areas of necrosis and hemorrhage were noted. Surrounding thyroid parenchyma showed features of Hashimoto’s thyroiditis. Histopathological diagnosis of Non-Hodgkin’s lymphoma in the background of Hashimoto thyroiditis was given. On immunohistochemistry (IHC), the tumor cells were positive for CD20, CD 45, BCL 2 and PAX 5. Final diagnosis of diffuse large B-cell lymphoma (DLBCL) was made based on these findings. Imaging of chest, abdomen and pelvis and bone marrow aspiration was done to exclude other neoplastic foci. According to the Ann Arbor guidelines for primary thyroid lymphoma, the patient had stage IE disease at diagnosis (Confined to the thyroid gland only). Patient underwent 6 cycles of chemotherapy with R-CHOP (rituximab- cyclophosphamide-doxorubicin-vincristine-prednisone). Patient is now on regular follow up and disease free.
Fig. 1.

Ultrasound scan of left thyroid showing hyperechoic lesion with increased vascularity
Fig. 2.

FNA Smear showing atypical lymphoid cells (Giemsa stain, ×400)
Fig. 3.

Diffuse infiltration by large atypical lymphoid cells in focal area (H & E stain, ×400)
Discussion
Primary thyroid lymphoma (PTL) is defined as a lymphoma that arises from the thyroid gland without contiguous spread or distant metastases from other areas of involvement at diagnosis [1]. PTLs are classified based on pathological subtypes. They are almost exclusively of the non-Hodgkin’s, B-cell type. The two most common subtypes are diffuse large B-cell lymphoma, which accounts for more than 50- 70% of cases, followed by mucosa-associated lymphoid tissue (MALT) lymphoma, which represents about 10–50% of cases [5].
PTLs usually present with an enlarging neck mass with cervical lymphadenopathy. A rapidly enlarging neck mass is the most common clinical presentation. Compressive symptoms such as dyspnea, dysphagia, stridor, and hoarseness are present in up to one-third of patients [1]. B-symptoms such as weight loss, fever, and night sweats are less common, occurring in up to 10% of patients [1]. Physical examination reveals unilateral or bilateral neck mass, which is hard in consistency with a smooth surface [6]. Patients with known Hashimoto’s thyroiditis being treated with levothyroxine are usually euthyroid, whereas untreated patients are likely to be hypothyroid [7]. Circulating antibodies to thyroid peroxidase are positive in up to 60% of patients [8]. Preexisting Hashimoto’s thyroiditis is a well-recognized risk factor predisposing to the development of PTL, with a relative risk of 67 compared to those without thyroiditis [4].
Ultrasonography is the initial diagnostic modality used in the evaluation of thyroid swellings. Based upon ultrasonographic findings of internal echoes, borders, and posterior echoes, PTLs can be classified as nodular, diffuse, or mixed [9]. Fine-needle aspiration (FNA) has become an essential tool in the management of thyroid diseases despite having inconsistent results in the diagnosis of PTL. With recent advances in immunophenotypic analysis, the accuracy of FNA has improved to 80–100% [10–12]. Core-needle or surgical biopsies are not done routinely these days; however, they still have a role to make a definitive diagnosis. Open biopsy helps in assessment of tumor and surrounding tissues for histology and immunohistochemistry. Computerized tomographic (CT) scans of the head, neck, chest, abdomen, and pelvis should be done for staging of the tumor. Staging is based on the Ann Arbor system [13]. Differential diagnosis of PTL includes Hashimoto’s thyroiditis and poorly differentiated, undifferentiated or anaplastic thyroid carcinomas. Immunohistochemistry and flow cytometry can differentiate PTL from anaplastic thyroid carcinoma.
Treatment of PTL depends upon the histology and stage of the tumor at diagnosis. Primary thyroid lymphomas respond well to chemotherapy and radiation. Surgery has a limited role in the management of PTL. Chemotherapy, with or without radiotherapy is the current treatment of choice. The chemotherapeutic regimen consists of cyclophosphamide, doxorubicin, vincristine and prednisone (CHOP). Radiation therapy is usually given after 3–6 cycles of chemotherapy [14, 15]. Combined chemo-radiation therapy has shown superior results to chemotherapy alone. Addition of rituximab for CD20 positive DLBCL in combination with CHOP chemotherapy increases disease-free survival and life expectancy [16]. The prognosis of patients depends on the stage of disease at presentation and histological grade of the tumor. With current treatment options, the overall prognosis of PTL is good, with median all-cause survival of 11.6 years, and a five- and ten-year survival of 75% and 59% [17].
Conclusion
Primary thyroid lymphoma is a rare cause of thyroid malignancy. It commonly presents with a rapidly enlarging neck mass especially in peoples with Hashimoto’s thyroiditis. Advances in diagnosis and treatment in recent years have altered the management of this disease. Chemotherapy, with or without radiotherapy is the current treatment of choice.
Compliance with Ethical Standards
Conflict of interest
The authors declare that they have no conflict of interests.
Human and Animals Rights
This article does not contain any studies with human participants performed by any of the authors.
Informed Consent
Written informed consent was obtained from the patient for the publication of this case report.
Footnotes
Publisher's Note
Springer Nature remains neutral with regard to jurisdictional claims in published maps and institutional affiliations.
References
- 1.Stephanie S, Leonard W. Primary thyroid lymphoma: a clinical review. J Clin Endocrinol Metabol. 2013;98(8):3131–3138. doi: 10.1210/jc.2013-1428. [DOI] [PubMed] [Google Scholar]
- 2.Ha CS, Shadle KM, Medeiros LJ, et al. Localized non-hodgkin lymphoma involving the thyroid gland. Cancer. 2001;91(4):629–635. doi: 10.1002/1097-0142(20010215)91:4<629::AID-CNCR1045>3.0.CO;2-Q. [DOI] [PubMed] [Google Scholar]
- 3.Ruggiero FP, Frauenhoffer E, Stack BC., Jr Thyroid lymphoma: a single institution’s experience. Otolaryngol Head Neck Surg. 2005;133(6):888–896. doi: 10.1016/j.otohns.2005.07.040. [DOI] [PubMed] [Google Scholar]
- 4.Holm LE, Blomgren H, Lowhagen T. Cancer risks in patients with chronic lymphocytic thyroiditis. N Engl J Med. 1985;312(10):601–604. doi: 10.1056/NEJM198503073121001. [DOI] [PubMed] [Google Scholar]
- 5.Watanabe N, Narimatsu H, Noh JY, et al. Long-term outcomes of 107 cases of primary thyroid mucosa-associated lymphoid tissue lymphoma at a single medical institution in Japan. J Clin Endocrinol Metab. 2018;103:732–739. doi: 10.1210/jc.2017-01478. [DOI] [PubMed] [Google Scholar]
- 6.Alzouebi M, Goepel JR, Horsman JM, Hancock BW. Primary thyroid lymphoma: the 40-year experience of a UK lymphoma treatment centre. Int J Oncol. 2012;40(6):2075–2080. doi: 10.3892/ijo.2012.1387. [DOI] [PubMed] [Google Scholar]
- 7.Saxena A, Alport EC, Moshynska O, Kanthan R, Boctor MA. Clonal B cell populations in a minority of patients with hashimoto’s thyroiditis. J Clin Pathol. 2004;57(12):1258–1263. doi: 10.1136/jcp.2004.018416. [DOI] [PMC free article] [PubMed] [Google Scholar]
- 8.Gupta N, Nijhawan R, Srinivasan R, et al. Fine needle aspiration cytology of primary thyroid lymphoma: a report of ten cases. Cytojournal. 2005;2:21. doi: 10.1186/1742-6413-2-21. [DOI] [PMC free article] [PubMed] [Google Scholar]
- 9.Ota H, Ito Y, Matsuzuka F, et al. Usefulness of ultrasonography for diagnosis of malignant lymphoma of the thyroid. Thyroid. 2006;16:983–987. doi: 10.1089/thy.2006.16.983. [DOI] [PubMed] [Google Scholar]
- 10.Young NA, Al-Saleem TI, Ehya H, Smith MR. Utilization of fineneedle aspiration cytology and flow cytometry in the diagnosis and subclassification of primary and recurrent lymphoma. Cancer. 1998;84:252–261. doi: 10.1002/(SICI)1097-0142(19980825)84:4<252::AID-CNCR11>3.0.CO;2-R. [DOI] [PubMed] [Google Scholar]
- 11.Jeffers MD, Milton J, Herriot R, McKean M. Fine needle aspiration cytology in the investigation on non-hodgkin’s lymphoma. J Clin Pathol. 1998;51:189–196. doi: 10.1136/jcp.51.3.189. [DOI] [PMC free article] [PubMed] [Google Scholar]
- 12.Sneige N, Dekmezian R, El-Naggar A, Manning J. Cytomorphologic, immunocytochemical, and nucleic acid flow cytometric study of 50 lymph nodes by fine-needle aspiration. comparison with results obtained by subsequent excisional biopsy. Cancer. 1991;67:1003–1007. doi: 10.1002/1097-0142(19910215)67:4<1003::AID-CNCR2820670424>3.0.CO;2-W. [DOI] [PubMed] [Google Scholar]
- 13.Carbone PP, Kaplan HS, Musshoff K, Smithers DW, Tubiana M. Report of the committee on hodgkin’s disease staging classification. Cancer Res. 1971;31:1860–1861. [PubMed] [Google Scholar]
- 14.Friedberg MH, Coburn MC, Monchik JM. Role of surgery in stage IE non-hodgkin’s lymphoma of the thyroid. Surgery. 1994;116(6):1061–1066. [PubMed] [Google Scholar]
- 15.Malek SN, Hatfield AJ, Flinn IW. MALT lymphomas. Curr Treat Options Oncol. 2003;4(4):269–279. doi: 10.1007/s11864-003-0002-2. [DOI] [PubMed] [Google Scholar]
- 16.Jonak C, Troch M, Mullauer L, Niederle B, Hoffmann M, Raderer M. Rituximab plus dose-reduced cyclophosphamide, mitoxantrone, vincristine, and prednisolone are effective in elderly patients with diffuse large B-cell lymphoma of the thyroid. Thyroid. 2010;20(4):425–427. doi: 10.1089/thy.2009.0440. [DOI] [PubMed] [Google Scholar]
- 17.Vardell Noble V, Ermann DA, Griffin EK, Silberstein PT. Primary thyroid lymphoma: an analysis of the national cancer database. Cureus. 2019;11(2):e4088. doi: 10.7759/cureus.4088. [DOI] [PMC free article] [PubMed] [Google Scholar]
