History
A 23-year-old woman presented for a purplish plaque located on the right shoulder and some nodules on the homolateral arm. She said that the first lesion had appeared at approximately 3 years of age, while the nodules had gradually appeared during childhood, with a proximodistal progression. The lesions were occasionally painful, in particular, the patient reported episodes of sharp arm pain at night.
On examination, the shoulder lesion was an indurated plaque of irregular shape (Fig 1). On the arm, multiple small (0.5-0.8 cm) nodules, bluish-purple in color were arranged in a linear pattern following Blaschko’s line (Fig 2).
Fig 1.
Fig 2.
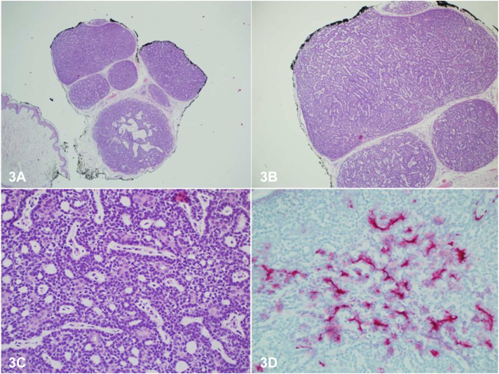
Two punch biopsies were obtained. Hematoxylin-eosin staining (Fig 3, A-C) and immunohistochemistry for carcinoembryonic antigen were performed (Fig 3, D).
Fig 3.
Question 1: Given the history and images, what is the most likely diagnosis?
-
A.
Angioma serpiginosum
-
B.
Sporotrichosis
-
C.
Linear scleroderma
-
D.
Eccrine spiradenoma
-
E.
Venous malformation
Answers:
-
A.
Angioma serpiginosum – Incorrect. Although angioma serpiginosum commonly occurs in female children and can present a blaschkoid pattern, it is a vascular lesion that appears as small reddish dots.
-
B.
Sporotrichosis – Incorrect. Cutaneous sporotrichosis is a fungal infection characterized by red, pink, or purple bumps that appear along the course of lymphatic vessels. However, these lesions tend to enlarge over time and to ulcerate, so this diagnosis is not compatible with the stable nature of the described lesions.
-
C.
Linear scleroderma – Incorrect. Linear scleroderma is a subtype of morphea, whicht typically presents in children and generally appears as a single unilateral lesion, often affecting a limb. The affected areas are often indurated to the touch. Although clinically plausible, this diagnosis was excluded by histopathology.
-
D.
Eccrine spiradenoma – Correct. Eccrine spiradenoma is a rare benign tumor of eccrine sweat glands. It usually presents as a single tender nodule, typically on the neck and back. Eccrine spiradenomas typically appear in the second and third decade of life, and are more common in females.1 Multiple eccrine spiradenomas are rare and can be described as linear, zosteriform, nevoid, or blaschkoid in pattern.2 Histopathology demonstrates tumor lobules located in the subcutaneous tissue containing small cells with round hyperchromatic nuclei at the periphery of the lobules, and larger cells with vesicular nuclei and eosinophilic cytoplasm centrally.
-
E.
Venous malformation – Incorrect. Venous malformations can appear as bluish, palpable, and painful masses, and, while present at birth, they can become evident later in life. This diagnosis was excluded by histopathology.
Question 2: What genetic syndrome is associated to this manifestation?
-
A.
Neurofibromatosis type 1
-
B.
Birt-Hogg-Dubé syndrome
-
C.
Brooke-Spiegler syndrome
-
D.
Cowden syndrome
-
E.
Sturge-Weber syndrome
Answers:
-
A.
Neurofibromatosis type 1 – Incorrect. Neurofibromatosis type 1 is characterized by multiple café au lait macules, intertriginous freckling, and multiple cutaneous neurofibromas.
-
B.
Birt-Hogg-Dubé syndrome – Incorrect. Birt-Hogg-Dubé syndrome is characterized by multiple fibrofolliculomas, hamartomas of the hair follicle, mostly situated on the head and upper body.
-
C.
Brooke-Spiegler syndrome – Correct. Brooke-Spiegler syndrome is a rare autosomal dominant disorder characterized by the presence of various adnexal tumors including multiple cylindromas, trichoepitheliomas, and spiradenomas.3 In our case, due to the rarity of multiple eccrine spiradenomas and the unusual appearance in childhood, genetic testing for Brooke-Spiegler syndrome was performed, with a negative result.
-
D.
Cowden syndrome – Incorrect. Cowden syndrome is characterized by multiple hamartomas of the skin and mucosa.
-
E.
Sturge-Weber syndrome – Incorrect. Sturge-Weber syndrome is characterized by vascular malformations on the face and brain.
Question 3: What is the most appropriate treatment for this patient?
-
A.
Radiotherapy
-
B.
Surgical excision
-
C.
Chemotherapy
-
D.
Antibiotics
-
E.
No treatment
Answers:
-
A.
Radiotherapy – Incorrect. Radiotherapy has been proposed as a potential treatment; however, it is definitely not the treatment of choice in benign lesions.
-
B.
Surgical excision – Correct. Although rare, malignant transformation of eccrine spiradenoma has been described. The latency period before such transformation is extremely variable, ranging from 6 months to 70 years. Typical signs of transformation are rapid growth, erythema, tenderness, ulceration, and bleeding.4 For this reason, radical surgical excision is considered the gold standard for the treatment of eccrine spiradenoma, with low rates of recurrence.1
-
C.
Chemotherapy – Incorrect. Chemotherapy is not required in benign eccrine spiradenoma.
-
D.
Antibiotics – Incorrect. Bacteria are not involved in the pathogenesis of eccrine spiradenoma.
-
E.
No treatment – Incorrect. Eccrine spiradenoma is a benign tumor, but malignant transformation has been described, so complete excision is recommended.
Conflicts of interest
None disclosed.
Footnotes
Funding sources: None.
IRB approval status: Not applicable.
Statement of ethics: Consent for the publication of all patient photographs and medical information was provided by the authors at the time of article submission to the journal stating that all patients gave consent for their photographs and medical information to be published in print and online and with the understanding that this information may be publicly available.
References
- 1.Dhua S., Sekhar D.R. A rare case of eccrine spiradenoma-treatment and management. Eur J Plast Surg. 2016;39:143–146. doi: 10.1007/s00238-015-1103-4. [DOI] [PMC free article] [PubMed] [Google Scholar]
- 2.Yoshida A., Takahashi K., Maeda F., Akasaka T. Multiple vascular eccrine spiradenomas: a case report and published work review of multiple eccrine spiradenomas. J Dermatol. 2010;37(11):990–994. doi: 10.1111/j.1346-8138.2010.00925.x. [DOI] [PubMed] [Google Scholar]
- 3.Rathi M., Awasthi S., Budania S.K., Ahmad F., Dutta S., Kumar A. Brooke-spiegler syndrome: a rare entity. Case Rep Pathol. 2014;2014:231895. doi: 10.1155/2014/231895. [DOI] [PMC free article] [PubMed] [Google Scholar]
- 4.Andreoli M.T., Itani K.M. Malignant eccrine spiradenoma: a meta-analysis of reported cases. Am J Surg. 2011;201(5):695–699. doi: 10.1016/j.amjsurg.2010.04.015. [DOI] [PubMed] [Google Scholar]



