Abstract
Background
BSG (CD147) is a member of the immunoglobulin superfamily that shows roles for potential prognostics and therapeutics for metastatic cancers and SARS-CoV-2 invasion for COVID-19. The susceptibility of malignant cancers to SARS-CoV-2 as well as the correlations between disease outcome and BSG expression in tumor tissues have not been studied in depth.
Methods
In this study, we explored the BSG expression profile, survival correlation, DNA methylation, mutation, diagnostics, prognostics, and tumor-infiltrating lymphocytes (TILs) from different types of cancer tissues with corresponding healthy tissues. In vitro studies for cordycepin (CD), N6-(2-hydroxyethyl) adenosine (HEA), N6, N6-dimethyladenosine (m62A) and 5′-uridylic acid (UMP) on BSG expression were also conducted.
Results
We revealed that BSG is conserved among different species, and significantly upregulated in seven tumor types, including ACC, ESCA, KICH, LIHC, PAAD, SKCM and THYM, compared with matched normal tissues, highlighting the susceptibility of these cancer patients to SARS-CoV-2 invasion, COVID-19 severity and progression of malignant cancers. High expression in BSG was significantly correlated with a short OS in LGG, LIHC and OV patients, but a long OS in KIRP patients. Methylation statuses in the BSG promoter were significantly higher in BRCA, HNSC, KIRC, KIRP, LUSC, PAAD, and PRAD tumor tissues, but lower in READ. Four CpGs in the BSG genome were identified as potential DNA methylation biomarkers which could be used to predict malignant cancers from normal individuals. Furthermore, a total of 65 mutation types were found, in which SARC showed the highest mutation frequency (7.84%) and THYM the lowest (0.2%). Surprisingly, both for disease-free and progression-free survival in pan-cancers were significantly reduced after BSG mutations. Additionally, a correlation between BSG expression and immune lymphocytes of CD56bright natural killer cell, CD56dim natural killer cell and monocytes, MHC molecules of HLA-A, HLA-B, HLA-C and TAPBP, immunoinhibitor of PVR, PVRL2, and immunostimulators of TNFRSF14, TNFRSF18, TNFRSF25, and TNFSF9, was revealed in most cancer types. Moreover, BSG expression was downregulated by CD, HEA, m62A or UMP in cancer cell lines, suggesting therapeutic potentials for interfering entry of SARS-CoV-2.
Conclusions
Altogether, our study highlights the values of targeting BSG for diagnostic, prognostic and therapeutic strategies to fight malignant cancers and COVID-19. Small molecules CD, HEA, m62A and UMP imply therapeutic potentials in interfering with entry of SARS-CoV-2 and progression of malignant cancers.
Supplementary Information
The online version contains supplementary material available at 10.1007/s11033-022-08231-1.
Keywords: The BSG gene, COVID-19, Susceptibility, Malignant cancers, Cordycepin (CD), N6, N6-dimethyladenosine (m62a), N6-(2-hydroxyethyl) adenosine (HEA), 5′-uridylic acid (UMP)
Introduction
BSG (basigin, OMIM: 109480), also known as CD147 or EMMPRIN, is cytogenetically located at 19p13.3 by fluorescence in situ hybridization [1] and encodes 385 amino acids in length with a predicted molecular weight of 42,200 Da. As a plasma membrane protein from the immunoglobulin (Ig) superfamily, BSG is important not only in spermatogenesis [2], embryo implantation [3, 4], and neural network formation [5], but also tumor progression and invasion [4].
Multiple studies have shown that BSG is a potential prognostic and therapeutic target for different metastatic cancer patients, including non-small cell lung cancer, prostate cancer, gastrointestinal cancer, hepatocellular carcinoma, and osteosarcoma [6–8]. BSG expression on the surface of cycling thymocytes has been found to correlate with immature thymocyte cycling, and ligation of BSG on these cells inhibited their development into mature T cells [9]. In melanoma and lung cancer, BSG regulated antitumor CD8 + T-cell responses by increasing its expression on CD8 + tumor-infiltrating lymphocytes (TILs), thereby facilitating tumor-immune escape [10].
Moreover, BSG was initially identified as a receptor for both extracellular cyclophilin A (CYPA, OMIM: 123840) [11] and cyclophilin B (CYPB, OMIM: 123841) [12]. BSG was found to enhance HIV-1 (human immunodeficiency virus-1) entry via interaction with CYPA incorporated into virions [11], and anti-CD147/BSG antibodies inhibited HIV-1 infection. However, viruses whose replication do not require CYPA were resistant to the inhibitory effect of antibody to CD147/BSG. Thus, HIV-1 infection is dependent on an interaction between CyPA and BSG on target cells. Additionally, CyPA interacted with BSG and partook in target cell invasion by severe acute respiratory syndrome coronavirus (SARS-CoV) through its nucleocapsid protein binding [13].
The pandemic of coronavirus disease 2019 (COVID-19) was caused by SARS-CoV-2 invasion [14, 15]. As of 16th September 2022, there were 611,156,449 cases diagnosed of COVID-19 and the confirmed deaths were 6,524,248 worldwide (https://coronavirus.jhu.edu/), with 222 affected countries and territories (https://coronavirus.jhu.edu/map.html). Besides in HIV-1, hepatitis B virus, hepatitis C virus, Kaposi’s sarcoma-associated herpesvirus, and SARS-CoV, BSG is also reported as a receptor for SARS-CoV-2 entry [16, 17], highlighting a potential target for COVID-19 treatment [18]. Interestingly, an in silico study indicated that SARS-CoV-2 can bind to CD147 with a higher affinity (~ 5.6 kcal/mol) than SARS-CoV (~ 4.5 kcal/mol) [19]. BSG was involved in SARS-CoV-2 invasion in immune cells that do not express ACE2 [20], proposing a novel entry route [17]. The BSG/CyPA complex in the pathogenesis of SARS-CoV-2 infection has been questioned [21], while the CD147/Arf6 axis has been reported to mediate SARS-CoV-2 pseudovirus invasion into the cells [22]. Silencing of BSG reduced viral entry into pulmonary cells either directly or indirectly via the reduction of ACE2 expression levels [16]. Nevertheless, anti-CD147/BSG antibody specifically and effectively inhibited SARS-CoV-2 invasion and cytokine storm which is independent on virus variants [23], demonstrating that BSG plays an important role in SARS-CoV-2 infections into host cells. In addition, COVID-19 mediated by BSG can affect male and female fertility [24].
However, the impact of the BSG gene expression in SARS-CoV-2 infected malignant cancers is still unclear. It is essential to foresee the susceptibility of tumor patients for COVID-19 viral invasion and the disease outcomes by estimating BSG expression in different types of cancer tissues. It is also not clear whether CD (cordycepin), HEA (N6-(2-hydroxyethyl) adenosine), UMP (5'-uridylic acid) or m62A (N6, N6-dimethyladenosine) regulate BSG expression. In this study, the BSG expression profile, survival correlation, DNA methylation, mutation, prognostics, diagnostics, and levels of tumor-infiltrating lymphocytes (TILs) in different types of cancer tissues and corresponding healthy tissues, were explored. In vitro studies for CD, HEA, UMP and m62A in BSG expression were also conducted.
Materials and methods
Online databases for BSG analysis
BSG homologs of humans (NP_001719.2, NM_001728.4, GenBank, Ensembl ID: ENSG00000172270) and others species were analyzed in the NCBI as previously described [25–27]. The BSG gene and protein expressions in healthy and tumor tissues were evaluated using the HPA (https://www.proteinatlas.org/ENSG00000172270-BSG) [28, 29], Genotype-Tissue Expression (GTEx) and The Cancer Genome Atlas (TCGA) databases through GEPIA 2 analysis (http://gepia2.cancer-pku.cn/#analysis) [30]. GEPIA 2 was also applied to compare the expressions, survival, isoform utilization/distribution, structure and domains (http://119.3.41.228/dnmivd/query_gene/?cancer=pancancer&gene=BSG) [31]. ROC (receiver operating characteristic) curve for logistic regression model was constructed (http://119.3.41.228/dnmivd/diagnosis), and features importance score was calculated by xgboost algorithm [32]. Gene mutation modules for BSG were performed in TIMER2.0 (http://timer.comp-genomics.org/), as well as cBioPortal for cancer genomics (https://www.cbioportal.org/results/cancerTypesSummary?case_set_id=all&gene_list=BSG&cancer_study_list=5c8a7d55e4b046111fee2296) [33]. GEPIA 2, DNMIVD and cBioPortal were used to conduct survival analysis of BSG expression in multiple cancers. TISIDB database was used to evaluate the correlation of BSG expression with tumor–immune system in pan-cancers (http://cis.hku.hk/TISIDB/browse.php?gene=BSG).
Assays of immunohistochemistry (IHC)
Assays of formalin-fixed, paraffin-embedded tissue sections for lung and breast cancers from Chinese patients were used for immunohistochemistry (IHC) [29]. In detail, the invasive breast cancer patient was a 71-year-old woman with TMN classification I (T1N0M0) and grade 3, whereas the lung adenocarcinoma (LUAD) patient was a 48-year-old woman with TMN classification IB (T2N0M0) and moderately to highly differentiations. In addition, the breast cancer patient was negative for progesterone receptor (PR), human epidermal growth factor receptor 2 (HER-2), and estrogen receptor (ER). The BSG/CD147 antibody for IHC and western blotting was purchased from SCBT—Santa Cruz Biotechnology (Catalog No. sc-21746, USA).
Cell lines and cell culture
The prostate cancer cell lines for PC3, lung cancer cell lines for H460 and liver cancer cell lines for HepG2 were obtained from ATCC. These cells were cultured in DMEM or RPMI 1640 supplemented with 10% serum and 1% penicillin–streptomycin (Gibco; Thermo Fisher Scientific, Inc.) in a 12-well plate. Cordycepin (CD) (cat #: A0682) was purchased from Must Bio-Technology Co. Ltd (Chengdu, Sichuan, P. R. China). N6-(2-hydroxyethyl) adenosine (HEA) and N6, N6-dimethyladenosine (m62A) (cas #: 2620-62-4) were purchased from BOC Sciences (Shirley, NY, USA). Uridine-5′-monophosphate (UMP, CAS #: 58-97-9) was purchased from Aladdin Biochemical Technology company (Shanghai, China). The cultured cells were treated with CD, m62A, HEA, and UMP, then whole cell lysate or total RNA was extracted for below western blot or semi-quantitative RT-PCR.
Western blot and semi-quantitative RT-PCR analysis
Western blot to investigate BSG protein levels was performed with or without CD, HEA or m62A treatments (0, 10 µM, 20 Mm, 40 µM) for 24 h [34]. Recombinant anti-BSG/CD147 antibody with rabbit monoclonal (Cat: 10186-R125) was purchased from Sino Biological, Inc., China. This antibody could recognize BSG/CD147 isoform 1. HSP70/90 antibody (Sigma-Aldrich, catalog no. T0198) or β-actin antibody were used as an internal control. The dilution of the antibody was 1:2000, while HSP70/90/β-actin antibodies were 1:5000. Semi-quantitative RT-PCR assays were also conducted using the above treated cell lines. RT-PCR primers for BSG were as follows: RT-CD147-5: 5′-gccagaaaacggagttcaag-3′, RT-CD147-3: 5′-ggccttgtcctcagagtcag–3′. The PCR product size was 242 bp. RT-PCR primers for BSG is mainly for isoform 1. ACTB served as an internal control. All experiments were repeated three times.
Cycloheximide (CHX) chase assay
H460 cells were used for the treatment of cycloheximide (CHX), as the indicated time with or without m62A treatment (for at least1 hour before adding CHX). Western blot was conducted as described using BSG antibody. HSP90 was served as an internal control. The intensities for the bands of BSG and HSP90 were quantified by densitometry using Adobe Photoshop CS3 software [35]. The experiments were repeated three times.
Results
Conservations for BSG across species
Conservation analysis for the BSG protein among different species revealed high conservation in the chimpanzee, Rhesus monkey, mouse, rat, chicken, and zebrafish, suggesting potential roles for BSG in SARS-CoV-2 infection in different species (Supplementary Fig. 1A). BSG contains an immunoglobulin domain and/or an immunoglobulin like domain (Supplementary Fig. 1A). Different isoforms for ACE2 in the airway epithelium have been reported to differentially contribute to viral susceptibility [36]; isoforms for other viral receptors may also play such roles. GEPIA2 analysis in 33 types of cancer tissues revealed 16 isoforms (Supplementary Fig. 1B). Further structural analysis for BSG isoforms in pan-cancers showed 0 ~ 2 immunoglobulin domains in ten isoforms, where isoform BSG-001 showed two domains but BSG-010 and BSG-011 lacked either domain (Supplementary Fig. 1B). Data on 6 other isoforms is missing, including ENST00000571735.2, ENST00000572899.5, ENST00000574970.2, ENST00000576925.3, ENST00000590218.4, and ENST00000618112.2.
Pan-cancer expressions for BSG in tumor tissues and corresponding health individuals
Quantitatively compared BSG mRNA expressions from 33 types of cancers and corresponding health tissues, including those of breasts and lungs. The results disclosed that, all types of tumor tissues had BSG expressions or an elevated expression of BSG mRNA; the highest levels were found in both KICH (kidney chromophobe) and SKCM (skin cutaneous melanoma) (Fig. 1A). Surprisingly, it was significantly increased in seven cancer types, including ACC (adrenocortical carcinoma), ESCA (esophageal carcinoma), KICH, LIHC (liver hepatocellular carcinoma), SKCM, PAAD (pancreatic adenocarcinoma) and THYM (thymoma) (Fig. 1A in red, 1B ~ H, p < 0.01), but there was no dramatic decrease in any cancer types, indicating BSG plays a tumor-promoting role in pan-cancers and SARS-CoV-2 uptake in tissues of patients with malignant cancers.
Fig. 1.
BSG expression in the pan-cancers and corresponding health samples. A The dot plots show BSG expression across the pan-cancers’ tissues and corresponding health tissues. B–H The bar plots show the BSG expressions in the cancer tissues and their corresponding health tissues for ACC, ESCA, KICH, LIHC, PAAD, SKCM, and THYM, respectively. Full names of pan-cancers are shown in the right panel. Red bars in Fig. 1B–H indicate tumor tissues while black bars indicate normal tissues. (Color figure online)
BSG expression in tissues of lung and breast cancer
Going forward, we also conducted IHC in the lung and breast tissues in cancer patients. The representative results are shown in Fig. 2. BSG was found to stain with high intensity in the cytoplasm and membranes of lung cancer (LUAD) (Fig. 2A, B) and breast cancer (Fig. 2D, E) tissues, and with moderate intensity in normal breast tissues from the samples of a breast cancer patient (Fig. 2G, H). As a control, no staining was detected without specific antibody in either lung or breast cancer tissues (Fig. 2C, F, I). High expression of BSG in the cytoplasm and membranes, particularly in membranes of cancer tissues, indicates the potential roles of viral invasion in those cells. In addition, in the HPA dataset, weak to moderate membranous immunoreactivity was displayed in most cancer tissues (Fig. 2J, data not shown). Percentage of IHC staining-positive patients are also showed in Fig. 3J.
Fig. 2.
BSG expression in cancer tissues from the lung and breast by IHC (immunohistochemistry). A Representative staining from Chinese lung cancer (LUAD) tissue of a lung cancer patient. 100X. B Enlarged image from A. C No antibody for control samples of Chinese lung cancer tissue. D Representative staining from breast cancer tissue of a breast cancer patient. 100X. E Enlarged image from D. F No antibody for control samples of breast cancer tissue. G Representative staining from breast tissue of a breast cancer patient. 100X. H Enlarged image from G. I. No antibody for control sample in breast tissue. J Protein expression summary in pan-cancers from HPA dataset (BSG antibody cat #: HPA036048). Arrows indicate lung and breast cancers. Percentage of IHC staining are showed
Fig. 3.
Methylations of BSG promoter regions in pan-cancer tissues and matched health tissues. The methylations of BSG in BRCA (A), HNSC (B), KIRC (C), KIRP (D), LUSC (E), PAAD (F), PRAD (G) and READ (H). Full names of pan-cancer are shown in the right panel of Fig. 1. p < 0.05 was considered significant
Methylation of BSG at the promoter region in cancers and corresponding healthy tissues
DNA methylation is one of the well-studied epigenetic modifications which is critical for mammalian development and cancer progression in humans. The status of CpG dinucleotides in the genome may be closely associated with diverse diseases including cancers. DNA methylation at the promoter of a specific gene will affect its expression. Methylation of BSG at the promoter region in cancer and matched normal tissues is not clear. Therefore, we investigated whether significant up or downregulation of BSG expression in cancer tissues compared with their matched healthy tissues are due to promoter methylation of BSG. By analyzing the DNMIVD database, we found that the methylation statuses in the BSG promoter were significantly higher in BRCA, HNSC, KIRC, KIRP, LUSC, PAAD, and PRAD tumor tissues compared with those in corresponding healthy tissues (Fig. 3A ~ G), and were lower only in READ (Fig. 3H). Hypomethylation of BSG in READ tissues negatively correlated with the higher expression, and hypermethylation of BSG in PAAD tissues positively correlated with the higher expression, implying promoter methylation from READ cancer tissue may not be the mechanism regulating BSG expression.
Constructing diagnostic models for pan-cancers with BSG methylation
DNA methylation is associated with diverse diseases including cancers. Because DNA methylation is generally more stable than gene expression, aberrant methylation in pan-cancers could be an important biomarker for tumor diagnosis. By constructing a diagnostic model in TCGA via comparing tumor samples with paired health samples of pan-cancers (14 cancer types), we found four CpGs (CpG sites), including cg03233876, cg19651003, cg23919549 and cg17522907, of BSG which ranked with high importance (Fig. 4A). Specifically, CpGs cg03233876 locates at the BSG body with an importance score of 0.412, CpGs cg17522907 locates at the 1st exon within TSS1500 in the 5′UTR with an importance score of 0.163, CpGs cg19651003 locates at the 3′UTR with an importance score of 0.252, and CpGs cg23919549 locates at the BSG body with an importance score of 0.173. The diagnostic value estimated by the receiver operating characteristic (ROC) curve was 0.745 by logistic regression model (Fig. 4B, Supplementary table 1). Clustering heatmaps of the DNA methylation profiles for these four CpGs among tumor and normal samples are shown in Fig. 4C. All together, we concluded that these four BSG CpGs are potential DNA methylation biomarkers which could be important in distinguishing malignant cancers from normal individuals.
Fig. 4.
Diagnostic model for pan-cancer by BSG methylation. A Barplots of diagnostic model for pan-cancers by BSG methylation. B ROC curve for logistic regression model by BSG methylation. C Clustering heatmap of BSG methylation profiles across pan-cancers and matched normal samples
Prognostic values of BSG expression in pan-cancers
The clinical correlations between the expression of BSG and overall survival (OS) were investigated, and it was found that high expressions of BSG remarkably correlated with short OS for the patients of LGG (Fig. 5A, p < 0.01), LIHC (Fig. 5B, p < 0.01) and OV (Fig. 5C, p < 0.01), but correlated with long OS for patients of KIRP (Fig. 5D, p < 0.01). Hens, BSG expression would be an unfavorable prognostic marker for patient survival of LGG, LIHC and OV patients, and a favorable prognostic marker for patient survival of KIRP. The heatmap of the survival contribution for BSG in pan-cancers is summarized in Fig. 5E.
Fig. 5.
Correlations between BSG expression and OS of patients in pan-cancers. Kaplan–Meier curves for LGG (A), LIHC (B), OV (C), and KIRP (D); E Heatmap of the survival contribution for BSG in pan-cancers, estimated using Mantel-Cox test. Note: Based on the Fragments Per Kilobase Million (FPKM) values of the BSG gene, cancer patients were divided into high and low expression groups (lines in red and blue, respectively) and the correlation between BSG expression and survival of cancer patients were calculated. Full names of pan-cancers are shown in the right panel of Fig. 1
The usage and distribution of BSG isoforms in pan-cancers
To understand BSG isoform prevalence and distribution in pan-cancer tissues, GEPIA2 analysis was conducted. Sixteen isoforms in total were found which showed different expression levels in tumor tissues (Supplementary Fig. 2A), and the isoform for ENST00000353555.8 (BSG−003) utility was the only one found in all cancer types, followed by ENST00000618112.2 (BSG−017); other isoforms were found to be very low or not present (Supplementary Fig. 2B). Isoform ENST00000353555.8 (BSG−003) has an immunoglobulin domain, which encoded a 269 amino acids (Supplementary Fig. 1B), not 385 amino acids, demonstrating the functional roles for isoform BSG−003 in tumorigenesis, disease progress and SARS-CoV-2 infection in all cancer patients.
Mutations for BSG in pan-cancers
Mutations in genes can cause malignancy or recurrence after therapy. By cbioportal analysis in TCGA, we revealed that, in 32 types of cancers from 10,953 patients (10,967 samples), a total of 65 mutation types in BSG were found, in which sarcoma (SARC) showed the highest mutant frequency in 7.84% of 255 cases, followed by CESC in 5.39% of 297 cases, whereas THYM showed the lowest in 0.2% of 500 cases (Fig. 6A); no BSG mutation was monitored in Diffuse Large B-Cell Lymphoma, or Uterine Carcinosarcoma. The detailed landscapes of BSG mutation appear to be distributed across whole BSG gene regions with missense as the dominant mutation type (52 in total); some missense mutation could cause a gain of function (Fig. 6B).
Fig. 6.
Effects of mutations of the BSG gene on disease prognostics in pan-cancers. A Mutation frequency for BSG in pan-cancers. B Mutation locations of BSG in pan-cancers. C The survival for disease free with wild-type and mutant BSG. D Progression-free survival with wild-type and mutant BSG. The full names of pan-cancer are shown in the right panel of Fig. 1
Mutations of the BSG gene significantly affect disease prognostics in pan-cancers
Mutations with gain or loss of function could affect disease prognostics. To further examine the prognostic value, the survival correlations between BSG altered groups and unaltered groups in pan-cancers were analyzed. We found that survival for both disease-free and progression-free pan-cancers were significantly reduced after BSG mutations (Fig. 6C, D, p = 1.273e–3 and 0.0277 respectively; Supplementary Table 2, in blues). The median months of disease-free survival for the unaltered group was not determined or longer (NA, 95% CI), but shortened to 111.06 months for altered groups (33.93 ~ NA, 95% CI) (Fig. 6C). The median months of progress free survival for unaltered group was 62.86 months (57.37–67.10, 95% CI) while altered groups shortened to 33.93 months (25.78–63.88, 95% CI) (Fig. 6D). Thus, mutations of the BSG gene could significantly affect disease prognostics in pan-cancers, including for disease-free and progression-free survival.
Correlations of BSG expressions with tumor-immune systems among pan-cancers
The indispensability of the immune system involves its anti-viral processes. The Spearman correlation between the expression of BSG and the levels of immune infiltration across pan-cancer were conducted in database TISDB. We found a correlation between BSG expressions and immune lymphocytes of CD56bright natural killer cell, CD56dim natural killer cell and monocytes (Fig. 7A), MHC molecules of HLA-A, HLA-B, HLA-C and TAPBP (Fig. 7B), immunoinhibitor of PVRL2 (Fig. 7C), and immunostimulators of PVR, TNFRSF14, TNFRSF18, TNFRSF25, and TNFSF9 (Fig. 7D) in most tumor types. However, there were negative associations between BSG and most of the infiltrating immune cells, MHC molecules, immunoinhibitors, and immunostimulators in PAAD (Fig. 7).
Fig. 7.
Correlations of BSG expression with tumor-immune systems among pan-cancers. The correlations between BSG expression and lymphocytes (A), major histocompatibility complex (MHC) molecules (B), immunoinhibitors (C), and immunostimulators (D) among pan-cancers. Y axis: human lymphocytes (A), MHCs (B), immunoinhibitors (C), or immunostimulators (D); X axis: cancer types. The full names of pan-cancers are shown in the right panel of Fig. 1
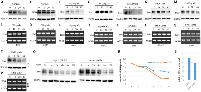
Cordycepin (CD), N6-(2-hydroxyethyl)adenosine (HEA), N6, N6-dimethyladenosine (m62A) or 5′-uridylic acid (UMP) downregulate BSG expression in cancer cell lines
To examine the possibility of using CD, HEA, m62A or UMP as agents against SARS-CoV-2 in cancer cells, we evaluated BSG expression when treated with these small molecules (Fig. 8). The results showed that CD downregulates BSG protein levels in dose dependent manners in PC3 cells (Fig. 8A), but not BSG mRNA levels (Fig. 8B). Similar observations were made with CD in 22RV1 cells (Fig. 8C ~ D), m62A in H460 cells and HepG2 cells (Fig. 8E ~ H), HEA in H460 cells and HepG2 cells (Fig. 8I, L), UMP in H460 cells and PC3 cells (Fig. 8M, P). These data indicate that all CD, m62A, HEA and UMP could downregulate the expression of BSG at the translational level, potentially by its degradation.
Fig. 8.
CD, m62A, HEA and UMP downregulate BSG expression in cancer cells. BSG protein (A) and (B) mRNA levels after CD treatment in PC3 cell line. BSG protein (C) and (D) mRNA levels after m62A treatment in 22RV1 cell line. BSG protein (E) and (F) mRNA levels after m62A treatment in H460 cell line. BSG protein (G) and (H) mRNA levels after m62A treatment in HepG2 cell line. BSG protein (I) and (J) mRNA levels after HEA treatment in H460 cell line. BSG protein (K) and (L) mRNA levels after HEA treatment in HepG2 cell line. BSG protein (M) and (N) mRNA levels after UMP treatment in H460 cell line. BSG protein (O) and (P) mRNA levels after UMP treatment in PC3 cell line. Q. The protein levels of BSG after CHX treatment together with (left) or without (right) treatment of m62A. R. Quantitative results from Q. Line in pink shows CHX treatment only without m62A, whereas line in green shows CHX treatment together with m62A. S. Quantitated the BSG protein levels with or without m62A treatment (no CHX). Note: the final concentration of CHX was 40 μg/ml
Following this, assays for chase were conducted by CHX treatment, with and without m62A in the H460 cell line. These surprisingly showed that m62A treatment improved BSG protein stability with the half-life increasing from ~ 4 h to ~ 10 h (Fig. 8Q, R). To further verify whether m62A decreased protein level, we quantitated the protein levels with CHX treatment with or without m62A treatment and found that the protein levels were indeed decreased to almost 70% when treated with m62A (Fig. 8S). Since no changes were observed in BSG mRNA levels, these results indicate that m62A treatment might inhibit the translation but surprisingly prevents the degradation of BSG. Taken together, our results demonstrate that all CD, HEA, m62A and UMP might have therapeutic potentials as anti-SARS-CoV-2 drugs by downregulating the protein expression of BSG.
Discussion
Cancer patients who are susceptible to SARS-CoV-2 invasion are likely to become severely sick or suffer death when infected by SARS-CoV-2 [37–40]. Systematic reviews showed an increased fatality of patients for COVID-19 with cancers than those without cancers [39, 41]. Given the discrepancy, we estimated and control the expression levels of these entry factors or receptors from different cancer tissues, as tumor pathology may affect SARS-CoV-2 susceptibility and COVID-19 disease [42, 43]. In the current study, we revealed BSG to be highly expressed in most tumor tissues, with significant upregulation in seven types of cancers, including BRCA, HNSC, KIRC, KIRP, LUSC, PAAD, and PRAD; no significant downregulation was found in any type of cancers, indicating the roles of BSG in tumor malignance in pan-cancers and SARS-CoV-2 uptakes in tissues of patients with malignant cancers. The clinical correlations revealed that high BSG expression remarkably correlated with short OS in the patients of LGG, LIHC and OV, and high BSG expression remarkably correlated with long OS only in the patients of KIRP. Thus, BSG expression would be an unfavorable prognostic marker for patient survival of LGG, LIHC and OV, and a favorable prognostic marker for patient survival of KIRP. Moreover, by investigating BSG expression from Melms et al. [44] in the lungs from COVID-19 patients, we noticed that BSG expression was significantly upregulated in lungs of patients who were infected SARS-CoV-2 when compared with control patients without SARS-CoV-2 infection (Data not shown).
Mutations in a gene can cause malignancy or recurrence after therapy. In 32 types of cancers, a total of 65 BSG mutation types were found, in which SARC showed the highest mutation frequency (7.84%), followed by CESC (5.39%), and THYM showed the lowest (0.2%); no BSG mutation was monitored in Diffuse Large B-Cell Lymphoma or UCS. The detailed landscapes of BSG mutation appear to be distributed across whole gene regions with missense as the dominant mutation type (52 in total); some missense mutations cause a gain or loss of function which can affect disease prognostics. To further explore the prognostic value, the survival correlation between BSG altered groups and unaltered groups in pan-cancers were analyzed and we found that both disease-free and progression-free survival in pan-cancers were significantly reduced after BSG mutations, demonstrating the loss of function by BSG mutations.
Cordyceps militaris is a traditional medicine with a long history of application in China due to highly pharmacological values in the clinical setting. The nucleoside antimetabolite CD and HEA, from Cordyceps militaris, showed a wide spectrum of functions including anti-cancer, anti-viral, immunomodulatory, antioxidant, antidepressant, hepato- and neuro -protective activities [45]. CD also showed burly binding affinities with S-protein and Mpro proteins from SARS-CoV-2 [46]. In addition, CD has been found to prevent the expressions of FURIN, TMPRSS2 and CTSL, the SARS-CoV-2 receptors, on cancer cell lines in dose dependent manners [34, 47, 48]. m62A, as a modified ribonucleoside [49], was also reported to inhibit the expressions of CTSL on cancer cells in dose dependent manners [47]. UMP has been shown to have an anti-fibrillatory effect by activating energy metabolism. Thus, we conducted expression assays using western blot and RT-PCR, and the results revealed that all CD, HEA, m62A and UMP downregulate BSG protein expression, demonstrating that these agents may have therapeutic potential as anti-SARS-CoV-2 drugs by inhibiting the protein expression of BSG. This is the first data showing that CD, HEA, m62A and UMP downregulate BSG expression.
Conclusions
BSG expression was remarkably increased not only in tissues of multiple cancer types, including BRCA, HNSC, KIRC, KIRP, LUSC, PAAD, and PRAD, but also in the lungs of COVID-19 patients. BSG methylation maybe a diagnostic model for pan-cancers. Mutations of the BSG gene significantly affect disease prognostics in pan-cancers. Small molecules CD, HEA, m62A and UMP can downregulate BSG expression in cancer cells, implying their therapeutic potentials in interfering with entry of SARS-CoV-2 and progression of malignant cancers. Thus, our study highlights the value of targeting BSG for diagnostic, prognostic and therapeutic strategies to fight malignant cancers and COVID-19 disease.
Supplementary Information
Below is the link to the electronic supplementary material.
Acknowledgements
We truly thank Ms. Zhiying Liu and Qi Tan for the experimental help and Dr. Lianmei Zhang for the pathological help.
Author contributions
Ji F, BS, JH, SL, JC, TX, DL, XL, BZ did cell culture, western blotting, RT-PCR, IHC, data collection and bioinformatics analysis. JF. analyzed the data. JF, JC, TH designed and supervised the project. JF, TH wrote and edited the manuscript.
Funding
This work was supported by the Foundation of the Science and Technology Department of Sichuan Province (Grant No. 2022NSFSC0737), the Research Foundation of Luzhou City (Grant No. 2021-SYF-37), the Foundation of Southwest Medical University (Grant Nos. 2021ZKQN014, 2021ZKMS004, 2021ZKQN109), and in part by the National Natural Science Foundation of China (Grant Nos. 81672887 and 82073263).
Availability of data and material
Not applicable.
Declarations
Conflict of interest
No.
Ethical approval
The study was approved by the Ethical Committee of Southwest Medical University. Informed consent was obtained from all subjects involved in the study.
Consent for publication
Not applicable.
Footnotes
Publisher's Note
Springer Nature remains neutral with regard to jurisdictional claims in published maps and institutional affiliations.
Jiewen Fu, Binghui Song and Jiaman Du have equally contributed to this work.
Change history
7/10/2025
A Correction to this paper has been published: 10.1007/s11033-025-10708-8
Contributor Information
Jingliang Cheng, Email: jingliangc@swmu.edu.cn.
Junjiang Fu, Email: fujunjiang@swmu.edu.cn.
References
- 1.Kaname T, Miyauchi T, Kuwano A et al (1993) Mapping basigin (BSG), a member of the immunoglobulin superfamily, to 19p13.3. Cytogenet Cell Genet 64:195–7 [DOI] [PubMed] [Google Scholar]
- 2.Igakura T, Kadomatsu K, Kaname T et al (1998) A null mutation in basigin, an immunoglobulin superfamily member, indicates its important roles in peri-implantation development and spermatogenesis. Dev Biol 194:152–165 [DOI] [PubMed] [Google Scholar]
- 3.Dang Y, Li W, Tran V et al (2013) EMMPRIN-mediated induction of uterine and vascular matrix metalloproteinases during pregnancy and in response to estrogen and progesterone. Biochem Pharmacol 86:734–747 [DOI] [PMC free article] [PubMed] [Google Scholar]
- 4.Kuno N, Kadomatsu K, Fan QW et al (1998) Female sterility in mice lacking the basigin gene, which encodes a transmembrane glycoprotein belonging to the immunoglobulin superfamily. FEBS Lett 425:191–194 [DOI] [PubMed] [Google Scholar]
- 5.Naruhashi K, Kadomatsu K, Igakura T et al (1997) Abnormalities of sensory and memory functions in mice lacking Bsg gene. Biochem Biophys Res Commun 236:733–737 [DOI] [PubMed] [Google Scholar]
- 6.Xin X, Zeng X, Gu H et al (2016) CD147/EMMPRIN overexpression and prognosis in cancer: a systematic review and meta-analysis. Sci Rep 6:32804 [DOI] [PMC free article] [PubMed] [Google Scholar]
- 7.Liao CG, Liang XH, Ke Y et al (2022) Active demethylation upregulates CD147 expression promoting non-small cell lung cancer invasion and metastasis. Oncogene 41:1780–1794 [DOI] [PMC free article] [PubMed] [Google Scholar]
- 8.Tseng HC, Xiong W, Badeti S et al (2020) Efficacy of anti-CD147 chimeric antigen receptors targeting hepatocellular carcinoma. Nat Commun 11:4810 [DOI] [PMC free article] [PubMed] [Google Scholar]
- 9.Renno T, Wilson A, Dunkel C et al (2002) A role for CD147 in thymic development. J Immunol 168:4946–4950 [DOI] [PubMed] [Google Scholar]
- 10.Chen Y, Xu J, Wu X et al (2021) CD147 regulates antitumor CD8(+) T-cell responses to facilitate tumor-immune escape. Cell Mol Immunol 18:1995–2009 [DOI] [PMC free article] [PubMed] [Google Scholar]
- 11.Pushkarsky T, Zybarth G, Dubrovsky L et al (2001) CD147 facilitates HIV-1 infection by interacting with virus-associated cyclophilin A. Proc Natl Acad Sci U S A 98:6360–6365 [DOI] [PMC free article] [PubMed] [Google Scholar]
- 12.Yurchenko V, O’Connor M, Dai WW et al (2001) CD147 is a signaling receptor for cyclophilin B. Biochem Biophys Res Commun 288:786–788 [DOI] [PubMed] [Google Scholar]
- 13.Chen Z, Mi L, Xu J et al (2005) Function of HAb18G/CD147 in invasion of host cells by severe acute respiratory syndrome coronavirus. J Infect Dis 191:755–760 [DOI] [PMC free article] [PubMed] [Google Scholar]
- 14.Wang C, Horby PW, Hayden FG et al (2020) A novel coronavirus outbreak of global health concern. Lancet 395:470–473 [DOI] [PMC free article] [PubMed] [Google Scholar]
- 15.Coutard B, Valle C, de Lamballerie X et al (2020) The spike glycoprotein of the new coronavirus 2019-nCoV contains a furin-like cleavage site absent in CoV of the same clade. Antiviral Res 176:104742 [DOI] [PMC free article] [PubMed] [Google Scholar]
- 16.Fenizia C, Galbiati S, Vanetti C et al (2021) SARS-CoV-2 entry: at the crossroads of CD147 and ACE2. Cells 10:1434 [DOI] [PMC free article] [PubMed] [Google Scholar]
- 17.Wang K, Chen W, Zhang Z et al (2020) CD147-spike protein is a novel route for SARS-CoV-2 infection to host cells. Signal Transduct Target Ther 5:283 [DOI] [PMC free article] [PubMed] [Google Scholar]
- 18.Ulrich H, Pillat MM (2020) CD147 as a target for COVID-19 treatment: suggested effects of azithromycin and stem cell engagement. Stem Cell Rev Rep 16:434–440 [DOI] [PMC free article] [PubMed] [Google Scholar]
- 19.Celebi AT, Uzel G, Oylumlu E et al (2022) Computational modeling of T cell hypersensitivity during coronavirus infections leading to autoimmunity and lethality. Comput Math Methods Med 2022:9444502 [DOI] [PMC free article] [PubMed] [Google Scholar]
- 20.Hoffmann M, Kleine-Weber H, Schroeder S et al (2020) SARS-CoV-2 cell entry depends on ACE2 and TMPRSS2 and is blocked by a clinically proven protease inhibitor. Cell 181(271–80):e8 [DOI] [PMC free article] [PubMed] [Google Scholar]
- 21.Shilts J, Crozier TWM, Greenwood EJD et al (2021) No evidence for basigin/CD147 as a direct SARS-CoV-2 spike binding receptor. Sci Rep 11:413 [DOI] [PMC free article] [PubMed] [Google Scholar]
- 22.Zhou YQ, Wang K, Wang XY et al (2022) SARS-CoV-2 pseudovirus enters the host cells through spike protein-CD147 in an Arf6-dependent manner. Emerg Microbes Infect 11:1135–1144 [DOI] [PMC free article] [PubMed] [Google Scholar]
- 23.Geng J, Chen L, Yuan Y et al (2021) CD147 antibody specifically and effectively inhibits infection and cytokine storm of SARS-CoV-2 and its variants delta, alpha, beta, and gamma. Signal Transduct Target Ther 6:347 [DOI] [PMC free article] [PubMed] [Google Scholar]
- 24.Mahdian S, Shahhoseini M, Moini A (2020) COVID-19 mediated by basigin can affect male and female fertility. Int J Fertil Steril 14:262–263 [DOI] [PMC free article] [PubMed] [Google Scholar]
- 25.Fu J, Zhou B, Zhang L et al (2020) Expressions and significances of the angiotensin-converting enzyme 2 gene, the receptor of SARS-CoV-2 for COVID-19. Mol Biol Rep 47:4383–4392 [DOI] [PMC free article] [PubMed] [Google Scholar]
- 26.Fu J, Wei C, He J et al (2021) Evaluation and characterization of HSPA5 (GRP78) expression profiles in normal individuals and cancer patients with COVID-19. Int J Biol Sci 17:897–910 [DOI] [PMC free article] [PubMed] [Google Scholar]
- 27.Wang K, Deng H, Song B et al (2022) The correlation between immune invasion and SARS-COV-2 entry protein ADAM17 in cancer patients by bioinformatic analysis. Front Immunol 13:923516 [DOI] [PMC free article] [PubMed] [Google Scholar]
- 28.Uhlen M, Zhang C, Lee S et al (2017) A pathology atlas of the human cancer transcriptome. Science 357:eaan2507 [DOI] [PubMed] [Google Scholar]
- 29.Thul PJ, Akesson L, Wiking M et al (2017) A subcellular map of the human proteome. Science 356:eaal3321 [DOI] [PubMed] [Google Scholar]
- 30.Tang Z, Li C, Kang B et al (2017) GEPIA: a web server for cancer and normal gene expression profiling and interactive analyses. Nucleic Acids Res 45:W98–W102 [DOI] [PMC free article] [PubMed] [Google Scholar]
- 31.Ding W, Chen J, Feng G et al (2020) DNMIVD: DNA methylation interactive visualization database. Nucl Acids Res 48:D856–D862 [DOI] [PMC free article] [PubMed] [Google Scholar]
- 32.Ding W, Chen G, Shi T (2019) Integrative analysis identifies potential DNA methylation biomarkers for pan-cancer diagnosis and prognosis. Epigenetics 14:67–80 [DOI] [PMC free article] [PubMed] [Google Scholar]
- 33.Cerami E, Gao J, Dogrusoz U et al (2012) The cBio cancer genomics portal: an open platform for exploring multidimensional cancer genomics data. Cancer Discov 2:401–404 [DOI] [PMC free article] [PubMed] [Google Scholar]
- 34.Li D, Liu X, Zhang L et al (2021) COVID-19 disease and malignant cancers: the impact for the furin gene expression in susceptibility to SARS-CoV-2. Int J Biol Sci 17:3954–3967 [DOI] [PMC free article] [PubMed] [Google Scholar]
- 35.Wei C, Cheng J, Zhou B et al (2016) Tripartite motif containing 28 (TRIM28) promotes breast cancer metastasis by stabilizing TWIST1 protein. Sci Rep 6:29822 [DOI] [PMC free article] [PubMed] [Google Scholar]
- 36.Blume C, Jackson CL, Spalluto CM et al (2021) A novel ACE2 isoform is expressed in human respiratory epithelia and is upregulated in response to interferons and RNA respiratory virus infection. Nat Genet 53:205–214 [DOI] [PubMed] [Google Scholar]
- 37.Penn I, Starzl TE (1973) Immunosuppression and cancer. Transpl Proc 5:943–947 [PMC free article] [PubMed] [Google Scholar]
- 38.Yang K, Sheng Y, Huang C et al (2020) Clinical characteristics, outcomes, and risk factors for mortality in patients with cancer and COVID-19 in Hubei, China: a multicentre, retrospective, cohort study. Lancet Oncol 21:904–913 [DOI] [PMC free article] [PubMed] [Google Scholar]
- 39.Zarifkar P, Kamath A, Robinson C et al (2021) Clinical characteristics and outcomes in patients with COVID-19 and cancer: a systematic review and meta-analysis. Clin Oncol (R Coll Radiol) 33:e180–e191 [DOI] [PMC free article] [PubMed] [Google Scholar]
- 40.Yang F, Shi S, Zhu J et al (2020) Clinical characteristics and outcomes of cancer patients with COVID-19. J Med Virol 92:2067–2073 [DOI] [PubMed] [Google Scholar]
- 41.Zhang H, Han H, He T et al (2021) Clinical characteristics and outcomes of COVID-19-infected cancer patients: a systematic review and meta-analysis. J Natl Cancer Inst 113:371–380 [DOI] [PMC free article] [PubMed] [Google Scholar]
- 42.Katopodis P, Anikin V, Randeva HS et al (2020) Pancancer analysis of transmembrane protease serine 2 and cathepsin L that mediate cellular SARSCoV2 infection leading to COVID-19. Int J Oncol 57:533–539 [DOI] [PMC free article] [PubMed] [Google Scholar]
- 43.Cheng J, Zhou J, Fu S et al (2021) Prostate adenocarcinoma and COVID-19: the possible impacts of TMPRSS2 expressions in susceptibility to SARS-CoV-2. J Cell Mol Med 25:4157–4165 [DOI] [PMC free article] [PubMed] [Google Scholar]
- 44.Melms JC, Biermann J, Huang H et al (2021) A molecular single-cell lung atlas of lethal COVID-19. Nature 595:114–119 [DOI] [PMC free article] [PubMed] [Google Scholar]
- 45.Wei C, Yao X, Jiang Z et al (2019) Cordycepin inhibits drug-resistance non-small cell lung cancer progression by activating AMPK signaling pathway. Pharmacol Res 144:79–89 [DOI] [PubMed] [Google Scholar]
- 46.Verma AK, Aggarwal R (2021) Repurposing potential of FDA-approved and investigational drugs for COVID-19 targeting SARS-CoV-2 spike and main protease and validation by machine learning algorithm. Chem Biol Drug Des 97:836–853 [DOI] [PubMed] [Google Scholar]
- 47.Zhang L, Wei C, Li D et al (2022) COVID-19 receptor and malignant cancers: association of CTSL expression with susceptibility to SARS-CoV-2. Int J Biol Sci 18:2362–2371 [DOI] [PMC free article] [PubMed] [Google Scholar]
- 48.Fu J, Liu S, Tan Q et al (2022) Impact of TMPRSS2 expression, mutation prognostics, and small molecule (CD, AD, TQ, and TQFL12) inhibition on pan-cancer tumors and susceptibility to SARS-CoV-2. Molecules 27:7413 [DOI] [PMC free article] [PubMed] [Google Scholar]
- 49.Chan CT, Chionh YH, Ho CH et al (2011) Identification of N6, N6-dimethyladenosine in transfer RNA from Mycobacterium bovis bacille calmette-guerin. Molecules 16:5168–5181 [DOI] [PMC free article] [PubMed] [Google Scholar]
Associated Data
This section collects any data citations, data availability statements, or supplementary materials included in this article.
Supplementary Materials
Data Availability Statement
Not applicable.








