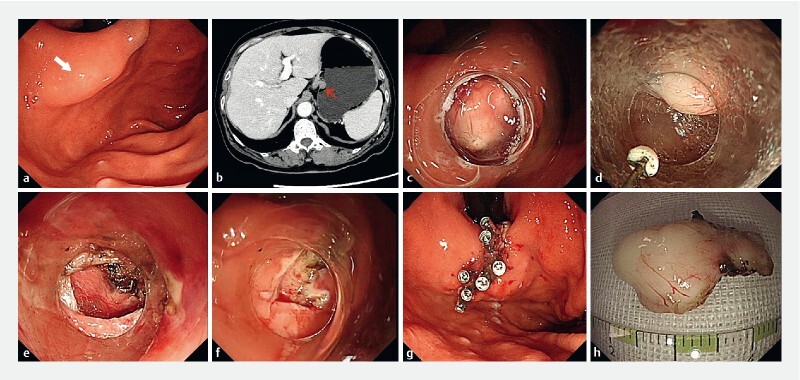
A 60-year-old woman with a submucosal tumor originating from the muscularis propria located in the gastric fornix ( Fig. 1 a ) was referred to our hospital. Contrast-enhanced computed tomography (CT) showed a well-defined and low-density mass close to the cardia ( Fig. 1 b ). Owing to its hard-to-reach location, we decided to perform an optimized gastric endoscopic full-thickness resection (EFTR). This method preserved all the residual mucosa to achieve tension-free closure. After a submucosal saline injection, a 1.5-cm incision was made at the edge of the lesion ( Fig. 1 c ). In the current method, we performed a submucosal dissection to simultaneously create a tunnel ( Fig. 2 , Video 1 ). Direct advancement of the endoscope into the fundus tunnel was performed, and the lesion was completely retrieved without removing any of the mucosal layers ( Fig. 1 d ). A full-thickness defect was exposed after removing the mass through the tunnel ( Fig. 1 e ). Subsequently, two edges of the remaining mucosa were easily clipped together ( Fig. 1 f, g ). The total wound closure time closure was 6 minutes. The submucosal tumor measured 25 mm at the highest diameter externally ( Fig. 1 h ). Postoperatively, the patient remained asymptomatic and was discharged on the third day without any complications.
Fig. 1 a.

A submucosal tumor in the gastric fornix. b Computed tomography scan showing a well-defined tumor near the cardia. c The tumor visualized after a 1.5-cm incision was made along the border. d Endoscopic tumor resection in which the tumor was removed through the tunnel. e The exposed full-thickness defect. f The remaining mucosa after gastric full-thickness resection. g Endoscopic view after closure. h External view of the final resected specimen.
Fig. 2.

Schematic showing the procedure for this modified gastric full-thickness resection of a tumor in the gastric fornix.
Video 1 Endoscopic full-thickness resection preserving the mucosa: more is better.
EFTR is the treatment of choice for submucosal tumors originating from the muscularis propria 1 2 . However, closure of full-thickness wounds in the gastric fornix is a technically challenging and time-consuming procedure because it requires retroflexion of the endoscope 3 . This video demonstrates a modified method similar to subepithelial tunneling endoscopic resection for submucosal tumors at the gastric fundus. Therefore, we propose that preserving the mucosa as much as possible makes the closure of the full-thickness defect easier and less time-consuming, especially in hard-to-reach locations.
Endoscopy_UCTN_Code_CCL_1AB_2AD_3AB
Footnotes
Competing interests The authors declare that they have no conflict of interest.
Endoscopy E-Videos : https://eref.thieme.de/e-videos .
Endoscopy E-Videos is an open access online section, reporting on interesting cases and new techniques in gastroenterological endoscopy. All papers include a high quality video and all contributions are freely accessible online. Processing charges apply (currently EUR 375), discounts and wavers acc. to HINARI are available. This section has its own submission website at https://mc.manuscriptcentral.com/e-videos
References
- 1.Chu Y, Xu M. A real-world promising result of endoscopic full-thickness resection: Itʼs time for endoscopic full-thickness resection to be widely used. Am J Gastroenterol. 2020;115:1972–1973. doi: 10.14309/ajg.0000000000001028. [DOI] [PubMed] [Google Scholar]
- 2.Ge P S, Aihara H. Advanced endoscopic resection techniques: Endoscopic submucosal dissection and endoscopic full-thickness resection. Dig Dis Sci. 2022;67:1521–1538. doi: 10.1007/s10620-022-07392-0. [DOI] [PubMed] [Google Scholar]
- 3.Zhang Q, Cai J Q, Xiang L et al. Modified submucosal tunneling endoscopic resection for submucosal tumors in the esophagus and gastric fundus near the cardia. Endoscopy. 2017;49:784–791. doi: 10.1055/s-0043-111236. [DOI] [PubMed] [Google Scholar]
