Abstract
Background
Although laparoscopic total extraperitoneal (TEP) inguinal hernia repair has the advantages of less bleeding, less trauma, less pain, and fast recovery, there are several issues that need to be addressed. This study aims to evaluate the effectiveness of preperitoneal closed‑suction drainage on reducing postoperative complications in TEP inguinal hernia repair.
Methods
A retrospective analysis of 122 patients who underwent TEP inguinal hernia repair between June 2018 and June 2021 was performed. The patients were divided into the drainage group and the non-drainage group according to whether the drainage tube was placed or not. Clinical data, surgical procedures and outcome of these patients were collected and analyzed to assess the effectiveness of drainage.
Results
A total of 122 patients undergoing TEP surgery were screened, of which 22 were excluded. Most of the patients were male with right indirect inguinal hernia. There was no difference in the mean length of hospital stay between the two groups. Postoperative pain was alleviated by preperitoneal closed‑suction drainage 24 h after operation (p = 0.03). The rate of complications such as scrotal edema, seroma and urinary retention in the drainage group was significantly lower than that in the non-drainage group (p < 0.05). Multivariate regression analysis showed that drainage was beneficial to reduce postoperative complications (OR, 0.015; 95% CI, 0.002–0.140; p < 0.01). In addition, it was worth noting that in subgroup analysis, patients with hernia sac volume > 10 cm3 might receive more clinical benefits by placing drainage tube.
Conclusion
In TEP inguinal hernia repair, placing drainage tube is a simple and feasible traditional surgical treatment, which can promote postoperative recovery without increasing the risk of infection, especially in patients with large hernia sac volume.
Supplementary Information
The online version contains supplementary material available at 10.1186/s12893-022-01900-9.
Keywords: Inguinal hernia repair, Drainage, Complications
Introduction
Inguinal hernia is a common surgical condition, affecting approximately 220 million people worldwide [1]. More than 20 million patients undergo inguinal hernia surgery each year [2]. Laparoscopic inguinal hernia repair is a minimally invasive surgery, such as laparoscopic total extraperitoneal (TEP) inguinal hernia repair, which has become one of the gold standards for inguinal hernia repair [3–5]. However, although TEP surgery has the advantages of less bleeding, less trauma, less pain, and fast recovery, there are several issues that need to be addressed.
Numerous previous studies have reported the complications such as hematoma or seroma, scrotal edema, groin pain and urinary retention after TEP inguinal hernia repair [2, 6–10]. Up to now, despite the better laparoscopic system, more surgical training, and more accurate knowledge of preperitoneal anatomy, surgeons still find that postoperative complications can’t be completely avoided. For example, seroma is a common sequela in the early postoperative period [11], and its prevalence in the first week after surgery is as high as 37.9% [12]. Fortunately, most of the patients with seroma can resolved spontaneously without intervention or only need conservative treatment without surgical intervention. However, it is worth noting that the formation of seroma may lead to the aggravation of postoperative pain, and increase the risk of scrotal edema and urinary retention, which in turn prolong hospital stay.
In addition, many efforts have been made by surgeons to reduce postoperative complications, but there are still some disputes in these methods [13–15]. In 1980, Beacon et al. first reported the method of placing drainage after inguinal hernia repair in a randomized controlled trial. Notably, his results reported that placing drainage was an effective method to reduce surgery-related complications, especially in complex open inguinal hernia repair [16]. Nevertheless, some researchers dispute the use of drainage tubes in previous clinical studies, and even some studies have completely different conclusions. Rodriguez et al. reported that the use of suction drainage in inguinal hernia repair did not provide any benefit [17]. Therefore, in the present study, we aim to investigate the effectiveness of preperitoneal closed‑suction drainage on reducing postoperative complications in TEP inguinal hernia repair.
Methods
Patients
A retrospective study was performed from June 2018 to June 2021 in the General Surgery Department of Shanghai Ninth People’s Hospital. A total of 122 patients undergoing TEP inguinal hernia repair with complete reduction of hernia sac were included in this study. All relevant data were collected by the surgeon from the medical record system. All patients were followed up for 3 months after operation. The participants were categorized based on a review of their surgical history and divided into two groups according to whether a drainage tube was placed after an operation.
Inclusion and exclusion criteria
Inclusion criteria: Patients were age older than 18 years, with a unilateral inguinal hernia, no additional surgical procedures at the time of the inguinal hernia repair, no surgical procedures in preceding 30 days; no other analgesic medication was administered during the postoperative period.
Exclusion criteria: Patients were excluded if they had bilateral or recurrent inguinal hernia, irreducible hernia, incarcerated hernia, or severe co-morbidities.
Surgical treatment
TEP inguinal hernia repair was performed in a standard surgical procedure as previously described [18]. A prosthetic mesh was placed in the preperitoneal space through 10 mm intraoperative trocar hole. Bipolar electrocautery was used to control bleeding during the operation. The prosthetic mesh was placed without wrinkles, and covered defects in the Hasselbach region, the indirect ring, the obturator ring and the femoral triangle. Next, in the drainage group, a standard closed‑suction drainage tube was placed in preperitoneal space through the 5 mm intraoperative trocar hole, which was used to place laparoscopic instruments during the operation. Thus, the extra surgical trauma to patients is avoided by using the intraoperative trocar holes. Finally, the surgeon was careful not to displace the mesh, and then deflated and closed the preperitoneal space. On the other hand, in the control group, the drainage tube was not placed, and other procedures were similar. The surgical procedures are shown in Fig. 1.
Fig. 1.

Closed‑suction drainage tubes were placed in the preperitoneal space
Calculation of hernial sac volume
All patients underwent preoperative abdominal computerized tomography (ACT, Philips Brilliance CT Lightspeed-64 multi-slice spiral scanner). According to previous studies, hernia sac volume (HSV) can be approximately regarded as an ellipsoidal structure [19]. In order to estimate the hernia sac volume, anterior–posterior, longitudinal and transverse dimensions of the hernia sac were measured by ACT (A, B and C, respectively, Additional file 1: Fig. S1). Based on these values, the volume formula of ellipsoid is used to calculate HSV: Volume = 4/3 × π × radius A × radius B × radius C. The formula of HSV can be further simplified as: HSV ≈ 0.52 × A × B × C [20, 21]. In addition, during the operation, the surgeons further confirmed that the ACT measurement was consistent with the actual size of HSV.
Main outcomes and measurements
All demographic and clinical data were collected from our hospital’s medical records, including surgical data (inguinal hernia type, hernia sac volume, operation time, etc.), postoperative drainage fluid and postoperative complications (seroma formation, scrotal edema, inguinal pain, urinary retention and incision infection).
The gravimetric method is a simple, accurate, and clinically practical measurement, which is used to evaluate the blood loss in TEP surgery [22]. According to this method, the weight of the surgical gauze should be weighed before and after the operation. Previous study reported that blood density could be estimated as one gram per milliliter [23]. The difference of gauzes’ weight was considered as an accurate assessment of bleeding volume.
The visual analog scale (VAS) for pain was used to evaluate the perception of pain, on a scale of 0 to 10 with 0 indicating “no pain” and 10 meaning “worst pain”. VAS was performed in both groups at 6 h and 24 h after the operation. Pain score is: 0 = no pain, 1–3 = mild pain, 4–6 = moderate pain, and 7–10 = severe pain.
Statistical analysis
SPSS 22.0 software (IBM, Armonk, NY, USA) was used for statistical analyses. Quantitative variables were presented as mean ± Standard deviation (SD). Student’s t-test and nonparametric test were used for statistical analysis. Categorical variables including absolute and relative frequencies were tested by Pearson’s Chi-squared or Fisher’s exact. Univariate and multivariate analysis was performed using binary logistic regression. The multivariable regression models were constructed by stepwise addition of covariates shown via simple regression to be significantly associated with the outcome. The level of significance was set to α = 0.05 with 95% confidence interval (CI).
Results
A total of 122 patients undergoing TEP inguinal hernia repair with complete reduction of hernia sac were screen in this study. Twenty-two patients with other types of hernia repair surgery, incomplete medical records or severe co-morbidities were excluded, as shown in the consort diagram below (Fig. 2). According to whether a drainage tube was placed or not, all patients were divided into the drainage group and the non-drainage group. There were 40 cases in the drainage group. Most of the patients included were male, suffering from right indirect inguinal hernia. There was no difference in the mean length of hospital stay between the two groups (Table 1). Most patients (95%) were discharged from hospital within 3 days after the operation. Only two patients in the drainage group had the longest length of hospital stay at 4 days.
Fig. 2.
Consort diagram for the study
Table 1.
Patient demographics
| Characteristics | Drainage (n = 40) | Non-drainage (n = 60) | t/χ2 | p |
|---|---|---|---|---|
| Gender, n [%] | ||||
| Male | 39 [97.5] | 57 [95.0] | 0.01 | 0.92 |
| Female | 1 [2.5] | 3 [5.0] | ||
| Age, years/SD | 60.7 ± 15.4 | 63.3 ± 13.9 | 0.85 | 0.40 |
| Type of hernia, n [%] | ||||
| Indirect inguinal hernia | 33 [82.5] | 53 [88.3] | 0.68 | 0.41 |
| Direct inguinal hernia | 7 [17.5] | 7 [11.7] | ||
| Side of hernia, n [%] | ||||
| Right side | 28 [70.0] | 42 [70.0] | < 0.01 | 1.00 |
| Left side | 12 [30.0] | 18 [30.0] | ||
| Inpatient stay, days/SD | 2.1 ± 0.9 | 2.0 ± 0.8 | 0.48 | 0.63 |
The TEP inguinal hernia repair was performed as described above. The hernia sac volume in the drainage group tended to be larger than that in the non-drainage group. However, we did not observe the differences of mean operative time or blood loss between the two groups. As shown in Table 2, the mean drainage volume of drainage group was 103.6 ± 66.0 ml. The drainage volume was usually markedly reduced at 48 h after TEP inguinal hernia repair. Therefore, the drainage tube was removed on the second day after the operation.
Table 2.
Operative details
| Characteristics | Drainage (n = 40) | Non-drainage (n = 60) | t/Z | p |
|---|---|---|---|---|
| Hernia sac volume, cm3 | 8.5 (4.5–20.0) | 6.0 (4.0–12) | − 1.41 | 0.16 |
| Operation time, min/SD | 43.3 ± 15.2 | 40.8 ± 13.5 | 0.83 | 0.41 |
| Blood loss, ml/SD | 8.6 ± 4.5 | 9.1 ± 4.1 | − 0.52 | 0.60 |
| Drainage volume, ml/SD | 103.6 ± 66.0 | – | – | – |
The VAS scores were collected at 6 h and 24 h after operation in both groups. At 6 h postoperatively, most of the patients reported moderate pain. The percentages of mild and severe pain in the drainage group were 15% and 12.5%, respectively, while those in the non-drainage group were 11.7% and 8.3%, respectively (Fig. 3A). Moreover, 24 h after operation, the pain of most patients was relieved, and the proportion of mild pain remarkably increased, with 82.5% in the drainage group and 61.7% in the non-drainage group. Notably, the moderate pain in the drainage group was significantly less than that in the non-drainage group (Fig. 3B). Therefore, there was a difference in VAS pain score between the two groups 24 h after operation (Table 3).
Fig. 3.
Percentages of VAS pain score after operation. A The VAS pain score at 6 h after operation. B The VAS pain score 24 h after operation (*p < 0.05)
Table 3.
Pain score
| Pain | Drainage (n = 40) | Non-drainage (n = 60) | χ2 | p |
|---|---|---|---|---|
| 6 h postoperative | ||||
| No (0) | 0 | 0 | ||
| Mild (1–3) | 6 [15.0] | 7 [11.7] | ||
| Moderate (4–6) | 29 [72.5] | 48 [80.0] | 0.80 | 0.67 |
| Severe (7–10) | 5 [12.5] | 5 [8.3] | ||
| 24 h postoperative | ||||
| No (0) | 0 | 0 | ||
| Mild (1–3) | 33 [82.5] | 37 [61.7] | ||
| Moderate (4–6) | 7 [17.5] | 23 [38.3] | 5.0 | 0.03* |
| Severe (7–10) | 0 | 0 | ||
*p < 0.05
The postoperative complications of the two groups are shown in Table 4. The rate of scrotal edema in drainage group was significantly lower than that in non-drainage group. In the drainage group, the formation of seroma was markedly reduced. Meanwhile, the rate of urinary retention in the drainage group was significantly lower than that in non-drainage group. On the other hand, the wound infection rate of the two groups was similar, and there was no mesh infection in both groups.
Table 4.
Postoperative complications
| Characteristics | Drainage (n = 40) | Non-drainage (n = 60) | t/χ2 | p |
|---|---|---|---|---|
| Postoperative temperature, ℃/SD | 37.0 ± 0.5 | 37.1 ± 0.5 | 0.73 | 0.47 |
| Postoperative complications, n [%] | ||||
| Scrotal edema | 3 [7.5] | 14 [23.3] | 4.26 | 0.04* |
| Seroma formation | 2 [5.0] | 12 [20.0] | 4.49 | 0.03* |
| Urinary retention | 1 [2.5] | 9 [15.0] | 4.17 | 0.04* |
| Wound infection | 1 [2.5] | 2 [3.3] | < 0.01 | 1.00 |
| Mesh infection | 0 [0.0] | 0 [0.0] | – | – |
*p < 0.05
In order to further assess the effectiveness of preperitoneal closed‑suction drainage, a regrouping analysis was performed based on the 24-h VAS pain score and complications. There was no difference in the proportion of patients with mild pain between the two groups. However, the proportion of patients with moderate pain in the non-drainage group was higher than that in the drainage group (Fig. 4A). In this study, there were 34 patients with postoperative complications. Only one patient underwent surgical intervention due to the failure of conservative treatment for complications. The proportion of patients with complications in the non-drainage group was higher than that in the drainage group (Fig. 4B). Furthermore, the univariate regression analysis revealed that placement of drainage significantly reduced the risk of complications (OR, 0.259; 95% CI, 0.099–0.678; p < 0.01). The multivariate regression analysis was performed on the potential factors, including drainage placement, hernia sac volume, operation time and blood loss. The results showed that the drainage was beneficial to reduce postoperative complications (OR, 0.015; 95% CI, 0.002–0.140; p < 0.01). In addition, we also found that hernia sac volume was associated with the postoperative complications (OR, 1.418; 95% CI, 1.213–1.657; p < 0.01).
Fig. 4.
The VAS pain score at 24 h and postoperative complications. A The proportion of patients with mild and moderate pain. B The proportion of patients with or without complications (**p < 0.01)
Considering that hernia sac volume may also be related to complications, a subgroup analysis was used to investigate the relationship between hernia sac volume and clinical benefits of placing drainage. Based on the mean volume of hernia sac, patients were divided into two subgroups: hernia sac volume ≤ 10 cm3 and > 10 cm3. As shown in Fig. 5, there was a trend for drainage tubes to reduce pain and complications in patients with hernia sac volumes ≤ 10 cm3. It was worth noting that patients with hernia sac volume > 10 cm3 received more clinical benefits by placing drainage, which could significantly relieve postoperative pain and reduce complications.
Fig. 5.
Moderate pain and postoperative complications in subgroup analysis (*p < 0.05)
Discussion
Compared with traditional laparotomy, laparoscopic inguinal hernia repair has the advantages of less trauma, faster recovery and lower recurrence rate [2]. TEP inguinal hernia repair is one of the most suitable methods as it is in conformity with physiology and anatomy [24]. In this study, a total of 122 patients undergoing TEP inguinal hernia repair were screened, and 22 patients were excluded. Most of the patients included were male, suffering from right indirect inguinal hernia. Forty cases were in the drainage group. There was no difference in the mean length of hospital stay between the two groups. Postoperative pain was alleviated by preperitoneal closed‑suction drainage 24 h after operation. The rate of complications such as scrotal edema, seroma and urinary retention in the drainage group was significantly lower than that in the non-drainage group. It was worth noting that patients with hernia sac volume > 10 cm3 might receive more clinical benefits by placing drainage tubes, which significantly reduced pain and complications. To our knowledge, this is the first study to investigate the effectiveness s of preperitoneal closed‑suction drainage and hernia sac volume on complications in TEP inguinal hernia repair.
The formation of seroma is defined as the exudation and accumulation of fluid in the operation area. In previous studies, numerous interventions have been attempted to minimize its formation, including closure of the dead space with braided sutures, administration of fibrin glue, compression and cauterization of the operation area [25–27]. However, fibrin glue is expensive, and endoscopic suture or cauterization is technically demanding and potentially hazardous to cord structures. It is also inconvenient to use pressurize dressings in that inguinal area. In contrast, drainage is a simpler and cheaper method to reduce the formation of seroma. Our results showed that placing the drainage tube through the 5 mm intraoperative trocar hole did not increase the trauma of patients. Meanwhile, the closed-suction drainage tube can promote the early collapse of the dead space, which leads to early adhesion formation in the preperitoneal space to facilitate fixation of the mesh. Especially for TEP repair studies of unfixed mesh, early adhesion formation can prevent mesh displacement and reduce recurrence [28, 29].
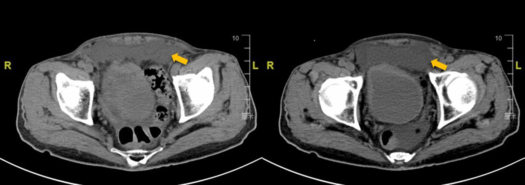
Although most seroma do not cause serious harm to patients, it is still a risk factor leading to other postoperative complications. In our study, the closed-suction drainage tube in the preperitoneal space was used to drain the accumulated fluid, which significantly relieved postoperative pain and reduced scrotal edema, urinary retention and other complications. Our findings are consistent with previous studies [25, 30, 31]. In addition, the postoperative complications also increased psychological burden on patients. In the present study, only one patient experienced severe pain and massive seroma formation after the operation. After conservative treatment failed, the second laparoscopic surgery was performed to drain the fluid in the preperitoneal space (Fig. 6). Therefore, we attempted to solve these clinical problems by placing the closed-suction drainage tube, which is a simple, inexpensive, and traditional method.
Fig. 6.

Fluid accumulation in the preperitoneal space
In TEP inguinal hernia repair, the risk of infection is the main concern for surgeons, who are reluctant to place a drainage tube in the preperitoneal space. In the guideline on TEP treatment of inguinal hernia by the International Endohernia Society in 2015, there was level 3 evidence that the use of drainage tubes increased the risk of infection or recurrence. Only grade C evidence showed that a closed-suction drainage tube could reduce the risk of seroma formation without increasing the risk of infection [3]. But in 2018, Fan et al. performed a prospective double-blind randomized controlled trial. There was Grade 1 evidence that a closed-suction preperitoneal drain prevented seroma formation without increasing the risk of infection or septic complications [30]. Our study also confirmed that the placement of drainage does not increase the risk of postoperative infection. Standard surgical procedures, closed-suction drainage with negative pressure and postoperative nursing care can effectively reduce the risk of infection.
Postoperative complications, such as seroma, inguinal pain and urinary retention, are associated with surgical trauma and exudation in the operation area. Although large incisions and surgical trauma are avoided by laparoscopic surgery, more severe swellings and exudation in the inguinal region may be caused by larger hernia sac [32, 33]. According to the subgroup analysis of hernia sac volume, we observed that there were significant differences in the clinical benefits of placing drainage in patients with different hernia sac volumes. Patients with hernia sac volume > 10cm3 obtained more benefits by placing drainage, which remarkably relieved pain and reduced complications. Based on these findings, our study confirmed that there are greater clinical benefits from placing a drainage tube in patients with larger hernia sac volume. Indeed, the volume of hernia sac may be an important criterion for drainage in patients undergoing TEP inguinal hernia repair.
Conclusion
In TEP inguinal hernia repair, preperitoneal closed‑suction drainage is associated with the reduction of postoperative pain and complications. The placement of drainage tube is a simple and feasible traditional surgical treatment, which can promote postoperative recovery without increasing the risk of infection, especially in patients with large hernia sac volume.
Supplementary Information
Additional file 1: Table S1 Comparison of postoperative complications. Fig. S1 Ellipsoid and the diameters A, B and C.
Acknowledgements
Not applicable.
Author contributions
GBW, QF and ML contributed to conception and design of this study. MC, DLS and HJL performed the experiments. QF, CHZ and DLS analyzed the data. GBW drafted the manuscript. ML, DLS and MC revised the manuscript. All authors read and approved the final manuscript.
Funding
This work was supported by Grants from National Natural Science Foundation of China (81970526, 81900550 and 82100639). and the Clinical Research Program of 9th People’s Hospital, Shanghai Jiao Tong University School of Medicine (JYLJ202124).
Availability of data and materials
The datasets of the current study are available from the corresponding author upon reasonable request.
Declarations
Ethics approval and consent to participate
All the procedures were implemented based on the principles of the Declaration of Helsinki, and the design of the work was reviewed and approved by the Ethics Committee of Shanghai Ninth People’s Hospital. As this is a retrospective study, the need for patient consent was exempted by our institutional ethic committee.
Consent for publication
Not applicable.
Competing interests
No potential competing interests was reported by the author(s).
Footnotes
Publisher's Note
Springer Nature remains neutral with regard to jurisdictional claims in published maps and institutional affiliations.
Guangbo Wu, Danli Shi and Min Chen contributed equally to this study
Contributor Information
Hongjie Li, Email: shanghaileester@gmail.com.
Meng Luo, Email: luosh9hospital@sina.com.
Qiang Fan, Email: 13472665251@163.com.
References
- 1.Beard JH, Ohene-Yeboah M, Tabiri S, Amoako JKA, Abantanga FA, Sims CA, Nordin P, Wladis A, Harris HW, Lofgren J. Outcomes after inguinal hernia repair with mesh performed by medical doctors and surgeons in Ghana. JAMA Surg. 2019;154(9):853–859. doi: 10.1001/jamasurg.2019.1744. [DOI] [PMC free article] [PubMed] [Google Scholar]
- 2.HerniaSurge G. International guidelines for groin hernia management. Hernia. 2018;22(1):1–165. doi: 10.1007/s10029-017-1668-x. [DOI] [PMC free article] [PubMed] [Google Scholar]
- 3.Bittner R, Montgomery MA, Arregui E, Bansal V, Bingener J, Bisgaard T, Buhck H, Dudai M, Ferzli GS, Fitzgibbons RJ, et al. Update of guidelines on laparoscopic (TAPP) and endoscopic (TEP) treatment of inguinal hernia (International Endohernia Society) Surg Endosc. 2015;29(2):289–321. doi: 10.1007/s00464-014-3917-8. [DOI] [PMC free article] [PubMed] [Google Scholar]
- 4.Martinez-Hoed J, Cordero-Bermudez K, Garcia-Pastor P, Pous-Serrano S, Ortiz-Cubero JA. The inguinal hernia management in Costa Rica according to a survey between surgeons: result comparison with 2018 International Groin Hernia Guidelines. BMC Surg. 2021;21(1):152. doi: 10.1186/s12893-021-01156-9. [DOI] [PMC free article] [PubMed] [Google Scholar]
- 5.van Veenendaal N, Simons MP, Bonjer HJ. Summary for patients: International guidelines for groin hernia management. Hernia. 2018;22(1):167–168. doi: 10.1007/s10029-018-1729-9. [DOI] [PubMed] [Google Scholar]
- 6.Fitzgibbons RJ, Forse RA. Clinical practice. Groin hernias in adults. N Engl J Med. 2015;372(8):756–763. doi: 10.1056/NEJMcp1404068. [DOI] [PubMed] [Google Scholar]
- 7.Shakil A, Aparicio K, Barta E, Munez K. Inguinal hernias: diagnosis and management. Am Fam Physician. 2020;102(8):487–492. [PubMed] [Google Scholar]
- 8.Maas MC, Alicuben ET, Houghton CC, Samakar K, Sandhu KK, Dobrowolsky A, Lipham JC, Katkhouda N, Bildzukewicz NA. Safety and efficacy of robotic-assisted groin hernia repair. J Robot Surg. 2021;15(4):547–552. doi: 10.1007/s11701-020-01140-0. [DOI] [PubMed] [Google Scholar]
- 9.Nguyen DK, Amid PK, Chen DC. Groin pain after inguinal hernia repair. Adv Surg. 2016;50(1):203–220. doi: 10.1016/j.yasu.2016.04.003. [DOI] [PubMed] [Google Scholar]
- 10.Krishna A, Bansal VK, Misra MC, Prajapati O, Kumar S. Totally extraperitoneal repair in inguinal hernia: more than a decade's experience at a tertiary care hospital. Surg Laparosc Endosc Percutan Tech. 2019;29(4):247–251. doi: 10.1097/SLE.0000000000000682. [DOI] [PubMed] [Google Scholar]
- 11.Liu JW, Chen KJ, Xu XH, Deng Y, Zhang H, Chan FSY, Kim HJ, Fan JKM. Does the use of monopolar energy as the preferred mode of dissection effectively reduce seroma formation in laparoscopic total extra peritoneal hernioplasty? A prospective double-blinded randomized control trial. Hernia. 2020;24(4):821–829. doi: 10.1007/s10029-020-02136-3. [DOI] [PubMed] [Google Scholar]
- 12.Krishna A, Misra MC, Bansal VK, Kumar S, Rajeshwari S, Chabra A. Laparoscopic inguinal hernia repair: transabdominal preperitoneal (TAPP) versus totally extraperitoneal (TEP) approach: a prospective randomized controlled trial. Surg Endosc. 2012;26(3):639–649. doi: 10.1007/s00464-011-1931-7. [DOI] [PubMed] [Google Scholar]
- 13.Li J, Gong W, Liu Q. Intraoperative adjunctive techniques to reduce seroma formation in laparoscopic inguinal hernioplasty: a systematic review. Hernia. 2019;23(4):723–731. doi: 10.1007/s10029-019-01903-1. [DOI] [PubMed] [Google Scholar]
- 14.Lopez-Monclus J, Garcia-Urena MA, Blazquez LA, Melero DA, Jimenez-Ceinos C. Persistent inguinal seroma managed with sprinkling of talcum powder: a case report. J Med Case Rep. 2012;6:391. doi: 10.1186/1752-1947-6-391. [DOI] [PMC free article] [PubMed] [Google Scholar]
- 15.Berney CR. The Endoloop technique for the primary closure of direct inguinal hernia defect during the endoscopic totally extraperitoneal approach. Hernia. 2012;16(3):301–305. doi: 10.1007/s10029-011-0892-z. [DOI] [PubMed] [Google Scholar]
- 16.Beacon J, Hoile RW, Ellis H. A trial of suction drainage in inguinal hernia repair. Br J Surg. 1980;67(8):554–555. doi: 10.1002/bjs.1800670808. [DOI] [PubMed] [Google Scholar]
- 17.Rodrigues AJ, Jr, Jin HY, Utiyama EM, Rodrigues CJ. The Stoppa procedure in inguinal hernia repair: to drain or not to drain. Rev Hosp Clin Fac Med Sao Paulo. 2003;58(2):97–102. [PubMed] [Google Scholar]
- 18.Eklund AS, Montgomery AK, Rasmussen IC, Sandbue RP, Bergkvist LA, Rudberg CR. Low recurrence rate after laparoscopic (TEP) and open (Lichtenstein) inguinal hernia repair: a randomized, multicenter trial with 5-year follow-up. Ann Surg. 2009;249(1):33–38. doi: 10.1097/SLA.0b013e31819255d0. [DOI] [PubMed] [Google Scholar]
- 19.Muysoms FE, Miserez M, Berrevoet F, Campanelli G, Champault GG, Chelala E, Dietz UA, Eker HH, El Nakadi I, Hauters P, et al. Classification of primary and incisional abdominal wall hernias. Hernia. 2009;13(4):407–414. doi: 10.1007/s10029-009-0518-x. [DOI] [PMC free article] [PubMed] [Google Scholar]
- 20.Tanaka EY, Yoo JH, Rodrigues AJ, Jr, Utiyama EM, Birolini D, Rasslan S. A computerized tomography scan method for calculating the hernia sac and abdominal cavity volume in complex large incisional hernia with loss of domain. Hernia. 2010;14(1):63–69. doi: 10.1007/s10029-009-0560-8. [DOI] [PubMed] [Google Scholar]
- 21.Ertem M, Gok H, Ozben V, Hatipoglu E, Yildiz E. Can volumetric measurement be used in the selection of treatment for inguinoscrotal hernias? Turk J Surg. 2018;34(1):13–16. doi: 10.5152/turkjsurg.2017.3710. [DOI] [PMC free article] [PubMed] [Google Scholar]
- 22.Schorn MN. Measurement of blood loss: review of the literature. J Midwifery Womens Health. 2010;55(1):20–27. doi: 10.1016/j.jmwh.2009.02.014. [DOI] [PubMed] [Google Scholar]
- 23.Vitello DJ, Ripper RM, Fettiplace MR, Weinberg GL, Vitello JM. Blood density is nearly equal to water density: a validation study of the gravimetric method of measuring intraoperative blood loss. J Vet Med. 2015;2015:152730. doi: 10.1155/2015/152730. [DOI] [PMC free article] [PubMed] [Google Scholar]
- 24.Baig SJ, Priya P, Ahuja A. Modified port positions for totally extraperitoneal (TEP) repair for groin hernias: our experience. Surg Endosc. 2021;35(5):2154–2158. doi: 10.1007/s00464-020-07620-6. [DOI] [PubMed] [Google Scholar]
- 25.Ismail M, Garg M, Rajagopal M, Garg P. Impact of closed-suction drain in preperitoneal space on the incidence of seroma formation after laparoscopic total extraperitoneal inguinal hernia repair. Surg Laparosc Endosc Percutan Tech. 2009;19(3):263–266. doi: 10.1097/SLE.0b013e3181a4d0e1. [DOI] [PubMed] [Google Scholar]
- 26.Li J, Zhang W. Closure of a direct inguinal hernia defect in laparoscopic repair with barbed suture: a simple method to prevent seroma formation? Surg Endosc. 2018;32(2):1082–1086. doi: 10.1007/s00464-017-5760-1. [DOI] [PubMed] [Google Scholar]
- 27.Kulber DA, Bacilious N, Peters ED, Gayle LB, Hoffman L. The use of fibrin sealant in the prevention of seromas. Plast Reconstr Surg. 1997;99(3):842–849. doi: 10.1097/00006534-199703000-00034. [DOI] [PubMed] [Google Scholar]
- 28.Taylor C, Layani L, Liew V, Ghusn M, Crampton N, White S. Laparoscopic inguinal hernia repair without mesh fixation, early results of a large randomised clinical trial. Surg Endosc. 2008;22(3):757–762. doi: 10.1007/s00464-007-9510-7. [DOI] [PubMed] [Google Scholar]
- 29.Pielacinski K, Pula B, Wroblewski T, Kurylowicz M, Szczepanik AB. Totally extraperitoneal inguinal hernia repair with or without fixation leads to similar results. Outcome of randomized prospective trial. Wideochir Inne Tech Maloinwazyjne. 2020;15(1):1–10. doi: 10.5114/wiitm.2019.83611. [DOI] [PMC free article] [PubMed] [Google Scholar]
- 30.Fan JKM, Liu J, Chen K, Yang X, Xu X, Choi HK, Chan FSY, Chiu KWH, Lo CM. Preperitoneal closed-system suction drainage after totally extraperitoneal hernioplasty in the prevention of early seroma formation: a prospective double-blind randomised controlled trial. Hernia. 2018;22(3):455–465. doi: 10.1007/s10029-018-1731-2. [DOI] [PubMed] [Google Scholar]
- 31.Gao D, Wei S, Zhai C, Chen J, Li M, Gu C, Wu H. Clinical research of preperitoneal drainage after endoscopic totally extraperitoneal inguinal hernia repair. Hernia. 2015;19(5):789–794. doi: 10.1007/s10029-014-1310-0. [DOI] [PubMed] [Google Scholar]
- 32.Choi YY, Kim Z, Hur KY. Transection of the hernia sac during laparoscopic totally extraperitoneal inguinal hernioplasty: is it safe and feasible? J Laparoendosc Adv Surg Tech A. 2011;21(2):149–152. doi: 10.1089/lap.2010.0237. [DOI] [PubMed] [Google Scholar]
- 33.Li W, Li Y, Ding L, Xu Q, Chen X, Li S, Lin Y, Xu P, Sun D, Sun Y. A randomized study on laparoscopic total extraperitoneal inguinal hernia repair with hernia sac transection vs complete sac reduction. Surg Endosc. 2020;34(4):1882–1886. doi: 10.1007/s00464-019-07303-x. [DOI] [PubMed] [Google Scholar]
Associated Data
This section collects any data citations, data availability statements, or supplementary materials included in this article.
Supplementary Materials
Additional file 1: Table S1 Comparison of postoperative complications. Fig. S1 Ellipsoid and the diameters A, B and C.
Data Availability Statement
The datasets of the current study are available from the corresponding author upon reasonable request.




