Abstract
The expression of many virulence factors in Pseudomonas aeruginosa is dependent upon environmental conditions, including iron levels, oxygen, temperature, and osmolarity. The virulence of P. aeruginosa PAO1 is influenced by the iron- and oxygen-regulated gene encoding the alternative sigma factor PvdS, which is regulated through the ferric uptake regulator (Fur). We observed that overexpression of PvdS in strain PAO1 and a ΔpvdS::Gm mutant resulted in increased pyoverdine production and proteolytic activity compared to when PvdS was not overexpressed. To identify additional PvdS-regulated genes, we compared extracellular protein profiles from PAO1 and the ΔpvdS::Gm mutant grown under iron-deficient conditions. A protein present in culture supernatants from PAO1 but not in supernatants from ΔpvdS::Gm was investigated. Amino acid sequence analysis and examination of the genomic database of PAO1 revealed that the N terminus of this 27-kDa protein is identical to that of protease IV of P. aeruginosa strain PA103-29 and is homologous to an endoprotease produced by Lysobacter enzymogenes. In this study, the gene encoding an endoprotease was cloned from PAO1 and designated prpL (PvdS-regulated endoprotease, lysyl class). All (n = 41) but one of the strains of P. aeruginosa, including clinical and environmental isolates, examined carry prpL. Moreover, PrpL production among these strains was highly variable. Analysis of RNase protection assays identified the transcription initiation site of prpL and confirmed that its transcription is iron dependent. In the ΔpvdS::Gm mutant, the level of prpL transcription was iron independent and decreased relative to the level in PAO1. Furthermore, transcription of prpL was independent of PtxR, a PvdS-regulated protein. Finally, PrpL cleaves casein, lactoferrin, transferrin, elastin, and decorin and contributes to PAO1's ability to persist in a rat chronic pulmonary infection model.
Pseudomonas aeruginosa is an opportunistic bacterium that can be particularly problematic for those predisposed to lung infections, such as those with cystic fibrosis (CF). At least part of the pathogenic potential of this organism stems from its ability to produce a myriad of extracellular virulence factors, including toxins, siderophores, and proteases. The global iron regulator Fur (ferric uptake regulator) contributes to the expression of many of these virulence factors (34). Fur orchestrates a cascading effect on regulators causing the expression of virulence factors through the production of the alternative sigma factor PvdS. PvdS belongs to the extracytoplasmic factor class of regulatory proteins (55). PvdS, in turn, regulates additional virulence genes (e.g., toxA, which encodes exotoxin A) and other regulatory genes, including regA and ptxR (54).
P. aeruginosa produces several proteases, including an elastase (LasB protease), a LasA protease, and an alkaline protease, that have been shown to be important in tissue damage during infection. These proteases are often under complex regulation. For example, expression of lasB depends on an intact lasR gene (19) and the autoinducer PAI (38). Often, as in the case of the metalloprotease LasB, efficient production and processing of certain proteases require zinc and calcium ions (36). Although protease production by P. aeruginosa has been extensively studied, no iron-regulated protease has been reported in this organism. One of the functions of proteases is to hydrolyze peptides for nutrient acquisition either by degrading host enzymes or even by causing tissue damage to further the survival of the bacterium. The host iron-binding proteins lactoferrin and transferrin are normal constituents of airway secretions which are important in host defenses by limiting the availability of iron, an essential microelement, for use by microbial pathogens (18). Both Pseudomonas- and neutrophil-derived proteases may contribute to lung injury in CF patients through their ability to cleave lactoferrin and transferrin (5, 11). Britigan et al. demonstrated that degradation of lactoferrin and transferrin occurs in vivo in the airways of individuals with CF and other forms of chronic lung disease; however, such degradation products were not detectable in bronchoalveolar lavage samples from healthy controls (6). This suggests that the degradation of these proteins plays a role in the pathogenicity of P. aeruginosa (5). Here, we describe an endoprotease in P. aeruginosa that hydrolyzes casein, lactoferrin, transferrin, elastin, and decorin and contributes to the ability of this opportunistic pathogen to persist in a model of chronic pulmonary infection.
MATERIALS AND METHODS
Bacterial strains and media.
The strains and plasmids used in this study are shown in Table 1. P. aeruginosa PAO1 is the prototypic strain and has been previously described (23). Clinical and environmental isolates were obtained from a variety of sources. Brain heart infusion (BHI) broth supplemented with the appropriate antibiotic was used for strain maintenance. P. aeruginosa PAO1-based mutant strain ΔpvdS::Gm was generated by replacing a 460-bp AccI-HincII fragment from the pvdS coding sequence with a gentamicin resistance (Gmr) cassette (33). P. aeruginosa PAO1-based mutant strain ΔprpL::Gm was generated by replacing a 1,343-bp BglII-SphI fragment from the prpL coding sequence with a Gmr cassette. P. aeruginosa PAO1-based mutant strain ΔptxR::Gm has been described previously (50). Chelexed and dialyzed tryptic soy broth (D-TSB) containing 1% glycerol and 50 mM glutamate was used as a low-iron medium and was supplemented with FeCl3 at 50 μg/ml for use as a high-iron medium. Antibiotics were used at the following concentrations: for Escherichia coli, ampicillin at 100 μg/ml, gentamicin at 15 μg/ml, kanamycin at 100 μg/ml, and tetracycline at 15 μg/ml; for P. aeruginosa, carbenicillin at 500 μg/ml, gentamicin at 75 μg/ml, and tetracycline at 150 μg/ml.
TABLE 1.
Strains, plasmids, and primers used in this study
| Strain, plasmid, or primer | Genotype or characteristic(s)a | Source or reference |
|---|---|---|
| Strains | ||
| P. aeruginosa | ||
| PAO1 (ATCC 15692) | Prototroph, wound isolate | 23 |
| PAO1 ΔprpL::Gm | PAO1 with a Gmr cassette replacing a region of prpL | This study |
| PAO1 ΔpvdS::Gm | PAO1 with a Gmr cassette replacing a region of pvdS | 33 |
| PAO1 ΔptxR::Gm | PAO1 with a Gmr cassette replacing a region of ptxR | 50 |
| PA103 | Prototroph | 28 |
| PAK | Prototroph | 32 |
| PA14 | Human clinical isolate | 40 |
| Ps388 | Prototroph, hypotoxigenic | 53 |
| WR5 | Prototroph, exotoxin A deficient | 53 |
| M2 | Mouse strain | 49 |
| CF1-1, CF2-1, CF3-1 | CF isolates from Denver, Colo. | Laboratory collection |
| CPs287, CPs297, CPs311 | Isolates obtained from The Children's Hospital, Denver, Colo. | Laboratory collection |
| S21, S22, S28, S38, S40, S41, S44, S47, S52 | CF isolates from British Columbia's Children's Hospital and Shaughnessy Hospital, Vancouver, British Columbia, Canada | 22 |
| B15, B16, B22, B31, B34, B35, B38, B43, B44, B47, B48, B51 | Blood isolates from Nagasaki University Hospital, Nagasaki, Japan | 22 |
| ccu1-6, ccu-7, ccu-8 | Environmental strains from Horry and Georgetown Counties in South Carolina | 16 |
| P. putida PPG1 | Prototroph | Laboratory collection |
| E. coli | ||
| DH5α | hsdR recA lacZYA φ80 lacZΔM15 | Gibco BRL |
| HB101 | hsdS recA proA lacY | 4 |
| SM10 | Kmr, mobilizer strain | 47 |
| Plasmids | ||
| pBluescript SK(+) | AmprlacZ, E. coli cloning vector | Stratagene |
| pCRII-2.1 | Ampr Kmr, TA cloning vector for PCR products | Invitrogen |
| pEX100T | AmproriT mob sacB | 46 |
| pEX100DprpL::Gm | pEX100T containing ΔprpL::Gm | This study |
| pRK2013 | Kmr, conjugation helper plasmid | 17 |
| pVLT31 | Broad-host-range expression vector, Tetr | 9 |
| pPVD31 | pVLT31 containing pvdS under tac promoter control, Tetr | 33 |
| Primersb | ||
| PJW3 | TGGAAACCCACAGCGGCTCGCTG; internal to prpL | Gibco BRL |
| PJW4 | GTACTTCTTGGCGTCGCCGCGCC; internal to prpL | Gibco BRL |
| PJW17 | ATTTCGCTCGCACCGGGC; flanking prpL promoter | Gibco BRL |
| PJW19 | CCACGTCAGCGGCAAGCT; flanking prpL promoter | Gibco BRL |
Abbreviations: Ampr, ampicillin resistance; Kmr, kanamycin resistance; Tetr, tetracycline resistance; mob, mobilization site; oriT, origin of transfer (RK2).
All primers were synthesized by Gibco Bethesda Research Laboratories (BRL).
Measurement of pyoverdine production.
The production of pyoverdine by P. aeruginosa was measured spectrophotometrically by a modification of the method described by Meyer and Abdallah (30). Bacteria were cultured in King's B medium (27) to late stationary phase (optical density at 600 nm of ≈3). Supernatants were normalized for differences in cell density, and the absorbances were measured at 405 nm for low-iron cultures or 380 nm for high-iron cultures. The concentration of pyoverdine was calculated by using the extinction coefficient for either pyoverdine (1.9 × 10−4 M−1cm−1) or for ferripyoverdine (1.4 × 104 M−1 cm−1) as follows: molar concentration = absorbance at 405 or 380 nm/extinction coefficient.
Total proteinase assay.
Total extracellular proteinase activity in culture supernatants was measured by using a modification of the method described by Farley (15). P. aeruginosa PAO1 was grown in King's B medium. One milliliter of cell-free supernatant was added to 15 ml of sodium phosphate buffer (pH 8) containing 50 mg of Azocoll protease substrate and incubated with shaking at 37°C. The absorbance was measured at 520 nm at various times. The rate of proteolysis was expressed as the change in absorbance at 520 nm per milliliter per hour.
Identification of PvdS-regulated proteins.
P. aeruginosa PAO1 and ΔpvdS::Gm were grown in D-TSB supplemented with glycerol and glutamate without the iron supplement at 32°C for 15 h. Proteins from culture supernatants were precipitated with ammonium sulfate (0.47 g/ml) and dialyzed overnight against Tris-buffered saline. The proteins were subjected to sodium dodecyl sulfate (SDS)-polyacrylamide gel electrophoresis (PAGE) and stained with Coomassie brilliant blue. A 27-kDa protein detected in supernatants from PAO1 but not in supernatants from ΔpvdS::Gm was N terminally sequenced by Macromolecular Resources (Colorado State University, Fort Collins, Colo.). The nucleotide sequence of the resulting amino acid sequence was deduced by using a codon bias for P. aeruginosa (56), and a blastn search against the Microbial Genomes Database (www.ncbi.nlm.nih.gov/BLAST/unfinishedgenome.html) was performed.
DNA manipulations and analysis.
The prpL gene from P. aeruginosa PAO1 was cloned as a 5,886-bp BclI fragment into pBluescript SK(+) (Stratagene). Plasmid and chromosomal DNAs were isolated by standard procedures (43). Taq polymerase and 18- or 23-mer primers (Gibco BRL) (Table 1) were used for PCR with a GeneMate thermal cycler. DNA sequence analysis was performed by the dideoxy-chain termination method (44) with Sequenase (United States Biochemical).
Demonstration of protease activity using D-BHI skim milk agar.
Various strains of P. aeruginosa were grown in D-TSB supplemented with glycerol and glutamate without the iron supplement at 32°C for 15 h. Extracellular proteins were precipitated with ammonium sulfate. Protease activity was determined by spotting the precipitated proteins onto D-BHI skim milk agar plates (48) and measuring the zone of hydrolysis produced after incubation of the plates at 37°C for 24 to 38 h.
Substrate specificity of PrpL.
P. aeruginosa PAO1 and ΔprpL::Gm were grown in D-TSB supplemented with glycerol and glutamate without the iron supplement at 32°C for 15 h. Extracellular proteins from each culture were partially purified by removing proteins that bound DEAE-52 (for example, ToxA). Proteins that did not bind DEAE-52 were precipitated with ammonium sulfate and dialyzed against buffer A (50 mM Tris [pH 7.4], 50 mM NaCl). Aliquots were stored at −80°C until used. Approximately 10 μg of lactoferrin, transferrin, or decorin (Sigma) was incubated at 37°C for 1 h with precipitated proteins from P. aeruginosa PAO1 and ΔprpL::Gm in a final concentration of 10 mM Tris (pH 7.5)–2 μM CaCl2–40 μM KCl. Degradation products were analyzed by SDS-PAGE (10% acrylamide for lactoferrin and transferrin and 4 to 15% acrylamide for decorin) and stained with Coomassie brilliant blue.
Immunoblot analysis.
Lactoferrin was incubated with extracellular proteins from P. aeruginosa PAO1 and ΔprpL::Gm and subjected to SDS-PAGE. Proteins were transferred to a nitrocellulose membrane, which was then blocked with phosphate-buffered saline (PBS)–5% nonfat dried milk–0.1% (vol/vol) Tween 20 at room temperature for 1 h. Rabbit anti-human lactoferrin antibody (ICN Biomedicals, Inc.) and anti-rabbit immunoglobulin G were used at dilutions of 1:100,000 and 1:50,000, respectively. Detection was performed with reagents from an ECL+Plus kit (Amersham Pharmacia Biotech) and chemiluminescent film.
Elastin-Congo red assay.
Elastase activity was determined as previously described (35, 42). Briefly, supernatants were added to an elastin-Congo red substrate (Sigma) and incubated for various times at 37°C. Insoluble elastin-Congo red was pelleted at 1,200 × g for 10 min at room temperature, and the absorbance of the soluble Congo red in the supernatant was measured at 495 nm. Elastase activity was determined by interpolation from a standard curve of known elastase concentrations.
Agarose bead rat lung model.
Beads were prepared at a final concentration of 107 to 108 each of P. aeruginosa PAO1 and ΔprpL::Gm bacteria per ml of melted agarose. Heavy mineral oil and 2% agarose in PBS were warmed to 50°C. The bacteria were added to 10 ml of molten agarose and mixed thoroughly. Ten milliliters of warmed mineral oil was added, and the combination was mixed thoroughly. The agarose bead-oil suspension was allowed to solidify quickly in an ice bath for 2 min. The beads were then washed once with 0.5% sodium deoxycholate in PBS, twice with 0.25% sodium deoxycholate in PBS, and thrice with PBS. Young, adult Sprague-Dawley rats were anesthetized, and a small midline cervical incision was made to expose the trachea. Approximately 0.1 ml of the bead suspension was placed in a distal bronchus via a 20-gauge Teflon catheter over the needle. After the inoculate had been instilled, the incision was closed with 3-0 silk. Animals were euthanatized with pentobarbital at 7 days postinfection. The lungs were harvested and homogenized in PBS with a model 985-370 Tissue-Tearor (Biospec Products, Inc.). Serial dilutions were plated onto both selective and nonselective BHI agar. All experiments involving animals were performed in accordance with the guidelines of the Animal Care and Use Committee at the University of Colorado Health Sciences Center.
RNase protection assays.
RNase protection assays were performed as previously described (3) using the Riboprobe system (Promega). The radiolabeled riboprobes were generated by runoff transcription from the T7 promoter of linearized pCR2.1 (Invitrogen) containing suitable cloned PCR fragments. The expression of the constitutively expressed omlA gene was measured to confirm that the same amount of RNA was used in each reaction. The relative intensity of each transcript was quantified with a Bio-Rad Personal FX PhosphorImager. Image analysis was done with Quantity One software (version 4.0.3) from Bio-Rad.
Southern blot hybridization.
Southern blot hybridization was performed by following published procedures (43). DNA probes were prepared by radiolabeling amplified DNA fragments with a rediprime II random prime labeling system (Amersham Pharmacia Biotech). The primers used to generate the 727-bp probe for prpL are shown in Table 1.
RESULTS
Effects of PvdS on pyoverdine production and proteolytic activity.
To examine the effects of PvdS on pyoverdine production and proteolytic activity, P. aeruginosa PAO1 was transformed with the vector pVLT31 or pPVD31 (pVLT31 containing pvdS under the control of the tac promoter). As shown in Table 2, when PAO1/pPVD31 was grown in the presence of isopropyl-β-d-thiogalactopyranoside (IPTG), pyoverdine production was ≈2.5 times that of uninduced PAO1 containing either pVLT31 or pPVD31. In addition, proteolytic and elastolytic activities were ≈3 and ≈1.5 times, respectively, that of uninduced PAO1 containing either pVLT31 or pPVD31 (Table 2). When the ΔpvdS::Gm mutant was complemented with pvdS, pyoverdine production was ≈40 times greater when PvdS was expressed using IPTG than when it was not. An increase in proteolytic activity was also observed when PvdS was expressed in the ΔpvdS::Gm mutant. Finally, when ΔpvdS::Gm was grown in the presence of IPTG, its elastolytic activity was restored to the wild-type level (Table 2). Taken together, these data suggest that PvdS influences some of the proteolytic and elastolytic activities of P. aeruginosa.
TABLE 2.
Effects of PvdS on pyoverdine production and proteolytic and elastolytic activitiesa
| Strain/plasmid (presence of IPTG) | Pyoverdine concn (M) | Protease activity (ΔOD520/h/ml) | Elastase activity (ΔOD495/h/ml) |
|---|---|---|---|
| PAO1/pVLT31 | 56 (7) | 2.9 (1.0) | 0.042 (0.007) |
| PAO1/pPVD31 (−IPTG) | 50 (12) | 2.9 (0.2) | 0.044 (0.012) |
| PAO1/pPVD31 (+IPTG) | 130 (25) | 10.0 (2.0) | 0.066 (0.008) |
| PAO1 ΔpvdS/pVLT31 | NDb | 1.35 (0.34) | 0.021 (0.007) |
| PAO1 ΔpvdS/pPVD31 (−IPTG) | 0.5 (0.7) | 1.35 (0.32) | 0.023 (0.006) |
| PAO1 ΔpvdS/pPVD31 (+IPTG) | 21 (4) | 2.3 (0.038) | 0.061 (0.002) |
Standard deviation for three independent experiments is given in parentheses.
ND, not detected.
Identification of a PvdS-regulated gene.
Examination of protein profiles comparing the proteins expressed by P. aeruginosa PAO1 and the ΔpvdS::Gm mutant revealed that several proteins are regulated under low-iron conditions by the alternative sigma factor PvdS (Fig. 1). In this study, we focused on a 27-kDa protein that is present in PAO1 but not in the ΔpvdS::Gm mutant. N-terminal sequencing of this protein revealed an N terminus of AGYRDGFGAS. This sequence is identical to that of protease IV described in P. aeruginosa strain PA103-29 (12). By using P. aeruginosa codon bias (56), the nucleotide sequence of the N terminus sequence was determined. This led to the identification of an open reading frame in the P. aeruginosa PAO1 genome database corresponding to PA4175 (bp 4671318 to 4672706). A blastn search against the Microbial Genomes Database (www.ncbi.nlm.nih.gov/BLAST/unfinishedgenome.html) using PA4175 indicated a significant hit (2−84) with an endoprotease ArgC precursor from Lysobacter enzymogenes. The L. enzymogenes endoprotease gene encodes a serine protease that cleaves substrates C terminal to arginine and, to a lesser extent, lysine residues (61). Alignment of the putative unprocessed endoprotease from P. aeruginosa PAO1 and the endoprotease from L. enzymogenes using a blastp search (www.ncbi.nlm.nih.gov/gorf/bl2.html) indicated that the proteins are 44% identical (Fig. 2). In addition, the active site (serine, aspartate, and histidine) of the L. enzymogenes endoprotease is conserved in the putative P. aeruginosa endoprotease (Fig. 2). The L. enzymogenes endoprotease is synthesized as a preproprotein that is subsequently processed into its mature extracellular form. It has a 24-residue signal sequence, an ≈195-residue pro region, and an ≈244-residue catalytic domain (61).
FIG. 1.
Profiles of extracellular proteins from P. aeruginosa PAO1 and ΔpvdS::Gm. The arrow indicates the 27-kDa protein that was investigated in this study. The molecular masses of the proteins in the marker lane (M) are indicated to the left.
FIG. 2.
Alignment of the P. aeruginosa (PA) and L. enzymogenes (LE) endoproteases. Regions of identity are boxed. The single-stemmed arrow indicates the predicted signal cleavage site, and the double-stemmed arrow indicates the proenzyme junction in L. enzymogenes. The diamonds indicate the catalytic triad in the L. enzymogenes endoprotease, and the asterisk indicates a stop codon. The RGD motif in the P. aeruginosa endoprotease is indicated by the black bar.
Analysis of protease activity on D-BHI skim milk agar.
The gene encoding the endoprotease homologue from PAO1 was cloned and designated prpL. To confirm that the 27-kDa extracellular protein detected in P. aeruginosa PAO1 but not in the ΔpvdS::Gm mutant had proteolytic activity, proteins precipitated from supernatants of cells grown in low- and high-iron media were analyzed for the ability to degrade casein. PAO1 produces proteases under both low- and high-iron conditions in cultures as early as 6 h, and protease production is increased when iron is limiting. As shown in Fig. 3, when PAO1 was grown for 6 h under low-iron conditions, the zone of hydrolysis which measured protease activity was 13.1 ± 0.3 mm, compared to 8.8 ± 0.3 mm when the bacteria were grown under high-iron conditions. Similarly, when cultures were grown for 12 and 18 h, greater zones of hydrolysis were observed under low-iron conditions than under high-iron conditions. Moreover, at least some of the genes encoding such proteases are regulated by the alternative sigma factor PvdS, as seen by the smaller zone of hydrolysis produced by ΔpvdS::Gm compared to the zone produced by PAO1 (Fig. 3). In addition, when sequences internal to prpL were replaced with a gentamicin cassette, protease activity was greatly reduced (Fig. 3). For example, when ΔprpL::Gm was grown under low- and high-iron conditions for 6 h, the zone of hydrolysis measured 8.4 ± 0.3 and 6.5 ± 0 mm (the diameter of the disk), respectively (Fig. 3). Even when ΔprpL::Gm was grown for 18 h under low-iron conditions, protease activity was still less than when PAO1 was grown for 6 h under low-iron conditions (Fig. 3). Therefore, the protease activity detected in extracellular proteins from ΔprpL::Gm indicates that PrpL is a major contributor to this protease activity, as observed at all of the time points examined.
FIG. 3.
Protease activities of P. aeruginosa PAO1, ΔpvdS::Gm, and ΔprpL::Gm. Strains were grown in D-TSB containing 1% glycerol and 50 mM glutamate. Addition of FeCl3 to a final concentration of 50 μg/ml was used for the high-iron medium. Cultures were incubated with shaking at 32°C for 15 h. Extracellular proteins were precipitated with ammonium sulfate. Protease activity was determined by spotting the precipitated proteins onto D-BHI skim milk agar plates (48) and measuring the zone of hydrolysis produced after incubating the plates at 37°C for 24 to 38 h. The disk diameter is 6.5 mm.
Substrate specificity of PrpL and immunoblot analysis.
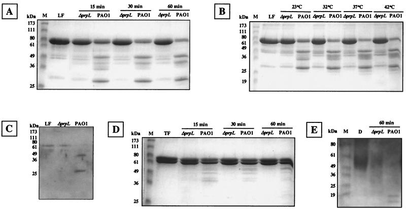
Because PrpL is present under low-iron conditions, it seemed reasonable to determine if PrpL is involved in iron acquisition when lactoferrin and transferrin are used as PrpL substrates. The conserved catalytic triad of the amino acids serine (nucleophile), aspartate (electrophile), and histidine (base) suggests that PrpL is a serine protease. Typically, serine proteases are active at neutral and alkaline pHs, with an optimum between 7 and 11. PrpL degraded lactoferrin when assays were done at pHs of 7.5 to 9.0, with a pH of 7.5 being optimal (data not shown). Lactoferrin that was digested with precipitated extracellular proteins from P. aeruginosa ΔprpL::Gm resulted in little to no detectable cleavage products (Fig. 4A). The effect of temperature on PrpL activity was also investigated. Cleavage of lactoferrin was detected at temperatures ranging from 23 to 42°C (Fig. 4B). Using rabbit anti-human lactoferrin, analysis of the cleavage products confirmed that the cleavage products generated when lactoferrin was incubated with extracellular proteins from P. aeruginosa PAO1 are by-products of lactoferrin and not of contaminants from the commercially available lactoferrin used in the assay (Fig. 4C). No such cleavage products were detected when lactoferrin was incubated with extracellular proteins from P. aeruginosa ΔprpL::Gm (Fig. 4C). When supernatants were incubated with transferrin, only very faint degradation products were detected, indicating that PrpL degrades transferrin, but not to the extent that it degrades lactoferrin (Fig. 4D). In addition to degrading lactoferrin, PrpL degrades elastin. In the colorimetric elastin-Congo red assay, elastin degradation is measured as the Congo red is released and becomes soluble in aqueous buffer. Our results indicate that elastase activity was approximately 100 times greater in PAO1 than in supernatants from ΔprpL::Gm (data not shown). Finally, decorin, a dermatan sulfate-containing proteoglycan, is also a substrate for PrpL (Fig. 4E).
FIG. 4.
Demonstration of PrpL activity. (A) Approximately 10 μg of lactoferrin (LF) was digested with proteins from supernatants of P. aeruginosa ΔprpL::Gm or PAO1 at 37°C for 15, 30, and 60 min. Digestion products were analyzed by SDS-PAGE. (B) Approximately 10 μg of lactoferrin (LF) was digested with proteins from supernatants of P. aeruginosa ΔprpL::Gm or PAO1 for 60 min at 23, 32, 37, or 42°C. Digestion products were separated by SDS-PAGE. (C) Approximately 10 μg of lactoferrin (LF) was digested with proteins from supernatants of P. aeruginosa ΔprpL::Gm or PAO1 at 37°C for 60 min. Products were separated by SDS-PAGE, transferred to nitrocellulose, and probed for LF. (D) Approximately 10 μg of transferrin (TF) was digested with proteins from supernatants of P. aeruginosa ΔprpL::Gm or PAO1 at 37°C for 15, 30, and 60 min. Digestion products were analyzed by SDS-PAGE. (E) Approximately 10 μg of decorin (D) was digested with proteins from supernatants of P. aeruginosa ΔprpL::Gm or PAO1 at 37°C for 60 min. Digestion products were analyzed by SDS-PAGE. Lanes M contained molecular size markers.
Incidence of prpL in Pseudomonas spp
An assortment of P. aeruginosa strains, including clinical and environmental isolates, and one strain of P. putida were analyzed by Southern blot hybridization using probes containing sequences internal to prpL. Data from these experiments indicate that 40 of the 41 P. aeruginosa strains examined carry sequences homologous to prpL (data not shown). Sequences homologous to prpL were not detected in the one strain of P. putida examined (data not shown).
Analysis of PrpL expression levels and activity in various P. aeruginosa strains.
Although sequences internal to prpL were detected in all of the P. aeruginosa strains examined, it cannot be assumed that all of the strains produce PrpL. As shown in Fig. 5, there is variation in the PrpL levels, and in the overall amount of secreted proteins, in the P. aeruginosa strains examined. In addition, protease activity from these strains was analyzed by comparing the zones of hydrolysis on BHI skim milk plates from culture supernatants (Fig. 5). Together, these results indicate that the level of PrpL produced correlates with the protease activity of the strains.
FIG. 5.
Proteins from culture supernatants from various P. aeruginosa strains were precipitated and analyzed by SDS-PAGE and for protease activity on BHI skim milk plates. The arrowhead indicates the PrpL band. The molecular masses of the markers (lane M) are indicated to the left.
Competition studies in a chronic pulmonary infection model.
The ability of a P. aeruginosa PAO1 strain that is deficient in the production of PrpL (ΔprpL::Gm) to compete with parental wild-type strain PAO1 in a model infection was examined. The rat lung agarose bead model was chosen for these studies (8). Rats were simultaneously challenged by intratracheal instillation of 107 to 108 P. aeruginosa PAO1 and ΔprpL::Gm organisms encased in agarose beads. The lungs were harvested at 7 days postinfection, and the numbers of PAO1 and ΔprpL::Gm bacteria were evaluated by plate counts on media with and without gentamicin. In this study, the total infectious dose of PAO1 and ΔprpL::Gm cells was 1.6 × 108 CFU and the ratio of PAO1 to ΔprpL::Gm was 1.5. In the rats harvested at 7 days, the ratio of PAO1 to ΔprpL::Gm mutant cells recovered from the rats varied from 14:1 to >100,000:1, with an average of 23,416:1 (Table 3). These data suggest that the ΔprpL::Gm mutant has a reduced capacity to persist in this model after 1 week in competition with the PAO1 parental strain.
TABLE 3.
Persistence of P. aeruginosa PAO1 and ΔprpL::Gm in an agarose bead rat lung model
| Rat no. | Ratio Recovered (PAO1 to ΔprpL::Gm) at 7 days postinoculationa |
|---|---|
| 1 | >30:1 |
| 2 | >14:1 |
| 3 | >54,000:1 |
| 4 | >3,800:1 |
| 5 | >43:1 |
| 6 | >100,000:1 |
Input ratio of PAO1 to ΔprpL::Gm, 1.5:1; total dose, 1.6 × 108 CFU.
Iron and PvdS regulation of prpL.
A diagrammatic representation of the prpL locus is shown in Fig. 6A. To confirm that prpL is iron and PvdS regulated, expression of prpL was analyzed at the transcriptional level by an RNase protection assay using a riboprobe spanning the prpL promoter. Although numerous transcripts were detected, a major protected mRNA fragment of 155 ± 5 nucleotides was detected, which corresponds to a transcriptional start site at ≈65 nucleotides upstream of the prpL start codon (Fig. 6A and B). Transcripts were detected from RNA isolated from cultures grown for 6 and 10 h under low-iron conditions, with the message level increasing with time. Although a very faint band was detected in the ΔpvdS::Gm mutant, levels are dramatically decreased in the ΔpvdS::Gm mutant compared to those in PAO1 (Fig. 6B). Levels of transcription were also examined under microaerobic conditions. Again, a major transcript was detected at 10 h when the cultures were grown under low-iron conditions; however, this level was significantly lower than that detected under aerobic conditions (Fig. 6B). Transcription of the constitutively expressed omlA gene was also analyzed from the same RNA samples and was constant at all time points (data not shown), indicating that equivalent amounts of RNA were used in the reactions. Together, these data indicate that PvdS regulates prpL.
FIG. 6.
Transcriptional analysis of prpL. (A) Promoter region of the prpL gene. The Shine-Dalgarno (S/D) site, the start site of the coding sequence, and the putative transcriptional start sites of T1 and T2 are indicated. The 422- and 727-nt probes used for RNase protection analysis of the prpL gene are shown by black bars. The consensus sequence for the proposed iron starvation box is indicated. (B) RNase protection analysis of P. aeruginosa PAO1 and ΔpvdS::Gm RNAs isolated at the time points shown from cells grown aerobically and microaerobically (5% oxygen) under low (−)- or high (+)-iron conditions and probed with a 422-base riboprobe. The positions of 100- and 200-base RNA size standards are indicated. (C) RNase protection analysis of P. aeruginosa PAO1, ΔpvdS::Gm, and ΔptxR::Gm. RNA was isolated at 10 h from cells grown aerobically under low (−)- and high (+)-iron conditions and probed with a 727-base riboprobe. The relative intensities of the transcripts in panels B and C were quantified with a Bio-Rad Personal FX phosphorimager using Quantity One software (version 4.0.3) from Bio-Rad. The sizes of the RNA fragments in the marker (M) lane are shown.
Role of PtxR in regulation of prpL.
In an iron-limiting environment, Fur positively regulates pvdS and PvdS, in turn, can regulate other genes directly or through other proteins, such as the LysR regulator PtxR. To determine if PvdS directly regulates expression of prpL or if it acts through PtxR, levels of prpL expression were examined in P. aeruginosa PAO1, ΔpvdS::Gm, and ΔptxR::Gm. A 727-bp riboprobe generated from a sequence internal to the prpL coding sequence was used in RNase protection assays (Fig. 6A). As shown in Fig. 6C, prpL mRNA levels from either PAO1 or ΔptxR::Gm were decreased when cultures were grown in a low-iron medium rather than a high-iron medium. In contrast, no significant difference in expression levels was detected in ΔpvdS::Gm, supporting the conclusion that prpL is regulated by PvdS. These data indicate that while prpL is regulated by PvdS, it is not regulated by PtxR.
DISCUSSION
Understanding the environmental cues responsible for the expression of virulence factors continues to be a focus of research in microbial pathogenesis. In P. aeruginosa, two major players involved in iron regulation are Fur and PvdS, which directly or indirectly regulate other genes, such as regulatory genes (e.g., ptxR and regA), genes required for iron acquisition (e.g., siderophores), and genes contributing to virulence (e.g., toxA). Here, we present evidence that PvdS also regulates prpL, a gene encoding an extracellular endoprotease.
Proteases are responsible for a variety of complex physiological and pathogenic functions in bacteria. They are intimately involved in protein turnover, enzyme modification and processing, gene regulation, and acquisition of nutrients. Moreover, microbial proteases can be involved in activating eukaryotic proteases that, in turn, can have potent pathogenic consequences. Because iron is an essential microelement required for most living organisms, the ability of P. aeruginosa to scavenge iron from its environment, whether that be the soil or a mammalian host, is essential. P. aeruginosa carries a redundant armamentarium of genes responsible for iron acquisition that may ultimately induce tissue injury. For example, elastase is able to degrade both lactoferrin and transferrin, thereby increasing the availability of iron for P. aeruginosa (11). Elastase can also degrade immunoglobulin (10, 20), collagen (21), and elastin (31, 60). Finally, elastase can act synergistically with alkaline protease to inactivate the human cytokines gamma interferon and tumor necrosis factor alpha (37).
Protease activity in P. aeruginosa has been correlated with the site of isolation (24) and has been used as a predictor of potential invasiveness (25). For example, elastase and increased protease activities were associated preferentially with clinical isolates of systemic origin, suggesting that they may play a role in dissemination from local or superficial sites (25). In the past, it has been recognized that some of the protease production in P. aeruginosa is regulated by iron. However, to our knowledge, no specific genes encoding specific proteases have been identified that are also known to be regulated by proteins such as PvdS and Fur. Elastase production is regulated by quorum sensing (39) and by zinc at the translational level (7). In this study, comparison of pyoverdine production and proteolytic and elastolytic activities in P. aeruginosa PAO1 and a ΔpvdS::Gm mutant indicated that PvdS is either directly or indirectly involved in the regulation of such activities. Analysis of extracellular proteins from P. aeruginosa PAO1 and the ΔpvdS::Gm mutant led to the identification of several proteins present in P. aeruginosa PAO1 but not detected in ΔpvdS::Gm (Fig. 1). The N terminus of the 27-kDa protease described here is identical to that of protease IV described by Engel et al. (12) in P. aeruginosa strain PA103-29. Although the gene encoding protease IV has not been identified, Engel et al. demonstrated that a protease IV-deficient strain had reduced corneal virulence compared to that of PA103-29 in both a rabbit intrastromal model and a mouse topical model of infection (13, 14). In addition, amino acid analysis revealed that the N terminus of this 27-kDa protein is homologous to the N terminus of an ArgC endoprotease from L. enzymogenes. A genome search for this N terminus led to the nucleotide sequence of this endoprotease and subsequent cloning of the gene from P. aeruginosa PAO1 encoding a protein that is 44% identical to the L. enzymogenes endoprotease (Fig. 2). Analysis of the predicted amino acid sequence of PrpL revealed that the active site containing the Ser-His-Asp triad in the endoprotease of L. enzymogenes is conserved in the P. aeruginosa endoprotease. Also of interest is the Arg-Gly-Asp (RGD) motif present in the endoprotease from P. aeruginosa (Fig. 2). The RGD motif is critical for ligand recognition by many integrins (57). Streptococcus pyogenes produces a cysteine protease (SpeB), a major virulence factor (29), containing an RGD motif that binds host cell integrin (51). The crystal structure of SpeB revealed that this motif, indeed, has a surface location (26). Studies to investigate the significance of this RGD motif are under way.
Lactoferrin and transferrin are normal components of airway secretions (52) and contribute to host defense in two major ways. First, they limit the availability of iron for use by microbial pathogens. Second, when iron is bound to these proteins, it is unable to catalyze hydroxyl radical formation from neutrophil-derived superoxide and hydrogen peroxide in the Haber-Weiss reaction (2). If the formation of these superoxides and hydrogen peroxides occurs, they can contribute to lung injury. P. aeruginosa counteracts these iron-binding proteins with its siderophores pyoverdine and pyochelin. Ankenbauer et al. (1) have shown that pyoverdine and pyochelin promote the growth of P. aeruginosa when they are added to medium with iron-transferrin or human serum as the iron source. Döring et al. (11) have shown that cleavage of diferric transferrin by elastase enhances the ability of the P. aeruginosa pyoverdine to obtain iron. In addition, cleavage of ferritransferrin by elastase generates an iron chelate(s) which may be a highly effective catalyst for the Haber-Weiss reaction (5). Therefore, proteases may act cooperatively to increase the availability of free iron and cause tissue damage. Our data demonstrate that extracellular proteins from P. aeruginosa PAO1 can degrade lactoferrin and, to a lesser extent, transferrin (Fig. 4A and D). In addition to degrading iron-binding proteins, PrpL has elastase activity (data not shown) which may be advantageous in an in vivo environment by causing cell damage. Finally, the ability of PrpL to degrade decorin may have some significant consequences during infection. Decorin is a proteoglycan ubiquitously distributed in the extracellular matrix of mammals. Upon degradation, decorin can release dermatan sulfate, which can bind to neutrophil-derived α-defensin, neutralizing its bactericidal activity (45).
Variation among strains in protease production has been documented (24, 25, 31). In this study, all but one of the P. aeruginosa strains examined carry sequences homologous to prpL (data not shown); however, expression of PrpL is variable (Fig. 5). In addition, the protease activity of extracellular proteins from the various strains correlates with PrpL production. Lack of expression in some of the strains could be due to a mutation in the promoter region or perhaps a missense or nonsense mutation in the coding region; however, this has not yet been investigated. In addition, we have not ruled out the possibility that variation is prpL expression is due to differences or mutations in regulators of prpL. Strains that produce PrpL may have a selective advantage in the lung due to their ability to scavenge iron from lactoferrin and cause tissue damage. However, these experiments did not exclude the possibility of the ability of the ΔprpL::Gm mutant strain to scavenge the degradation products produced by the PrpL secreted by strain PAO1. In this regard, we found that a P. aeruginosa ΔprpL::Gm mutant strain competes less well with the parental PAO1 strain in competitive index studies in the agarose bead rat lung model (Table 3).
Analysis of RNase protection assays indicated that prpL is indeed regulated by PvdS. As shown in Fig. 6B, we demonstrated that expression is increased under low-iron conditions, in comparison with high-iron conditions, during log growth under aerobic conditions. In contrast, transcription decreases in response to low oxygen tension. This pattern of transcriptional regulation is similar to that seen for the iron- and oxygen-regulated toxA gene, which encodes exotoxin A (33). In addition to PvdS, optimal expression of toxA requires PtxR (54), which belongs to the LysR family of regulators. Consequently, it seemed reasonable that PtxR may be required for prpL expression. However, as shown in Fig. 6C, PtxR does not affect transcription levels of prpL. These data and those of others (33) indicate that although PvdS regulates both toxA and prpL, there are important differences in the regulation of these iron-responsive genes. A DNA sequence motif was identified by Rombel et al. (41) that is required for promoter activity in several PvdS-dependent pyoverdine promoters. This iron starvation box has the consensus sequence for the pyoverdine genes of TAAAT-16 nucleotides (nt)-CGT and is located 10 nt before the +1 site (59). This sequence was also found in the exotoxin A promoters, in a P. putida siderophore promoter, and in a Pseudomonas sp. strain M114 iron-regulated promoter (41). Wilson and Lamont (58) proposed that the helix-turn-helix of PvdS recognizes this motif. Analysis of the sequence 5′ to the transcription start site of prpL revealed a sequence that differs by only 1 nt from this consensus, suggesting that PvdS directly regulates prpL.
In summary, data presented here show that prpL encodes a PvdS-regulated endoprotease that degrades casein, lactoferrin, transferrin, elastase, and decorin. In the future, additional substrates for PrpL may be identified, as well as the steps involved in the processing of PrpL. In addition, it will be interesting to determine if PrpL levels correlate with invasiveness. Thus far, regulation of prpL has only been investigated with respect to iron and oxygen levels. Although we have shown that PtxR is not involved in the regulation of prpL, other regulatory factors may contribute to its regulation. The study presented here, identifying and characterizing a PvdS-regulated endoprotease, provides more evidence for the redundancy in the P. aeruginosa genome which contributes to its success as an opportunistic pathogen.
ACKNOWLEDGMENTS
We thank Urs Ochsner for technical assistance and valuable discussions. We thank Frank Accurso, Yoichi Hirakata, Joan Olson, and David Speert for providing strains used in this study.
This work was supported by a grant from the National Institute of Allergy and Infectious Diseases (AI-15940) to M.L.V. and a fellowship from the CF Foundation (WILDER00F0) to P.J.W.
REFERENCES
- 1.Ankenbauer R, Sriyosachati S, Cox C D. Effects of siderophores on the growth of Pseudomonas aeruginosa in human serum and transferrin. Infect Immun. 1985;49:132–140. doi: 10.1128/iai.49.1.132-140.1985. [DOI] [PMC free article] [PubMed] [Google Scholar]
- 2.Baldwin D A, Jenny E R, Aisen P. The effect of human serum transferrin and milk lactoferrin on hydroxyl radical formation from superoxide and hydrogen peroxide. J Biol Chem. 1984;259:13391–13394. [PubMed] [Google Scholar]
- 3.Barton H A, Johnson Z, Cox C D, Vasil A I, Vasil M L. Ferric uptake regulator mutants of Pseudomonas aeruginosa with distinct alterations in the iron-dependent repression of exotoxin A and siderophores in aerobic and microaerobic environments. Mol Microbiol. 1996;21:10001–10017. doi: 10.1046/j.1365-2958.1996.381426.x. [DOI] [PubMed] [Google Scholar]
- 4.Boyer H W, Rolland-Dussoix D. A complementation analysis of the restriction and modification of DNA in Escherichia coli. J Mol Biol. 1969;41:459–472. doi: 10.1016/0022-2836(69)90288-5. [DOI] [PubMed] [Google Scholar]
- 5.Britigan B E, Edeker B L. Pseudomonas and neutrophil products modify transferrin and lactoferrin to create conditions that favor hydroxyl radical formation. J Clin Investig. 1991;88:1092–1102. doi: 10.1172/JCI115408. [DOI] [PMC free article] [PubMed] [Google Scholar]
- 6.Britigan B E, Hayek M B, Doebbeling B N, Fick R B., Jr Transferrin and lactoferrin undergo proteolytic cleavage in the Pseudomonas aeruginosa-infected lungs of patients with cystic fibrosis. Infect Immun. 1993;61:5049–5055. doi: 10.1128/iai.61.12.5049-5055.1993. [DOI] [PMC free article] [PubMed] [Google Scholar]
- 7.Brumlik M J, Storey D G. Zinc and iron regulate translation of the gene encoding Pseudomonas aeruginosa elastase. Mol Microbiol. 1992;6:337–344. doi: 10.1111/j.1365-2958.1992.tb01476.x. [DOI] [PubMed] [Google Scholar]
- 8.Cash H A, Woods D E, McCullough B, Johanson W G, Jr, Bass J A. A rat model of chronic respiratory infection with Pseudomonas aeruginosa. Am Rev Respir Dis. 1979;119:453–459. doi: 10.1164/arrd.1979.119.3.453. [DOI] [PubMed] [Google Scholar]
- 9.de Lorenzo V, Eltis L, Kessler B, Timmis K N. Analysis of Pseudomonas gene products using lacIq/Ptrp-lac plasmids and transposons that confer conditional phenotypes. Gene. 1993;123:17–24. doi: 10.1016/0378-1119(93)90533-9. [DOI] [PubMed] [Google Scholar]
- 10.Döring G, Obernesser H J, Botzenhart K. Extracellular toxins of Pseudomonas aeruginosa. II. Effect of two proteases on human immunoglobulins IgG, IgA and secretory IgA. Zentralbl Bakteriol. 1981;249:89–98. [PubMed] [Google Scholar]
- 11.Döring G, Pfestorf M, Botzenhart K, Abdallah M A. Impact of proteases on iron uptake of Pseudomonas aeruginosa pyoverdin from transferrin and lactoferrin. Infect Immun. 1988;56:291–293. doi: 10.1128/iai.56.1.291-293.1988. [DOI] [PMC free article] [PubMed] [Google Scholar]
- 12.Engel L S, Hill J M, Caballero A R, Green L C, O'Callaghan R J. Protease IV, a unique extracellular protease and virulence factor from Pseudomonas aeruginosa. J Biol Chem. 1998;273:16792–16797. doi: 10.1074/jbc.273.27.16792. [DOI] [PubMed] [Google Scholar]
- 13.Engel L S, Hill J M, Moreau J M, Green L C, Hobden J A, O'Callaghan R J. Pseudomonas aeruginosa protease IV produces corneal damage and contributes to bacterial virulence. Investig Ophthalmol Vis Sci. 1998;39:662–665. [PubMed] [Google Scholar]
- 14.Engel L S, Hobden J A, Moreau J M, Callegan M C, Hill J M, O'Callaghan R J. Pseudomonas deficient in protease IV has significantly reduced corneal virulence. Investig Ophthalmol Vis Sci. 1997;38:1535–1542. [PubMed] [Google Scholar]
- 15.Farley P. Ph.D. thesis. Dunedin, New Zealand: University of Otago; 1985. [Google Scholar]
- 16.Ferguson M W, Maxwell J A, Vincent T S, da Silva J, Olson J C. Comparison of the exoS gene and protein expression in soil and clinical isolates of Pseudomonas aeruginosa. Infect Immun. 2001;69:2198–2210. doi: 10.1128/IAI.69.4.2198-2210.2001. [DOI] [PMC free article] [PubMed] [Google Scholar]
- 17.Figurski D, Helinski D R. Replication of an origin-containing derivative of plasmid RK2 dependent on a plasmid function provided in trans. Proc Natl Acad Sci USA. 1979;76:1648–1652. doi: 10.1073/pnas.76.4.1648. [DOI] [PMC free article] [PubMed] [Google Scholar]
- 18.Finkelstein R A, Sciortino C V, McIntosh M A. Role of iron in microbe-host interactions. Rev Infect Dis. 1983;5(Suppl. 4):S759–S777. doi: 10.1093/clinids/5.supplement_4.s759. [DOI] [PubMed] [Google Scholar]
- 19.Gambello M J, Iglewski B H. Cloning and characterization of the Pseudomonas aeruginosa lasR gene: a transcriptional activator of elastase expression. J Bacteriol. 1991;173:3000–3009. doi: 10.1128/jb.173.9.3000-3009.1991. [DOI] [PMC free article] [PubMed] [Google Scholar]
- 20.Heck L W, Alarcon P G, Kulhavy R M, Morihara K, Russell M W, Mestecky J F. Degradation of IgA proteins by Pseudomonas aeruginosa elastase. J Immunol. 1990;144:2253–2257. [PubMed] [Google Scholar]
- 21.Heck L W, Morihara K, McRae W B, Miller E J. Specific cleavage of human type III and IV collagens by Pseudomonas aeruginosa elastase. Infect Immun. 1986;51:115–118. doi: 10.1128/iai.51.1.115-118.1986. [DOI] [PMC free article] [PubMed] [Google Scholar]
- 22.Hirakata Y, Finlay B B, Simpson D A, Kohno S, Kamihira S, Speert D P. Penetration of clinical isolates of Pseudomonas aeruginosa through MDCK epithelial cell monolayers. J Infect Dis. 2000;181:765–769. doi: 10.1086/315276. [DOI] [PubMed] [Google Scholar]
- 23.Holloway B W, Krishnapillai V, Morgan A F. Chromosomal genetics of Pseudomonas. Microbiol Rev. 1979;43:73–102. doi: 10.1128/mr.43.1.73-102.1979. [DOI] [PMC free article] [PubMed] [Google Scholar]
- 24.Janda J M, Atang-Nomo S, Bottone E J, Desmond E P. Correlation of proteolytic activity of Pseudomonas aeruginosa with site of isolation. J Clin Microbiol. 1980;12:626–628. doi: 10.1128/jcm.12.4.626-628.1980. [DOI] [PMC free article] [PubMed] [Google Scholar]
- 25.Janda J M, Bottone E J. Pseudomonas aeruginosa enzyme profiling: predictor of potential invasiveness and use as an epidemiological tool. J Clin Microbiol. 1981;14:55–60. doi: 10.1128/jcm.14.1.55-60.1981. [DOI] [PMC free article] [PubMed] [Google Scholar]
- 26.Kagawa T F, Cooney J C, Baker H M, McSweeney S, Liu M, Gubba S, Musser J M, Baker E N. Crystal structure of the zymogen form of the group A Streptococcus virulence factor SpeB: an integrin-binding cysteine protease. Proc Natl Acad Sci USA. 2000;97:2235–2240. doi: 10.1073/pnas.040549997. [DOI] [PMC free article] [PubMed] [Google Scholar]
- 27.King E O, Ward M K, Raney D E. Two simple media for the demonstration of pyocyanin and fluorescin. J Lab Clin Med. 1954;44:301–307. [PubMed] [Google Scholar]
- 28.Lui P. The roles of various fractions of Pseudomonas aeruginosa in its pathogenesis. II. Effects of lecithinase and protease. J Infect Dis. 1966;16:112–116. doi: 10.1093/infdis/116.1.112. [DOI] [PubMed] [Google Scholar]
- 29.Lukomski S, Sreevatsan S, Amberg C, Reichardt W, Woischnik M, Podbielski A, Musser J M. Inactivation of Streptococcus pyogenes extracellular cysteine protease significantly decreases mouse lethality of serotype M3 and M49 strains. J Clin Investig. 1997;99:2574–2580. doi: 10.1172/JCI119445. [DOI] [PMC free article] [PubMed] [Google Scholar]
- 30.Meyer J M, Abdallah M A. The fluorescent pigment of Pseudomonas fluorescens: biosynthesis, purification and physicochemical properties. J Microbiol. 1978;107:319–328. [Google Scholar]
- 31.Morihara K. Production of elastase and proteinase by Pseudomonas aeruginosa. J Bacteriol. 1964;88:745–757. doi: 10.1128/jb.88.3.745-757.1964. [DOI] [PMC free article] [PubMed] [Google Scholar]
- 32.Nunn D, Bergman S, Lory S. Products of three accessory genes, pilB, pilC, and pilD, are required for biogenesis of Pseudomonas aeruginosa pili. J Bacteriol. 1990;172:2911–2919. doi: 10.1128/jb.172.6.2911-2919.1990. [DOI] [PMC free article] [PubMed] [Google Scholar]
- 33.Ochsner U A, Johnson Z, Lamont I L, Cunliffe H E, Vasil M L. Exotoxin A production in Pseudomonas aeruginosa requires the iron-regulated pvdS gene encoding an alternative sigma factor. Mol Microbiol. 1996;21:1019–1028. doi: 10.1046/j.1365-2958.1996.481425.x. [DOI] [PubMed] [Google Scholar]
- 34.Ochsner U A, Vasil M L. Gene repression by the ferric uptake regulator in Pseudomonas aeruginosa: cycle selection of iron-regulated genes. Proc Natl Acad Sci USA. 1996;93:4409–4414. doi: 10.1073/pnas.93.9.4409. [DOI] [PMC free article] [PubMed] [Google Scholar]
- 35.Ohman D E, Cryz S J, Iglewski B H. Isolation and characterization of Pseudomonas aeruginosa PAO mutant that produces altered elastase. J Bacteriol. 1980;142:836–842. doi: 10.1128/jb.142.3.836-842.1980. [DOI] [PMC free article] [PubMed] [Google Scholar]
- 36.Olson J C, Ohman D E. Efficient production and processing of elastase and LasA by Pseudomonas aeruginosa require zinc and calcium ions. J Bacteriol. 1992;174:4140–4147. doi: 10.1128/jb.174.12.4140-4147.1992. [DOI] [PMC free article] [PubMed] [Google Scholar]
- 37.Parmely M, Gale A, Clabaugh M, Horvat R, Zhou W W. Proteolytic inactivation of cytokines by Pseudomonas aeruginosa. Infect Immun. 1990;58:3009–3014. doi: 10.1128/iai.58.9.3009-3014.1990. [DOI] [PMC free article] [PubMed] [Google Scholar]
- 38.Passador L, Cook J M, Gambello M J, Rust L, Iglewski B H. Expression of Pseudomonas aeruginosa virulence genes requires cell-to-cell communication. Science. 1993;260:1127–1130. doi: 10.1126/science.8493556. [DOI] [PubMed] [Google Scholar]
- 39.Pearson J P, Pesci E C, Iglewski B H. Roles of Pseudomonas aeruginosa las and rhl quorum-sensing systems in control of elastase and rhamnolipid biosynthesis genes. J Bacteriol. 1997;179:5756–5767. doi: 10.1128/jb.179.18.5756-5767.1997. [DOI] [PMC free article] [PubMed] [Google Scholar]
- 40.Rahme L G, Stevens E J, Wolfort S F, Shao J, Tompkins R G, Ausubel F M. Common virulence factors for bacterial pathogenicity in plants and animals. Science. 1995;268:1899–1902. doi: 10.1126/science.7604262. [DOI] [PubMed] [Google Scholar]
- 41.Rombel I T, McMorran B J, Lamont I L. Identification of a DNA sequence motif required for expression of iron-regulated genes in pseudomonads. Mol Gen Genet. 1995;246:519–528. doi: 10.1007/BF00290456. [DOI] [PubMed] [Google Scholar]
- 42.Rust L, Messing C R, Iglewski B H. Elastase assays. Methods Enzymol. 1994;235:554–562. doi: 10.1016/0076-6879(94)35170-8. [DOI] [PubMed] [Google Scholar]
- 43.Sambrook J, Fritsch E F, Maniatis T. Molecular cloning: a laboratory manual. 2nd ed. Cold Spring Harbor, N.Y: Cold Spring Harbor Laboratory Press; 1989. [Google Scholar]
- 44.Sanger F, Nicklen S, Coulson A R. DNA sequencing with chain-terminating inhibitors. Proc Natl Acad Sci USA. 1977;74:5463–5467. doi: 10.1073/pnas.74.12.5463. [DOI] [PMC free article] [PubMed] [Google Scholar]
- 45.Schmidtchen A, Frick I-M, Bjorck L. Dermatan sulphate is released by proteinases of common pathogenic bacteria and inactivates antibacterial α-defensin. Mol Microbiol. 2001;39:708–713. doi: 10.1046/j.1365-2958.2001.02251.x. [DOI] [PubMed] [Google Scholar]
- 46.Schweizer H P, Hoang T T. An improved system for gene replacement and xylE fusion analysis in Pseudomonas aeruginosa. Gene. 1995;158:15–22. doi: 10.1016/0378-1119(95)00055-b. [DOI] [PubMed] [Google Scholar]
- 47.Simon R, Priefer U, Puehler A. A broad host range mobilization system for in vivo genetic engineering: transposon mutagenesis in Gram-negative bacteria. Bio/Technology. 1983;1:784–791. [Google Scholar]
- 48.Sokol P A, Ohman D E, Iglewski B H. A more sensitive plate assay for detection of protease production by Pseudomonas aeruginosa. J Clin Microbiol. 1979;9:538–540. doi: 10.1128/jcm.9.4.538-540.1979. [DOI] [PMC free article] [PubMed] [Google Scholar]
- 49.Stanislavsky E S, Makarenko T A, Kozhenova T E. Specific and nonspecific mouse protection induced by different chemotypes of the Pseudomonas aeruginosa lipopolysaccharide. FEMS Microbiol Immun. 1992;105:181–190. doi: 10.1111/j.1574-6968.1992.tb05900.x. [DOI] [PubMed] [Google Scholar]
- 50.Stintzi A, Johnson Z, Stonehouse M, Ochsner U, Meyer J M, Vasil M L, Poole K. The pvc gene cluster of Pseudomonas aeruginosa: role in synthesis of the pyoverdine chromophore and regulation by PtxR and PvdS. J Bacteriol. 1999;181:4118–4124. doi: 10.1128/jb.181.13.4118-4124.1999. [DOI] [PMC free article] [PubMed] [Google Scholar]
- 51.Stockbauer K E, Magoun L, Liu M, Burns E H, Gubba S, Renish S, Pan X, Bodary S C, Baker E, Coburn J, Leong J M, Musser J M. A natural variant of the cysteine protease virulence factor of group A Streptococcus with an arginine-glycine-aspartic acid (RGD) motif preferentially binds human integrins alphavbeta3 and alphaIIbbeta3. Proc Natl Acad Sci USA. 1999;96:242–247. doi: 10.1073/pnas.96.1.242. [DOI] [PMC free article] [PubMed] [Google Scholar]
- 52.Thompson A B, Bohling T, Payvandi F, Rennard S I. Lower respiratory tract lactoferrin and lysozyme arise primarily in the airways and are elevated in association with chronic bronchitis. J Lab Clin Med. 1990;115:148–158. [PubMed] [Google Scholar]
- 53.Vasil M L, Chamberlain C, Grant C C. Molecular studies of Pseudomonas exotoxin A gene. Infect Immun. 1986;52:538–548. doi: 10.1128/iai.52.2.538-548.1986. [DOI] [PMC free article] [PubMed] [Google Scholar]
- 54.Vasil M L, Ochsner U A, Johnson Z, Colmer J A, Hamood A N. The Fur-regulated gene encoding the alternative sigma factor PvdS is required for iron-dependent expression of the LysR-type regulator PtxR in Pseudomonas aeruginosa. J Bacteriol. 1998;180:6784–6788. doi: 10.1128/jb.180.24.6784-6788.1998. [DOI] [PMC free article] [PubMed] [Google Scholar]
- 55.Venturi V, Ottevanger C, Bracke M, Weisbeek P. Iron regulation of siderophore biosynthesis and transport in Pseudomonas putida WCS358: involvement of a transcriptional activator and of the Fur protein. Mol Microbiol. 1995;18:1081–1093. doi: 10.1111/j.1365-2958.1995.tb02283.x. [DOI] [PubMed] [Google Scholar]
- 56.West S E, Iglewski B H. Codon usage in Pseudomonas aeruginosa. Nucleic Acids Res. 1988;16:9323–9335. doi: 10.1093/nar/16.19.9323. [DOI] [PMC free article] [PubMed] [Google Scholar]
- 57.Wickham T J, Mathias P, Cheresh D A, Nemerow G R. Integrins alpha v beta 3 and alpha v beta 5 promote adenovirus internalization but not virus attachment. Cell. 1993;73:309–319. doi: 10.1016/0092-8674(93)90231-e. [DOI] [PubMed] [Google Scholar]
- 58.Wilson M J, Lamont I L. Characterization of an ECF sigma factor protein from Pseudomonas aeruginosa. Biochem Biophys Res Commun. 2000;273:578–583. doi: 10.1006/bbrc.2000.2996. [DOI] [PubMed] [Google Scholar]
- 59.Wilson M J, McMorran B J, Lamont I L. Analysis of promoters recognized by PvdS, an extracytoplasmic-function sigma factor protein from Pseudomonas aeruginosa. J Bacteriol. 2001;183:2151–2155. doi: 10.1128/JB.183.6.2151-2155.2001. [DOI] [PMC free article] [PubMed] [Google Scholar]
- 60.Wretlind B, Wadstrom T. Purification and properties of a protease with elastase activity from Pseudomonas aeruginosa. J Gen Microbiol. 1977;103:319–327. doi: 10.1099/00221287-103-2-319. [DOI] [PubMed] [Google Scholar]
- 61.Wright D S, Graham L D, Jennings P A. Cloning a Lysobacter enzymogenes gene that encodes an arginyl endopeptidase (endoproteinase Arg-C) Biochim Biophys Acta. 1998;143:369–374. doi: 10.1016/s0167-4781(98)00228-0. [DOI] [PubMed] [Google Scholar]






