Abstract
Long COVID is a novel syndrome characterizing new or persistent symptoms weeks after COVID-19 infection and involving multiple organ systems. This review summarizes the gastrointestinal and hepatobiliary sequelae of long COVID syndrome. It describes potential biomolecular mechanisms, prevalence, preventative measures, potential therapies, and health care and economic impact of long COVID syndrome, particularly of its gastrointestinal (GI) and hepatobiliary manifestations.
Keywords: Long COVID, Chronic COVID, COVID-19 infection, Pandemic, Gastrointestinal, Hepatobiliary
Key points
-
•
Long (chronic) COVID syndrome is an evolving multisystem disease occurring 4 to 12 weeks after acute COVID-19 infection.
-
•
Gastrointestinal (GI) and hepatobiliary manifestations of long COVID syndrome are common.
-
•
Abdominal pain, nausea and vomiting, diarrhea, constipation, loss of taste, loss of appetite, weight loss, postinfectious irritable bowel syndrome, dyspepsia, and post-COVID cholangiopathy are GI and hepatobiliary sequelae of long COVID syndrome.
-
•
Vaccination against COVID-19 is currently the best measure to prevent long COVID sequelae.
-
•
Long COVID is likely to pose a significant strain on the health-care system in terms of outpatient care and economic costs in the future.
Background
The COVID-19 pandemic has affected more than 590 million people with about 6 million deaths worldwide to date.1 For many COVID-19 infection has been a transient and acute illness. However, some have experienced a persistence or new development of symptoms not attributable to alternative causes. This has created a new medical disease/syndrome to characterize a postacute COVID-19 syndrome now known as “long COVID,” which is referred to throughout this review (other designations include post–COVID-19 syndrome, post-COVID conditions, postacute COVID-19, or chronic COVID).2 Evidence is accumulating that long COVID is a multiorgan disease, involving the cardiopulmonary, neurologic, gastrointestinal (GI), nephrological, and other systems.3 , 4 Substantial debate exists regarding the delineation of long COVID syndrome. The National Institute for Health and Care Excellence defines long COVID as sustained symptoms after acute COVID-19, not attributable to alternative diagnoses, including symptomatic COVID-19 from more than 4 to 12 weeks and post–COVID-19 syndrome more than 12 weeks postinfection.5 The US Centers for Disease Control and Prevention (CDC) demarcates long COVID as prolonged sequelae greater than 4 weeks postinfection.6 Due to varying definitions, the prevalence of long COVID syndrome is reported with a wide range from 10% to 87% of patients who were afflicted with COVID-19 infection.3 , 7 , 8 If a 10% prevalence is selected more than 50 million patients would be afflicted with long-COVID.9
The associated risk factors and precipitants of long COVID syndrome remain abstruse. Although poor baseline health and severe acute COVID-19 illness have been associated with the development of long COVID,10 puzzlingly it also frequently occurs in patients with mild-to-moderate disease not requiring critical care or respiratory support.11, 12, 13, 14
It is apparent though that long COVID is likely to herald growing challenges to the health-care system.6 , 15 Long COVID syndrome has extensive economic influence because residual symptoms can cause a loss of quality of life and earnings and an increase in medical spending. The incidence, costs, and impact of long COVID are continually being revised so the impact is difficult to estimate. Recent estimates suggest that long COVID syndrome could cost up to USD 3.7 trillion, with 59% of the total cost secondary to loss of quality of life. For perspective, the economic cost would rival the cost of the Great Recession.16 , 17 This cost amounts to USD 11,000 per person, or approximately 17% of the pre-COVID US gross domestic product (GDP).16 , 17 In this case, the increased health-care utilization alone would cost USD 528 billion in total.16 , 17 Patient’s self-reported experiences agree with these estimates as surveys from the COVID-19 Longhauler Advocacy Project suggest that more than 42% of patients with long COVID have medical bills more than USD 5000 and 51% are able to work fewer hours due to long COVID.18
This article reviews long-COVID syndrome in relation to the GI and hepatobiliary systems.
Brief overview of long COVID syndrome
Part of the difficulty in defining the incidence of long COVID syndrome is that it can affect almost all organ systems with various clinical presentations. Furthermore, for each long COVID sign and symptom, it is not clear if it is due to sequelae from the initial COVID infection or if it is a de novo pathologic process. This review emphasizes the manifestations of long COVID in the GI tract but first summarizes below some of the common manifestations occurring throughout the body (Fig. 1 ).
Fig. 1.
Systemic manifestations of long COVID syndrome across multiple organ systems.
(Data cited as prevalence % (95% CI) from Lopez-Leon S, Wegman-Ostrosky T, Perelman C, et al. More than 50 long-term effects of COVID-19: a systematic review and meta-analysis. Scientific Reports. 2021;11(1):16144; and Choudhury A, Tariq R, Jena A, et al. Gastrointestinal manifestations of long COVID: A systematic review and meta-analysis. Therap Adv Gastroenterol. 2022;15:17562848221118403).
Cardiovascular
-
•
Chest pain can occur in 21% of patients with symptoms persisting in 9% up to 6 months.8 , 19 , 20 Palpitations can occur in 9% at 6 months.19 The acute phase of COVID-19 can be associated with acute myocardial infarction secondary to thrombosis, myocarditis, heart failure, and arrhythmia. Therefore, it is not surprising in a large study using national health-care databases from the US Department of Veterans Affairs estimated the risks and 1-year burdens of cardiovascular outcomes in patients who had COVID-19 was substantially increased for the spectrum of cardiovascular diseases versus controls, including inflammatory heart disease hazard ratio (HR) 2.02 (95%CI: 1.77, 2.30), ischemic heart disease 1.66 (95%CI: 1.52, 1.80), arrhythmia HR 1.69 (95%CI: 1.64, 1.75), thromboembolic disorders HR 2.39 (95%CI: 2.27, 2.51) and major adverse cardiovascular events HR 1.55 (95%CI: 1.50, 1.60).15
Neurologic/Psychiatric
-
•
In a systematic review and meta-analysis, the authors identified a myriad of neurologic and psychiatric symptoms including memory loss (16%), anxiety (13%), headache (44%), fatigue (58%), sleep disorder (11%), and stroke (3%).21 Much rarer symptoms include seizures, myelitis, and encephalopathy.22 , 23 Despite the common neurologic symptoms being nonspecific and possibly multifactorial, there exists a strong biological plausibility of direct neurologic involvement of COVID-19 because SARS-CoV-2 RNA has been found in brain specimens as well as neuropathological abnormalities such as microgliosis, astrogliosis, edema, and hemorrhagic lesions. Whether these findings are due to neuroinvasion or a brain inflammatory lesion with hypoxic/ischemic injury is still currently debated but the latter is more likely.24
Pulmonary
-
•
COVID-19 is primarily a respiratory virus and its respiratory effects and pathologic condition have been documented extensively. COVID-19 initially infects respiratory epithelium and leads to extensive chronic inflammation and fibrotic changes in the lungs. Hypercoagulable states can lead to pulmonary embolism. The sequela from the acute dysfunction leads to long-term consequences with high prevalence such as dyspnea (24%), cough (19%), and pulmonary fibrosis (5%).21
Renal
-
•
During the acute phase of COVID-19 acute kidney injury (AKI) is quite common with a prevalence as high as 28% and a need for dialysis as high as 9%.25 This may be cytokine mediated, hemodynamic mediated, or even possibly direct cytopathic effects of the virus. These acute effects frequently linger and result in chronic kidney disease because renal function may never return to normal. Even patients who do not demonstrate any degree of AKI during their initial infection have been shown to have greater declines in eGFR and higher rates of major adverse kidney events during follow-up when compared with controls.19 , 26 , 27
Potential mechanisms of long-COVID in Gastrointestinal tract
The mucosal layer of the GI tract is a protective barrier composed of intestinal epithelial cells and mucin-producing goblet cells.28 , 29 A virus that could systematically dismantle this protective barrier in the GI tract can precipitate GI symptoms and produce inflammatory changes with attendant consequences.
The pathophysiological mechanisms of long COVID remain poorly understood. Hypotheses to explain ongoing sequelae of long COVID include the following2:
-
1.
Direct viral toxicity, vessel injury, microthrombosis, or macrothrombosis resulting in tissue damage, as occurring in acute COVID-19 infection,28, 29, 30, 31, 32
-
2.
Persistent low-level replication of the virus or of viral antigens resulting in inadequate viral clearance,14 , 33
-
3.
Perpetuating inflammation and autoimmune responses to COVID-19 infection resulting in ongoing tissue injury,34
- 4.
-
5.
Increased awareness and reporting of symptoms diffusely associated with COVID-19, and
-
6.
Consequences of therapies of COVID-19 infection, particularly aggressive therapies in the setting of critical COVID-19 infection with prolonged recovery.
Direct Viral Toxicity, Vessel Injury, Microthrombosis, Macrothrombosis
COVID-19 infection results from the SARS-CoV-2 virus, which infects host cells by binding viral spike glycoprotein to the angiotensin converting enzyme 2 (ACE2) receptor. The integration of the SARS-CoV-2 virus into the host cell then allows for viral replication, shedding, and release of downstream inflammatory cytokines.28 , 29 Notably ACE2 receptors, or the entry gates for SARS-CoV-2 virus, are present in a myriad of organ systems located throughout the human body including the lungs, heart, brain, kidneys, GI tract, and liver.39 These are often the same systems implicated in long COVID. Direct viral injury via ACE2 receptors may be predictive of the downstream organ-specific symptomology occurring in this syndrome. GI and hepatobiliary systems are susceptible to severe acute respiratory infection (SARS-CoV2) as host intestinal epithelial cells and cholangiocytes show high levels of expression of the virus’s entry receptor, ACE2.40, 41, 42 Studies with human intestinal organoids, or a cultured “mini-gut” in a dish, demonstrated direct viral injury by showing that SARS-CoV-2 replicates robustly within enterocytes and subsequently produces large amounts of infective virus particles in the intestine.43
Furthermore, endothelial cell damage due to direct viral entry can trigger inflammatory and prothrombotic pathways, including increased thrombin production, inhibition of fibrinolysis, complement pathway activation, and precipitating thromboinflammation, which causes microthrombi deposition and microvascular dysfunction. This endothelial injury triggered by COVID-19 infection has been found in the vascular beds of multiple organs, including small intestine, liver, lungs, kidney, and heart.30, 31, 32
Inadequate Viral Clearance
Considering that fecal shedding of viral SARS-CoV-2 RNA can outlast oropharyngeal shedding and has been shown to persist in fecal samples 7 months after initial infection, the GI tract may be particularly predisposed to long COVID-19 sequelae.33 Studies have shown associations between fecal SARS-CoV-2 RNA viral shedding and increased incidence of GI symptoms such as abdominal pain, nausea, vomiting, and diarrhea,44 providing a potential explanation for the persistence of long-COVID GI symptoms. This is further advanced by new data showing viral antigen presence, even in the absence of fecal viral RNA shedding, up to 7 months after initial COVID-19 infection in 52% to 70% patients with inflammatory bowel disease (IBD) who had colonic biopsies performed; in this cohort, the presence of postacute COVID-19 symptoms were associated with viral antigen persistence (P = .001).14
Inflammation, Autoimmune Responses
Secondary or downstream proinflammatory state propagation as a consequence of COVID-19 infection may provide another explanation for long COVID syndrome GI sequelae. In intestinal epithelial cells, ACE2 receptors stabilize amino acid transporters and their subsequent metabolic products that uphold gut immunity and beneficial microbiota.39 , 45 ACE2 receptor deficiency or decreased production causes a proinflammatory state with upregulation of interleukin-6 and fecal calprotectin and epithelial cell injury.39 , 45 , 46 Patients with long COVID syndrome have shown prolonged immunologic dysfunction up to 8 months after infection, with lack of native T and B cells and elevated levels of interferons.34
Dysbiosis
Changes in the diversity of the native GI microbiome, or dysbiosis, has been noted in patients with acute COVID-19 infection.35 , 47 , 48 Oral cavity and fecal studies have found less butyric acid-producing bacteria and more lipopolysaccharide-producing bacteria in patients with COVID-19 infection.35 , 36 After acute COVID-19 infection, patients have been found to deplete commensal anti-inflammatory gut bacteria, such as Faecalibacterium prausnitzii, Eubacterium rectale, and bifidobacteria, which remained low in fecal microbiota samples collected up to 30 days after diagnosis suggesting a long-term role in causing dysbiosis. This reduction in gut commensal bacteria correlated with increased concentration of inflammatory markers (inflammatory cytokines, C reactive protein [CRP], lactate dehydrogenase, aspartate aminotransferase [AST], and gamma-glutamyl transferase).37 This is also supported by another study in which fecal microbiota samples of COVID-19 patients were followed postdischarge at 2 weeks and at 6 months; at 6 months, patients with COVID-19 infection continued to have decreased microbiome diversity and higher levels of CRP, correlated with an increased proinflammatory state with dysbiosis.38 The pathophysiological mechanism by which SARS-CoV-2 initiates dysbiosis is largely unknown. It is postulated that downregulation of ACE2 disrupts gut immunity and promotes inflammation, increasing the propensity for invasion by opportunistic gut bacteria and downstream cytokine storms.49 , 50
It is evident that further robust studies are needed to establish the molecular mechanisms of long COVID syndrome.
Gastrointestinal and hepatobiliary manifestations of long COVID syndrome
Abdominal Pain, Nausea and Vomiting, Diarrhea, Constipation
GI sequelae of acute COVID-19 infection include symptoms of abdominal pain (pooled prevalence 2.7%), nausea and vomiting (pooled prevalence 4.6%–10.3%), and diarrhea (pooled prevalence 7.4%–13.2%).51, 52, 53 The respective pooled frequencies of abdominal pain, nausea and vomiting, and diarrhea occurring in long COVID syndrome are 7% (95%CI: 0.03–0.11), and 5% (95%CI: 0.03–0.10).54 In a case-control study of 46,857 outpatients diagnosed with COVID-19 matched 1:1 with patients without COVID-19, patients with COVID-19 infection were 1.3 times more likely to experience abdominal pain or nausea and vomiting at 31 to 60 days after initial outpatient encounter.55 Most initial abdominal pain, nausea, vomiting, and diarrhea symptoms resolve by 3 to 6 months, at rates of 90.5% and 89.4%, respectively.56 More limited data exist regarding constipation as a GI manifestation of long COVID syndrome. Constipation has been shown to be a long COVID GI manifestation after acute COVID-19 infection; in a study of 147 patients without preexisting GI manifestations 6.8% developed new onset of constipation at a median follow-up of 106 days (IQR 78–141).57
Dyspepsia, Postinfectious Irritable Bowel Syndrome
Long COVID disorders of the gut–brain axis or functional GI disorders (FGID), including irritable bowel syndrome (IBS) and dyspepsia, are now being acknowledged.58 The development of FGID after episodes of viral gastroenteritis has been previously supported.59 Longer lasting symptoms of FGID are shown to occur after episodes of GI inflammation and dysbiosis, both of which occur after COVID-19 infection.49 , 59 , 60 Furthermore, mood disturbances are strongly and bidirectionally linked to FGID such as IBS,61 , 62 and patients commonly meet diagnostic criteria for depression, anxiety, and posttraumatic stress disorder after COVID-19 infection.63 Limited studies have examined the frequency of postinfectious IBS or dyspepsia; a meta-analysis reported 17% (95% CI, 0.06–0.37) for postinfectious IBS and 20% (95% CI 0.06–0.50) for dyspepsia.54 Postinfectious IBS, postinfectious functional dyspepsia, or both, were found at rates of 5.3%, 2.1%, and 1.8%, respectively, at 6 months in a case-control study of 280 patients.64 It is hypothesized that more patients will subsequently develop long COVID FGIDs based on the characteristic biological nature of COVID-19 infection that causes intestinal inflammation and dysbiosis in conjunction with environmental and psychological stressors.65
Loss of Taste
Dysgeusia is a common symptom occurring in acute COVID-19 infection. Research has shown high expression of ACE2 receptors in taste receptor cells and salivary glands.66 , 67 Regarding loss of taste in long COVID, a meta-analysis found a frequency of 17% (95% CI, 0.10–0.27).54 In Denmark, 49 patients found, after COVID-19 hospitalization, that taste impairment increased from 17% at baseline to 33% and 31% at 6 and 12 weeks, respectively.68 Another retrospective observational study of 74 patients reported 10.8% had persistent ageusia at 6 months; loss of taste occurred more commonly in women and in those who reported facial headaches early on during the infection course.69 Loss of taste up to 3 months in a study of 83 participants was weakly correlated with low IgA levels at 6 weeks and 6 months; IgA is known to play a role in mucosal immunity by providing most of neutralizing antibodies to SARS-CoV-2.70 , 71
Weight Loss, Anorexia, Malnutrition
Weight loss to the extent of cachexia, or more than 5% body weight loss, has been associated with COVID-19 infection at rates ranging from 29% to 52% among hospitalized cohorts.72, 73, 74, 75 The frequency of anorexia occurring in patients with long COVID has been estimated at 20% (95% CI, 0.08–0.43).54 In a study that followed patients who required artificial nutrition during acute COVID-19 infection (82.3% with anorexia during acute illness with mean weight loss of 10.9 ± 6 kg, P ≤ .001), at 6 months, 6.8% patients experienced ongoing anorexia with global mean weight gain remaining less than half at baseline (4.03 ± 6.2 kg, P ≤ .0001).76 This was supported by other studies showing that in COVID-19 patients with malnutrition, inability to gain weight may persist at 3 and 6 months; 59.1% of patients with malnutrition were unable to gain weight at 3 months (median weight loss −14.7 lbs [IQR: −26.6 to −7.9]) and 56.4% were unable to gain weight at 6 months (median weight loss −17.8 lbs [IQR: −35.2 to −6.5]).56 In a survey of more than 1000 patients who developed COVID-19 infection in the general population, 3.3% reported ongoing weight loss at a median interval of 20 weeks.77
Liver Enzyme Elevations
Elevated liver enzymes commonly occur in acute COVID-19 infection at pooled incidence rates of 23.1% (95%CI: 19.3–27.3) at initial presentation and at 24.4% (95%CI: 13.5–40) during the illness (n = 20,874 patients).78 Alanine aminotransferase and AST elevations are more common in severe COVID-19 infection,79 and retrospective studies demonstrate worse morbidity and mortality in patients with abnormal liver enzymes.78 Aside from hepatotoxicity from direct viral injury during COVID-19 infection, data regarding liver enzyme elevations during this period may be complicated by drug-induced liver injury secondary to COVID-19 therapies (such as acetaminophen, hydroxychloroquine, lopinavir, ritonavir, remdesivir, and baricitinib).80 Most liver enzyme elevations resolve within 2 months postdischarge from COVID-19 hospitalization.81 Notably viral antigens have been found in hepatic tissue up to 180 days after acute infection.82 However, further population-based studies will need to be performed to elucidate liver injury in relation to long COVID syndrome.
Post–COVID-19 Cholangiopathy
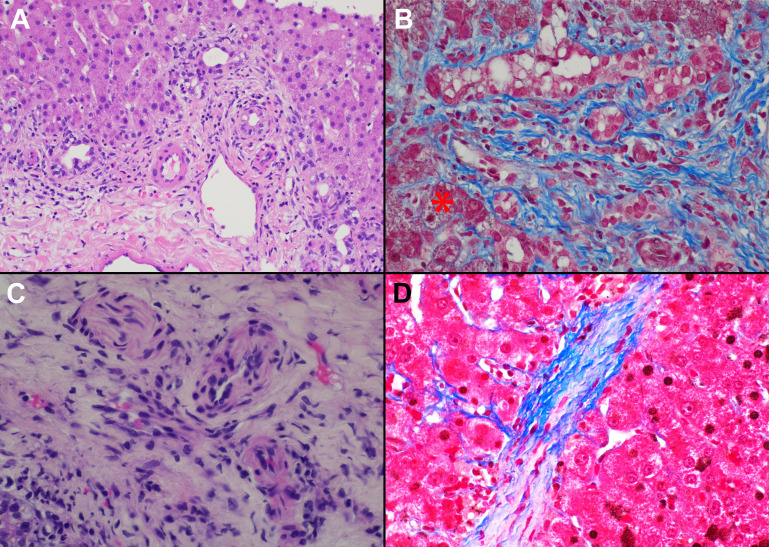
Severe prolonged cholestasis and liver injury may occur during critically ill COVID-19 infection, leading to a novel disease state now called post-COVID cholangiopathy (PCC).83 A retrospective review of 2047 patients found 0.59% (n = 12) had prolonged cholestatic injury (defined as ALP > 3× the upper limit of normal) at a mean time interval of 118 days.84 The condition of PCC occurs, in contrast to “secondary sclerosing cholangitis of critically ill patients” (SSC-CIP),85 which develops after critical illness in patients who experience respiratory failure at a rate of approximately 1 in 2000 patients requiring intensive care unit hospitalizations.86, 87, 88 Although surviving patients with COVID-19 may develop a severe SSC-CIP-like clinical syndrome with prolonged and severe elevations in serum alkaline phosphatase in the months following prolonged hospitalization for severe illness, there are distinct histopathologic features in post-COVID patients not reported in patients with SSC-CIP 83. On liver biopsy of PCC patients, an unprecedented degree of cholangiocyte vacuolization is accompanied by severe regenerative and degenerative changes of the bile duct and ductular epithelial layer (Fig. 2 A and B). A microangiopathy affecting all 3 microvascular compartments is also observed (Fig. 2C and D). Hepatic artery muscular hypertrophy and endothelial swelling can obliterate the lumina; portal vein endophlebitis may be ongoing, and endothelial damage with features of sinusoidal obstructive syndrome (veno-occlusive disease) is observed in terminal hepatic veins. In these patients with postacute COVID-19, viral protein or RNA are not detected in liver biopsies. One must posit an ongoing pathobiology of microvascular and biliary injury in these patients with post-COVID. However, whether COVID cholangiopathy constitutes a condition distinct from SSC-CIP remains debatable.89 In terms of recovery from severe cholestatic injury after COVID-19 infection, a small case series of 7 patients were followed-up to 400 days after initial infection and demonstrated normalization or improvement in liver enzymes in the majority.89 Rarely PCC causes end-stage liver disease requiring liver transplantation.90
Fig. 2.
COVID cholangiopathy, in liver biopsies of postacute COVID-19–infected patients with severe acute COVID-19. (A) Portal tract showing ductular reaction at interface, and vacuolization of cholangiocytes in both ductules and interlobular bile duct (H&E stain, 200×). (B) Reactive ductule at portal tract interface, showing profound cholangiocyte vacuolization (Trichrome stain, 400×). (C) Portal tract hepatic arteries showing muscular hypertrophy and near-total occlusion by endothelial cells (H&E stain, 400×). (D). Terminal hepatic vein showing total fibrotic occlusion (Trichrome stain, 400×).
Gastrointestinal Bleeding
GI bleeding has been associated with acute COVID-19 infection at rates of 0.5% to 3% or more.91, 92, 93 When examining long-term follow-up of patients with GI bleeding in the setting of COVID-19 infection, GI bleeding resolved without recurrent episodes at rates of 92% at 3 months and 94.7% at 6 months and endoscopic intervention was rarely required for successful resolution.56
Acute Pancreatitis
The prevalence of SARS-CoV-2 infection presenting as acute pancreatitis has ranged between 0.27% and 0.5% among patients hospitalized with COVID-19.56 , 94 At this time, recurrence of pancreatitis does not seem to be a significant GI manifestation of long COVID. The limited data available regarding long-term follow-up of patients with acute pancreatitis secondary to acute COVID-19 infection showed resolution without recurrence at 3 and 6 months.56
Acute Abdominal Diseases
Other acute and rare abdominal diagnoses associated with acute COVID-19 infection include bowel ischemia and acute cholecystitis.95 , 96 Due to the often urgent or emergent nature of these conditions requiring surgical intervention, these diseases lend themselves to be more likely associated with acute COVID-19 infection and associations with long COVID are currently lacking.
Associations with Gastrointestinal Manifestations of Long COVID
Recent survey data from patients after COVID-19 infection with at least 6 months of follow-up found that mental health symptoms before and after infection were associated with post–COVID-19 chronic GI symptoms. The survey had a 42% response rate (N = 749), of whom 29% (N = 220) reported GI symptoms. The presence of post–COVID-19 mental health symptoms (adjusted odds ratio (OR) 6.16 [95% CI, 4.21–9.01]) as well as both pre–COVID-19 and post–COVID-19 mental health symptoms (adjusted OR 16.5 [95% CI 6.97–38.9]) were significantly associated with post–COVID-19 GI symptoms. Hospitalized patients were more likely to report post–COVID-19 GI symptoms compared with nonhospitalized counterparts (P < .01). No associations between sex or ethnicity and GI symptoms were found. More than 10% of this cohort also reported having “any GI symptom” because their most bothersome COVID-19–related problem.57
Disease burden of long COVID syndrome and GI health
In analyzing data from Veteran’s Health Association (VHA) users beyond 30 days of initial illness, individuals with COVID-19 infection (n = 73,435) had higher risk of death (HR 1.59 [1.46–1.73]) and required more outpatient care (HR 1.20 [1.19–1.21]). The study showed 1 in every 10 patients discharged after COVID-19 hospitalization had a new and disabling clinical condition following hospital discharge, of which GI disorders were noted at a hazard ratio of 3.58 [95%CI: 2.15–4.88]. Accompanying the higher risk of developing new GI symptoms was the increased utilization of medications to alleviate these symptoms including, laxatives (9.22 [95%CI: 6.99–11.31]), antiemetic agents (9.22 [95%CI: 6.99–11.31]), histamine antagonists (4.83 [95%CI: 3.63–5.91]), other antacids (1.07 [95%CI: 0.62–1.42]), and antidiarrheal agents (2.87 [95%CI: 1.70–3.91]).15 Similarly, in a Danish cohort of patients followed-up to 6 months after COVID-19 infection, higher rates of general practitioner and outpatient care utilization were reported and attributed to postacute COVID-19 symptoms. However, long COVID symptoms in this cohort generally did not require hospitalization.97
Vaccination and long COVID syndrome
Vaccines seem to reduce the risk of long COVID but the degree of protection varies among studies. In a large prospective, community-based, nested, case-control study of 2370 patients who had confirmed after vaccination COVID infections those receiving 2 vaccine doses had approximately half the risk of continuing symptoms 28 days later.98 In a longitudinal observational study, the prevalence of long COVID in the unvaccinated group was 41.8% versus 16% in the triple-vaccinated group.99 However, in a case-control study using US Department of Veterans Affairs national health-care databases, the risk of long-term COVID was only reduced by 15% in individuals who were vaccinated.15 Because vaccination clearly reduces the incidence of developing COVID-19 infection, coupled with the fact those with breakthrough infections after vaccination have a lower risk of developing long COVID, vaccination is likely currently the best available intervention to prevent long COVID.
Potential therapies for long COVID syndrome
Currently, no approved therapy exists to prevent long COVID and its multiorgan system sequelae.58 Because the ACE2 receptor is the means for SARS-CoV-2 viral entry, conceivably medications targeting these receptors may be promising to prevent the initial host cell invasion and the subsequent consequences that result in long COVID. Because of this molecular mechanism, clinical trials are investigating recombinant human ACE2, angiotensin 1 to 7 agonists, monoclonal antibodies targeting ACE2 receptor, and a TMPRSS2 inhibitor, camostat mesylate, which could block the SARS-CoV-2 entry into primary lung cells. 39 , 50
Probiotic treatment is another avenue of potential therapy for long COVID syndrome under investigation.100 The rationale is that dysbiosis during long COVID syndrome may be mitigated by curated probiotics producing antiviral metabolites that support adaptive immunity.100 , 101 China's National Health Commission recommended probiotics for severe COVID-19 to potentially protect against secondary infections by fostering gut immunity.102 Limited prospective data regarding probiotic use for long COVID management exist. A randomized control trial of 200 patients reporting post-COVID fatigue showed 14-day probiotic supplementation could reduce fatigue symptoms and improve functional status.103 More robust data regarding the therapeutic potential of probiotics is necessary before widespread adoption.
The management of GI sequelae of long COVID syndrome is currently based on supportive care and symptom management on an individual basis. One study showed new GI symptoms after COVID-19 infection correlated with higher usage of medications such as laxatives, antiemetic agents, histamine antagonists, other antacids, and antidiarrheal agents.15 Despite the higher use of medications for symptomatic management, there is inadequate evidence to support overarching medical guidelines for these agents. For example, a case of diarrhea after COVID-19 infection was reported to be successfully alleviated with a regimen containing lopinavir–ritonavir104 but a clinical trial of 199 patients showed no reduction in diarrhea or other COVID-19 symptoms with lopinavir–ritonavir therapy.105
Considering weight loss and malnutrition can persist for months beyond the initial COVID-19 illness,56 it would be prudent to consider nutritional supplementation and medical consultation with a nutritionist to develop an individualized plan of care to target these sequelae. The European Society for Clinical Nutrition and Metabolism provided practical recommendations for patients at risk of malnutrition and weight loss from COVID-19 infection, including diet counseling, advocating nutritional screening for high-risk individuals such as older adults and those with multiple comorbidities as well as oral nutritional supplementation. To prevent malnutrition, oral nutritional supplementation of at least 400 kcal/d, including 30g or more of protein per day was recommended for at least 1 month. For post-ICU patients after COVID-19 infection, the recommended length of high-intensity oral nutritional supplementation is expanded to 2 months.106
Discussion
Long COVID is now a recognized and evolving syndrome. The definition is centered on symptoms as a result of COVID-19 infection, which either persist from the original infection or new symptoms not attributable to alternative causes other than COVID-19 infection. Data have shown a significantly higher burden of post–COVID-19 infection sequelae in individuals hospitalized with COVID-19 compared with seasonal influenza, distinguishing the unique nature of long COVID syndrome.15 The time interval after which long COVID syndrome can be characterized varies from 4 weeks to 12 weeks after acute infection.5 , 6 Current GI and hepatobiliary manifestations of long COVID include abdominal pain, nausea and vomiting, diarrhea, constipation, weight loss, postinfectious IBS, dyspepsia, and PCC. Some GI manifestations of acute COVID-19 infection do not seem to be significantly associated with a chronic ongoing syndrome such as acute pancreatitis, bowel ischemia, and acute cholecystitis.
Accurate epidemiologic reporting of the GI and hepatobiliary manifestations of long COVID (and long COVID generally) is convoluted likely due to multiple factors including the evolution of definitions, accuracy of diagnosis, accuracy of reporting symptoms, and differences in health-care systems. In a recent meta-analysis, GI manifestations of long COVID were estimated at 22% (N = 12 studies, 158,731 patients).54 As the body of knowledge regarding cases of patients with COVID-19 infection expands, so too the epidemiologic understanding of long COVID and its GI sequelae will expand. Working toward a standard, recognized global criteria for long COVID is essential.
The molecular mechanisms and pathophysiological pathways underlying the development of long COVID remain to be investigated. Prolonged fecal shedding of viral SARS-CoV-2 RNA occurring in IBD and general population cohorts months after COVID-19 infection is shown to correlate with GI symptomatology,14 , 33 offering an interesting insight regarding the persistence of long COVID GI manifestations. The ability to endoscopically sample GI tissue of patients with GI manifestations of long COVID relatively easily can possibly provide further avenues to study molecular mechanisms that precipitate ongoing GI symptoms of this syndrome.2 Novel technology using “mini-guts” to study cell-specific viral replication provide a reliable experimental model to study SARS-CoV-2.43
Finally, it is imperative to continue studying the pathogenesis of long COVID because of the substantial health-care burden it poses. As alluded to previously, even at the lower end of reported prevalence at 10%, long COVID syndrome would potentially affect 50 million people globally.9 Patients with long COVID syndrome have been shown to have higher rates of outpatient health-care utilization, physician visits, medication use for symptomatic management, burden of health loss, and mental health symptoms.10 , 15 , 57 , 97 These findings reflect that long COVID represents a growing health-care challenge, which will likely necessitate multidisciplinary health-care system planning to develop strategies to reduce the chronic health burden among such patients.
Summary
Long COVID is an evolving disease involving symptoms and sequelae from multiple organ systems occurring weeks after acute COVID-19 infection. Due to varying definitions and accumulating data, the prevalence of long COVID has wide-ranging estimates from 10% to 87%3 , 7 , 8; these estimates reveal that many millions are and will be affected by long COVID. Limited data regarding the risk factors and precipitants of long COVID exist in many patients even without severe or pulmonary involvement of COVID-19.11, 12, 13, 14 The pathophysiological basis by which long COVID occurs after acute infection resolves requires further investigation but interesting molecular evidence is accumulating such as widespread location of ACE2 receptors throughout the body supporting direct viral injury and persistence of virus in fecal and hepatic samples months after infection.33 , 82 GI and hepatobiliary manifestations of long COVID include abdominal pain, nausea and vomiting, diarrhea, constipation, loss of taste, loss of appetite, involuntary weight loss, postinfectious IBS, dyspepsia, and PCC. Likely a bidirectional relationship exists between mental health symptoms and GI manifestations of long COVID.57 Patients suffering with long COVID are found to have increased outpatient care, physician visits, medications for symptomatic relief, and overall loss of health compared with the baseline.15 Ongoing symptoms of long COVID can result in a loss of quality of life, earnings, and increased medical spending.16, 17, 18 Further studies are needed to understand the molecular basis, prevalence, risk factors, preventative measures, and therapeutic options for long COVID and its GI and hepatobiliary manifestations.
Clinics care points
-
•
Long COVID definitions vary: CDC defines occurrence beginning at 4 weeks after acute infection, whereas NIH defines occurrence beginning at 12 weeks after acute infection.
-
•
Long COVID symptoms often occur without severe COVID-19 infection.
-
•
Molecular mechanisms by which long COVID is propagated involve direct viral injury and endothelial damage, inadequate viral clearance, creating an inflammatory state, and dysbiosis.
-
•
Most common long COVID GI symptoms of abdominal pain, nausea and vomiting, and diarrhea usually resolve by 3 to 6 months and liver enzyme abnormalities resolve by 2 months.
-
•
FGIDs such as postinfectious IBS and dyspepsia occur in long COVID.
-
•
PCC is a novel condition involving chronic cholestasis and liver injury with a characteristic predominant cholangiocyte injury and accompanying microvascular changes. PCC rarely progresses to end-stage liver disease that requires liver transplantation.
-
•
Weight loss and malnutrition may be prolonged in long COVID and may require management of dietary counseling, nutritional screening, and oral nutritional supplementation.
-
•
GI manifestations of long COVID syndrome are associated with mental health symptoms.
-
•
Vaccination remains the most effective current measure to prevent long COVID because no other therapies are currently proven to prevent or treat long COVID.
-
•
Patients with long COVID syndrome have increased utilization of outpatient visits, medications for symptomatic management, and overall health compared with controls.
-
•
Recent estimates suggest that long COVID could cost up to USD 3.7 trillion, with 59% of the total due to loss of quality of life.
Disclosure
A J. Trindade is a consultant to Boston Scientific, Pentax Medical, Exact Sciences, and Lucid Diagnostics. He receives research support from Lucid Diagnostics. A Rizvi, Y Ziv, and J Crawford have no COI to disclose.
References
- 1.COVID-19 Dashboard Global Map. https://coronavirus.jhu.edu/ Available at: Accessed July 30 2022.
- 2.Leppkes M., Neurath M.F. Rear Window-What Can the Gut Tell Us About Long-COVID? Gastroenterology. 2022;163(2):376–378. doi: 10.1053/j.gastro.2022.05.044. [DOI] [PMC free article] [PubMed] [Google Scholar]
- 3.Taquet M., Dercon Q., Luciano S., et al. Incidence, co-occurrence, and evolution of long-COVID features: A 6-month retrospective cohort study of 273,618 survivors of COVID-19. Plos Med. 2021;18(9):e1003773. doi: 10.1371/journal.pmed.1003773. [DOI] [PMC free article] [PubMed] [Google Scholar]
- 4.Crook H., Raza S., Nowell J., et al. Long covid-mechanisms, risk factors, and management. BMJ. 2021;374:n1648. doi: 10.1136/bmj.n1648. [DOI] [PubMed] [Google Scholar]
- 5.COVID-19 rapid guideline: managing the long-term effects of COVID-19 (NG188): Evidence reviews 6 and 7: monitoring and referral. London: National Institute for Health and Care Excellence (NICE); 2020 Dec. (NICE Guideline, No. 188.) Available from: https://www.ncbi.nlm.nih.gov/books/NBK567265/. [PubMed]
- 6.Datta S.D., Talwar A., Lee J.T. A Proposed Framework and Timeline of the Spectrum of Disease Due to SARS-CoV-2 Infection: Illness Beyond Acute Infection and Public Health Implications. JAMA. 2020;324(22):2251–2252. doi: 10.1001/jama.2020.22717. [DOI] [PubMed] [Google Scholar]
- 7.Greenhalgh T., Knight M., A'Court C., et al. Management of post-acute covid-19 in primary care. BMJ. 2020;370:m3026. doi: 10.1136/bmj.m3026. [DOI] [PubMed] [Google Scholar]
- 8.Carfi A., Bernabei R., Landi F., et al. Persistent Symptoms in Patients After Acute COVID-19. JAMA. 2020;324(6):603–605. doi: 10.1001/jama.2020.12603. [DOI] [PMC free article] [PubMed] [Google Scholar]
- 9.Altmann D.M., Boyton R.J. Decoding the unknowns in long covid. BMJ. 2021;372:n132. doi: 10.1136/bmj.n132. [DOI] [PubMed] [Google Scholar]
- 10.Xie Y., Bowe B., Al-Aly Z. Burdens of post-acute sequelae of COVID-19 by severity of acute infection, demographics and health status. Nat Commun. 2021;12(1):6571. doi: 10.1038/s41467-021-26513-3. [DOI] [PMC free article] [PubMed] [Google Scholar]
- 11.Dennis A., Wamil M., Alberts J., et al. Multiorgan impairment in low-risk individuals with post-COVID-19 syndrome: a prospective, community-based study. BMJ Open. 2021;11(3):e048391. doi: 10.1136/bmjopen-2020-048391. [DOI] [PMC free article] [PubMed] [Google Scholar]
- 12.Miyazato Y., Morioka S., Tsuzuki S., et al. Prolonged and Late-Onset Symptoms of Coronavirus Disease 2019. Open Forum Infect Dis. 2020;7(11):ofaa507. doi: 10.1093/ofid/ofaa507. [DOI] [PMC free article] [PubMed] [Google Scholar]
- 13.Townsend L., Dowds J., O'Brien K., et al. Persistent Poor Health after COVID-19 Is Not Associated with Respiratory Complications or Initial Disease Severity. Ann Am Thorac Soc. 2021;18(6):997–1003. doi: 10.1513/AnnalsATS.202009-1175OC. [DOI] [PMC free article] [PubMed] [Google Scholar]
- 14.Zollner A., Koch R., Jukic A., et al. Postacute COVID-19 is Characterized by Gut Viral Antigen Persistence in Inflammatory Bowel Diseases. Gastroenterology. 2022;163(2):495–506.e8. doi: 10.1053/j.gastro.2022.04.037. [DOI] [PMC free article] [PubMed] [Google Scholar]
- 15.Al-Aly Z., Xie Y., Bowe B. High-dimensional characterization of post-acute sequelae of COVID-19. Nature. 2021;594(7862):259–264. doi: 10.1038/s41586-021-03553-9. [DOI] [PubMed] [Google Scholar]
- 16.Cutler D.M., Summers L.H. The COVID-19 Pandemic and the $16 Trillion Virus. JAMA. 2020;324(15):1495–1496. doi: 10.1001/jama.2020.19759. [DOI] [PMC free article] [PubMed] [Google Scholar]
- 17.Cutler D.M. The Economic Cost of Long COVID: An Update. 2022. https://scholar.harvard.edu/cutler/news/long-covid Available at: Accessed Aug 31, 2022.
- 18.Calculations & Formulas. https://www.longhauler-advocacy.org/calculations-formulas Available at: Accessed Aug 31, 2022.
- 19.Huang C., Huang L., Wang Y., et al. 6-month consequences of COVID-19 in patients discharged from hospital: a cohort study. Lancet. 2021;397(10270):220–232. doi: 10.1016/S0140-6736(20)32656-8. [DOI] [PMC free article] [PubMed] [Google Scholar]
- 20.Satterfield B.A., Bhatt D.L., Gersh B.J. Cardiac involvement in the long-term implications of COVID-19. Nat Rev Cardiol. 2022;19(5):332–341. doi: 10.1038/s41569-021-00631-3. [DOI] [PMC free article] [PubMed] [Google Scholar]
- 21.Lopez-Leon S., Wegman-Ostrosky T., Perelman C., et al. More than 50 long-term effects of COVID-19: a systematic review and meta-analysis. Scientific Rep. 2021;11(1):16144. doi: 10.1038/s41598-021-95565-8. [DOI] [PMC free article] [PubMed] [Google Scholar]
- 22.Cavallieri F., Sellner J., Zedde M., et al. Neurologic complications of coronavirus and other respiratory viral infections. Handb Clin Neurol. 2022;189:331–358. doi: 10.1016/B978-0-323-91532-8.00004-5. [DOI] [PMC free article] [PubMed] [Google Scholar]
- 23.Maury A., Lyoubi A., Peiffer-Smadja N., et al. Neurological manifestations associated with SARS-CoV-2 and other coronaviruses: A narrative review for clinicians. Rev Neurol (Paris) 2021;177(1–2):51–64. doi: 10.1016/j.neurol.2020.10.001. [DOI] [PMC free article] [PubMed] [Google Scholar]
- 24.Cosentino G., Todisco M., Hota N., et al. Neuropathological findings from COVID-19 patients with neurological symptoms argue against a direct brain invasion of SARS-CoV-2: A critical systematic review. Eur J Neurol. 2021;28(11):3856–3865. doi: 10.1111/ene.15045. [DOI] [PMC free article] [PubMed] [Google Scholar]
- 25.Silver S.A., Beaubien-Souligny W., Shah P.S., et al. The Prevalence of Acute Kidney Injury in Patients Hospitalized With COVID-19 Infection: A Systematic Review and Meta-analysis. Kidney Med. 2021;3(1):83–98 e81. doi: 10.1016/j.xkme.2020.11.008. [DOI] [PMC free article] [PubMed] [Google Scholar]
- 26.Copur S., Berkkan M., Basile C., et al. Post-acute COVID-19 syndrome and kidney diseases: what do we know? J Nephrol. 2022;35(3):795–805. doi: 10.1007/s40620-022-01296-y. [DOI] [PMC free article] [PubMed] [Google Scholar]
- 27.Bowe B., Xie Y., Xu E., et al. Kidney Outcomes in Long COVID. J Am Soc Nephrol. 2021;32(11):2851–2862. doi: 10.1681/ASN.2021060734. [DOI] [PMC free article] [PubMed] [Google Scholar]
- 28.Ma C., Cong Y., Zhang H. COVID-19 and the Digestive System. Am J Gastroenterol. 2020;115(7):1003–1006. doi: 10.14309/ajg.0000000000000691. [DOI] [PMC free article] [PubMed] [Google Scholar]
- 29.Galanopoulos M., Gkeros F., Doukatas A., et al. COVID-19 pandemic: Pathophysiology and manifestations from the gastrointestinal tract. World J Gastroenterol. 2020;26(31):4579–4588. doi: 10.3748/wjg.v26.i31.4579. [DOI] [PMC free article] [PubMed] [Google Scholar]
- 30.Gupta A., Madhavan M.V., Sehgal K., et al. Extrapulmonary manifestations of COVID-19. Nat Med. 2020;26(7):1017–1032. doi: 10.1038/s41591-020-0968-3. [DOI] [PMC free article] [PubMed] [Google Scholar]
- 31.Ackermann M., Verleden S.E., Kuehnel M., et al. Pulmonary Vascular Endothelialitis, Thrombosis, and Angiogenesis in Covid-19. N Engl J Med. 2020;383(2):120–128. doi: 10.1056/NEJMoa2015432. [DOI] [PMC free article] [PubMed] [Google Scholar]
- 32.Leppkes M., Knopf J., Naschberger E., et al. Vascular occlusion by neutrophil extracellular traps in COVID-19. EBioMedicine. 2020;58:102925. doi: 10.1016/j.ebiom.2020.102925. [DOI] [PMC free article] [PubMed] [Google Scholar]
- 33.Natarajan A., Zlitni S., Brooks E.F., et al. Gastrointestinal symptoms and fecal shedding of SARS-CoV-2 RNA suggest prolonged gastrointestinal infection. Med (N Y). 2022;3(6):371–387 e379. doi: 10.1016/j.medj.2022.04.001. [DOI] [PMC free article] [PubMed] [Google Scholar]
- 34.Phetsouphanh C., Darley D.R., Wilson D.B., et al. Immunological dysfunction persists for 8 months following initial mild-to-moderate SARS-CoV-2 infection. Nat Immunol. 2022;23(2):210–216. doi: 10.1038/s41590-021-01113-x. [DOI] [PubMed] [Google Scholar]
- 35.Ren Z., Wang H., Cui G., et al. Alterations in the human oral and gut microbiomes and lipidomics in COVID-19. Gut. 2021;70(7):1253–1265. doi: 10.1136/gutjnl-2020-323826. [DOI] [PMC free article] [PubMed] [Google Scholar]
- 36.Gu S., Chen Y., Wu Z., et al. Alterations of the Gut Microbiota in Patients With Coronavirus Disease 2019 or H1N1 Influenza. Clin Infect Dis. 2020;71(10):2669–2678. doi: 10.1093/cid/ciaa709. [DOI] [PMC free article] [PubMed] [Google Scholar]
- 37.Yeoh Y.K., Zuo T., Lui G.C., et al. Gut microbiota composition reflects disease severity and dysfunctional immune responses in patients with COVID-19. Gut. 2021;70(4):698–706. doi: 10.1136/gutjnl-2020-323020. [DOI] [PMC free article] [PubMed] [Google Scholar]
- 38.Chen Y., Gu S., Chen Y., et al. Six-month follow-up of gut microbiota richness in patients with COVID-19. Gut. 2022;71(1):222–225. doi: 10.1136/gutjnl-2021-324090. [DOI] [PMC free article] [PubMed] [Google Scholar]
- 39.Hoffmann M., Kleine-Weber H., Schroeder S., et al. SARS-CoV-2 Cell Entry Depends on ACE2 and TMPRSS2 and Is Blocked by a Clinically Proven Protease Inhibitor. Cell. 2020;181(2):271–280 e278. doi: 10.1016/j.cell.2020.02.052. [DOI] [PMC free article] [PubMed] [Google Scholar]
- 40.Xiao F., Tang M., Zheng X., et al. Evidence for Gastrointestinal Infection of SARS-CoV-2. Gastroenterology. 2020;158(6):1831–1833 e1833. doi: 10.1053/j.gastro.2020.02.055. [DOI] [PMC free article] [PubMed] [Google Scholar]
- 41.Harmer D., Gilbert M., Borman R., et al. Quantitative mRNA expression profiling of ACE 2, a novel homologue of angiotensin converting enzyme. FEBS Lett. 2002;532(1–2):107–110. doi: 10.1016/s0014-5793(02)03640-2. [DOI] [PubMed] [Google Scholar]
- 42.Zhao B., Ni C., Gao R., et al. Recapitulation of SARS-CoV-2 infection and cholangiocyte damage with human liver ductal organoids. Protein Cell. 2020;11(10):771–775. doi: 10.1007/s13238-020-00718-6. [DOI] [PMC free article] [PubMed] [Google Scholar]
- 43.Lamers M.M., Beumer J., van der Vaart J., et al. SARS-CoV-2 productively infects human gut enterocytes. Science. 2020;369(6499):50–54. doi: 10.1126/science.abc1669. [DOI] [PMC free article] [PubMed] [Google Scholar]
- 44.Cheung K.S., Hung I.F.N., Chan P.P.Y., et al. Gastrointestinal manifestations of SARS-CoV-2 infection and virus load in fecal samples from a hong kong cohort: systematic review and meta-analysis. Gastroenterology. 2020;159(1):81–95. doi: 10.1053/j.gastro.2020.03.065. [DOI] [PMC free article] [PubMed] [Google Scholar]
- 45.Penninger J.M., Grant M.B., Sung J.J.Y. The role of angiotensin converting enzyme 2 in modulating gut microbiota, intestinal inflammation, and coronavirus infection. Gastroenterology. 2021;160(1):39–46. doi: 10.1053/j.gastro.2020.07.067. [DOI] [PMC free article] [PubMed] [Google Scholar]
- 46.Hashimoto T., Perlot T., Rehman A., et al. ACE2 links amino acid malnutrition to microbial ecology and intestinal inflammation. Nature. 2012;487(7408):477–481. doi: 10.1038/nature11228. [DOI] [PMC free article] [PubMed] [Google Scholar]
- 47.Petersen C., Round J.L. Defining dysbiosis and its influence on host immunity and disease. Cell Microbiol. 2014;16(7):1024–1033. doi: 10.1111/cmi.12308. [DOI] [PMC free article] [PubMed] [Google Scholar]
- 48.Singh R., Zogg H., Wei L., et al. Gut Microbial Dysbiosis in the Pathogenesis of Gastrointestinal Dysmotility and Metabolic Disorders. J Neurogastroenterol Motil. 2021;27(1):19–34. doi: 10.5056/jnm20149. [DOI] [PMC free article] [PubMed] [Google Scholar]
- 49.Marasco G., Lenti M.V., Cremon C., et al. Implications of SARS-CoV-2 infection for neurogastroenterology. Neurogastroenterol Motil. 2021;33(3):e14104. doi: 10.1111/nmo.14104. [DOI] [PMC free article] [PubMed] [Google Scholar]
- 50.Jin B., Singh R., Ha S.E., et al. Pathophysiological mechanisms underlying gastrointestinal symptoms in patients with COVID-19. World J Gastroenterol. 2021;27(19):2341–2352. doi: 10.3748/wjg.v27.i19.2341. [DOI] [PMC free article] [PubMed] [Google Scholar]
- 51.Sultan S., Altayar O., Siddique S.M., et al. AGA Institute Rapid Review of the Gastrointestinal and Liver Manifestations of COVID-19, Meta-Analysis of International Data, and Recommendations for the Consultative Management of Patients with COVID-19. Gastroenterology. 2020;159(1):320–334 e327. doi: 10.1053/j.gastro.2020.05.001. [DOI] [PMC free article] [PubMed] [Google Scholar]
- 52.Parasa S., Desai M., Thoguluva Chandrasekar V., et al. Prevalence of Gastrointestinal Symptoms and Fecal Viral Shedding in Patients With Coronavirus Disease 2019: A Systematic Review and Meta-analysis. JAMA Netw Open. 2020;3(6):e2011335. doi: 10.1001/jamanetworkopen.2020.11335. [DOI] [PMC free article] [PubMed] [Google Scholar]
- 53.Elshazli R.M., Kline A., Elgaml A., et al. Gastroenterology manifestations and COVID-19 outcomes: A meta-analysis of 25,252 cohorts among the first and second waves. J Med Virol. 2021;93(5):2740–2768. doi: 10.1002/jmv.26836. [DOI] [PMC free article] [PubMed] [Google Scholar]
- 54.Choudhury A., Tariq R., Jena A., et al. Gastrointestinal manifestations of long COVID: A systematic review and meta-analysis. Therap Adv Gastroenterol. 2022;15 doi: 10.1177/17562848221118403. 17562848221118403. [DOI] [PMC free article] [PubMed] [Google Scholar]
- 55.Chevinsky J.R., Tao G., Lavery A.M., et al. Late Conditions Diagnosed 1-4 Months Following an Initial Coronavirus Disease 2019 (COVID-19) Encounter: A Matched-Cohort Study Using Inpatient and Outpatient Administrative Data-United States, 1 March-30 June 2020. Clin Infect Dis. 2021;73(Suppl 1):S5–S16. doi: 10.1093/cid/ciab338. [DOI] [PMC free article] [PubMed] [Google Scholar]
- 56.Rizvi A., Patel Z., Liu Y., et al. Gastrointestinal Sequelae 3 and 6 Months After Hospitalization for Coronavirus Disease 2019. Clin Gastroenterol Hepatol. 2021;19(11):2438–2440 e2431. doi: 10.1016/j.cgh.2021.06.046. [DOI] [PMC free article] [PubMed] [Google Scholar]
- 57.Blackett J.W., Wainberg M., Elkind M.S.V., et al. Potential Long Coronavirus Disease 2019 Gastrointestinal Symptoms 6 Months After Coronavirus Infection Are Associated With Mental Health Symptoms. Gastroenterology. 2022;162(2):648–650 e642. doi: 10.1053/j.gastro.2021.10.040. [DOI] [PMC free article] [PubMed] [Google Scholar]
- 58.Houston K.V., Yoo B.-S., D’Souza S.M., et al. Post-COVID-19 GI Manifestations: Are We in for the “Long Haul”. Americal J Gastroenterol Hepatol. 2021;2:01–05. [Google Scholar]
- 59.Barbara G., Grover M., Bercik P., et al. Rome Foundation Working Team Report on Post-Infection Irritable Bowel Syndrome. Gastroenterology. 2019;156(1):46–58 e47. doi: 10.1053/j.gastro.2018.07.011. [DOI] [PMC free article] [PubMed] [Google Scholar]
- 60.Gurusamy S.R., Shah A., Talley N.J., et al. Small Intestinal Bacterial Overgrowth in Functional Dyspepsia: A Systematic Review and Meta-Analysis. Am J Gastroenterol. 2021;116(5):935–942. doi: 10.14309/ajg.0000000000001197. [DOI] [PubMed] [Google Scholar]
- 61.Margolis K.G., Cryan J.F., Mayer E.A. The Microbiota-Gut-Brain Axis: From Motility to Mood. Gastroenterology. 2021;160(5):1486–1501. doi: 10.1053/j.gastro.2020.10.066. [DOI] [PMC free article] [PubMed] [Google Scholar]
- 62.Zamani M., Alizadeh-Tabari S., Zamani V. Systematic review with meta-analysis: the prevalence of anxiety and depression in patients with irritable bowel syndrome. Aliment Pharmacol Ther. 2019;50(2):132–143. doi: 10.1111/apt.15325. [DOI] [PubMed] [Google Scholar]
- 63.Mazza M.G., De Lorenzo R., Conte C., et al. Anxiety and depression in COVID-19 survivors: Role of inflammatory and clinical predictors. Brain Behav Immun. 2020;89:594–600. doi: 10.1016/j.bbi.2020.07.037. [DOI] [PMC free article] [PubMed] [Google Scholar]
- 64.Ghoshal U.C., Ghoshal U., Rahman M.M., et al. Post-infection functional gastrointestinal disorders following coronavirus disease-19: A case-control study. J Gastroenterol Hepatol. 2022;37(3):489–498. doi: 10.1111/jgh.15717. [DOI] [PMC free article] [PubMed] [Google Scholar]
- 65.Schmulson M., Ghoshal U.C., Barbara G. Managing the Inevitable Surge of Post-COVID-19 Functional Gastrointestinal Disorders. Am J Gastroenterol. 2021;116(1):4–7. doi: 10.14309/ajg.0000000000001062. [DOI] [PubMed] [Google Scholar]
- 66.Doyle M.E., Appleton A., Liu Q.R., et al. Human Type II taste cells express angiotensin-converting enzyme 2 and are infected by severe acute respiratory syndrome coronavirus 2 (SARS-CoV-2) Am J Pathol. 2021;191(9):1511–1519. doi: 10.1016/j.ajpath.2021.05.010. [DOI] [PMC free article] [PubMed] [Google Scholar]
- 67.Song J., Li Y., Huang X., et al. Systematic analysis of ACE2 and TMPRSS2 expression in salivary glands reveals underlying transmission mechanism caused by SARS-CoV-2. J Med Virol. 2020;92(11):2556–2566. doi: 10.1002/jmv.26045. [DOI] [PMC free article] [PubMed] [Google Scholar]
- 68.Leth S., Gunst J.D., Mathiasen V., et al. Persistent symptoms in patients recovering from COVID-19 in Denmark. Open Forum Infect Dis. 2021;8(4):ofab042. doi: 10.1093/ofid/ofab042. [DOI] [PMC free article] [PubMed] [Google Scholar]
- 69.Messin L., Puyraveau M., Benabdallah Y., et al. COVEVOL: natural evolution at 6 Months of COVID-19. Viruses. 2021;13(11):2151. doi: 10.3390/v13112151. [DOI] [PMC free article] [PubMed] [Google Scholar]
- 70.Rank A., Tzortzini A., Kling E., et al. One year after mild COVID-19: the majority of patients maintain specific immunity, but one in four still suffer from long-term symptoms. J Clin Med. 2021;10(15) doi: 10.3390/jcm10153305. [DOI] [PMC free article] [PubMed] [Google Scholar]
- 71.Wheatley A.K., Juno J.A., Wang J.J., et al. Evolution of immune responses to SARS-CoV-2 in mild-moderate COVID-19. Nat Commun. 2021;12(1):1162. doi: 10.1038/s41467-021-21444-5. [DOI] [PMC free article] [PubMed] [Google Scholar]
- 72.Allard L., Ouedraogo E., Molleville J., et al. Malnutrition: percentage and association with prognosis in patients hospitalized for coronavirus disease 2019. Nutrients. 2020;12(12):3679. doi: 10.3390/nu12123679. [DOI] [PMC free article] [PubMed] [Google Scholar]
- 73.Pironi L., Sasdelli A.S., Ravaioli F., et al. Malnutrition and nutritional therapy in patients with SARS-CoV-2 disease. Clin Nutr. 2021;40(3):1330–1337. doi: 10.1016/j.clnu.2020.08.021. [DOI] [PMC free article] [PubMed] [Google Scholar]
- 74.Di Filippo L., De Lorenzo R., D'Amico M., et al. COVID-19 is associated with clinically significant weight loss and risk of malnutrition, independent of hospitalisation: A post-hoc analysis of a prospective cohort study. Clin Nutr. 2021;40(4):2420–2426. doi: 10.1016/j.clnu.2020.10.043. [DOI] [PMC free article] [PubMed] [Google Scholar]
- 75.Anker M.S., Landmesser U., von Haehling S., et al. Weight loss, malnutrition, and cachexia in COVID-19: facts and numbers. J Cachexia Sarcopenia Muscle. 2021;12(1):9–13. doi: 10.1002/jcsm.12674. [DOI] [PMC free article] [PubMed] [Google Scholar]
- 76.Ramos A., Joaquin C., Ros M., et al. Impact of COVID-19 on nutritional status during the first wave of the pandemic. Clin Nutr. 2021 doi: 10.1016/j.clnu.2021.05.001. [DOI] [PMC free article] [PubMed] [Google Scholar]
- 77.Kayaaslan B., Eser F., Kalem A.K., et al. Post-COVID syndrome: A single-center questionnaire study on 1007 participants recovered from COVID-19. J Med Virol. 2021;93(12):6566–6574. doi: 10.1002/jmv.27198. [DOI] [PMC free article] [PubMed] [Google Scholar]
- 78.Kulkarni A.V., Kumar P., Tevethia H.V., et al. Systematic review with meta-analysis: liver manifestations and outcomes in COVID-19. Aliment Pharmacol Ther. 2020;52(4):584–599. doi: 10.1111/apt.15916. [DOI] [PMC free article] [PubMed] [Google Scholar]
- 79.Guan W.J., Ni Z.Y., Hu Y., et al. Clinical Characteristics of Coronavirus Disease 2019 in China. N Engl J Med. 2020;382(18):1708–1720. doi: 10.1056/NEJMoa2002032. [DOI] [PMC free article] [PubMed] [Google Scholar]
- 80.Olry A., Meunier L., Delire B., et al. Drug-Induced Liver Injury and COVID-19 Infection: The Rules Remain the Same. Drug Saf. 2020;43(7):615–617. doi: 10.1007/s40264-020-00954-z. [DOI] [PMC free article] [PubMed] [Google Scholar]
- 81.An Y.W., Song S., Li W.X., et al. Liver function recovery of COVID-19 patients after discharge, a follow-up study. Int J Med Sci. 2021;18(1):176–186. doi: 10.7150/ijms.50691. [DOI] [PMC free article] [PubMed] [Google Scholar]
- 82.Cheung C.C.L., Goh D., Lim X., et al. Residual SARS-CoV-2 viral antigens detected in GI and hepatic tissues from five recovered patients with COVID-19. Gut. 2022;71(1):226–229. doi: 10.1136/gutjnl-2021-324280. [DOI] [PubMed] [Google Scholar]
- 83.Roth N.C., Kim A., Vitkovski T., et al. Post-COVID-19 Cholangiopathy: A Novel Entity. Am J Gastroenterol. 2021;116(5):1077–1082. doi: 10.14309/ajg.0000000000001154. [DOI] [PubMed] [Google Scholar]
- 84.Faruqui S., Okoli F.C., Olsen S.K., et al. Cholangiopathy After Severe COVID-19: Clinical Features and Prognostic Implications. Am J Gastroenterol. 2021;116(7):1414–1425. doi: 10.14309/ajg.0000000000001264. [DOI] [PubMed] [Google Scholar]
- 85.Yeh M., Crawford J. In: Pathology of the gastrointestinal tract, pancreas, liver and biliary tree. 4th Edition edition. RD O. JR G, editor. WB Saunders; Philadelphia, PA: 2022. Vascular Disorders of the Liver; pp. 1595–1696. [Google Scholar]
- 86.Scheppach W., Druge G., Wittenberg G., et al. Sclerosing cholangitis and liver cirrhosis after extrabiliary infections: report on three cases. Crit Care Med. 2001;29(2):438–441. doi: 10.1097/00003246-200102000-00042. [DOI] [PubMed] [Google Scholar]
- 87.Brooling J., Leal R. Secondary Sclerosing Cholangitis: a Review of Recent Literature. Curr Gastroenterol Rep. 2017;19(9):44. doi: 10.1007/s11894-017-0583-8. [DOI] [PubMed] [Google Scholar]
- 88.Leonhardt S., Veltzke-Schlieker W., Adler A., et al. Secondary Sclerosing Cholangitis in Critically Ill Patients: Clinical Presentation, Cholangiographic Features, Natural History, and Outcome: A Series of 16 Cases. Medicine (Baltimore) 2015;94(49):e2188. doi: 10.1097/MD.0000000000002188. [DOI] [PMC free article] [PubMed] [Google Scholar]
- 89.Shih A.R., Hatipoglu D., Wilechansky R., et al. Persistent Cholestatic Injury and Secondary Sclerosing Cholangitis in COVID-19 Patients. Arch Pathol Lab Med. 2022;146(10):1184–1193. doi: 10.5858/arpa.2021-0605-SA. [DOI] [PubMed] [Google Scholar]
- 90.Durazo F.A., Nicholas A.A., Mahaffey J.J., et al. Post-Covid-19 Cholangiopathy-A New Indication for Liver Transplantation: A Case Report. Transplant Proc. 2021;53(4):1132–1137. doi: 10.1016/j.transproceed.2021.03.007. [DOI] [PMC free article] [PubMed] [Google Scholar]
- 91.Trindade A.J., Izard S., Coppa K., et al. Gastrointestinal bleeding in hospitalized COVID-19 patients: a propensity score matched cohort study. J Intern Med. 2021;289(6):887–894. doi: 10.1111/joim.13232. [DOI] [PubMed] [Google Scholar]
- 92.Mauro A., De Grazia F., Lenti M.V., et al. Upper gastrointestinal bleeding in COVID-19 inpatients: Incidence and management in a multicenter experience from Northern Italy. Clin Res Hepatol Gastroenterol. 2021;45(3):101521. doi: 10.1016/j.clinre.2020.07.025. [DOI] [PMC free article] [PubMed] [Google Scholar]
- 93.Marasco G., Maida M., Morreale G.C., et al. Gastrointestinal Bleeding in COVID-19 Patients: A Systematic Review with Meta-Analysis. Can J Gastroenterol Hepatol. 2021;2021:2534975. doi: 10.1155/2021/2534975. [DOI] [PMC free article] [PubMed] [Google Scholar]
- 94.Inamdar S., Benias P.C., Liu Y., et al. Prevalence, Risk Factors, and Outcomes of Hospitalized Patients With Coronavirus Disease 2019 Presenting as Acute Pancreatitis. Gastroenterology. 2020;159(6):2226–2228 e2222. doi: 10.1053/j.gastro.2020.08.044. [DOI] [PMC free article] [PubMed] [Google Scholar]
- 95.Zhang M.L., Jacobsen F., Pepe-Mooney B.J., et al. Clinicopathological findings in patients with COVID-19-associated ischaemic enterocolitis. Histopathology. 2021;79(6):1004–1017. doi: 10.1111/his.14457. [DOI] [PMC free article] [PubMed] [Google Scholar]
- 96.Balaphas A., Gkoufa K., Meyer J., et al. COVID-19 can mimic acute cholecystitis and is associated with the presence of viral RNA in the gallbladder wall. J Hepatol. 2020;73(6):1566–1568. doi: 10.1016/j.jhep.2020.08.020. [DOI] [PMC free article] [PubMed] [Google Scholar]
- 97.Lund L.C., Hallas J., Nielsen H., et al. Post-acute effects of SARS-CoV-2 infection in individuals not requiring hospital admission: a Danish population-based cohort study. Lancet Infect Dis. 2021;21(10):1373–1382. doi: 10.1016/S1473-3099(21)00211-5. [DOI] [PMC free article] [PubMed] [Google Scholar]
- 98.Antonelli M., Penfold R.S., Merino J., et al. Risk factors and disease profile of post-vaccination SARS-CoV-2 infection in UK users of the COVID Symptom Study app: a prospective, community-based, nested, case-control study. Lancet Infect Dis. 2022;22(1):43–55. doi: 10.1016/S1473-3099(21)00460-6. [DOI] [PMC free article] [PubMed] [Google Scholar]
- 99.Azzolini E., Levi R., Sarti R., et al. Association Between BNT162b2 Vaccination and Long COVID After Infections Not Requiring Hospitalization in Health Care Workers. JAMA. 2022;328(7):676–678. doi: 10.1001/jama.2022.11691. [DOI] [PMC free article] [PubMed] [Google Scholar]
- 100.Sundararaman A., Ray M., Ravindra P.V., et al. Role of probiotics to combat viral infections with emphasis on COVID-19. Appl Microbiol Biotechnol. 2020;104(19):8089–8104. doi: 10.1007/s00253-020-10832-4. [DOI] [PMC free article] [PubMed] [Google Scholar]
- 101.Marazzato M., Ceccarelli G., d'Ettorre G. Dysbiosis in SARS-CoV-2-Infected Patients. Gastroenterology. 2021;160(6):2195. doi: 10.1053/j.gastro.2020.12.056. [DOI] [PMC free article] [PubMed] [Google Scholar]
- 102.Diagnosis and Treatment Protocol for Novel Coronavirus Pneumonia (Trial Version 7) Chin Med J (Engl) 2020;133(9):1087–1095. doi: 10.1097/CM9.0000000000000819. [DOI] [PMC free article] [PubMed] [Google Scholar]
- 103.Rathi A., Jadhav S.B., Shah N. A Randomized Controlled Trial of the Efficacy of Systemic Enzymes and Probiotics in the Resolution of Post-COVID Fatigue. Medicines (Basel) 2021;8(9):47. doi: 10.3390/medicines8090047. [DOI] [PMC free article] [PubMed] [Google Scholar]
- 104.Song Y., Liu P., Shi X.L., et al. SARS-CoV-2 induced diarrhoea as onset symptom in patient with COVID-19. Gut. 2020;69(6):1143–1144. doi: 10.1136/gutjnl-2020-320891. [DOI] [PubMed] [Google Scholar]
- 105.Cao B., Wang Y., Wen D., et al. A Trial of Lopinavir-Ritonavir in Adults Hospitalized with Severe Covid-19. N Engl J Med. 2020;382(19):1787–1799. doi: 10.1056/NEJMoa2001282. [DOI] [PMC free article] [PubMed] [Google Scholar]
- 106.Barazzoni R., Bischoff S.C., Breda J., et al. ESPEN expert statements and practical guidance for nutritional management of individuals with SARS-CoV-2 infection. Clin Nutr. 2020;39(6):1631–1638. doi: 10.1016/j.clnu.2020.03.022. [DOI] [PMC free article] [PubMed] [Google Scholar]


