Abstract
Traumatic rupture of the thoracic aorta is a rare condition, with a high mortality rate. Over the last 2 decades, strategies for managing aortic injury caused by blunt chest trauma have changed substantially, resulting in significantly improved outcomes. The recent development of endovascular repair offers a less invasive alternative to conventional open repair, particularly in patients with multiple injuries. Here, we report the case of a 31-year-old man who was referred to our emergency department with blunt chest trauma following a motorcycle-truck collision. Computed tomography confirmed acute traumatic rupture of the thoracic aorta, and the patient was successfully treated with endovascular repair.
Keywords: Aortic rupture, Chest trauma, Endovascular repair
Abbreviations: CTA, Computed Tomography Angiography
Introduction
Although traumatic rupture of the thoracic aorta is rare, it always has a high mortality rate. It accounts for 10%-30% of deaths following thoracic trauma due to thoracic aortic injury and is the second most common cause of death following head trauma as a result of traffic accidents [1]. Regarding the mechanism, the blunt trauma of the thoracic aorta is commonly caused by the stretching of the aorta during sudden deceleration due to a collision accident [2]. More than 65% of traumatic ruptures of the thoracic aorta occur at the isthmus and descending thoracic aorta, which is the junction between the movable and fixed parts of the aorta [3]. In 80%-85% of cases, this condition progresses to free rupture of the aorta and leads to immediate death at the accident site; only around 20% of victims are still alive when they reach the hospital [3,4]. Strategies for managing aortic injury due to blunt chest trauma have undergone significant changes over the last 2 decades, resulting in significantly improved outcomes. The recent development of endovascular repair offers a less invasive alternative to conventional open repair, especially in patients with multiple injuries [5,6]. Vietnam is a developing country facing complicated accidents and injuries, especially traffic accidents when using motorbikes [7]. This article reviews the case of a patient with acute traumatic rupture of the thoracic aorta that was successfully repaired using endovascular repair.
Case presentation
A 31-year-old man was referred to our emergency department with blunt chest trauma following a motorcycle-truck collision. The mechanism of injury resulted from the sudden deceleration when the man on the motorcycle collided with a truck moving in the same direction. The man presented with severe chest and back pain. On physical examination, blood pressure was 160/80 mmHg, heart rate was 110 beats per minute, and peripheral capillary oxygen saturation was 97%. The Glasgow Coma Scale Score was established on arrival at 15 points. The heart sounds were audible without any abnormal sounds, and breath sounds were slightly diminished in the left lower chest on auscultation.
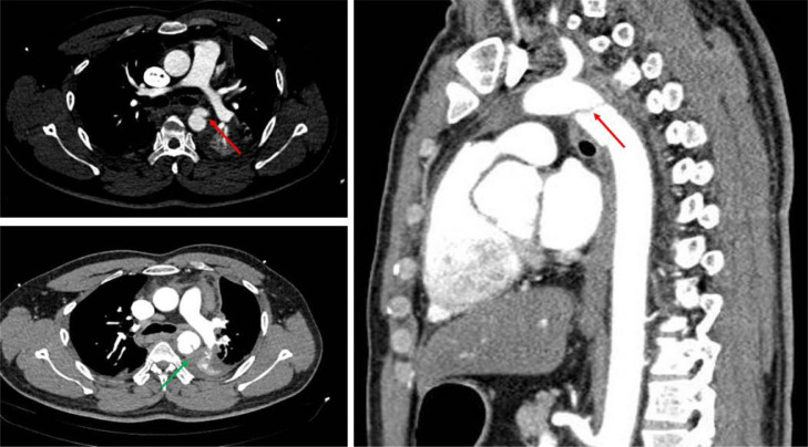
Plain chest radiography revealed a widened mediastinum associated with a left pleural effusion (Fig. 1). Blood and coagulation test results showed: red blood cell count 4.31 million cells/microliter; hematocrit 35.5%; platelets 163,000 per microliter; and a white blood cell count of 8540 per microliter. Liver and kidney function tests, and electrolyte and amylase levels were also normal. Electrocardiography findings were unremarkable. Although the clinical signs were nonspecific in view of the injury mechanism, a suspension of traumatic thoracic aorta was considered owing to the chest and back pain associated with widened mediastinum and left pleural effusion on radiography; consequently, urgent computed tomography was performed. The angiography revealed contour disruption, intimal flap, and luminal filling defects of the descending thoracic aorta, as well as periaortic hematoma formation (Fig. 2). The aortic transection was located 2 cm from the origin of the left subclavian artery. The reconstructed computed tomographic angiography image demonstrated an abnormal aortic contour (Fig. 3A). After confirming the diagnosis, the patient was immediately transferred to the hybrid operating room for endovascular stent-graft repair. Under local anesthesia, a right femoral access was used. Aortography showed a dissection of the descending thoracic aorta originating distal to the subclavian artery (Fig. 3B). A 26 mm × 150 mm endovascular stent graft (Valiant Captivia, Medtronic) was successfully implanted (Fig. 4A). The postoperative course was uneventful, and the patient was discharged 5 days after the procedure. Three months post procedure, the follow-up computed tomography angiography showed that the stent graft was correctly positioned in the descending aorta (Fig. 4B); the patient was noted to have fully recovered and returned to normal work.
Fig. 1.
Plain chest x-ray showing the widened mediastinum associated with left pleural effusion.
Fig. 2.
Computed tomographic angiography revealing the contour disruption, an intimal flap, luminal filling defects of descending thoracic aorta (red arrow) and periaortic hematoma formation (green arrow).
Fig. 3.
Aortic transection located 2 cm from the origin of the left subclavian artery. The reconstructed angiography image demonstrated an abnormal aortic contour (A). The aortography showed a dissection of the descending thoracic aorta originating distal to the subclavian artery (B).
Fig. 4.
Endovascular stent-graft (Valiant Captivia, Medtronic) was successfully implanted (A). Three months after the procedure, follow-up computed tomography angiography showed that the stent-graft was correctly positioned in the descending aorta (B).
Discussion
Traumatic rupture of the thoracic aorta, caused by blunt trauma, is a surgical emergency with a high mortality rate. Although various hypotheses involving shear, torsion, pinch, stretch, and hydrostatic forces have been proposed, most likely these injuries involve a blunt trauma within the thoracic cavity [2]. Most patients do not survive long enough to arrive at a hospital. Victims who reach the hospital are often in a multi-traumatic setting; therefore, timely detection of aortic and other injuries is key to saving lives [2,8].
Prompt detection and diagnosis are essential to prevent morbidity and mortality after aortic rupture. There are no clear signs or symptoms that are sensitive enough to clinically diagnose aortic rupture. Patients may experience vague symptoms such as dyspnea, dysphagia, and chest pain. As patients lack distinct diagnostic symptoms, aortic rupture may be challenging to identify and thus goes undiagnosed frequently. Patients present in the emergency room following a car accident or other high-impact situations are likely candidates and thus should immediately be assessed for aortic injury. Trauma history should concentrate on the specific mechanisms and symptoms [1]. In this case, the patient sustained deceleration injury caused by his motorbike, which collided with a car. The cause of this injury as well as severe chest pain symptoms during initial examination led us to suspect aortic injury.
Imaging plays a primary role in the diagnosis of traumatic thoracic aortic injuries. Chest radiography is considered the first-line screening tool. Although normal chest radiography does not exclude rupture, some studies have indicated that patients with blunt injury to the aorta may present with a normal mediastinum on chest radiography. However, chest radiography will reveal key diagnostic signs, such as widening of the mediastinum, left-sided hemothorax, trachea shifting to the right, left apical cap sign, and sternal, scapular, or rib fractures, all of which are suggestive symptoms of blunt aortic rupture [9]. This is necessary, especially in medical centers that do not yet have CTA scanning facilities. In some cases, the traumatic lesions are most likely to involve the brachiocephalic, left common carotid or left subclavian artery, resulting in producing velocity disturbances detectable in peripheral arteries. These are detected by using color Doppler ultrasound [10].
Other modalities with outstanding diagnostic sensitivities are commonly used to confirm the diagnosis and provide appropriate management. The preferred examination is a CTA because it is quick and has a high sensitivity rate of 98% and specificity rate of 100% for detecting both direct and indirect indicators of aortic damage. The direct sign includes presence of an intimal flap, abnormal aortic contour, change in diameter of the aorta, pseudoaneurysm, or extravasation of the contrast agent [11]. The most important indirect sign is mediastinal hematoma, including abnormalities in soft tissue density around the periaortic site [12]. Our patient demonstrated of all the direct and indirect signs of aortic rupture. Diagnosis is also quite easy when CT results are available.
Immediate surgical treatment is essential to provide the patient with a chance of survival when traumatic rupture of the thoracic aorta is diagnosed. According to the clinical practice recommendations of the Society for Vascular Surgery, expectant treatment and appropriate blood pressure control are sufficient for grade I lesions because most of these lesions heal on their own. However, clinical practice recommendations advise urgent decisive interventions for grade II-IV lesions [13]. Open surgery and thoracic endovascular repair are the 2 primary surgical treatments for traumatic ruptures of the thoracic aorta. After approaching the aorta, surgeons resect the injured area and replace it with a prosthetic graft. Although surgical techniques have changed and technology has advanced, open repair still carries a high risk for morbidity and mortality [14].
The treatment of some conditions of the thoracic aorta, such as trauma injuries, aneurysms, and thoracic endovascular repair, is a respectable and safe procedure. Thoracic endovascular repair can help avoid the morbidity of thoracotomy, aortic cross-clamping, or cardiopulmonary bypass, especially in patients with multiple organ trauma [14]. Despite the fact that endovascular repair is currently the method of choice, endovascular repairs of thoracic aortic lesions have been plagued by complications, including endoleaks, retrograde dissection, stroke, graft migration and deployment errors, and limb ischemia. Therefore, to achieve satisfactory outcomes and prevent problems, adequate seal zones, thorough preoperative planning, and appropriate device sizing are essential. It is also important to train surgeons to master techniques for manage complications [15].
This article is only a single clinical case, but this is the first report in Vietnam on the successful application of endovascular repair for the treatment of traumatic thoracic aortic injury. This case brings into focus that there is a need for training of doctors at primary health care facilities and first-line emergency units to detect trauma thoracic aorta injury early through clinical examination, explore the mechanism of injury, and obtain some characteristic x-ray images.
Conclusion
The clinical case we have just presented and discussed shows the importance of making an early diagnosis of thoracic aortic injury. The exploitation of trauma history and the use of imaging tools will help diagnose and guide treatment. Endovascular intervention is an appropriate treatment method for patients with aortic injury.
Patient consent
Written informed consent was obtained from the patient for the publication of this case report.
Footnotes
Funding: This research did not receive any specific grant from funding agencies in the public, commercial, or not-for-profit sectors.
Competing Interests: The authors declare that they have no conflict of interest regarding the publication of this case report.
Contributor Information
Ho Tat Bang, Email: hotatbang@ump.edu.vn.
Tran Thanh Vy, Email: vy.tt@umc.edu.vn.
References
- 1.Di Marco L, Pacini D, Di Bartolomeo R. Acute traumatic thoracic aortic injury: considerations and reflections on the endovascular aneurysm repair. Aorta. 2013;1:117–122. doi: 10.12945/j.aorta.2013.12-009. [DOI] [PMC free article] [PubMed] [Google Scholar]
- 2.Richens D, Field M, Neale M, Oakley C. The mechanism of injury in blunt traumatic rupture of the aorta. Eur J Cardiothorac Surg. 2002;21:288–293. doi: 10.1016/s1010-7940(01)01095-8. [DOI] [PubMed] [Google Scholar]
- 3.Teixeira PG, Inaba K, Barmparas G, Georgiou C, Toms C, Noguchi TT, et al. Blunt thoracic aortic injuries: an autopsy study. J Trauma. 2011;70:197–202. doi: 10.1097/TA.0b013e3181df68b3. [DOI] [PubMed] [Google Scholar]
- 4.Parmley LF, Mattingly TW, Manion WC, Jahnke EJ., Jr Nonpenetrating traumatic injury of the aorta. Circulation. 1958;17:1086–1101. doi: 10.1161/01.cir.17.6.1086. [DOI] [PubMed] [Google Scholar]
- 5.Bakoń L, Pacho R, Leszczyński A. Unusual post-traumatic aortic rupture in a paraglide pilot – a case report. Radiol Case Rep. 2019;14:714–717. doi: 10.1016/j.radcr.2019.03.010. [DOI] [PMC free article] [PubMed] [Google Scholar]
- 6.Wu Q, Sun S, Xie J, Li T, Li H, Bai X, et al. Early clinical diagnosis and treatment of traumatic aortic injury caused by thoracic and abdominal injuries: a series of four cases with literature review. Bio Med Res Int. 2021;2021 doi: 10.1155/2021/9995749. [DOI] [PMC free article] [PubMed] [Google Scholar]
- 7.Nguyen QA, Nguyen TH, Beardsley J, Castle CD, Dang AK, Dingels ZV, et al. Burden of injuries in Vietnam: emerging trends from a decade of economic achievement. Inj Prev. 2020;26(Suppl. 2):i75–i82. doi: 10.1136/injuryprev-2019-043352. [DOI] [PMC free article] [PubMed] [Google Scholar]
- 8.Mouawad NJ, Paulisin J, Hofmeister S, Thomas MB. Blunt thoracic aortic injury – concepts and management. J Cardiothorac Surg. 2020;15:62. doi: 10.1186/s13019-020-01101-6. [DOI] [PMC free article] [PubMed] [Google Scholar]
- 9.Li PS, Tsai CL, Lin TC, Hung SW, Hu SY. Endovascular treatment for traumatic thoracic aortic pseudoaneurysm: a case report. J Cardiothorac Surg. 2013;8:36. doi: 10.1186/1749-8090-8-36. [DOI] [PMC free article] [PubMed] [Google Scholar]
- 10.Corvino A, Catalano O, de Magistris G, Corvino F, Giurazza F, Raffaella N, et al. Usefulness of Doppler techniques in the diagnosis of peripheral iatrogenic pseudoaneurysms secondary to minimally invasive interventional and surgical procedures: imaging findings and diagnostic performance study. J Ultrasound. 2020;23(4):563–573. doi: 10.1007/s40477-020-00475-6. [DOI] [PMC free article] [PubMed] [Google Scholar]
- 11.O'Conor CE. Diagnosing traumatic rupture of the thoracic aorta in the emergency department. Emerg Med J. 2004;21:414–419. [PMC free article] [PubMed] [Google Scholar]
- 12.Steenburg SD, Ravenel JG, Ikonomidis JS, Schönholz C, Reeves S. Acute traumatic aortic injury: imaging evaluation and management. Radiology. 2008;248:748–762. doi: 10.1148/radiol.2483071416. [DOI] [PubMed] [Google Scholar]
- 13.Lee WA, Matsumura JS, Mitchell RS, Farber MA, Greenberg RK, Azizzadeh A, et al. Endovascular repair of traumatic thoracic aortic injury: clinical practice guidelines of the Society for Vascular Surgery. J Vasc Surg. 2011;53:187–192. doi: 10.1016/j.jvs.2010.08.027. [DOI] [PubMed] [Google Scholar]
- 14.Xenos ES, Abedi NN, Davenport DL, Minion DJ, Hamdallah O, Sorial EE, et al. Meta-analysis of endovascular vs open repair for traumatic descending thoracic aortic rupture. J Vasc Surg. 2008;48:1343–1351. doi: 10.1016/j.jvs.2008.04.060. [DOI] [PubMed] [Google Scholar]
- 15.Karmy-Jones R, Jackson N, Long W, Simeone A. Current management of traumatic rupture of the descending thoracic aorta. Curr Cardiol Rev. 2009;5:187–195. doi: 10.2174/157340309788970324. [DOI] [PMC free article] [PubMed] [Google Scholar]




