Abstract
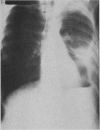
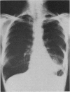
Excision of an empyema sac and thickened pleura from the lung and chest wall has been performed for over 70 years. The most appropriate fields of application of this procedure are in treatment of tuberculous empyema, empyema complicating pneumonic processes (most frequently caused by staphylococcal infection), and clotted hemothorax following chest injury. The authors' experience with 33 such decortications in the past five years is described, observations concerning the techniques, complications, and end results of the procedure are discussed, and illustrative case reports are presented.
Full text
PDF





Images in this article
Selected References
These references are in PubMed. This may not be the complete list of references from this article.
- GALE G. L., DELARUE N. C. Decortication in pleural and pulmonary tuberculosis. Can J Surg. 1962 Apr;5:172–179. [PubMed] [Google Scholar]









