Abstract
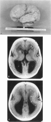
We report results of clinical, cytogenetic, and molecular studies in 27 patients with Miller-Dieker syndrome (MDS) from 25 families. All had severe type I lissencephaly with grossly normal cerebellum and a distinctive facial appearance consisting of prominent forehead, bitemporal hollowing, short nose with upturned nares, protuberant upper lip, thin vermilion border, and small jaw. Several other abnormalities, especially growth deficiency, were frequent but not constant. Chromosome analysis showed deletion of band 17p13 in 14 of 25 MDS probands. RFLP and somatic cell hybrid studies using probes from the 17p13.3 region including pYNZ22 (D17S5), pYNH37 (D17S28), and p144-D6 (D17S34) detected deletions in 19 of 25 probands tested including seven in whom chromosome analysis was normal. When the cytogenetic and molecular data are combined, deletions were detected in 21 of 25 probands. Parental origin of de novo deletions was determined in 11 patients. Paternal origin occurred in seven and maternal origin in four. Our demonstration of cytogenetic or molecular deletions in 21 of 25 MDS probands proves that deletion of a "critical region" comprising two or more genetic loci within band 17p13.3 is the cause of the MDS phenotype. We suspect that the remaining patients have smaller deletions involving the proposed critical region which are not detected with currently available probes.
Full text
PDF










Images in this article
Selected References
These references are in PubMed. This may not be the complete list of references from this article.
- Alvarez L. A., Yamamoto T., Wong B., Resnick T. J., Llena J. F., Moshé S. L. Miller-Dieker syndrome: a disorder affecting specific pathways of neuronal migration. Neurology. 1986 Apr;36(4):489–493. doi: 10.1212/wnl.36.4.489. [DOI] [PubMed] [Google Scholar]
- Barth P. G., Mullaart R., Stam F. C., Slooff J. L. Familial lissencephaly with extreme neopallial hypoplasia. Brain Dev. 1982;4(2):145–151. doi: 10.1016/s0387-7604(82)80008-9. [DOI] [PubMed] [Google Scholar]
- Daube J. R., Chou S. M. Lissencephaly: two cases. Neurology. 1966 Feb;16(2):179–191. doi: 10.1212/wnl.16.2_part_1.179. [DOI] [PubMed] [Google Scholar]
- Dobyns W. B. Developmental aspects of lissencephaly and the lissencephaly syndromes. Birth Defects Orig Artic Ser. 1987;23(1):225–241. [PubMed] [Google Scholar]
- Dobyns W. B., Gilbert E. F., Opitz J. M. Further comments on the lissencephaly syndromes. Am J Med Genet. 1985 Sep;22(1):197–211. doi: 10.1002/ajmg.1320220119. [DOI] [PubMed] [Google Scholar]
- Dobyns W. B., Pagon R. A., Armstrong D., Curry C. J., Greenberg F., Grix A., Holmes L. B., Laxova R., Michels V. V., Robinow M. Diagnostic criteria for Walker-Warburg syndrome. Am J Med Genet. 1989 Feb;32(2):195–210. doi: 10.1002/ajmg.1320320213. [DOI] [PubMed] [Google Scholar]
- Dobyns W. B., Stratton R. F., Greenberg F. Syndromes with lissencephaly. I: Miller-Dieker and Norman-Roberts syndromes and isolated lissencephaly. Am J Med Genet. 1984 Jul;18(3):509–526. doi: 10.1002/ajmg.1320180320. [DOI] [PubMed] [Google Scholar]
- Dobyns W. B., Stratton R. F., Parke J. T., Greenberg F., Nussbaum R. L., Ledbetter D. H. Miller-Dieker syndrome: lissencephaly and monosomy 17p. J Pediatr. 1983 Apr;102(4):552–558. doi: 10.1016/s0022-3476(83)80183-8. [DOI] [PubMed] [Google Scholar]
- Garcia C. A., Dunn D., Trevor R. The lissencephaly (agyria) syndrome in siblings. Computerized tomographic and neuropathologic findings. Arch Neurol. 1978 Sep;35(9):608–611. doi: 10.1001/archneur.1978.00500330056011. [DOI] [PubMed] [Google Scholar]
- Greenberg F., Stratton R. F., Lockhart L. H., Elder F. F., Dobyns W. B., Ledbetter D. H. Familial Miller-Dieker syndrome associated with pericentric inversion of chromosome 17. Am J Med Genet. 1986 Apr;23(4):853–859. doi: 10.1002/ajmg.1320230402. [DOI] [PubMed] [Google Scholar]
- Ledbetter D. H., Ledbetter S. A., vanTuinen P., Summers K. M., Robinson T. J., Nakamura Y., Wolff R., White R., Barker D. F., Wallace M. R. Molecular dissection of a contiguous gene syndrome: frequent submicroscopic deletions, evolutionarily conserved sequences, and a hypomethylated "island" in the Miller-Dieker chromosome region. Proc Natl Acad Sci U S A. 1989 Jul;86(13):5136–5140. doi: 10.1073/pnas.86.13.5136. [DOI] [PMC free article] [PubMed] [Google Scholar]
- Ledbetter S. A., Wallace M. R., Collins F. S., Ledbetter D. H. Human chromosome 17 NotI linking clones and their use in long-range restriction mapping of the Miller-Dieker chromosome region (MDCR) in 17p13.3. Genomics. 1990 Jun;7(2):264–269. doi: 10.1016/0888-7543(90)90549-a. [DOI] [PubMed] [Google Scholar]
- MILLER J. Q. LISSENCEPHALY IN 2 SIBLINGS. Neurology. 1963 Oct;13:841–850. doi: 10.1212/wnl.13.10.841. [DOI] [PubMed] [Google Scholar]
- Nakamura Y., Leppert M., O'Connell P., Wolff R., Holm T., Culver M., Martin C., Fujimoto E., Hoff M., Kumlin E. Variable number of tandem repeat (VNTR) markers for human gene mapping. Science. 1987 Mar 27;235(4796):1616–1622. doi: 10.1126/science.3029872. [DOI] [PubMed] [Google Scholar]
- Pavone L., Gullotta F., Incorpora G., Grasso S., Dobyns W. B. Isolated lissencephaly: report of four patients from two unrelated families. J Child Neurol. 1990 Jan;5(1):52–59. doi: 10.1177/088307389000500113. [DOI] [PubMed] [Google Scholar]
- Stratton R. F., Dobyns W. B., Airhart S. D., Ledbetter D. H. New chromosomal syndrome: Miller-Dieker syndrome and monosomy 17p13. Hum Genet. 1984;67(2):193–200. doi: 10.1007/BF00273000. [DOI] [PubMed] [Google Scholar]
- Van Allen M., Clarren S. K. A spectrum of gyral anomalies in Miller-Dieker (lissencephaly) syndrome. J Pediatr. 1983 Apr;102(4):559–564. doi: 10.1016/s0022-3476(83)80184-x. [DOI] [PubMed] [Google Scholar]
- Wilkins L. E., Brown J. A., Nance W. E., Wolf B. Clinical heterogeneity in 80 home-reared children with cri du chat syndrome. J Pediatr. 1983 Apr;102(4):528–533. doi: 10.1016/s0022-3476(83)80179-6. [DOI] [PubMed] [Google Scholar]
- van Tuinen P., Rich D. C., Summers K. M., Ledbetter D. H. Regional mapping panel for human chromosome 17: application to neurofibromatosis type 1. Genomics. 1987 Dec;1(4):374–381. doi: 10.1016/0888-7543(87)90042-5. [DOI] [PubMed] [Google Scholar]
- vanTuinen P., Dobyns W. B., Rich D. C., Summers K. M., Robinson T. J., Nakamura Y., Ledbetter D. H. Molecular detection of microscopic and submicroscopic deletions associated with Miller-Dieker syndrome. Am J Hum Genet. 1988 Nov;43(5):587–596. [PMC free article] [PubMed] [Google Scholar]



