Abstract
A 68-year-old male patient was presented due to “cough for more than 1 year”. PET/CT showed a mass, 23 mm in diameter, in the right lower lobe of the lung. The radioactivity uptake of the mediastinal lymph nodes was not increased. No metastasis to other organs was found. Preoperative evaluation showed that the patient could tolerate lobectomy. Single-direction video-assisted thoracoscopic lobectomy was then performed. The operation was smooth, and the mass was pathologically confirmed to be an adenocarcinoma in the lower right lung. The postoperative recovery was good, and the patient was discharged on the 7th post-operative day.
KEYWORDS : Video-assisted thoracoscopic surgery (VATS), lobectomy, lung cancer
Introduction
After 30 years of development, the video-assisted thoracoscopic surgery (VATS) has evolved from the simple VATS lung biopsy, pulmonary wedge resection, and bullae resection in its early stages; in early 1990s, VATS lobectomy has been widely applied worldwide (1-3). VATS lobectomy is feasible for both the benign lung diseases such as bronchiectasis and pulmonary benign tumors and the lung malignancies, particularly stage I lung cancers. In recent years, along with the advances in the surgical procedures and surgical instruments, VATS lobectomy plus systemic lymph node dissection has been applied for the treatment of advanced lung cancer. However, whether it can achieve the effectiveness of open surgeries still awaits the results of evidence-based studies (4-7).
VATS lobectomy is a remarkable progress in thoracic surgery. It has many advantages for the patients: less intraoperative blood loss; less postoperative pains; shorter post-operative recovery and hospital stay; better cosmetic effect; and helpful for improving the tolerance to the subsequent adjuvant therapy (6,8-10). Thus, almost all thoracic surgeons are keen to grasp this skill.
Unlike the open surgeries, VATS lobectomy does not allow the surgeon to touch the lung tissues directly, and the small incisions also do not allow the insertion of too many surgical instruments. Thus, VATS lobectomy will be extremely difficult if the patient has poorly developed pulmonary fissure, a large number of lymph nodes, and/or diffuse pleural adhesions. Some surgeons may lose their patience during the operation, and the procedure may be then converted to an open surgery.
In 2010, Prof. Liu L from Huaxi Hospital proposed a new procedure, single-direction video-assisted thoracoscopic lobectomy, to address these problems (11). Experiences in the past years have demonstrated that this new approach can simplify the procedures and, to certain extent, lowers the difficulty of VATS lobectomy, making it easier to be grasped by thoracic surgeons.
Clinical summary
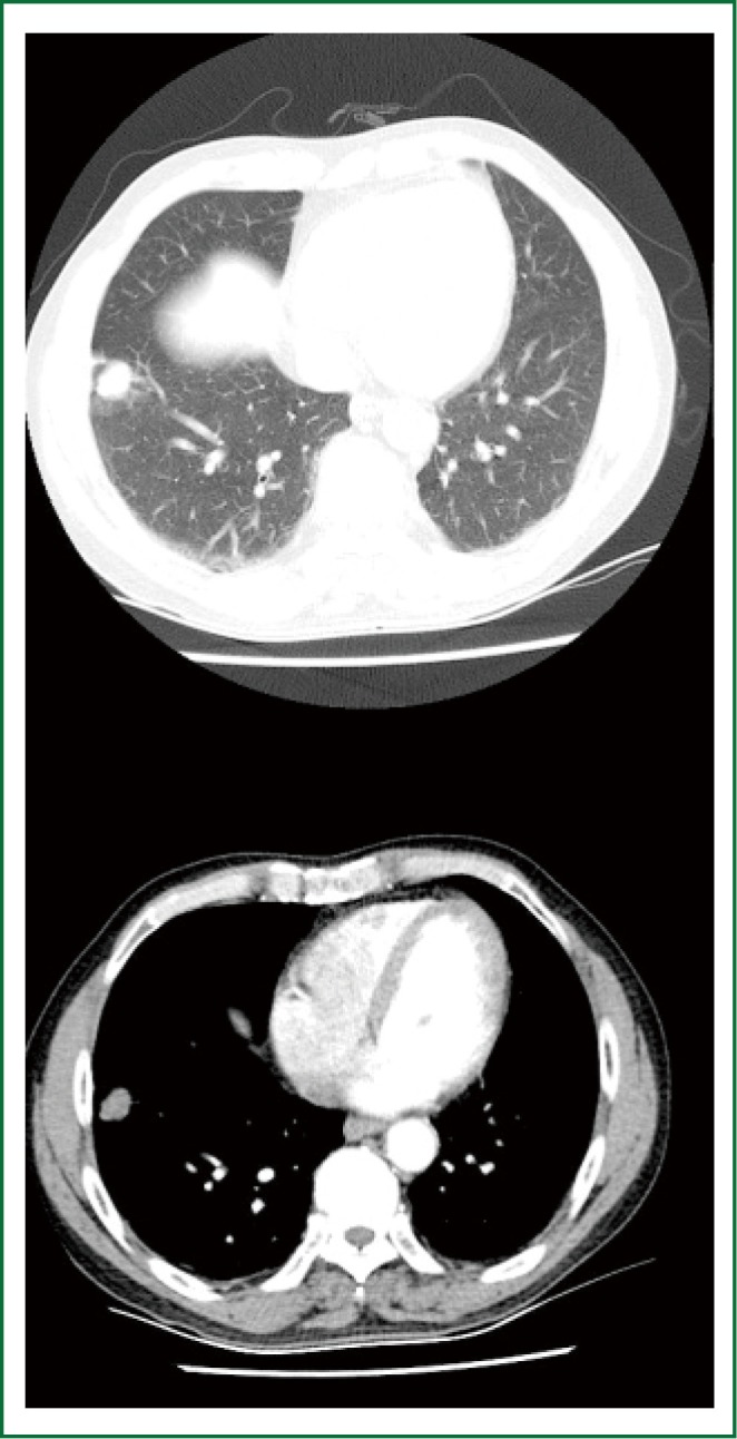
This 68-year-old male patient had a 40-year history of smoking, although he had no history of other major diseases. He was presented for the persistent cough for over one year. PET/CT prompted that there was a lesion of about 23 mm × 18 mm at the basal segment of right lower lobe of lung (Figure 1), with a maximal SUV value of 9.3. Subcarinal and upper mediastinal lymph nodes were displayed. However, the radioactivity uptake of the mediastinal lymph nodes was not remarkably increased. No metastatic lesion was found. Preoperative pulmonary function tests prompted FEV1 2.26 L (74.1% predicted), FVC 2.92 L (76.4% predicted), and FEV1/FVC 77.31%.
Figure 1.

Chest CT indicated a nodule at the right lower lobe, together with pleural traction sign. Lung cancer was considered.
Operative techniques
The surgery (video 1) was performed under general anaesthesia with double lumen tubes, along with contralateral one-lung ventilation, so as to ensure that the operated thoracic cavity had good visual field. The patient was placed in a 90 degrees supine position, with a cushion under the back to enlarge the intercostal spaces. The upper limbs were elevated to form a 90-degree angle with the trunk, so as to avoid their impact on the use of surgical instruments (Figure 2). Typically, continuous epidural analgesia will not be used during and after the surgery to avoid potential hypotension. After the surgery, block anesthesia of the nerves in the operated intercostal spaces was performed to reduce early postoperative pain.
Video 1.

Single-direction video-assisted thoracoscopic lobectomy.
Figure 2.

Position and incisions.
During the single-direction video-assisted thoracoscopic lobectomy, three operating ports were used. The operator stood at the abdominal side of the patient, whereas the assistants stood at the back side. Right lower lobectomy was performed in this patient, and the three operating ports were located as follows: a 1.5-cm observation port was created in the 8th intercostal space at the posterior axillary line, a 4-cm incision was made in the 5th intercostal space at the anterior axillary line as the main working port, which allows the insertion of 1 or 2 instruments; A 3-cm auxiliary port was made at the subscapular angle. The pulmonary lobes were pulled aside using a device to expose the surgical field.
After the insertion of the thoracoscope, the lesion location, mass size, any pleural involvement, and pleural metastasis were observed firstly. Secondly, the hilar structures and lymph node status were observed. Particularly, whether the upper and the inferior pulmonary veins share a common truck should be carefully identified; Otherwise, rude transection of the pulmonary vein trunk will be unnecessarily troublesome. Typically, the development of lung fissure is not a concern during single-direction pulmonary lobectomy.
Upon the completion of exploration, the assistant inserted a Forester forcep into the auxiliary port to tract the right lower lobe towards the head side, so as to expose the right inferior pulmonary ligament. The operator inserted the electrocoagulation hook and suction apparatus from the main operation port. The pulmonary vein of the right lower lobe was handled firstly. The mediastinal pleura between the right inferior pulmonary ligament and pulmonary vein was cut open, and the lymph nodes inside were removed simultaneously. The right inferior pulmonary vein was dissociated and then disconnected with an ECHELON FLEXTM 1.0-mm linear cutter. The structure near the right inferior pulmonary vein is the right inferior pulmonary bronchus. During the operation, the right inferior pulmonary bronchus was sharply and bluntly dissociated using the electrocoagulation hook and suction apparatus. Special attention should be paid to avoid any injury to the arterial trunk in the right inferior lung that is closely attached to the rear side of the bronchus. In our current patient, due to the presence of many carbonized lymph nodes around the bronchus, the operation was quite difficult and therefore the bronchus was disconnected firstly using an ECHELON FLEXTM 2.0-mm linear cutter. The assistant then clamped the distal side of the disconnected bronchus, and pulled it towards the head side of the patient; The operator dissociated the arterial trunk in the right inferior lung behind the bronchus with the electrocoagulation hook and suction apparatus. The adjacent lymph nodes were removed firstly since they may affect the operation. Upon the completion of the dissociation, use a 3# silk suture to pull aside the arterial trunk in the right inferior lung, so as to enlarge the space. Then, the right inferior pulmonary arterial trunk was disconnected with an ECHELON FLEXTM 1.0-mm linear cutter. Thus, all the main structures in the right inferior pulmonary hilum were disconnected. The poorly developed oblique fissure was carefully identified, and disconnected using an ECHELON FLEXTM 1.5-mm linear cutter. During the operation, the cutting may fail if the stumps of the upper and lower bronchi were carelessly clamped. Also, an appropriate space should be kept away from the middle lobe vein of the right lung to avoid any impact on its blood supply. The division of the fissure marked the completion of the single-direction pulmonary lobectomy. The specimens should be collected with the specimen bags or using rubber gloves to minimize the risk of incision tumor implantation. The interlobar and hilar lymph nodes had already removed during the pulmonary lobectomy, after which the subcarinal lymph nodes and superior mediastinal lymph nodes were removed using the electrocoagulation hook and suction apparatus. The surgery was then completed, lasting 80 minutes. Intraoperative biopsy through frozen sections showed that the lesion was an adenocarcinoma in the lower right lung, while no tumor cells were found in the bronchial margins. To make the video shorter, we did not include the mediastinal lymph node dissection. After the surgery, we placed two thoracic drainage tubes (at the upper and lower parts of the thoracic cavity) to prevent the obstruction of the tubes.
Post-operative management
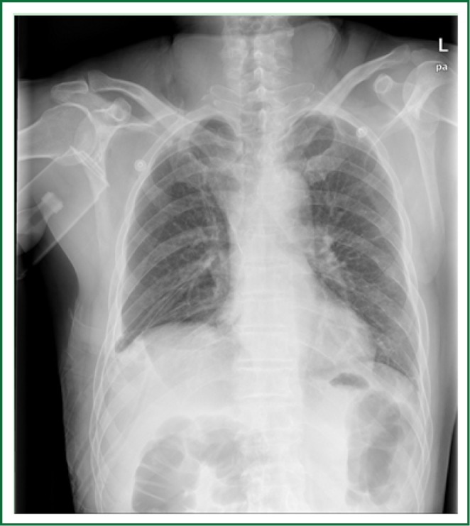
About 200 mL slightly bloody discharge was drained via the tubes 24 hours after the surgery, and no obvious pulmonary air leak was found. Chest X-ray performed 24 hours after the surgery showed that the recruitment of the residual lungs was good, and no obvious effusion or air leak was found in the right thoracic cavity (Figure 3).
Figure 3.

Chest X-ray performed 24 hours after the surgery.
Comments
Compared with open surgery, VATS lobectomy has many advantages. Therefore, it has become a hot research topic in thoracic surgery and has been widely adopted worldwide. As a result, many new procedures such as single-port method, multi-port method, anterior approach, and posterior approach have been developed to simplify the operation and improve the clinical outcomes. However, their “real word” effectiveness requires further validation in larger studies.
The conventional open lobectomy follows the principles of tumor surgeries: the lung veins were handled firstly; Then, divide the pulmonary fissure to handle the branches of pulmonary artery; And finally, handle the bronchus. Therefore, even during the VATS lobectomy, most surgeons still follow this procedure. However, due to the small incisions (and thus the restricted movement of the devices), lobectomy can be challenging if performed in this way, particularly in patients with poorly developed pulmonary fissure. First, search for the branches of pulmonary artery inside the fissure will cause the bleeding of lung tissues, making the surgical field become blurred, which can be associated with an increased risk of pulmonary vessel injury and surgical failure. Second, the incompletely dissociated pulmonary fissure will cause massive air leak in the lung tissues, resulting in the prolonged hospital stay and more complications (12,13).
The newly proposed single direction VATS lobectomy is a more reasonable and simpler procedure. Based on the features of VATS, it simplifies the operational steps and therefore is easy to grasp and associated with less complications (11).
Single direction VATS lobectomy, as its name implies, is the surgery performed along the same direction: the resection of the lower lobes is performed upwards, and the resection of the upper lobes is performed backwards. This procedure has several advantages: first, it has a relatively low requirement on the camera holder because the operation is consistently performed in the same direction and therefore the position and angle of the thoracoscope need not be adjusted frequently; Second, the requirements for the assistant who is responsible for the exposure of surgical field are also low: the pulmonary lobe needs to be pulled towards one direction, and there is no need to repeatedly turn over the clamps to catch the pulmonary lobes, which is helpful to avoid injuring the lung tissues and shorten the surgical time; And third (and more importantly), the operator needs not consider the development of pulmonary fissure, because the operation is performed in the same direction and the blood vessels and bronchus are handled firstly; Even if the fissure is poorly developed, the operator can disconnect it with a linear cutter directly, which is particularly useful to minimize the risk of the bleeding and air leak caused by the dissociated pulmonary fissure. In our current patient, the development of pulmonary fissure was quire poor; However, the application of single direction VATS lobectomy made the operation particularly smooth, wasting no time in dissociating the fissure and searching for pulmonary artery.
Therefore, the single direction VATS lobectomy, as an innovative and simple procedure, is particularly feasible for patients with poorly developed pulmonary fissure. However, the success of this procedure still depends on the good knowledge of the pulmonary hilum, so as to avoid any unnecessary injury to the unexposed tissues in the same direction.
Acknowledgements
Disclosure: The authors declare no conflict of interest.
References
- 1.Lewis RJ. The role of video-assisted thoracic surgery for carcinoma of the lung: wedge resection to lobectomy by simultaneous individual stapling. Ann Thorac Surg 1993;56:762-8 [DOI] [PubMed] [Google Scholar]
- 2.Onaitis MW, Petersen RP, Balderson SS, et al. Thoracoscopic lobectomy is a safe and versatile procedure: experience with 500 consecutive patients. Ann Surg 2006;244:420-5 [DOI] [PMC free article] [PubMed] [Google Scholar]
- 3.McKenna RJ, Jr, Houck W, Fuller CB. Video-assisted thoracic surgery lobectomy: experience with 1,100 cases. Ann Thorac Surg 2006;81:421-5; discussion 425-6 [DOI] [PubMed] [Google Scholar]
- 4.Gharagozloo F, Tempesta B, Margolis M, et al. Video-assisted thoracic surgery lobectomy for stage I lung cancer. Ann Thorac Surg 2003;76:1009-14; discussion 1014-5 [DOI] [PubMed] [Google Scholar]
- 5.Daniels LJ, Balderson SS, Onaitis MW, et al. Thoracoscopic lobectomy: a safe and effective strategy for patients with stage I lung cancer. Ann Thorac Surg 2002;74:860-4 [DOI] [PubMed] [Google Scholar]
- 6.Shigemura N, Akashi A, Funaki S, et al. Long-term outcomes after a variety of video-assisted thoracoscopic lobectomy approaches for clinical stage IA lung cancer: a multi-institutional study. J Thorac Cardiovasc Surg 2006;132:507-12 [DOI] [PubMed] [Google Scholar]
- 7.Solli P, Spaggiari L.Indications and developments of video-assisted thoracic surgery in the treatment of lung cancer. Oncologist 2007;12:1205-14 [DOI] [PubMed] [Google Scholar]
- 8.Whitson BA, Andrade RS, Boettcher A, et al. Video-assisted thoracoscopic surgery is more favorable than thoracotomy for resection of clinical stage I non-small cell lung cancer. Ann Thorac Surg 2007;83:1965-70 [DOI] [PubMed] [Google Scholar]
- 9.Sugiura H, Morikawa T, Kaji M, et al. Long-term benefits for the quality of life after video-assisted thoracoscopic lobectomy in patients with lung cancer. Surg Laparosc Endosc Percutan Tech 1999;9:403-8 [PubMed] [Google Scholar]
- 10.Nicastri DG, Wisnivesky JP, Litle VR, et al. Thoracoscopic lobectomy: report on safety, discharge independence, pain, and chemotherapy tolerance. J Thorac Cardiovasc Surg 2008;135:642-7 [DOI] [PubMed] [Google Scholar]
- 11.Liu L, Che G, Pu Q, et al. A new concept of endoscopic lung cancer resection: single-direction thoracoscopic lobectomy. Surg Oncol 2010;19:e71-7 [DOI] [PubMed] [Google Scholar]
- 12.Nomori H, Ohtsuka T, Horio H, et al. Thoracoscopic lobectomy for lung cancer with a largely fused fissure. Chest 2003;123:619-22 [DOI] [PubMed] [Google Scholar]
- 13.Gómez-Caro A, Calvo MJ, Lanzas JT, et al. The approach of fused fissures with fissureless technique decreases the incidence of persistent air leak after lobectomy. Eur J Cardiothorac Surg 2007;31:203-8 [DOI] [PubMed] [Google Scholar]
