Abstract
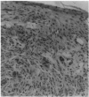
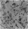
Desmoplastic malignant melanoma is a rare and highly malignant tumour, which usually occurs in the head and neck. This is demonstrated by a case history of a patient with this lesion on the lower lid, which has not been previously described in the British ophthalmological literature. The lesion often presents considerable problems of histological diagnosis.
Full text
PDF



Images in this article
Selected References
These references are in PubMed. This may not be the complete list of references from this article.
- Berry R. B., Subbuswamy S. G., Hackett M. E. Desmoplastic malignant melanoma: the first British report. Br J Plast Surg. 1982 Jul;35(3):324–327. doi: 10.1016/s0007-1226(82)90121-7. [DOI] [PubMed] [Google Scholar]
- Conley J., Lattes R., Orr W. Desmoplastic malignant melanoma (a rare variant of spindle cell melanoma). Cancer. 1971 Oct;28(4):914–936. doi: 10.1002/1097-0142(1971)28:4<914::aid-cncr2820280415>3.0.co;2-e. [DOI] [PubMed] [Google Scholar]
- Eusebi V., Ceccarelli C., Piscioli F., Cristofolini M., Azzopardi J. G. Spindle cell tumours of the skin of debatable origin. An immunocytochemical study. J Pathol. 1984 Nov;144(3):189–199. doi: 10.1002/path.1711440306. [DOI] [PubMed] [Google Scholar]
- Frolow G. R., Shapiro L., Brownstein M. H. Desmoplastic malignant melanoma. Arch Dermatol. 1975 Jun;111(6):753–754. [PubMed] [Google Scholar]
- KERN W. H. Proliferative myositis; a pseudosarcomatous reaction to injury: a report of seven cases. Arch Pathol. 1960 Feb;69:209–216. [PubMed] [Google Scholar]
- LANE N. Pseudosarcoma (polypoid sarcoma-like masses) associated with squamous-cell carcinoma of the mouth, fauces, and larynx; report of ten cases. Cancer. 1957 Jan-Feb;10(1):19–41. doi: 10.1002/1097-0142(195701/02)10:1<19::aid-cncr2820100104>3.0.co;2-m. [DOI] [PubMed] [Google Scholar]
- Labrecque P. G., Hu C. H., Winkelmann R. K. On the nature of desmoplastic melanoma. Cancer. 1976 Sep;38(3):1205–1213. doi: 10.1002/1097-0142(197609)38:3<1205::aid-cncr2820380322>3.0.co;2-k. [DOI] [PubMed] [Google Scholar]
- Man D., Weiner L. J., Reiman H. M., Jr Desmoplastic malignant melanoma: a case report. Br J Plast Surg. 1981 Jan;34(1):79–82. doi: 10.1016/0007-1226(81)90105-3. [DOI] [PubMed] [Google Scholar]
- Nakajima T., Watanabe S., Sato Y., Kameya T., Shimosato Y., Ishihara K. Immunohistochemical demonstration of S100 protein in malignant melanoma and pigmented nevus, and its diagnostic application. Cancer. 1982 Sep 1;50(5):912–918. doi: 10.1002/1097-0142(19820901)50:5<912::aid-cncr2820500519>3.0.co;2-u. [DOI] [PubMed] [Google Scholar]
- Sutula F. C., Dortzbach R. K., Bolles J. C. Desmoplastic malignant melanoma of the upper eyelid. Ann Ophthalmol. 1982 Feb;14(2):141–143. [PubMed] [Google Scholar]
- Valensi Q. J. Desmoplastic malignant melanoma: a report on two additional cases. Cancer. 1977 Jan;39(1):286–292. doi: 10.1002/1097-0142(197701)39:1<286::aid-cncr2820390144>3.0.co;2-p. [DOI] [PubMed] [Google Scholar]




