Abstract
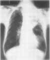
A fuller's earth worker developed signs of pneumoconiosis. Pathological examination of the lung tissues showed interstitial collections of dust laden macrophages associated with mild fibrosis. Mineralogical analysis showed a high content of montmorillonite. This study shows that a pneumoconiosis can result from prolonged heavy exposure to calcium montmorillonite (fuller's earth) in the absence of quartz. The disease is relatively mild and associated with little clinical disability.
Full text
PDF


Images in this article
Selected References
These references are in PubMed. This may not be the complete list of references from this article.
- Gibbs A. E., Pooley F. D., Griffiths D. M., Mitha R., Craighead J. E., Ruttner J. R. Talc pneumoconiosis: a pathologic and mineralogic study. Hum Pathol. 1992 Dec;23(12):1344–1354. doi: 10.1016/0046-8177(92)90053-6. [DOI] [PubMed] [Google Scholar]
- Pooley F. D., Clark N. J. Quantitative assessment of inorganic fibrous particulates in dust samples with an analytical transmission electron microscope. Ann Occup Hyg. 1979;22(3):253–271. doi: 10.1093/annhyg/22.3.253. [DOI] [PubMed] [Google Scholar]
- SAKULA A. Pneumoconiosis due to Fuller's earth. Thorax. 1961 Jun;16:176–179. doi: 10.1136/thx.16.2.176. [DOI] [PMC free article] [PubMed] [Google Scholar]