Full text
PDF




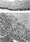
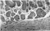
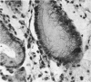
Images in this article
Selected References
These references are in PubMed. This may not be the complete list of references from this article.
- BARTER R., PEARSE A. G. E. Mammalian enterochromaffin cells as the source of serotonin (5-hydroxytryptamine). J Pathol Bacteriol. 1955 Jan-Apr;69(1-2):25–31. doi: 10.1002/path.1700690106. [DOI] [PubMed] [Google Scholar]
- BARTLET A. L. THE INFLUENCE OF CHLORPROMAZINE ON THE METABOLISM OF 5-HYDROXYTRYPTAMINE IN THE MOUSE. Br J Pharmacol Chemother. 1965 Apr;24:497–509. doi: 10.1111/j.1476-5381.1965.tb01739.x. [DOI] [PMC free article] [PubMed] [Google Scholar]
- BLOOM G., KELLY J. W. The copper phthalocyanin dye "Astrablau" and its staining properties, especially the staining of mast cells. Z Zellforch Microsk Anat Histochem. 1960;2:48–57. doi: 10.1007/BF00736491. [DOI] [PubMed] [Google Scholar]
- ERSPAMER V., ASERO B. Identification of enteramine, the specific hormone of the enterochromaffin cell system, as 5-hydroxytryptamine. Nature. 1952 May 10;169(4306):800–801. doi: 10.1038/169800b0. [DOI] [PubMed] [Google Scholar]
- FALCK B., HILLARP N. A., TORP A. Some observations on the histology and histochemistry of the chromaffin cells probably storing dopamine. J Histochem Cytochem. 1959 Sep;7:323–328. doi: 10.1177/7.5.323. [DOI] [PubMed] [Google Scholar]
- MANSOUR T. E. Effect of serotonin on glycolysis in homogenates from the liver fluke Fasciola hepatica. J Pharmacol Exp Ther. 1962 Jan;135:94–101. [PubMed] [Google Scholar]
- MANSOUR T. E. The effect of lysergic acid diethylamide, 5-hydroxytryptamine, and related compounds on the liver fluke, Fasciola hepatica. Br J Pharmacol Chemother. 1957 Dec;12(4):406–409. doi: 10.1111/j.1476-5381.1957.tb00156.x. [DOI] [PMC free article] [PubMed] [Google Scholar]
- ZUGIBE F. T., KOPACZYK K. C., CAPE W. E., LAST J. H. A new carbowax method for routinely performing lipid, hematoxylin and eosin and elastic staining techniques on adjacent freeze-dried or formalin-fixed sections. J Histochem Cytochem. 1958 Mar;6(2):133–138. doi: 10.1177/6.2.133. [DOI] [PubMed] [Google Scholar]