Full text
PDF














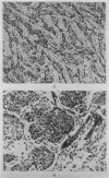
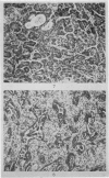
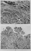
Images in this article
Selected References
These references are in PubMed. This may not be the complete list of references from this article.
- ANDERSON W. A., DAVIS C. L., MONLUX A. W. A survey of tumors occurring in cattle, sheep, and swine. Am J Vet Res. 1956 Oct;17(65):646–677. [PubMed] [Google Scholar]
- Brodey R. S., Craig P. H. Primary pulmonary neoplasms in the dog: a review of 29 cases. J Am Vet Med Assoc. 1965 Dec 15;147(12):1628–1643. [PubMed] [Google Scholar]
- FERRI A. G., TAUSK E. Primary pulmonary carcinomas of the dog. J Comp Pathol. 1955 Apr;65(2):159–167. doi: 10.1016/s0368-1742(55)80015-x. [DOI] [PubMed] [Google Scholar]
- Grollet L. Progression du cancer du poumon chez l'homme et les animaux. Rev Pathol Comp. 1965 Sep;65(770):405–410. [PubMed] [Google Scholar]
- NIELSEN S. W., HORAVA A. Primary pulmonary tumors of the dog. A report of sixteen cases. Am J Vet Res. 1960 Sep;21:813–830. [PubMed] [Google Scholar]
- Snyder R. L., Ratcliffe H. L. Primary lung cancers in birds and mammals of the Philadelphia zoo. Cancer Res. 1966 Mar;26(3):514–518. [PubMed] [Google Scholar]