Abstract
Background
Reelin, intensively studied as an extracellular protein that regulates brain development, is also expressed in a variety of tissues and a circulating pool of reelin exists in adult mammals. Here we describe the methodological and biological foundation for carrying out and interpreting clinical studies of plasma reelin.
Results
Reelin in human plasma was sensitive to proteolysis, freeze-thawing and heating during long-term storage, sample preparation and electrophoresis. Reelin in plasma was a dimer under denaturing conditions. Boiling of samples resulted in laddering, suggesting that each of the 8 repeats expressed in reelin contains a heat-labile covalent bond susceptible to breakage. Urinary-type and tissue-type plasminogen activator converted reelin to a discrete 310 kDa fragment co-migrating with the major immunoreactive reelin fragment seen in plasma and also detected in brain. (In contrast, plasmin produced a spectrum of smaller unstable reelin fragments.) We examined archival plasma of 10 pairs of age-matched male individuals differing in repeat length of a CGG repeat polymorphism of the 5'-untranslated region of the reelin gene (both alleles < 11 repeats vs. one allele having >11 repeats). Reelin 310 kDa band content was lower in subjects having the long repeats in all 10 pairs, by 25% on average (p < 0.001). In contrast, no difference was noted for amyloid precursor protein.
Conclusions
Our studies indicate the need for caution in measuring reelin in archival blood samples, and suggest that assays of plasma reelin should take into account three dimensions that might vary independently: a) the total amount of reelin protein; b) the relative amounts of reelin vs. its proteolytic processing products; and c) the aggregation state of the native protein. Reelin-plasminogen activator interactions may affect their roles in synaptic plasticity. Our results also suggest that the human CGG repeat polymorphism affects reelin gene expression, and may affect susceptibility to human disease.
Keywords: reelin, autism, plasminogen activator, plasmin, CGG repeats
Background
Reelin, a protein that has features of an extracellular matrix protein, plays a critical role in brain development [1,2], but is also expressed in a variety of tissues and a circulating pool of reelin is detectable in adult mammals. In adult brain, reelin may act as a trophic or mobilization factor for dendritic spines [3,4]. Circulating reelin appears to be produced largely by the liver [5], though other peripheral sources including plasma cells [6] make reelin as well. Reelin in blood undergoes post-translational processing qualitatively similar to that observed in brain [7], and members of the reelin signaling pathway (e.g., dab1, alpha-3 integrin and the VLDL receptor) are expressed in the periphery, so circulating reelin may play some functional role invivo. There appears to be a single reelin promoter across tissues, regulated by epigenetic changes in promoter DNA methylation [8].
Examining reelin in the blood should provide a convenient handle for correlating reelin genotype and phenotype in humans. Reelin has been implicated in at least 3 different human disorders: a) Humans with nonfunctional reelin genes exhibit lissencephaly and profound mental retardation [9]. b) Postmortem brains of patients with psychosis (schizophrenia and bipolar disorder) exhibit reelin mRNA and protein levels reduced by ~50% in every brain region examined [10,11]. In fact, the reelin deficit is the best replicated post-mortem neurochemical finding documented in schizophrenia [12]. c) Reelin is a candidate gene for autism based on its expression in brain regions affected in autism, its chromosomal localization, and its large size and complex regulation [13]. Fatemi et al. (2002) recently reported that plasma levels of reelin are reduced in both autistic patients and unaffected family members relative to unrelated adult controls [14].
In order to carry out and interpret studies of circulating reelin in humans, we have characterized its molecular properties in blood and its stability during long-term storage and sample preparation. We describe processing of reelin by two proteases present in blood, plasminogen activator and plasmin. We also examined a biological factor that putatively may affect synthesis of reelin, namely, a reelin gene CGG repeat polymorphism located in the 5'-untranslated region [13,15]. Some of these results have been presented in abstract form at the Society for Neuroscience meeting [16,17].
Results
Methodology of Measuring Reelin in Human Plasma
We first undertook a systematic examination of the factors affecting reelin stability in both the recombinant reelin calibration standard as well as in human plasma. Some of these factors could be anticipated for any large extracellular protein, but some were surprising and reflected the unique biology of reelin.
Reelin content in plasma vs. serum
Fresh blood from 4 healthy adult male volunteers was collected into standard clinical vacutainer tubes containing EDTA (for plasma) or nothing (for serum). Blood was immediately placed on ice, spun within 2 hours and aliquoted at -80 degrees. In all fresh human samples, two reelin-like immunoreactive bands were observed: the predominant band migrated at 310 kDa, whereas a less intense band co-migrated with full-length 420 kDa reelin (fig. 1). Traces of a smaller reelin-like immunoreactive band were also observed at 160 kDa. This pattern was similar in both plasma and serum, and similar to that previously described for rat and mouse serum [5]. An antibody against the C-terminus of reelin (H221, Santa Cruz Biotechnology, Inc.) recognized the 420 kDa band but not the 310 kDa band (data not shown), indicating that the latter is truncated at the C-terminal end. After this paper was submitted for publication, Jossin et al reported this same finding using a different C-terminal antibody [18]. (A confirmation that all these reelin-like bands arise from authentic reelin comes from the observation that they were absent in the blood of patients with null mutations in the reelin gene [9].) Plasma did not significantly differ from serum in content of either 420 kDa or 310 kDa bands (310 kDa band: plasma/serum ratio = 0.87 ± 0.14 s.e.m.; 420 kDa band: 0.99 ± 0.11). This suggests that the band profile of reelin is not produced during the process of blood clotting, and that reelin does not appreciably associate with clots.
Figure 1.
Reelin-immunoreactive bands seen within freshly collected adult human plasma. Loaded at 0.15, 0.3, 0.6 μl per lane and reacted with antibody 142.
Stability of recombinant reelin in storage
We initially expected reelin to be stable during long-term storage since in our hands, full-length 420 kDa reelin appeared to be relatively stable in its native state: For example, no detectable breakdown of reelin was observed when plasma or reelin conditioned medium were incubated at 37 degrees for 4–6 hours, even in the absence of exogenous protease inhibitors (see fig. 4 and 7, below). Nonetheless, degradation of reelin was detected in many samples subjected to storage lasting weeks to months. To understand the effects of storage in more detail, we examined aliquots of reelin conditioned medium (native vs. fully denatured with SDS-PAGE buffer), rodent and human plasma and serum (with or without PMSF and/or EDTA) and soluble brain extract, at -20 or -80 degrees. Although the rate of degradation varied considerably across these situations, the pattern was uniform: the reelin 420 kDa band gradually became diminished or lost entirely, the 310 kDa band appeared to be intact, and lower molecular mass reelin-immunoreactive bands progressively increased, particularly a band migrating at 160 kDa.
Figure 4.
Reelin is a substrate for plasminogen activator (uPA). a) Lanes 1 and 8, recombinant reelin standard. Lanes 2–4, incubated at 37 degrees for 2 10 min, 3 30 min, 4 6 h (negative controls). Lanes 5–7, incubated in the presence of uPA (3 units/ml) for 5 10 min, 6 30 min, 7 6 h. b) Lane 1, recombinant reelin standard. Lanes 2 and 3, incubated for 6 h in the presence of uPA. 2 digestion in the absence of plasminogen activator inhibitor-1 (PAI-1) and 3 digestion in the presence of PAI-1 (Calbiochem, recombinant mutant human; 0.9 mg/ml).
Figure 7.
EDTA increases the susceptibility of reelin to uPA and plasmin. Recombinant reelin was incubated with proteases for 6 hrs. and immunoblotted. 1 reelin standard, 2 treated with uPA, 3 treated with uPA in the presence of 10 mM EDTA. 4 reelin standard, 5–6 treated with plasmin (0.5 unit/ml) for 1 and 6 h, 7 treated with plasmin 6 h in the presence of 10 mM EDTA. Incubation for 6 h in the presence of EDTA alone caused no breakdown (not shown).
A portion of this breakdown was clearly due to the action of residual protease activity, and in the present study, protease inhibitors (PMSF 1–2 mM and EDTA 10 mM) were added to all samples of reelin conditioned medium to be used as calibration standards, and to archival plasma samples upon initial thawing in our laboratory. Reelin in plasma and serum samples appeared to be more stable than in conditioned medium, in that some samples showed intact full-length reelin bands even after long-term storage for 4–7 years. Possibly this is due to the presence of endogenous protease inhibitors in blood, or circulating reelin may be protected against proteolysis by its conformation or binding to other proteins. However, repeated freezing and thawing of samples caused a progressive loss of the 420 kDa band even when protease inhibitors were present, and in our experience, the effect of thawing was more detrimental to the quality of reelin bands in plasma than storage time per se. In the present study, reelin used as calibration standard was only thawed once, and care was taken that archival samples of human plasma were thawed in parallel.
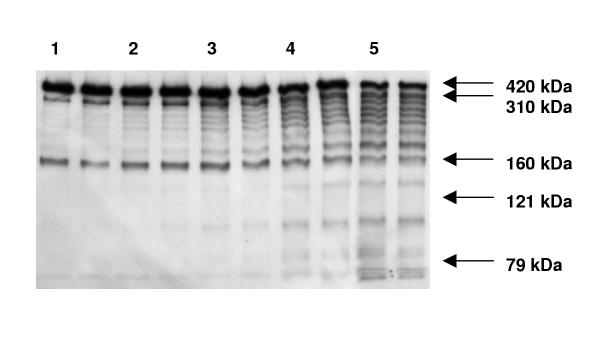
Most surprisingly, reelin was highly sensitive to boiling during sample preparation. Prolonged heating resulted in nearly complete breakdown of reelin into a ladder of different sized fragments, and detectable laddering could be observed even after boiling as short as 1–3 minutes (fig. 2). The sizes and number of the fragments between 160 and 310 kDa suggest that each of the 8 repeats expressed in reelin [1,2] contains a heat-labile covalent bond susceptible to breakage. For this reason, in the present study, sample boiling time was rigorously minimized and controlled, and all sample pairs to be compared were treated in parallel. We even noted breakdown of reelin when electrophoresis was allowed to proceed at a voltage that created excessive heat. Nevertheless, heating was not omitted entirely since boiling reelin in SDS-PAGE buffer for a minute or two under reducing conditions improved its resolution in SDS-PAGE electrophoresis (see fig. 3a below).
Figure 2.
Excessive heating causes fragmentation of reelin. Immunoblot of recombinant reelin loaded in duplicate on a 6.5% acrylamide resolving gel with 4% stacking gel, reacted with antibody 142. Samples were prepared by adding SDS-PAGE buffer and DTT and heating at 100 C for the following times: 1 no heat, 2 1 min, 3 3 min, 4 10 min, 5 30 min. Heating resulted in progressive breakdown of reelin into a ladder of 6 additional fragments migrating between 160 and 310 kDa, plus some smaller fragments.
Figure 3.
Reelin is a covalent dimer. a) Recombinant reelin samples were prepared by adding SDS-PAGE buffer with or without DTT or boiling prior to loading in duplicate on a 6.5% acrylamide gel with 4% stacking gel, reacted with antibody 142. 1 no DTT, no boiling; 2 no DTT, 3 min boiling ; 3 DTT, no boiling ; 4 DTT, 3 min boiling. b) Immunoblot of proteins prepared by adding SDS-PAGE buffer without DTT but with 3 min boiling, loaded on an agarose-acrylamide composite gel. Lanes 1–3, reacted with antibody 142. 1 recombinant reelin, 2 human plasma, 3 human serum, 4 laminin, reacted with anti-laminin antibody.
Biology of Reelin in Human Plasma
Native reelin is at least a dimer
Several lines of evidence indicate that reelin, within transfectant conditioned medium and plasma, is at least a dimer in its native state. First, native reelin is completely cleared from conditioned medium when centrifuged for 2 hours at 200,000 × g (data not shown). Second, when disulfide bonds were not reduced, reelin failed to enter SDS-PAGE resolving gels and most of the material remained at the top of the stacking gel (fig. 3a). Nonreduced reelin comigrated with nonreduced EHS laminin (~900 kDa) in agarose-acrylamide composite gels, suggesting that it is a dimer (fig. 3b). These data confirm and extend the findings of Kubo et al. (2002) by showing that native reelin is a dimer not only in brain but also in plasma [19]. Because of the possibility that reelin in clinical samples might form multimers that remain cross-linked even after reduction of disulfide bonds, in the present study, both the stacking gel and resolving gel were examined during Western blotting analyses.
Reelin is a substrate for plasminogen activator and plasmin
Recombinant native reelin was an excellent substrate for plasminogen activator, provided that the transfectant conditioned medium was concentrated (25–40-fold on Centricon filters with MW 100,000 cut-off) so that the concentration of reelin was above ~50 nM. As shown in fig. 4a, urokinase-type plasminogen activator (uPA; Fluka, from human kidney cells, E.C. 3.4.21.73) completely converted full-length 420 kDa reelin to a single 310 kDa fragment that comigrated with the major reelin-immunoreactive fragment seen in serum and plasma. Digestion of reelin with tissue-specific plasminogen activator (tPA) also generated a single 310 kDa fragment (not shown). The digestion by uPA was inhibited specifically by plasminogen activator inhibitor-1 (PAI-1) (fig. 4b). The major reelin band seen endogenously in blood or produced by uPA digestion migrated under nonreducing conditions in agarose-acrylamide composite gels at an apparent molecular size larger than reelin monomer but smaller than intact reelin dimer (fig 3b), suggesting that it represents a dimer of truncated reelin chains. Consistent with this, uPA-digested reelin failed to react with an anti-reelin antibody that recognizes the C-terminus (data not shown). These findings indicate that uPA cleaves reelin at a site ~3/4 of the way to the C-terminus, and that the reelin-reelin dimerization site is located N-terminal to this cleavage site. uPA-cleaved reelin retained the ability to bind the VLDL receptor in ELISA assay (fig. 5). In contrast, plasmin (Sigma, from human plasma, E.C. 3.4.21.7) produced a spectrum of reelin fragments that became progressively smaller with increasing digestion time (fig. 6). The effects of plasmin were inhibited specifically by aprotinin (fig. 6).
Figure 5.
Full-length reelin and uPA-treated reelin both bind to immobilized VLDL receptor ligand binding domain (sVLDLr1-8). 100 μl soluble sVLDLr1-8 (4 μg/mL; characterized in Hembrough et al., 2001 [37]) was coated in microtiter wells overnight at 4 C. The wells were then blocked with BSA (30 mg/mL). Following washing, the wells were incubated with conditioned media containing full-length reelin (circles) or uPA-digested reelin (squares). Bound reelin was detected using anti-reelin antibody G10 and goat anti-mouse IgG conjugated to alkaline phosphatase. Each data point represents the average of duplicate determinations. sVLDLr coated wells are shown with closed symbols, while BSA coated wells are shown with open symbols.
Figure 6.
Reelin is a substrate for plasmin. Recombinant reelin was digested with plasmin (Sigma, from human plasma, 0.5 unit/ml) for various times, loaded in duplicate and immunoblotted. 1 no incubation, 2 10 min, 3 30 min, 4 6 h, 5 digested for 6 h in the presence of aprotinin (Sigma, 40 μM).
Surprisingly, the cation chelator EDTA increased the susceptibility of reelin to uPA and plasmin, both in terms of generating additional fragments and in terms of causing more rapid digestion (fig. 7). EDTA did not lead to fragmentation of reelin unless exogenous proteases were added. Since the proteases themselves are thought to be cation-independent, this finding raises the possibility that calcium or other cations may bind to native reelin and help to maintain its normal conformation; when the cations are removed, reelin may be opened up, thus revealing more sites for protease attack. Although the underlying mechanism is unclear, this finding has methodologic implications, since plasma is often collected in tubes containing calcium chelators; it is possible that reelin breakdown will actually be accelerated under these conditions unless serine protease inhibitors are also present in the tubes.
Relative plasma reelin content as a function of reelin genotype (CGG repeat length)
The human reelin gene has several features suggesting that the 5'-untranslated region regulates gene expression. The initial ATG is bypassed for initiating translation [20], but more importantly, 4–23 CGG repeats are immediately upstream of the initiator methionine codon [15]. The repeats are polymorphic in some, but not all, human populations [13,21,22]. Persico et al. (2001) studied families with primary autistic probands, and found that even though most autistic patients do not possess long CGG repeats (≥ 11 repeats in at least one allele), the long alleles were preferentially passed to autistic offspring, such that the long CGG repeats were associated with a two-fold increase in the risk of autism [13]. The effect was more pronounced in North American populations than in European cohorts. Recently, Zhang et al. (2002) replicated this finding on a different set of North American multiplex autistic pedigrees [21], and a separate study confirmed weaker or no association of CGG repeat length with autism in European populations [23].
A central, basic question is whether the human CGG repeat polymorphism has functional consequences for reelin production. To address this question, we compared reelin levels in plasma from individuals differing in reelin CGG repeat length.
Linearity and statistical reliability of the assay
When loading different amounts of the reelin calibration standard on gels, the Western blotting assay was linear over at least a 5–10 fold range (fig. 8a). In contrast, when serum or plasma was loaded, the assay reached saturation over a narrower 3–4 fold range – that is, whereas reelin can be detected within as little as 0.15 microliters of plasma loaded per lane, the reelin band intensities start to saturate at ~0.6 microliters of plasma loaded (fig. 8a). In fact, when too much plasma is loaded, the band ODs did not simply level off but actually decreased (not shown). Therefore, in the present study, each sample was loaded at 3 different amounts to verify linearity, and compared against 3 different loadings of its paired sample and 3 different loadings of the reelin calibration standard run in parallel on the same gel. To estimate the inherent reliability of the assay, and to ensure that there was no inherent bias in the apparatus used in the study, the reelin calibration standard was loaded 3 times per gel in 4 different gels and assayed for reelin content. There was no difference in reelin content estimated for samples run on the left vs. the right side of blots (mean ratio = 1.01 ± 0.06).
Figure 8.
Assay of reelin within archival clinical samples. a) Graph of immunoblot band intensity vs. volume loaded for recombinant reelin (solid) and human plasma (open). b) "Raw" 310 kDa reelin band optical density scores from samples assayed pairwise (patient having only ≤10 CGG repeats vs. having at least one allele > 10 repeats; shown are the values for 0.37 μl plasma loaded per lane) as described in the text and summarized as ratios in Table I. Overall, the ''short'' repeat group had raw optical density scores of 22.3 ± 0.87 s.e.m. whereas the ''long'' repeat group had 16.9 ± 1.2. c) Assay from patient pair #4 (Table I). The patient having genotype 8/8 is on the left, and having 8/13 is on the right; each is loaded at 0.15, 0.3, 0.6 μl per lane and blotted with antibody 142. The lane at the far left is recombinant reelin standard. d) The same blot was reblotted with antibody directed against the N-terminus of amyloid precursor protein (APP), revealing a band migrating at 180 kDa.
Assays on archival samples
Archival samples of plasma were studied which were characterized in the earlier study of Persico et al. (2001) [13]. Because the samples had been subjected to several prior freeze-thaws (see above), the full-length reelin band could not be measured; however, the 310 kDa reelin bands were intact and there was no sign of further degradation (i.e., only traces were seen of 160 kDa and lower reelin-immunoreactive bands) (fig. 8c). Thus, it was possible to ask whether the relative content of the 310 kDa reelin band varied according to the number of CGG repeats present in the 5'-untranslated region of the reelin gene. Ten pairs of male autistic patients, ranging between 4–16 years of age, were tested. All families were singletons, so no autistic pairs were sibs. In each pair, one member had both alleles within the "normal range," i.e., 8/8, 8/10 or 10/10 genotypes, whereas the other had 12 or more CGG repeats on one or both alleles (Table I). The second member of the pair had a higher overall number of CGG repeats in all but one case (the exception had 10/10 vs. 8/12 repeats, where 10+10 = 8+12). The plasma protein concentration was measured in half of the patient samples, and did not differ among first and second members of the pairs. All samples were assayed and measured by observers who were unaware of genotype. All human plasma samples were assayed twice in independent tests; shown here are the results averaged over the two assays (note that results were also statistically significant for each assay considered separately).
Table 1.
| Sample Pair | Reelin Genotypes | Ages | APP Ratio | Reelin Ratio |
| 1. | 8/8 vs. 10/13 | 5 – 10 | 1.29 | 0.66 |
| 2. | 10/10 vs. 8/12 | 5 – 11 | 1.04 | 0.87 |
| 3. | 8/8 vs. 13/13 | 7 – 5 | 0.98 | 0.85 |
| 4. | 8/8 vs. 8/13 | 16 – 10 | 0.97 | 0.95 |
| 5. | 10/10 vs. 10/14 | 5 – 5 | 0.77 | 0.77 |
| 6. | 10/10 vs. 10/13 | 5 – 4 | 0.66 | 0.53 |
| 7. | 8/10 vs. 10/23 | 6 – 13 | 0.88 | 0.79 |
| 8. | 10/10 vs. 10/13 | 5 – 6 | 1.18 | 0.70 |
| 9. | 8/10 vs. 10/12 | 5 – 5 | 1.03 | 0.70 |
| 10. | 8/10 vs. 12/13 | 6 – 4 | 1.37 | 0.75 |
As shown in Table I and fig. 8b, in ten out of ten cases, the sample from patients with longer CGG repeat length expressed less plasma reelin 310 kDa than their matched counterparts having CGG repeat length within the normal range. On average, the samples having at least one allele with 12 or more repeats had 24.5% ± 3.8% less than its paired control; this difference was significant at p < 0.001 by both two-tailed t-test (paired) and one-way ANOVA. As a control, we re-blotted the same blots with antibodies directed against the N-terminus of amyloid precursor protein (APP), which is an endogenous blood component and migrates in plasma predominantly as a 180 kDa band (fig. 8d). The APP assay was technically satisfactory (i.e., the band intensity curves increased linearly as more plasma was loaded), but no consistent pairwise difference was seen in relative content of APP (Table I; mean ratio was 0.99 ± 0.07). As well, within individual pairs, the relative plasma reelin content showed no significant correlation with relative APP content (r = 0.01).
Discussion
Our studies indicate that assays of plasma reelin should take into account three independent dimensions: a) the total amount of reelin protein; b) the relative amounts of reelin vs. its proteolytic processing products; and c) the aggregation state of the native protein. We found that recombinant and circulating reelin are both expressed primarily as dimers when assayed under denaturing conditions that disrupt non-covalent bonds. However, the observation that native reelin could be pelleted by ultracentrifugation raises the possibility that reelin also forms larger non-covalent multimers or molecular aggregates in vivo. Reelin has been reported to have intrinsic serine protease activity [20], and we show here that reelin is a substrate for plasminogen activator and plasmin, endogenous components of blood [17]. Hence it is important that clinical samples are collected, stored and handled in parallel and in the presence of protease inhibitors. Reelin is very sensitive to repeated freeze-thawing and conversely, appears to contain heat-labile bonds within its repeats, suggesting that heating samples prior to electrophoresis must be limited and rigorously controlled.
The finding that plasminogen activators convert reelin to a single 310 kDa processed form is intriguing for several reasons. First, the 310 kDa form is the major reelin-immunoreactive fragment expressed in blood, and is likely to be functional insofar as it retains the ability to bind at least one putative receptor, namely, the VLDL receptor (fig. 5); see also [18]. Second, tPA and uPA have an extremely narrow substrate specificity, and have been shown to act directly upon only a handful of proteins (notably plasminogen and hepatocyte growth factor); in these cases, they activate functional states of the proteins. Third, like reelin, plasminogen activator has been strongly implicated in regulating neuronal migration [1,2,25], synaptic plasticity [3,4,26] and long-term potentiation [27,28]. Further studies are needed to test the hypothesis that processing of reelin by tPA or uPA "activates" some of its invivo functions, and that some of the effects of plasminogen activators on neural development and function may be mediated via reelin.
Our study underscores the need to judge the suitability of archival blood samples carefully. In our hands, recombinant reelin and serum samples only showed prominent 160 kDa bands when the Western blot transfer was incomplete (so that high molecular weight bands did not transfer well) or when the samples had undergone extensive degradation. Although the archival samples studied here did not show those features, due to previous freeze-thawings the 420 kDa band was lost and so they were not suitable for assessing overall content of reelin. As well, patients and their family members were not well matched for age or gender in this series. Thus, we are not in a position to make any inference concerning whether circulating reelin content differs in autistics vs. unaffected individuals (siblings or parents).
On the other hand, it is striking that reelin CGG repeat genotype and 310 kDa band phenotype could be clearly correlated, using a group of individuals matched for age, gender and diagnosis (i.e., autistic patients). This suggests that reelin levels are relatively stable and do not fluctuate markedly as a function of extraneous variables (e.g., time of day or feeding status). This is also consistent with other preliminary studies suggesting that circulating reelin levels within an individual are relatively constant over a period of weeks, though may vary systematically with age (N. Smalheiser, unpublished observations.) Therefore, despite the limitations of archival samples, we can safely conclude that the CGG polymorphism in the reelin 5'-untranslated region is not neutral, but affects reelin synthesis in humans.
The extent of the CGG-related decrease in reelin expression observed in blood, ~25%, might not suffice to produce overt abnormalities in brain development or functioning. However, such a decrease may render an individual more susceptible to the additive or synergistic effects of other factors (e.g., prenatal insults [29]) that separately affect reelin expression. Reeler heterozygous mice, which express 50% of wild-type reelin levels in brain and blood [5], exhibit anatomical and behavioral abnormalities [30-32], suggesting that even partial reelin deficits may be of pathologic significance. The CGG repeat polymorphism, being in the 5'-untranslated region of the reelin gene, is poised to affect reelin levels via transcription whereas it is difficult to see how it could alter protein structure, processing or stability. Persico et al. have transfected neural and non-neural cell types with 4–13 CGG repeats upstream of luciferase reporter constructs; they have found that constructs with 4 repeats produce more luciferase than those with 8–10 repeats, and these in turn produce 25–50% more than those with 12 or 13 repeats (A. M. Persico and A. Pimenta, manuscript in preparation). This strongly suggests that CGG repeat length affects transcription. However, the relationship between CGG repeat length and reelin expression remains to be understood in detail, and possibly may differ between brain and periphery. The reelin promoter also appears to be regulated by methylation [8], which may interact with the CGG polymorphism and deserves further attention.
Methods
To make recombinant reelin, full-length mouse reelin cDNA [33] in plasmid pCrl or pCrlM (lacking or containing a Myc epitope; gift of Dr. Gabriella D'Arcangelo, Baylor College of Medicine) was transfected into 293T cells (gift of Dr. Brian Howell, NIH) using Lipofectamine 2000 (Gibco). Following transfection in minimal DMEM medium for 6 h, cells were rinsed and placed in serum-free Neurobasal/B27 medium (Gibco). Every two days, the conditioned medium was removed and replaced with fresh medium for up to two weeks; in some cases, Vectorstat (Genespan Corp.) was added to improve the yield. As a negative control, cells were transfected with a plasmid lacking insert and conditioned medium was harvested in parallel. Conditioned medium was spun to remove cellular debris, PMSF (1 mM) and EDTA (10 mM) were added as protease inhibitors, and aliquots were frozen at -80 degrees. To make reelin calibration standard, equal volumes of conditioned medium were mixed with SDS-PAGE sample buffer containing DTT (final concentration 4% SDS and 1% DTT), and stocks were aliquoted and stored at -80 degrees.
To examine reelin and its content within human plasma, plasma (4 μl) was diluted 20-fold with SDS-PAGE sample buffer containing 1% DTT and boiled (3 min) prior to loading. Samples were separated on 6.5% SDS-PAGE resolving gels (with 4% stacking gel) according to Laemmli [34], run in parallel with Bio-Rad high-molecular-weight prestained standards, and transferred to PVDF membranes (Hybond-P, Amersham) as described [35]. Blots were blocked in 1% non-fat dry milk for 1 h at room temperature, incubated in monoclonal mouse anti-reelin antibody 142 (1:2500 in blocker; gift of Dr. André Goffinet, Univ. of Louvain, Belgium) overnight at 4 degrees, rinsed, incubated in secondary antibody (1:5,000, peroxidase-conjugated anti-mouse IgG, affinity purified, Chemicon) for 2–3 h, rinsed, incubated in enhanced chemiluminescence reagent (ECL-Plus, Amersham) for 5 min, and exposed to film (Hyperfilm ECL; Amersham) for 15 min. In the present study, the primary antibody (anti-reelin 142) was purified from crude ascites using protein G chromatography; this greatly reduced background of the Western blots, without loss of sensitivity. As indicated, in some experiments recombinant reelin was immunoblotted using anti-reelin antibody G10 ascites (1:5,000; gift of Dr. Andre Goffinet, Univ. of Louvain, Belgium). Antibody 142 and G10 both recognize epitopes near the N-terminus of reelin [36]; whereas antibody 142 recognizes both human and rodent reelin, G10 recognizes rodent reelin extremely well but barely recognizes human reelin.
To detect other antigens present on these blots, no "stripping" was performed. Blots were simply re-wetted in methanol, rinsed in water, and then re-blocked and immunoblotted as above, using either polyclonal goat anti-amyloid precursor protein (APP) (1: 770; recognizing amino acids 44–63, Chemicon, Temecula, CA) or polyclonal rabbit anti-laminin (1: 50,000; Sigma), followed by peroxidase conjugated anti-goat IgG (1:50,000; Chemicon) or anti-rabbit IgG (1: 50,000; Sigma).
To examine the molecular size of non-reduced reelin in composite agarose-acrylamide gels, agarose (0.4–0.6%, w/v, electrophoresis grade, BRL) was melted in electrophoresis buffer (40 mM Tris-acetate, pH 7.8, 0.1% SDS, 1 mM EDTA) until clear, allowed to cool to 55 C, added 30% acrylamide-0.8% bisacrylamide, 1:200 10% APS and 1:2000 TEMED and poured in the Mini-PROTEAN 3 vertical apparatus (Bio-Rad). The percentage of acrylamide was varied from 1–3% in different experiments; optimal band resolution was observed using agarose (0.5%) and acrylamide (2.75%). Before adding samples, the gel was incubated at 4 C for 30 min in electrophoresis buffer. Samples were electrophoresed at 30 milliamp for 30 min, then at 50 milliamp until the 205 kDa prestained molecular weight standard was just below the middle of the gel. To minimize heating, the gel apparatus was packed in wet ice. Proteins were transferred to PVDF membrane overnight at 14 volt (70 milliamp, constant current conditions), at 4 C.
Plasma assays correlating reelin genotype and phenotype utilized archival samples collected from primary autistic probands screened for known causes of autism and characterized in detail as described [13]. Written informed consent was provided by parents regarding the use of plasma for these assays, and all studies had IRB approval. All patient samples were from children (range 5–16 years old) matched for sex (males) and pairs were chosen to match age as closely as possible. To compare the intensities of immunoreactive protein bands between autistic pairs differing in CGG repeat length, each sample was loaded at three different volumes and pairs were loaded on the same gel. Integrated optical densities were measured for each band using a high resolution scanner and NIH Image 1.62 image processing program, taking into account the area of the band and subtracting the background value for each lane. For each sample, the optical densities were plotted as a function of volume loaded. Experiments were analyzed in which the optical density curves are linear and not saturated, where there is overlap between the paired sample curves, and where the slopes of the curve for the major plasma reelin fragment (310 kDa) are approximately parallel. Then, the relative amount of reelin present in the plasma sample is estimated by interpolation between the paired sample curves.
Authors' contributions
AP and FK collected, characterized and made available archival human blood samples from their earlier clinical and genetic study of the role of reelin gene polymorphisms in autism. GL and JK carried out the biochemical analyses and made the figures. JD performed the statistical analyses. NS coordinated the study, supervised its design and execution, and wrote the paper. All authors read and approved the final manuscript.
Acknowledgments
Acknowledgments
Supported by NIH MH60778 and The National Alliance for Autism Research. Thanks to Jose Ruiz and Dudley Strickland (American Red Cross, Rockville, MD) for the VLDL receptor ELISA assay.
Contributor Information
Giovanni Lugli, Email: glugli@psych.uic.edu.
Jacqueline M Krueger, Email: jmk@uic.edu.
John M Davis, Email: jmdavis@psych.uic.edu.
Antonio M Persico, Email: a.persico@unicampus.it.
Flavio Keller, Email: f.keller@unicampus.it.
Neil R Smalheiser, Email: smalheiser@psych.uic.edu.
References
- Rice DS, Curran T. Role of the reelin signaling pathway in central nervous system development. Ann Rev Neurosci. 2001;24:1005–1039. doi: 10.1146/annurev.neuro.24.1.1005. [DOI] [PubMed] [Google Scholar]
- Lambert de Rouvroit C, Goffinet AM. The reeler mouse as a model of brain development. Adv Anat Embryol Cell Biol. 1998;150:1–106. [PubMed] [Google Scholar]
- Rodriguez MA, Pesold C, Liu WS, Kriho V, Guidotti A, Pappas GD, Costa E. Colocalization of integrin receptors and reelin in dendritic spine postsynaptic densities of adult nonhuman primate cortex. Proc Natl Acad Sci U S A. 2000;97:3550–3555. doi: 10.1073/pnas.050589797. [DOI] [PMC free article] [PubMed] [Google Scholar]
- Liu WS, Pesold C, Rodriguez MA, Carboni G, Auta J, Lacor P, Larson J, Condie BG, Guidotti A, Costa E. Down-regulation of dendritic spine and glutamic acid decarboxylase 67 expressions in the reelin haploinsufficient heterozygous reeler mouse. Proc Natl Acad Sci U S A. 2001;98:3477–3482. doi: 10.1073/pnas.051614698. [DOI] [PMC free article] [PubMed] [Google Scholar]
- Smalheiser NR, Costa E, Guidotti A, Impagnatiello F, Auta J, Lacor P, Kriho V, Pappas GD. Expression of reelin in adult mammalian blood, liver, pituitary pars intermedia and adrenal chromaffin cells. Proc Natl Acad Sci USA. 2000;97:1281–1286. doi: 10.1073/pnas.97.3.1281. [DOI] [PMC free article] [PubMed] [Google Scholar]
- Underhill GH, George D, Bremer EG, Kansas GS. Gene expression profiling reveals a highly specialized genetic program of plasma cells. Blood. 2003;101:4013–4021. doi: 10.1182/blood-2002-08-2673. [DOI] [PubMed] [Google Scholar]
- Lambert de Rouvroit C, de Bergeyck V, Cortvrindt C, Bar I, Eeckhout Y, Goffinet AM. Reelin, the extracellular matrix protein deficient in reeler mutant mice, is processed by a metalloproteinase. Exp Neurol. 1999;156:214–217. doi: 10.1006/exnr.1998.7007. [DOI] [PubMed] [Google Scholar]
- Chen Y, Sharma RP, Costa RH, Costa E, Grayson DR. On the epigenetic regulation of the human reelin promoter. Nucleic Acids Res. 2002;30:2930–2939. doi: 10.1093/nar/gkf401. [DOI] [PMC free article] [PubMed] [Google Scholar]
- Hong SE, Shugart YY, Huang DT, Shahwan SA, Grant PE, Hourihane JO, Martin ND, Walsh CA. Autosomal recessive lissencephaly with cerebellar hypoplasia is associated with human RELN mutations. Nat Genet. 2000;26:93–96. doi: 10.1038/79246. [DOI] [PubMed] [Google Scholar]
- Impagnatiello F, Guidotti AR, Pesold C, Dwivedi Y, Caruncho H, Pisu MG, Uzunov DP, Smalheiser NR, Davis JM, Pandey GN, Pappas GD, Tueting P, Sharma RP, Costa E. A decrease of reelin expression as a putative vulnerability factor in schizophrenia. Proc Natl Acad Sci U S A. 1998;95:15718–15723. doi: 10.1073/pnas.95.26.15718. [DOI] [PMC free article] [PubMed] [Google Scholar]
- Guidotti A, Auta J, Davis JM, Di-Giorgi-Gerevini GV, Dwivedi Y, Grayson DR, Impagnatiello F, Pandey G, Pesold C, Sharma R, Uzunov D, Costa E. Decrease in reelin and glutamic acid decarboxylase67 (GAD67) expression in schizophrenia and bipolar disorder: a postmortem brain study. Arch Gen Psychiatry. 2000;57:1061–1069. doi: 10.1001/archpsyc.57.11.1061. [DOI] [PubMed] [Google Scholar]
- Knable MB, Torrey EF, Webster MJ, Bartko JJ. Multivariate analysis of prefrontal cortical data from the Stanley Foundation Neuropathology Consortium. Brain Res Bull. 2001;55:651–659. doi: 10.1016/S0361-9230(01)00521-4. [DOI] [PubMed] [Google Scholar]
- Persico AM, D'Agruma L, Maiorano N, Totaro A, Militerni R, Bravaccio C, Wassink TH, Schneider C, Melmed R, Trillo S, Montecchi F, Palermo M, Pascucci T, Puglisi-Allegra S, Reichelt KL, Conciatori M, Marino R, Quattrocchi CC, Baldi A, Zelante L, Gasparini P, Keller F. Collaborative Linkage Study of Autism. Reelin gene alleles and haplotypes as a factor predisposing to autistic disorder. Mol Psychiatry. 2001;6:150–159. doi: 10.1038/sj.mp.4000850. [DOI] [PubMed] [Google Scholar]
- Fatemi SH, Stary JM, Egan EA. Reduced blood levels of reelin as a vulnerability factor in pathophysiology of autistic disorder. Cell Mol Neurobiol. 2002;22:139–152. doi: 10.1023/A:1019857620251. [DOI] [PMC free article] [PubMed] [Google Scholar]
- Grayson DR, Chen Y, Uzunov DP, Costa E. Molecular mechanisms regulating reelin gene expression [abstract] Am J Med Genet. 2001. p. 565.
- Krueger JM, Davis JM, Costa E, Smalheiser NR. Methodological issues in the measurement of reelin in human plasma [abstract] Soc Neurosci Abs. 2001;31:238.5. [Google Scholar]
- Smalheiser NR, Krueger JM, Larson JR, Ruiz JF, Strickland DK. Reelin is a substrate for plasminogen activator and plasmin in vitro [abstract] Soc Neurosci Abs. 2001;31:662.14. [Google Scholar]
- Jossin Y, Bar I, Ignatova N, Tissir F, Lambert de Rouvroit C, Goffinet A. The reelin signaling pathway: some recent developments. Cerebral Cortex. 2003;13:627–633. doi: 10.1093/cercor/13.6.627. [DOI] [PubMed] [Google Scholar]
- Kubo K, Mikoshiba K, Nakajima K. Secreted Reelin molecules form homodimers. Neurosci Res. 2002;43:381–388. doi: 10.1016/S0168-0102(02)00068-8. [DOI] [PubMed] [Google Scholar]
- Kozak M. Do the 5'untranslated domains of human cDNAs challenge the rules for initiation of translation (or is it vice versa)? Genomics. 2000;70:396–406. doi: 10.1006/geno.2000.6412. [DOI] [PubMed] [Google Scholar]
- Zhang H, Liu X, Zhang C, Mundo E, Macciardi F, Grayson DR, Guidotti AR, Holden JJ. Reelin gene alleles and susceptibility to autism spectrum disorders. Mol Psychiatry. 2002;7:1012–1017. doi: 10.1038/sj.mp.4001124. [DOI] [PubMed] [Google Scholar]
- Akahane A, Kunugi H, Tanaka H, Nanko S. Association analysis of polymorphic CGG repeat in 5' UTR of the reelin and VLDLR genes with schizophrenia. Schizophr Res. 2002;58:37–41. doi: 10.1016/S0920-9964(01)00398-X. [DOI] [PubMed] [Google Scholar]
- Krebs MO, Betancur C, Leroy S, Bourdel MC, Gillberg C, Leboyer M. The Paris Autism Research International Sibpair (PARIS) Study. Absence of association between a polymorphic GGC repeat in the 5' untranslated region of the reelin gene and autism. Mol Psychiatry. 2002;7:801–804. doi: 10.1038/sj.mp.4001071. [DOI] [PMC free article] [PubMed] [Google Scholar]
- Quattrocchi CC, Wannenes F, Persico AM, Ciafre SA, D'Arcangelo G, Farace MG, Keller F. Reelin is a serine protease of the extracellular matrix. J Biol Chem. 2002;277:303–309. doi: 10.1074/jbc.M106996200. [DOI] [PubMed] [Google Scholar]
- Seeds NW, Siconolfi LB, Haffke SP. Neuronal extracellular proteases facilitate cell migration, axonal growth, and pathfinding. Cell Tissue Res. 1997;290:367–370. doi: 10.1007/s004410050942. [DOI] [PubMed] [Google Scholar]
- Mataga N, Nagai N, Hensch TK. Permissive proteolytic activity for visual cortical plasticity. Proc Natl Acad Sci U S A. 2000;99:7717–7721. doi: 10.1073/pnas.102088899. [DOI] [PMC free article] [PubMed] [Google Scholar]
- Baranes D, Lederfein D, Huang YY, Chen M, Bailey CH, Kandel ER. Tissue plasminogen activator contributes to the late phase of LTP and to synaptic growth in the hippocampal mossy fiber pathway. Neuron. 1998;21:813–825. doi: 10.1016/s0896-6273(00)80597-8. [DOI] [PubMed] [Google Scholar]
- Weeber EJ, Beffert U, Jones C, Christian JM, Forster E, Sweatt JD, Herz J. Reelin and ApoE receptors cooperate to enhance hippocampal synaptic plasticity and learning. J Biol Chem. 2002;277:39944–39952. doi: 10.1074/jbc.M205147200. [DOI] [PubMed] [Google Scholar]
- Fatemi SH, Emamian ES, Kist D, Sidwell RW, Nakajima K, Akhter P, Shier A, Sheikh S, Bailey K. Defective corticogenesis and reduction in Reelin immunoreactivity in cortex and hippocampus of prenatally infected neonatal mice. Mol Psychiatry. 1999;4:145–154. doi: 10.1038/sj.mp.4000520. [DOI] [PubMed] [Google Scholar]
- Ballmaier M, Zoli M, Leo G, Agnati LF, Spano P. Preferential alterations in the mesolimbic dopamine pathway of heterozygous reeler mice: an emerging animal-based model of schizophrenia. Eur J Neurosci. 2002;15:1197–1205. doi: 10.1046/j.1460-9568.2002.01952.x. [DOI] [PubMed] [Google Scholar]
- Hadj-Sahraoui N, Frederic F, Delhaye-Bouchaud N, Mariani J. Gender effect on Purkinje cell loss in the cerebellum of the heterozygous reeler mouse. J Neurogenet. 1996;11:45–58. doi: 10.3109/01677069609107062. [DOI] [PubMed] [Google Scholar]
- Tueting P, Costa E, Dwivedi Y, Guidotti A, Impagnatiello F, Manev R, Pesold C. The phenotypic characteristics of heterozygous reeler mouse. Neuroreport. 1999;10:1329–1334. doi: 10.1097/00001756-199904260-00032. [DOI] [PubMed] [Google Scholar]
- D'Arcangelo G, Nakajima K, Miyata T, Ogawa M, Mikoshiba K, Curran T. Reelin is a secreted glycoprotein recognized by the CR-50 monoclonal antibody. J Neurosci. 1997;17:23–31. doi: 10.1523/JNEUROSCI.17-01-00023.1997. [DOI] [PMC free article] [PubMed] [Google Scholar]
- Laemmli UK. Cleavage of structural proteins during the assembly of the head of bacteriophage T4. Nature. 1970;227:680–685. doi: 10.1038/227680a0. [DOI] [PubMed] [Google Scholar]
- Smalheiser NR, Schwartz NB. Cranin: a laminin-binding protein of cell membranes. Proc Natl Acad Sci U S A. 1987;84:6457–6461. doi: 10.1073/pnas.84.18.6457. [DOI] [PMC free article] [PubMed] [Google Scholar]
- De Bergeyck V, Naerhuyzen B, Goffinet AM, Lambert de Rouvroit C. A panel of monoclonal antibodies against reelin. J Neurosci Methods. 1998;82:17–24. doi: 10.1016/S0165-0270(98)00024-7. [DOI] [PubMed] [Google Scholar]
- Hembrough TA, Ruiz JF, Papathanassiu AE, Green SJ, Strickland DK. Tissue factor pathway inhibitor inhibits endothelial cell proliferation via association with the very low density lipoprotein receptor. J Biol Chem. 2001;276:12241–12248. doi: 10.1074/jbc.M010395200. [DOI] [PubMed] [Google Scholar]








