Abstract
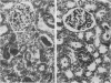
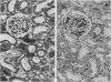
Renal cortical necrosis was induced by the administration of vasopressin to oestrogen-pretreated rats. Histochemical (succinic dehydrogenase, trichrome, perjod acid Schiff) and electronmicroscopic methods were applied to examine how the vasopressin antagonist d(CH2)5Tyr(Met)AVP influences the development of this renal cortical necrosis. The experiments revealed that vasopressin did not induce hypoxia or necrosis in the renal tubules if the antagonist was administered simultaneously, even after oestrogen pretreatment. The conclusion is drawn that this pressor antagonist may be of value for the prevention of renal cortical necrosis in rats or in human beings.
Full text
PDF








Images in this article
Selected References
These references are in PubMed. This may not be the complete list of references from this article.
- Aisenbrey G. A., Handelman W. A., Arnold P., Manning M., Schrier R. W. Vascular effects of arginine vasopressin during fluid deprivation in the rat. J Clin Invest. 1981 Apr;67(4):961–968. doi: 10.1172/JCI110146. [DOI] [PMC free article] [PubMed] [Google Scholar]
- BROWN L. M., GINSBURG M. Effect of anaesthetics and haemorrhage on the release of neurohypophysial antidiuretic hormone. Br J Pharmacol Chemother. 1956 Sep;11(3):236–244. doi: 10.1111/j.1476-5381.1956.tb01060.x. [DOI] [PMC free article] [PubMed] [Google Scholar]
- BYROM F. B., PRATT O. E. Oxytocin and renal cortical necrosis. Lancet. 1959 Apr 11;1(7076):753–754. doi: 10.1016/s0140-6736(59)91827-6. [DOI] [PubMed] [Google Scholar]
- Butlen D., Guillon G., Rajerison R. M., Jard S., Sawyer W. H., Manning M. Structural requirements for activation of vasopressin-sensitive adenylate cyclase, hormone binding, and antidiuretic actions: effects of highly potent analogues and competitive inhibitors. Mol Pharmacol. 1978 Nov;14(6):1006–1017. [PubMed] [Google Scholar]
- Cowley A. W., Jr, Switzer S. J., Guinn M. M. Evidence and quantification of the vasopressin arterial pressure control system in the dog. Circ Res. 1980 Jan;46(1):58–67. doi: 10.1161/01.res.46.1.58. [DOI] [PubMed] [Google Scholar]
- Di Paolo N., Facchini C. Aspetti clinici dell'insufficienza renale acuta con particolare riguardo all'IRA post-partum. Minerva Ginecol. 1982 May;34(5):283–304. [PubMed] [Google Scholar]
- Errington M. L., Rocha e Silva M., Jr On the role of vasopressin and angiotensin in the development of irreversible haemorrhagic shock. J Physiol. 1974 Oct;242(1):119–141. doi: 10.1113/jphysiol.1974.sp010697. [DOI] [PMC free article] [PubMed] [Google Scholar]
- HONORE L. H. The vascular responses of male rats to the post-pituitary hormones after treatment with deoxycorticosterone acetate (DOCA) and cortisone. Q J Exp Physiol Cogn Med Sci. 1962 Oct;47:345–351. doi: 10.1113/expphysiol.1962.sp001618. [DOI] [PubMed] [Google Scholar]
- Hiault C., Dequiedt P., Benoit O., Dognin C., Monnier J. C., Cotteel M., Puech F., Leroy J. L., Tacquet A., Delecour M. La nécrose corticale rénale du post-partum. J Gynecol Obstet Biol Reprod (Paris) 1982;11(7):839–848. [PubMed] [Google Scholar]
- Jones F. E., Black P. J., Cameron J. S., Chantler C., Gill D., Maisey M. N., Ogg C. S., Saxton H. Local infusion of urokinase and heparin into renal arteries in impending renal cortical necrosis. Br Med J. 1975 Dec 6;4(5996):547–549. doi: 10.1136/bmj.4.5996.547. [DOI] [PMC free article] [PubMed] [Google Scholar]
- KOVACS K., DAVID M. A., LASZLO F. A. EFFECT OF HYPOPHYSECTOMY ON THE DEVELOPMENT OF RENAL CORTICAL NECROSIS INDUCED BY POSTERIOR PITUITARY EXTRACT IN OESTRONE PRETREATED RATS. Br J Exp Pathol. 1964 Aug;45:415–418. [PMC free article] [PubMed] [Google Scholar]
- LLOYD S., PICKFORD M. The effect of oestrogens and sympathetic denervation on the response to oxytocin of the blood vessels in the hind limb of the dog. J Physiol. 1962 Sep;163:362–371. doi: 10.1113/jphysiol.1962.sp006981. [DOI] [PMC free article] [PubMed] [Google Scholar]
- Laycock J. F., Penn W., Shirley D. G., Walter S. J. The role of vasopressin in blood pressure regulation immediately following acute haemorrhage in the rat. J Physiol. 1979 Nov;296:267–275. doi: 10.1113/jphysiol.1979.sp013004. [DOI] [PMC free article] [PubMed] [Google Scholar]
- Manning M., Sawyer W. H. Antagonists of vasopressor and antidiuretic responses to arginine vasopressin. Ann Intern Med. 1982 Apr;96(4):520–522. doi: 10.7326/0003-4819-96-4-520. [DOI] [PubMed] [Google Scholar]
- Rocha E Silva M., Jr, Rosenberg M. The release of vasopressin in response to haemorrhage and its role in the mechanism of blood pressure regulation. J Physiol. 1969 Jun;202(3):535–557. doi: 10.1113/jphysiol.1969.sp008826. [DOI] [PMC free article] [PubMed] [Google Scholar]
- Rose J. C., Jones C. M., Kelly R. T., Hargrave B. Y., Meis P. J. A vasopressin antagonist blocks the norepinephrine and epinephrine responses to hemorrhage in the fetus. Endocrinology. 1983 Dec;113(6):2314–2316. doi: 10.1210/endo-113-6-2314. [DOI] [PubMed] [Google Scholar]
- Zerbe R. L., Bayorh M. A., Feuerstein G. Vasopressin: an essential pressor factor for blood pressure recovery following hemorrhage. Peptides. 1982 May-Jun;3(3):509–514. doi: 10.1016/0196-9781(82)90117-6. [DOI] [PubMed] [Google Scholar]
- Zerbe R. L., Henry D. P., Robertson G. L. Vasopressin response to orthostatic hypotension. Etiologic and clinical implications. Am J Med. 1983 Feb;74(2):265–271. doi: 10.1016/0002-9343(83)90625-3. [DOI] [PubMed] [Google Scholar]





