Full text
PDF







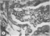
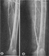
Images in this article
Selected References
These references are in PubMed. This may not be the complete list of references from this article.
- JOHNSON A. J., McCARTY W. R. The lysis of artificially induced intravascular clots in man by intravenous infusions of streptokinase. J Clin Invest. 1959 Sep;38:1627–1643. doi: 10.1172/JCI103941. [DOI] [PMC free article] [PubMed] [Google Scholar]
- JOHNSON A. J., TILLETT W. S. The lysis in rabbits of intravascular blood clots by the streptococcal fibrinolytic system (streptokinase). J Exp Med. 1952 May 1;95(5):449–464. doi: 10.1084/jem.95.5.449. [DOI] [PMC free article] [PubMed] [Google Scholar]
- MOSER K. M., HAJJAR G. C. The combined use of fibrinolytic and anticoagulant agents. Laboratory and clinical considerations. Am J Cardiol. 1960 Aug;6:496–502. doi: 10.1016/0002-9149(60)90343-x. [DOI] [PubMed] [Google Scholar]