Abstract
Scurfy (Sf) mice bear a mutation in the Foxp3 transcription factor, lack regulatory T cells (Treg), develop multiorgan inflammation, and die prematurely. The major target organs affected are skin, lungs, and liver. Sf mice lacking the Il2 gene (Sf.Il2−/−), despite being devoid of Treg, did not develop skin and lung inflammation, but the inflammation in liver, pancreas, submandibular gland, and colon remained. Genome-wide microarray analysis revealed hundreds of genes that were differentially regulated among Sf, Sf.Il2−/−, and B6 CD4+ T cells, but the most significant changes were those encoding receptors for trafficking/chemotaxis/retention and cytokines. Our study suggests that IL-2 controls the skin and lung inflammation in Sf mice in an apparent “organ-specific” manner through two novel mechanisms: by regulating the expression of genes encoding a variety of receptors for T cell trafficking/chemotaxis/retention and by regulating Th2 cell expansion and cytokine production. Thus, IL-2 is potentially a master regulator for multiorgan inflammation and an underlying etiological factor for various diseases associated with skin and lung inflammation.
Keywords: Regulatory T-cells, Trafficking, Inflammation, Autoimmunity
Introduction
Interleukin-2 was identified more than three decades ago as a T cell growth factor (1). Since then, IL-2 has been shown to have many additional functions (2). During the last decade, IL-2 is recognized for its critical role in the generation and maintenance of regulatory T cells (Treg), which control peripheral tolerance (3–6). IL-2 deficiency reduces Treg level (3, 7), leading to spontaneous lymphoproliferation, polyclonal activation of T and B cells, and autoimmune disease. Il2−/− mice bearing the B6 background genes develop inflammation in colon, liver, salivary glands, and pancreas, and they die between 6 and 25 wk old after birth (8). In contrast, B6.Foxp3sf/Y scurfy (Sf) mice, which completely lack Treg, develop a more rapid and stronger multiorgan inflammation (MOI) along with high serum Ig (including IgE) and die by 4 wk of age (9–11). Unlike Il2−/− mice, the major target organs affected are skin, lungs, and liver. Thus, despite living much longer than Sf mice, Il2−/− mice do not develop inflammation in the skin and lungs (8). To determine whether the residual Treg in Il2−/− mice are sufficient to maintain tolerance in skin and lungs, we eliminated the residual Treg by breeding the Sf mutation into male Il2−/− mice (8, 12). Similar to Sf mice, Sf.Il2−/− mice completely lack Treg and develop symptoms of lymphoproliferation and MOI. However, Sf.Il2−/− mice live longer than Sf mice and yet they do not develop inflammation in skin and lungs, whereas inflammation in liver is as strong as that in Sf mice. This study raises an important question as to how IL-2 can regulate MOI in an apparent “organ-specific” manner in the Treg-deficient Sf mice.
Inflammation of an organ can be determined at several and mutually nonexclusive checkpoints of the process with varying degrees of organ specificity. The most specific ones are those mediated by T cells that have specificity toward organ-specific Ags. This mechanism has been amply demonstrated in experimental systems, such as type 1 diabetes, autoimmune arthritis, and experimental autoimmune encephalitis (13–16). In Sf mice, anti–keratin-14 Abs against skin and anti-pyruvate dehydrogenase-E2 against liver/biliary bile duct have been described (17, 18). However, organ-specific T cells against these or other Ags in Sf mice remain to be established. Additionally, it is difficult to envision a selective expansion of organ Ag-specific T cells by IL-2. The second checkpoint is at the stage of trafficking/chemotaxis/retention that dictates the entrance and long stay of the inflammation-inducing T cells in the target organs. Thus, organs that preferentially express ligands for these receptors can display inflammation in an apparent organ-specific manner. This possibility is supported in part by our recent demonstration that the IL-2 controls CD103 expression that is required for CD4+ T cell retention in skin and lungs and that the inflammation in the submandibular gland (SMG) of Sf mice requires the production of chemokines induced by TLR agonists (12, 19). The third mechanism is at the stage of T cell activation in the target organs that have a propensity to expand Th2 responses and IgE-mediated inflammation. This situation is intensified by the predicament that Th2 response is preferentially developed in neonates and is exacerbated by the total absence of Treg such as in Sf mice (20).
These mechanisms are addressed in the present study using genome-wide microarray comparison between the CD4+ T cells of Sf and Sf.Il2−/− mice. The results demonstrated that the most upregulated genes dependent on IL-2 for expression include those involved in trafficking/chemotaxis/retention, thus assigning a heretofore unknown novel function of IL-2 in regulating T cell trafficking/chemotaxis/retention in Sf mice. A differential expression of Th2 cytokine genes is not obvious between Sf and Sf.Il2−/− mice, although both are upregulated when compared with B6 control. Paradoxically, serum Th2 cytokines in Sf.Il2−/− mice are lower than in Sf mice, and the frequency of Th2 cells in Sf.Il2−/− CD4+ T cells upon activation in vitro is also lower than that in Sf samples, suggesting that IL-2 is critical to cytokine production and Th2 cell expansion during T cell activation in Sf mice. Our study identified several IL-2–controlled targets that correlated with the development of skin and lung inflammation in Sf mice and the apparent organ-specific inhibition of skin and lung inflammation in Sf.Il2−/− mice. The large number of IL-2-regulated target genes involved in T cell trafficking and Th2 effector functions demonstrated that IL-2 is a master regulator for MOI and imply that IL-2 deficiency may be an underlying etiological factor for various diseases associated with skin and lung inflammation.
Materials and Methods
Mice
C57BL/6 (B6), B6.Il2+/−, B6.Cg-Foxp3sf/x/J, and B6.129S7-Rag1tm/Mom/J (Rag1−/−) mice were obtained from the The Jackson Laboratory (Bar Harbor, ME). Il2−/− mice bearing the B6 background genes were obtained by breeding using B6.Il2+/− mice (12). B6.Cg-Foxp3sf/x/J mice were bred with male B6 mice to produce Sf mice. Mice (Sf.Il2−/−) carrying both Il2−/− and Foxp3sf/Y genes were generated as previously described (19). Presence of the Il2−/− and Foxp3sf mutation was determined by PCR as detailed in The Jackson Laboratory’s Web site. Mice were examined twice weekly for clinical signs of diseases, including manifestation of skin inflammation, body weight loss, and wasting. Experiments involving animals were conducted in accordance with the protocols approved by the Animal Care and Use Committee of the University of Virginia.
Serum cytokine analysis
The serum level of various cytokines was analyzed commercially by Affymetrix, using the Procarta cytokine kits and the Luminex platform. Individual sera from 3-wk-old mice were used. They were assayed for IL-3, IL-4, IFN-γ, IL-5, IL-6, IL-10, IL-17, TNF-α, and GM-CSF.
Flow cytometry and cell sorting
Axillary, brachial, inguinal, cervical, and facial lymph nodes (LN) from sex- and age-matched B6, Sf, and Sf.Il2−/− mice were isolated and pooled, and single-cell suspensions were prepared in PBS for individual mice (12). Cells were suspended in 100 μl PBS solution (containing 4 mg BSA and 1 μg anti-FcR mAb 2.4G2) and incubated with 0.2 μg various fluorescent Abs for 30 min at 4°C. At least 104 stained cells were analyzed using a FACScan equipped with CellQuest software (BD Biosciences). Postacquisition analyses were carried out using FlowJo software (Tree Star, Ashland, OR). To prepare CD4+ T cells used for microarray analysis and quantitative RT-PCR, LN T cells were purified by depletion using biotinylated Abs against B220, CD8, CD11b, CD11c, and NK1.1 and anti-biotin-conjugated magnetic beads (Miltenyi Biotec or StemCell Technologies). The remaining cells were treated with PE-anti-CD3 and allophycocyanin-anti-CD4 Abs and sorted at the UVA Flow Core Facility by FACS on a BD Vantage cell sorter equipped with BD Diva software (BD Biosciences). The purity of CD4+ T cell population was >99%.
Microarray gene-expression profiling and data analysis
RNA samples prepared from FACS-purified CD4+ T cells using an RNeasy kit (Qiagen) were labeled and hybridized to A430 V2.0 GeneChips (Affymetrix) using protocol specified by the manufacturer at the UVA GeneChip/Microarray Bioinformatics Core. The expression intensities for all the probes in Affymetrix Murine Genome 430A V2.0 GeneChips were normalized using the robust multiarray average software, RMAExpress, for probe-level quantile normalization and background correction across 3 Sf.Il2−/− and 3 Sf samples. To identify differentially expressed probes, we used two statistical tests for small-sample microarray data analysis, the local pooled error (LPE) test and significance analysis of microarray (SAM) (21, 22). These analyses were performed in R statistical software (version 2.9.1) equipped with the relevant Bioconductor packages LPE and SAM. Two-way hierarchical cluster and pathway analyses were performed using the Ingenuity Pathways Analysis (Ingenuity Systems) and NetAffx (Affymetrix) for gene annotation and functional network analysis. The microarray data are deposited in the NCBI GEO data bank (accession number GSE23398).
Quantitative real-time PCR
CD4+ T cells were FACS-sorted from the pooled LN cells of 15-d-old B6, Sf, or Sf.Il2−/− mice. Aliquots of the cells were directly used for analysis. Purified cells (5 × 105/well/96-well plate) were also cultured with anti-CD3/CD28 beads (Invitrogen) at a ratio of 1:1 for 3 d. In some wells, the cultures were supplemented with rIL-2 (20 IU) or rIL-4 (4 ng) with or without rTGF-β1 (0.5 ng) and analyzed 3 d later. Total RNA was prepared and the expression of various genes was determined by quantitative real-time PCR (Q-PCR) as follows. RNA samples were converted to cDNA using a QuantiTect reverse transcription kit (Qiagen). Q-PCR analysis was performed using an iCycler iQ system (Bio-Rad) that measures SYBR Green DNA binding. The validated primer sequences for various genes were obtained from PrimerBank Web site (http://pga.mgh.harvard.edu/primerbank/). Relative quantification of gene expression based on primer efficiency correction was performed as described by Pfaffl (23). Target gene expression level was normalized based on the expression level of hypoxanthine-guanine phosphoribosyl transferase (Hgprt) or Gapdh.
Adoptive transfer
CD4+ T cells were purified from the pooled LN of 3-wk-old B6, Sf, or Sf.Il2−/− mice by magnetic beads using a CD4+ T cell isolation kit (Miltenyi Biotec). A total of 5 × 106 cells were injected i.v. into 10-wk-old Rag1−/− male mice. The recipients were sacrificed 3 wk later and various organs were fixed in 10% neutral buffered-formalin and then embedded in paraffin blocks. Sections (5 μm) were stained with H&E and analyzed by light microscopy. The extent of inflammation was scored and the significance was determined as previously described (8).
Measurement of cytokine-producing CD4+ T cells
Cytokine-producing CD4+ T cells were analyzed by intracellular cytokine staining of the LN cells that had been activated in vitro (4 × 106 cells/2 ml/24-well plate) for 4 h with 20 ng/ml PMA and 1 μM ionomycin in the presence of 2 μM monensin (Sigma-Aldrich). The cells were stained with allophycocyanin-eFluor 780–labeled anti-CD4 Ab (eBioscience) followed by intracellular staining for various cytokines using FITC-, PE-, or allophycocyanin-labeled Abs against IL-2, IL-4, IL-5, IL-13, IL-10, IL-17, IFN-γ, and TNF-α (eBioscience) on cells permeabilized with a BD Cytofix/Cytoperm kit (BD Biosciences) and then analyzed by flow cytometry as described above.
Results
DNA microarray comparison between CD4+ T cells of Sf and Sf.Il2−/− mice
The Sf mice develop severe inflammation in skin, lungs, and liver within 2 wk after birth and die by 4 wk of age. In contrast, Sf.Il2−/− mice develop strong liver inflammation but the lung inflammation is greatly reduced and the skin inflammation is completely inhibited (8, 12). The inability to develop skin and lung inflammation is not due to inhibition of lymphoproliferation because both groups are totally devoid of Treg and both display severe lymphoproliferative syndromes, including lymphadenopathy, splenomegaly, and hyperimmunoglobulinemia (8, 12). Moreover, most CD4+ T cells bear the CD44hiCD62Llo phenotype, indicating they have gone through the activation-dependent expansion (not shown).
To identify the critical targets in the CD4+ T cells controlled by IL-2, we performed gene expression analysis on FACS-purified CD4+ T cells from lymph nodes of three Sf and three Sf.Il2−/− mice using Affymetrix mouse A430 V2.0 GeneChips. The samples were also compared with an RNA sample prepared from pooled LN CD4+ T cells of two age-matched B6 male. The quality of the array results was determined by evaluating the pairwise scatter plots and correlation coefficients across the entire targets for their poor or nonlinear intensity patterns. The lowest correlation coefficient was 0.974, which implied a very high quality and reproducibility of the analysis (Fig. 1A). Differential expression was defined as a mean fold change of >2 and p < 0.02 by Student t test. When comparison was made between Sf and Sf.Il2−/− samples, a total of 346 probes showed significant difference in expression at the false discovery rate level of 0.2 using the LPE and SAM methods (Fig. 1B, Supplemental Table I). Out of these probes, 134 (39%) were differentially expressed by both analyses. We eliminated those that were repetitive for the same gene and the genes whose function is not known to be specifically related to the immune system. This maneuver resulted in 79 IL-2–regulated genes that may have a role in the skin and lung inflammation in Sf mice (Fig. 2).
FIGURE 1.
Gene expression profiles of the FACS-purified CD4+ T cells from LN of indicated mice. Individual samples from three Sf and three Sf.Il2−/− mice and the sample prepared from LN of two B6 mice were compared. A, Comparison of the correlation coefficients among individual samples demonstrated that the quality and reproducibility of the analysis are extremely high. x- and y-axes indicate the expression values of each gene in each sample. The numbers in boxes are the corresponding correlation coefficients between the samples that crossed that box. B, The scatter plot shows that 346 probes were differentially expressed between the Sf and Sf.Il2−/− samples. x- and y-axes represent the average expression values of each gene among each of the three samples of Sf.Il2−/− and Sf mice, respectively.
FIGURE 2.

Heat map depiction of differentially expressed genes between Sf and Sf.Il2−/− CD4+ T cells. Individual samples (A, B, and C) from Sf and Sf.Il2−/− mice were compared for highly differentially expressed genes. p < 0.02. Genes that are related to immune activation and inflammation process are selected for presentation (arrows). Relative expression is presented as intensity of the color (red for upregulated genes and green for downregulated genes). Note that genes for trafficking/chemotaxis/retention are highly upregulated and also note the absence of upregulated T cell cytokine genes in this comparison. The brackets indicate the relatedness among the samples.
IL-2 regulates many genes related to trafficking/chemotaxis/retention in the CD4+ T cells of Sf mice
Among the 79 genes, 38 are well known for their participation in the immune activation and/or inflammatory diseases (Fig. 2, indicated with arrows). Although differential expression of genes related to mitogenic function of IL-2 was expected (Supplemental Table 1), the highest fold changes included those genes related to cell trafficking/chemotaxis/retention (Table I). The remarkable overexpression was observed for Cysltr1 (32-fold), Ltb4r1 (9-fold), Il1rl1 (14-fold), Itgae (18-fold), and Ccr1 (8-fold). To a lesser extent, IL-2 also upregulated other genes that are involved in inflammation, such as Itga6 (2-fold), Ccr2 (2-fold), Ccr8 (3-fold), and Cxcr6 (3-fold). In contrast, differential expression for chemokine genes was not as remarkable, as only 2-to 4-fold increases were observed for Ccl1, Ccl8, Cxcl2, and Selplg (Table I). Among them, only Ccl1 gene is the most differentially expressed when compared with B6 sample. In this comparison, a 24-fold change was observed for Sf samples and a 6-fold fold change was observed for Sf.Il2−/− samples (Table I).
Table 1.
Differential expression (fold changes) of trafficking/chemotaxis/retention related genes.
| Gene | Sf vs B6 | Sf.Il2−/− vs B6 | Sf vs Sf.Il2−/− | Cell types | Ligand/Receptor |
|---|---|---|---|---|---|
| Upregulated in Sf vs Sf.Il2−/− | |||||
| Cysltr1 | 89 | 3 | 32 | Th2 | LTC4, LTD4, LTE4 |
| Ltb4r1 | 8 | 1 | 9 | Th2 | LTB4 |
| Il1rl1 | 12 | 1 | 14 | Th2 | IL-33 |
| Itgae | 9 | ↓ 2 | 18 | T-cells | E-cadherin |
| Ccr1 | 10 | 1 | 8 | Inflammatory T-cells | CCL3, 5, 7 |
| Ccr2 | 6 | 3 | 2 | Th1 | CCL2 |
| Ccr8 | 3 | 1 | 3 | T-cells in asthma | CCL1 |
| Cxcr6 | 11 | 4 | 3 | Induced by IL-2&15 | CXCL16 |
| Ccl1 | 24 | 6 | 4 | T-cells in asthma | CCR8 |
| Ccl8 | 3 | 1.5 | 2 | Mast, Eos, Baso | CCR1, 2B, R5 |
| Cxcl2 | 4 | 1 | 4 | Monocytes, Mφ | CXCR2 |
| Selp | 2 | 1 | 2 | Skin homing T-cells | P-selectin ligand |
| L1cam | 1 | ↓ 3 | 2 | Leukocytes | Integrinανβ3 |
| Upregulated in Sf.Il2−/− vs Sf | |||||
| Cxcr5 | 2 | 8 | ↓ 4 | TFH | CXCL13 |
| Ccr5 | 4 | 16 | ↓ 4 | Th1 | CCL3, 4, 5, 8 |
| Ccl4 | 3 | 23 | ↓ 8 | Inflammatory T-cells | CCR1, 5 |
| Ccl5 | 2 | 17 | ↓ 8 | Inflammatory T-cells | CCR1, 3,5 |
| Cd44 | 3 | 4 | ↓1.5 | Memory T-cells | Hyaluronic acid |
| Upregulated in Sf and Sf.Il2−/− vs B6 | |||||
| Ccr3 | 3 | 3 | 1 | T-cells, Eos & Baso | CCL5, 7, 11, 13, 26 |
| Ccr4 | 2 | 3 | ↓ 1.5 (N.S.) | Th2 | CCL2, 4, 5, 17, 22 |
| Ccr6 | 2 | 5 | ↓ 2 (N.S.) | Th17 | CCL20 |
| Cxcr2 | 2 | 2 | 1 | Th1 (induced by IFN-γ) | CXCL1, 2, 3, 5, 8 (IL-8), |
| Cxcr3 | 3 | 4 | 1 | Th1 (induced by IFN-γ) | CXCL4, 9, 10, 11 |
| *Cxcr6 | 11 | 4 | 3 | Induced by IL-2&15 | CXCL16 |
| Cxcr7 | 2 | 3 | ↓ 1.5 (N.S.) | Leukocytes | CXCL11, 12 |
| *Ccl1 | 24 | 6 | 4 | T-cells in asthma | CCR8 |
| Cxcl3 | 9 | 9 | 1 | Leukocytes, epithelial | CXCR2 |
| Cxcl8 | 2 | 3 | ↓ 1 (N.S.) | Mφ, epithelial | CXCR1, 2 |
| Cxcl9 | 2 | 5 | ↓ 2 (N.S.) | Th1 (induced by IFN-γ) | CXCR3 |
| Cxcl10 | 13 | 10 | 1 | Leukocytes, endothelial | CXCR3 |
| Cxcl11 | 10 | 6 | 2 (N.S.) | Leukocytes, panc., liver | CXCR3 |
| Down-regulated in Sf and Sf.Il2−/− vs B6 | |||||
| Ccr7 | ↓ 3 | ↓ 3 | 1 | LN homing | CCL19 |
| Ccl19 | ↓ 3 | ↓ 3 | 1 | LN homing | CCR7 |
| Ccl20 | ↓ 3 | ↓ 2 | ↓ 1.5 (N.S.) | Th17 | CCR6 |
| Itga4 | ↓ 3 | ↓ 1.5 | ↓ 2 (N.S.) | T-cells | νCAM-1, LGALS8, Paxillin |
| Itga6 | ↓ 2 | ↓ 4 | 2 | T-cells | TSPAN4, GIPC1 |
| Itga9 | ↓ 5 | ↓ 2 | ↓ 2 | Leukocytes | νCAM1, cytotactin & osteopontin |
| Itgb3 | ↓ 3 | ↓ 3 | 1 | Platelets | Fibrinogen |
| Sell | ↓ 3 | ↓2 | 1.5 (N.S.) | Naive T-cells | Gly-CAM1, Mad-CAM1, CD34 |
| Selplg | ↓ 2 | ↓2 | 1 | Skin homing T-cells | P-selectin |
↓ Downregulated in Sf CD4+ T cells Sf vs Sf.Il2−/− and in Sf vs B6 comparisons; (N.S.) P-value>0.02; Th17 - IL-17 producing T-cells; TFH -Follicular helper T cells; Eos – Eosinophils; Baso – Basophils; Mφ – Macrophages; Panc- pancreas.
These are upregulated both in Sf and Sf.Il2−/− vs B6 and in Sf vs Sf.Il2−/− comparison
Conversely, a few genes related to trafficking/chemotaxis/retention were overexpressed in the CD4+ T cells of Sf.Il2−/− mice as compared with Sf samples. These included Ccr5, Cxcr5, Ccl4, and Ccl5 (Fig. 2). The expression of these genes in Sf samples was only slightly increased when compared with B6 control (Table I). Moreover, additional chemokine and chemokine receptor genes were identified to be overexpressed both in Sf and Sf.Il2−/− samples, although variations were observed in this comparison (Table I). These included chemokine receptor genes Ccr3, Ccr4, Ccr6, Ccr10, Cxcr2, Cxcr3, and Cxcr7 and chemokine genes Ccl1, Cxcl3, Cxcl8, Cxcl9, Cxcl10, and Cxcl11. Finally, genes encoding other chemokine receptors, ligands, and integrin components were found to be downregulated both in Sf and Sf.Il2−/− mice when compared with the B6 sample (Table I). Apparently, the mild downregulation of P-selectin ligand did not prevent Sf CD4+ T cells from infiltrating skin. We also did not observe any change in the gene expression of the α-1,3-fucosyltransferases IV and VII that control the expression of P- and E-selectin ligands (24, 25). The genes that were not differentially displayed between Sf and Sf.Il2−/− samples probably play a nonessential role for skin and lung inflammation. Their upregulation or downregulation in Sf.Il2−/− mice provides evidence for the specificity and the validity of the microarray assay.
The prominent genes overexpressed in Sf CD4+ T cells were validated by Q-PCR. In this experiment, RNA purified from B6 LN CD4+ T cells was used as calibrator and background control. The data shown in Fig. 3 confirmed the finding of the microarray analysis. Indeed, the absence of IL-2 resulted in reduced expression of Cysltr1, Ltb4r1, Il1rl1, Itgae, and Ccr1 to near the B6 background level. In contrast, the expression of Cxcr5, Ccl4, and Ccl5 genes was higher in Sf.Il2−/− but not in Sf samples (Fig. 3). Moreover, Cxcr3 gene was upregulated in both samples. Thus, both microarray analysis and Q-PCR demonstrated that IL-2 regulates a collective set of receptors on CD4+ T cells for trafficking/chemotaxis/retention. Those that were not differentially expressed between Sf and Sf.Il2−/− mice but both were overexpressed as compared with B6 mice may be important for inflammation in organs other than skin and lungs.
FIGURE 3.
Validation of microarray gene expression data by Q-PCR. CD4+ T cells were FACS-purified from LN of 3-wk-old male B6, Sf, and Sf.Il2−/− mice (n ≥ 4). Gene expression was analyzed by Q-PCR with SYBR Green technology using verified primers. Data are presented as mean and SD (error bars) of the fold changes over the expression values of B6 samples. All values of gene expression were normalized on Hgprt or Gapdh values of the samples. *p < 0.05 in the comparison.
Sf CD4+ T cells that displayed differential gene expression selectively transferred skin and lung inflammation
Functional validation of each of the upregulated genes is difficult for two reasons. First, specific blocking mAbs or mice lacking the specific gene are often not available. Second, the contribution of each of the genes to skin and lung inflammation may be fractional. The Itgae gene encoding CD103 provides an example for such an approach. IL-2 upregulates the expression of CD103 on CD4+ T cells in Sf mice and this upregulation is prevented in Sf.Il2−/− mice (12). However, the skin and lung inflammation in Sf.Itgae−/− (Sf.CD103−/−) mice was delayed for 2–3 wk as compared with Sf mice, thus validating the control of CD103 expression by IL-2 and the function of CD103 in skin and lung inflammation. Nevertheless, skin and lung inflammation eventually developed with a severity comparable to that observed in Sf mice (12). This study demonstrated that the skin and lung inflammation in Sf mice cannot be solely controlled by a single receptor such as integrin αε(CD103)β7. More likely, it is controlled by a collection of receptors, each of which contributes to the overall skin and lung inflammation process. Indeed, the protection of skin and lung inflammation in Sf.Il2−/− mice is life-long rather than the limited protection of 2–3 wk in Sf.Itgae−/− mice.
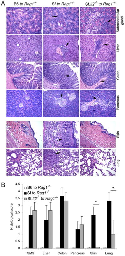
The effect of IL-2 null mutation is not limited to T cells. IL-2 production by dendritic cells and B cells has been reported (26, 27). IL-2 null mutation also affects the development of B cells and NK cells (28–30). Additionally, IL-2 may influence various aspects of the immune process, such as Ag presentation and Ig production (31). To firmly determine whether this organ-specific control of inflammation is an intrinsic property of CD4+ T cells, inflammation in organs not dependent on IL-2 was demonstrated (Fig. 4). The results showed that CD4+ T cells of Sf but not Sf.Il2−/− mice induced skin and lung inflammation and the extent of inflammation difference was highly significant. In contrast, inflammation in the liver, pancreas, colon, and SMG was observed in both groups and the extent of inflammation was comparable. Moreover, the skin and lung inflammation was protected to the end of the experimental period when the mice became moribund. The study functionally validated the microarray analysis and demonstrated that CD4+ T cells that expressed a collective set of IL-2–upregulated genes can transfer skin and lung inflammation and that the apparent organ-specific control of the skin and lung inflammation by IL-2 in Sf mice is an intrinsic property of the CD4+ T cells.
FIGURE 4.

The inability to induce skin and lung inflammation is an intrinsic property of the CD4+ T cells of Sf.Il2−/− mice. CD4+ T cells (5 × 106) were purified from B6, Sf, or Sf.Il2−/− mice by magnetic beads and transferred (i.v.) into Rag1−/− mice. A, The histopathology of the indicated organs was analyzed 3 wk later by H&E staining of the formalin-fixed and paraffin-embedded sections. Original magnification ×200 for SMG and ×100 for other organs. Arrows show areas of leukocytic infiltration. Note that CD4+ T cells from Sf but not Sf.Il2−/− mice induced skin and lung inflammation whereas both induced inflammation in liver, colon, SMG, and pancreas. B, Histological scores were determined and analyzed as described in “Materials and Methods”. *p < 0.05.
Sf CD4+ T cells that displayed differential gene expression selectively transferred skin and lung inflammation
Functional validation of each of the upregulated genes is difficult for two reasons. First, specific blocking mAbs or mice lacking the specific gene are often not available. Second, the contribution of each of the genes to skin and lung inflammation may be fractional. The Itgae gene encoding CD103 provides an example for such an approach. IL-2 upregulates the expression of CD103 on CD4+ T cells in Sf mice and this upregulation is prevented in Sf.Il2−/− mice (12). However, the skin and lung inflammation in Sf.Itgae−/− (Sf.CD103−/−) mice was delayed for 2–3 wk as compared with Sf mice, thus validating the control of CD103 expression by IL-2 and the function of CD103 in skin and lung inflammation. Nevertheless, skin and lung inflammation eventually developed with a severity comparable to that observed in Sf mice (12). This study demonstrated that the skin and lung inflammation in Sf mice cannot be solely controlled by a single receptor such as integrin αε(CD103)β7. More likely, it is controlled by a collection of receptors, each of which contributes to the overall skin and lung inflammation process. Indeed, the protection of skin and lung inflammation in Sf.Il2−/− mice is life-long rather than the limited protection of 2–3 wk in Sf.Itgae−/− mice.
The effect of IL-2 null mutation is not limited to T cells. IL-2 production by dendritic cells and B cells has been reported (26, 27). IL-2 null mutation also affects the development of B cells and NK cells (28–30). Additionally, IL-2 may influence various aspects of the immune process, such as Ag presentation and Ig production (31). To firmly determine whether this organ-specific control of inflammation is an intrinsic property of CD4+ T cells, inflammation in organs not dependent on IL-2 was demonstrated (Fig. 4). The results showed that CD4+ T cells of Sf but not Sf.Il2−/− mice induced skin and lung inflammation and the extent of inflammation difference was highly significant. In contrast, inflammation in the liver, pancreas, colon, and SMG was observed in both groups and the extent of inflammation was comparable. Moreover, the skin and lung inflammation was protected to the end of the experimental period when the mice became moribund. The study functionally validated the microarray analysis and demonstrated that CD4+ T cells that expressed a collective set of IL-2–upregulated genes can transfer skin and lung inflammation and that the apparent organ-specific control of the skin and lung inflammation by IL-2 in Sf mice is an intrinsic property of the CD4+ T cells.
IL-2 regulates expression of inflammatory cytokines
Given the fact that IL-2 is required for optimal T cell response, it is surprising that a differential display of Th cytokine genes was not observed between the CD4+ T cells of Sf and Sf.Il2−/− mice. Because it is well documented that Sf mice develop strong Th1 and Th2 responses, our data suggest that these Th cytokine genes might be upregulated in both groups and the magnitude of any differences between the two groups was not revealed. Indeed, many of the inflammatory cytokine genes were highly upregulated in the CD4+ T cells of Sf and Sf.Il2−/− mice when the microarray analyses were compared with age- and sex-matched B6 CD4+ T cells (Table II). It appears that the role of IL-2 in regulating Th2 cytokine gene expression is less impressive than its ability to regulate receptor genes for CD4+ T cell trafficking/chemotaxis/retention in Sf mice.
Table 2.
Cytokine genes differentially expressed in Sf and Sf.Il2−/− CD4+ T-cells versus B6 control.
| Cytokine gene | Fold change | Fold change |
|---|---|---|
| (Sf vs. B6) | (Sf.Il2−/− vs. B6) | |
| IL-3 | ↑ 10 | ↑ 5 |
| IL-4 | ↑ 19 | ↑ 14 |
| IL-5 | ↑ 5 | ↑ 2 |
| IL-6 | ↑ 2 | ↑ 2 |
| IL-10 | ↑ 15 | ↑ 8 |
| IL-13 | ↑ 55 | ↑ 22 |
| IL-17 | ↑ 2 | ↑ 2 |
| IL-21 | ↑ 6 | ↑ 9 |
| IL-22 | ↑ 8 | ↑ 13 |
| Ebi3 | ↑ 14 | ↑ 17 |
| IFN-γ | ↑ 6 | ↑ 7 |
| M-CSF | ↑ 6 | ↑ 3 |
↑ indicates fold increase in indicated genes.
Two approaches were carried out to resolve the role of IL-2 in Th cytokine production. First, we determined the serum levels of these cytokines by multiplex cytokine assay even though some of them are also produced by cells other than CD4+ T cells, and this measurement represents the cumulative expression of the cytokine (Fig. 5). With this in mind, we observed no difference in the expression of TNF-α or IFN-γ between Sf and Sf.Il2−/− mice. Surprisingly, IL-4, IL-5, and IL-13 were significantly lower in the Sf.Il2−/− sera. IL-3 and M-CSF, whose production is not limited to Th2 cells, were also markedly lower in Sf.Il2−/− sera. Serum IL-10 and IL-17 were not significantly different between Sf and Sf.Il2−/− mice.
FIGURE 5.

Comparison of serum level of cytokines. Individual sera from 3-wk-old male B6, Sf, and Sf.Il2−/− mice were analyzed. Analysis was conducted commercially by Affymetrix, using a “10-plex cytokine array” assay. Each dot represents an individual mouse sample. The mean is indicated by a bar. *p < 0.05.
Next, we conducted ex vivo stimulation of the CD4+ T cells from B6, Sf, and Sf.Il2−/− mice with PMA and ionomycin and in the presence of monensin, followed by intracellular staining to determine whether the specific Th cytokine-producing cells were differentially regulated during T cell activation (Fig. 6). Activation was conducted in 4 h so that the frequency of Th1 and Th2 cells could be determined without the confounding factor of IL-2–dependent cell proliferation. The results showed that the frequency of Th2 cytokine-producing cells but not Th1 cytokine-producing cells was significantly lower in Sf.Il2−/− CD4+ T cells as compared with Sf samples. IL-2–producing T cells were high in B6 and Sf mice but not detectable in Sf.Il2−/− samples (not shown). Thus, although the microarray analyses did not show differential gene expression for many of the Th2 cytokines, it appears that Th2 cytokine-producing cells were induced in higher frequency in Sf but not Sf.Il2−/− CD4+ T cells upon activation. Our study suggests that IL-2 regulates skin and lung inflammation at two different stages of the inflammation process beyond the Treg checkpoint. The major targets of IL-2 in Sf mice are those receptors required for CD4+ T cell trafficking/chemotaxis/retention. IL-2 also controls the cumulative levels of Th2 cytokines in Sf mice and the frequency of Th2 cells during T cell activation. Although many cells were highly differentiated due to repeated and recurrent stimulation, only a few of the CD4+ T cells were being activated and receiving IL-2–stimulating signal at that moment. Significantly more T cells in the tissues were activated during inflammation, as evidenced by their higher expression of T cell activation markers (32, 33), and our results suggest that the differentially displayed genes induced by and during T cell activation play a critical role in this process.
FIGURE 6.
Intracellular cytokine profiles of CD4+ T cells. Cells from the LN of 3-wk-old male B6, Sf, and Sf.Il2−/− mice (n ≥ 4) were stimulated ex vivo with PMA and ionomycin in the presence of monensin for 4 h and then stained for intracellular cytokines as described in “Materials and Methods”. A, The percentage of CD4+ T cells expressing the indicated cytokines was determined by flow cytometry on gated CD4+ T cells. The data of a representative mouse sample are shown. B, Compilation of data from individual samples. Each dot represents an individual mouse sample. The mean is indicated by a bar. *p < 0.05.
Restoration of receptor expression by IL-2
We had previously observed that the IL-2–controlled expression of CD103 could be partially restored on the CD4+ T cells of the Sf.Il2−/− mice upon in vitro stimulation with anti-CD3/CD28 beads and in the presence of IL-2. To determine whether IL-2 can restore the expression of the trafficking receptors, we stimulated the FACS-sorted CD4+ T cells from 15-d-old B6 male, Sf, and Sf.Il2−/− mice in the presence of exogenous rIL-2 for 3 d. As a control, rIL-4 was used for comparison. As shown in Fig. 7, both IL-2 and IL-4 were able to restore the expression of Cysltr1 in the CD4+ T cells of Sf.Il2−/− mice. In this case, IL-2 could have induced IL-4, which then induced Cysltr1 expression, an indirect pathway that could occur for other IL-2–regulated genes. A weak trend of increase of Il1rl1 by IL-2 was noted in Sf.Il2−/− sample. This is similar to the partial restoration of CD103 by IL-2 as we have shown previously (12). The Ltb4r1, Il1rl1, and Ccr1 genes, which were expressed at lower levels in the Sf.Il2−/− mice, could not be restored to the level of Sf mice by the 3-d stimulation in the presence of exogenous IL-2 or IL-4. Because the expression of Itgae was regulated both by TGF-β1 and IL-2 (12), we also added rTGF-β1 to the culture system along with IL-2. However, the combination was also unable to restore expression of Ltb4r1, Il1rl1, and Ccr1 on the CD4+ T cells of Sf.Il2−/− mice to the level of Sf CD4+ T cells. Interestingly, the expression of Ltb4r1, Il1rl1, and Ccr1 in the CD4+ T cells from the Sf mice was inhibited when exogenous TGF-β1 and IL-2 were present. TGF-β1 also inhibited the IL-4 induction of Cysltr1 in the Sf.Il2−/− sample. Regardless, the data demonstrate that the inability of IL-2 or IL-4 to restore the expression of some of the genes in Sf.Il2−/− mice is not due to lack of TGF-β1. The inability of exogenous IL-2 or IL-4 to restore the expression of other receptors could be the result of an irreversible differentiation of the CD4+ T cells due to the repeated in vivo stimulation of the cells in the absence of IL-2 (12). Collectively, these observations suggest that at least two pathways are used by IL-2 to regulate the expression of receptors for trafficking/chemotaxis/retention. Those that can be completely or partially restored by IL-2 are likely under the direct control of IL-2 signal for gene activation and those that cannot be immediately restored appear to require additional cell differentiation processes or other cytokines for their upregulation.
FIGURE 7.

IL-2 restores Sf.Il2−/− CD4+ T cells some but not all upregulated genes observed in Sf samples. FACS-sorted CD4+ T cells from 15-d-old and sex-matched B6, Sf, and Sf.Il2−/− mice were stimulated with anti-CD3/CD28 beads for 3 d with or without rIL-2. Additionally, rIL-4 and rTGF-β1 (TGF) were included for comparison. The expression of the genes was analyzed by Q-PCR assay as described in “Materials and Methods”. The data represent mean and SD (error bars) of fold change relative to the gene expression of B6 samples at the beginning of the activation. All values were normalized based on the expression of Hgprt or Gapdh gene. *p < 0.05.
Discussion
The major finding of this study is that through genome-wide microarray analysis, potential novel IL-2–controlled mechanisms for skin and lung inflammation in the Treg-deficient Sf mice are revealed. We have shown that Sf but not Sf.Il2−/− mice display skin and lung inflammation and that Sf but not Sf.Il2−/− CD4+ T cells are able to transfer skin and lung inflammation to Rag1−/− recipients (8, 12). Through microarray analysis, hundreds of genes were found differentially displayed between Sf and Sf.Il2−/− CD4+ T cells. We provided evidence that Sf CD4+ T cells overexpress a large set of genes encoding receptors and their ligands that are involved in the trafficking/chemotaxis/retention of the CD4+ T cells during inflammation. IL-2 also controls Th2 cell frequency in Sf mice and is required for optimal Th2 cytokine expression during T cell activation. Sf.Il2−/− CD4+ T cells fail to upregulate these components that are critical to inflammation in skin and lungs. Sf.Il2−/− mice are the only double mutant mice that displayed inhibition of skin and lung inflammation among a dozen of double mutant mice examined (Ref. 10 and see below). The strong correlation between the expression of these components of inflammation and the phenotype of MOI suggests they are responsible for the IL-2–dependent organ-specific control of the skin and lung inflammation in Sf mice.
The IL-2–dependent upregulation of Cysltr1 and Ltb4r1 genes in CD4+ T cells is extraordinarily high, and it is a novel finding that has not been reported in previous studies. It has been shown that the expression of CysLTR1 was low on resting T cells but increased progressively upon T cell activation. Additionally, IL-4 has been shown to induce CysLTR1 on T cells (34, 35). This raises the question as to whether the IL-2 dependent overexpression of CysLTR1 is mediated through its effect on IL-4 production. This contention is supported by the observation that adding IL-4 during activation of Sf.Il2−/− CD4+ T cells restored Cysltr1 expression (Fig. 7). However, Ltb4r1 expression was not restored. A previous study of Sf.stat6−/− mice demonstrated a severe reduction of IL-4 in the mice, but the expression of CysLTR1 and LtB4R1 and the impact on skin inflammation were not described (11). We generated Sf.Il4−/−, Sf.stat6−/−, and Sf.alox5−/− mice and in contrast to Sf.Il2−/− mice, they develop strong skin and lung inflammation (R. Sharma and S.-T. Ju, unpublished observations). Whether the skin and lung inflammation observed in these mice is caused by non-Th2 inflammatory T cells independent of the expression of Cysltr1 and Ltb4r1 or other Th2-associated genes is under investigation.
The Il1rl1 gene encodes IL-1R–like 1 (also known as ST2), which is a receptor for IL-33 (36). Similar to CysLTR1 and LTB4R1, ST2 is mainly expressed on Th2 lymphocytes as a membrane-bound form (36–39). Our study demonstrated that IL-2 is a critical regulator for the expression of this receptor and that IL-2 tends to restore ST2 expression under a short-term T cell activation condition in vitro (Fig. 7). These observations, together with the reduction of serum Th2 cytokines in Sf.Il2−/− mice and the reduced Th2 cell frequency in Sf.Il2−/− CD4+ T cells, strongly suggests that IL-2 is required for the optimal expression of Th2 response. That IL-2 is critically important for an optimal Th2 response has been demonstrated in in vitro system by W.E. Paul and colleagues (40); our study provides the in vivo evidence to support this claim. Our observation is also supported by a recent study that showed a selective increase of IL-4–producing T cells along with stronger skin and lung inflammation when effector T cells from mice expressing a constitutively active form of Stat5b were activated during graft-versus-host disease condition (41).
The Ccr1 gene that is known to associate with inflammatory T cells is the C-C chemokine receptor gene most upregulated in Sf CD4+ T cells as compared with Sf.Il2−/− samples. It encodes a receptor for chemokines CCL5 (RANTES), CCL3 (MIP-1α), CCL7 (MCP-3), and CCL23 (MIP-3). Many cutaneous T cell lymphomas and T cells that infiltrated the inflammatory lesions in skin and lungs were found to strongly express CCR1 (42–44). CCR1 antagonist CP-481.715 inhibited inflammation and recruitment of inflammatory cells in patients as well as in animal models of allergic dermatitis (45, 46). Oddly, the Ccl5 gene that encodes CCL5 is highly expressed in the CD4+ T cells of Sf.Il2−/− mice, and the same population also strongly expressed CCR5 that also binds CCL5. This result suggests that CCL5 and CCR5 are by themselves not major factors controlling T cell infiltration to skin and lungs in Sf.Il2−/− mice. In view of the highly upregulated Ccr1 gene in Sf mice, the apparent lack of a role of CCR5 in skin and lung inflammation may be the result of a quantitative difference in the expression of these genes.
Our result distinguishes itself in that numerous genes implicated in skin and lung inflammation is upregulated in Sf mice rather than a dominant expression of a single receptor reported in many other systems of skin and lung inflammation. In addition to those described above (Cysltr1, Ltb4r1, Il1rl1, and Ccr1), genes encoding CCR2, CCR8, CXCR6, integrin α6 and L1CAM were all upregulated. Although less pronounced than Cysltr1, Ltb4r1, Il1rl1, and Ccr1, the collective consequence of their upregulation may have a significant impact on T cell trafficking/chemotaxis/retention. CCR2 is highly expressed on T cells in inflammatory lesions in skin, lungs, and other organs (47–49). CCR8 has been shown to be important for the recruitment of Th2 cells in atopic dermal and pulmonary inflammatory diseases (50–52). CXCR6 binds to CXCL6, which is highly expressed by skin and lung epithelial cells in response to stress, injury, and infection-related inflammation (51–55). Integrin α6 and L1CAM are important for transendothelial migration of immune cells common to most or all inflammatory responses (56, 57). In contrast, the genes encoding CCR4 and CCR10, which are the two chemokine receptors for Th2 cells to home to skin and lungs (58, 59), and the gene encoding CXCR3, which is expressed by Th1 cells (60), were not differentially expressed between Sf and Sf.Il2−/− CD4+ T cells. Collectively, these observations suggest that the control of skin and lung inflammation in the Treg-deficient mice differs significantly from those systems in which the development of skin and lung inflammation was not based on total Treg deficiency.
The microarray analysis also revealed an elaborated network of chemokine–chemokine receptor interactions orchestrated by Treg and IL-2 in controlling T cell trafficking to target organs during MOI (Table I). This novel strategy of coinduction of chemokine–chemokine receptor pairs suggests a self-perpetuating mechanism for T cell recruitment during tissue inflammation. Genes encoding several chemokine–chemokine receptor pairs were upregulated both in Sf and Sf.Il2−/− CD4+ T cells. These include Ccr3, Ccr4, Ccr6, Ccr10, Cxcr2, Cxcr3, Cxcr7, Cxcl3, Cxcl8, Cxcl9, Cxcl10, and Cxcl11. Out of these, CXCR2, CXCR3, and CXCR7 are highly expressed on Th1 cells (60–64). Upregulation of chemokine–chemokine receptor pair was also observed for CCR3/CCL5 and CCR4/CCL4 and CCL5 that associate with Th2 response (52, 63). However, the coinduction of chemokine is not observed for certain chemokine receptors. The upregulation of CCR10 (for Th2) and CCR6 (for Th17) was not associated with an increase of their respective ligands.
Beyond the Treg checkpoint, genes encoding chemokines–chemokine receptors in the Treg-deficient Sf mice can be regulated further by IL-2, and this control could direct inflammatory T cells to specific target organs. The presence of IL-2 in Sf mice upregulated genes encoding a set of chemokines and chemokine receptors that may be important for CD4+ T cell homing to the skin and lungs. These include Ccr1, Ccr2, Ccr8, Cxcr6, Ccl1, Ccl8, and Cxcl2. The expression of CCR8 and its ligand CCL1 has been associated with allergic lung and skin diseases (50, 52). CXCR6 can be induced by IL-2 on the peripheral blood T cells, whereas its ligand CXCL16 is constitutively expressed in bronchial epithelium and is highly upregulated in skin during psoriasis (53–55). Expression of CCR1 is upregulated on T cells during allergic conditions, and its ligand CCL8 is also chemotactic for eosinophils, basophils, and mast cells in allergy and asthma (42). In contrast, the absence of IL-2 results in the upregulation of CCR5 and its ligands, CCL4 and CCL5, which may be important for trafficking of T cells to liver, colon, and salivary glands (19, 64, 65).
To integrate these observations and explain why IL-2 could control the MOI in Sf mice in an apparent organ-specific manner, we propose the following scheme for the development of MOI in Sf mice. It starts by the dendritic cells that carry the organ Ags to the draining lymph nodes and present them to naive T cells. A robust, unregulated, and progressive polyclonal response is induced because this response lacks the control of Treg. The result is a CD4+ T cell-mediated MOI marked by heightened Th2 reaction along with increased Th1 response. Th17 response is not increased in this system, perhaps due to strong production of IFN-γ that inhibits Th17 development (66, 67). Importantly, this activation appears to induce the hyperexpression on CD4+ T cells of several receptors that are critical to the trafficking/chemotaxis/retention of the T cells to skin and lungs where the corresponding ligands, such as leukotrienes, chemokines, and E-cadherin, are expressed (68–70). Due to lack of IL-2, the expression of these receptors is strongly inhibited in Sf.Il2−/− mice. Additionally, Th2 cytokine production is also inhibited, particularly during the activation of CD4+ T cells of Sf.Il2−/− mice. In the target organs, the IL-2–dependent induction of Th2 cytokines and chemokines could exacerbate the inflammation process through their ability to recruit additional inflammatory cells, including neutrophils, macrophages, and the same CD4+ T cells that express the receptors for the chemokines. IL-2–activated T cells also produce more IL-3 and M-CSF that could increase in the skin and lungs the number of myeloid cells, which degranulate and produce leukotrienes and other chemoattractants to initiate the unabated cycles of inflammation in the skin and lungs.
Our study was conducted with a unique mouse strain in which the Treg deficiency was the culprit for skin and lung inflammation. As depicted above, IL-2 played a role at Treg expression and a role beyond the Treg checkpoint at stages where T cell activation for skin and lung inflammation was critically dependent on IL-2. In contrast, many skin and lung inflammation in patients and animal models are not deficient in Treg expression. In this setting, inflammation is often dependent on a strong Th2 response that occurs in hosts, but whether this strong Th2 response is dependent on IL-2 was not known. Our data argue that IL-2 is critically required for a strong Th2 response that participates in skin and lung inflammation. Our study suggests that many of the Th2-dependent inflammations underscored the critical role of IL-2 and that IL-2 is, in fact, a master regulator for skin and lung inflammation in general, raising the possibility of a therapeutic approach by targeting IL-2 production in CD4+ T cells to treat general skin and lung inflammation diseases.
Supplementary Material
Acknowledgments
We thank C.E. Abaya and Angela Ju for technical assistance.
This work was supported by National Institutes of Health Grants DE-01759 and AR-051203 (to S.T.J.), AR-047988 and AR-049449 (to S.M.F.), and HL084422 (to N.L.).
Abbreviations used in this article
- HGPRT
hypoxanthine-guanine phosphoribosyl transferase
- LN
lymph node
- LPE
local pooled error
- MOI
multiorgan inflammation
- Q-PCR
quantitative real-time PCR
- SAM
significance analysis of microarray
- SF or Sf
scurfy
- Sf.Il2−/−
Sf mice lacking the Il2 gene
- SMG
submandibular gland
- Treg
regulatory T cells
Footnotes
Disclosures The authors have no financial conflicts of interest.
References
- 1.Morgan DA, Ruscetti FW, Gallo R. Selective in vitro growth of T lymphocytes from normal human bone marrows. Science. 1976;193:1007–1008. doi: 10.1126/science.181845. [DOI] [PubMed] [Google Scholar]
- 2.Dooms H, Abbas AK. Revisiting the role of IL-2 in autoimmunity. Eur J Immunol. 2010;40:1538–1540. doi: 10.1002/eji.201040617. [DOI] [PubMed] [Google Scholar]
- 3.Fontenot JD, Rasmussen JP, Gavin MA, Rudensky AY. A function for interleukin 2 in Foxp3-expressing regulatory T cells. Nat Immunol. 2005;6:1142–1151. doi: 10.1038/ni1263. [DOI] [PubMed] [Google Scholar]
- 4.Shevach EM. Mechanisms of Foxp3+ T regulatory cell-mediated suppression. Immunity. 2009;30:636–645. doi: 10.1016/j.immuni.2009.04.010. [DOI] [PubMed] [Google Scholar]
- 5.Sakaguchi S, Wing K, Onishi Y, Prieto-Martin P, Yamaguchi T. Regulatory T cells: how do they suppress immune responses? Int Immunol. 2009;21:1105–1111. doi: 10.1093/intimm/dxp095. [DOI] [PubMed] [Google Scholar]
- 6.Kim JM, Rasmussen JP, Rudensky AY. Regulatory T cells prevent catastrophic autoimmunity throughout the lifespan of mice. Nat Immunol. 2007;8:191–197. doi: 10.1038/ni1428. [DOI] [PubMed] [Google Scholar]
- 7.Burchill MA, Yang J, Vogtenhuber C, Blazar BR, Farrar MA. IL-2 receptor b-dependent STAT5 activation is required for the development of Foxp3+ regulatory T cells. J Immunol. 2007;178:280–290. doi: 10.4049/jimmunol.178.1.280. [DOI] [PubMed] [Google Scholar]
- 8.Zheng L, Sharma R, Gaskin F, Fu SM, Ju ST. A novel role of IL-2 in organ-specific autoimmune inflammation beyond regulatory T cell checkpoint: both IL-2 knockout and Fas mutation prolong lifespan of Scurfy mice but by different mechanisms. J Immunol. 2007;179:8035–8041. doi: 10.4049/jimmunol.179.12.8035. [DOI] [PMC free article] [PubMed] [Google Scholar]
- 9.Sharma R, Sung SS, Fu SM, Ju ST. Regulation of multi-organ inflammation in the regulatory T cell-deficient scurfy mice. J Biomed Sci. 2009;16:20. doi: 10.1186/1423-0127-16-20. [DOI] [PMC free article] [PubMed] [Google Scholar]
- 10.Sharma R, Ju ST. Genetic control of the inflammatory T-cell response in regulatory T-cell deficient scurfy mice. Clin Immunol. 2010;136:162–169. doi: 10.1016/j.clim.2010.04.004. [DOI] [PMC free article] [PubMed] [Google Scholar]
- 11.Lin W, Truong N, Grossman WJ, Haribhai D, Williams CB, Wang J, Martín MG, Chatila TA. Allergic dysregulation and hyperimmunoglobulinemia E in Foxp3 mutant mice. J Allergy Clin Immunol. 2005;116:1106–1115. doi: 10.1016/j.jaci.2005.08.046. [DOI] [PubMed] [Google Scholar]
- 12.Sharma R, Sung SS, Abaya CE, Ju AC, Fu SM, Ju ST. IL-2 regulates CD103 expression on CD4+ T cells in Scurfy mice that display both CD103-dependent and independent inflammation. J Immunol. 2009;183:1065–1073. doi: 10.4049/jimmunol.0804354. [DOI] [PMC free article] [PubMed] [Google Scholar]
- 13.Katz JD, Wang B, Haskins K, Benoist C, Mathis D. Following a diabetogenic T cell from genesis through pathogenesis. Cell. 1993;74:1089–1100. doi: 10.1016/0092-8674(93)90730-e. [DOI] [PubMed] [Google Scholar]
- 14.Rosloniec EF, Brand DD, Myers LK, Esaki Y, Whittington KB, Zaller DM, Woods A, Stuart JM, Kang AH. Induction of autoimmune arthritis in HLA-DR4 (DRB1*0401) transgenic mice by immunization with human and bovine type II collagen. J Immunol. 1998;160:2573–2578. [PubMed] [Google Scholar]
- 15.Goverman J, Woods A, Larson L, Weiner LP, Hood L, Zaller DM. Transgenic mice that express a myelin basic protein-specific T cell receptor develop spontaneous autoimmunity. Cell. 1993;72:551–560. doi: 10.1016/0092-8674(93)90074-z. [DOI] [PubMed] [Google Scholar]
- 16.Lafaille JJ, Nagashima K, Katsuki M, Tonegawa S. High incidence of spontaneous autoimmune encephalomyelitis in immunodeficient antimyelin basic protein T cell receptor transgenic mice. Cell. 1994;78:399–408. doi: 10.1016/0092-8674(94)90419-7. [DOI] [PubMed] [Google Scholar]
- 17.Huter EN, Natarajan K, Torgerson TR, Glass DD, Shevach EM. Autoantibodies in Scurfy mice and IPEX patients recognize keratin 14. J Invest Dermatol. 2010;130:1391–1399. doi: 10.1038/jid.2010.16. [DOI] [PMC free article] [PubMed] [Google Scholar]
- 18.Zhang W, Sharma R, Ju ST, He XS, Tao Y, Tsuneyama K, Tian Z, Lian ZX, Fu SM, Gershwin ME. Deficiency in regulatory T cells results in development of antimitochondrial antibodies and autoimmune cholangitis. Hepatology. 2009;49:545–552. doi: 10.1002/hep.22651. [DOI] [PMC free article] [PubMed] [Google Scholar]
- 19.Sharma R, Deshmukh US, Zheng L, Fu SM, Ju ST. X-linked Foxp3 (Scurfy) mutation dominantly inhibits submandibular gland development and inflammation respectively through adaptive and innate immune mechanisms. J Immunol. 2009;183:3212–3218. doi: 10.4049/jimmunol.0804355. [DOI] [PMC free article] [PubMed] [Google Scholar]
- 20.Lee HH, Hoeman CM, Hardaway JC, Guloglu FB, Ellis JS, Jain R, Divekar R, Tartar DM, Haymaker CL, Zaghouani H. Delayed maturation of an IL-12-producing dendritic cell subset explains the early Th2 bias in neonatal immunity. J Exp Med. 2008;205:2269–2280. doi: 10.1084/jem.20071371. [DOI] [PMC free article] [PubMed] [Google Scholar]
- 21.Jain N, Thatte J, Braciale T, Ley K, O’Connell M, Lee JK. Local pooled-error test for identifying differentially expressed genes with a small number of replicated microarrays. Bioinformatics. 2003;19:1945–1951. doi: 10.1093/bioinformatics/btg264. [DOI] [PubMed] [Google Scholar]
- 22.Tusher VG, Tibshirani R, Chu G. Significance analysis of microarrays applied to the ionizing radiation response. Proc Natl Acad Sci USA. 2001;98:5116–5121. doi: 10.1073/pnas.091062498. [DOI] [PMC free article] [PubMed] [Google Scholar]
- 23.Pfaffl MW. A new mathematical model for relative quantification in realtime RT-PCR. Nucleic Acids Res. 2001;29:e45. doi: 10.1093/nar/29.9.e45. [DOI] [PMC free article] [PubMed] [Google Scholar]
- 24.Homeister JW, Thall AD, Petryniak B, Malý P, Rogers CE, Smith PL, Kelly RJ, Gersten KM, Askari SW, Cheng G, et al. The a(1,3) fucosyltransferases FucT-IV and FucT-VII exert collaborative control over selectin-dependent leukocyte recruitment and lymphocyte homing. Immunity. 2001;15:115–126. doi: 10.1016/s1074-7613(01)00166-2. [DOI] [PubMed] [Google Scholar]
- 25.Dudda JC, Perdue N, Bachtanian E, Campbell DJ. Foxp3+ regulatory T cells maintain immune homeostasis in the skin. J Exp Med. 2008;205:1559–1565. doi: 10.1084/jem.20072594. [DOI] [PMC free article] [PubMed] [Google Scholar]
- 26.Harris DP, Haynes L, Sayles PC, Duso DK, Eaton SM, Lepak NM, Johnson LL, Swain SL, Lund FE. Reciprocal regulation of polarized cytokine production by effector B and T cells. Nat Immunol. 2000;1:475–482. doi: 10.1038/82717. [DOI] [PubMed] [Google Scholar]
- 27.Granucci F, Vizzardelli C, Pavelka N, Feau S, Persico M, Virzi E, Rescigno M, Moro G, Ricciardi-Castagnoli P. Inducible IL-2 production by dendritic cells revealed by global gene expression analysis. Nat Immunol. 2001;2:882–888. doi: 10.1038/ni0901-882. [DOI] [PubMed] [Google Scholar]
- 28.Schultz M, Clarke SH, Arnold LW, Sartor RB, Tonkonogy SL. Disrupted B-lymphocyte development and survival in interleukin-2-deficient mice. Immunology. 2001;104:127–134. doi: 10.1046/j.0019-2805.2001.01308.x. [DOI] [PMC free article] [PubMed] [Google Scholar]
- 29.Vosshenrich CA, Ranson T, Samson SI, Corcuff E, Colucci F, Rosmaraki EE, Di Santo JP. Roles for common cytokine receptor g-chain-dependent cytokines in the generation, differentiation, and maturation of NK cell precursors and peripheral NK cells in vivo. J Immunol. 2005;174:1213–1221. doi: 10.4049/jimmunol.174.3.1213. [DOI] [PubMed] [Google Scholar]
- 30.Granucci F, Zanoni I, Pavelka N, Van Dommelen SL, Andoniou CE, Belardelli F, Degli Esposti MA, Ricciardi-Castagnoli P. A contribution of mouse dendritic cell-derived IL-2 for NK cell activation. J Exp Med. 2004;200:287–295. doi: 10.1084/jem.20040370. [DOI] [PMC free article] [PubMed] [Google Scholar]
- 31.Kündig TM, Schorle H, Bachmann MF, Hengartner H, Zinkernagel RM, Horak I. Immune responses in interleukin-2-deficient mice. Science. 1993;262:1059–1061. doi: 10.1126/science.8235625. [DOI] [PubMed] [Google Scholar]
- 32.Sharma R, Zheng L, Deshmukh US, Jarjour WN, Sung SJ, Fu SM, Ju S-T. Cutting edge: a regulatory T cell-dependent novel function of CD25 (IL-2Ra) controlling memory CD8+ T cell homeostasis. J Immunol. 2007;178:1251–1255. doi: 10.4049/jimmunol.178.3.1251. [DOI] [PubMed] [Google Scholar]
- 33.Sharma R, Ju AC, Kung JT, Fu SM, Ju ST. Rapid and selective expansion of nonclonotypic T cells in regulatory T cell-deficient, foreign antigen-specific TCR-transgenic scurfy mice: antigen-dependent expansion and TCR analysis. J Immunol. 2008;181:6934–6941. doi: 10.4049/jimmunol.181.10.6934. [DOI] [PMC free article] [PubMed] [Google Scholar]
- 34.Early SB, Barekzi E, Negri J, Hise K, Borish L, Steinke JW. Concordant modulation of cysteinyl leukotriene receptor expression by IL-4 and IFN-g on peripheral immune cells. Am J Respir Cell Mol Biol. 2007;36:715–720. doi: 10.1165/rcmb.2006-0252OC. [DOI] [PMC free article] [PubMed] [Google Scholar]
- 35.Shirasaki H, Seki N, Fujita M, Kikuchi M, Kanaizumi E, Watanabe K, Himi T. Agonist- and TH2 cytokine-induced up-regulation of cysteinyl leukotriene receptor messenger RNA in human monocytes. Ann Allergy Asthma Immunol. 2007;99:340–347. doi: 10.1016/S1081-1206(10)60550-9. [DOI] [PubMed] [Google Scholar]
- 36.Trajkovic V, Sweet MJ, Xu D. T1/ST2: an IL-1 receptor-like modulator of immune responses. Cytokine Growth Factor Rev. 2004;15:87–95. doi: 10.1016/j.cytogfr.2004.02.004. [DOI] [PubMed] [Google Scholar]
- 37.Löhning M, Stroehmann A, Coyle AJ, Grogan JL, Lin S, Ramos JC, Gutierrez-Levinson D, Radbruch A, Kamradt T. T1/ST2 is preferentially expressed on murine Th2 cells, independent of interleukin 4, interleukin 5, and interleukin 10, and important for Th2 effector function. Proc Natl Acad Sci USA. 1998;95:6930–6935. doi: 10.1073/pnas.95.12.6930. [DOI] [PMC free article] [PubMed] [Google Scholar]
- 38.Townsend MJ, Fallon PG, Matthews DJ, Jolin HE, McKenzie AN. T1/ST2-deficient mice demonstrate the importance of T1/ST2 in developing primary T helper cell type 2 responses. J Exp Med. 2000;191:1069–1076. doi: 10.1084/jem.191.6.1069. [DOI] [PMC free article] [PubMed] [Google Scholar]
- 39.Hoshino K, Kashiwamura S, Kuribayashi K, Kodama T, Tsujimura T, Nakanishi K, Matsuyama T, Takeda K, Akira S. The absence of interleukin 1 receptor-related T1/ST2 does not affect T helper cell type 2 development and its effector function. J Exp Med. 1999;190:1541–1548. doi: 10.1084/jem.190.10.1541. [DOI] [PMC free article] [PubMed] [Google Scholar]
- 40.Cote-Sierra J, Foucras G, Guo L, Chiodetti L, Young HA, Hu-Li J, Zhu J, Paul WE. Interleukin 2 plays a central role in Th2 differentiation. Proc Natl Acad Sci USA. 2004;101:3880–3885. doi: 10.1073/pnas.0400339101. [DOI] [PMC free article] [PubMed] [Google Scholar]
- 41.Vogtenhuber C, Bucher C, Highfill SL, Koch LK, Goren E, Panoskaltsis-Mortari A, Taylor PA, Farrar MA, Blazar BR. Constitutively active Stat5b in CD4+ T cells inhibits graft-versus-host disease lethality associated with increased regulatory T-cell potency and decreased T effector cell responses. Blood. 2010;116:466–474. doi: 10.1182/blood-2009-11-252825. [DOI] [PMC free article] [PubMed] [Google Scholar]
- 42.Schaller MA, Kallal LE, Lukacs NW. A key role for CC chemokine receptor 1 in T-cell-mediated respiratory inflammation. Am J Pathol. 2008;172:386–394. doi: 10.2353/ajpath.2008.070537. [DOI] [PMC free article] [PubMed] [Google Scholar]
- 43.Wang G, Savinko T, Wolff H, Dieu-Nosjean MC, Kemeny L, Homey B, Lauerma AI, Alenius H. Repeated epicutaneous exposures to ovalbumin progressively induce atopic dermatitis-like skin lesions in mice. Clin Exp Allergy. 2007;37:151–161. doi: 10.1111/j.1365-2222.2006.02621.x. [DOI] [PubMed] [Google Scholar]
- 44.Capriotti E, Vonderheid EC, Thoburn CJ, Bright EC, Hess AD. Chemokine receptor expression by leukemic T cells of cutaneous T-cell lymphoma: clinical and histopathological correlations. J Invest Dermatol. 2007;127:2882–2892. doi: 10.1038/sj.jid.5700916. [DOI] [PubMed] [Google Scholar]
- 45.Borregaard J, Skov L, Wang L, Ting N, Wang C, Beck LA, Sonne J, Clucas A. Evaluation of the effect of the specific CCR1 antagonist CP-481715 on the clinical and cellular responses observed following epicutaneous nickel challenge in human subjects. Contact Dermat. 2008;59:212–219. doi: 10.1111/j.1600-0536.2008.01365.x. [DOI] [PubMed] [Google Scholar]
- 46.Gladue RP, Cole SH, Roach ML, Tylaska LA, Nelson RT, Shepard RM, McNeish JD, Ogborne KT, Neote KS. The human specific CCR1 antagonist CP-481,715 inhibits cell infiltration and inflammatory responses in human CCR1 transgenic mice. J Immunol. 2006;176:3141–3148. doi: 10.4049/jimmunol.176.5.3141. [DOI] [PubMed] [Google Scholar]
- 47.Penido C, Costa MF, Souza MC, Costa KA, Candéa AL, Benjamim CF, Henriques MG. Involvement of CC chemokines in gd T lymphocyte trafficking during allergic inflammation: the role of CCL2/CCR2 pathway. Int Immunol. 2008;20:129–139. doi: 10.1093/intimm/dxm128. [DOI] [PubMed] [Google Scholar]
- 48.Xia M, Sui Z. Recent developments in CCR2 antagonists. Expert Opin Ther Pat. 2009;19:295–303. doi: 10.1517/13543770902755129. [DOI] [PubMed] [Google Scholar]
- 49.Kallinich T, Muche JM, Qin S, Sterry W, Audring H, Kroczek RA. Chemokine receptor expression on neoplastic and reactive T cells in the skin at different stages of mycosis fungoides. J Invest Dermatol. 2003;121:1045–1052. doi: 10.1046/j.1523-1747.2003.12555.x. [DOI] [PubMed] [Google Scholar]
- 50.Gombert M, Dieu-Nosjean MC, Winterberg F, Bünemann E, Kubitza RC, Da Cunha L, Haahtela A, Lehtimäki S, Müller A, Rieker J, et al. CCL1-CCR8 interactions: an axis mediating the recruitment of T cells and Langerhanstype dendritic cells to sites of atopic skin inflammation. J Immunol. 2005;174:5082–5091. doi: 10.4049/jimmunol.174.8.5082. [DOI] [PubMed] [Google Scholar]
- 51.Panina-Bordignon P, Papi A, Mariani M, Di Lucia P, Casoni G, Bellettato C, Buonsanti C, Miotto D, Mapp C, Villa A, et al. The C-C chemokine receptors CCR4 and CCR8 identify airway T cells of allergen-challenged atopic asthmatics. J Clin Invest. 2001;107:1357–1364. doi: 10.1172/JCI12655. [DOI] [PMC free article] [PubMed] [Google Scholar]
- 52.Mikhak Z, Fukui M, Farsidjani A, Medoff BD, Tager AM, Luster AD. Contribution of CCR4 and CCR8 to antigen-specific TH2 cell trafficking in allergic pulmonary inflammation. J Allergy Clin Immunol. 2009;123:67–73. doi: 10.1016/j.jaci.2008.09.049. [DOI] [PMC free article] [PubMed] [Google Scholar]
- 53.Morgan AJ, Guillen C, Symon FA, Birring SS, Campbell JJ, Wardlaw AJ. CXCR6 identifies a putative population of retained human lung T cells characterised by co-expression of activation markers. Immunobiology. 2008;213:599–608. doi: 10.1016/j.imbio.2008.01.005. [DOI] [PMC free article] [PubMed] [Google Scholar]
- 54.Morgan AJ, Guillen C, Symon FA, Huynh TT, Berry MA, Entwisle JJ, Briskin M, Pavord ID, Wardlaw AJ. Expression of CXCR6 and its ligand CXCL16 in the lung in health and disease. Clin Exp Allergy. 2005;35:1572–1580. doi: 10.1111/j.1365-2222.2005.02383.x. [DOI] [PubMed] [Google Scholar]
- 55.Scholz F, Schulte A, Adamski F, Hundhausen C, Mittag J, Schwarz A, Kruse ML, Proksch E, Ludwig A. Constitutive expression and regulated release of the transmembrane chemokine CXCL16 in human and murine skin. J Invest Dermatol. 2007;127:1444–1455. doi: 10.1038/sj.jid.5700751. [DOI] [PubMed] [Google Scholar]
- 56.Wu C, Ivars F, Anderson P, Hallmann R, Vestweber D, Nilsson P, Robenek H, Tryggvason K, Song J, Korpos E, et al. Endothelial basement membrane laminin a5 selectively inhibits T lymphocyte extravasation into the brain. Nat Med. 2009;15:519–527. doi: 10.1038/nm.1957. [DOI] [PubMed] [Google Scholar]
- 57.Ebeling O, Duczmal A, Aigner S, Geiger C, Schöllhammer S, Kemshead JT, Möller P, Schwartz-Albiez R, Altevogt P. L1 adhesion molecule on human lymphocytes and monocytes: expression and involvement in binding to avb3 integrin. Eur J Immunol. 1996;26:2508–2516. doi: 10.1002/eji.1830261035. [DOI] [PubMed] [Google Scholar]
- 58.Reiss Y, Proudfoot AE, Power CA, Campbell JJ, Butcher EC. CC chemokine receptor (CCR)4 and the CCR10 ligand cutaneous T cell attracting chemokine (CTACK) in lymphocyte trafficking to inflamed skin. J Exp Med. 2001;194:1541–1547. doi: 10.1084/jem.194.10.1541. [DOI] [PMC free article] [PubMed] [Google Scholar]
- 59.Alvarez D, Arkinson JL, Sun J, Fattouh R, Walker T, Jordana M. Th2 differentiation in distinct lymph nodes influences the site of mucosal Th2 immune-inflammatory responses. J Immunol. 2007;179:3287–3296. doi: 10.4049/jimmunol.179.5.3287. [DOI] [PubMed] [Google Scholar]
- 60.Lacotte S, Brun S, Muller S, Dumortier H. CXCR3, inflammation, and autoimmune diseases. Ann N Y Acad Sci. 2009;1173:310–317. doi: 10.1111/j.1749-6632.2009.04813.x. [DOI] [PubMed] [Google Scholar]
- 61.Reutershan J. CXCR2: the receptor to hit? Drug News Perspect. 2006;19:615–623. doi: 10.1358/dnp.2006.19.10.1068009. [DOI] [PubMed] [Google Scholar]
- 62.Proost P, Mortier A, Loos T, Vandercappellen J, Gouwy M, Ronsse I, Schutyser E, Put W, Parmentier M, Struyf S, Van Damme J. Proteolytic processing of CXCL11 by CD13/aminopeptidase N impairs CXCR3 and CXCR7 binding and signaling and reduces lymphocyte and endothelial cell migration. Blood. 2007;110:37–44. doi: 10.1182/blood-2006-10-049072. [DOI] [PubMed] [Google Scholar]
- 63.Medoff BD, Thomas SY, Luster AD. T cell trafficking in allergic asthma: the ins and outs. Annu Rev Immunol. 2008;26:205–232. doi: 10.1146/annurev.immunol.26.021607.090312. [DOI] [PubMed] [Google Scholar]
- 64.Eri R, Jonsson JR, Pandeya N, Purdie DM, Clouston AD, Martin N, Duffy D, Powell EE, Fawcett J, Florin TH, Radford-Smith GL. CCR5-D32 mutation is strongly associated with primary sclerosing cholangitis. Genes Immun. 2004;5:444–450. doi: 10.1038/sj.gene.6364113. [DOI] [PubMed] [Google Scholar]
- 65.Tommasi AM, Fabris P, Carderi I, Baragiotta A, Baldo V, Venturi C, Giordani MT, Tositti G, Floreani A. Lack of higher frequency of the chemokine receptor 5-d32/d32 genotype in hepatitis C. J Clin Gastroenterol. 2006;40:440–443. doi: 10.1097/00004836-200605000-00015. [DOI] [PubMed] [Google Scholar]
- 66.Park H, Li Z, Yang XO, Chang SH, Nurieva R, Wang YH, Wang Y, Hood L, Zhu Z, Tian Q, Dong C. A distinct lineage of CD4 T cells regulates tissue inflammation by producing interleukin 17. Nat Immunol. 2005;6:1133–1141. doi: 10.1038/ni1261. [DOI] [PMC free article] [PubMed] [Google Scholar]
- 67.Harrington LE, Hatton RD, Mangan PR, Turner H, Murphy TL, Murphy KM, Weaver CT. Interleukin 17-producing CD4+ effector T cells develop via a lineage distinct from the T helper type 1 and 2 lineages. Nat Immunol. 2005;6:1123–1132. doi: 10.1038/ni1254. [DOI] [PubMed] [Google Scholar]
- 68.Larsson K. Inflammatory markers in COPD. Clin Respir J. 2008;2(Suppl 1):84–87. doi: 10.1111/j.1752-699X.2008.00089.x. [DOI] [PubMed] [Google Scholar]
- 69.Calabrese C, Triggiani M, Marone G, Mazzarella G. Arachidonic acid metabolism in inflammatory cells of patients with bronchial asthma. Allergy. 2000;55(Suppl 61):27–30. doi: 10.1034/j.1398-9995.2000.00504.x. [DOI] [PubMed] [Google Scholar]
- 70.Avgerinou G, Goules AV, Stavropoulos PG, Katsambas AD. Atopic dermatitis: new immunologic aspects. Int J Dermatol. 2008;47:219–224. doi: 10.1111/j.1365-4632.2008.03471.x. [DOI] [PubMed] [Google Scholar]
Associated Data
This section collects any data citations, data availability statements, or supplementary materials included in this article.



