Abstract
Nonpigmented Yersinia pestis (pgm) strains are defective in scavenging host iron and have been used in live-attenuated vaccines to combat plague epidemics. Recently, a Y. pestis pgm strain was isolated from a researcher with hereditary hemochromatosis who died from laboratory-acquired plague. We used hemojuvelin-knockout (Hjv−/−) mice to examine whether iron-storage disease restores the virulence defects of nonpigmented Y. pestis. Unlike wild-type mice, Hjv−/− mice developed lethal plague when challenged with Y. pestis pgm strains. Immunization of Hjv−/− mice with a subunit vaccine that blocks Y. pestis type III secretion generated protection against plague. Thus, individuals with hereditary hemochromatosis may be protected with subunit vaccines but should not be exposed to live-attenuated plague vaccines.
Yersinia pestis is the causative agent of plague, an ancient scourge that precipitates intermittent pandemics [1, 2]. Plague is a disease of mammals that is transmitted by fleabite or aerosol droplets, causing either bubonic or pneumonic plague [3]. Inoculation of humans with live-attenuated Y. pestis strains, identified as nonpigmented (pgm) colonies on hemin agar, affords protection against bubonic and pneumonic plague [4]. Nonpigmented strains, most notably Y. pestis EV76, have been used extensively as live-attenuated vaccines to successfully stem the spread of the last plague pandemic in Asia [5].
The pathogenesis of Y. pestis infections relies on the pathogen's type III secretion pathway, which delivers Yop effectors into immune cells via type III needle complexes that are capped by the protective antigen LcrV [6–8]. The protective immunity raised by live-attenuated plague vaccines is based on antibodies that are directed against the fraction 1 capsular antigen (Caf1, or F1 pilus) of Y. pestis and that interfere with the delivery of effectors by LcrV-capped type III needle complexes [9, 10]. Y. pestis variants defective for the expression of F1 capsular antigen caused plague in animals that had been immunized with the live-attenuated vaccine, indicating that protection is not universal for all Y. pestis isolates [10].
Spontaneous excision and loss of the 102-kb high-pathogenicity island and pigmentation (pgm) locus occurs on the Y. pestis chromosome at flanking IS100 elements [11, 12]. Y. pestis pgm strains are attenuated in animal models of bubonic and pneumonic plague because of their inability to synthesize yersiniabactin, a siderophore that scavenges iron from transferrin during host infection [13, 14]. Live-attenuated pgm plague vaccine–related illnesses were not reported during the immunization campaign involving Asian populations [5]. However, in a small clinical trial in the United States, some recipients of the live-attenuated plague vaccine experienced malaise, fever, and severe reactogenicity requiring hospitalization [4]. Recently, the nonpigmented Y. pestis strain UC91309 was isolated from a researcher with fatal, septicemic plague [15]. Genome sequencing suggested that the isolated strain had been acquired in the laboratory [15]. Autopsy findings included abnormally high levels of iron deposits in the liver and markedly elevated levels of serum ferritin, iron, total iron-binding capacity, and iron saturation [15]. The presence of a HFE C282Y mutation supported the postmortem diagnosis of hereditary hemochromatosis [15]. These clinical and pathological findings suggested that iron overload in tissues of an individual with hereditary hemochromatosis may complement the iron-scavenging defect in mutants that are unable to synthesize yersiniabactin, thereby restoring the virulence of pgm variants and their ability to cause plague.
Formal proof for this hypothesis is not yet available. To address this question, we analyzed the virulence properties of Y. pestis UC91309 and used a mouse model of hereditary hemochromatosis to examine whether increased iron load in host tissues may restore the virulence of nonpigmented Y. pestis strains. Further, we asked whether the rV10-2 plague subunit vaccine [16], which elicits LcrV-specific antibodies that block Y. pestis type III injection of immune cells [17], can protect mice with hereditary hemochromatosis against plague disease.
METHODS
Expression of LcrV and F1 by Plague Strains
Y. pestis strains UC91309 [15], KIM D27 [18], CO92 [17], KIM D27 ΔlcrV, and KIM D27 Δcaf1 [9] were grown in brain-heart infusion broth. Cultures were centrifuged, and proteins in the supernatant and bacterial pellet were precipitated with trichloroacetic acid (10%), washed in ice-cold acetone, dried, and suspended in sample buffer. Proteins were separated on 15% sodium dodecyl sulfate polyacrylamide gel electrophoresis gels, electro-transferred to PVDF membrane, and immunoblotted with rabbit antibodies specific for Caf1, LcrV, or RpoA [9].
Colony Pigmentation
Y. pestis strains were streaked onto blood agar plates containing Congo red. Wild-type strains, such as the fully virulent Y. pestis isolate CO92, form bright red colonies on blood agar with Congo red, whereas pgm strains (KIM D27 and UC91309) appear pale pink.
Histopathologic Analysis
Animal tissues obtained during necropsy were fixed in 10% neutral buffered formalin and embedded. Blocks were sectioned (5-µm sections) and stained with hematoxylin-eosin or Prussian blue prior to microscopy and image analysis.
Hemojuvelin-Knockout (Hjv−/−) Mice
Hjv−/−mice (129S6/SvEvTac) were bred at the University of Chicago; 6–8-week-old females were transferred to the Howard Taylor Ricketts Laboratory. Cohorts of 129S1/SvImJ wild-type (Hjv+/+) mice (stock 002448) were purchased from Jackson Laboratory at 6–8 weeks of age. All animals were fed Teklad Global 18% protein rodent diet (Harlan Laboratories) with standard iron content (200 mg iron/kg feed) throughout the experiments. Five-millimeter pieces of frozen mouse tail were used for genotyping by polymerase chain reaction with the following primers: Hjv−/− forward, 5′-CGG ATG GTT TTT GGC AGT TAG-3′; Hjv−/− reverse, 5′-GCC TTT ACG ATA TCT CAG TCC-3′; wild-type forward, 5′-GAA TGG CTT CCT TCC ATC AA-3′; and wild-type reverse: 5′-ATC TTC AAA GGC TGC AGG AA-3′. For iron analysis, blood was collected via cardiac puncture from 8-week-old mice and captured in serum separator tubes (Becton Dickinson), and iron concentration was determined with the iron/UIBC kit (Roche Diagnostics).
Plague Subunit Vaccine
Mice (wild-type or Hjv−/−) were immunized with clinical grade rV10-2 vaccine (100 µL phosphate-buffered saline [PBS] with 25 µg rV10-2 and 250 µg Alhydrogel) on day 0 and day 21 via intramuscular injections [16]. By using dose escalation studies, earlier work demonstrated that 25 µg rV10-2 adsorbed to 250 µg aluminum hydroxide elicits antibody responses and protective immunity in mice [16]. As controls, animals received mock vaccinations (100 µL PBS with 250 µg Alhydrogel). Mice (n = 5) were bled, and levels of antigen-specific serum immunoglobulin G (IgG) were determined on day 0 (prior to the first immunization) and day 42. rV10-2–specific IgG was quantified by enzyme-linked immunosorbant assay in microtiter plates precoated with peroxidase AffiniPure IgG (H + L) (Jackson ImmunoResearch Laboratories) [19]. Statistical analysis of antibody levels was performed in pair-wise comparison using the unpaired 2-tailed Student t test. Forty-two days after immunization, animals (n = 10) were challenged with Y. pestis CO92 or Y. pestis KIM D27 via subcutaneous injection.
Experimental Plague Challenge
Swiss Webster mice (n = 10; 6–8 week-old females; Charles River Laboratory) were infected with Y. pestis isolates. To prepare the challenge dose for the bubonic plague model, 3 mL of heart infusion broth was inoculated with colony material of plague strains and grown at 26°C overnight. Culture density was calculated via absorbance of 600 nm light (A600 1 is equivalent to 2.17 × 108 plague bacteria). Cultures were diluted in sterile PBS to the desired dosage, and 100 μL of a bacterial suspension was injected subcutaneously. Aliquots of inoculum were spread on plates containing Congo red and heart infusion broth to enumerate challenge doses. Infected animals were monitored for survival over 14 days. Animals that died from infection and survivors were subjected to necropsy. Organ tissues were either homogenized and spread on agar plates for colony formation and enumeration or subjected to histopathologic analysis. Animals that were pretreated with iron received an intraperitoneal injection of 0.1 mL 50% (v/v) iron dextran (100 mg/mL) and 50 mg/mL desferrioxamine B mesylate.
For the pneumonic plague model, animals were anesthetized by intraperitoneal injection with a cocktail of ketamine (Ketaved:Vedco) and xylazine (Sigma) and challenged by intranasal inoculation with 20 µL of Y. pestis suspension. For these experiments, Y. pestis was grown in heart infusion broth supplemented with 2.5 mM of calcium at 37°C overnight, conditions that mimic the ambient temperature during man-to-man transmission of pneumonic plague. Plague bacilli were washed and diluted in sterile PBS to the required concentration. All infected animals were observed over 14 days for morbidity, mortality, or recovery. Analysis of the statistical significance of mortality studies was performed using the 2-tailed log-rank (Fisher exact test) and GraphPad Prism4 software.
Vertebrate Animals and Select Agent Research
Animal experiments were performed in accordance with institutional guidelines following experimental protocol review and approval by the Institutional Biosafety Committee, Select Agent Committee, and the Institutional Animal Care and Use Committee. Experiments with Y. pestis CO92 (risk group 3 pathogen) and with KIM D27 and UC91309 (risk group 2 pathogens) were performed in BSL-3 and ABSL-3 at the Howard Taylor Ricketts Laboratory.
RESULTS
Virulence Attributes of Y. pestis Strain UC91309
Genome sequencing revealed a close relationship between Y. pestis KIM D27 and UC91309, the absence of the 102-kb high-pathogenicity island/pgm locus, and the presence of 3 virulence plasmids that encode for the type III secretion pathway (pCD1), the F1 pilus operon (pMT1), and Pla protease (pPCP1) [15]. In contrast to wild-type strain Y. pestis CO92, UC91309 and KIM D27 formed nonpigmented colonies on Congo red agar (Figure 1A). Immunoblot analysis of extracts derived from UC91309 generated positive signals for the expression and secretion of LcrV, the protective antigen that is secreted via the type III pathway, and for F1 pili (Figure 1B). In contrast to Y. pestis CO92, KIM D27 and UC91309 were unable to cause lethal plague infection in Swiss Webster mice at a subcutaneous challenge dose of 105 colony-forming units (CFUs) (Figure 1C). At a higher challenge dose (>106 CFUs), we observed some mortality in infected mice, demonstrating that the 2 strains were attenuated but did not display a difference in residual virulence (P = .6416; Figure 1C).
Figure 1.

Yersinia pestis KIM D27 and UC91309 are attenuated for virulence due to a defect in iron scavenging. A, Y. pestis strains CO92 (virulent wild-type plague isolate), KIM D27 (nonpigmented vaccine type strain), and UC91309 (clinical isolate from a case of fatal plague septicemia) were spread on Congo red agar plates and incubated at 26°C for 3 days, after which colonies were photographed. B, Culture medium (supernatant [S]) and bacterial extract (pellet [P]) of Y. pestis strains CO92, KIM D27, and UC91309 were analyzed by immunoblotting with antibodies specific for LcrV (V antigen), Caf1 (F1 or capsular fraction 1 antigen) and RNA polymerase subunit A (RpoA), as a loading control. KIM D27 variants with a mutation in the lcrV gene (lcrV1) or a deletion of caf1 (Δcaf1) were included as controls. C, Cohorts of Swiss Webster mice (n = 10) were challenged by subcutaneous injection with suspensions of Y. pestis strains CO92 (100 colony-forming units [CFUs]), KIM D27 (105 or 106 CFUs), or UC91309 (105 or 106 CFUs). For each challenge experiment, inocula were verified by plating aliquots of bacterial suspensions on agar plates and enumerating CFUs. Animals were monitored over 14 days after challenge for survival. Results are representative of at least 3 independent experimental determinations. D, Mice were treated 24 hours before challenge with 0.1 mL 50% (v/v) iron dextran (100 mg/mL) and 50 mg/mL desferrioxamine B mesylate into the peritoneal cavity (+). Cohorts of Swiss Webster mice (n = 10) were challenged by subcutaneous injection with 105 CFUs of Y. pestis KIM D27 or UC91309. For each challenge experiment, inocula were verified by plating aliquots of bacterial suspensions on agar plates and enumerating CFUs. Animals were monitored for 14 days after challenge. Results are representative of 2 independent experimental determinations.
Earlier studies revealed that animals pretreated with iron salts developed plague when challenged with nonpigmented Y. pestis isolates [20, 21]. Injection of Swiss Webster mice with 10 mg/mL iron dextran into the peritoneal cavity restored some, but not all, of the virulence of Y. pestis KIM D27 and UC91309 (Figure 1D). We did not observe a significant difference between KIM D27 and UC91309 virulence in iron dextran–treated animals (P = .31; Figure 1D). Histopathologic features of animals that succumbed to challenge included scattered hepatic granulomas with infiltrates of polymorphonuclear neutrophils and histiocytes (Figure 2). Histiocytes harbored intracellular hemosiderin deposits, a consequence of iron dextran administration. Spleen tissues displayed extensive coagulative necrosis with neutrophil debris, fibrin, and iron deposits (Figure 2). Of note, iron dextran accumulates in the reticuloendothelial system and impairs phagocyte function [22]; mice that receive iron dextran therefore cannot be used as a model of iron overload in tissue, which occurs in individuals with hereditary hemochromatosis.
Figure 2.
Histopathologic analysis of iron dextran–treated mice following infection with nonpigmented plague strains. Mice were treated 24 hours before challenge with 0.1 mL 50% (v/v) iron dextran (100 mg/mL) and 50 mg/mL desferrioxamine B mesylate into the peritoneal cavity. Cohorts of Swiss Webster mice (n = 10) were challenged by subcutaneous injection with 105 colony-forming units of Yersinia pestis KIM D27 or UC91309. Animals that succumbed to subcutaneous challenge underwent necropsy, and livers and spleens were removed and fixed. Tissues were embedded, thin sectioned, stained with hematoxylin-eosin, and analyzed by light microscopy with a 40 × objective. Iron-treated animals developed hepatic granulomas with histiocytes (black arrows) and neutrophils (blue arrows; A and B). Histiocytes harbored hemosiderin deposits, a brown-yellow pigment (red arrows). Spleen tissues displayed massive coagulative necrosis in the sinusoids with fibrin and neutrophil debris (blue arrows; C and D).
Plague Disease in Mice With Hereditary Hemochromatosis
Hjv−/− mice were used as a model for hereditary hemochromatosis [23]. Hjv−/− animals accumulate iron in liver, pancreas, and heart tissues at levels resembling those associated with hereditary hemochromatosis in humans [23] (Figure 3A). As expected, Hjv−/− mice displayed an increased concentration of iron in serum (Figure 3B). Prussian blue staining of fixed, thin-sectioned organ tissues revealed iron deposits in the liver but not in the spleen of Hjv−/− mice (Figure 3A) [23]. As a control, liver tissues from wild-type mice did not contain iron deposits (Figure 3A). Subcutaneous challenge of Hjv−/− mice with 4 or 20 CFUs of wild-type Y. pestis CO92 caused lethal bubonic plague infections in 30% and 70% of challenged animals, respectively (Figure 3C). Subcutaneous challenge of wild-type mice with 4 or 20 CFUs generated similar results (wild-type vs Hjv−/− mice, P = .34). Intranasal instillation of 340 or 10 000 CFUs of Y. pestis CO92 into wild-type mice caused lethal pneumonic plague in 20% and 100% of all challenged animals, respectively. These results are similar to measurements for pneumonic plague in BALB/c mice inoculated intranasally with Y. pestis CO92; the median lethal dose for pneumonic plague in BALB/c mice is 389 CFUs [17]. Similarly, instillation of Hjv−/− mice with 340 or 10 000 CFUs of Y. pestis CO92 caused lethal pneumonic plague in 40% and 100% of infected animals, respectively (wild-type vs Hjv−/− mice, P = .24; Figure 3D). Thus, the virulence of wild-type Y. pestis CO92 was not altered in Hjv−/− mice with hereditary hemochromatosis.
Figure 3.

Mice with hereditary hemochromatosis are susceptible to bubonic and pneumonic plague challenge. A, Spleen and liver from naive 8-week-old wild-type mice (WT; 129S1/SvImJ) and hemojuvelin mutant (Hjv−/−) mice (129S6/SvEvTac) were removed during necropsy, fixed in 10% neutral buffered formalin, and embedded. Blocks were sectioned in 5-µm intervals, stained with Prussian blue, and viewed by microscopy with a 40 × objective. B, Blood from 8-week-old mice (n = 10) was collected, and serum was evaluated to determine the total iron level, using the serum iron/UIBC kit (Roche Diagnostics). Error bars indicate standard error of the means. C, WT or Hjv−/− mice aged 6–8 weeks (n = 10) were infected with Yersinia pestis CO92 via subcutaneous injection. D, WT or Hjv−/− mice aged 6–8 weeks (n = 10) were infected with Y. pestis CO92 via intranasal instillation. Infected animals were observed over 14 days for morbidity, mortality, or recovery. Results of bubonic plague (C) and pneumonic plague (D) challenge studies with Hjv−/− mice are representative of 2 independent experimental determinations.
Virulence of Nonpigmented Plague Strains in Hjv−/− Mice
Wild-type and Hjv−/− mice were challenged by subcutaneous injection with 105 or 107 CFUs of the nonpigmented plague strain Y. pestis KIM D27 (Figure 4). Wild-type mice displayed clinical signs of infection, but most animals recovered and survived (Figure 4A). In contrast, subcutaneous injection of Hjv−/− mice with 105 or 107 CFUs of Y. pestis KIM D27 caused lethal plague disease in 70% of challenged animals on average (wild-type vs Hjv−/− mice, P < .0001; Figure 4A). Similar results were obtained when Y. pestis UC91309 was used as a challenge strain (wild-type vs Hjv−/− mice, P = .0001; Figure 4B). To monitor bacterial replication in infected tissues, animals were challenged with 106 CFUs of Y. pestis KIM D27 and euthanized at timed intervals. During necropsy, the local lymph node, spleen, and liver were removed, and bacteria in organ tissue homogenates were quantified by enumerating colonies on agar plates (Figure 4C). Subcutaneous injection of 106 CFUs of Y. pestis KIM D27 into wild-type mice was followed by dissemination of plague bacteria to the local lymph node within 24 hours. Dissemination of nonpigmented plague bacteria to the spleen and liver occurred infrequently, and bacteria were cleared from all host tissues within 7 days (Figure 4C). Subcutaneous injection of 106 CFUs of Y. pestis KIM D27 into Hjv−/− mice caused early dissemination to the local lymph node, spleen, and liver within 24 hours (Figure 4D). Dissemination and replication of nonpigmented plague bacteria in Hjv−/− mice progressed steadily. Four days after challenge, plague bacteria were found in all organ tissues, and most animals succumbed to infection (Figure 4D).
Figure 4.
Hemojuvelin-knockout (Hjv−/−) mice display increased susceptibility to challenge with nonpigmented Yersinia pestis. A and B, Wild-type (WT) or Hjv−/− mice aged 6–8 weeks (n = 10) were infected with Y. pestis KIM D27 (A) or Y. pestis UC91309 (B) via subcutaneous injection. Infected animals were observed over 14 days for morbidity, mortality, or recovery. Data were averaged from 2 (A) or 3 (B) independent experiments. Error bars indicate standard error of the means. Statistical significance was examined with the log-rank test: Hjv−/− 107 colony-forming units (CFUs) versus WT 107 CFUs, P < .0001 (A); Hjv−/− 105 CFUs versus WT 105 CFUs, P < .0001 (A); Hjv−/− 107 CFUs versus WT 107 CFUs, P < .0001 (B); Hjv−/− 105 CFUs versus WT 105 CFUs, P < .0001 (B). C and D, WT mice (C) or Hjv−/− mice (D) were infected with 1 × 106 CFUs of Y. pestis KIM D27 (pgm) via subcutaneous injection. At timed intervals, mice (n = 5) were euthanized and subjected to necropsy to determine the load of nonpigmented plague bacteria in tissue homogenates of the inguinal lymph node (LN; proximal to the injection site), the spleen, and the liver. Homogenates were spread on agar media and incubated for colony formation. Results are representative of 3 independent experimental determinations.
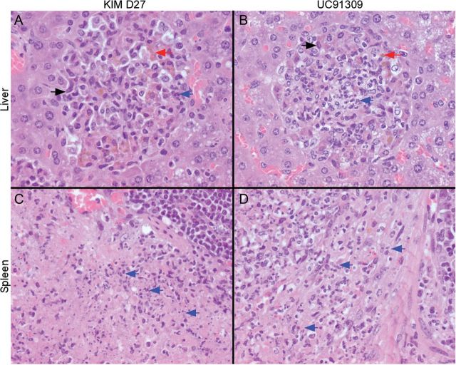
Analysis of spleen and liver tissues from wild-type mice infected with Y. pestis KIM D27 revealed no signs of inflammation or infection (Figure 5). Hjv−/− mice developed focal infiltrates of neutrophils and histiocytes in the liver (Figure 5). Of note, histiocytes did not harbor hemosiderin pigment, as was observed for wild-type animals treated with iron dextran. Spleen tissues of Hjv−/− mice infected with the nonpigmented plague strain harbored focal inflammatory infiltrates composed of neutrophils and histiocytes (Figure 5).
Figure 5.
Histopathologic analysis of mice with hemochromatosis that were infected with nonpigmented Yersinia pestis. Wild-type (WT) mice or hemojuvelin-knockout (Hjv−/−) mice (n = 5) were infected by subcutaneous injection with 1 × 106 colony-forming units (CFUs) of Yersinia pestis KIM D27 (pgm). On day 4 (for Hjv−/− mice) or day 7 (for wild-type mice), animals were euthanized, and necropsy was performed. Liver and spleen were removed, and the organs were fixed, embedded, thin sectioned, and stained with hematoxylin-eosin and analyzed by light microscopy with a 40 × objective. WT animals displayed the physiological architecture of spleen tissues with lymphoid follicles (LF) and sinusoids (SI; A) or liver tissues with healthy liver parenchyma (LP) and blood vessels (BV; C). Hjv−/− mice harbored focal inflammatory infiltrates composed of histocytes (black arrows) and neutrophils (blue arrows) in both liver and spleen tissues.
Subunit Vaccines Protect Mice With Hereditary Hemochromatosis Against Plague
LcrV is a secreted pentameric protein that caps the needles of Y. pestis type III secretion machines [8]. LcrV is a protective antigen [24], and Y. pestis mutants with a deletion of lcrV are avirulent [25]. Immunization of animals with purified LcrV raises specific antibodies that block type III secretion and generate protection against plague [17, 26]. Because Y. pestis KIM D27 and UC91309 were endowed with functional type III secretion machines (Figure 1B), we wondered whether LcrV-based vaccines can protect Hjv−/− mice against plague. rV10-2 vaccine lacks the immunomodulatory attributes of LcrV [19, 27] and protects mice, rats, guinea pigs, and nonhuman primates against plague [16]. Mice were immunized with either adjuvant alone (PBS) or with rV10-2 adsorbed to aluminum hydroxide [16]. Vaccinated animals produced rV10-2–specific IgG, whereas adjuvant control mice did not (mock vs rV10-2, P < .1 × 10−5; Figure 6A). Animals were challenged by subcutaneous injection with either 500 CFUs of Y. pestis CO92 (>50 median lethal doses) or 5 × 106 CFUs of Y. pestis KIM D27. Mock-immunized Hjv−/− mice succumbed to challenge with fully virulent Y. pestis CO92 (Figure 6B). In contrast, 90% of the hemochromatosis mice that received rV10-2 vaccine were protected from lethal plague challenge (mock vs rV10-2, P < .0001; Figure 6B). One Hjv−/− animal died during this experiment with disease features that were not consistent with plague. rV10-2 immunization also protected Hjv−/− mice against challenge with the nonpigmented plague strain, while 60% of the mock-immunized animals died from plague (mock vs rV10-2, P < .01; Figure 6B). Thus, rV10-2 vaccine protected Hjv−/− mice with hereditary hemochromatosis against lethal plague caused by either wild-type or pgm mutant Y. pestis.
Figure 6.
Plague vaccine protection of mice with hereditary hemochromatosis. Hemojuvelin-knockout (Hjv−/−) mice aged 6–8 weeks were immunized at day 0 and day 21 via intramuscular injections with 25 µg of rV10-2 protein adsorbed to 250 µg of Alhydrogel. As a control, animals received intramuscular injections of phosphate-buffered saline (PBS) with 250 µg of Alhydrogel. A, Blood was collected from mice (n = 5) on day 0 (prior to the first immunization) and on day 42 (21 days following the booster), and serum was analyzed for rV10-2 antigen–specific immunoglobulin G (IgG). B, Forty-two days after immunization, mice (n = 10) were challenged by subcutaneous injection with either 500 colony-forming units (CFUs) of the fully virulent plague isolate Yersinia pestis CO92 or 5 × 106 CFUs of the attenuated vaccine-type strain Y. pestis KIM D27 (pgm) via subcutaneous inoculation. Infected animals were observed over 14 days for morbidity and mortality.
DISCUSSION
Hereditary hemochromatosis results from mutations in genes that regulate iron uptake [28]. Five genes have been associated with disease, including HFE [29], TRF2 (transferrin receptor-2) [30], SLC40A1 (ferroportin) [31], HAMP (hepcidin) [32], and HJV (hemojuvelin)[33]. Hepcidin is a small, secreted peptide that functions as a hormone [34]. Its abundance is elevated when hepatocytes respond to increased iron stores [35]. Hepcidin associates with ferroportin, a membrane protein of enterocytes and macrophages [36]. Macrophages scavenge iron from senescent erythrocytes, whereas enterocytes retrieve iron from the intestine [28]. In both cell types, ferroportin is the membrane exporter for iron across the plasma membrane into body fluids [37]. Reduced abundance of hepcidin is correlated with disease severity due to increased iron in blood and in liver, heart, and pancreas tissues [28]. Hjv−/− mice recapitulate the clinical features of hereditary hemochromatosis in patients homozygous for autosomal recessive mutations in Hjv or Hamp [23]. Hemojuvelin functions as a coreceptor for bone morphogenetic protein in a signaling cascade with SMAD factors that control hepcidin expression [38]. The most frequent cause of human hemochromatosis is the autosomal recessive Cys282Tyr mutation in the HFE gene [29]. HFE associates with transferrin receptor to modulate the cellular uptake of iron from serum transferrin [39]. Patients homozygous for HFE C282Y, which occurs in 0.1% of white individuals but not in other ethnic groups, develop late-onset hemochromatosis with variable penetrance [40, 41]; environmental factors (eg, diet) and other genetic polymorphisms contribute to disease pathogenesis [42, 43]. Mice homozygous for HFE C282Y accumulate only small amounts of iron and are not a suitable model for hereditary hemochromatosis [44].
We show here that Y. pestis pgm strains, which have been used in live-attenuated plague vaccines, had some of their virulence-associated defects restored during infection of mice with hereditary hemochromatosis. Clinical trial data for live-attenuated plague vaccines are currently not available. Whether vaccine-related side effects or even death occur more frequently among white individuals than in other ethnic populations is not known [4]. Such a scenario would be expected if individuals with hereditary hemochromatosis were susceptible to plague infection with Y. pestis pgm strains. A recent report detailed the case of a researcher with hereditary hemochromatosis who had a fatal, septicemic plague infection with the nonpigmented strain Y. pestis UC91309 [15]. Autopsy revealed increased iron deposition (14 672 µg/g dry weight; hepatic iron index, 4.4 µmol/g per year) in noncirrhotic liver parenchyma [15] and increased serum iron levels (ferritin level, 392 530 ng/mL; total iron-binding capacity, 648 µg/dL; total iron level, 541 µg/dL; and iron saturation, 83.5% [15]. Our results suggest that hereditary hemochromatosis in Hjv−/− mice indeed restores some of the virulence-associated defects of nonpigmented plague strains, thereby enabling the pathogenesis of plague disease. Our data suggest further that the rV10-2 subunit vaccine may protect individuals with hereditary hemochromatosis against plague. Thus, subunit vaccines, but not live-attenuated vaccines, should be used to protect white populations against plague epidemics.
Moalem et al proposed that the high frequency of the HFE C282Y allele among white individuals [29] may be based on epidemic selection during medieval plague outbreaks in Europe [45]. Because HFE C282Y is associated with decreased iron levels in macrophages, the hypothesis by Moalem and colleagues predicts that, at least early in life, immune cells of individuals with hereditary hemochromatosis may gain the advantage of improved clearance for bacterial pathogens. Similar predictions were fulfilled in an analysis involving mice with a loss-of-function ferroportin mutation, which showed that reduced intracellular iron levels enable macrophage-mediated clearance of intracellular pathogens [46]. Future work will need to examine whether a similar phenomenon occurs for HFE C282Y mutant mice. Nevertheless, we did not observe increased resistance among 6–8-week-old Hjv−/− mice to challenge with fully virulent plague bacteria.
Notes
Acknowledgments. We are grateful to Dr Nancy C. Andrews (Duke University) for 2 pairs of 129S6/SvEvTac Hjv−/− breeders.
Financial support. This work was supported by the Region V "Great Lakes" Regional Center of Excellence in Biodefense and Emerging Infectious Diseases Consortium (National Institute of Allergy and Infectious Diseases Award [grant 1-U54-AI-057153]).
Potential conflicts of interest. All authors: No reported conflicts.
All authors have submitted the ICMJE Form for Disclosure of Potential Conflicts of Interest. Conflicts that the editors consider relevant to the content of the manuscript have been disclosed.
References
- 1.Yersin A. La peste bubonique à Hong-Kong. Ann Inst Pasteur. 1894;2:428–30. [Google Scholar]
- 2.Bos KI, Schuenemann VJ, Golding GB, et al. A draft genome of Yersinia pestis from victims of the black death. Nature. 2011;478:506–10. doi: 10.1038/nature10549. [DOI] [PMC free article] [PubMed] [Google Scholar]
- 3.Simond PL. La propagation de la peste. Ann Inst Pasteur. 1898;12:625–87. [Google Scholar]
- 4.Meyer KF. Effectiveness of live or killed plague vaccines in man. Bull World Health Organ. 1970;42:653–66. [PMC free article] [PubMed] [Google Scholar]
- 5.Girard G. Plague. Annu Rev Microbiol. 1955;9:253–77. doi: 10.1146/annurev.mi.09.100155.001345. [DOI] [PubMed] [Google Scholar]
- 6.Burrows TW. An antigen determining virulence in Pasteurella pestis. Nature. 1956;177:426–7. doi: 10.1038/177426b0. [DOI] [PubMed] [Google Scholar]
- 7.Marketon MM, DePaolo RW, DeBord KL, Jabri B, Schneewind O. Plague bacteria target immune cells during infection. Science. 2005;309:1739–41. doi: 10.1126/science.1114580. [DOI] [PMC free article] [PubMed] [Google Scholar]
- 8.Mueller CA, Broz P, Muller SA, et al. The V-antigen of Yersinia forms a distinct structure at the tip of injectisome needles. Science. 2005;310:674–6. doi: 10.1126/science.1118476. [DOI] [PubMed] [Google Scholar]
- 9.Quenee L, Cornelius CA, Ciletti NA, Elli D, Schneewind O. Yersinia pestis caf1 (F1) variants and the limits of plague vaccine protection. Infect Immun. 2008;76:2025–36. doi: 10.1128/IAI.00105-08. [DOI] [PMC free article] [PubMed] [Google Scholar]
- 10.Cornelius CA, Quenee LE, Elli D, Ciletti NA, Schneewind O. Yersinia pestis IS1541 transposition provides for escape from plague immunity. Infect Immun. 2009;77:1807–16. doi: 10.1128/IAI.01162-08. [DOI] [PMC free article] [PubMed] [Google Scholar]
- 11.Fetherston JD, Schuetze P, Perry RD. Loss of the pigmentation phenotype in Yersinia pestis is due to the spontaneous deletion of 102 kb of chromosomal DNA which is flanked by a repetitive element. Mol Microbiol. 1992;6:2693–704. doi: 10.1111/j.1365-2958.1992.tb01446.x. [DOI] [PubMed] [Google Scholar]
- 12.Buchrieser C, Rusniok C, Frangeul L, et al. The 102-kilobase pgm locus of Yersinia pestis: sequence analysis and comparison of selected regions among different Yersinia pestis and Yersinia pseudotuberculosis strains. Infect Immun. 1999;67:4851–61. doi: 10.1128/iai.67.9.4851-4861.1999. [DOI] [PMC free article] [PubMed] [Google Scholar]
- 13.Bearden S, Fetherston J, Perry R. Genetic organization of the yersiniabactin biosynthetic region and construction of avirulent mutants in Yersinia pestis. Infect Immun. 1997;65:1659–68. doi: 10.1128/iai.65.5.1659-1668.1997. [DOI] [PMC free article] [PubMed] [Google Scholar]
- 14.Gehring AM, DeMoll E, Fetherston JD, et al. Iron acquisition in plague: modular logic in enzymatic biogenesis of yersiniabactin by Yersinia pestis. Chem Biol. 1998;5:573–86. doi: 10.1016/s1074-5521(98)90115-6. [DOI] [PubMed] [Google Scholar]
- 15.Frank KM, Schneewind O, Shieh WJ. Investigation of a researcher's death due to septicemic plague. N Engl J Med. 2011;364:2563–4. doi: 10.1056/NEJMc1010939. [DOI] [PubMed] [Google Scholar]
- 16.Quenee LE, Ciletti NA, Elli D, Hermanas T, Schneewind O. Prevention of pneumonic plague in mice, rats, guinea pigs and non-human primates with clinical grade rV10, rV10–2 or F1-V vaccines. Vaccine. 2011;29:6572–83. doi: 10.1016/j.vaccine.2011.06.119. [DOI] [PMC free article] [PubMed] [Google Scholar]
- 17.DeBord KL, Anderson DM, Marketon MM, et al. Immunogenicity and protective immunity against bubonic and pneumonic plague by immunization of mice with the recombinant V10 antigen, a variant of LcrV. Infect Immun. 2006;74:4910–4. doi: 10.1128/IAI.01860-05. [DOI] [PMC free article] [PubMed] [Google Scholar]
- 18.Brubaker RR. Mutation rate to non-pigmentation in Pasteurella pestis. J Bacteriol. 1969;98:1404–6. doi: 10.1128/jb.98.3.1404-1406.1969. [DOI] [PMC free article] [PubMed] [Google Scholar]
- 19.Overheim KA, Depaolo RW, Debord KL, et al. LcrV plague vaccine with altered immunomodulatory properties. Infect Immun. 2005;73:5152–9. doi: 10.1128/IAI.73.8.5152-5159.2005. [DOI] [PMC free article] [PubMed] [Google Scholar]
- 20.Jackson S, Burrows TW. The virulence enhancing effect of iron on non-pigmented mutants of virulent strains of Pasteurella pestis. Brit J Exp Pathol. 1956;37:570–6. [PMC free article] [PubMed] [Google Scholar]
- 21.Galvan EM, Nair MK, Chen H, Del Piero F, Schifferli DM. Biosafety level 2 model of pneumonic plague and protection studies with F1 and Psa. Infect Immun. 2010;78:3443–53. doi: 10.1128/IAI.00382-10. [DOI] [PMC free article] [PubMed] [Google Scholar]
- 22.Robins-Browne RM, Prpic JK. Effects of iron and desferrioxamine on infections with Yersinia enterocolitica. Infect Immun. 1985;47:774–9. doi: 10.1128/iai.47.3.774-779.1985. [DOI] [PMC free article] [PubMed] [Google Scholar]
- 23.Huang FW, Pinkus JL, Pinkus GS, Fleming MD, Andrews NC. A mouse model of juvenile hemochromatosis. J Clin Invest. 2005;115:2188–91. doi: 10.1172/JCI25049. [DOI] [PMC free article] [PubMed] [Google Scholar]
- 24.Motin VM, Nedialkov YA, Brubaker RR. V antigen-polyhistidine fusion peptide: binding to LcrH and active immunity against plague. Infect Immun. 1996;64:4313–8. doi: 10.1128/iai.64.10.4313-4318.1996. [DOI] [PMC free article] [PubMed] [Google Scholar]
- 25.Perry RD, Harmon PA, Bowmer WS, Straley SC. A low-Ca2+ response operon encodes the V antigen of Yersinia pestis. Infect Immun. 1986;54:428–34. doi: 10.1128/iai.54.2.428-434.1986. [DOI] [PMC free article] [PubMed] [Google Scholar]
- 26.Quenee LE, Berube B, Segal J, et al. Amino acid residues 196–225 of LcrV represent a plague protective epitope. Vaccine. 2010;28:1870–6. doi: 10.1016/j.vaccine.2009.11.076. [DOI] [PMC free article] [PubMed] [Google Scholar]
- 27.DePaolo RW, Tang F, Kim IY, et al. TLR6 drives differentiation of tolerogenic dendritic cells and contributes to LcrV-mediated plague pathogenesis. Cell Host Microbe. 2008;4:350–61. doi: 10.1016/j.chom.2008.09.004. [DOI] [PMC free article] [PubMed] [Google Scholar]
- 28.Andrews NC. Forging a field: the golden age of iron biology. Blood. 2008;112:219–30. doi: 10.1182/blood-2007-12-077388. [DOI] [PMC free article] [PubMed] [Google Scholar]
- 29.Feder JN, Gnirke A, Thomas W, et al. A novel MHC class I-like gene is mutated in patients with hereditary haemochromatosis. Nat Genet. 1996;13:399–408. doi: 10.1038/ng0896-399. [DOI] [PubMed] [Google Scholar]
- 30.Camaschella C, Roetto A, Cali A, et al. The gene TFR2 is mutated in a new type of haemochromatosis mapping to 7q22. Nat Genet. 2000;25:14–5. doi: 10.1038/75534. [DOI] [PubMed] [Google Scholar]
- 31.Montosi G, Donovan A, Totaro A, et al. Autosomal-dominant hemochromatosis is associated with a mutation in the ferroportin (SLC11A3) gene. J Clin Invest. 2001;108:619–23. doi: 10.1172/JCI13468. [DOI] [PMC free article] [PubMed] [Google Scholar]
- 32.Roetto A, Papanikolaou G, Politou M, et al. Mutant antimicrobial peptide hepcidin is associated with severe juvenile hemochromatosis. Nat Genet. 2002;33:21–2. doi: 10.1038/ng1053. [DOI] [PubMed] [Google Scholar]
- 33.Papanikolaou G, Samuels ME, Ludwig EH, et al. Mutations in HFE2 cause iron overload in chromosome 1q-linked juvenile hemochromatosis. Nat Genet. 2004;36:77–82. doi: 10.1038/ng1274. [DOI] [PubMed] [Google Scholar]
- 34.Nicolas G, Bennoun M, Porteu A, et al. Severe iron deficiency anemia in transgenic mice expressing liver hepcidin. Proc Natl Acad Sci U S A. 2002;99:4596–601. doi: 10.1073/pnas.072632499. [DOI] [PMC free article] [PubMed] [Google Scholar]
- 35.Ilyin G, Courselaud B, Troadec M, et al. Comparative analysis of mouse hepcidin 1 and 2 genes: evidence for different patterns of expression and co-inducibility during iron overload. FEBS Lett. 2003;542:22–6. doi: 10.1016/s0014-5793(03)00329-6. [DOI] [PubMed] [Google Scholar]
- 36.Nemeth E, Tuttle MS, Powelson J, et al. Hepcidin regulates cellular iron efflux by binding to ferroportin and inducing its internalization. Science. 2004;306:2090–3. doi: 10.1126/science.1104742. [DOI] [PubMed] [Google Scholar]
- 37.Donovan A, Brownlie A, Zhou Y, et al. Positional cloning of zebrafish ferroportin1 identifies a second vertebrate iron transporter. Nature. 2000;403:776–81. doi: 10.1038/35001596. [DOI] [PubMed] [Google Scholar]
- 38.Babitt JL, Huang FW, Wrighting DM, et al. Bone morphogenetic protein signaling by hemojuvelin regulates hepcidin expression. Nat Genet. 2006;38:531–9. doi: 10.1038/ng1777. [DOI] [PubMed] [Google Scholar]
- 39.Feder JN, Penny DM, Irrinki A, et al. The hemochromatosis gene product complexes with the transferrin receptor and lowers its affinity for ligand binding. Proc Natl Acad Sci U S A. 1998;95:1472–7. doi: 10.1073/pnas.95.4.1472. [DOI] [PMC free article] [PubMed] [Google Scholar]
- 40.Beutler E. Penetrance of hemochromatosis. Gut. 2003;52:610–1. doi: 10.1136/gut.52.4.610-a. [DOI] [PMC free article] [PubMed] [Google Scholar]
- 41.Ajioka RS, Kushner JP. Clinical consequences of iron overload in hemochromatosis homozygotes. Blood. 2003;101:3351–3. doi: 10.1182/blood-2002-11-3453. [DOI] [PubMed] [Google Scholar]
- 42.Jouanolle AM, Fergelot P, Gandon G, Yaouanq J, Le Gall JY, David V. A candidate gene for hemochromatosis: frequency of the C282Y and H63D mutations. Hum Genet. 1997;100:544–7. doi: 10.1007/s004390050549. [DOI] [PubMed] [Google Scholar]
- 43.Tolosano E, Fagoonee S, Garuti C, et al. Haptoglobin modifies the hemochromatosis phenotype in mice. Blood. 2005;105:3353–5. doi: 10.1182/blood-2004-07-2814. [DOI] [PubMed] [Google Scholar]
- 44.Finberg KE, Whittlesey RL, Andrews NC. Tmprss6 is a genetic modifier of the Hfe-hemochromatosis phenotype in mice. Blood. 2011;117:4590–9. doi: 10.1182/blood-2010-10-315507. [DOI] [PMC free article] [PubMed] [Google Scholar]
- 45.Moalem S, Percy ME, Kruck TP, Gelbart RR. Epidemic pathogenic selection: an explanation for hereditary hemochromatosis? Med Hypotheses. 2002;59:325–9. doi: 10.1016/s0306-9877(02)00179-2. [DOI] [PubMed] [Google Scholar]
- 46.Paradkar PN, De Domenico I, Durchfort N, Zohn I, Kaplan J, Ward DM. Iron depletion limits intracellular bacterial growth in macrophages. Blood. 2008;112:866–74. doi: 10.1182/blood-2007-12-126854. [DOI] [PMC free article] [PubMed] [Google Scholar]




