Abstract
In mammals, the natural resistance-associated macrophage protein 1 gene, Nramp1, plays a major role in resistance to mycobacterial infections. Chesapeake Bay striped bass (Morone saxatilis) is currently experiencing an epizootic of mycobacteriosis that threatens the health of this ecologically and economically important species. In the present study, we characterized an Nramp gene in this species and obtained evidence that there is induction following Mycobacterium exposure. The striped bass Nramp gene (MsNramp) and a 554-amino-acid sequence contain all the signal features of the Nramp family, including a topology of 12 transmembrane domains (TM), the transport protein-specific binding-protein-dependent transport system inner membrane component signature, three N-linked glycosylation sites between TM 7 and TM 8, sites of casein kinase and protein kinase C phosphorylation in the amino and carboxy termini, and a tyrosine kinase phosphorylation site between TM 6 and TM 7. Phylogenetic analysis most closely grouped MsNramp with other teleost Nramp genes and revealed high sequence similarity with mammalian Nramp2. MsNramp expression was present in all tissues assayed by reverse transcription-PCR. Within 1 day of injection of Mycobacterium marinum, MsNramp expression was highly induced (17-fold higher) in peritoneal exudate (PE) cells compared to the expression in controls. The levels of MsNramp were three- and sixfold higher on days 3 and 15, respectively. Injection of Mycobacterium shottsii resulted in two-, five-, and threefold increases in gene expression in PE cells over the time course. This report is the first report of induction of an Nramp gene by mycobacteria in a poikilothermic vertebrate.
Mycobacteriosis has been reported in more than 150 species of freshwater and marine fish worldwide, including striped bass (Morone saxatilis) (43). Chesapeake Bay is currently experiencing an epizootic of mycobacteriosis in striped bass that threatens the health of an economically important commercial and recreational fishery (32, 46) and has important consequences for production in aquaculture (33). The prevalence of splenic mycobacterial lesions and the prevalence of dermal mycobacterial lesions in striped bass from Chesapeake Bay tributaries have been reported to be as high as 62.7 and 28.8%, respectively (8). Diseased striped bass harbor multiple species of Mycobacterium, including Mycobacterium marinum, a known fish and human pathogen (35, 64), and Mycobacterium shottsii sp. nov., which is also a member of the Mycobacterium tuberculosis clade (47). Approximately 76% of mycobacterium-positive striped bass sampled to date harbor M. shottsii, either as a monoinfection or as part of a coinfection with multiple Mycobacterium spp. (M. W. Rhodes, H. Kator, I. Kaattari, D. Gauthier, W. Vogelbein, and C. Ottinger, Abstr. 103rd Gen. Meet. Am. Soc. Microbiol., abstr. Q-264, 2003). Gauthier et al. (21) investigated the relative pathogenicity of three Mycobacterium spp. isolated from wild Chesapeake Bay fish for laboratory-reared striped bass and found that M. marinum caused acute peritonitis and extensive granulomatous inflammation. In some cases, a secondary phase of reactivation disease was observed. The pathology in fish inoculated with M. shottsii or Mycobacterium gordonae was considerably less severe than the pathology in fish inoculated with M. marinum, and secondary disease did not occur. Both M. gordonae and M. shottsii, however, did establish persistent infections in the spleen.
Breeding studies with Mycobacterium-resistant (Bcgr) and -susceptible (Bcgs) inbred mouse phenotypes resulted in identification of a single dominant, autosomal gene (termed Bcg) responsible for increased resistance to mycobacteria during the early stages of infection (27). Positional cloning of Bcg from the proximal region of mouse chromosome 1 led to the discovery of the gene for the natural resistance-associated macrophage protein (Nramp) (61). Vidal et al. demonstrated that Nramp transcripts were detected only in the reticuloendothelial organs (spleen and liver) of mice and were highly expressed in purified macrophages and macrophage cell lines from these tissues. In addition, murine Nramp1 is highly upregulated following infection with intracellular parasites (23, 26) and administration of lipopolysaccharide (LPS) and gamma interferon (25), and a strong synergistic effect is observed under the latter conditions. Transfection of the resistant, wild-type Nramp1G169 allele in susceptible Nramp1G169D knockout mice restored resistance to Mycobacterium bovis BCG and Salmonella enterica serovar Typhimurium in the transgenic animals (26), while overexpression of Nramp1 by a cytomegalovirus promoter-enhancer completely inhibited intracellular replication of S. enterica serovar Typhimurium in normally susceptible mouse macrophages (24), indicating the crucial role of this gene in resistance to intracellular parasites.
The mechanism of mycobacterial resistance due to Nramp1 is not fully understood (4), but Nramp2 is known to take up iron from the intestinal brush border in mammals and has been linked to transferrin-independent iron transport into acidified endosomes in many different tissues (18, 31). One of the splice variants of DCT1 (Rattus norvegicus Nramp2 homolog) contains an iron-responsive element (IRE) in the 3′ untranslated region (UTR) (31). There is a very high degree of homology in all the transmembrane domains (TM) between Nramp1 and Nramp2 (44), and a mutation in Nramp2 immediately C terminal of the loss-of-function mutation in Nramp1 TM 4 is associated with microcytic anemia iron deficiency (54).
Nramp1 belongs to a small family of related proteins encoded by genes that include two known murine genes, Nramp1 and Nramp2, as well as related sequences in many other taxa (10). Nramp homologs have been found in many evolutionarily distantly related groups, such as humans (11, 37), rats (31), birds (36), fish (15), insects (48), nematodes (57), plants (5), yeast (45), and bacteria (42). Complete Nramp mRNA coding sequences for five teleosts have been published recently (12, 14, 15, 49, 52). Paralogs of Nramp seem to be present in two teleost species, Oncorhynchus mykiss (15) and Takifugu rubripes (52), while single genes are present in other teleost species, including Cyprinus carpio (49), Ictalurus punctatus (12), Danio rerio (14), and M. saxatilis (this study). Expression studies and phylogenetic analysis of fish have indicated that the nonteleost sequence similarity and tissue-specific expression patterns most closely resemble those of mammalian Nramp2. Little is known about the function of Nramp in teleosts, although in one study Chen et al. (12) demonstrated by using Northern hybridization and reverse transcription (RT)-PCR that channel catfish (I. punctatus) spleen NrampC levels were elevated in response to LPS exposure in vivo in a dose-dependent fashion. Direct evidence of induction due to exposure of fish to pathogens has not been reported previously.
The purposes of the present study were to isolate and sequence striped bass Nramp homolog(s), to characterize the coding sequence, to determine the tissue expression patterns, and to evaluate induction of the striped bass Nramp gene (MsNramp) in vivo after exposure to mycobacteria. Expression was measured in several tissues by using real-time RT-PCR (see references 7, 53, and 59 for descriptions of recent applications) following injection of M. marinum or M. shottsii into striped bass. This report is the first report of induction of an Nramp gene by an intracellular pathogen in a poikilothermic vertebrate.
MATERIALS AND METHODS
Experimental fish and maintenance.
Striped bass (M. saxatilis) (500 to 2,000 g) were collected from the York River, Chesapeake Bay, Va. (Virginia Marine Resources permit 02-27 and VIMS Research on Animal Subjects Committee permit 0101). The tissues of these fish were used for sequencing and normal tissue expression of MsNramp. The fish were maintained in 1,160-liter tanks with flowthrough, sand-filtered water at the ambient temperature and salinity. The tanks were lit with fluorescent lights adjusted to the local photoperiod. The fish were fed daily to satiation with wild-caught small fish and crabs and were kept for more than 2 weeks prior to experimental use.
The striped bass used for the mycobacterial challenge and in vivo expression experiments were obtained as fingerlings (1 year postspawn) from the Virginia Department of Game and Inland Fisheries Vic Thomas Striped Bass Hatchery in Brookneal, Va. The fish were reared until the mean weight was approximately 200 g (2 years postspawn) in circular 1,000-liter tanks containing 21°C well water exchanged at a rate of 12 liters/min. The inflow water was degassed and oxygenated to saturation, and the tank water was treated with 1% (wt/vol) NaCl each time that the fish were handled to alleviate stress. The fish were fed trout chow (Ziegler Bros, Gardner, Pa.). Tank illumination was provided by a combination of fluorescent and natural light, with the former adjusted to the local photoperiod. Thirty striped bass (198.1 ± 67.4 g) were randomly selected, separated into three treatment groups, and moved to an isolation facility prior to infection with mycobacteria.
RNA extraction and RT for cDNA: sequencing and tissue expression.
Peritoneal exudate (PE) cells were isolated from wild striped bass by a modification of standard techniques (51). Cells were elicited to the peritoneal cavity by injection of adjuvant (100 μl of Freund's incomplete medium) 7 to 10 days prior to harvesting. Anesthetized fish were inoculated intraperitoneally with 10 ml of ice-cold Leibowitz's L-15 medium containing 100 U of penicillin-streptomycin per ml and 100 U of sodium heparin per ml. After 10 min, lavage fluid was withdrawn through a ventral incision (51). Anterior kidney, brain, heart, gill, gonad, intestine, liver, muscle, and spleen samples (approximately 100 mg each) were dissected from the fish and either stored in RNAlater (Ambion) or extracted immediately. Total RNA was isolated with TRIzol (Invitrogen) used according to the manufacturer's protocol. The integrity of the total RNA was assessed by electrophoresis in 1% denaturing formaldehyde-agarose gels. The RNA quality and concentration were determined by UV spectrophotometry at 260 and 280 nm, with background correction for protein contamination at 320 nm. The total RNA was resuspended in RNA Storage Solution (Ambion) and stored at −80°C until it was used. RT of 5 μg of RNA was accomplished by using SuperScript II RNase H− reverse transcriptase and oligo(dT12-18) (Invitrogen) priming according to the manufacturer's recommendations.
Amplification of MsNramp cDNA.
Primers and hybridization probes used in standard PCR, RT-PCR, RNA ligase-mediated rapid amplification of cDNA ends (RACE), and sequencing analyses are listed in Table 1. An initial 262-bp fragment of striped bass MsNramp was obtained by using primers NrampA and NrampB, which were derived from consensus mammalian sequences (12), and striped bass PE cDNA. Fragments 5′ and 3′ of this initial fragment were obtained by using combinations of striped bass-specific MsNramp primers (MsNramp736 and MsNramp1020), which were developed by sequencing RT-PCR products, and primers developed for O. mykiss Nramp (MDNMP1F, MDNMP4, OmNramp1263, OmNramp1463) (15). PCR parameters were empirically determined for each primer set, and the PCRs were performed with thermocyclers from MJ Research, Inc. The PCR mixtures (final volume, 50 μl) contained (final concentrations) 1.0 U of Platinum Taq High Fidelity DNA polymerase, each deoxynucleoside triphosphate at a concentration of 0.2 mM, 2 mM MgSO4, 1× PCR buffer (Invitrogen), each primer at a concentration of 0.2 μM, and 1 to 2 μl of cDNA template. A total of 1,242 bp of MsNramp sequence was generated in this manner. Tissue expression of MsNramp was shown by amplification of cDNA from a variety of tissues (see above) by using primer sets (NrampA plus MDNMP4, MDNMP1F plus OmNramp1463, and MsNramp736 plus MsNramp1020). MsNramp-positive tissues were visualized by 1% agarose gel electrophoresis and ethidium bromide staining.
TABLE 1.
Primers used in tissue-specific RT-PCR, RNA ligase-mediated RACE, real-time RT-PCR, and sequencing
| Primer | Sequence (5′ → 3′) | Source (reference or accession no.) |
|---|---|---|
| NrampA | GGAAGCTGTGGGCCTTCAC | Consensus mammalian (12) |
| NrampB | CTGCCGATGACTTCCTGCAT | Consensus mammalian (12) |
| OmNramp1263 | CCCCTCCGCCTATCTTCCACACCAGTCC | O. mykiss (AF054808) |
| OmNramp1463 | CCCGCTCCATCGCCATCTTCCCCAC | O. mykiss (AF054808) |
| MDNMP1F | GCCCCATAATATCTACCTGCACTC | O. mykiss (15) |
| MDNMP4 | GGTGCCCGTCATGGTAGAGCTCTG | O. mykiss (15) |
| 5RACE1 | TCAGCCAAAGGATGACCCGAGGAAC | M. saxatilis (AY008746) |
| 3RACE1 | TCTGACCTTCACCAGTCTGACATC | M. saxatilis (AY008746) |
| 3RACE2 | CACTTACTCGGGGCAGTTTGTTATG | M. saxatilis (AY008746) |
| 3RACE4 | GATACCGTCCTCCTACCAACATACTG | M. saxatilis (AY008746) |
| MsNramp736 | TTGTCGTAGCGGTCTT | M. saxatilis (AY008746) |
| MsNramp1020 | GGGACCACCGTAGGTTTA | M. saxatilis (AY008746) |
| 5′MsNramp942f | GCTGGACAGAGTTCCACCA-fa | M. saxatilis (AY008746) |
| 3′MsNrampRed963p | LCRed640-ACAGGCACTTACTCGGGG-pb | M. saxatilis (AY008746) |
| T3 | ATTAACCCTCACTAAAGGGA | Invitrogen Corp. |
| T7 | TAATACGACTCACTATAGGG | Invitrogen Corp. |
| GeneRacer 5′ primer | CGACTGGAGCACGAGGACACTGA | Invitrogen Corp. |
| GeneRacer 3′ primer | GCTGTCAACGATACGCTACCGTAACG | Invitrogen Corp. |
| GeneRacer 3′ nested | CGCTACGTAACGGCATGACAGTG | Invitrogen Corp. |
| M13F IRDye 800 | CACGACGTTGTAAAACGAC | LI-COR Biosciences |
| M13R IRDye 700 | GGATAACAATTTCACACAGG | LI-COR Biosciences |
f, fluorescein.
LCRed640, LightCycler Red 640 dye; p, phosphate.
RNA ligase-mediated RACE.
The 5′ and 3′ ends of MsNramp cDNA were amplified by RACE, based on procedures developed by Frohman et al. (20). The 5′ and 3′ ends of MsNramp were isolated by using a GeneRacer kit (Invitrogen). For the 5′ end, 5 μg of RNA from mycobacterium-inoculated striped bass PE cells was dephosphorylated with calf intestinal phosphatase, and the 5′ cap structure was removed by using tobacco acid pyrophosphatase. An RNA oligonucleotide sequence was ligated to the dephosphorylated, decapped 5′ end of striped bass mRNA, and the hybrid molecule was reverse transcribed by using SuperScript II RT. RACE-ready 3′ cDNA was obtained by RT of 5 μg of PE cells RNA by using the GeneRacer Oligo dT primer, a modified oligo(dT) primer with a 36-nucleotide tail complementary to the 3′ poly(A) tail of full-length mRNA. RACE-ready first-strand cDNA was treated with RNase H to remove the RNA template.
The RACE PCR mixture for 5′ MsNramp consisted of 1 μl of RACE-ready 5′ cDNA, 0.6 μM GeneRacer 5′ primer (complementary to the GeneRacer RNA oligonucleotide ligated to 5′ cDNA), 0.2 μM gene-specific primer 5RACE1, each deoxynucleoside triphosphate at a concentration of 0.2 mM, 1× PCR buffer, 2 mM MgSO4 and 2.5 U of Platinum Taq DNA polymerase. The cycling parameters for a touchdown PCR program were as follows: 94°C for 2 min, 94°C for 0.5 min, and 72°C for 1 min for five cycles; 94°C for 0.5 min and 70°C for 1 min for five cycles; 94°C for 0.5 min and 68°C for 1.5 min for 25 cycles; and 68°C for 10 min.
The 3′ RACE PCR mixture for MsNramp consisted of reaction components similar to those in the 5′ RACE PCR mixture, with the following exceptions: 1 μl of RACE-ready 3′ cDNA, 0.6 μM GeneRacer 3′ primer [complementary to the 36-nucleotide tail of the oligo(dT) primer], and 0.2 μM primer 3RACE1, 0.2 μM primer 3RACE2, or 0.2 μM primer 3RACE4. The cycling parameters for primer 3RACE1 were as follows: 94°C for 2 min; 94°C for 0.5 min and 72°C for 2 min for five cycles; 94°C for 0.5 min and 70°C for 2 min for five cycles; 94°C for 0.5 min, 65°C for 0.5 min, and 68°C for 2 min for 25 cycles; and 68°C for 10 min. Multiple products were obtained in the reaction initiated with primer 3RACE1, so a nested PCR was performed by using the standard PCR components along with 0.2 μM GeneRacer 3′ nested primer, 0.2 μM primer 3RACE2, and 1 μl of the 3RACE1-amplified products. The conditions for this reaction were optimized as follows: 94°C for 2 min; 94°C for 0.5 min, 65°C for 0.5 min, and 68°C for 2 min for 25 cycles; and 68°C for 10 min. Primer 3RACE4 was used to confirm that a full-length 3′ sequence was obtained after 3RACE2 products were sequenced. The reaction conditions and cycling parameters were identical to those used for primer 3RACE1.
Cloning.
Putative internal MsNramp fragments were blunt-end cloned into pSTBlue-1 by using T4 DNA ligase and were transformed into Escherichia coli strain NovaBlue competent cells for blue-white screening (Clonetech). Transformants were grown on Luria broth (LB) agar plates with kanamycin selection for plasmid uptake and X-Gal (5-bromo-4-chloro-3-indolyl-β-d-galactopyranoside)-IPTG (isopisopropyl-β-d-thiogalactopyranoside) screening for transformation. Insert-containing white colonies were amplified in LB, and their plasmids were isolated by using PERFECTprep spin columns (5′→3′, Inc.). Screening of clones was accomplished by using MsNramp-specific PCR or vector primers that yielded products of the expected insert size. RACE PCR products were cloned into pCR4-TOPO with topoisomerase I by using single deoxyadenosine residues added by Taq polymerase during amplification with a TOPO TA cloning kit (Invitrogen). Insert-containing vector molecules were transformed into E. coli TOP10, thereby disrupting the lethal gene ccdB. Insert-containing transformants were screened for insert size by performing vector-specific PCR. Transformants containing complete 5′ and 3′ inserts were amplified in LB, and plasmids were isolated with a Qiaprep Spin miniprep kit (Qiagen).
Sequencing.
MsNramp fragments were bidirectionally determined with a LiCor 4000L DNA sequencer by the dideoxy chain termination method by using a ThermoSequenase cycle sequencing kit according to the manufacturer's instructions (Amersham Biosciences). Plasmid DNA (1 to 2 μg) and 3 pmol of the fluorescent primers M13F (forward) and M13R (reverse) were used in the sequencing reaction (LI-COR Biosciences). At least 10 clones were sequenced for each fragment.
Sequence analysis.
MsNramp fragments were aligned and edited in Sequencher (version 4.1; Gene Codes Corp.). Full-length cDNA nucleotide and deduced amino acid sequences were analyzed to determine similarity to previously published sequences by using GenBank resources (http://www.ncbi.nlm.nih.gov/GenBank/index.html). Searches for similar sequences were performed by using the Basic Local Alignment Tool (BLAST) algorithms (1). Multiple-sequence alignment was performed by using ClustalX (version 1.81) (58). Potential microsatellite sequences were detected with the Tandem Repeats Finder software (version 3.21) (6), and polyadenylation signals were analyzed by using polyadq (55). The amino acid sequences of the following proteins were used in the alignment and phylogenetic analyses: Bos taurus Nramp1 (GenBank accession number U12852), C. carpio NRAMP (AJ133735), D. rerio DMT1 (AF529267), Drosophila melanogaster malvolio (U23948), Gallus gallus NRAMP1 (U40598), Homo sapiens NRAMP1 (L32185), H. sapiens NRAMP2 (NP_000608), I. punctatus NrampC (AF400108), Macaca fascicularis (AF153279), M. saxatilis MsNramp (AY008746), Mus musculus Nramp1 (AAA39838), M. musculus Nramp2 (AAC42051), O. mykiss Nrampα (AF048760), O. mykiss Nrampβ (AF048761), Ovis aries NRAMP (U70255), Pimephales promelas Nramp (AF190773), R. norvegicus DCT1 (AAC53319), T. rubripes Nrampα (AJ496549), and T. rubripes Nrampβ (AJ496550). TM were predicted by using HMMTOP (version 2.0) (60), and a motif analysis was performed by using the PROSITE reference library (34).
Phylogenetic analysis.
A phylogenetic analysis was conducted by using the MEGA software (version 2.1) (39). An optimal tree was constructed by using the pairwise distance model and neighbor joining (50). Indels were removed from the multiple-sequence alignment, and the reliability of the trees was assessed by examining 10,000 bootstrap replicates. Drosophila malvolio (48) was used as an outgroup.
Mycobacteria.
M. marinum (Virginia Institute of Marine Science strain M30) (M. W. Rhodes, I. Kaattari, S. Kotob, H. Kator, W. K. Vogelbein, E. Shotts, and S. Kaattari, Fish Health Sect. Am. Fish. Soc. Annu. Conf., abstr. Q-423, 2000) and M. shottsii (Virginia Institute of Marine Science strain M175 [= ATCC 700981]) (46) were isolated from splenic tissue of Chesapeake Bay striped bass and grown as described by Gauthier et al. (21). Briefly, mycobacteria were inoculated into Middlebrook 7H9 medium with oleate-albumin-dextrose-catalase enrichment and 0.05% polyoxyethylenesorbitan monooleate (Tween 80) and grown until the log phase (10 days). Cultures were pelleted by centrifugation at 12,000 × g for 20 min and washed once in phosphate-buffered saline (PBS) with 0.05% Tween 80 (PB). Washed cultures were resuspended in PB, vortexed vigorously with glass beads (diameter, 500 μm) for 2 min, and filtered through Whatman no. 1 paper to reduce clumping and obtain a homogeneous suspension. The absorbance at 590 nm was adjusted with PB to 0.05 (concentration, approximately 107 CFU/ml), and the preparation was diluted 10-fold prior to injection with PBS. Effluent water from the isolation facility was treated for a minimum contact time of 20 min with hypochlorite maintained at a diluted final concentration of 100 mg/liter after the fish were infected with mycobacteria.
Infection.
Immediately before introduction of striped bass into the isolation facility, fish were separated into three groups (10 fish each), anesthetized by using 100 mg of Finquel (MS-222; Argent Chemical) per liter, weighed, and inoculated intraperitoneally with 1.5 ml of a diluted mycobacterial suspension or sterile PBS. Group 1 fish received 1.5 ml of PBS; group 2 fish received 1.4 × 106 CFU of M. marinum; and group 3 fish received 0.93 × 106 CFU of M. shottsii. In order to model mycobacterial infections as they might appear in a wild population (i.e., a long-term, chronic condition with low initial doses), the mycobacterial doses were adjusted to ensure that fish received a sublethal challenge that corresponded to approximately 5,000 CFU/g. Previous work indicated that the doses used were sublethal and would establish chronic infections (21). The doses injected were calculated by plating mycobacteria on Middlebrook agar.
Sampling.
Three fish from each group were randomly selected 1, 3, and 15 days postinoculation, anesthetized with a lethal dose of Finquel (500 mg/liter), and dissected to remove tissues for measurement of MsNramp. All media and reagents used for sample preparation and storage were obtained from Sigma Chemical unless indicated otherwise. Samples (100 to 200 mg) of anterior kidney, spleen, and white muscle were removed, rinsed once in phenol-red free Hanks' balanced salt solution (HBSS), and stored in RNAlater. Samples in RNA storage buffer were kept overnight at 4°C and stored at −20°C, as recommended by the manufacturer. PE cells were isolated as described above, without the use of Freund's incomplete medium. PE cells were washed once in L-15 medium containing 2% fetal bovine serum (Invitrogen), penicillin-streptomycin, and 10 U of sodium heparin per ml and were counted with a Reichert Brightline hemacytometer. The viability as assessed by trypan blue exclusion was greater than 95% for all fish sampled. An aliquot containing 2 × 107 PM was removed for RNA extraction, washed once in HBSS, and resuspended in RNAlater. An aliquot containing 5 × 106 cells in HBSS was adhered to individual glass slides by using a cytospin (Shandon, Inc., Pittsburgh, Pa.) at 700 × g for 7 min. Cytospin slides were either fixed in methanol (10 s) and stained with Wright-Giemsa stain or fixed in 1% paraformaldehyde (10 min) and stained by the Ziehl-Neelsen acid-fast technique (41). The remaining cells were fixed in 1.5% glutaraldehyde-0.1 M sodium cacodylate-0.15 M sucrose (pH 7.2) for 1 h for electron microscopy.
Electron microscopy.
Glutaraldehyde-fixed cells were postfixed for 1 h in 1% OsO4-0.1 M sodium cacodylate. The cells were dehydrated with a graded ethanol series (10 to 100% ethanol) by using 15 min per step, with 1 h of en bloc staining with saturated uranyl acetate at the 70% ethanol step. Dehydration was followed by three 30-min incubations in 100% propylene oxide, and cells were embedded in Spurr's resin. Ultrathin sections (thickness, 90 nm) were prepared with a Reichert-Jung ultramicrotome, mounted on Formvar-coated copper grids, and stained with Reynold's lead citrate for 7 min. Stained sections were examined with a Zeiss CEM902 transmission electron microscope.
RNA extraction for induction of MsNramp in vivo.
PM were removed from RNAlater by dilution with 1 volume of HBSS and centrifugation at 4,000 × g for 5 min. Anterior kidney, spleen, and white muscle samples were removed from storage buffer, and 100-mg subsamples were taken just prior to extraction. Total RNA was isolated and evaluated as previously described. The integrity and quality of total RNA were assessed as previously described.
Real-time semiquantitative RT-PCR.
Two gene-specific primers and two gene-specific hybridization probes were used to measure PCR product formation in real time (Table 2) (63). This procedure was performed by using the Roche Molecular Biochemicals LightCycler system and the appropriate primers and hybridization probes developed by using LightCycler Probe Design software (version 1.0; Idaho Technologies, Inc). All reagents were prepared at 4°C in low light to minimize nonspecific amplification and fluorophore degradation.
TABLE 2.
Tissue-specific constitutive expression of MsNramp
| Tissue | Cp for controls (avg ± SEM)a | PCREb | Fold difference compared with white musclec |
|---|---|---|---|
| Anterior kidney | 21.01 ± 0.29 | 1.72 | 85 |
| PE cells | 23.54 ± 0.18 | 1.80 | 28 |
| Spleen | 18.90 ± 0.32 | 1.70 | 240 |
| White muscle | 29.20 ± 0.32 | 1.72 | NA |
The average crossing point (Cp) was calculated from nine control fish (three fish per time point); the crossing point is the cycle during amplification (45 total cycles) at which fluorescence rises above the background level. The values for all tissues types are significantly different (P < 0.01).
PCRE is the efficiency of the PCR for each tissue type.
The fold difference was calculated by using PCREΔCp. NA, not applicable.
The PCR mixture consisted of water, manganese acetate (final concentration, 4.25 mM), hybridization probes (each at a concentration of 0.2 μM), primers (each at a concentration of 0.5 μM), and a LightCycler RNA master hybridization probe enzyme mixture. To initiate the reaction, 500 ng of sample RNA was added to each capillary, and LightCycler cycling was begun immediately. RNA samples were quantified immediately before use by spectrophotometric detection at 260 and 280 nm, and the values were corrected for protein concentration at 320 nm. RNA sample concentrations calculated by spectrophotometry were reproducible within 5%.
RT was performed at 61°C for 20 min, and this was followed by primary denaturation of the RNA-cDNA hybrid at 95°C for 30 s. The amplification reaction consisted of 45 cycles of denaturation at 95°C for 1 s, annealing and hybridization at 54°C for 15 s, and elongation at 72°C for 11 s. Each cycle was followed by fluorescence monitoring with the LightCycler at 640 nm. Two amplification reactions were performed for each RNA sample. Data collection and preliminary analyses were conducted by using the LightCycler data analysis software (version 3.3).
Real-time RT-PCR analysis.
MsNramp expression was quantified by calculating the percent increase or decrease in transcript number in mycobacterium-infected tissues or cells compared to the transcript number in sham-injected controls. Six replicates of each of five RNA concentrations (1,000, 500, 250, 100, and 50 ng of RNA) were amplified two or three times for each tissue type, and a mean efficiency of PCR (PCRE) was calculated (Table 2). The PCRE was calculated as follows: PCRE = 10−1/slope, where 1 ≤ PCRE ≤ 2.
The slopes for anterior kidney, PM, spleen, and white muscle were measured by linear regression of the crossing points of the six replicates against the RNA concentration. The crossing point of a real-time RT-PCR is the point during amplification at which fluorescence of a sample increases above the background fluorescence. This point on the amplification curve is proportional to the amount of starting template (MsNramp) in the sample. A percent difference is then calculated as follows: percent difference = (PCREΔCp × 100) − 100 (22), where ΔCp = (control sample crossing point − experimental sample crossing point).
Statistical analysis.
To calculate crossing points and the slope for PCRE, linear regression was performed by using the LightCycler software (version 3.3). Intra- and interassay variations were analyzed by single-factor analysis of variance (α = 0.05), linear regression, Student's t test, and power analysis of the experimental system (22). Each time point sample (1, 3, and 15 days postinoculation) was analyzed by single-factor analysis of variance, and multiple comparisons were performed by using Tukey's multiple comparison (α = 0.05 and α = 0.01) in SAS (version 8.0; SAS Institute, Cary, N.C.), with Kramer's modification for unequal sample sizes where appropriate.
Nucleotide and amino acid accession number.
The M. saxatilis MsNramp nucleotide and deduced amino acid sequences have been deposited in the GenBank database under accession number AY008746.
RESULTS
MsNramp is a 3,530-bp gene encoding a 554-amino-acid protein.
M. saxatilis PE cell cDNA for MsNramp was isolated by using combinations of consensus mammal-, trout-, and striped bass-specific primers (Table 1). Internal coding region sequences were obtained by using primers NrampA and NrampB, primers NrampA and MDNMP4, and primers MDNMP1F and OmNramp1463. A total of 1,242 bp of the internal coding region was sequenced in this manner. The internal fragments were used to design primers 5RACE1, 3RACE1, 3RACE2, and 3RACE4 for use in 5′ and 3′ RACE-PCR. 5′ RACE, performed with primers 5RACE1 and the GeneRacer 5′ primer (Invitrogen), produced a 620-bp product that included a 183-bp 5′ UTR and the translation start codon at position 184. 3′ RACE fragments contained a TAG termination codon at position 1848 and a 1,682-bp 3′ UTR. Compilation and alignment of all the fragments produced by RT-PCR and RACE demonstrated that MsNramp is a 3,530-bp gene with a 1,665-nucleotide single open reading frame encoding a 554-amino-acid polypeptide (Fig. 1). There are three regions of tandem repeats in the 3′ UTR, at positions 1876 to 1890 (consensus pattern TTCCTCT), 2050 to 2071 (AATCAGAA), and 2949 to 2971 (GTGTGATAAAAT). Two prospective, atypical polyadenylation signals are present at position 3425 (nonamer) and position 3436 (hexamer) and are followed closely by a poly(dA) tail that is at least 32 nucleotides long.
FIG. 1.
Striped bass MsNramp nucleotide and MsNramp amino acid sequences (GenBank accession number AY008746). Included are the 183-bp 5′ UTR, the 1,665-bp open reading frame, and the 1,682-bp 3′ UTR. The numbers on the right indicate nucleotide and amino acid positions. The brackets indicate the ATG translation start codon (position 184) and the TAG termination codon (position 1848). Single-letter amino acid designations are located under the second nucleotide of the corresponding codons. The arrows indicate primer binding (see Table 1 and 2 for sequences). The motifs in boxes are potential microsatellite tandem repeats, the shaded areas indicate polyadenylation signals, and the double box indicates the poly(dA) tail.
Striped bass MsNramp has all the important motifs and regulatory elements of mammalian Nramp.
The deduced amino acid sequence of striped bass MsNramp shows that this protein has a minimum molecular mass of 61,157 and contains 12 putative membrane-spanning domains composed of highly hydrophobic amino acids (Fig. 2). Analysis of the protein topology predicted that the amino and carboxy termini exist below the membrane with alternating internal and external loops of hydrophilic amino acids. MsNramp contains three potential amino-linked glycosylation sites in the external loop between TM 7 and TM 8. Two potential phosphorylation sites related to protein kinase C, along with two casein kinase phosphorylation signatures, are located in the amino terminus, and a single protein kinase C site and two additional casein kinase motifs are present in the carboxy-terminal end. A single tyrosine kinase site is located between TM 6 and TM 7. Each of the potential phosphorylation sites is located within hydrophilic amino acid subsequences predicted to be intracellular. A highly conserved binding-protein-dependent transport system inner membrane component signature, a prominent feature of murine Nramp1 and the proteins encoded by members of several other iron transporter and channel gene families (13), is located in the intracellular region between TM 8 and TM 9. Unlike the C. carpio homolog (49) and other Nramp2 isoforms (31, 40) but similar to channel catfish NrampC (12), no identifiable iron-responsive regulatory-binding-protein site (IRE) consensus sequence (CNNNNNCAGUG) (9) was identified in the striped bass 3′ UTR.
FIG. 2.
ClustalX amino acid alignment of selected Nramp homologs. Abbreviations: Ms, M. saxatilis MsNramp; Tr B, T. rubripes Nrampβ; Dr, D. rerio Nramp; Cc, C. carpio Nramp; Ip, I. punctatus Nramp; Om B, O. mykiss Nrampβ; Hs 2, H. sapiens Nramp2; Mm 2, M. musculus Nramp2. Accession numbers are listed in Materials and Methods. Periods indicate amino acid identity compared to the striped bass sequence. The residues surrounded by thick lines are potential protein kinase C (PKC) phosphorylation sites, and the areas in boxes are casein kinase (CK) motifs. The polypeptides that are in double boxes and shaded are putative TM numbered consecutively. The cross-hatched area between TM 6 and TM 7 is a consensus tyrosine kinase (TK) motif, and the sequences surrounded by broken lines are amino-linked glycosylation signatures (N-gly). The consensus binding-protein-dependent transport system inner membrane component signature (transport) is indicated by white type on a black background.
Alignment and phylogenetic analysis group striped bass MsNramp with other teleost and mammalian Nramp2 proteins.
The striped bass MsNramp nucleotide and MsNramp amino acid sequences were aligned with the sequences of other vertebrate homologs (Nramp1 and Nramp2) (Fig. 2) in order to examine potentially important distinguishing characteristics. Three distinct clades were evident in the phylogenetic analysis of Nramp nucleotide and Nramp amino acid sequences. Vertebrate Nramp1 clustered in one subgroup, while all teleost sequences clustered with mammalian Nramp2 proteins. Nramp sequences of the Cyprinidae and both paralogs from rainbow trout formed a separate clade within the teleost sequences. MsNramp was phylogenetically most similar to T. rubripes Nrampβ (Fig. 3).
FIG. 3.
Phylogenetic analysis of teleost and mammalian Nramp proteins. The numbers at the nodes are bootstrap values obtained after 10,000 resampling efforts. The GenBank accession number for each taxon is indicated, and the relative genetic distances are indicated by the scale bar and the branch lengths. The Nramp1 and Nramp2 proteins form two distinct clades, and all teleost sequences group with Nramp2.
MsNramp mRNA is expressed in several tissues but at variable levels.
Anterior kidney, brain, heart, gill, female and male gonad, intestine, liver, muscle, PE, peripheral blood leukocyte, and spleen samples were positive for MsNramp mRNA transcripts as determined by qualitative RT-PCR with three primer sets for three male and female striped bass (data not shown). PCR performed with total RNA prior to cDNA generation confirmed that no genomic DNA contamination was present in the mRNA samples. For each tissue 5 μg of RNA was analyzed. Constitutive expression of MsNramp in striped bass tissues was variable, as determined by real-time semiquantitative RT-PCR. The average crossing points for the different tissue types of control striped bass demonstrated that there were large constitutive differences in MsNramp expression. Comparison of constitutive expression (Table 2) in different tissues revealed that expression of MsNramp was lowest in white muscle. The levels of expression were approximately 28-, 85-, and 240-fold higher in PE, anterior kidney, and spleen samples, respectively. Analysis of variance and Tukey's multiple-comparison test showed that each tissue type was significantly different from each of the other tissue types (P < 0.01).
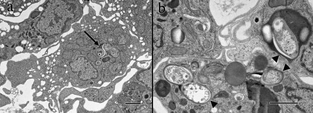
Cytology and ultrastructure confirmed that infection of PE cells occur within 1 day of injection of mycobacteria.
To confirm that striped bass exposed to Mycobacterium harbored mycobacteria intracellularly within 1 day after infection, light microscopy and transmission electron microscopy were used to examine PE cells. All infected and control fish survived to the end of the experiment (15 days), and no outward manifestations of disease were apparent. Fish inoculated with M. marinum had gross inflammation of visceral fat and mesenteries at 15 days postinfection, whereas sham-inoculated fish and M. shottsii-inoculated fish displayed no gross inflammation. Wright-Giemsa-stained cytospin preparations showed that peritoneal lavages were composed primarily of macrophages (>50%), along with various numbers of lymphocytes and thrombocytes and low numbers of granulocytes. Ziehl-Neelsen staining indicated that both M. marinum and M. shottsii were phagocytosed by PE cells within 1 day after injection. Electron microscopy revealed mycobacteria within membrane-limited phagosome macrophages (Fig. 4).
FIG. 4.
(a) M. marinum (arrow) within a striped bass macrophage. (b) M. shottsii (arrowheads) within striped bass macrophages. Mycobacteria are contained within a membrane-limited phagosome and are surrounded by electron-opaque material. The images were obtained 24 h after injection. Bars = 1 μm.
MsNramp in M. marinum-inoculated striped bass is highly induced.
A primary objective of this study was to document the induction of MsNramp in fish exposed to M. marinum and M. shottsii (Fig. 5). The expression of MsNramp in PE cells of striped bass infected with M. marinum (Fig. 5B) was 1,701.0% ± 14.02% higher than the expression in control PE cells within 1 day after injection. The levels of MsNramp in PE cells continued to be elevated after 3 and 15 days, and the levels of expression were 412.46% ± 10.00% and 623.47% ± 66.66% of the level of expression in the control, respectively. Anterior kidney (Fig. 5A) MsNramp expression in fish exposed to M. marinum did not differ significantly from control expression until 15 days, when the anterior kidney level of expression was 130.31% ± 10.58% of the level of expression in the control. No significant increases were seen in spleen or white muscle samples on any day (data not shown).
FIG. 5.
Expression of M. saxatilis MsNramp as measured by real-time RT-PCR 1, 3, and 15 days after inoculation of M. marinum or M. shottsii. (A) Anterior kidney (AK) results; (B) PE cell results. Note the difference in scale. The data are the means ± standard errors of the means of duplicate measurements for three fish per tissue per time point. One asterisk and two asterisks indicate that values are significantly different (P ≤ 0.05 and P ≤ 0.01, respectively) from the corresponding control values (uninfected group), as determined by multiple comparison with the Tukey test or the Kramer modification of Tukey's test for unequal sample sizes.
M. shottsii induces expression of MsNramp in striped bass PE cells.
PE cells of striped bass inoculated with M. shottsii expressed MsNramp at levels that were 216.47% ± 9.86%, 461.34% ± 20.79%, and 311.89% ± 21.45% of the control levels on days 1, 3, and 15, respectively (Fig. 5B). No significant induction of MsNramp was seen in anterior kidney samples (Fig. 5A) at any time after injection. The expression in the spleen was depressed at 3 days (P < 0.05) compared with the expression in day 3 controls, but by 15 days the levels of MsNramp in spleen samples were statistically similar for control and M. shottsii-inoculated fish. The results for white muscle were more variable than the results for the other tissues, although the values were much lower, and depression of MsNramp transcription was observed at day 1 (P < 0.01) (data not shown).
DISCUSSION
In this study, we examined the in vivo expression of the M. saxatilis homolog of the Nramp gene (MsNramp) during exposure to mycobacteria. We found that striped bass MsNramp transcription is significantly upregulated (17-fold) in PE cells following infection with M. marinum. M. shottsii also induced expression, although not to the degree seen with M. marinum. Induction of expression was rapid (less than 24 h) and long lasting (more than 15 days) in PE cells. The long-lasting nature of the induction may have been the result of mycobacterial replication, additional infection of previously naïve PE cells, and/or long-lasting induction within individual PE cells. Stimulation of mouse bone marrow-derived macrophages with LPS and gamma interferon has shown that there is rapid induction of Nramp1, which peaks at 12 h (3), while functional alleles of murine Nramp1 have a bacteriostatic effect on Mycobacterium avium-containing phagosomes for at least 10 days (19). In the murine model, Nramp1 is recruited to the membrane of the phagolysosome during the initial stages of mycobacterial infection (29), where it maintains the fusiogenic properties of this compartment (19). It is likely, based on the high sequence similarity between mammalian and striped bass homologs and on the pattern of induction seen for mycobacterium-infected PE cells, that striped bass uses the gene product in a similar fashion.
PE cells of fishes consist of an enriched population of highly activated phagocytes that serve as important mediators of the immune response to infection within the peritoneal cavity (16). Assuming that the elevated levels of MsNramp expression in peritoneal preparations is of macrophage origin, lower total levels of MsNramp in anterior kidney and spleen samples from fish inoculated with mycobacteria would be expected as the proportion of macrophages in these tissues is significantly lower than the proportion of PE cells. Trafficking of mycobacteria by infected PE cells may account for the late increase in MsNramp expression observed in anterior kidney samples. Previous work has shown that well-developed granulomas are not present histologically in anterior kidney samples 2 weeks after intraperitoneal injection of mycobacteria (21). In the same study the workers did observe small numbers of acid-fast mycobacteria within inflammatory foci of anterior kidney and spleen samples 2 weeks after intraperitoneal injection. Longer-term analysis of MsNramp expression may indicate that as infection occurs within the anterior kidney and spleen, differentiation and activation of resident macrophages are accompanied by upregulation of this gene.
The conserved features of MsNramp include a topology of 12 TM, N- and C-terminal phosphorylation sites, extracytoplasmic glycosylation, and the binding protein-dependent transport system inner membrane component signature. The transport signature is implicated in ATP-binding related to transport functions (2) and is found in several gene families whose members encode iron transporters and channels (13). Alternative splicing has been identified in several Nramp2 homologs, including human (40), mouse and rat (56), macaque (65), and channel catfish (12) homologs. In the mammalian Nramp studies, alternative splicing was shown to correspond to alternate C-terminal amino acids, distinctive subcellular or tissue expression, and the presence or absence of an IRE. IREs are stem-loop RNA structures often found in genes that are posttranscriptionally regulated by cellular iron concentrations, as Nramp2 (DCT1) appears to be in rats (30). Channel catfish splice variants resulted in a single, non-IRE-encoding open reading frame, irregardless of which transcript was translated. No genetic evidence for a second locus or alternative splicing was found for the striped bass homolog, and preliminary work with polyclonal antisera directed against the C-terminal 20 amino acids of channel catfish NrampC resulted in identification of a single band in striped bass but two separate bands in channel catfish (Charles Rice, Clemson University, personal communication).
In summary, isolation of important disease resistance loci and characterization of gene products are important preliminary steps toward a greater understanding of disease resistance in economically valuable finfish (17). Genes responsible for innate resistance to intracellular pathogens are likely candidates for selective breeding in aquaculture (62) and enhance our understanding of the evolution of innate immunity in vertebrates. This study demonstrated that striped bass contain a highly conserved natural resistance-associated macrophage protein, MsNramp, that has a high level of homology to mammalian Nramp2 and has all the hallmark features of the proteins encoded by the Nramp gene family described for humans (37, 38) and mice (28, 61). MsNramp is induced in vivo in PE cells within 1 day of injection of Mycobacterium spp. This is the first report of induction of an Nramp gene from fish exposed to intracellular pathogens.
Acknowledgments
We thank the staff of the laboratory of John Graves for technical assistance with sequencing, Martha Rhodes and Howard Kator for cultures of M. marinum and M. shottsii, Corinne Audemard and Seon-Sook An for LightCycler assay development, Courtney E. Harris for statistical analysis, and Stephen L. Kaattari for editorial comments and a critical review.
Editor: F. C. Fang
Footnotes
Virginia Institute of Marine Science contribution no. 2577.
REFERENCES
- 1.Altschul, S. F., W. Gish, W. Miller, E. W. Myers, and D. J. Lipman. 1990. Basic local alignment search tool. J. Mol. Biol. 215:403-410. [DOI] [PubMed] [Google Scholar]
- 2.Ames, G. F. 1986. Bacterial periplasmic transport systems: structure, mechanism, and evolution. Annu. Rev. Biochem. 55:397-425. [DOI] [PubMed] [Google Scholar]
- 3.Atkinson, P. G. P., J. M. Blackwell, and C. H. Barton. 1997. Nramp1 locus encodes a 65 kDa interferon-γ-inducible protein in murine macrophages. Biochem. J. 325:779-786. [DOI] [PMC free article] [PubMed] [Google Scholar]
- 4.Bellamy, R. 2003. Susceptibility to mycobacterial infections: the importance of host genetics. Genes Immun. 4:4-11. [DOI] [PubMed] [Google Scholar]
- 5.Belouchi, A., M. Cellier, T. Kwan, H. S. Saini, G. Leroux, and P. Gros. 1995. The macrophage-specific membrane protein Nramp controlling natural resistance to infections in mice has homologues expressed in the root system of plants. Plant Mol. Biol. 29:1181-1196. [DOI] [PubMed] [Google Scholar]
- 6.Benson, G. 1999. Tandem repeats finder: a program to analyze DNA sequences. Nucleic Acids Res. 27:573-580. [DOI] [PMC free article] [PubMed] [Google Scholar]
- 7.Blaschke, V., K. Reich, S. Blaschke, S. Zipprich, and C. Neumann. 2000. Rapid quantitation of proinflammatory and chemoattractant cytokine expression in small tissue samples and monocyte-derived dendritic cells: validation of a new real-time RT-PCR technology. J. Immunol. Methods 246:79-90. [DOI] [PubMed] [Google Scholar]
- 8.Cardinal, J. L. 2001. Mycobacteriosis in striped bass, Morone saxatilis, from Virginia waters of Chesapeake Bay. M.S. thesis. College of William and Mary, Virginia Institute of Marine Science, Gloucester Point, Va.
- 9.Casey, J. L., M. W. Hentze, D. M. Koeller, S. W. Caughman, T. A. Rouault, R. D. Klausner, and J. B. Harford. 1988. Iron-responsive elements: regulatory RNA sequences that control mRNA levels and translation. Science 240:924-928. [DOI] [PubMed] [Google Scholar]
- 10.Cellier, M., A. Belouchi, and P. Gros. 1996. Resistance to intracellular infections: comparative genomic analysis of Nramp. Trends Genet. 12:201-204. [DOI] [PubMed] [Google Scholar]
- 11.Cellier, M., G. Govoni, S. Vidal, T. Kwan, N. Groulx, J. Liu, F. Sanchez, E. Skamene, E. Schurr, and P. Gros. 1994. Human natural resistance-associated macrophage protein: cDNA cloning, chromosomal mapping, genomic organization, and tissue-specific expression. J. Exp. Med. 180:1741-1752. [DOI] [PMC free article] [PubMed] [Google Scholar]
- 12.Chen, H., G. C. Waldbieser, C. D. Rice, B. Elibol, W. R. Wolters, and L. A. Hanson. 2002. Isolation and characterization of channel catfish natural resistance associated macrophage protein gene. Dev. Comp. Immunol. 26:517-531. [DOI] [PubMed] [Google Scholar]
- 13.Dassa, E., and M. Hofnung. 1985. Sequence of gene malG in E. coli K12: homologies between integral membrane components from binding protein-dependent transport systems. EMBO J. 4:2287-2293. [DOI] [PMC free article] [PubMed] [Google Scholar]
- 14.Donovan, A., A. Brownlie, M. O. Dorschner, Y. Zhou, S. J. Pratt, B. H. Paw, R. B. Phillips, C. Thisse, B. Thisse, and L. I. Zon. 2002. The zebrafish mutant gene chardonnay (cdy) encodes divalent metal transporter 1 (DMT1). Blood 100:4655-4659. [DOI] [PubMed] [Google Scholar]
- 15.Dorschner, M. O., and R. B. Phillips. 1999. Comparative analysis of two Nramp loci from rainbow trout. DNA Cell Biol. 18:573-583. [DOI] [PubMed] [Google Scholar]
- 16.Enane, N. A., K. Frenkel, J. M. O'Connor, K. S. Squibb, and J. T. Zelikoff. 1993. Biological markers of macrophage activation: applications for fish phagocytes. Immunology 80:68-72. [PMC free article] [PubMed] [Google Scholar]
- 17.Fjalestad, K. T., T. Gjedrem, and B. Gjerde. 1993. Genetic improvement of disease resistance in fish: an overview. Aquaculture 111:65-74. [Google Scholar]
- 18.Forbes, J. R., and P. Gros. 2001. Divalent-metal transport by NRAMP proteins at the interface of host-pathogen interactions. Trends Microbiol. 9:397-403. [DOI] [PubMed] [Google Scholar]
- 19.Frehel, C., F. Canonne-Hergaux, P. Gros, and C. De Chastellier. 2002. Effect of Nramp1 on bacterial replication and on maturation of Mycobacterium avium-containing phagosomes in bone marrow-derived mouse macrophages. Cell. Microbiol. 4:541-556. [DOI] [PubMed] [Google Scholar]
- 20.Frohman, M. A., M. K. Dush, and G. R. Martin. 1988. Rapid production of full-length cDNAs from rare transcripts: amplification using a single gene-specific oligonucleotide primer. Proc. Natl. Acad. Sci. 85:8998-9002. [DOI] [PMC free article] [PubMed] [Google Scholar]
- 21.Gauthier, D. T., M. W. Rhodes, W. K. Vogelbein, H. Kator, and C. A. Ottinger. 2003. Experimental mycobacteriosis in striped bass Morone saxatilis. Dis. Aquat. Organisms 54:105-117. [DOI] [PubMed] [Google Scholar]
- 22.Gentle, A., F. Anastasopoulos, and N. A. McBrien. 2001. High-resolution semi-quantitative real-time PCR without the use of a standard curve. BioTechniques 31:502-508. [DOI] [PubMed] [Google Scholar]
- 23.Gomes, M. S., and R. Appelberg. 2002. NRAMP1- or cytokine-induced bacteriostasis of Mycobacterium avium by mouse macrophages is independent of the respiratory burst. Microbiology 148:3155-3160. [DOI] [PubMed] [Google Scholar]
- 24.Govoni, G., F. Canonne-Hergaux, C. G. Pfeifer, S. L. Marcus, S. D. Mills, D. J. Hackam, S. Grinstein, D. Malo, B. B. Finlay, and P. Gros. 1999. Functional expression of Nramp1 in vitro in the murine macrophage line RAW264.7. Infect. Immun. 67:2225-2232. [DOI] [PMC free article] [PubMed] [Google Scholar]
- 25.Govoni, G., S. Gauthier, F. Billia, N. N. Iscove, and P. Gros. 1997. Cell-specific and inducible Nramp1 gene expression in mouse macrophages in vitro and in vivo. J. Leukoc. Biol. 62:277-286. [DOI] [PubMed] [Google Scholar]
- 26.Govoni, G., S. Vidal, S. Gauthier, E. Skamene, D. Malo, and P. Gros. 1996. The Bcg/Ity/Lsh locus: genetic transfer of resistance to infections in C57BL/6J mice transgenic for Nramp1 Gly169 allele. Infect. Immun. 64:2923-2929. [DOI] [PMC free article] [PubMed] [Google Scholar]
- 27.Gros, P., E. Skamene, and A. Forget. 1981. Genetic control of natural resistance to Mycobacterium bovis (BCG) in mice. J. Immunol. 127:2417-2421. [PubMed] [Google Scholar]
- 28.Gruenheid, S., M. Cellier, S. Vidal, and P. Gros. 1995. Identification and characterization of a second mouse Nramp gene. Genomics 25:514-525. [DOI] [PubMed] [Google Scholar]
- 29.Gruenheid, S., E. Pinner, M. Desjardins, and P. Gros. 1997. Natural resistance to infection with intracellular pathogens: the Nramp1 protein is recruited to the membrane of the phagosome. J. Exp. Med. 185:717-730. [DOI] [PMC free article] [PubMed] [Google Scholar]
- 30.Gunshin, H., C. R. Allerson, M. Polycarpou-Schwarz, A. Rofts, J. T. Rogers, F. Kishi, M. W. Hentze, T. A. Rouault, N. C. Andrews, and M. A. Hediger. 2001. Iron-dependent regulation of the divalent metal ion transporter. FEBS Lett. 509:309-316. [DOI] [PubMed] [Google Scholar]
- 31.Gunshin, H., B. Mackenzie, U. V. Berger, Y. Gunshin, M. F. Romero, W. F. Boron, S. Nussberger, J. L. Gollan, and M. A. Hediger. 1997. Cloning and characterization of a mammalian proton-coupled metal-ion transporter. Nature 388:482-488. [DOI] [PubMed] [Google Scholar]
- 32.Heckert, R. A., S. Elankumaran, A. Milani, and A. Baya. 2001. Detection of a new Mycobacterium species in wild striped bass in the Chesapeake Bay. J. Clin. Microbiol. 39:710-715. [DOI] [PMC free article] [PubMed] [Google Scholar]
- 33.Hedrick, R. P., T. McDowell, and J. Groff. 1987. Mycobacteriosis in cultured striped bass from California. J. Wildl. Dis. 23:391-395. [DOI] [PubMed] [Google Scholar]
- 34.Hofmann, K., P. Bucher, L. Falquet, and A. Bairoch. 1999. The PROSITE database, its status in 1999. Nucleic Acids Res. 27:215-219. [DOI] [PMC free article] [PubMed] [Google Scholar]
- 35.Hoyt, R. E., J. E. Bryant, S. F. Glessner, F. C. Littleton, Jr., R. W. Sawyer, R. J. Newman, D. B. Nichols, A. P. Franco, Jr., and N. R. Tingle, Jr. 1989. M.marinum infections in a Chesapeake Bay community. Va. Med. 116:467-470. [PubMed] [Google Scholar]
- 36.Hu, J., N. Bumstead, D. Burke, F. A. P. D. Leon, E. Skamene, P. Gros, and D. Malo. 1995. Genetic and physical mapping of the natural resistance-associated macrophage protein 1 (NRAMP1) in chicken. Mamm. Genome 6:809-815. [DOI] [PubMed] [Google Scholar]
- 37.Kishi, F. 1994. Isolation and characterization of human Nramp cDNA. Biochem. Biophys. Res. Commun. 204:1074-1080. [DOI] [PubMed] [Google Scholar]
- 38.Kishi, F., and M. Tabuchi. 1998. Human natural resistance-associated macrophage protein 2: gene cloning and protein identification. Biochem. Biophys. Res. Commun. 251:775-783. [DOI] [PubMed] [Google Scholar]
- 39.Kumar, S., K. Tamura, I. B. Jakobsen, and M. Nei. 2001. MEGA2: molecular evolutionary genetics analysis software. Bioinformatics 17:1244-1245. [DOI] [PubMed] [Google Scholar]
- 40.Lee, P. L., T. Gelbart, C. West, C. Halloran, and E. Beutler. 1998. The human Nramp2 gene: characterization of the gene structure, alternative splicing, promoter region and polymorphisms. Blood Cells Mol. Dis. 24:199-215. [DOI] [PubMed] [Google Scholar]
- 41.Luna, L. G. (ed.). 1968. Manual of histologic staining methods of the Armed Forces Institute of Pathology, 3rd ed. McGraw-Hill, New York, N.Y.
- 42.Makui, H., E. Roig, S. T. Cole, J. D. Helmann, P. Gros, and M. F. Cellier. 2000. Identification of the Escherichia coli K-12 Nramp orthologue (MntH) as a selective divalent metal ion transporter. Mol. Microbiol. 35:1065-1078. [DOI] [PubMed] [Google Scholar]
- 43.Nigrelli, R. F., and H. Vogel. 1963. Spontaneous tuberculosis in fishes and in other cold-blooded vertebrates with special reference to Mycobacterium fortuitum Cruz from fish and human lesions. Zoologica (New York) 48:131-143. [Google Scholar]
- 44.Pinner, E., S. Gruenheid, M. Raymond, and P. Gros. 1997. Functional complementation of the yeast divalent cation transporter family SMF by NRAMP2, a member of the mammalian natural resistance-associated macrophage protein family. J. Biol. Chem. 272:28933-28938. [DOI] [PubMed] [Google Scholar]
- 45.Portnoy, M. E., X. F. Liu, and V. C. Culotta. 2000. Saccharomyces cerevisiae expresses three functionally distinct homologues of the nramp family of metal transporters. Mol. Cell. Biol. 20:7893-7902. [DOI] [PMC free article] [PubMed] [Google Scholar]
- 46.Rhodes, M. W., H. Kator, S. Kotob, P. van Berkum, I. Kaattari, W. Vogelbein, M. M. Floyd, W. R. Butler, F. D. Quinn, C. Ottinger, and E. Shotts. 2001. A unique Mycobacterium species isolated from an epizootic of striped bass (Morone saxatilis). Emerg. Infect. Dis. 7:896-899. [DOI] [PMC free article] [PubMed] [Google Scholar]
- 47.Rhodes, M. W., H. Kator, S. Kotob, P. van Berkum, I. Kaattari, W. Vogelbein, F. Quinn, M. M. Floyd, W. R. Butler, and C. A. Ottinger. 2003. Mycobacterium shottsii sp. nov., a slowly growing species isolated from Chesapeake Bay striped bass (Morone saxatilis). Int. J. Syst. E vol. Microbiol. 53:421-424. [DOI] [PubMed] [Google Scholar]
- 48.Rodrigues, V., P. Y. Cheah, K. Ray, and W. Chia. 1995. malvolio, the Drosophila homologue of mouse NRAMP-1 (Bcg), is expressed in macrophages and in the nervous system and is required for normal taste behaviour. EMBO J. 14:3007-3020. [DOI] [PMC free article] [PubMed] [Google Scholar]
- 49.Saeij, J. P. J., G. F. Wiegertjes, and R. J. M. Stet. 1999. Identification and characterization of a fish natural resistance-associated macrophage protein (NRAMP) cDNA. Immunogenetics 50:60-66. [DOI] [PubMed] [Google Scholar]
- 50.Saitou, N., and M. Nei. 1987. The neighbor-joining method: a new method for reconstructing phylogenetic trees. Mol. Biol. Evol. 4:406-425. [DOI] [PubMed] [Google Scholar]
- 51.Secombes, C. J. 1990. Isolation of salmonid macrophages and analysis of their killing activity, p. 137-154. In T. C. Fletcher, D. P. Anderson, B. S. Roberson, and W. B. van Muiswinkel (ed.), Techniques in fish immunology, vol. 1. SOS Publications, Fair Haven, N.J. [Google Scholar]
- 52.Sibthorpe, D. 2002. Molecular evolution of the solute carrier family 11 (SLC11) protein in the pufferfish, Fugu rubripes. Ph.D. thesis. University of Cambridge, Cambridge, United Kingdom.
- 53.Stordeur, P., L. F. Poulin, L. Craciun, L. Zhou, L. Schandene, A. de Lavareille, S. Goriely, and M. Goldman. 2002. Cytokine mRNA quantification by real-time PCR. J. Immunol. Methods 259:55-64. [DOI] [PubMed] [Google Scholar]
- 54.Su, M. A., C. C. Trenor III, J. C. Fleming, M. D. Fleming, and N. C. Andrews. 1998. The G185R mutation disrupts function of the iron transporter Nramp2. Blood 6:2157-2163. [PubMed] [Google Scholar]
- 55.Tabaska, J. E., and M. Q. Zhang. 1999. Detection of polyadenylation signals in human DNA sequences. Gene 231:77-86. [DOI] [PubMed] [Google Scholar]
- 56.Tabuchi, M., N. Tanaka, J. Nishida-Kitayama, H. Ohno, and F. Kishi. 2002. Alternative splicing regulates the subcellular localization of divalent metal transporter 1 isoforms. Mol. Biol. Cell 13:4371-4387. [DOI] [PMC free article] [PubMed] [Google Scholar]
- 57.The C. elegans Sequencing Consortium. 1998. Genome sequence of the nematode C. elegans: a platform for investigating biology. Science 282:2012-2018. [DOI] [PubMed] [Google Scholar]
- 58.Thompson, J. D., D. G. Higgins, and T. J. Gibson. 1997. The ClustalX Windows interface: flexible strategies for multiple sequence alignment aided by quality analysis tools. Nucleic Acids Res. 22:4673-4680. [DOI] [PMC free article] [PubMed] [Google Scholar]
- 59.Torres, M. J., A. Criado, J. C. Palomares, and J. Aznar. 2000. Use of real-time PCR and fluorimetry for rapid detection of rifampin and isoniazid resistance-associated mutations in Mycobacterium tuberculosis. J. Clin. Microbiol. 38:3194-3199. [DOI] [PMC free article] [PubMed] [Google Scholar]
- 60.Tusnady, G. E., and I. Simon. 2001. The HMMTOP transmembrane topology prediction server. Bioinformatics 17:849-850. [DOI] [PubMed] [Google Scholar]
- 61.Vidal, S. M., D. Malo, K. Vogan, E. Skamene, and P. Gros. 1993. Natural resistance to infection with intracellular parasites: isolation of a candidate for Bcg. Cell 73:469-485. [DOI] [PubMed] [Google Scholar]
- 62.Wiegertjes, G. F., R. J. M. Stet, H. K. Parmentier, and W. B. van Muiswinkel. 1996. Immunogenetics of disease resistance in fish: a comparative approach. Dev. Comp. Immunol. 20:365-381. [DOI] [PubMed] [Google Scholar]
- 63.Wittwer, C. T., M. G. Herrmann, A. A. Moss, and R. P. Rasmussen. 1997. Continuous fluorescence monitoring of rapid cycle DNA amplification. BioTechniques 22:130-131, 134-138. [DOI] [PubMed] [Google Scholar]
- 64.Zeligman, I. 1972. Mycobacterium marinum granuloma. A disease acquired in the tributaries of Chesapeake Bay. Arch. Dermatol. 106:26-31. [DOI] [PubMed] [Google Scholar]
- 65.Zhang, L., T. Lee, Y. Wang, and T. W. Soong. 2000. Heterologous expression, functional characterization and localization of two isoforms of the monkey iron transporter Nramp2. Biochem. J. 349:289-297. [DOI] [PMC free article] [PubMed] [Google Scholar]





