Abstract
A novel procedure for the detection of specific DNA sequences has been developed. This procedure is based on the already known method employing PCR with appropriate primers and a sequence-specific DNA probe labeled with the fluorescent agent 6-carboxylfluorescein (FAM) at the 5′ end and the fluorescence quencher BHQ-1 (black hole quencher) at the 3′ end. However, instead of the detection of the fluorescence signal with the use of real-time PCR cyclers, fluorescence/luminescence spectrometers or fluorescence polarization readers, as in all previously-reported procedures, we propose visual observation of the fluorescence under UV light directly in the reaction tube. An example for the specific detection of the Shiga toxin-producing Escherichia coli (STEC) strains, by detecting Shiga toxin genes, is demonstrated. This method appears to be specific, simple, rapid and cost effective. It may be suitable for use in research laboratories, as well as in diagnostic units of medical institutions, even those equipped only with a thermocycler and a UV transilluminator, particularly if rapid identification of a pathogen is required.
Keywords: DNA amplification, detection methods, PCR product detection, shiga toxin-producing Escherichia coli, stx genes
1. Introduction
Polymerase chain reaction (PCR) is widely used in both basic research and biotechnological or medical applications, to such an extent that it is considered a very common technique for most genetic analyses. Although the reaction conditions can be optimized to get the best specificity and efficiency, the detection of specific PCR products is perhaps the most rate-limiting step in the vast majority of PCR-based techniques. A number of methods for the detection of such products has been proposed and reported; among them, gel electrophoresis and various hybridization procedures (e.g., dot-blot, Southern blot, reverse hybridization, DNA enzyme immunoassay, etc.) predominate [1,2,3,4,5,6,7,8,9]. A wide range of commercialized diagnostic methods is based on a combination of PCR and gel electrophoresis. The main disadvantage of such a combination is the lack of the possibility to distinguish between specific and non-specific amplification products; thus, many laboratories use additional techniques to confirm the specificity of the amplified PCR product [10,11]. Despite the fact that different methods could improve the sensitivity or specificity of the detection, such procedures, which are performed after the DNA amplification reaction, are time consuming, and usually require specialized and expensive equipment [12,13,14,15]. This could be a significant problem, particularly if rapid detection of a specific signal is crucial and the availability of sophisticated equipment is problematic, like in the case of diagnostic procedures performed at local (small) medical laboratories. Therefore, we aimed to develop a simple and rapid procedure for the detection of specific PCR products, which could be used even at a basically-equipped laboratory.
One of the previousy described methods for the detection of the presence of certain DNA sequences is based on the PCR reaction with appropriate primers and specific probes labeled with the fluorescent agent 6-carboxylfluorescein (FAM) at the 5′ end and the fluorescence quencher BHQ-1 (black hole quencher) at the 3′ end. FAM is a fluorescein derivative with an excitation peak at 492 nm and an emission peak at 517 nm [16,17,18,19]. According to this method, fluorescence may appear only if the probe hybridizes to the target DNA region and is subsequently degraded by the Taq DNA polymerase extending a specific primer designed to amplify a DNA fragment that includes the probe binding site. In such a case, FAM is no longer located in the proximity of BHQ-1; thus, its fluorescence is not quenched, and light might be emitted after excitation at the appropriate wavelength [16,18,19] (Figure 1A). However, in previously-reported procedures employing this phenomenon, the fluorescence emitted by FAM was detected using light excitation sources of a wavelength in the range of the visible spectrum, near the excitation maximum of FAM (~492 nm), such as lasers and diodes in real-time PCR cyclers, fluorescence/luminescence spectrometers or fluorescence polarization readers [18,20,21], which made them relatively expensive. Thus, we asked if it is possible to simplify the detection procedure, to make it inexpensive and rapid, while still keeping its sensitivity at an acceptable level. We would like to propose a different detection manner of fluorescence emitted by FAM, released from the BHQ-1 influence, based on the excitation with light outside the visible range, i.e., ultraviolet light, directly in the reaction tube (Figure 1B). The modification we aimed to introduce allows confirmation of the presence of the target DNA, amplified during PCR reaction in the test tube, without the need of running agarose gel electrophoresis. Such a method would be particularly desirable in detection of pathogenic microorganisms, especially those requiring rapid diagnostic methods.
Figure 1.
(A) A scheme for the procedure of the detection of specific DNA sequences reported in this work. The procedure is based on the already known method employing PCR with DNA polymerase (designated as P), appropriate primers and a sequence-specific DNA probe labeled with the fluorescent agent FAM (designated as F) at the 5′ end and the fluorescence quencher BHQ-1 (black hole quencher; designated as Q) at the 3′ end. (B) Visual observation of the fluorescence under UV light at 302 nm directly in the reaction tube is proposed, instead of detection of the fluorescence signal with the use of real-time PCR cyclers, fluorescence/luminescence spectrometers or fluorescence polarization readers and as an alternative to the gel electrophoresis technique. PCR reactions with (+) and without (−) targeted pathogenic DNA were analyzed.
Among the pathogenic microorganisms requiring rapid detection are Shiga toxin-producing Escherichia coli (STEC), also called verotoxic E. coli, and thus, we decided to use these bacteria in testing the new procedure. STEC is comprised of a group of bacterial strains belonging to the usually non-pathogenic species (E. coli), which have gained genes turning them into serious pathogens [22]. The best known examples are genes encoding Shiga toxins (stx), located on lambdoid prophages called Shiga toxin-converting (abbreviated Stx) prophages, which are responsible for their transmission between E. coli species [23]. People infected with STEC bacteria may have some serious symptoms, which are especially severe in the case of a subset of STEC, called enterohemorrhagic E. coli (EHEC). These symptoms include bloody diarrhea, which can progress to hemorrhagic colitis or hemolytic uremic syndrome [24]. Importantly, treatment of patients infected with STEC is often problematic, as many antibiotics stimulate the induction of the Shiga toxin-converting prophages, the event that is necessary for the efficient expression of Shiga toxin genes, thus enhancing the severity of the disease symptoms [25]. The importance of STEC-dependent health problems can be highlighted by the results of the recent outbreak that occurred in Germany in 2011, when out of over 4000 cases of symptomatic infections, over 50 patients died [26,27,28,29].
Since treatment of patients infected with STEC should be considerably different from that recommended in the case of other infectious diseases, it was stressed that proper and rapid identification of the pathogen is crucial when production of Shiga toxin is suspected [30]. This implies that rapid diagnostic procedures are required. However, contrary to early predictions, serological tests are not adequate for STEC detection, as Shiga toxins can be produced by various E. coli serotypes [23]. Therefore, DNA-based methods appear to be mandatory for unequivocal identification of STEC. Nevertheless, although different sophisticated methods for highly precise and even quantitative determination of the presence of these bacteria have become available, as summarized recently [30], the vast majority of them are either time consuming, or expensive, or both. Therefore, such methods may be excellent for more detailed analyses, but perhaps unavailable or even useless for rapid detection of STEC infections in small laboratories, like those located in many provincial hospitals. Hence, we assumed that the development of a simple, specific and quick method for rapid detection of STEC may be an example of the potential usefulness of the novel procedure described in this report.
2. Results and Discussion
The specific PCR amplification of fragments of genes encoding Shiga toxins 1 and 2, in the presence of probes labeled with the fluorescent agent FAM and the fluorescence quencher BHQ-1, was performed according to a previously published method [16,17]. In the procedure described in this report, we propose to detect the specific fluorescent signal by a simple observation of the reaction tube over a UV transilluminator (Figure 1B). We found that detection of such a signal is unequivocal, and the signal is specific. When 20 different E. coli strains (Table 1) were investigated, the fluorescence occurred only when genomes of the tested bacteria contained the target gene(s) (either stx1, or stx2, or both). We observed 100% compatibility between results obtained by the proposed method and results presented in Table 1, obtained by methods determined as “gold standards”. Figure 2 shows examples of these experiments, with controls, including analyses of PCR products by agarose gel electrophoresis and the results of measurement of the fluorescence signal generated at 485/535 nm, during each PCR reaction. The fluorescence light, emitted in response to UV exposure, was compatible with the agarose gel band patterns and measurements of the fluorescence signal in a plate reader. As described previously [31], the FAM-BHQ-labelled probe, which is not degraded during the PCR reaction (because of the lack of the target DNA), exhibits some level of background fluorescence. In negative controls, the background fluorescence comes from the unhybridized probe itself and is typical for such linear probes because of the relatively long distance between the fluorescence reporter and quencher, which results in inefficient quenching. The level of the background fluorescence can be detected by sensitive fluorescence detectors, like real-time PCR cyclers or plate readers, as in this particular case (Figure 2A, Row IV, Columns 1, 3, 9, 11, 12 and Figure 2B, Row IV, Columns 5, 11, 12). Interestingly, as indicated in Figure 2 (A and B, Row I), in the proposed method, the level of the background fluorescence is low enough and not visible during the observation of the tubes under UV light.
Table 1.
Escherichia coli strains.
| No. | Strain | Serotype | Stx1 Status | Stx2 Status |
|---|---|---|---|---|
| 1 | 286/00 | O157 | − | + |
| 2 | 44/02 | O157 | + | + |
| 3 | 174/03 | O157 | − | + |
| 4 | 49/04 | O157 | + | + |
| 5 | 365/05 | O157 | + | + |
| 6 | 206/06 | O157 | + | + |
| 7 | 443/07 | O157 | + | + |
| 8 | 474/07 | O157 | + | + |
| 9 | 9/08 | O157 | − | + |
| 10 | 221/08 | O157 | + | + |
| 11 | 371/08 | O157 | − | + |
| 12 | 171/09 | O157 | − | + |
| 13 | 74/10 | O157 | − | + |
| 14 | 245/10 | O111 | − | + |
| 15 | 251/10 | O157 | + | + |
| 16 | 201/01 | O26 | − | + |
| 17 | 319/01 | O26 | + | − |
| 18 | 571 | O157 | + | + |
| 19 | EDL933W | O157 | + | + |
| 20 | MG1655 | K12 | − | − |
Figure 2.
The analysis of Shiga toxin-producing Escherichia coli (STEC) strains: 286/00 (stx1− stx2+) (Lanes 1–2), 201/01 (stx1− stx2+) (Lanes 3–4), 319/01 (stx1+ stx2−) (Lanes 5–6), 44/02 (stx1+ stx2+) (Lanes 7–8) and 174/03 (stx1− stx2+) (Lanes 9–10) for the presence of the gene encoding (A) Shiga toxin 1 and (B) Shiga toxin 2, using PCR with a FAM- and BHQ-1-labelled probe (+) or without such a probe (−). Detection of the signal from the tox1probe or tox2probe, complementary to the gene encoding Shiga toxin 1 or Shiga toxin 2, respectively, was performed using: (I) the gel documentation system Gel Doc XR, Bio-Rad; (II) analysis of PCR products by agarose gel electrophoresis; (III) a UV transilluminator; or (IV) measurement of the fluorescence signal at 485/535 nm (means of three experiments ± SD) in a plate reader. The control reaction performed without the DNA template (Lane 11) and the reaction performed with genomic DNA of the E. coli MG1655 strain, which does not contain genes coding for Shiga toxins 1 and 2 (Lane 12), are also shown.
Due to the fact that phages bearing stx1 and stx2 genes can be transmitted to previously non-pathogenic E. coli bacteria [32,33], which naturally occur in the human gut, the detection of these genes might be difficult and give false positive results, as nonspecifically-primed reactions may occur [34,35]. Keeping this in mind, we decided to check how the proposed method works in a situation with increased risk of nonspecific primer binding. For that, we used DNA isolated from an EDL933W strain that is stx-positive (+) and DNA from an stx-negative (−) E. coli K12 MG1655 strain as the representative of non-pathogenic bacteria. DNA was used in different amounts: 1, 10 and 100 pg, prepared as ten-fold dilutions of 1 ng of genomic DNA, which corresponds to 168, 1680 and 16,800 CFU, respectively. Additionally, we increased the number of PCR cycles to 40, as excessive cycling increases the opportunity for nonspecific amplification [36,37]. As expected, analysis of PCR products by agarose gel electrophoresis allowed us to identify smeared and nonspecific bands, especially occurring in the case of stx2 detection (Figure 3). Note that the similar problem with nonspecific binding during PCR-based detection of the stx2 gene was also described previously by Fagan and collaborators [34]. Importantly, even in the case of the appearance of nonspecific PCR products (which is likely to occur during testing of previously unknown, natural isolates of bacteria), the fluorescence is not detected over a UV transilluminator, contrary to the presence of DNA bands and smears on an electropherogram (Figure 3). Post-PCR visual observation of the fluorescence directly in the tube that we propose here allows avoidance of false positive results in dubious situations when a nonspecific PCR product is similar in size to that of a target amplicon (Figure 3, Lane 12). The specificity of the presented method is increased in comparison to conventional PCR because of the probe, which requires an additional complementary region within the template DNA. This may indicate that interpretation of the results of the test performed according to the proposed procedure is easier than that of the traditional PCR-based assay, and thus, our method is more specific, while, as indicated in Figure 3, its sensitivity is at a similar level, equal to 10 pg for both genes.
Figure 3.
The analysis of STEC stx-positive strain (+) EDL933W and the stx-negative (−) strain MG1655 of E. coli K12 bacteria for the presence of the genes encoding Shiga toxins 1 and 2 and the occurrence of nonspecific PCR products using PCR with a FAM- and BHQ-1-labelled probe. Detection of the signal from the tox1probe (A) or tox2probe (B), complementary to the genes encoding Shiga toxin 1 or Shiga toxin 2, respectively, was performed by analysis of PCR products by agarose gel electrophoresis and using a UV transilluminator. Black arrows indicate the size of the target PCR products: 196 bp for stx1 and 211 bp for stx2.
The total time required for the procedure proposed in this report is as short as 1.5 h, including genomic DNA isolation and PCR amplification with simultaneous annealing and extension steps (see the Experimental Section for details). As the detection method is based on a simple PCR reaction, the only special equipment necessary to follow it consists of a thermocycler and a UV transilluminator, which are usually available in most laboratories (including those located in provincial hospitals), so it can be easily applied for a rapid, preliminary detection of not only STEC bacteria, but also other pathogens. Following this, we found that this procedure may be used in the detection of tick-transmitted bacteria. We performed a PCR amplification with primers and a probe that are complementary to the sequence encoding 16S rRNA of Bartonella henselae under the same conditions as those used for the detection of stx genes (Figure 4, Lane 3). Again, a signal was detected only in the presence of B. henselae DNA, indicating the specificity of the assay (Figure 4).
Figure 4.

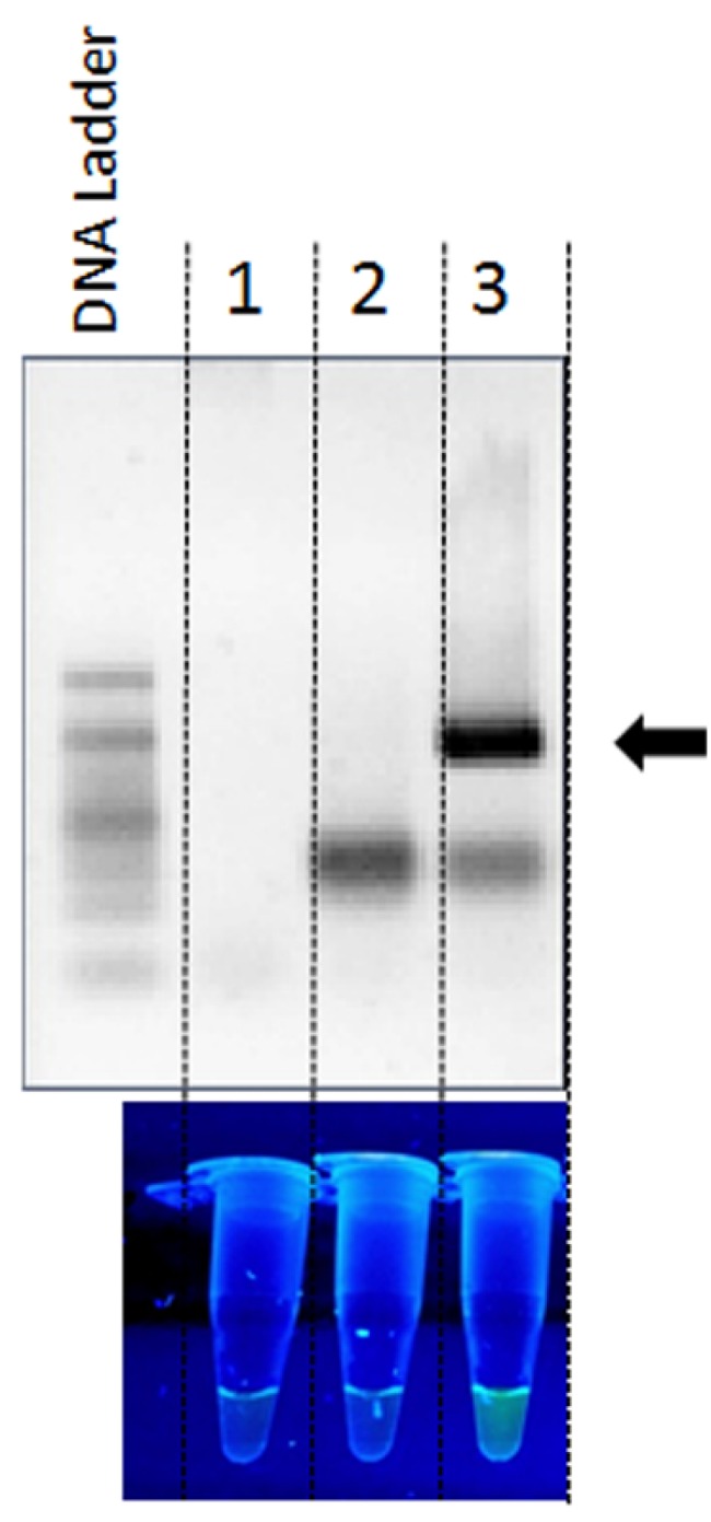
Analysis of the DNA from Bartonella henselae strain Houston-1 for the presence of the sequence encoding 16S rRNA, using PCR amplification with a FAM- and BHQ-1-labelled probe. Detection of the signal from the 16SrRNABhprobe complementary to the gene encoding 16S rRNA was performed by analysis of PCR products by agarose gel electrophoresis and using a UV transilluminator. The control reactions were performed without the primers (Lane 1) or DNA template (Lane 2). The target PCR product size of 180 bp is indicated by the black arrow (Lane 3).
As described previously [38,39], non-specificity is a serious problem of PCR-based detection of 16S rRNA sequences of bacteria that are transmitted by ticks. Massung and Slater [38] indicated that one of the PCR based-assays they evaluated, designed for the detection of the 16S rRNA gene of Anaplasma phagocytophilum, the human granulocytic ehrlichiosis (HGE) agent, may also amplify 16S rRNA of other tick bacteria: Rickettsia rickettsii and Bartonella henselae, the non-HGE agents. Similarly to the difficulties described above with false positive detection of STEC infections, such a scenario may result in a false diagnosis of HGE infection and an inappropriate medical treatment in both situations. Hence, there is a need to improve the specificity of PCR-based detection assays, and we believe that our method (as an alternative to standard PCR or its supplementation) could be a solution to this problem.
In summary, we propose a simple, rapid and inexpensive procedure for the detection of a specific fluorescence signal after the PCR reaction with primers designed for amplification of a particular DNA fragment. As examples for its usefulness, we have demonstrated that this method is suitable for identification of the presence of STEC and B. henselae.
3. Experimental Section
3.1. Bacterial Strains
Escherichia coli strains were obtained from the collections of the National Institute of Public Health-National Institute of Hygiene (Warsaw, Poland) and the Department of Molecular Biology of the University of Gdańsk (Poland). The characteristics of all strains are provided in Table 1. STEC strains were identified by using the commonly-accepted methods (“gold standards”), i.e., by employing a commercially-available cytotoxicity test on the Vero cell line [40] or the commercially-available test for the detection of verotoxigenic E. coli based on the reversed passive latex agglutination technique VTEC-RPLA assay (Oxoid Ltd., Basingstoke, UK), as described previously [41]. Additionally, the results were confirmed by a PCR-based method [42,43].
3.2. DNA Amplification and Detection of Signals Specific for Particular DNA Sequences
Genomic DNA from bacterial strains was isolated either by a boiling method [44] or in accordance to a method described previously [45]. Genomic DNA from Bartonella henselae strain Houston-1 (No 49882D-5) was provided by American Type Culture Collection ATCC (Manassas, VA, USA. DNA concentration was determined using a NanoDrop 1000 purchased from Thermo Fisher Scientific (Waltham, MA, USA). CFU values were established on the basis of genome copy numbers, which were calculated using a program available at the website: http://cels.uri.edu/gsc/cndna.html.
Primers used in PCR reactions were as follows: tox1F (5′-GAC GAT ACC TTT ACA GTT AAA GTG GGT-3′) and tox1R (5′-TCT CCG CCT GCT ATT TTC ACT-3′) for stx1 (coding for Shiga toxin 1), tox2F (5′-TTC CAA GTA TAA TGA GGA TGA CAC A-3′) and tox2R (5′-CCC ACA TAC CAC GAA TCA GGT-3’) for stx2 (coding for Shiga toxin 2), 16SrRNABhF (5′-CGT CAG TAA TGG ACC AGT GAG CC-3′) and 16SrRNABhR (5′-GCA TGT AGG ATA TTT AAG TCA GAG-3′). The length of reaction products was 196 and 211 bp, for stx1 and stx2, respectively, and 180 bp for 16S rRNA. The probes, added to PCR reactions at a concentration of 150 nM, were labeled at the 5′ end with the fluorescent agent FAM (6-carboxylfluorescein) and at the 3′ end with the fluorescence quencher BHQ-1. The nucleotide sequences of the probes were as follows: tox1probe (for stx1) 5′-(FAM)-AAT CTT CAG TCT CTT CTT CTC AGT GCG CAA AT-(BHQ-1)-3′; tox2probe (for stx2) 5′-(FAM)-AAT CTG CAA CCG TTA CTG CAA AGT GCT CA-(BHQ-1)-3′; and 16SrRNABhprobe (for 16S rRNA of Bartonella henselae) 5′-(FAM)-TAC CTC TAC ACT CAG AAT TCC ACT CAC CTC TTC CA-(BHQ-1)-3′. The sequences of these probes were designed in this study, and the modified probes were purchased from Oligo.pl (Warsaw, Poland) and Sigma Aldrich (St. Louis, MO, USA).
The PCR reactions were performed with the use of Taq polymerase, employing the DFS-Taq DNA Polymerase kit (BIORON GmbH, Ludwigshafen, Germany) and dNTPs (Thermo Fisher Scientific, Waltham, MA, USA), under conditions recommended by the manufacturers and using the following program: 2 min initial denaturation at 95 °C, followed by 28 (or 40 in the experiment from Figure 3) cycles of denaturation for 15 s and simultaneous annealing and extension for 1 min at 60 °C. In the presence of stx1 or stx2 in the genome of E. coli strain being tested or the 16S rRNA sequence in the genomic DNA of Bartonella henselae, fluorescence appeared upon completion of the PCR reaction. This fluorescence was observed in a dark room over a UV transilluminator (Vilber Lourmat, Marne-la-Vallѐe, France), and photos were taken using a Panasonic Lumix DMC-FX60 digital camera (Panasonic, Osaka, Japan). Measurements of the fluorescence signal at 485/535 nm were performed using a VIKTOR 1420 plate reader (Perkin Elmer, Waltham, MA, USA). PCR amplification products were separated via 2% agarose (Prona, Spain) gel electrophoresis, performed at 100 V and visualized after staining with ethidium bromide (Sigma Aldrich, St. Louis, MO, USA), using the Gel Doc XR gel documentation system (Bio-Rad Laboratories, Hercules, CA, USA).
4. Conclusions
A new, specific, rapid and inexpensive procedure for the identification of bacteria carrying pathogenic genes has been developed. This method is based on the detection of the fluorescent signal under UV light, directly in the reaction tube.
Acknowledgments
This work was supported by The National Centre for Research and Development, the LIDER Programme (Grant No. LIDER/21/92/L-3/11/NCBR/2012) and the Foundation for Polish Science Ventures Programme co-financed by the EU European Regional Development Fund (Grant No. Ventures/2009-3/6). The new procedure for the detection of Shiga toxin genes described in this report achieved patent protection (No. PL218839 B1) granted by the Polish Patent Office.
Author Contributions
Bożena Nejman-Faleńczyk has contributed to the conception and the design of the study, participated in the performance of all of the experiments, analyzed and interpreted the results, was a principal investigator in the project grants and has been involved in the preparation of the manuscript. Sylwia Bloch participated in the performance of the experiments whose results are presented in Figure 3, analyzed the output data and has been involved in the preparation of the manuscript. Aleksandra Januszkiewicz collected and identified the STEC strains and carried out the isolation of their DNA. Alicja Węgrzyn and Grzegorz Węgrzyn supervised the study and participated in its design, have been involved in drafting the manuscript and have given final approval of the manuscript.
Conflicts of Interest
The authors declare no conflict of interest.
References
- 1.Armua-Fernandez M.T., Nonaka N., Sakurai T., Nakamura S., Gottstein B., Deplazes P., Phiri I.G., Katakura K., Oku Y. Development of PCR/dot blot assay for specific detection and differentiation of taeniid cestode eggs in canids. Parasitol. Int. 2011;60:84–89. doi: 10.1016/j.parint.2010.11.005. [DOI] [PubMed] [Google Scholar]
- 2.Curry E., Pratt S.L., Kelley D.E., Lapin D.R., Gibbons J.R. Use of a Combined Duplex PCR/Dot Blot Assay for more sensitive genetic characterization. Biochem. Insights. 2008;1:35–39. [Google Scholar]
- 3.Boerner B., Weigelt W., Buhk H.J., Castrucci G., Ludwig H. A sensitive and specific PCR/Southern blot assay for detection of bovine herpesvirus 4 in calves infected experimentally. J. Virol. Methods. 1999;83:169–180. doi: 10.1016/S0166-0934(99)00117-2. [DOI] [PubMed] [Google Scholar]
- 4.Ryschkewitsch C., Jensen P., Hou J., Fahle G., Fischer S., Major E.O. Comparison of PCR-southern hybridization and quantitative real-time PCR for the detection of JC and BK viral nucleotide sequences in urine and cerebrospinal fluid. J. Virol. Methods. 2004;121:217–221. doi: 10.1016/j.jviromet.2004.06.021. [DOI] [PubMed] [Google Scholar]
- 5.Hsu Y.C., Yeh T.J., Chang Y.C. A new combination of RT-PCR and reverse dot blot hybridization for rapid detection and identification of potyviruses. J. Virol. Methods. 2005;128:54–60. doi: 10.1016/j.jviromet.2005.04.002. [DOI] [PubMed] [Google Scholar]
- 6.Kong F., Gilbert G.L. Multiplex PCR-based reverse line blot hybridization assay (mPCR/RLB)—a practical epidemiological and diagnostic tool. Nat. Protoc. 2007;1:2668–2680. doi: 10.1038/nprot.2006.404. [DOI] [PubMed] [Google Scholar]
- 7.Jantos C.A., Roggendorf R., Wuppermann F.N., Hegemann J.H. Rapid detection of Chlamydia pneumoniae by PCR-enzyme immunoassay. J. Clin. Microbiol. 1998;36:1890–1894. doi: 10.1128/jcm.36.7.1890-1894.1998. [DOI] [PMC free article] [PubMed] [Google Scholar]
- 8.Mantero G., Zonaro A., Albertini A., Bertolo P., Primi D. DNA enzyme immunoassay: General method for detecting products of polymerase chain reaction. Clin. Chem. 1991;37:422–429. [PubMed] [Google Scholar]
- 9.Osawa Y., Ikebukuro K., Motoki H., Matsuo T., Horiuchi M., Sode K. The simple and rapid detection of specific PCR products from bacterial genomes using Zn finger proteins. Nucleic Acids Res. 2008;36:e68. doi: 10.1093/nar/gkn274. [DOI] [PMC free article] [PubMed] [Google Scholar]
- 10.Bartlett J.M.S., Stirling D. Methods in Molecular Biology: PCR Protocols. 2nd ed. Humana Press; New York, NY, USA: 2003. [Google Scholar]
- 11.Findlay J.B., Atwood S.M., Bergmeyer L., Chemelli J., Christy K., Cummins T., Donish W., Ekeze T., Falvo J., Patterson D. Automated closed-vessel system for in vitro diagnostics based on polymerase chain reaction. Clin. Chem. 1993;39:1927–1933. [PubMed] [Google Scholar]
- 12.Kai E., Ikebukuro K., Hoshina S., Watanabe H., Karube I. Detection of PCR products of Escherichia coli O157:H7 in human stool samples using surface plasmon resonance (SPR) FEMS Immunol. Med. Microbiol. 2000;29:283–288. doi: 10.1111/j.1574-695X.2000.tb01535.x. [DOI] [PubMed] [Google Scholar]
- 13.Hsu T.M., Law S.M., Duan S., Neri B.P., Kwok P.Y. Genotyping single-nucleotide polymorphisms by the invader assay with dual-color fluorescence polarization detection. Clin. Chem. 2001;47:1373–1377. [PubMed] [Google Scholar]
- 14.Espy M.J., Uhl J.R., Sloan L.M., Buckwalter S.P., Jones M.F., Vetter E.A., Yao J.D., Wengenack N.L., Rosenblatt J.E., Cockerill F.R., et al. Real-time PCR in clinical microbiology: Applications for routine laboratory testing. Clin. Microbiol. Rev. 2006;19:165–256. doi: 10.1128/CMR.19.1.165-256.2006. [DOI] [PMC free article] [PubMed] [Google Scholar]
- 15.Park S., Zhang Y., Lin S., Wang T.H., Yang S. Advances in microfluidic PCR for point-of-care infectious disease diagnostics. Biotechnol. Adv. 2011;29:830–839. doi: 10.1016/j.biotechadv.2011.06.017. [DOI] [PMC free article] [PubMed] [Google Scholar]
- 16.Livak K.J., Flood S.J., Marmaro J., Giusti W., Deetz K. Oligonucleotides with fluorescent dyes at opposite ends provide a quenched probe system useful for detecting PCR product and nucleic acid hybridization. PCR Methods Appl. 1995;4:357–362. doi: 10.1101/gr.4.6.357. [DOI] [PubMed] [Google Scholar]
- 17.Heller L.C., Davis C.R., Peak K.K., Wingfield D., Cannons A.C., Amuso P.T., Cattani J. Comparison of methods for DNA isolation from food samples for detection of Shiga toxin-producing Escherichia coli by real-time PCR. Appl. Environ. Microbiol. 2003;69:1844–1846. doi: 10.1128/AEM.69.3.1844-1846.2003. [DOI] [PMC free article] [PubMed] [Google Scholar]
- 18.Bustin S.A. Absolute quantification of mRNA using real-time reverse transcription polymerase chain reaction assays. J. Mol. Endocrinol. 2000;25:169–193. doi: 10.1677/jme.0.0250169. [DOI] [PubMed] [Google Scholar]
- 19.Didenko V.V. DNA probes using fluorescence resonance energy transfer (FRET): Designs and applications. Biotechniques. 2001;31:1106–1121. doi: 10.2144/01315rv02. [DOI] [PMC free article] [PubMed] [Google Scholar]
- 20.Gelmini S., Orlando C., Sestini R., Vona G., Pinzani P., Ruocco L., Pazzagli M. Quantitative polymerase chain reaction-based homogeneous assay with fluorogenic probes to measure c-erbB-2 oncogene amplification. Clin. Chem. 1997;43:752–758. [PubMed] [Google Scholar]
- 21.Latif S., Bauer-Sardina I., Ranade K., Livak K.J., Kwok P.Y. Fluorescence polarization in homogeneous nucleic acid analysis II: 5′-nuclease assay. Genome Res. 2001;11:436–440. doi: 10.1101/gr.156601. [DOI] [PMC free article] [PubMed] [Google Scholar]
- 22.Hunt J.M. Shiga toxin-producing Escherichia coli (STEC) Clin. Lab. Med. 2010;30:21–45. doi: 10.1016/j.cll.2009.11.001. [DOI] [PMC free article] [PubMed] [Google Scholar]
- 23.Bloch S.K., Felczykowska A., Nejman-Faleńczyk B. Escherichia coli O104:H4 outbreak-have we learnt a lesson from it? Acta. Biochim. Pol. 2012;59:483–488. [PubMed] [Google Scholar]
- 24.Gyles C.L. Shiga toxin-producing Escherichia coli: An overview. J. Anim. Sci. 2007;85:45–62. doi: 10.2527/jas.2006-508. [DOI] [PubMed] [Google Scholar]
- 25.Serna A., Boedeker E.C. Pathogenesis and treatment of Shiga toxin-producing Escherichia coli infections. Curr. Opin. Gastroenterol. 2008;24:38–47. doi: 10.1097/MOG.0b013e3282f2dfb8. [DOI] [PubMed] [Google Scholar]
- 26.Mellmann A., Harmsen D., Cummings C.A., Zentz E.B., Leopold S.R., Rico A., Prior K., Szczepanowski R., Ji Y., Zhang W., et al. Prospective genomic characterization of the German enterohemorrhagic Escherichia coli O104:H4 outbreak by rapid next generation sequencing technology. PLoS ONE. 2011;6:e22751. doi: 10.1371/journal.pone.0022751. [DOI] [PMC free article] [PubMed] [Google Scholar]
- 27.Beutin L., Martin A. Outbreak of Shiga toxin-producing Escherichia coli (STEC) O104:H4 infection in Germany causes a paradigm shift with regard to human pathogenicity of STEC strains. J. Food Prot. 2012;75:408–418. doi: 10.4315/0362-028X.JFP-11-452. [DOI] [PubMed] [Google Scholar]
- 28.Karch H., Denamur E., Dobrindt U., Finlay B.B., Hengge R., Johannes L., Ron E.Z., Tønjum T., Sansonetti P.J., Vicente M. The enemy within us: Lessons from the 2011 European Escherichia coli O104:H4 outbreak. EMBO Mol. Med. 2012;4:841–848. doi: 10.1002/emmm.201201662. [DOI] [PMC free article] [PubMed] [Google Scholar]
- 29.Werber D., Krause G., Frank C., Fruth A., Flieger A., Mielke M., Schaade L., Stark K. Outbreaks of virulent diarrheagenic Escherichia coli-are we in control? BMC Med. 2012;10:11. doi: 10.1186/1741-7015-10-11. [DOI] [PMC free article] [PubMed] [Google Scholar]
- 30.Łoś J.M., Łoś M., Węgrzyn G. Bacteriophages carrying Shiga toxin genes: Genomic variations, detection and potential treatment of pathogenic bacteria. Future Microbiol. 2011;6:909–924. doi: 10.2217/fmb.11.70. [DOI] [PubMed] [Google Scholar]
- 31.Fang W.J., Jin D.Z., Luo Y., Li H., Zheng Y., Zhang Z., Gu H., Zheng S.S. A DNA minor groove binder shows high effectiveness as a quencher for FRET probes. Bioorg. Med. Chem. Lett. 2014;24:3956–3960. doi: 10.1016/j.bmcl.2014.06.036. [DOI] [PubMed] [Google Scholar]
- 32.Smith D.L., James C.E., Sergeant M.J., Yaxian Y., Saunders J.R., McCarthy A.J., Allison H.E. Short-tailed stx phages exploit the conserved YaeT protein to disseminate Shiga toxin genes among enterobacteria. J. Bacteriol. 2007;189:7223–7233. doi: 10.1128/JB.00824-07. [DOI] [PMC free article] [PubMed] [Google Scholar]
- 33.Yue W.F., Du M., Zhu M.J. High temperature in combination with UV irradiation enhances horizontal transfer of stx2 gene from E. coli O157:H7 to non-pathogenic E. coli. PLoS ONE. 2012;7:e31308. doi: 10.1371/journal.pone.0031308. [DOI] [PMC free article] [PubMed] [Google Scholar]
- 34.Fagan P.K., Hornitzky M.A., Bettelheim K.A., Djordjevic S.P. Detection of shiga-like toxin (stx1 and stx2), intimin (eaeA), and enterohemorrhagic Escherichia coli (EHEC) hemolysin (EHEC hlyA) genes in animal feces by multiplex PCR. Appl. Environ. Microbiol. 1999;65:868–872. doi: 10.1128/aem.65.2.868-872.1999. [DOI] [PMC free article] [PubMed] [Google Scholar]
- 35.Botkin D.J., Galli L., Sankarapani V., Soler M., Rivas M., Torres A.G. Development of a multiplex PCR assay for detection of Shiga toxin-producing Escherichia coli, enterohemorrhagic E. coli, and enteropathogenic E. coli strains. Front. Cell. Infect. Microbiol. 2012;14:2–8. doi: 10.3389/fcimb.2012.00008. [DOI] [PMC free article] [PubMed] [Google Scholar]
- 36.Fazekas A.J., Steeves R., Newmaster S.G. Improving sequencing quality from PCR products containing long mononucleotide repeats. BioTechniques. 2010;48:277–285. doi: 10.2144/000113369. [DOI] [PubMed] [Google Scholar]
- 37.Lorenz T.C. Polymerase Chain Reaction: Basic Protocol Plus Troubleshooting and Optimization Strategies. J. Vis. Exp. 2012;63:e3998. doi: 10.3791/3998. [DOI] [PMC free article] [PubMed] [Google Scholar]
- 38.Massung R.F., Slater K.G. Comparison of PCR assays for detection of the agent of human granulocytic ehrlichiosis, Anaplasma. phagocytophilum. J. Clin. Microbiol. 2003;41:717–722. doi: 10.1128/JCM.41.2.717-722.2003. [DOI] [PMC free article] [PubMed] [Google Scholar]
- 39.Qurollo B.A., Riggins D., Comyn A., Zewde M.T., Breitschwerdt E.B. Development and validation of a sensitive and specific sodB-based quantitative PCR assay for molecular detection of Ehrlichia. species. J. Clin. Microbiol. 2014;52:4030–4032. doi: 10.1128/JCM.02340-14. [DOI] [PMC free article] [PubMed] [Google Scholar]
- 40.Konowalchuk J., Speirs J.I., Stavric S. Vero response to a cytotoxin of Escherichia coli. Infect. Immun. 1977;18:775–779. doi: 10.1128/iai.18.3.775-779.1977. [DOI] [PMC free article] [PubMed] [Google Scholar]
- 41.Januszkiewicz A., Wołkowicz T., Chróst A., Szych J. Characterization of the Shiga toxin-producing Escherichia coli O26 isolated from human in Poland between 1996 and 2014. Lett. Appl. Microbiol. 2015;60:605–608. doi: 10.1111/lam.12413. [DOI] [PubMed] [Google Scholar]
- 42.Rüssmann H., Kothe E., Schmidt H., Franke S., Harmsen D., Caprioli A., Karch H. Genotyping of Shiga-like toxin genes in non-O157 Escherichia coli strains associated with haemolytic uraemic syndrome. J. Med. Microbiol. 1995;42:404–410. doi: 10.1099/00222615-42-6-404. [DOI] [PubMed] [Google Scholar]
- 43.Januszkiewicz A., Szych J., Rastawicki W., Wołkowicz T., Chróst A., Leszczyńska B., Kuźma E., Roszkowska-Blaim M., Gierczyński R. Molecular epidemiology of a household outbreak of Shiga-toxin-producing Escherichia coli in Poland due to secondary transmission of STEC O104:H4 from Germany. J. Med. Microbiol. 2012;61:552–558. doi: 10.1099/jmm.0.039289-0. [DOI] [PubMed] [Google Scholar]
- 44.Queipo-Ortuño M.I., De Dios Colmenero J., Macias M., Bravo M.J., Morata P. Preparation of bacterial DNA template by boiling and effect of immunoglobulin G as an inhibitor in real-time PCR for serum samples from patients with brucellosis. Clin. Vaccine Immunol. 2008;15:293–296. doi: 10.1128/CVI.00270-07. [DOI] [PMC free article] [PubMed] [Google Scholar]
- 45.Gierczyński R., Kałuzewski S., Rakin A., Jagielski M., Zasada A., Jakubczak A., Borkowska-Opacka B., Rastawicki W. Intriguing diversity of Bacillus anthracis in eastern Poland-the molecular echoes of the past outbreaks. FEMS Microbiol. Lett. 2004;239:235–240. doi: 10.1016/j.femsle.2004.08.038. [DOI] [PubMed] [Google Scholar]



