Abstract
A 1q42 deletion is a rare structure variation that commonly harbours various deletion breakpoints along with diversified phenotypes. In our study, we found a de novo 1q42 deletion in a boy who did not have a cleft palate or a congenital diaphragmatic hernia but presented with psychomotor retardation. A 1.9 Mb deletion located within 1q42.11-q42.12 was validated at the molecular cytogenetic level. This is the first report of a 1q42.11-q42.12 deletion in a patient with onlypsychomotor retardation. The precise break points could facilitate the discovery of potential causative genes, such as LBR, EPHX1, etc. The correlation between the psychomotor retardation and the underlying genetic factors could not only shed light on the diagnosis of psychomotor retardation at the genetic level but also provide potential therapeutic targets.
Keywords: 1q42 deletion, Psychomotor retardation, Genotype-phenotype correlation, Microarray analysis
Introduction
Psychomotor retardation has always been described as a slowing of physical and emotional reactions and shared similarities with depression [1]. As a component of depression, psychomotor retardation could provide clinical and therapeutic clues for effective treatments [2]. Specifically, depressed patients were usually classified as melancholic or non-melancholic based on their psychomotor symptoms [3]. Several studies have shown the correlation between psychomotor retardation and depression severity [4, 5]. Furthermore, psychomotor retardation has been speculated to be a potential pathognomonic factor for melancholia [6]. Thus far, a series of indexes has been developed for measuring psychomotor retardation, such as drawing tasks and cognitive, motor, speech and biological tests [7–10]. Although the measurements of psychomotor retardation have been detailed, the underlying genetic pathogenic factors are not well-known.
Copy number variations (CNVs) have been reported to be associated with dozens of complex diseases, including variant types of cancers, HIV-1/AIDS susceptibility and immunity-related diseases [11–13]. According to previous reports, CNVs usually play an important role in gene dosage, gene disruption, gene fusion, and position effects where abnormal CNVs could cause various diseases [14, 15]. Compared with other deletions, cases with deletion at 1q41–q42 were rarely reported, and existing evidence mostly showed its correlation with congenital diaphragmatic hernia (CDH) and Fryns syndrome [16, 17]. Here, we performed genomic screening using a microarray and discovered a de novo 1.9 Mb deletion at 1q42.11–q42.12 (chr1: 224,086,911-226,016,203) in a 4-year-old boy showing psychomotor retardation without CDH. Further analysis suggested the involvement of several OMIM (Online Mendelian Inheritance in Man) genes, such as dispatched 1 (DISP1) and homo sapiens H2.0-like homeobox (HLX). However, DISP1 and HLX always accompanied psychomotor retardation and, thus, were normal in our case.
This study was conducted to refine the clinical presentation of a 1q42.11–q42.12 microdeletion and establish the genotype-phenotype correlation.
Patient data
The proband was a 4-year-old boy referred to the Clinical Genetics Service for psychomotor retardation. The boy’s parents were unrelated, and both have uneventful family histories. It was reported that the patient was born by normal spontaneous delivery without intrauterine exposure to drugs or other potentially harmful factors. He began speaking single words at the age of 1 year and 8 months and started walking at approximately 2 years old. Mental retardation was observed since the age of 2, and he was diagnosed with psychomotor retardation. In addition, he was risible and particularly friendly to foreigners. A physical examination of the child showed no abnormalities.
Methods
Conventional cytogenetic analysis and Fluorescence in Situ Hybridization (FISH)
Peripheral blood samples were collected from three family members with informed consent. A cytogenetic analysis was performed with the standard collection of blood lymphocytes. Metaphase chromosomes were G-banded at 550 bands of resolution.
Metaphase FISH analysis on cultured peripheral blood lymphocytes was performed using a combination of CEP1 (green) probe and single-copy DNA probes (RP11-496N12, 1q42.12, red) that were cloned in BACs (BlueGnome, UK). A minimum of 20 metaphase cells was assessed under a fluorescence microscope (Leica Microsystems, Wetzlar, Germany).
Chromosomal Microarray Analysis (CMA)–Single Nucleotide Polymorphism (SNP) array analysis
Genomic DNAs were isolated from the peripheral blood samples using a QIAamp DNA Blood Mini Kit (Qiagen, Valencia, CA, USA). The DNA concentrations were measured with a NanoDrop spectrophotometer (ND-1000 V.3.1.2; NanoDrop, Thermo Fisher Scientific Inc., Wilmington, DE, USA). The DNA was amplified, labelled and subjected to 250 ng of product to hybridize CytoScan HD arrays (Affymetrix, Santa Clara, CA, USA) according to the manufacturer’s instructions. The Affymetrix CytoScan HD array covered over 2.7 million markers, of which 750,000 were SNPs that could be used for genotyping, and 1.9 million were non-polymorphic probes. The Chromosome Analysis Suite software package (Affymetrix) was used for all analyses.
Results
CMA
The genome-wide array analysis of the proband showed a 1.9 Mb deletion at 1q42.11–q42.12 (see Fig. 1), ranging from chr1 as follows: 224,086,911-226,016,203 (GRCh37/hg19). However, his parents showed normal ploidy at the same region.
Fig. 1.

Microdeletion at 1q42.11-q42.12, which spans 1.9 Mb (illustrated with red box in the top)
FISH and real-time PCR
The FISH analysis of the parents showed in tegrated 1q42.11-q42.12, while the patient carried only one fragment copy at 1q42.11-q42.12 (see Fig. 2).
Fig. 2.

FISH results of cells from the patient and his parents. Two copies of 1q42 were detected in the father (a) and mother (b), while only 1 copy of 1q42 was retained in the cells of the patient (c), thus identifying the deleted region at 1q42. The red fluorescence of 1q42 was indicated with a white arrowhead
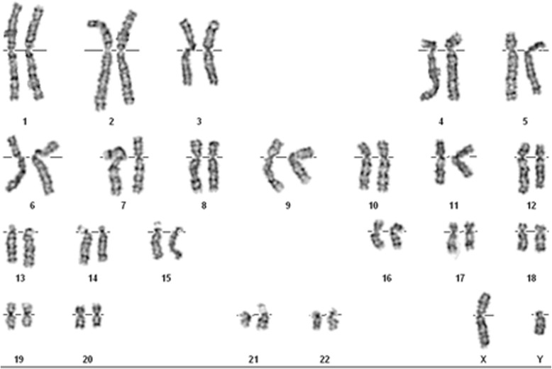
In addition, the karyotypes of the parents and the boy were normal (see Fig. 3; data of parents not shown).
Fig. 3.

Karyotyping of the cells from the patient. Normal karyotyping was visualized via G-banding techniques with a resolution of 550 bands
Discussion
Psychomotor retardation could affect physical and emotional reactions and cause speech and walking abnormalities, which are also the most universal manifestations of major depression [1–4]. Furthermore, psychomotor retardation was also involved in adverse effects of drugs, such as benzodiazepines [18]. Since the roles of pathogenesis and important phenotypes in patients with depression remain unclear, the discovery of causative genes is critical. In our studies, the de novo 1.9 Mb microdeletion found at 1q42, which was accompanied by 1q41, was mostly reported as the critical region for CDH [17, 19]. However, the data in the Decipher database also suggested connections of common phenotypes in cleft palate, coarse facial features and intellectual disability with a deletion of 1q42.11-q42.12 (Table 1). Nevertheless, neither congenital diaphragmatic hernia nor facial flaw spresenting with signs of psychomotor retardation, such as learning to walk or talk at the age of 2, were observed in our proband. The reason for the sediscrepancies between our case and other reported patients with 1q41q42 microdeletion syndrome is that the deletion in our case only affects the 1.9 Mb spectrum of 1q42 while 1q41q42 deletions of the latter mainly extend into the 1q41 region [17, 20–22].
Table 1.
Phenotypical comparison of our patient and reported patients with 1q41q42 microdeletion syndrome
| Patient/source | Our patient | Rice et al., 2006 [41] | Mazzeu et al.,2010 [42] | Jun et. al.,2013 [43] | Filges et al., 2010 [20] | Decipher 1015 | Decipher 266948 | Decipher 300673 |
|---|---|---|---|---|---|---|---|---|
| Coordinatea (chr1:) | 224086911-226016203 | 219978228-225359888 | 219894313-229156924 | 223104211-223287570 | 221885000-227340000 | 220916999-226162869 | 222694079-227147000 | 222821378-226677842 |
| Deletion size | 1.9 Mb | 5.4 Mb | 1 Mb | 183 Kb | 5.45 Mb | 5.25 Mb | 4.45 Mb | 3.86 Mb |
| Inheritance/origin | de novo | unknown | De novo | de novo | de novo | de novo | de novo | unknown |
| Brain Defect | - | + | + | + | + | NR | NR | NR |
| Cleft Palate | - | + | + | - | + | + | + | + |
| Hypotonia | - | + | NR | + | - | NR | + | NR |
| Heart Defect | - | - | + | - | - | + | - | - |
| Congenital Diaphragmatic Hernia | - | - | - | - | - | + | - | - |
| Seizures | + | + | - | + | + | - | - | - |
| Psychomotor Retardation | + | - | - | - | - | - | - | - |
| Number of Involved Genesb | 13 | >50 | >20 | 2 | >50 | >40 | >60 | >50 |
NR No Record
aGRCh37/hg19 was used in coordinate
bRefSeq genes involved were counted in UCSC browser (http://genome.ucsc.edu/)
In the deleted 1.9 Mb range, we found 13 genes, including 7 OMIM genes. Among the seven OMIM genes, most were correlated with development. FBXO28 is characterized by an approximately 40-amino acid F-box motif and was reported to contribute to intellectual disability, seizures and a dysmorphological phenotype in patients with 1q41q42 microdeletion syndrome [23, 24]. At the molecular level, FBXO28 could act as a master regulator of cellular homeostasis by targeting key proteins for ubiquitination. For example, FBXO28 could mediate the degradation of Alcat1 via targeting Alcat1 for monoubiquitination at K183. Meanwhile, FBXO28 could also function inubiquitylation-independent pathways, including the transmission of CDK activity to MYC function during the cell cycle [25, 26]. Nevertheless, more studies are needed to elaborate the detailed molecular pathogenic mechanism of FBXO28 in 1q41q42 syndrome. NVL, known as nuclear VPC (valosin containing protein)/p97-Like, is another OMIM gene belonging to the AAA-ATPase (ATPases associated with various cellular activities) super family. The major isoform of NVL is NVL2, which was mainly localized in the nucleus and participated in ribosome biosynthesis [27–29]. Wang et al have investigated 1045 major depressive disorder patients, 1235 schizophrenia patients and 1235 normal controls of Han Chinese origin and found that the NVL gene could confer risks for both major depressive disorder and schizophrenia in the Han Chinese population [30]. The high correlation between NVL and major depression suggested that NVL was a potential causative gene for psychomotor retardation. As a gene encoding an axonemal dynein heavy chain, the deletion of DNAH14 was associated with motile cilia function. Although DNAH14 is an important gene for motile cilia, further research is needed to understand its contribution to psychomotor retardation. SRP9 encodes a 9k Da signal recognition particle. A SRP9 and RP14 complex was reported to be involved in the elongation arrest function of SRP, which was important to the co translational targeting of secretory and membrane proteins to the endoplasmic reticulum (ER) [31]. Furthermore, SRP9 also showed higher expression levels in human colorectal cancer [32]. To date, the importance of the role of SRP9 in its contribution to psychomotor retardation is not well-studied. LBR and EPHX1 genes are located in regions that are frequently deleted in 1q42.11q42.12 deletion syndrome and thus should be investigated because of their neuronal significance. LBR encoded lamin B receptor which belongs to ERG4/ERG24 family and was also shown to be a pivotal architectural protein that plays an important role in the nuclear envelope [33, 34]. Mutations in the LBR gene could also affect neutrophil segmentation and sterol reeducates activity. LBR was associated with two different recognized clinical conditions, Pelger-Huet anomaly (PHA) and Greenberg skeletal dysplasia [35, 36]. On the other hand, GravemannS. et al. have shown that the copy number of LBR and nuclear segmentation index of neutrophils were highly correlated while the gene-dosage could affect granulopoiesis [37]. Recently, Mc Caffery JMand colleagues have found that the two SNPs (rs2230419 and rs1011319) in LBR were associated with baseline Beck Depression Inventory scores, which also suggested the potential role of the gene in depression. EPHX1 gene encoded epoxide hydrolase, a critical biotransformation enzyme that converted epoxides to trans-dihydrodiols that could be conjugated and excreted from the body [38]. The dysfunction of EPHX1 was reported to contribute to several human diseases, including neurodegeneration where its differential expression was presented in patients with Alzheimer’s disease [39]. Additionally, EPHX1 affected the cerebral metabolism of epoxyeicosatrienoic acids and, hence regulated neuronal signal transmission in mice [40]. Although there is no direct evidence on the causal relationship between EPHX1 and psychomotor retardation, studies have revealed the important function of EPHX1 in neuron systems and suggested the potential role of EPHX1 in neuronal development, which if dysfunctional could lead to psychomotor retardation.
The most common midline defects of 1q42.11–q42.12 deletion syndrome are cleft palate and CDH. However, these manifestations did not appear in our patients. Compared with patients with a cleft palate and CDH, the 1.9 Mb deletion region in our case did not cover DISP1 and Shh, which were reported to be involved in the pathogenesis of developmental defects and CDH [16, 20]. The normality of DISP1 and Shh seems to be the major reason for the absence of a cleft palate and CHD in our patient.
The complex intra chromosomal gene interactions and positional effects are of great importance in complex patterns of midline defects and genes involved in developmental pathways. Our study of a 1q42.11–q42.12 deletion in a boy without a cleft palate but with psychomotor retardation has provided evidence regarding the genotype-phenotype correlation between a 1q42.11–q42.12 microdeletion and psychomotor retardation; especially important is the finding of potential causative genes, such as LBR and EPHX1, which could become therapeutic targets. Nonetheless, more studies are needed to explore the detailed molecular mechanism of psychomotor retardation pathogenesis.
Acknowledgements
We are grateful to the patient and his parents for their participation in this study. We would like to thank the staff of the prenatal center for patient’s data.
Funding
Special Fund of the Chinese Central Government for Basic Scientific Research Operations in the Public Research Institutes(NO. 2015GJZ03). The new teacher project of Education Ministry 20134423120005, the National Natural Science Funds of China 81401205, Scientific Research Project of Guangzhou Science and Information Bureau 2014J4100024.
Availability of data and materials
Affymetrix cytoscan HD (http://media.affymetrix.com/support/technical/datasheets/cytoscan_hd_datasheet.pdf)
Chromosome Analysis Suite Software,Version 3.1(http://www.affymetrix.com/support/technical/software_downloads.affx)
Authors’ contribution
DM was responsible for the design of the project, data analysis and writing of the manuscript. DM also facilitated the panel with assistance from HJ and XY. JL and YJ drafted the first version of the manuscript. S, WJ and, XM, D and XF assisted in the literature review, experiment, data entry and data analysis phases of the project. All authors read and approved the final the manuscript.
Competing interests
The authors declare that they have no competing interests.
Consent for publication
Consent for publication has been obtained from the patient’s parents.
Ethics approval and consent to participate
Ethical approval for this study has been obtained by the Ethics Committee of the Third Affiliated Hospital of Guangzhou Medical University (2016107).
Abbreviations
- CNVs
Copy number variations
- CDH
Congenital diaphragmatic hernia
- DISP1
Dispatched 1
- HLX
H2.0-like homeobox
- SNP
Single nucleotide polymorphism
- FISH
Fluorescence in situ hybridization
- CMA
Chromosomal microarray analysis
- OMIM
Online mendelian inheritance in man
- PHA
Pelger-Huet anomaly
Contributor Information
Jialing He, Email: hejialing@sina.com.
Yingjun Xie, Email: fairyfareyj@sina.com.
Shu Kong, Email: kongshu@sina.com.
Wenjun Qiu, Email: qiuwenjun@sina.com.
Xiaoman Wang, Email: wangxiaoman@sina.com.
Ding Wang, Email: largestone_1984@163.com.
Xiaofang Sun, Email: sunxiaofang@sina.com.
Deming Sun, Email: sundeming2016@126.com.
References
- 1.Done DJ. Activity Measurement in Psychology and Medicine - Tryon,Ww. Brit J Psychiat. 1993;162:141. [Google Scholar]
- 2.Buyukdura JS, McClintock SM, Croarkin PE. Psychomotor retardation in depression: Biological underpinnings, measurement, and treatment. Prog Neuro-Psychopharmacol Biol Psychiatry. 2011;35(2):395–409. doi: 10.1016/j.pnpbp.2010.10.019. [DOI] [PMC free article] [PubMed] [Google Scholar]
- 3.Cummings JL. Melancholia: A disorder of movement and mood: A phenomenological and neurobiological review - Parker, G, HadziPavlovic. D Psychiatr Serv. 1997;48(12):1603–4. doi: 10.1176/ps.48.12.1603. [DOI] [Google Scholar]
- 4.Gorwood P, Richard-Devantoy S, Baylé F, Cléry-Melun ML. Psychomotor retardation is a scar of past depressive episodes, revealed by simple cognitive tests. Eur Neuropsychopharmacol. 2014;24(10):1630–40. doi: 10.1016/j.euroneuro.2014.07.013. [DOI] [PubMed] [Google Scholar]
- 5.Martinot M-LP, Bragulat V, Artiges E, Dollé F, Hinnen F, Jouvent R, et al. Decreased presynaptic dopamine function in the left caudate of depressed patients with affective flattening and psychomotor retardation. Am J Psychiatr. 2001;158(2):314–6. doi: 10.1176/appi.ajp.158.2.314. [DOI] [PubMed] [Google Scholar]
- 6.Parker G. Melancholia. Am J Psychiatry. 2005;162(6):1066. doi: 10.1176/appi.ajp.162.6.1066. [DOI] [PubMed] [Google Scholar]
- 7.Pier M, Hulstijn W, Sabbe B. No psychomotor slowing in fine motor tasks in dysthymia. J Affect Disord. 2004;83(2):109–20. doi: 10.1016/j.jad.2004.05.002. [DOI] [PubMed] [Google Scholar]
- 8.Steele J, Glabus M, Shajahan P, Ebmeier K. Increased cortical inhibition in depression: a prolonged silent period with transcranial magnetic stimulation (TMS) Psychol Med. 2000;30(03):565–70. doi: 10.1017/S0033291799002032. [DOI] [PubMed] [Google Scholar]
- 9.Smith M, Brebion G, Banquet J, Cohen L. Retardation of mentation in depressives: Posner's covert orientation of visual attention test. J Affect Disord. 1995;35(3):107–15. doi: 10.1016/0165-0327(95)00044-5. [DOI] [PubMed] [Google Scholar]
- 10.Szabadi E, Bradshaw C, Besson J. Elongation of pause-time in speech: a simple, objective measure of motor retardation in depression. Br J Psychiatry. 1976;129(6):592–7. doi: 10.1192/bjp.129.6.592. [DOI] [PubMed] [Google Scholar]
- 11.Zhao X, Weir BA, LaFramboise T, Lin M, Beroukhim R, Garraway L, et al. Homozygous deletions and chromosome amplifications in human lung carcinomas revealed by single nucleotide polymorphism array analysis. Cancer Res. 2005;65(13):5561–70. doi: 10.1158/0008-5472.CAN-04-4603. [DOI] [PubMed] [Google Scholar]
- 12.Gonzalez E, Kulkarni H, Bolivar H, Mangano A, Sanchez R, Catano G, et al. The influence of CCL3L1 gene-containing segmental duplications on HIV-1/AIDS susceptibility. Science. 2005;307(5714):1434–40. doi: 10.1126/science.1101160. [DOI] [PubMed] [Google Scholar]
- 13.Fanciulli M, Norsworthy PJ, Petretto E, Dong R, Harper L, Kamesh L, et al. FCGR3B copy number variation is associated with susceptibility to systemic, but not organ-specific, autoimmunity. Nat Genet. 2007;39(6):721–3. doi: 10.1038/ng2046. [DOI] [PMC free article] [PubMed] [Google Scholar]
- 14.Zhang F, Gu W, Hurles ME, Lupski JR. Copy number variation in human health, disease, and evolution. Annu Rev Genomics Hum Genet. 2009;10:451–81. doi: 10.1146/annurev.genom.9.081307.164217. [DOI] [PMC free article] [PubMed] [Google Scholar]
- 15.Piotrowski A, Bruder CE, Andersson R, Diaz de Stahl T, Menzel U, Sandgren J, et al. Somatic mosaicism for copy number variation in differentiated human tissues. Hum Mutat. 2008;29(9):1118–24. doi: 10.1002/humu.20815. [DOI] [PubMed] [Google Scholar]
- 16.Kantarci S, Ackerman KG, Russell MK, Longoni M, Sougnez C, Noonan KM, et al. Characterization of the chromosome 1q41q42.12 region, and the candidate gene DISP1, in patients with CDH. Am J Med Genet A. 2010;152A(10):2493–504. doi: 10.1002/ajmg.a.33618. [DOI] [PMC free article] [PubMed] [Google Scholar]
- 17.Kantarci S, Casavant D, Prada C, Russell M, Byrne J, Haug LW, et al. Findings from aCGH in patients with congenital diaphragmatic hernia (CDH): a possible locus for Fryns syndrome. Am J Med Genet A. 2006;140(1):17–23. doi: 10.1002/ajmg.a.31025. [DOI] [PMC free article] [PubMed] [Google Scholar]
- 18.Allgulander C, Bandelow B, Hollander E, Montgomery SA, Nutt DJ, Okasha A, et al. WCA recommendations for the long-term treatment of generalized anxiety disorder. CNS spectrums. 2003;8(S1):53–61. doi: 10.1017/S1092852900006945. [DOI] [PubMed] [Google Scholar]
- 19.Slavotinek AM, Moshrefi A, Davis R, Leeth E, Schaeffer GB, Burchard GE, et al. Array comparative genomic hybridization in patients with congenital diaphragmatic hernia: mapping of four CDH-critical regions and sequencing of candidate genes at 15q26. 1–15q26. 2. Eur J Hum Genet. 2006;14(9):999–1008. doi: 10.1038/sj.ejhg.5201652. [DOI] [PubMed] [Google Scholar]
- 20.Filges I, Rothlisberger B, Boesch N, Weber P, Wenzel F, Huber AR, et al. Interstitial deletion 1q42 in a patient with agenesis of corpus callosum: Phenotype-genotype comparison to the 1q41q42 microdeletion suggests a contiguous 1q4 syndrome. Am J Med Genet A. 2010;152A(4):987–93. doi: 10.1002/ajmg.a.33330. [DOI] [PubMed] [Google Scholar]
- 21.Shaffer LG, Theisen A, Bejjani BA, Ballif BC, Aylsworth AS, Lim C, et al. The discovery of microdeletion syndromes in the post-genomic era: review of the methodology and characterization of a new 1q41q42 microdeletion syndrome. Genet Med. 2007;9(9):607–16. doi: 10.1097/GIM.0b013e3181484b49. [DOI] [PubMed] [Google Scholar]
- 22.Slavotinek AM, Moshrefi A, Davis R, Leeth E, Schaeffer GB, Burchard GE, et al. Array comparative genomic hybridization in patients with congenital diaphragmatic hernia: mapping of four CDH-critical regions and sequencing of candidate genes at 15q26.1-15q26.2. Eur J Hum Genet. 2006;14(9):999–1008. doi: 10.1038/sj.ejhg.5201652. [DOI] [PubMed] [Google Scholar]
- 23.Au PYB, Argiropoulos B, Parboosingh JS, Micheil IA. Refinement of the critical region of 1q41q42 microdeletion syndrome identifies FBXO28 as a candidate causative gene for intellectual disability and seizures. Am J Med Genet A. 2014;164(2):441–8. doi: 10.1002/ajmg.a.36320. [DOI] [PubMed] [Google Scholar]
- 24.Cassina M, Rigon C, Casarin A, Vicenzi V, Salviati L, Clementi M. FBXO28 is a critical gene of the 1q41q42 microdeletion syndrome. Am J Med Genet A. 2015;167(6):1418–20. doi: 10.1002/ajmg.a.37033. [DOI] [PubMed] [Google Scholar]
- 25.Cepeda D, Ng H-F, Sharifi HR, Mahmoudi S, Cerrato VS, Fredlund E, et al. CDK-mediated activation of the SCF(FBXO28) ubiquitin ligase promotes MYC-driven transcription and tumourigenesis and predicts poor survival in breast cancer. EMBO Mol Med. 2013;5(7):999–1018. doi: 10.1002/emmm.201202341. [DOI] [PMC free article] [PubMed] [Google Scholar]
- 26.Zou C, Synan MJ, Li J, Xiong S, Manni M, Liu Y, et al. LPS impairs oxygen utilization in epithelia by triggering degradation of the mitochondrial enzyme Alcat1. J Cell Sci. 2015. [DOI] [PMC free article] [PubMed]
- 27.Nagahama M, Hara Y, Seki A, Yamazoe T, Kawate Y, Shinohara T, et al. NVL2 is a nucleolar AAA-ATPase that interacts with ribosomal protein L5 through its nucleolar localization sequence. Mol Biol Cell. 2004;15(12):5712–23. doi: 10.1091/mbc.E04-08-0692. [DOI] [PMC free article] [PubMed] [Google Scholar]
- 28.Nagahama M, Yamazoe T, Hara Y, Tani K, Tsuji A, Tagaya M. The AAA-ATPase NVL2 is a component of pre-ribosomal particles that interacts with the DExD/H-box RNA helicase DOB1. Biochem Biophys Res Commun. 2006;346(3):1075–82. doi: 10.1016/j.bbrc.2006.06.017. [DOI] [PubMed] [Google Scholar]
- 29.Yoshikatsu Y, Ishida Y, Sudo H, Yuasa K, Tsuji A, Nagahama M. NVL2, a nucleolar AAA-ATPase, is associated with the nuclear exosome and is involved in pre-rRNA processing. Biochem Biophys Res Commun. 2015;464(3):780–6. doi: 10.1016/j.bbrc.2015.07.032. [DOI] [PubMed] [Google Scholar]
- 30.Wang M, Chen J, He K, Wang Q, Li Z, Shen J, et al. The NVL gene confers risk for both major depressive disorder and schizophrenia in the Han Chinese population. Prog Neuropsychopharmacol Biol Psychiatry. 2015;62:7–13. doi: 10.1016/j.pnpbp.2015.04.001. [DOI] [PubMed] [Google Scholar]
- 31.Mary C, Scherrer A, Huck L, Lakkaraju AK, Thomas Y, Johnson AE, et al. Residues in SRP9/14 essential for elongation arrest activity of the signal recognition particle define a positively charged functional domain on one side of the protein. RNA (New York, NY) 2010;16(5):969–79. doi: 10.1261/rna.2040410. [DOI] [PMC free article] [PubMed] [Google Scholar]
- 32.J-h R, Qin S, Wang JY, Roehrl MH. Proteomic expression analysis of surgical human colorectal cancer tissues: up-regulation of PSB7, PRDX1, and SRP9 and hypoxic adaptation in cancer. J Proteome Res. 2008;7(7):2959–72. doi: 10.1021/pr8000892. [DOI] [PMC free article] [PubMed] [Google Scholar]
- 33.Schuler E, Lin F, Worman HJ. Characterization of the human gene encoding LBR, an integral protein of the nuclear envelope inner membrane. J Biol Chem. 1994;269(15):11312–7. [PubMed] [Google Scholar]
- 34.Holmer L, Pezhman A, Worman HJ. The human lamin B receptor/sterol reductase multigene family. Genomics. 1998;54(3):469–76. doi: 10.1006/geno.1998.5615. [DOI] [PubMed] [Google Scholar]
- 35.Borovik L, Modaff P, Waterham HR, Krentz AD, Pauli RM. Pelger-huet anomaly and a mild skeletal phenotype secondary to mutations in LBR. Am J Med Genet A. 2013;161A(8):2066–73. doi: 10.1002/ajmg.a.36019. [DOI] [PubMed] [Google Scholar]
- 36.Gaudy-Marqueste C, Roll P, Esteves-Vieira V, Weiller PJ, Grob JJ, Cau P, et al. LBR mutation and nuclear envelope defects in a patient affected with Reynolds syndrome. J Med Genet. 2010;47(6):361–70. doi: 10.1136/jmg.2009.071696. [DOI] [PubMed] [Google Scholar]
- 37.Gravemann S, Schnipper N, Meyer H, Vaya A, Nowaczyk MJ, Rajab A, et al. Dosage effect of zero to three functional LBR-genes in vivo and in vitro. Nucleus. 2010;1(2):179–89. doi: 10.4161/nucl.11113. [DOI] [PMC free article] [PubMed] [Google Scholar]
- 38.Oesch F. Purification and specificity of a human microsomal epoxide hydratase. Biochem J. 1974;139:77–88. doi: 10.1042/bj1390077. [DOI] [PMC free article] [PubMed] [Google Scholar]
- 39.Liu M, Sun A, Shin EJ, Liu X, Kim SG, Runyons CR, et al. Expression of microsomal epoxide hydrolase is elevated in Alzheimer's hippocampus and induced by exogenous β‐amyloid and trimethyl‐tin. Eur J Neurosci. 2006;23(8):2027–34. doi: 10.1111/j.1460-9568.2006.04724.x. [DOI] [PubMed] [Google Scholar]
- 40.Marowsky A, Burgener J, Falck J, Fritschy J-M, Arand M. Distribution of soluble and microsomal epoxide hydrolase in the mouse brain and its contribution to cerebral epoxyeicosatrienoic acid metabolism. Neuroscience. 2009;163(2):646–61. doi: 10.1016/j.neuroscience.2009.06.033. [DOI] [PubMed] [Google Scholar]
- 41.Rice GM, Qi Z, Selzer R, Richmond T, Thompson K, Pauli RM, et al. Microdissection-based high-resolution genomic array analysis of two patients with cytogenetically identical interstitial deletions of chromosome 1q but distinct clinical phenotypes. Am J Med Genet A. 2006;140(15):1637–43. doi: 10.1002/ajmg.a.31349. [DOI] [PubMed] [Google Scholar]
- 42.Mazzeu JF, Vianna-Morgante AM, Krepischi AC, Oudakker A, Rosenberg C, Szuhai K, et al. Deletions encompassing 1q41q42.1 and clinical features of autosomal dominant Robinow syndrome. Clin Genet. 2010;77(4):404–7. doi: 10.1111/j.1399-0004.2009.01355.x. [DOI] [PubMed] [Google Scholar]
- 43.Jun KR, Hur YJ, Lee JN, Kim HR, Shin JH, Oh SH, et al. Clinical characterization of DISP1 haploinsufficiency: A case report. Eur J Med Genet. 2013;56(6):309–13. doi: 10.1016/j.ejmg.2013.03.007. [DOI] [PubMed] [Google Scholar]
Associated Data
This section collects any data citations, data availability statements, or supplementary materials included in this article.
Data Availability Statement
Affymetrix cytoscan HD (http://media.affymetrix.com/support/technical/datasheets/cytoscan_hd_datasheet.pdf)
Chromosome Analysis Suite Software,Version 3.1(http://www.affymetrix.com/support/technical/software_downloads.affx)
