Abstract
Streptococcus (S.) suis is an important porcine pathogen causing meningitis, arthritis and septicemia. As cps7 emerged recently in Germany in association with severe herd problems, the objective of this study was to characterize the geno- and phenotype of invasive cps7 strains. Twenty cps7 strains were isolated from diseased pigs from different farms with S. suis herd problems due to meningitis and other pathologies. Eighteen of the cps7 isolates belonged to sequence type (ST) 29. Most of these cps7 strains secreted a short MRP variant in agreement with a premature stop codon. Expression of IdeSsuis, an IgM specific protease, was variable in four further investigated cps7 ST29 isolates. Bactericidal assays revealed very high survival factors of these four cps7 ST29 strains in the blood of weaning piglets. In growing piglets, the increase of specific IgM led to efficient killing of cps7 ST29 as shown by addition of the IgM protease IdeSsuis. Finally, virulence of a cps7 ST29 strain was confirmed in experimental infection of weaning piglets leading to meningitis and arthritis. In conclusion, this study characterizes cps7 ST29 as a distinct S. suis pathotype showing high survival factors in porcine blood after weaning, but IgM-mediated killing in the blood of older growing piglets. This underlines the relevance of IgM as an important host defense mechanism against S. suis.
Electronic supplementary material
The online version of this article (10.1186/s13567-018-0544-8) contains supplementary material, which is available to authorized users.
Introduction
Streptococcus suis is one of the most important porcine pathogens and an emerging human pathogen. It causes meningitis, arthritis and septicemia in piglets, mainly at an age of 4–10 weeks, leading to major economic losses [1]. It is one of the main reasons for antimicrobial use in piglets. The diversity of this bacterial species with at least 29 serotypes [2–7] makes it a rather challenging pathogen with regard to vaccine development. There are not only differences between the serotypes but also within one serotype regarding virulence-associated factors, antimicrobial susceptibilities and clonal complexes [8, 9]. So far 960 S. suis sequence types have been added to the MLST database available at http://www.pubmlst.org. Generally, a clonal complex is dominated by one serotype (cps) [10, 11]. Worldwide cps2, 9, 3, 1/2 and 7 are most important with cps2 being the predominant one in North America (almost equal to cps3 with 24.3 and 21%, respectively), South America and Asia whereas in Europe, based on data from Spain and the Netherlands from 2002 to 2013, it is presently cps9, followed by cps2 and cps7 [6, 12]. Before the year 2000, S. suis cps1 was prevalent in Belgium and the United Kingdom and S. suis cps7 was frequently isolated in Denmark during the 1990s, but recent data from these and many other European countries are lacking [6, 12, 13]. In S. suis cps2, a muramidase-released protein (MRP) and extracellular protein factor (EF) positive phenotype as well as expression of suilysin are associated with virulence [12, 14, 15]. However, an epf+ genotype has rarely and an EF+ phenotype has never been described for cps7 [12, 16]. MRP enables the bacteria to bind to human fibrinogen and this interaction increases migration of S. suis across a human cerebral microvascular endothelial cell barrier [17, 18]. Through PCR, at least six mrp variants can be differentiated based on the size of the amplicon, of which mrp* and mrpS are the most frequent ones [19]. Different serotypes express the immunoglobulin M-degrading enzyme of S. suis (IdeSsuis) [20]. This protease is highly specific as it cleaves only porcine IgM but not IgG or IgA. Furthermore, changes in band patterns of host proteins present in different body liquids elicited by addition of rIdeSsuis, can all be explained by IgM cleavage [20]. IdeSsuis cleaves porcine IgM between the C2 and C3 domain. This is thought to be a complement evasion mechanism as the putative C1q binding motif is located in the C3 domain [21]. Nevertheless none of the virulence-associated factors have been proven to be essential for infection in pigs [12].
As placentation in pigs is epitheliochorial, new born piglets are dependent on colostrum for uptake of maternal immunoglobulins (Ig). IgG represents the main Ig fraction with more than 80%, whereas IgA and IgM levels in colostrum are lower with ~13 and ~4%, respectively [22]. This leads to high immunoglobulin levels in the piglets’ sera with a peak at 24 h after birth. Ig levels then decrease in sow milk as well as in the piglets’ serum resulting in minimum levels depending on the Ig type. The lowest level of IgM is reached at 8–14 days whereas IgG levels are lowest at 36–40 days and IgA levels at 17-22 days [22]. In this study we follow up survival of S. suis serotype 7 (cps7) in the blood of weaning and growing pigs and show restriction of survival by increase of specific IgM.
Materials and methods
Bacterial strains and growth conditions
Twenty-two cps7 S. suis isolates from pigs from herds in Germany (n = 18) and Austria (n = 2) were included in this study (Table 1). All but two originated from piglets with acute clinical signs, these two were isolated from healthy carrier pigs. S. suis strains D282 (mrp+ cps2), A3286/94 (mrp* cps9), 90-2741-7 (mrp*** cps2), V7353/1 (mrp**** cps7) and T15 (mrp negative cps2) were included for PCR differentiation of mrp variants [19, 23]. S. suis strain 10 is an MRP+ EF+ IdeSsuis+ suilysin+ S. suis cps2 strain used to generate the isogenic cpsEF, mrp and ideSsuis mutants 10cpsΔEF, 10M7 and 10ΔideSsuis, respectively [20, 24, 25]. S. suis 16085/3b is a recent mrp+ sly+ cps9 isolate from the spleen of a herd with a substantial cps9 herd problem due to septicemia and meningitis. Bacteria were grown either on Columbia agar plates with 6% sheep blood (Oxoid, Wesel, Germany) or in Bacto™ Todd Hewitt Broth (THB) at 37 °C for 24 h or overnight, if not stated otherwise. The bacterial species was verified by MALDI-TOF MS analysis using Biotyper Microflex LT (Bruker Daltonik GmbH, Bremen, Germany) as recommended by the manufacturer.
Table 1.
Genotypic characterization and clinical background of cps7 S. suis strains investigated in this study
| Straina | Genotype | Site of isolation | Year of isolation | ||
|---|---|---|---|---|---|
| MP-PCRb | Sequence type | mrp variantb | |||
| 08/1324-1 | cps7/mrp | 29 | mrp | Brain | 2009 |
| V2217/2 | cps7/mrp | 29 | mrp | Lung | 2010 |
| S5552/1 | cps7/sly | 89 | – | Brain | 2010 |
| V154/3 | cps7/mrp | 29 | mrp | Brain | 2012 |
| V592/1 | cps7/mrp | 29 | mrp | Lung | 2012 |
| R1984-1+/1 | cps7/mrp | 29 | mrp**** | Brain | 2012 |
| #451 | cps7/mrp | 29 | mrp* | Brain | 2012 |
| 13-00283-02 | cps7/mrp | 29 | mrp**** | Brain | 2013 |
| V3667/1 | cps7/mrp | 29 | mrp* | Brain | 2013 |
| A2055/1 | cps7/mrp | 29 | mrp | Joint | 2013 |
| V2310/1 | cps7/mrp | 29 | mrp | Brain | 2013 |
| V3052/2 | cps7/mrp | 29 | mrp | Lung | 2013 |
| D14412/3 | cps7/mrp | 29 | mrp*** | Brain | 2014 |
| 15/2-7 | cps7/mrp | 29 | mrp | Spleen | 2015 |
| 16-00654-02 | cps7/mrp | 29 | mrp**** | Joint | 2016 |
| 16-00654-03 | cps7/mrp | 29 | mrp**** | Pericardium | 2016 |
| 16-00552-05 | cps7/mrp | 777 | mrp | Brain | 2016 |
| 16-00131-08 | cps7/mrp | 29 | mrp | Brain | 2016 |
| 16-00052-01 | cps7/mrp | 29 | mrp | Unknown | 2016 |
| 16-00596-02 | cps7/mrp | 29 | mrp* | Brain | 2016 |
| 30Tc | cps7 | nd | – | Tonsil | 2014 |
| 262/3c | cps7 | nd | – | Tonsil | 2015 |
nd: not defined.
aAll strains were isolated from piglets of different herds, except 16-00654-02 and 16-00653-03 as well as 30T and 262/3, respectively.
bAll strains were genotyped in the multiplex (MP) PCR and in the mrp variant PCR described by Silva et al. [19]. None of the strains was positive for the epf gene encoding EF.
cSequences of MLST alleles of strains 30T and 262/3 have also been submitted to the MLST database, but the sequence type has not yet been assigned (id 1792 and 1793, respectively).
Genotyping
Screening of the cps7 isolates by PCR including detection of the cps7H gene and differentiation of variants of the gene encoding the muramidase-released protein (mrp) was conducted as described previously [19], using lysates of S. suis cps7 colonies grown on blood agar plates. For this, colony material was diluted in 100 µL deionized water and lysed at 270W in a microwave for 10 min. Two microliters of the lysate were used as template. S. suis strains D282 (mrp), A3286/94 (mrp*), 90-2741-7 (mrp***) and V7353/1 (mrp****) served as reference strains for the indicated mrp variants and T15 as negative control in this PCR [19]. Noteworthy, the size of the mrp amplification product generated in this PCR defines the mrp variant: 747 bp for mrpS, 1148 bp for mrp, 1556 bp for mrp*, 1600 bp for mrp**, 2000 bp for mrp*** and 2400 bp for mrp**** [19]. The mrp genes of four randomly selected S. suis cps7 strains, which fulfilled the criteria to carry different mrp variants, were sequenced using Sanger Cycle Sequencing/Capillary Electrophoresis (for used primers see Additional file 1). Sequence data have been submitted to GenBank and are available under accession numbers MG214967 to MG214970.
Multi locus sequence typing (MLST) was performed as described, with published primers for the genes gki, dpr, thrA, cpn60, recA [10], mutS [23] and new primers for the gene aroA (aroA_KSvH_rev: AATTCGCTACCAACTCCCTG, aroA_KSvH_for: AAGGTAATAATCGGCAACTC).
Western blot analysis
Culture and protoplast supernatants were obtained of all investigated cps7 strains shown to carry mrp by multiplex PCR. The cps2 strain 10 and its isogenic mrp and ideSsuis mutants 10M7 and 10ΔideSsuis, respectively, served as controls as indicated [20, 24]. Following 30-fold concentration of the culture supernatants with Amicon Ultra 15-mL centrifugal filters with a 30-kDa cutoff (Merck Millipore, Darmstadt, Germany), samples were prepared with reducing sample buffer and separated in separating and stacking gels containing 10 and 4% acrylamide, respectively. After blotting to a nitrocellulose membrane (Roti®-NC HP 40.1, Roth, Karlsruhe, Germany) and blocking with 5% skimmed milk powder dissolved in Tris-buffered saline-Tween 20 (TBST) the primary polyclonal antibody was applied in 1% skimmed milk TBST and at a 1:1000 dilution (rabbit-anti-MRP or rabbit-anti-IdeSsuis as indicated) [20, 26]. Blots were washed 4 times with TBST. A goat-anti-rabbit polyclonal horseradish peroxidase—(HRP) conjugated antibody (Dianova, Hamburg, Germany) served as secondary antibody (1:50 000 in 1% skimmed milk TBST). The Western blot was developed using SuperSignal™ West Pico PLUS Chemiluminescent Substrate (Thermo Scientific, Schwerte, Germany) as recommended by the manufacturer. Additionally, anti-porcine-IgM Western blots were carried out as described above to detect IgM cleavage products in plasma after bactericidal assays. A goat-anti-porcine-IgM (Bethyl, Hamburg, Germany) antibody (1:8000 in 1% skimmed milk TBST) served as the primary antibody. The secondary antibody was a rabbit-anti-goat HRP-conjugated antibody (Dianova, Hamburg, Germany) (1:5000 in 1% skimmed milk TBST). The visualisation of the marker (visible imaging) and the chemiluminescence bands of the same blot was conducted with the Fusion SL system (Vilber Lourmat, France).
ELISA
The determination of IgM and IgG antibody titers followed a standard protocol [27]. Nunc-Immuno™ MicroWell™ 96 well solid plates (Sigma-Aldrich, Taufkirchen, Germany) were coated with 0.2% formaldehyde-inactivated bacteria (S. suis cps7 strain 13-00283-02, cps9 strain 16085/3b and cps2 strain 10cpsΔEF). Serum obtained from a cps2 bacterin-vaccinated piglet (#4515) was used as reference serum and defined to include 100 ELISA units. Serum #4515 mediates killing of S. suis strain 10 (cps2), strain 13-00283-02 (cps7) and to a lesser extent also killing of strain 16085/3b (cps9) with bacterial survival factors in opsonophagocytosis assays at least tenfold (cps2 and cps7) or fourfold (cps9) lower than in the presence of serum from a colostrum-deprived piglet (results not shown). Convalescent sera, obtained from a piglet experimentally infected with a S. suis cps9 strain, served as positive control and sera from colostrum-deprived piglets as negative control. Plates were washed three times with phosphate-buffered saline containing 0.05% Tween 20 (PBST) between incubation with antibodies and substrate. Serum from piglets of different age (4.5, 5.5, 6.5, 7.5, 8.5 and 10.5 weeks of life) was added as samples. For detection of serum IgM and IgG, polyclonal secondary goat-anti-porcine-IgM horseradish-peroxidase (HRP) conjugated antibodies were used, goat-anti-porcine-IgM (Thermo Scientific, Schwerte, Germany, 1:10 000 in PBST) and goat-anti-pig-IgG (A100-105P, Bethyl, Hamburg, Germany, 1:10 000 in PBST), respectively. Plates were developed using 2,2-azino-di-(3-ethylbenzithiazoline sulfonate) (ABTS, Roche, Mannheim, Germany) and H2O2 as the substrate. Absorbance was measured at 405 nm.
For absorption of sera with S. suis 10cpsΔEF, 2 mL of overnight cultures were centrifuged. Pelleted bacteria were resuspended in 200 μL of serum and rotated for 30 min at 4 °C. After centrifugation for 10 min at 10 000 × g, 100 μL of the supernatant was used as absorbed serum in ELISA.
Bactericidal assay
Survival of bacteria was investigated in blood drawn weekly from 5 piglets aged 4.5–8.5 weeks from a herd classified as free of cps7+ and cps9+ strains. This classification was based on the multiplex PCR typing results [19] of S. suis isolates from the tonsils of more than 400 animals over the last 14 years [in the following this herd is referred to as specific pathogen free (spf)]. Furthermore, bacterial survival was investigated in blood drawn from 9 piglets every 2 weeks from a herd known to be infected with several S. suis serotypes, including cps2, cps7 and cps9. The collection of blood samples was approved by the Landesdirektion Sachsen (permit nos. N01/16 and N19/14, respectively). The assay was performed essentially as described [20] but with 6 × 105 CFU of exponentially grown S. suis cps7 strains #451, V2310/1, 13-00283-02, D14412/3 and S. suis cps9 strain 16085/3b mixed with 500 µL heparinized blood. CFU were determined on blood agar plates at t = 0 and t = 120 min with 2 h incubation on a rotator at 37 °C. In another approach, not only bacteria but also 10 µg recombinant IdeSsuis was added to examine the impact of IgM on bacterial survival in porcine blood of piglets at a certain age. The survival factor represented the ratio of CFU at 120 min to CFU at time zero.
Animal experiments
Five spf landrace piglets were infected intravenously with 2 × 108 CFU of S. suis cps7 strain 13-00283-02 grown in Bacto™ Tryptic Soy Broth without dextrose (BD) and afterwards monitored every 8 h. In case of acute clinical signs such as polyarthritis, central nervous system dysfunction (e.g. convulsions) or in case of persisting high fever (≥ 40.5 °C) combined with anorexia and apathy euthanasia was carried out for animal welfare reasons. All piglets underwent necropsy, histopathological and bacteriological screenings as described previously [28]. The bacteriological screenings included analysis of α-hemolytic streptococci in the described MP-PCR. Isolates with a mrp+ arcA+ gdh+ cps7+ genotype were regarded as isolates of the challenge strain.
Weaning of all piglets included in this study was conducted in the 4th week of life.
Statistical analysis
The evaluation of ELISA and bactericidal assays with more than two repeated measures was carried out using one- or two-way analysis of variance (ANOVA) with subsequent Dunn’s or Tukey’s multiple comparison tests. For comparison of ELISA data from one or two time points, the Shapiro–Wilk normality test and subsequently the t test were used. Means and standard deviation of the results are shown. Probabilities lower than 0.05 were considered significant (*p < 0.05, **p < 0.01, ***p < 0.001 and ****p < 0.0001).
Results
Invasive S. suis cps7 strains recently isolated in Germany mainly belong to sequence type 29
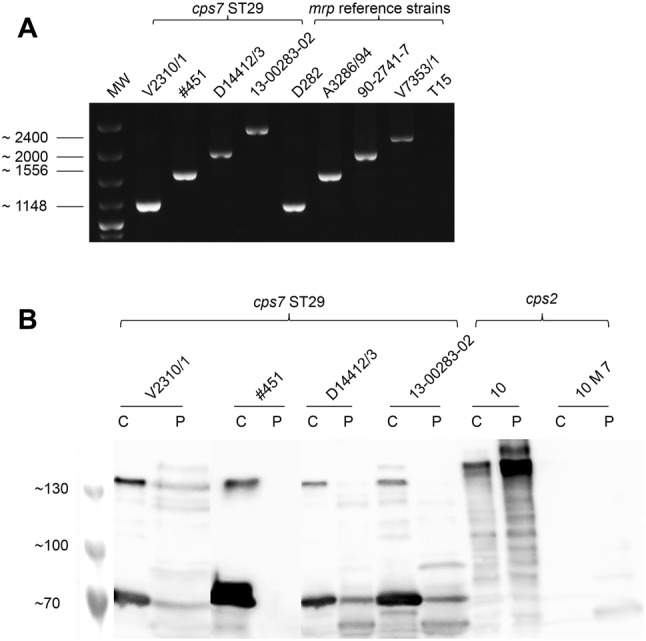
Different diagnostic laboratories and swine veterinarians reported an increased detection of S. suis cps7 infections in association with severe herd problems in Germany and Austria between 2009 and 2016. Based on this observation, we hypothesized the emergence of a new clonal complex. Thus, 22 recent isolates of S. suis cps7 were chosen for further analysis (Table 1). Most strains (12/22) were isolated from the brains of animals from herds with increased mortality of more than 5% at an age between 4 and 10 weeks, mainly due to meningitis. Seven originated from organs such as lung, spleen and joints from diseased piglets of affected herds and 2 from the tonsils of healthy carrier pigs. By MLST analysis 18 of the 22 isolates were shown to be ST29 strains, whereas the other four, including the two isolates from the tonsils, belonged to different STs (Table 1). Typing with a multiplex PCR for virulence-associated factors revealed that 19 of the 22 cps7+ strains generated an mrp amplification product, whereas only one strain was positive for the suilysin gene sly. Notably, four out of six described mrp variants were detected in these strains using an mrp variant PCR, with mrp generating the 1148 bp band, being the most frequent one (Figure 1A, Table 1). In conclusion, the majority of invasive cps7 isolates in Germany belongs to ST29 and has an mrp+ sly− genotype.
Figure 1.

PCR for differentiation of mrp variants (A) and detection of MRP variants by anti-MRP Western blot (B) in the indicated S. suis strains. V2310/1 (mrp); #451 (mrp*); D14412/3 (mrp***); 13-00283-02 (mrp****); mrp reference strains: D282 (mrp); A3286/94 (mrp*); 90-2741-7 (mrp***); V7353/1 (mrp****); T15 (mrp negative reference strain). Strain 10 and the isogenic mrp-mutant 10M7 [24] served as MRP references in the Western blot. MW, 100 bp plus ladder (Invitrogen). Sizes of the PCR products (base pairs) and of the MRP variants (kDa) are indicated on the left. The Western blot was conducted using culture supernatant (C) and protoplast supernatant (P) as samples.
Invasive S. suis cps7 ST29 strains express a truncated MRP
Culture and protoplast supernatants of the cps7 strains were investigated in anti MRP Western blot analyses to detect released and surface-bound MRP, respectively (Figure 1B). Although different variants of the mrp gene were found (Figure 1A), only one pattern of bands was detected, irrespective of the mrp gene variant. This band pattern consisted of one band of approximately ~76 kDa and a further band at ~150 kDa. As shown in Figure 1B, MRP was mainly detected in the culture supernatant and only comparatively weak bands were found in the protoplast supernatant. Based on the band pattern, we hypothesized that the cps7 strains express a truncated MRP due to a premature stop codon, as has been described for 3 American cps7 isolates previously [16]. Four S. suis cps7 strains (#451, V2310/1, 13-00283-02, D14412/3) were chosen for sequence analysis of the mrp gene to investigate this further. The mrp genes of these four strains all had a stop codon (TAA) at the same position as described by Fittipaldi et al. [16] for 3 North American cps7 strains. Our sequences showed 100% homology to the coding sequence of the North American cps7 strains. In agreement with Western blot results, the truncated MRP had a theoretical molecular weight of 76 kDa and was designated MRPs in agreement with previous publications [12]. Thus, our results indicate that invasive German cps7 ST29 strains secrete a truncated MRP protein (MRPs) in accordance with a premature stop codon.
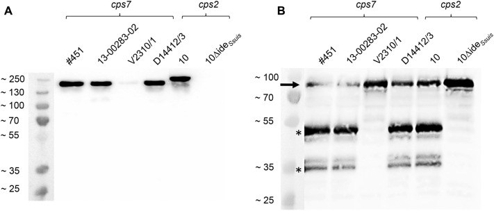
Expression of functional IdeSsuis is variable in the four investigated, invasive S. suis cps7 ST29 strains
IdeSsuis is a highly specific IgM protease which was found to be expressed by all investigated S. suis strains in a previous study which also included one cps7 strain, belonging, however, to ST27 [20]. Thus, it was not clear, if the emerging invasive cps7 ST29 strains express functional IdeSsuis. To clarify this, Western blot analyses for detection of IdeSsuis and IgM cleavage products were conducted. The anti IdeSsuis Western blot of the supernatants of the four selected cps7 ST29 strains revealed specific bands between the 130 and the 250 kDa marker bands, showing small differences in size (Figure 2A). Strain V2310/1 showed a very weak IdeSsuis band. Noteworthy, PCR revealed that all four cps7 strains carried the gene encoding IdeSsuis (Additional file 2). For functional analysis of IdeSsuis, porcine serum was incubated with 30-fold concentrated culture supernatants of the cps7 strains and analysed in an anti-IgM Western blot for detection of cleavage products (Figure 2B). In three of the four investigated cps7 ST29 strains cleavage products with bands running at ~41 and ~32 kDa were detected. Noteworthy, the culture supernatant of strain V2310/1 did not show any IgM cleaving activity. In summary, expression of functional IgM protease IdeSsuis exhibits differences among cps7 ST29 strains.
Figure 2.
Detection of IdeSsuis (A) and IgM cleavage products (B) in Western blot analysis. A Anti-IdeSsuis Western blot of 30-fold concentrated culture supernatants of the indicated S. suis strains. B Anti-IgM Western blot of porcine serum incubated with 30-fold concentrated S. suis culture supernatants. The arrow marks the uncleaved IgM heavy chain, asterisks indicate cleavage products of the heavy chain at ~41 and ~32 kDa. The marker bands are shown on the left (sizes in kDa). Western blots were conducted under reducing conditions.
S. suis cps7 ST29 strains show high proliferation in blood of weaning piglets but an IgM-mediated killing in growing piglets of an infected herd
Bacteremia is thought to be a crucial step in the pathogenesis of S. suis meningitis [29]. We asked if survival of S. suis cps7 strains in the blood of piglets from an infected herd displays age-related phenotypes in relation to the putative changes of specific immunoglobulin titers after weaning. Thus, specific antibody titers and bacterial survival in blood were determined at different time points after weaning in a herd infected with numerous serotypes including cps7. At an age of 4.5 weeks, 9 randomly selected healthy piglets showed mean anti S. suis cps7 IgG titers of 62 ELISA units (SD = 36) (Figure 3). Until 10.5 weeks of age an increase of specific IgG titers was observed with significant differences between 4.5 and 8.5 weeks as well as 10.5 weeks with mean titers of 109 (SD = 30) and 133 ELISA units (SD = 34), respectively (Figure 3). IgM titers against a cps7 strain were very low with a mean titer of 12 ELISA units (SD = 7) at the time of weaning (4.5 weeks) but rose significantly from 4.5 to 6.5 weeks (Figure 4A). At least until the 10.5 week of age these IgM titers remained high with values above 40 ELISA units. Noteworthy, the increase in IgM (and IgG) was observed in all investigated piglets though none of the piglets displayed clinical signs of a disease related to S. suis infection.
Figure 3.

Serum IgG antibody titers against S. suis cps7 ST29 strain 13-00283-02 increase between 4.5 and 10.5 weeks of age in 9 randomly selected, healthy piglets from a herd known to be infected with S. suis cps7, cps2 and cps9. IgG antibody titers of the 9 piglets were determined in sera every 2 weeks between 4.5 and 10.5 weeks of life. Titers rose significantly from 4.5 to 8.5 and 10.5 weeks of age. Means and standard deviations are indicated by horizontal lines and error bars, respectively. Significant differences were determined using one-way ANOVA with a consecutive Dunn’s multiple comparisons test. Significances are indicated (*p < 0.05, **p < 0.01, ***p < 0.001, ****p < 0.0001).
Figure 4.
Survival of S. suis cps7 strains in the blood of 6.5 week old piglets of a herd infected with different S. suis serotypes, including cps7, is partially IgM restricted. A IgM titers against inactivated S. suis cps7 (strain 13-00283-02) rose significantly in these piglets from 4.5 to 6.5 and 8.5 weeks of age. Horizontal lines and error bars indicate means and standard deviations, respectively. B Survival of the indicated S. suis cps7 strains in porcine blood ex vivo is higher in weaning (4.5 weeks) than in growing piglets (8.5 and 10.5 weeks). Survival of the S. suis cps7 strains was determined in blood drawn from the same piglets every 2 weeks. The survival factor represented the ratio of CFU at 120 min to CFU at time zero. To investigate the impact of intact IgM on bacterial survival, blood was incubated with the highly specific IgM protease rIdeSsuis (10 µg). Bars and error bars represent mean values and standard deviations, respectively. C Anti-IgM Western blot for detection of IgM and its cleavage products in plasma samples of a piglet aged 4.5 weeks after bactericidal assays conducted as shown in B. Bactericidal assays included 10 μg rIdeSsuis as indicated. Sizes of the marker bands (kDa) are indicated on the left. Significant differences were determined using one-way (A) or two-way ANOVA (B) and subsequently Tukey’s multiple comparisons test. Significances are indicated (*p < 0.05, **p < 0.01, ***p < 0.001, ****p < 0.0001).
Bactericidal assays were conducted at the described time points of serum sampling and addition of rIdeSsuis was used as a tool to investigate the impact of IgM on bacterial survival. The four investigated S. suis cps7 ST29 strains, which were randomly selected from our collection of invasive cps7 ST29 strains, showed very high survival factors in the blood of 4.5 week old piglets with mean survival factors between 4 and 35, indicating proliferation of the streptococci. The strains were efficiently killed in the blood of the same piglets 2 weeks later (Figure 4B), at a time when the piglets had just undergone a pronounced increase of specific IgM (Figure 4A). Addition of rIdeSsuis, a highly specific protease cleaving porcine IgM but not IgG [20], to the bactericidal assays of the 6.5 week old piglets in amounts sufficient to lead to complete cleavage of IgM (Figure 4C), resulted in a pronounced increase in survival of the cps7 strains. This increase in bacterial survival through addition of rIdeSsuis was statistically significant in 2 of 4 investigated strains and also seen in 8.5 and 10.5 week old piglets, but the effect was smaller in these older piglets. In conclusion, S. suis cps7 ST29 showed high proliferation in the blood of weaning piglets with low specific IgM titers but was restricted very much in survival as IgM increased in these piglets.
The survival pattern of S. suis cps7 ST29 strains in porcine blood is distinct from other strains such as cps9
Next, we investigated the survival pattern of S. suis cps7 ST29 strains in the blood of piglets from a herd known to be free of S. suis cps7 and cps9 strains to find out if the described IgM-mediated killing observed in growing piglets is related to cps7 S. suis infection and not induced by infection with other serotypes. As shown in Figure 5A, survival of S. suis cps7 also decreased as weaning spf piglets became older. In this case, killing of the bacteria, which is indicated by survival factors smaller 1, set in at 8.5 weeks of age, 2 weeks later compared to piglets from the infected herd. In contrast to cps7, we observed only marginal changes in bacterial survival of a cps9 strain in the blood drawn from the same spf weaning and growing piglets as these animals grew older. In contrast to cps7 ST29, the bacterial survival factor of the cps9 strain was above 1 in the blood of 8.5 week old piglets.
Figure 5.
Comparative analysis of survival of different S. suis cps7 strains and a cps9 strain in blood of weaning and growing piglets ex vivo (A) and IgM-antibody titers of these piglets against cps7 (B) and cps9 (C). A Survival of S. suis strains was determined in porcine blood drawn from 5 piglets from a herd known to be free of S. suis cps7 and cps9 strains every week. Survival of S. suis cps7 strains 13-00283-02 and V2310/1 is significantly higher in weaning (4.5–6.5 weeks) than in growing piglets (7.5 and 8.5 weeks). The survival factor represented the ratio of CFU at 120 min to CFU at time zero. Bars and error bars represent mean values and standard deviations, respectively. IgM titers against inactivated cps7 S. suis strain 13-00283-02 (B) and cps9 S. suis strain 16085/3b (C) were measured in the same blood samples as used for the bactericidal assays. IgM titers rose significantly from weaned to 8.5 weeks-old piglets. Means and standard deviations are indicated by horizontal lines and error bars, respectively. Significant differences were determined using two-way ANOVA and subsequently Tukey’s multiple comparisons test (A) and one-way ANOVA with Dunn’s (B) or Tukey’s (C) multiple comparisons test respectively. Significances are indicated (*p < 0.05, **p < 0.01, ***p < 0.001, ****p < 0.0001).
Again, IgM antibodies binding to S. suis cps7 were measured in serum drawn at the same time points as the assays were conducted. While IgM titers against S. suis cps7 were hardly detectable in piglets aged 4.5 weeks, they rose notably with a significant difference between 4.5 and 8.5 weeks (Figure 5B). Significant differences between the cps7-infected and spf piglets in IgM titers against S. suis cps7 strain 13-00283-02 at 4.5, 6.5 and 8.5 weeks of age were not detected (p = 0.2824, p = 0.8383, p = 0.7614, respectively). IgM titers were also measured against S. suis cps9 strain 16085/3b and similar results were obtained. Piglets aged 4.5 weeks had rather low IgM titers, which then increased with a significant difference between 4.5 and 8.5 weeks (Figure 5C). Thus, the high proliferation in blood of weaning piglets as seen for cps7 ST29 strains, could not be detected for a cps9 strain, though IgM titers against both S. suis serotypes were low at an age of 4.5 weeks. As the piglets of this herd were regarded to be free of cps7 and cps9 strains, we figured that the adaptive IgM response should include IgM antibodies directed against other surface antigens than the capsular polysaccharides. As an unencapsulated mutant of S. suis ST29 was not available, we used the unencapsulated mutant of cps2 strain 10, namely 10cpsΔEF, to investigate the observed IgM response further. As shown in Additional file 3, absorption of sera with 10cpsΔEF resulted in a substantial reduction of antibodies at 6.5 weeks of age, detectable in the ELISA measuring antibodies against S. suis cps7 strain 13-00283-02. Furthermore, between 4.5 and 6.5 week of age spf piglets demonstrated a substantial increase in IgM antibodies binding to immobilised strain 10cpsΔEF (Additional file 4). These results suggested that the adaptive IgM immune response observed in these piglets included cross-reacting antibodies directed against other bacterial surface antigens than the capsular polysaccharides.
Experimental infection of weaning piglets with S. suis cps7 ST29 leads to severe clinical signs and pathologies
The bactericidal assays revealed that the cps7 ST29 strain 13-00283-02 showed significantly higher survival factors in the blood of weaning piglets (4.5 weeks of age) than the cps7 ST29 strains #451 and D14412/3, independently of the infection status of the piglets (p < 0.0001 in case of the spf piglets, p = 0.003 and p = 0.0224, respectively, in case of the piglets from the herd known to be infected with several S. suis serotypes). Differences between strain V2310/1 and strains #451 and D14412/3 were also notable. This was significant in case of the spf piglets (p < 0.0001).
Thus, we chose strain 13-00283-02 to confirm virulence in experimental infection and to establish an animal model for future vaccination and pathogenesis studies.
All five spf piglets infected intravenously with S. suis cps7 strain 13-00283-02 at an age of 5 weeks demonstrated clinical signs in relation to polyarthritis (lameness, swollen joints, pain vocalization) and central nervous system dysfunctions (opisthotonus, ataxia, generalized tremor) within 36 h post-infection and were euthanized for animal welfare reasons. Histopathological screenings revealed severe lesions leading to a high score of ω = 4.4 (ω is calculated by division of the sum of the highest scores of each animal for any of the investigated organs by the number of animals: ω = Σscoremax/nanimals [28]; 5 is the highest possible score). Severe, diffuse fibrinosuppurative meningitis was diagnosed in three piglets, whereas one piglet had a mild, diffuse mixed cell (neutrophils, mononuclear cells) meningitis. Furthermore, severe fibrinosuppurative polyarthritis was found in one piglet and mild multifocal mixed cell (neutrophils, mononuclear cells) serositis in all but one animal (Additional file 5). The infection strain was isolated from different organs of every piglet including cerebrospinal fluid and the brain. In conclusion, experimental infection confirmed that S. suis cps7 ST29 is a virulent pathotype causing meningitis in weaning piglets.
Discussion
Previous research on cps distribution of S. suis revealed the highest prevalences for cps9 and cps2, followed by other cps types such as cps1 and cps7 in Europe [12, 19]. Invasive cps2 strains mainly belong to ST1 but might also occur in ST25 and 28. ST16 is also important in Europe and associated with invasive isolates, mainly belonging to cps9 [6, 11–13, 30]. Recently, cps7 strains were detected in a number of cases with severe herd problems in Germany. All but two of our investigated invasive cps7 strains belong to ST29 suggesting that ST29 cps7 strains are emerging in Europe. Schultsz et al. describe a clonal complex 25 with ST29 as secondary founder based on the analysis of isolates obtained in the Netherlands [11], whilst ST29 is the primary founder of clonal complex 29 in the recent analysis of isolates from around the world conducted by Goyette-Desjardins et al. [6]. Cps7 is dominating in this clonal complex [6], which is supported by the MLST database and our results.
In serotypes 2 and 9 strains, MRP is a surface-associated protein anchored to the cell-wall through an LPXTG-motif [19, 31]. Recently, MRP has been shown to mediate binding of fibrinogen to the bacterial surface of S. suis cps2 contributing to survival in human blood as well as to adhesion and traversal across human cerebral microvascular endothelial cells [17, 18]. In this work, we describe an emerging S. suis cps7 pathotype in Germany that secretes a short MRP variant of 76 kDa lacking an LPXTG motif. The reason for the additional 150 kDa band visible in the culture supernatants is not known but it might represent a dimer band of MRPs. In case the detected STOP codon in the mrp gene of the cps7 strains had been overread, an LPXTG motif would be present and a prominent band of approximately 150 kDa should have also been detectable in the protoplast supernatant as in the case of MRP of S. suis cps2, which is, however, not the case (nucleotides TTGCCAAATACTGGT encoding LPNTG are still present in the downstream sequence of mrpS, see FJ685526.1 in GenBank). Though we did not conduct loss-of-function experiments, the fact that MRPS was mainly found in the supernatant (Figure 1B) suggests that the main function of MRPs is not to recruit fibrinogen to the bacterial surface. However, the fibrinogen binding domain was mapped to amino acids 283–721 in cps2 MRP [18] and amino acids 283–697 of this region are conserved with 62% identity in MRPs suggesting that MRPs might still bind fibrinogen. Though a recent study by Wang et al. indicates that the interaction of fibrinogen with MRP on the bacterial surface promotes the development of meningitis in S. suis serotype 2 [17], S. suis ST29 strains secreting MRPs were isolated from numerous cases with meningitis herd problems and meningitis was experimentally induced in four of five piglets intravenously infected in this study with a S. suis cps7 strain secreting MRPs. Anchorage of MRP to the cell wall was obviously not crucial for the evolution of this S. suis pathotype and its ability to cause meningitis. As MRP is a main immunogen of S. suis [27], secretion of MRPs might constitute an evasion mechanism against opsonophagocytic killing mediated by anti-MRP antibodies detectable in many piglets in Europe. In cps2, expression of MRP is associated with strains of increased virulence in Europe [14]. Whether expression of MRPs is also a virulence marker in cps7, warrants further investigation.
Natural as well as adaptive IgM has been demonstrated to be effective in protection against S. pneumoniae infection using transgenic mice [32]. Furthermore, experimental studies in mice indicate that IgM is crucial for protection against relapsing fever due to infection with Borrelia species and recurrent episodes of high bacteremia [33, 34]. In this study, we used bactericidal assays with addition of the highly specific IgM protease IdeSsuis to assess the role of adaptive IgM in the control of S. suis bacteremia in the natural host. Survival of S. suis cps7 ST29 in blood drawn from 6- to 8-week-old piglets with adaptive IgM was very much restricted by IgM. Noteworthy, all randomly selected piglets showed a prominent increase of anti S. suis specific IgM from very low values at an age of 4.5 weeks to much higher values at an age of 6–8 weeks, suggesting that in the field many piglets go through an early adaptive immune response against this pathogen during this time of life even if no clinical signs are detectable. Serological data obtained using an unencapsulated mutant of a cps2 strain as antigen suggests that adaptive IgM against S. suis in naturally infected pigs is not only directed against capsular polysaccharides but against other surface antigens. These adaptive IgM antibodies are putatively cross-reacting with different cps types and explain why we recorded an increase in IgM antibodies binding to S. suis cps7 ST29 though the piglets were regarded as free of cps7.
Importantly, survival of S. suis cps7 ST29 strains in porcine blood showed an opposing trend to this increase of IgM. Though specific IgG also increased from week 4 to 10 (Figure 3), the sharp decline in bacterial survival from 4.5 to 6.5 weeks of age was mainly IgM-mediated as addition of IdeSsuis to the blood of 6.5-week-old piglets resulted in survival factors comparable to the ones in blood of 4.5 week old piglets and IdeSsuis is known to cleave only IgM and not IgG [20]. The increase in bacterial survival through addition of IdeSsuis was lessened at an age of 8.5 and 10.5 weeks, probably due to further increasing, most likely opsonizing, specific IgG.
IdeSsuis has been described to be expressed by all investigated S. suis strains [20]. One cps7 strain (V2310/1) investigated here expressed comparatively small amounts of IdeSsuis, not sufficient to allow detection of IgM cleavage products. Our results indicated that the expression of IdeSsuis by S. suis, at least in the case of cps7 ST29, is not sufficient to evade IgM-mediated killing in porcine blood with high IgM titers. However, S. suis cps9 did not show this trend as survival factors were similar at 8.5 and 4.5 weeks of age. Our results suggested that S. suis cps7 ST29 infections but not cps9 infections should occur more often in young weaning piglets up to 6/7 weeks rather than in older growing piglets. Years ago, this was also observed in Denmark where field isolates of cps7 were mostly isolated from piglets under 3 weeks of age [35]. Wisselink et al. observed no age-related difference in susceptibility to S. suis serotypes 2, 7 and 9 [12]. However, serotype 1 strains were mostly isolated from 3-week-old piglets, indicating that there are differences between serotypes regarding susceptibility at different age classes. Unfortunately, the age of the piglets the investigated cps7 strains were originally isolated from, is not well documented. Future epidemiological studies are needed to document the prevalences of cps7 infections at different age classes.
In summary, this study shows that invasive cps7 ST29 strains might secrete MRPs and proliferate efficiently in blood of weaning piglets with low IgM titers in accordance with experimental induction of arthritis and meningitis at this age. This is important for understanding host–pathogen interaction and development of vaccines against this emerging pathotype.
Additional files
Additional file 1. Sequences of oligonucleotide primers. Name, sequence and position of primer sequences used for mrp sequencing.
Additional file 2. Detection of ideSsuis in different S. suis cps7 strains via PCR. Primers that bind in the conserved region of ideSsuis (IdeSsuis_con_fo: GGGGAAGTAGCGGTAGAGATGAAAG and IdeSsuis_con_re: GATTGACACCGCCCTGTGCC) were used for amplification of ideSsuis in cps7 strains #451, 13-00283-02, V2310/1 and D14412/3. Strain 10 served as positive and 10∆ideSsuis as negative reference strains. MW, 100 bp plus ladder (Invitrogen). Sizes of selected marker bands (in base pairs) are indicated on the left.
Additional file 3. IgM titers in the sera of the investigated 6.5 week old cps7 free piglets against cps7 strain 13-00283-02 are substantially reduced after preabsorption with strain 10cpsΔEF. IgM antibody titers of the 5 piglets investigated for the data presented in Figure 5 were also determined after absorption of the sera with the unencapsulated cps2 mutant strain 10cps∆EF. Means and standard deviations are indicated by horizontal lines and error bars, respectively. Each symbol represents a different animal. Differences were not significant using a two-tailed paired t-test.
Additional file 4. Titers of serum IgM antibodies binding to the unencapsulated strain 10cpsΔEF increase in the five investigated cps7 free piglets from 4.5 to 6.5 weeks of age. The unencapsulated mutant 10cpsΔEF of cps2 strain 10 was used as antigen in an ELISA for determination of IgM antibodies binding to other S. suis antigens but capsular polysaccharides in the 5 piglets investigated for the data presented in Figure 5, which were from a herd considered free of cps7 and cps9. Means and standard deviations are indicated by horizontal lines and error bars, respectively. Each symbol represents a different animal. Differences were not significant using a two-tailed paired t-test.
Additional file 5. Scoring of fibrinosuppurative lesions of piglets challenged with S.suis cps7 strain 13-00283-02 (mrp+ cps7). Five spf piglets were infected intravenously with 2 × 108 CFU of S. suis cps7 ST29 strain 13-00283-02 and afterwards monitored every 8 h. All piglets demonstrated clinical signs in relation to polyarthritis (lameness, swollen joints, pain vocalization) and/or central nervous system dysfunctions (opisthotonus, ataxia, generalized tremor) within 36 h post-infection and were euthanized for animal welfare reasons. Necropsies and histopathological screenings of the indicated tissues were conducted with all 5 piglets as described [28].
Competing interests
The authors declare that they have no competing interests.
Authors’ contributions
KR designed and conducted experiments. Furthermore, KR analysed the data and drafted the manuscript. AS, VR and KK conducted experiments. The experimental infection and necropsies were performed by KR, AS and CGB. KS did the histopathological screenings. CGB conceived the study and designed experiments. All authors read and approved the final manuscript.
Acknowledgements
We thank Jutta Verspohl (Institute for Microbiology, University of Veterinary Medicine Hannover, Germany), Peter Valentin-Weigand (Institute for Microbiology, University of Veterinary Medicine Hannover, Germany), Isabel Hennig-Pauka (University Clinic for Swine, University of Veterinary Medicine Vienna, Austria) and Bernd Andreas Schwarz (Vaxxinova GmbH, Leipzig, Germany) for providing S. suis cps7 strains. The cps2 strains D282, T15, strain 10 and its isogenic mrp-mutant 10M7 as well as its unencapsulated mutant 10cps∆EF were kindly provided by Henk Wisselink and Hilde Smith (both DLO-Lelystadt, The Netherlands). Further mrp reference strains were obtained from Jutta Verspohl and Peter Valentin-Weigand. We are very grateful to Jana Seele and Peter Valentin-Weigand (both Institute for Microbiology, University of Veterinary Medicine Hannover, Germany) for their important support in establishing S. suis research at the University of Leipzig.
Ethics approval and consent to participate
All animal experiments or sampling were conducted by veterinarians and in accordance with the principles outlined in the European Convention for the Protection of Vertebrate Animals Used for Experimental and Other Scientific Purposes and the German Animal Protection Law (Tierschutzgesetz). The animal experiment of this study was approved by the Landesdirektion Sachsen (Permit No. TVV26/15), which includes approval through the registered committee for animal experiments. The collection of blood samples was approved by the Landesdirektion Sachsen (Permit Nos. N01/16 and N19/14, respectively).
Funding
This study was financially supported by IDT Biologika GmbH and the German Research Foundation (DFG BA 4730/3-1).
Publisher’s Note
Springer Nature remains neutral with regard to jurisdictional claims in published maps and institutional affiliations.
Abbreviations
- S.
Streptococcus
- ST
sequence type
- MRP
muramidase-released protein
- EF
extracellular factor protein
- IdeSsuis
immunoglobulin M-degrading enzyme of Streptococcus suis
- Ig
immunglobulin
- MLST
multi locus sequence typing
- spf
specific pathogen free
Footnotes
Electronic supplementary material
The online version of this article (10.1186/s13567-018-0544-8) contains supplementary material, which is available to authorized users.
Contributor Information
Karoline Rieckmann, Email: karoline.schmitz_von_huelst@uni-leipzig.de.
Anna Seydel, Email: anna.seydel@gmx.de.
Kristin Szewczyk, Email: kristin.mueller@vetmed.uni-leipzig.de.
Kerstin Klimke, Email: klimke@vetmed.uni-leipzig.de.
Viktoria Rungelrath, Email: viktoria.rungelrath@uni-leipzig.de.
Christoph Georg Baums, Email: christoph.baums@vetmed.uni-leipzig.de.
References
- 1.Gottschalk M (2012) Streptococcosis. In: Zimmermann JJ, Karriker LA, Ramirez A, Schwartz KJ SG (eds) Diseases of swine, 10th edition, pp 841–855
- 2.Higgins R, Gottschalk M, Boudreau M, Lebrun A. Description of six new capsular types (29–34) of Streptococcus suis. J Vet Diagn Invest. 1995;7:405–406. doi: 10.1177/104063879500700322. [DOI] [PubMed] [Google Scholar]
- 3.Gottschalk M, Higgins R, Jacques M, Mittal KR, Henrichsen J. Description of 14 new capsular types of Streptococcus suis. J Clin Microbiol. 1989;27:2633–2636. doi: 10.1128/jcm.27.12.2633-2636.1989. [DOI] [PMC free article] [PubMed] [Google Scholar]
- 4.Gottschalk M, Higgins R, Jacques M, Beaudoin M, Henrichsen J. Characterization of six new capsular types (23 through 28) of Streptococcus suis. J Clin Microbiol. 1991;29:2590–2594. doi: 10.1128/jcm.29.11.2590-2594.1991. [DOI] [PMC free article] [PubMed] [Google Scholar]
- 5.Perch B, Pedersen KB, Henrichsenl J. Serology of capsulated streptococci pathogenic for pigs: six new serotypes of Streptococcus suis. J Clin Microbiol. 1983;17:993–996. doi: 10.1128/jcm.17.6.993-996.1983. [DOI] [PMC free article] [PubMed] [Google Scholar]
- 6.Goyette-Desjardins G, Auger J-P, Xu J, Segura M, Gottschalk M. Streptococcus suis, an important pig pathogen and emerging zoonotic agent-an update on the worldwide distribution based on serotyping and sequence typing. Emerg Microbes Infect. 2014;3:e45. doi: 10.1038/emi.2014.45. [DOI] [PMC free article] [PubMed] [Google Scholar]
- 7.Tien LHT, Nishibori T, Nishitani Y, Nomoto R, Osawa R. Reappraisal of the taxonomy of Streptococcus suis serotypes 20, 22, 26, and 33 based on DNA–DNA homology and sodA and recN phylogenies. Vet Microbiol. 2013;162:842–849. doi: 10.1016/j.vetmic.2012.11.001. [DOI] [PubMed] [Google Scholar]
- 8.Blume V, Luque I, Vela AI, Borge C, Maldonado A, Dominguez L, Tarradas C, Fernandez-Garayzabal JF. Genetic and virulence-phenotype characterization of serotypes 2 and 9 of Streptococcus suis swine isolates. Int Microbiol. 2009;12:161–166. [PubMed] [Google Scholar]
- 9.Luey CKY, Chu YW, Cheung TKM, Law CCP, Chu MY, Cheung DTL, Kam KM. Rapid pulsed-field gel electrophoresis protocol for subtyping of Streptococcus suis serotype 2. J Microbiol Methods. 2006;68:648–650. doi: 10.1016/j.mimet.2006.10.010. [DOI] [PubMed] [Google Scholar]
- 10.King SJ, Leigh JA, Heath PJ, Luque I, Tarradas C, Dowson CG, Whatmore AM. Development of a multilocus sequence typing scheme for the pig pathogen Streptococcus suis: identification of virulent clones and potential capsular serotype exchange. J Clin Microbiol. 2002;40:3671–3680. doi: 10.1128/JCM.40.10.3671-3680.2002. [DOI] [PMC free article] [PubMed] [Google Scholar]
- 11.Schultsz C, Jansen E, Keijzers W, Rothkamp A, Duim B, Wagenaar JA, van der Ende A. Differences in the population structure of invasive Streptococcus suis strains isolated from pigs and from humans in the Netherlands. Plos One. 2012;7:e33854. doi: 10.1371/journal.pone.0033854. [DOI] [PMC free article] [PubMed] [Google Scholar]
- 12.Wisselink HJ, Smith HE, Stockhofe-Zurwieden N, Peperkamp K, Vecht U. Distribution of capsular types and production of muramidase-released protein (MRP) and extracellular factor (EF) of Streptococcus suis strains isolated from diseased pigs in seven European countries. Vet Microbiol. 2000;74:237–248. doi: 10.1016/S0378-1135(00)00188-7. [DOI] [PubMed] [Google Scholar]
- 13.Aarestrup FM, Jorsal SE, Jensen NE. Serological characterization and antimicrobial susceptibility of Streptococcus suis isolates from diagnostic samples in Denmark during 1995 and 1996. Vet Microbiol. 1998;60:59–66. doi: 10.1016/S0378-1135(98)00147-3. [DOI] [PubMed] [Google Scholar]
- 14.Vecht U, Wisselink HJ, Van Dijk JE, Smith HE. Virulence of Streptococcus suis type 2 strains in newborn germfree pigs depends on phenotype. Infect Immun. 1992;60:550–556. doi: 10.1128/iai.60.2.550-556.1992. [DOI] [PMC free article] [PubMed] [Google Scholar]
- 15.King SJ, Heath PJ, Luque I, Tarradas C, Dowson CG, Whatmore AM. Distribution and genetic diversity of suilysin in Streptococcus suis isolated from different diseases of pigs and characterization of the genetic basis of suilysin absence. Infect Immun. 2001;69:7572–7582. doi: 10.1128/IAI.69.12.7572-7582.2001. [DOI] [PMC free article] [PubMed] [Google Scholar]
- 16.Fittipaldi N, Fuller TE, Teel JF, Wilson TL, Wolfram TJ, Lowery DE, Gottschalk M. Serotype distribution and production of muramidase-released protein, extracellular factor and suilysin by field strains of Streptococcus suis isolated in the United States. Vet Microbiol. 2009;139:310–317. doi: 10.1016/j.vetmic.2009.06.024. [DOI] [PubMed] [Google Scholar]
- 17.Wang J, Kong D, Zhang S, Jiang H, Zheng Y, Zang Y, Hao H, Jiang Y. Interaction of fibrinogen and muramidase-released protein promotes the development of Streptococcus suis meningitis. Front Microbiol. 2015;6:1001. doi: 10.3389/fmicb.2015.01001. [DOI] [PMC free article] [PubMed] [Google Scholar]
- 18.Pian Y, Wang P, Liu P, Zheng Y, Zhu L, Wang H, Xu B, Yuan Y, Jiang Y. Proteomics identification of novel fibrinogen-binding proteins of Streptococcus suis contributing to antiphagocytosis. Front Cell Infect Microbiol. 2015;5:19. doi: 10.3389/fcimb.2015.00019. [DOI] [PMC free article] [PubMed] [Google Scholar]
- 19.Silva LMG, Baums CG, Rehm T, Wisselink HJ, Goethe R, Valentin-Weigand P. Virulence-associated gene profiling of Streptococcus suis isolates by PCR. Vet Microbiol. 2006;115:117–127. doi: 10.1016/j.vetmic.2005.12.013. [DOI] [PubMed] [Google Scholar]
- 20.Seele J, Singpiel A, Spoerry C, von Pawel-Rammingen U, Valentin-Weigand P, Baums CG. Identification of a novel host-specific IgM protease in Streptococcus suis. J Bacteriol. 2013;195:930–940. doi: 10.1128/JB.01875-12. [DOI] [PMC free article] [PubMed] [Google Scholar]
- 21.Seele J, Beineke A, Hillermann LM, Jaschok-Kentner B, von Pawel-Rammingen U, Valentin-Weigand P, Baums CG. The immunoglobulin M-degrading enzyme of Streptococcus suis, IdeSsuis, is involved in complement evasion. Vet Res. 2015;46:45. doi: 10.1186/s13567-015-0171-6. [DOI] [PMC free article] [PubMed] [Google Scholar]
- 22.Bourne FJ. Symposium on “nutrition of the young farm animal”. The immunoglobulin system of the suckling pig. Proc Nutr Soc. 1973;32:205–215. doi: 10.1079/PNS19730041. [DOI] [PubMed] [Google Scholar]
- 23.Rehm T, Baums CG, Strommenger B, Beyerbach M, Valentin-Weigand P, Goethe R. Amplified fragment length polymorphism of Streptococcus suis strains correlates with their profile of virulence-associated genes and clinical background. J Med Microbiol. 2007;56:102–109. doi: 10.1099/jmm.0.46616-0. [DOI] [PubMed] [Google Scholar]
- 24.Smith HE, Vecht U, Wisselink HJ, Stockhofe-Zurwieden N, Biermann Y, Smits MA. Mutants of Streptococcus suis types 1 and 2 impaired in expression of muramidase-released protein and extracellular protein induce disease in newborn germfree pigs. Infect Immun. 1996;64:4409–4412. doi: 10.1128/iai.64.10.4409-4412.1996. [DOI] [PMC free article] [PubMed] [Google Scholar]
- 25.Smith HE, Damman M, van der Velde J, Wagenaar F, Wisselink HJ, Stockhofe-Zurwieden N, Smits MA. Identification and characterization of the cps locus of Streptococcus suis serotype 2: the capsule protects against phagocytosis and is an important virulence factor. Infect Immun. 1999;67:1750–1756. doi: 10.1128/iai.67.4.1750-1756.1999. [DOI] [PMC free article] [PubMed] [Google Scholar]
- 26.Beineke A, Bennecke K, Neis C, Schröder C, Waldmann K-H, Baumgärtner W, Valentin-Weigand P, Baums CG. Comparative evaluation of virulence and pathology of Streptococcus suis serotypes 2 and 9 in experimentally infected growers. Vet Microbiol. 2008;128:423–430. doi: 10.1016/j.vetmic.2007.10.028. [DOI] [PubMed] [Google Scholar]
- 27.Baums CG, Kock C, Beineke A, Bennecke K, Goethe R, Schröder C, Waldmann K-H, Valentin-Weigand P. Streptococcus suis bacterin and subunit vaccine immunogenicities and protective efficacies against serotypes 2 and 9. Clin Vaccine Immunol. 2009;16:200–208. doi: 10.1128/CVI.00371-08. [DOI] [PMC free article] [PubMed] [Google Scholar]
- 28.Baums CG, Kaim U, Fulde M, Ramachandran G, Goethe R, Valentin-Weigand P. Identification of a novel virulence determinant with serum opacification activity in Streptococcus suis. Infect Immun. 2006;74:6154–6162. doi: 10.1128/IAI.00359-06. [DOI] [PMC free article] [PubMed] [Google Scholar]
- 29.Fittipaldi N, Segura M, Grenier D, Gottschalk M. Virulence factors involved in the pathogenesis of the infection caused by the swine pathogen and zoonotic agent Streptococcus suis. Future Microbiol. 2012;7:259–279. doi: 10.2217/fmb.11.149. [DOI] [PubMed] [Google Scholar]
- 30.Tian Y, Aarestrup FM, Lu CP. Characterization of Streptococcus suis serotype 7 isolates from diseased pigs in Denmark. Vet Microbiol. 2004;103:55–62. doi: 10.1016/j.vetmic.2004.07.009. [DOI] [PubMed] [Google Scholar]
- 31.Smith HE, Vecht U, Gielkens ALJ, Smits MA. Cloning and nucleotide sequence of the gene encoding the 136-kilodalton surface protein (muramidase-released protein) of Streptococcus suis type 2. Infect Immun. 1992;60:2361–2367. doi: 10.1128/iai.60.6.2361-2367.1992. [DOI] [PMC free article] [PubMed] [Google Scholar]
- 32.Haas KM, Poe JC, Steeber DA, Tedder TF. B-1a and B-1b cells exhibit distinct developmental requirements and have unique functional roles in innate and adaptive immunity to S. pneumoniae. Immunity. 2005;23:7–18. doi: 10.1016/j.immuni.2005.04.011. [DOI] [PubMed] [Google Scholar]
- 33.Yokota M, Morshed MG, Nakazawa T, Konishi H. Protective activity of Borrelia duttonii-specific immunoglobulin subclasses in mice. J Med Microbiol. 1997;46:675–680. doi: 10.1099/00222615-46-8-675. [DOI] [PubMed] [Google Scholar]
- 34.Alugupalli KR, Gerstein RM, Chen J, Szomolanyi-Tsuda E, Woodland RT, Leong JM. The resolution of relapsing fever borreliosis requires IgM and is concurrent with expansion of B1b lymphocytes. J Immunol. 2003;170:3819–3827. doi: 10.4049/jimmunol.170.7.3819. [DOI] [PubMed] [Google Scholar]
- 35.Boetner AG, Binder M, Bille-Hansen V. Streptococcus suis infections in Danish pigs and experimental infection with Streptococcus suis serotype 7. Acta Pathol Microbiol Immunol Scand B. 1987;95:233–239. doi: 10.1111/j.1699-0463.1987.tb03118.x. [DOI] [PubMed] [Google Scholar]
Associated Data
This section collects any data citations, data availability statements, or supplementary materials included in this article.
Supplementary Materials
Additional file 1. Sequences of oligonucleotide primers. Name, sequence and position of primer sequences used for mrp sequencing.
Additional file 2. Detection of ideSsuis in different S. suis cps7 strains via PCR. Primers that bind in the conserved region of ideSsuis (IdeSsuis_con_fo: GGGGAAGTAGCGGTAGAGATGAAAG and IdeSsuis_con_re: GATTGACACCGCCCTGTGCC) were used for amplification of ideSsuis in cps7 strains #451, 13-00283-02, V2310/1 and D14412/3. Strain 10 served as positive and 10∆ideSsuis as negative reference strains. MW, 100 bp plus ladder (Invitrogen). Sizes of selected marker bands (in base pairs) are indicated on the left.
Additional file 3. IgM titers in the sera of the investigated 6.5 week old cps7 free piglets against cps7 strain 13-00283-02 are substantially reduced after preabsorption with strain 10cpsΔEF. IgM antibody titers of the 5 piglets investigated for the data presented in Figure 5 were also determined after absorption of the sera with the unencapsulated cps2 mutant strain 10cps∆EF. Means and standard deviations are indicated by horizontal lines and error bars, respectively. Each symbol represents a different animal. Differences were not significant using a two-tailed paired t-test.
Additional file 4. Titers of serum IgM antibodies binding to the unencapsulated strain 10cpsΔEF increase in the five investigated cps7 free piglets from 4.5 to 6.5 weeks of age. The unencapsulated mutant 10cpsΔEF of cps2 strain 10 was used as antigen in an ELISA for determination of IgM antibodies binding to other S. suis antigens but capsular polysaccharides in the 5 piglets investigated for the data presented in Figure 5, which were from a herd considered free of cps7 and cps9. Means and standard deviations are indicated by horizontal lines and error bars, respectively. Each symbol represents a different animal. Differences were not significant using a two-tailed paired t-test.
Additional file 5. Scoring of fibrinosuppurative lesions of piglets challenged with S.suis cps7 strain 13-00283-02 (mrp+ cps7). Five spf piglets were infected intravenously with 2 × 108 CFU of S. suis cps7 ST29 strain 13-00283-02 and afterwards monitored every 8 h. All piglets demonstrated clinical signs in relation to polyarthritis (lameness, swollen joints, pain vocalization) and/or central nervous system dysfunctions (opisthotonus, ataxia, generalized tremor) within 36 h post-infection and were euthanized for animal welfare reasons. Necropsies and histopathological screenings of the indicated tissues were conducted with all 5 piglets as described [28].



