Abstract
Purpose
Colon cancer (CC) is a very common gastrointestinal tumor that is prone to invasion and metastasis in the late stage. This study aims to observe the expression of Na+/Ca2+ exchangers (NCXs) and analyze the correlation between NCXs and the prognosis of CC.
Methods
Specimens of 111 stage II–IV CC patients were collected. We used western blotting, qPCR, and immunohistochemical staining to observe the distributions and expression levels of NCX isoforms (NCX1, NCX2, and NCX3) in CC and distal normal tissues. Cox proportional hazards models were used to assess prognostic factors for patients.
Results
The expression of NCXs in most tumor specimens was lower than that in normal tissues. The NCX expression levels in tumor tissues from the primary tumor, local lymph node metastasis sites, and distant liver metastasis sites were increasingly significantly lower than those in normal tissues. The results of the Kaplan-Meier survival curves showed that the downregulation of any NCX isoform was closely related to the worse prognosis of advanced CC.
Conclusion
NCXs can be used as independent prognostic factors for CC. Our research results are expected to provide new targets for the treatment of CC.
Keywords: NCX, Colon cancer, Calcium ion, Prognosis
Introduce
Colon cancer (CC), one of the malignant tumors of the digestive tract, is the third most common cancer and the fourth leading cause of cancer-related death worldwide [1]. Patients with early-stage CC have a better prognosis after surgery. However, those with late-stage CC often develop local invasion and distant metastasis, which leads to a poor prognosis [2, 3]. Many studies have confirmed that the excessive opening of some calcium (Ca2+) channels, such as NMDA, STIM-I, T-type, TRP, and IP3, on the cytomembrane and the endoplasmic reticulum may induce an increase in cytosolic Ca2+ in cancer cells [4–7]. The upregulation of Ca2+ signaling in cancer cells contributes to the development of malignant phenotypes, including proliferation, immortalization, angiogenesis, invasion, immune evasion, and drug resistance [8].
Ca2+ is a ubiquitous second messenger that serves as a signaling molecule for a variety of cellular processes, such as control of the cell cycle, apoptosis, and cerebellar synapse function, and is simultaneously related to peristalsis, secretion, and immunity [9]. The cytosolic concentration of Ca2+ needs to remain constant, and the equivalent amount of imported Ca2+ has to be continuously removed from the cytoplasm. Two kinds of transporters are responsible for the elimination of cytoplasmic Ca2+. One is the Ca2+-ATP pump (PMCA), which is very sensitive to oxidative stress [10]. In terms of quantity, the PMCA has a secondary effect on the overall regulation of neuronal Ca2+ [11]. The other transporter is called the Na+/Ca2+ exchanger (NCX). NCXs operate with a far higher turnover rate than PMCA and are considered to have a stronger ability to discharge cytoplasmic Ca2+ in many organizations [12, 13]. NCX proteins mediate the uphill Ca2+ outflow in exchange with the downhill Na+ transport, with a ratio of 3 Na+:1 Ca2+. However, under certain altered conditions, such as high intracellular Na+ and high positive membrane potential, NCXs may work in the reverse mode and induce Ca2+ influx [14].
Three isoforms of NCXs have been found in mammals: NCX1, NCX2, and NCX3. NCX1 is distributed in several tissues and has been extensively studied. The NCX2 and NCX3 genes, however, were mainly found in the central nervous system [15–17]. Therefore, research on NCXs has focused on the heart and brain [18, 19]. To date, some functional studies have explored to the roles of NCXs in the field of cancer in the breast, lung, esophageal, and prostate [20, 21], but little is known about the role of NCXs in CC. The carrier-mediated calcium uptake mechanism exists in the epithelial cells of human colon glands, and NCX was found in the human colon epithelium [22] as a plasma membrane transporter that removes Ca2+ or allows the entry of Ca2+ in the cell and maintains cell calcium homeostasis. In vitro rat experiments also revealed that NCXs existed in the apical area of colonic epithelial cells [23]. NCX1 and NCX2 were expressed in nerve cells of the muscle layer of mice. NCX1 can increase colonic peristalsis by increasing the release of acetylcholine in intestinal nerve cells [24]. Upregulation of NCX1 through the response induced by spot stimulation in the vertical smooth muscle showed that transgenic mice had stronger transient colonic relaxation than wild-type mice, and NCX1 was triggered by the NO/sGC/PGG signaling pathway [25]. In the pathological environment of intestinal malignant tumors, the original calcium homeostasis was broken, forming a “new homeostasis” in which the intracellular calcium ion concentration of colorectal gland epithelial tumors increased [26, 27]. However, the role of the expression levels of NCXs in the [Ca2+]i increase in promoting the invasion and metastasis of CC cells is still controversial.
It was reported earlier that N-dimethyl-D-erythro-sphingosine (DMS), an inhibitor of protein kinase C and sphingosine kinase, can induce an increase in the intracellular calcium concentration ([Ca+]i) in HCT116 colon cancer cells, which suggested that NCX was positively involved in DMS-induced [Ca2+]i increase by using NCX inhibitors a priori and NiCl2 to block NCX’s reverse transport of calcium ions into the cell to reduce [Ca2+]i [26]. On the one hand, the expression level of NCX was not clear. On the other hand, bepridil (a non-NCX-specific inhibitor) inhibited both receptor-operated calcium channels and voltage-operated calcium channels in vascular smooth muscle, as well as potassium currents and intracellular Ca2+/calmodulin complexes [28–30]. NiCl2 also has multiple roles, non-specifically regulating calcium channels [31, 32]. A study using next-generation sequencing to reduce the expression levels of 77 transcriptional genes related to cytoplasmic Ca2+ transport found that only NCX1 and NCX2 were expressed in NCM460 normal human colon cells and HT29 human colon cancer cells. In tumor cells, there was no difference in the expression of NCX1, while the expression of NCX2 was significantly enhanced [33]. The sodium channels TRPM4 and NCX jointly regulate Ca2+-induced mucin secretion in goblet cells [34]. Fourbon Y found that the upregulation of the voltage-gated Ca2+ channel (CaV) Ca2+ protein α1D can reduce the excretion of Ca2+ and increase [Ca2+]i by downregulating NCX1/3, leading to the proliferation and migration of the HCT116 colon cancer cell line; moreover, the use of the NCX inhibitor SEA0400 significantly promoted the migration of CRC cells [35]. There are few studies on NCX in CC, and the current studies are basically limited to in vitro studies of cells.
Since the invasion and metastasis of CC are closely related to the level of intracellular Ca2+ [36] and NCXs are important proteins involved in the regulation of cytoplasmic Ca2+, it is important to observe the expression of NCXs in CC and analyze the relationship between NCXs and CC. For this purpose, we collected 111 clinical cases of stage II–IV colonic tumor tissues and their distal colonic normal tissues and then measured the expression of NCX1, NCX2, and NCX3 by quantitative polymerase chain reaction (qPCR), western blotting (WB), and immunohistochemistry (IHC). The relationships between the expression of NCXs and the prognosis of CC were analyzed by Cox regression analysis and receiver operating characteristic (ROC) curve analysis. To observe the relationship between NCXs and the metastasis of CC, we compared the expression of NCXs in tissues from primary sites, lymph node metastases, and liver metastases.
Materials and methods
General information
We collected the clinical data of 111 patients with stage II–IV CC, including 61 patients with lymph node metastasis and 19 patients with liver metastasis, who were admitted to Shengjing Hospital of China Medical University from March 2013 to March 2018. Their pathological specimens were obtained from the pathology department of our hospital. The age range was 43–84 years, and the median age was 62 years. The resected specimens were matched primary colonic malignant tumors and their normal colonic tissue 10 cm away from the tumor. No neoadjuvant therapy was administered. According to the 7th Edition of the American Joint Committee on Cancer (AJCC) staging system [37], 48, 44, and 19 patients were in stage II, III, and IV, respectively. Stage II patients received single-agent chemotherapy based on capecitabine (XELOX) or fluorouracil, stage III patients received the CAPOX or FOLFOX regimen with capecitabine or fluorouracil and oxaliplatin as the main drugs, stage IV patients additionally received targeted therapy such as cetuximab or bevacizumab, and the chemotherapy regimen was changed according to the patient’s condition. Disease-free survival (DFS) was calculated from the operation date to clinical tumor recurrence or metastasis, and overall survival (OS) was calculated from the operation date to the end of the follow-up. According to the National Comprehensive Cancer Network (NCCN; Version 2.2020) guidelines [38], the patients were followed up every 3–6 months in the first 2 years and then every 6–12 months. The end date of the follow-up was March 2020, and the follow-up time was 24–84 months (median 66 months).
Some of the fresh specimens taken from the operation were immediately stored in liquid nitrogen. The others were fixed in formalin. We extracted proteins and RNAs for relevant detection after obtaining a certain number of samples (no more than 6 months) to ensure the freshness of the samples.
WB analysis
The specimens were ground to a powder after freezing by liquid nitrogen, and the powder was transferred to centrifugal tubes. The proteins were extracted by RIPA lysis buffer with 1 mM PMSF (Beyotime, Shanghai, P.R. China). The protein concentration was measured by the BCA method. The same amount of protein (50 μg) was separated by 8% SDS-PAGE and then transferred to PVDF membranes. The blot membranes were blocked with 5% skim milk for 2 h and then mouse anti-NCX1 monoclonal antibody (1:2000, Abcam, Cambridge, UK), rabbit anti-NCX2 polyclonal antibody (1:2000, Bioss, Beijing, P.R. China) and goat anti-NCX3 polyclonal antibody (1:2000, Santa Cruz Biotechnology, Santa Cruz, CA, USA) were added and shaken at 4 °C overnight. Horseradish peroxidase-labeled secondary antibody was added and incubated for 2 h. The proteins were detected by a biomolecule ChemiDocTM imaging system (Bio-Rad, CA, USA). The ratio of the gray value of the target protein to GAPDH was used as the relative expression of the target protein. ImageJ software v1.52 (NIH, Bethesda, MD, USA) was used for semi-quantitative analysis.
qPCR analysis
RNA was purified from the tissue samples by TRIzol Reagent (Thermo Fisher Scientific, Waltham, MA, USA). The nucleic acid concentration was determined using a Nanodrop One spectrophotometer (Thermo, USA) and adjusted to 250 ng/μl. The RNA was then reverse-transcribed into cDNA by the PrimeScriptTM RT Reagent Kit (Takara, Shiga, Japan). qPCR was performed using SYBR® Premix Ex Taq™ II (Takara, Ltd.) in an observation system (Roche 480 Diagnostics GmbH, Mannheim, Germany) under the following thermocycling conditions: 95 °C for 35 s, followed by 40 cycles of 95 °C for 5 s and 60 °C for 34 s, 95 °C for 15 s, 60 °C for 34 s, and 95 °C for 15 s. Quantitative gene expression was quantified with the 2−ΔΔCT comparative method, and the final result was analyzed statistically and plotted using GraphPad Prism 6.0 (GraphPad Software Inc., CA, USA). GAPDH was quantified as an internal control. The primer sequences were as follows: NCX1 Forward: 5′-GCC CTG TTA TTG AAT GAG CTT G-3′, Reverse: 5′-TTC CTC TTT GCT GGT CAG TG-3′; NCX2 Forward: 5′-GAA CTT GGC CTT GGT AAT TGG-3′, Reverse: 5′-GTC AGG AAG TGC ATC ACG TAG-3′; NCX3 Forward: 5′-AAG ACT ACG GTG GAC AAA CTG-3′, Reverse: 5′-GAT TCA TCC TCA TCC TCA TCC C-3′; and GAPDH, Forward: 5′-GGA GCG AGA TCC CTC CAA AAT-3′, Reverse: 5′-GGC TGT TGT CAT ACT TCT CAT GG-3′.
IHC staining
The paraffin specimens (primary tumor, lymph node metastasis, and liver metastasis specimens from the same patient with CC) were cut into 5-μm sections. After deparaffinization and dehydration, antigen repair was performed in 10 mmol/L citrate buffer (pH 6.0) for 10 min in a microwave oven. The sections were incubated with 3% hydrogen peroxide at room temperature (RT) for 40 min to eliminate endogenous peroxidase, and non-specific binding was blocked with 4% goat serum for 40 min. The sections were incubated with mouse anti-NCX1 monoclonal antibody (1:400, Abcam, Cambridge, UK), rabbit anti-NCX2 polyclonal antibody (1: 200, Bioss, Beijing, P.R. China), goat anti-NCX3 polyclonal antibody (1:200, Santa Cruz, CA, USA), rabbit anti-CD3 polyclonal antibody (1:800, Proteintech, Wuhan, P.R. China), mouse anti-CD20 monoclonal antibody (1:800, Proteintech, Wuhan, P.R. China), and mouse anti-CD68 monoclonal antibody (1:400, Proteintech, Wuhan, P.R. China) at 4 °C overnight. Horseradish-labeled goat anti-mouse, goat anti-rabbit, and rabbit anti-goat secondary antibodies (Zsgb-Bio, Beijing, P.R. China) were added for 2 h at RT according to the species of the primary antibodies. DAB working solution (Zsgb-Bio, Beijing, P.R. China) was used to label positive cells. The results were observed and recorded by optical microscopy (DMD108, Leica, Germany). According to the IHC scoring system, each section was scored based on five random fields of magnification (× 400). Image-Pro Plus software 6.0 (Media Cybernetics, Rockville, USA) was used for expression intensity analysis.
Kaplan-Meier survival curve analysis
Among 111 patients with CC, the correlations between the two groups with high and low expression levels of NCX1, NCX2, and NCX3 and OS were analyzed by Kaplan-Meier survival curves. The same method was used to analyze the correlations between NCXs and DFS.
Cox analysis
We enrolled 111 patients with colon cancer tumor tissue (tumor) and adjacent normal colon tissue (normal) to detect the expression levels of NCX proteins. Comparing the tumor and normal tissues of each patient, NCX expression levels in tumor tissues greater than those in normal tissues were defined as the NCX high expression group, and NCX expression levels in tumor tissues less than those in normal tissues were defined as the NCX low expression group according to the semi-quantitative results of WB. A total of 111 tumor/normal ratios were obtained, indicating the degree of downregulation or upregulation of NCXs in each patient. The degree of NCX downregulation and patient survival time were used for univariate and multivariate analyses to determine whether NCX downregulation is a prognostic factor affecting CC.
Cox univariate and multivariate regression analyses were used to analyze whether NCXs were independent prognostic factors of CC, and other variables, including sex, age, TNM stage, tumor differentiation degree, tumor size, CEA, and ratio of NCX (NCX1, NCX2, and NCX3) expression levels in tumor tissues to normal tissues (tumor/normal) were also analyzed.
ROC curve
The expression levels of NCXs in 111 stage II-IV CC patients were analyzed by WB. ROC curves were calculated for the NCX (NCX1, NCX, and NCX3) ratios of tumors to normal tissues according to the previous Cox analysis description to define the NCX cutoff values related to OS. Kaplan-Meier curve analysis, Cox regression analysis, and ROC curve analysis were performed using SPSS statistics 17.0 (SPSS Corporation, Chicago, USA).
Statistical analysis
The data are presented as the mean ± standard deviation. The difference in the relationship between NCX expression and the clinicopathological features of patients was evaluated using the Mann-Whitney U test. The log-rank test was used to test the differences in Kaplan-Meier survival curves. Cox regression analysis was used to determine the independent prognostic factors of CC. ROC curves were used to quantitatively analyze the relationship between NCXs and OS. To test single variables between two groups, a paired t test was performed. To test single variables between multiple groups, a one-way ANOVA was performed. A p value < 0.05 was considered to be significant and is presented as *p < 0.05, **p < 0.01, or ***p < 0.001.
Results
The downregulated expression of NCXs in CC
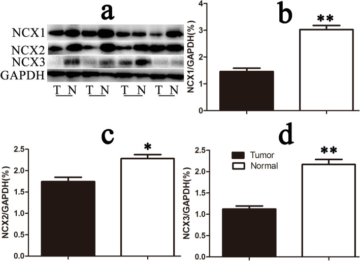
Our WB results showed that the expression of NCXs was generally lower in tumor tissues (tumor) than in normal tissues (normal) (p < 0.05) (Fig. 1). The expression of NCX was defined as the low expression (low) group when the ratio of tumor to normal was less than 1. It was defined as the high expression (high) group when the ratio was more than 1. By comparison, we found that the expression levels of NCX1, NCX2, and NCX3 in tumors were low in 75, 81, and 84 patients, which accounted for 67.6%, 73%, and 75.5% of the 111 total patients, respectively. The mRNA expression of the three NCX isoforms was consistent with the WB results (Fig. 2).
Fig. 1.
Downregulation of NCX protein expression in colon cancer (CC). a Western blotting was used to compare the expression of the three isoforms of NCXs in tumor tissues with that in the normal colon tissue of 111 CC patients. The intensity of each band was analyzed. The NCX1 (b), NCX2 (c), and NCX3 (c) protein levels in tumors, in general, were significantly lower than those in normal tissue, particularly those of NCX1 and NCX3. The ratio of NCX to GAPDH is shown by a histogram. (T: colonic malignant tumor; N: normal colonic tissue; paired t test; *p < 0.05 and **p < 0.01 compared with T)
Fig. 2.
NCX mRNA expression was decreased in CC. a–c In 111 patients, the overall expression of NCX mRNA in most tumor samples was lower than that in normal tissues by qPCR. Compared with the three isoforms, the mRNA of NCX1 (a) and NCX3 (c) in tumors decreased more remarkably than that of NCX2 (b). Histograms representing the relative expression of NCX compared to GAPDH (paired t test; *p < 0.05, **p < 0.01)
The distribution of NCXs in CC and the normal colon
The IHC results showed that NCXs were highly expressed in the cell membrane of normal colonic glandular epithelial cells and stromal cells in mucosa, and stronger NCX expression was seen closer to the intestinal cavity. The distributions of NCX2 and NCX3 were similar to that of NCX1, but the degrees were significantly lower than that of NCX1 (Fig. 3a–d).
Fig. 3.
Expression of NCX1, NCX2, and NCX3 in normal and tumor tissues of CC by HE and IHC stainings (×200). a HE staining for normal colonic mucosa. The structure of normal colonic mucosa. The glands were arranged in order. The nuclei of epithelial cells and stromal cells were clear. b In the normal colon, NCX1 was highly expressed in the cell membrane of normal colonic glandular epithelial cells and stromal cells in the mucosa, and the closer to the intestinal cavity, the stronger the staining was. c NCX2 was moderately expressed in stromal cells and glandular epithelium. d The expression of NCX3 mainly in stromal cells and submucosa. e HE staining for colonic malignant glands. The glands showed disorganized malignant growth. The nucleus was large and hyperchromatic with vacuoles. f NCX1 was moderately expressed in malignant glands. g The positive expression of NCX2 was noticeably decreased compared to that in normal tissues. h The staining intensity of the NCX3 protein in tumor tissue was very low by IHC. i The integral optical density (IOD) is represented by a histogram. (tumor: colonic malignant tumor; normal: normal colonic tissue; black arrows refer to glands, white arrows refer to stromal cells; one-way ANOVA; *p < 0.05 and **p < 0.01, compared with NCX1-tumor; #p < 0.05, compared with NCX2-tumor; @p < 0.05, compared with NCX3-tumor)
In the malignant glands of CC, the cells lost polarity, were arranged in a disorderly manner, and exhibited nuclear hypertrophy with vacuolar degeneration, the brush edge of microvilli disappeared, and inflammatory cell infiltration in the matrix was common (Fig. 3e). The expression of NCXs in malignant glands was decreased significantly (Fig. 3f–h). It was difficult to identify the expression of NCX3 in the tumors of some specimens.
The status of NCXs in immune cells
IHC staining of CD3, CD20, and CD68 was used to detect T cells, B cells, and macrophages, respectively. As shown in Fig. 4, CD3 and CD20 were strongly expressed in normal lymphoid follicles, indicating that lymphoid follicles were mainly composed of T cells and B cells. However, CD68 was mainly distributed in submucosal cells with a large volume, indicating that these cells were macrophages. Together, T cells, B cells, and macrophages maintain the immune function of the colon.
Fig. 4.
Expression of CD20, CD3, and CD68 in immune cells of the normal colon (×400). a The expression of CD20 in B cells of normal colonic lymphoid follicles. b The expression of CD3 in T cells of normal colonic lymphoid follicles. c CD68 was strongly expressed in macrophages of colonic submucosa
As shown in Fig. 5, NCX3 was highly and specifically expressed in macrophages between the glandular epithelium and the muscularis mucosa of the normal mucosal layer in some specimens. The expression of NCX3 was the strongest compared with that of the other isoforms, whereas the expression of NCX1 was the weakest. In lymphoid follicles (Fig. 6), NCXs were expressed in the cell membrane of central B cells and peripheral T cells, while the expression of NCX1, NCX2, and NCX3 decreased. These data suggested that NCXs may be involved in normal intestinal immune function.
Fig. 5.
Expression of NCX1, NCX2, and NCX3 in different immune cells of the normal colon (×400). a Some macrophages (black dovetail arrows) were found in the submucosa of the normal colon. b The protein expression strength of NCX1 in macrophages was medium but weaker than that of NCX2 (c). d Intense expression of NCX3 in macrophages. e In lymphoid follicles of the normal colon, B cells and T cells are indicated by black arrows and white arrows, respectively. f The expression of NCX1 was intense in lymphocytes (B cells and T cells). g NCX2 was mainly moderately expressed in lymphocytes. h NCX3 was weakly expressed in lymphocytes
Fig. 6.
Expression of NCX1, NCX2, and NCX3 in primary and metastatic sites. (×400). a–c In the primary tumor site, heteromorphism of the glands was very obvious, and the degree of differentiation was moderate, as determined. The expression strengths of NCX1 (a), NCX2 (b), and NCX3 (c) in colonic malignant glands decreased more obviously. d–f The expression intensity of NCXs at lymph node metastasis sites decreased more significantly than that at primary sites. d The expression of NCX1 was weak in malignant glands compared with lymph node metastasis sites. There were nearly no positive NCX2 (e) and NCX3 (f) cells at the lymph node metastasis sites. g–i The expression of NCXs in normal hepatocytes (black arrows) at liver metastasis sites was obvious, and the strength of NCX1 staining (g; white arrow) was higher than that of NCX2 (h; white arrow) and NCX3 (i; white arrow). NCXs were almost not expressed in malignant glands (g, h, i; white arrows). The IOD is represented by a histogram (j–l)
Low expression of NCXs was associated with the invasion and metastasis of CC
We compared the expression of NCXs in the primary sites to that in the metastatic sites of the same patients. In the primary site of the tumor, the heteromorphism of glands was very obvious. The expression of NCX1 and NCX2 in malignant glandular epithelial cells was weak. NCX3 was found only in a few stromal cells. The weak NCX1 signal and almost absent NCX2 and NCX3 signals were observed in the malignant glands of the metastatic lymph nodes. In the samples of liver metastases from CC, the expression of the three isoforms in residual liver cells was different, and the expression of NCX1 was stronger than that of the others. However, it was difficult to identify the signals of NCXs in metastatic malignant glands. The results of the expression analyses of NCXs and clinicopathological characteristics also showed that NCXs were negatively correlated with invasion and metastasis indicators such as lymph node and liver metastases of CC (Table 1).
Table 1.
Correlation between NCXs and the clinicopathological features of colon cancer
| Clinicopathological feature | NCX1 expression | NCX2 expression | NCX3 expression | |||||||||
|---|---|---|---|---|---|---|---|---|---|---|---|---|
| Case | T/N < 1a | T/N ≥ 1b | P value | Case | T/N<1a | T/N≥1b | P value | Case | T/N < 1a | T/N ≥ 1b | P value | |
| n = 111 | n = 74 | n = 37 | n = 111 | n = 81 | n = 30 | n = 111 | n = 84 | n = 27 | ||||
| Sex | ||||||||||||
| Male | 68 | 50 | 18 | 0.054 | 68 | 47 | 21 | 0.25 | 68 | 53 | 15 | 0.484 |
| Female | 43 | 24 | 19 | 43 | 34 | 9 | 43 | 31 | 12 | |||
| Age, years | ||||||||||||
| < 60 | 72 | 45 | 27 | 0.206 | 72 | 49 | 23 | 0.113 | 72 | 57 | 15 | 0.244 |
| ≥ 60 | 39 | 29 | 10 | 39 | 32 | 7 | 39 | 27 | 12 | |||
| T stagec | ||||||||||||
| T2 | 8 | 5 | 3 | 0.948 | 8 | 6 | 2 | 0.738 | 8 | 6 | 2 | 0.571 |
| T3 | 65 | 44 | 21 | 65 | 49 | 16 | 65 | 47 | 18 | |||
| T4 | 38 | 25 | 13 | 38 | 26 | 12 | 38 | 31 | 7 | |||
| N stagec | ||||||||||||
| N0 | 50 | 30 | 20 | 0.177 | 50 | 32 | 18 | 0.054 | 50 | 31 | 19 | 0.002** |
| N1 | 61 | 44 | 17 | 61 | 49 | 12 | 61 | 53 | 8 | |||
| M stagec | ||||||||||||
| M0 | 92 | 56 | 36 | 0.004* | 92 | 64 | 28 | 0.075 | 92 | 66 | 26 | 0.033* |
| M1 | 19 | 18 | 1 | 19 | 17 | 2 | 19 | 18 | 1 | |||
| Differentiation | ||||||||||||
| High | 13 | 9 | 4 | 0.068 | 13 | 10 | 3 | 0.574 | 13 | 8 | 5 | 0.448 |
| Medium | 72 | 43 | 29 | 72 | 51 | 21 | 72 | 56 | 16 | |||
| Low | 26 | 22 | 4 | 26 | 20 | 6 | 26 | 20 | 6 | |||
| Tumor size | ||||||||||||
| ≥ 5 cm | 52 | 37 | 15 | 0.283 | 52 | 37 | 15 | 0.685 | 52 | 39 | 13 | 0.876 |
| 5 cm | 59 | 35 | 22 | 59 | 44 | 15 | 59 | 45 | 14 | |||
| CEA | ||||||||||||
| Positive | 58 | 40 | 18 | 0.591 | 58 | 44 | 14 | 0.473 | 58 | 44 | 14 | 0.962 |
| Negative | 53 | 34 | 19 | 53 | 37 | 16 | 53 | 40 | 13 | |||
aThe expression level of NCX in tumor tissues is less than 1 compared with that in normal tissues
bThe expression level of NCX in tumor tissues is greater than 1 compared with that in normal tissues
cTNM stage; N1 lymph node metastasis, M1 distant metastasis; *p < 0.05, **p < 0.01
The downregulation of NCXs was associated with the prognosis of CC
According to the follow-up data of the 111 patients, 92 patients (82.8%) did not experience metastasis, 19 patients (17.1%) had distant metastasis before the operation, 56 patients (50.5%) survived disease-free at the end of the follow-up, 55 patients (49.5%) died, and 34 patients (30.6%) had new local recurrence and distant metastasis postoperatively. The mean OS of the 111 patients was 55.54 ± 2.69 months (95% CI 50.27 ~ 60.80), and the mean DFS was 68.23 ± 3.47 months (95% CI 40.03 ~ 53.62). The mean OS of the 55 patients who died was 33.73 ± 2.56 months (95% CI 28.70 ~ 38.75), and the mean time to recurrence and metastasis was 12.87 ± 2.35 months (95% CI 8.27 ~ 17.48). Among them, 34 patients had new recurrence and metastasis after surgery, with a mean OS of 38.59 ± 3.38 months (95% CI 31.96 ~ 45.22), and a mean time to recurrence and metastasis of 20.82 ± 3.10 months (95% CI 14.75 ~ 26.90).
In the survival analysis of the mean OS in 111 patients with NCXs, the OS for NCX1 in the low group was 45.75 ± 3.09 months (95% CI 39.71 ~ 51.80), and that of the high group was 75.73 ± 2.96 months (95% CI 69.95 ~ 81.53); the difference between the two groups was statistically significant (P < 0.01) (Fig. 7a). The OS for NCX2 in the low group was 48.74 ± 3.10 months (95% CI 42.67 ~ 54.81), and that in the high group was 72.67 ± 2.36 months (95% CI 68.04 ~ 77.30); the difference between the two groups was statistically significant (P < 0.01) (Fig. 7b). The OS for NCX3 in the low group was 49.24 ± 3.0 months (95% CI 43.35 ~ 55.13), and that in the high group was 76.92 ± 3.41 months (95% CI 70.23 ~ 83.61); the difference between the two groups was statistically significant (P < 0.01)(Fig. 7c). The experimental results showed that in terms of NCXs, patients in the low group had a shorter OS.
Fig. 7.
Decreased NCX expression was negatively correlated with the overall survival (OS) time. a Kaplan-Meier curves of the OS of 111 CC patients are displayed according to the NCX1 low and NCX1 high expression groups. b Kaplan-Meier survival analysis curves are also displayed for different NCX2 expression groups. c Kaplan-Meier survival analysis curves are also displayed for different NCX3 expression groups. The log-rank test indicated a significant difference between the survival curves (**p < 0.01; ##p < 0.01; @@p < 0.01)
In the survival analysis of DFS in 92 patients with NCXs, the OS for NCX1 in the low group was 44.00 ± 4.29 months (95% CI 35.59 ~ 52.41), and that in the high group was 78.33 ± 2.60 months (95% CI 73.24 ~ 83.42); the difference between the two groups was statistically significant (P < 0.01) (Fig. 8a). The value of the NCX2 in the low group was 48.71 ± 4.17 months (95% CI 40.54 ~ 56.88), and that in the high group was 74.50 ± 2.46 months (95% CI 69.69 ~ 79.31); the difference between the two groups was statistically significant (P < 0.01) (Fig. 8b). The OS for NCX3 in the low group was 48.42 ± 4.08 months (95% CI 40.42 ~ 56.42), and that in the high group was 79.79 ± 2.16 months (95% CI 75.55 ~ 84.03); the difference between the two groups was statistically significant (P < 0.01) (Fig. 8c). The experimental results showed that in terms of NCXs, patients in the low group had a shorter DFS.
Fig. 8.
Decreased expression of NCXs was negatively correlated with the disease-free survival (DFS) time. a Kaplan-Meier curves of the DFS of 92 preoperative non-metastatic CC patients are displayed according to the NCX1 low and NCX1 high expression groups. b Kaplan-Meier survival analysis curves are also displayed for different NCX2 expression groups. c Kaplan-Meier survival analysis curves are also displayed for different NCX3 expression groups. The log-rank test indicated a significant difference between the survival curves (**p < 0.01; ##p < 0.01; @@p < 0.01)
NCXs can be used as independent prognostic factors of CC
Cox univariate and multivariate regression analyses were used to analyze whether NCXs were independent prognostic factors of CC. The univariate analysis showed that sex, age, and tumor size had no significant effect on OS (P > 0.05); on the other hand, differentiation degree (P < 0.05), CEA (P < 0.05), T stage (P < 0.05), lymph node metastasis (P < 0.01), distant metastasis (P < 0.01), and NCX expression (P < 0.01) affected the OS of CC (Table 2). The multivariate Cox regression analysis showed that T stage (P < 0.05), lymph node metastasis (P < 0.05), distant metastasis (P < 0.01), NCX3 expression (P < 0.05), and NCX1 and NCX2 expression (P < 0.01) were independent prognostic factors of CC (Table 2). Therefore, decreased NCX expression may indicate poor prognosis, invasion, and metastasis in CC.
Table 2.
Cox univariate and multivariate survival analyses to analyze the independent prognostic factors for colon cancer
| Characteristics | HR | Univariate CI (95%) | P | HR | Multivariate CI (95%) | P |
|---|---|---|---|---|---|---|
| Sex | ||||||
| (Male/female) | 1.075 | 0.602, 0.337 | 0.086 | 0.774 | 0.419, 1.427 | 0.411 |
| Age, years | ||||||
| (≥ 60/< 60) | 0.883 | 0.022, 1 | 0.883 | 0.87 | 0.473, 1.599 | 0.653 |
| TNM stage | ||||||
| T stage | 2.584 | 1.601, 0.992 | < 0.05* | 1.779 | 1.019, 3.106 | < 0.05* |
| N stage | 10.801 | 5.501, 2.801 | < 0.01** | 2.285 | 1.057, 4.938 | < 0.05* |
| M stage | 13.214 | 7.309, 4.043 | < 0.01** | 2.984 | 1.594, 5.587 | < 0.01** |
| Differentiation degree | ||||||
| (high/medium/low) | 3.141 | 1.924, 1.178 | < 0.05* | 0.801 | 0.442, 1.451 | 0.464 |
| Tumor size | ||||||
| (≥ 5 cm/< 5 cm) | 1.295 | 0.762, 0.448 | 0.315 | 1.491 | 0.755, 2.944 | 0.25 |
| CEA | ||||||
| (Positive/negative) | 0.996 | 0.578, 0.336 | < 0.05* | 0.778 | 0.421, 1.44 | 0.425 |
| NCX1 | ||||||
| (Tumor/normal) | 0.277 | 0.099, 0.036 | < 0.01** | 0.145 | 0.049, 0.43 | < 0.01** |
| NCX2 | ||||||
| (Tumor/normal) | 0.422 | 0.132, 0.041 | < 0.01** | 0.187 | 0.056, 0.628 | < 0.01** |
| NCX3 | ||||||
| (Tumor/normal) | 0.357 | 0.087, 0.021 | < 0.01** | 0.215 | 0.05, 0.936 | < 0.05* |
Tumor/normal: the ratio of the NCX expression level in tumor tissues to that in normal tissues; *p < 0.05; **p < 0. 01
We used ROC curves to assess the predictive ability of the downregulation ratio (NCXs-T/NCXs-N) for OS in patients with CC (Fig. 9). The area under the ROC curve of NCX1 was 74.7% (95% CI 0.65–0.844), the optimal critical value was 0.96, the specificity was 60.7%, and the sensitivity was 92.7%. The area under the ROC curve of NCX2 was 71.2% (95% CI 0.614–0.809), the optimal critical value was 0.97, the specificity was 50.0%, and the sensitivity was 92.7%. The area under the ROC curve of NCX3 was 75.9% (95% CI 0.667–0.852), the optimal critical value was 0.92, the specificity was 57.1%, and the sensitivity was 99.0%. The expression of NCX3 in colon tumors was the most significantly decreased compared with that in normal colon tissues (P < 0.05). Although the three NCXs can predict OS, NCX1 had the strongest specificity, and NCX3 had the highest sensitivity. NCXs can predict the prognosis of CC, and their downregulation was associated with relatively short OS times.
Fig. 9.

NCXs can predict the prognosis of CC. According to the grayscale value of NCX expression in tumor tissue (tumor) and matched normal tissue (normal) calculated by WB bands, the ratios (tumor/normal) of NCX were obtained. Three group ratios of NCX1, NCX2, and NCX3 (n = 111; NCXs were identified by different curves) were used to draw ROC curves. The ROC curves used the NCX (NCX1, NCX, and NCX3) ratios to define the NCX cutoff values related to OS. The ROC curves of NCX1, NCX2, and NCX3 were used to predict the OS of 111 CC patients. The abscissa represents sensitivity, and the ordinate represents specificity. Numerical analysis of the area under the ROC curve showed significant differences
Discussion
NCXs, which are the homeostasis control channel of calcium ions inside and outside the cell, have been studied in myocardial ischemia-reperfusion injury and nerve function [39–41], and information on them has expanded in tumors in recent years and many other fields [42–44]. NCXs participate in the normal physiological functions of the colon, in which calcium ions are involved in peristalsis, the secretion of intestinal liquid and factors, and nerve regulation [24, 45, 46]. In normal cells, NCXs briefly resist calcium oscillations and can quickly expel intracellular calcium ions to perform their functions, avoid calcium overload, and maintain calcium homeostasis [40, 47]. There are very few reports on the expression and roles of NCX2 and NCX3 in the colon; however, our results showed that the NCX2 and NCX3 proteins were detected in the normal colon. IHC staining indicated that the distribution and expression of the three isoforms were different. NCX1 was highly expressed in the cell membrane of normal colonic glandular epithelial cells and stromal cells in the mucosa. Some studies have confirmed that NCX1 participates in the physiological regulation mechanism of intestinal calcium absorption, bicarbonate secretion, smooth muscle movement, and so on [48]. The expression of NCX2 was similar to that of NCX1, indicating that its function may resemble that of NCX1. Although the expression of NCX3 was lower than that of NCX1 and NCX2 in mucosal glands, it was higher than that in CD68-positive macrophages in the stroma, which indicated that NCX3 may play a defensive role in the colon. Macrophages are an important part of the innate immune system and have a wide range of functions, including phagocytosis, antigen presentation, the secretion of growth factors and cytokines, and so on [49]. In addition, different expression levels of NCXs were also found in the lymphoid follicles of CD3-labeled T cells and CD20-labeled B cells. In contrast, CD staining of positively labeled immune cells almost disappeared in malignant colon tumors. It has been reported that lymphoid follicles have immune-mediated anti-tumor effects [50], and the expression of NCXs suggests that they are likely to be involved in immune function and anti-cancer effects in the intestinal tract.
Our results also showed that in more than two-thirds of cases, the protein and mRNA levels of NCXs were remarkably downregulated in tumors compared with the corresponding normal colon. Through morphological observation and the analysis of clinicopathological relationships (Table 1), we found that the expression of NCXs in the glands of malignant tumors was decreased, and the decline in NCXs was even more pronounced, especially in metastatic lymph nodes and liver metastases, which illustrated that the downregulation of NCXs may be positively related to the malignant biological behavior of CC. To uncover the relationship between the expression of NCXs in tumors and prognosis, 111 patients with stage II–IV CC were divided into low and high groups according to the expression ratios of NCXs in tumor tissues to normal tissues. The statistical data showed that the low NCX1, NCX2, and NCX3 groups had lower survival rates than the high NCX1, NCX2, and NCX3 groups. It was further confirmed that the low expression of NCXs affected the prognosis of CC. The downregulation ratio of NCXs in cancer tissue compared with normal control tissue was an important factor; when it was lower than this critical value, the overall survival time of the patient was shortened. Furthermore, the receiver operating curve analysis results revealed that tumor/normal NCX expression ratios (NCX1: 0.96; NCX2: 0.97; NCX3: 0.92) can be used as independent prognostic indicators of OS.
Research on NCXs has focused on the areas of the heart and brain for a long time; in recent years, articles on sporadic function have linked cancer with NCXs. For example, NCX1 was found to be highly expressed in esophageal cancer and considered to be involved in the pathogenesis of esophageal cancer [51]. The overexpression of NCX3 in ovarian carcinoma cells more easily led to therapy resistance [12]. The common feature of these studies was that the upregulation of NCXs promoted the proliferation of cancer cells. In contrast, our results showed that the downregulation of NCX expression was an important factor affecting the prognosis of CC. The contradictory results may be due to different tissue specificities. Ca2+ protein alpha 1D is expressed in a variety of malignant tumors and promotes tumor progression [52]. Inhibiting NCX1/3 and promoting the release of calcium from the endoplasmic reticulum can increase [Ca2+]i, upregulate Ca2+ protein alpha 1D, and promote the migration of HCT116 colon cancer cells [35]. The physiological function of NCXs is the excretion of Ca2+ from the cytoplasm, so the downregulation of NCXs can certainly affect the capacity of Ca2+ excretion. Although PMCA in cancer cells can pump out Ca2+ from the cytoplasm, its ability was 50–100 times weaker than that of NCXs [40]. Therefore, the downregulation of NCXs may prevent cytoplasmic Ca2+ from being released effectively, which results in a high level of Ca2+ in CC cells. In the pathological environment of intestinal malignant tumors, the original calcium homeostasis is broken, forming a “new homeostasis” in which the [Ca2+]i of colorectal glandular epithelial tumors is increased, and the increase in [Ca2+]i activates calmodulin kinase II (CaMKII) and hypoxia-inducible factor-1a (HIF1a), which are involved in tumor progression [26, 27]. The upregulation of Ca2+/calmodulin-dependent protein kinase II and HIF1a in CC cells promoting tumor cell invasion and metastasis is related to aerobic glycolysis, and the activation of downstream factors MMPs and EMT also participates in tumor cell migration [53, 54]. Some scholars have found that the mitochondrial Na+/Ca2+/Li+ exchanger (NCLX) is significantly downregulated in patients with colorectal cancer. The reduction in NCLX led to transcriptional changes, and the expression of genes that regulate EMT and cancer stemness increased. Mesenchymal phenotype expression promoted colorectal cancer metastasis and drug resistance. In addition, the decrease or loss of NCLX expression can cause mtCa2+ overload, which leads to mitochondrial depolarization, increases mtROS production, initiates the mitochondrial Ca2+/ROS signaling axis to drive HIF1a activation and HIF1a-dependent glycolysis, promoting the migration, invasion, and metastasis of colorectal cancer cells [54]. The disappearance of NCX in CC tumor cells indicated that NCX may be a tumor suppressor. Our experimental results supported that NCX and its isomer NCLX had similar inhibitory effects on CC. The reduction in tumor suppressor factors exacerbated the vicious cycle of calcium overload. Calcium overload can activate many channels and factors related to calcium ions. Studies have shown that they can promote the proliferation, invasion, metastasis, and anti-apoptosis of tumor cells in CC [36, 55].
We preliminarily verified that NCX was a tumor suppressor in human colon tumor tissues. Certainly, the current research on the roles of NCXs in CC is still in an early stage, and there is no clarity on the mechanism of NCX regulation. As a next step, we will further verify the tumor suppressor mechanism of NCXs in a variety of in vitro cell lines. However, the three isoforms of NCXs can separately be used as independent prognostic factors of CC as long non-coding RNAs, autophagy-related genes, immune genes, and so on [56–58], which illustrates that they have prospects in the field of advanced CC. With NCX as the target, the calcium ion pathway has good application prospects in the research of new anti-tumor drugs.
Conclusion
The expression of NCXs was decreased in CC tissues compared to adjacent normal tissues. The degree of downregulation of NCXs was positively correlated with the prognosis of CC. NCX1, NCX2, and NCX3 can be used as independent prognostic indicators of CC.
Acknowledgements
We thank all our colleagues and authors in the Department of Colorectal Surgery at the Shengjing Hospital of China Medical University.
Abbreviations
- CC
Colon cancer
- NCX
Na+/Ca2+ exchanger
- PMCA
Ca2+-ATP pump
- ROC
Receiver operating characteristic
- AJCC
American Joint Committee on Cancer
- DFS
Disease-free survival
- OS
Overall survival
- NCCN
National Comprehensive Cancer Network
- qPCR
Quantitative polymerase chain reaction
- WB
Western blotting
- IHC
Immunohistochemistry
- CaV
Voltage-gated Ca2+ channel
- [Ca+]i
Intracellular calcium concentration
- CaMKII
Calmodulin kinase II
- HIF1a
Hypoxia-inducible factor-1a
Authors’ contributions
Zhi-Xiu Xia, Changliang Wang, and Guohua Zhang designed and drafted the manuscript, collaborated in the patient’s perioperative care, and performed the pathological analysis. Hong Zhang and Zhi-Xiu Xia performed the operations and reviewed and revised the manuscript. All authors read and approved the final manuscript.
Funding
Not applicable.
Availability of data and materials
Please contact author with requests for data.
Declarations
Ethics approval and consent to participate
The ethical approval number was 2017PS301k. This work was approved by the ethics committee of Shengjing Hospital of China Medical University. Written informed consent to participate and to publish data from individual patients was obtained from each study patient according to the “ethics, consent, and permissions.”
Consent for publication
We obtained consent for publication from the patients.
Competing interests
The authors declare that they have no competing interests.
Footnotes
Publisher’s Note
Springer Nature remains neutral with regard to jurisdictional claims in published maps and institutional affiliations.
Contributor Information
Zhixiu Xia, Email: 18940258100@163.com.
Hong Zhang, Email: zhanghong19711208@163.com.
References
- 1.Sung H, Ferlay J, Siegel RL, Laversanne M, Soerjomataram I, Jemal A, Bray F. Global cancer statistics 2020: GLOBOCAN estimates of incidence and mortality worldwide for 36 cancers in 185 countries. CA Cancer J Clin. 2020;70(4):313. doi: 10.3322/caac.21660. [DOI] [PubMed] [Google Scholar]
- 2.Klaver CEL, Kappen TM, Borstlap WAA, Bemelman WA, Tanis PJ. Laparoscopic surgery for T4 colon cancer: a systematic review and meta-analysis. Surg Endosc. 2017;31(12):4902–12. doi: 10.1007/s00464-017-5544-7. [DOI] [PMC free article] [PubMed] [Google Scholar]
- 3.Moghadamyeghaneh Z, Hanna MH, Hwang G, Mills S, Pigazzi A, Stamos MJ, Carmichael JC. Outcomes of colon resection in patients with metastatic colon cancer. Am J Surg. 2016;212(2):264–271. doi: 10.1016/j.amjsurg.2016.01.025. [DOI] [PubMed] [Google Scholar]
- 4.Duan W, Hu J, Liu Y. Ketamine inhibits colorectal cancer cells malignant potential via blockage of NMDA receptor. Exp Mol Pathol. 2019;107:171–178. doi: 10.1016/j.yexmp.2019.02.004. [DOI] [PubMed] [Google Scholar]
- 5.Jardin I, Rosado JA. STIM and calcium channel complexes in cancer. Biochim Biophys Acta. 2016;1863(6 Pt B):1418–1426. doi: 10.1016/j.bbamcr.2015.10.003. [DOI] [PubMed] [Google Scholar]
- 6.Antal L, Martin-Caraballo M. T-type calcium channels in cancer. Cancers (Basel). 2019;11(2):134. doi: 10.3390/cancers11020134. [DOI] [PMC free article] [PubMed] [Google Scholar]
- 7.Lastraioli E, Iorio J, Arcangeli A. Ion channel expression as promising cancer biomarker. Biochim Biophys Acta. 2015;1848(10 Pt B):2685–2702. doi: 10.1016/j.bbamem.2014.12.016. [DOI] [PubMed] [Google Scholar]
- 8.Anderson KJ, Cormier RT, Scott PM. Role of ion channels in gastrointestinal cancer. World J Gastroenterol. 2019;25(38):5732–5772. doi: 10.3748/wjg.v25.i38.5732. [DOI] [PMC free article] [PubMed] [Google Scholar]
- 9.Roome CJ, Empson RM. The contribution of the sodium-calcium exchanger (NCX) and plasma membrane Ca(2+) ATPase (PMCA) to cerebellar synapse function. Adv Exp Med Biol. 2013;961:251–263. doi: 10.1007/978-1-4614-4756-6_21. [DOI] [PubMed] [Google Scholar]
- 10.Zaidi A. Plasma membrane Ca-ATPases: targets of oxidative stress in brain aging and neurodegeneration. World J Biol Chem. 2010;1(9):271–280. doi: 10.4331/wjbc.v1.i9.271. [DOI] [PMC free article] [PubMed] [Google Scholar]
- 11.Calì T, Brini M, Carafoli E. The PMCA pumps in genetically determined neuronal pathologies. Neurosci Lett. 2018;663:2–11. doi: 10.1016/j.neulet.2017.11.005. [DOI] [PubMed] [Google Scholar]
- 12.Pelzl L, Hosseinzadeh Z, Alzoubi K, Al-Maghout T, Schmidt S, Stournaras C, et al. Impact of Na+/Ca2+ exchangers on therapy resistance of ovary carcinoma cells. Cell Physiol Biochem. 2015;37(5):1857–1868. doi: 10.1159/000438547. [DOI] [PubMed] [Google Scholar]
- 13.Castaldo P, Cataldi M, Magi S, Lariccia V, Arcangeli S, Amoroso S. Role of the mitochondrial sodium/calcium exchanger in neuronal physiology and in the pathogenesis of neurological diseases. Prog Neurobiol. 2009;87(1):58–79. doi: 10.1016/j.pneurobio.2008.09.017. [DOI] [PubMed] [Google Scholar]
- 14.Blaustein MP, Lederer WJ. Sodium/calcium exchange: its physiological implications. Physiol Rev. 1999;79(3):763–854. doi: 10.1152/physrev.1999.79.3.763. [DOI] [PubMed] [Google Scholar]
- 15.Canitano A, Papa M, Boscia F, Castaldo P, Sellitti S, Taglialatela M, Annunziato L. Brain distribution of the Na+/Ca2+ exchanger-encoding genes NCX1, NCX2, and NCX3 and their related proteins in the central nervous system. Ann N Y Acad Sci. 2002;976:394–404. doi: 10.1111/j.1749-6632.2002.tb04766.x. [DOI] [PubMed] [Google Scholar]
- 16.Pannaccione A, Piccialli I, Secondo A, Ciccone R, Molinaro P, Boscia F, Annunziato L. The Na+/Ca2+ exchanger in Alzheimer's disease. Cell Calcium. 2020;87:102190. doi: 10.1016/j.ceca.2020.102190. [DOI] [PubMed] [Google Scholar]
- 17.Khaksar S, Bigdeli MR. Anti-excitotoxic effects of cannabidiol are partly mediated by enhancement of NCX2 and NCX3 expression in animal model of cerebral ischemia. Eur J Pharmacol. 2017;794:270–279. doi: 10.1016/j.ejphar.2016.11.011. [DOI] [PubMed] [Google Scholar]
- 18.Shattock MJ, Ottolia M, Bers DM, Blaustein MP, Boguslavskyi A, Bossuyt J, Bridge JHB, Chen-Izu Y, Clancy CE, Edwards A, Goldhaber J, Kaplan J, Lingrel JB, Pavlovic D, Philipson K, Sipido KR, Xie ZJ. Na+/Ca2+ exchange and Na+/K+- ATPase in the heart. J Physiol. 2015;593(6):1361–1382. doi: 10.1113/jphysiol.2014.282319. [DOI] [PMC free article] [PubMed] [Google Scholar]
- 19.Khananshvili D. Sodium-calcium exchangers (NCX): molecular hallmarks underlying the tissue-specific and systemic functions. Pflugers Arch. 2014;466(1):43–60. doi: 10.1007/s00424-013-1405-y. [DOI] [PubMed] [Google Scholar]
- 20.Kemény LV, Schnúr A, Czepán M, Rakonczay Z, Gál E, Lonovics J, et al. (2013) Na+/Ca2+ exchangers regulate the migration and proliferation of human gastric myofibroblasts. Am J Physiol Gastrointest Liver Physiol. 2013;305(8):G552–G563. doi: 10.1152/ajpgi.00394.2012. [DOI] [PubMed] [Google Scholar]
- 21.Chovancova B, Liskova V, Babula P, Krizanova O. Role of sodium/calcium exchangers in tumors. Biomolecules. 2020;10(9):1257. doi: 10.3390/biom10091257. [DOI] [PMC free article] [PubMed] [Google Scholar]
- 22.Saksena S, Ammar MS, Tyagi S, Elsharydah A, Gill RK, Ramaswamy K, Dudeja PK. Mechanisms of calcium transport in human colonic basolateral membrane vesicles. Dig Dis Sci. 2002;47(10):2306–2315. doi: 10.1023/A:1020151730940. [DOI] [PubMed] [Google Scholar]
- 23.Schultheiss G, Ribeiro R, Schäfer KH, Diener M. Activation of apical K+ conductances by muscarinic receptor stimulation in rat distal colon: fast and slow components. J Membr Biol. 2003;195(3):183–196. doi: 10.1007/s00232-003-0618-y. [DOI] [PubMed] [Google Scholar]
- 24.Azuma YT, Nishiyama K, Kita S, Komuro I, Nakajima H, Iwamoto T, Takeuchi T. Na(+) /Ca(2+) exchanger 2-heterozygote knockout mice display decreased acetylcholine release and altered colonic motility in vivo. Neurogastroenterol Motil. 2012;24(12):e600–e610. doi: 10.1111/nmo.12029. [DOI] [PubMed] [Google Scholar]
- 25.Nishiyama K, Morioka A, Kita S, Nakajima H, Iwamoto T, Azuma YT, Takeuchi T. Na/Ca(2+) exchanger 1 transgenic mice display increased relaxation in the distal colon. Pharmacology. 2014;94(5-6):230–238. doi: 10.1159/000363246. [DOI] [PubMed] [Google Scholar]
- 26.Kim HL, Im DS. N,N-dimethyl-D-erythro-sphingosine increases intracellular Ca2+ concentration via Na+-Ca2+-exchanger in HCT116 human colon cancer cells. Arch Pharm Res. 2008;31(1):54–59. doi: 10.1007/s12272-008-1120-y. [DOI] [PubMed] [Google Scholar]
- 27.Riganti C, Campia I, Polimeni M, Pescarmona G, Ghigo D, Bosia A. Digoxin and ouabain induce P-glycoprotein by activating calmodulin kinase II and hypoxia-inducible factor-1alpha in human colon cancer cells. Toxicol Appl Pharmacol. 2009;240(3):385–392. doi: 10.1016/j.taap.2009.07.026. [DOI] [PubMed] [Google Scholar]
- 28.Hollingshead LM, Faulds D, Fitton A. Bepridil. A review of its pharmacological properties and therapeutic use in stable angina pectoris. Drugs. 1992;44(5):835–857. doi: 10.2165/00003495-199244050-00009. [DOI] [PubMed] [Google Scholar]
- 29.DeWald LE, Dyall J, Sword JM, Torzewski L, Zhou H, Postnikova E, et al. The calcium channel blocker bepridil demonstrates efficacy in the murine model of Marburg virus disease. J Infect Dis. 2018;218(suppl_5):S588–S591. doi: 10.1093/infdis/jiy332. [DOI] [PMC free article] [PubMed] [Google Scholar]
- 30.Baldoni S, Del Papa B, Dorillo E, Aureli P, De Falco F, Rompietti C, et al. Bepridil exhibits anti-leukemic activity associated with NOTCH1 pathway inhibition in chronic lymphocytic leukemia. Int J Cancer. 2018;143(4):958–970. doi: 10.1002/ijc.31355. [DOI] [PMC free article] [PubMed] [Google Scholar]
- 31.Grigorieva DV, Gorudko IV, Sokolov AV, Kostevich VA, Vasilyev VB, Cherenkevich SN, Panasenko OM. Myeloperoxidase stimulates neutrophil degranulation. Bull Exp Biol Med. 2016;161(4):495–500. doi: 10.1007/s10517-016-3446-7. [DOI] [PubMed] [Google Scholar]
- 32.Guo H, Cui H, Fang J, Zuo Z, Deng J, Wang X, Zhao L, Chen K, Deng J. Nickel chloride (NiCl2) in hepatic toxicity: apoptosis, G2/M cell cycle arrest and inflammatory response. Aging (Albany NY). 2016;8(11):3009–3027. doi: 10.18632/aging.101108. [DOI] [PMC free article] [PubMed] [Google Scholar]
- 33.Pérez-Riesgo E, Gutiérrez LG, Ubierna D, Acedo A, Moyer MP, Núñez L, Villalobos C. Transcriptomic analysis of calcium remodeling in colorectal cancer. Int J Mol Sci. 2017;18(5):922. doi: 10.3390/ijms18050922. [DOI] [PMC free article] [PubMed] [Google Scholar]
- 34.Cantero-Recasens G, Butnaru CM, Brouwers N, Mitrovic S, Valverde MA, Malhotra V. Sodium channel TRPM4 and sodium/calcium exchangers (NCX) cooperate in the control of Ca2+-induced mucin secretion from goblet cells. J Biol Chem. 2019;294(3):816–826. doi: 10.1074/jbc.RA117.000848. [DOI] [PMC free article] [PubMed] [Google Scholar]
- 35.Fourbon Y, Guéguinou M, Félix R, Constantin B, Uguen A, Fromont G, et al. Ca2+ protein alpha 1D of CaV1.3 regulates intracellular calcium concentration and migration of colon cancer cells through a non-canonical activity. Sci Rep. 2017;7(1):14199. doi: 10.1038/s41598-017-14230-1. [DOI] [PMC free article] [PubMed] [Google Scholar]
- 36.Wang W, Yu S, Huang S, Deng R, Ding Y, Wu Y, Li X, Wang A, Wang S, Chen W, Lu Y. A complex role for calcium signaling in colorectal cancer development and progression. Mol Cancer Res. 2019;17(11):2145–2153. doi: 10.1158/1541-7786.MCR-19-0429. [DOI] [PubMed] [Google Scholar]
- 37.Edge SB, Compton CC. The American Joint Committee on Cancer: the 7th edition of the AJCC cancer staging manual and the future of TNM. Ann Surg Oncol. 2010;17(6):1471–1474. doi: 10.1245/s10434-010-0985-4. [DOI] [PubMed] [Google Scholar]
- 38.Provenzale D, Ness RM, Llor X, Weiss JM, Abbadessa B, Cooper G, Early DS, Friedman M, Giardiello FM, Glaser K, Gurudu S, Halverson AL, Issaka R, Jain R, Kanth P, Kidambi T, Lazenby AJ, Maguire L, Markowitz AJ, May FP, Mayer RJ, Mehta S, Patel S, Peter S, P. Stanich P, Terdiman J, Keller J, Dwyer MA, Ogba N. NCCN Guidelines Insights: Colorectal Cancer Screening, Version 2.2020. J Natl Compr Canc Netw. 2020;18(10):1312–1320. doi: 10.6004/jnccn.2020.0048. [DOI] [PMC free article] [PubMed] [Google Scholar]
- 39.Imahashi K. Cardiac-specific ablation of the Na+-Ca2+ exchanger confers protection against ischemia/reperfusion injury. Circ Res. 2005;97(9):916–921. doi: 10.1161/01.RES.0000187456.06162.cb. [DOI] [PubMed] [Google Scholar]
- 40.Wang C, Wang X, Li Y, Xia Z, Liu Y, Yu H, Xu G, Wu X, Zhao R, Zhang G. Chronic ethanol exposure reduces the expression of NCX3 in the hippocampus of male C57BL/6 mice. Neuroreport. 2019;30(6):397–403. doi: 10.1097/WNR.0000000000001214. [DOI] [PubMed] [Google Scholar]
- 41.Brustovetsky T, Bolshakov A, Brustovetsky N. Calpain activation and Na+/Ca2+ exchanger degradation occur downstream of calcium deregulation in hippocampal neurons exposed to excitotoxic glutamate. J Neurosci Res. 2010;88(6):1317–1328. doi: 10.1002/jnr.22295. [DOI] [PMC free article] [PubMed] [Google Scholar]
- 42.Liskova V, Hudecova S, Lencesova L, Iuliano F, Sirova M, Ondrias K, Pastorekova S, Krizanova O. Type 1 sodium calcium exchanger forms a complex with carbonic anhydrase IX and via reverse mode activity contributes to pH control in hypoxic tumors. Cancers (Basel). 2019;11(8):1139. doi: 10.3390/cancers11081139. [DOI] [PMC free article] [PubMed] [Google Scholar]
- 43.Domínguez G. Deciphering the epigenetic network in colorectal cancer. J Pathol. 2013;229(1):1–3. doi: 10.1002/path.4094. [DOI] [PubMed] [Google Scholar]
- 44.Rusolo F, Pucci B, Colonna G, Capone F, Guerriero E, Milone MR, Nazzaro M, Volpe M, Bernardo G, Castello G, Costantini S. Evaluation of selenite effects on selenoproteins and cytokinome in human hepatoma cell lines. Molecules. 2013;18(3):2549–2562. doi: 10.3390/molecules18032549. [DOI] [PMC free article] [PubMed] [Google Scholar]
- 45.Wongdee K, Charoenphandhu N. Vitamin D-enhanced duodenal calcium transport. Vitam Horm. 2015;98:407–440. doi: 10.1016/bs.vh.2014.12.010. [DOI] [PubMed] [Google Scholar]
- 46.Herchuelz A, Nguidjoe E, Jiang L, Pachera N. Na(+)/Ca (2+) exchange and the plasma membrane Ca(2+)-ATPase in β-cell function and diabetes. Adv Exp Med Biol. 2013;961:385–394. doi: 10.1007/978-1-4614-4756-6_33. [DOI] [PubMed] [Google Scholar]
- 47.Bojarski C, Meloni BP, Moore SR, Majda BT, Knuckey NW. Na+/Ca2+ exchanger subtype (NCX1, NCX2, NCX3) protein expression in the rat hippocampus following 3 min and 8 min durations of global cerebral ischemia. Brain Res. 2008;1189:198–202. doi: 10.1016/j.brainres.2007.10.065. [DOI] [PubMed] [Google Scholar]
- 48.Liao QS, Du Q, Lou J, Xu JY, Xie R. Roles of Na+/Ca2+ exchanger 1 in digestive system physiology and pathophysiology. World J Gastroenterol. 2019;25(3):287–299. doi: 10.3748/wjg.v25.i3.287. [DOI] [PMC free article] [PubMed] [Google Scholar]
- 49.Feng Q, Chang W, Mao Y, He G, Zheng P, Tang W, Wei Y, Ren L, Zhu D, Ji M, Tu Y, Qin X, Xu J. Tumor-associated macrophages as prognostic and predictive biomarkers for postoperative adjuvant chemotherapy in patients with stage II colon cancer. Clin Cancer Res. 2019;25(13):3896–3907. doi: 10.1158/1078-0432.CCR-18-2076. [DOI] [PubMed] [Google Scholar]
- 50.Sipos F, Muzes G. Isolated lymphoid follicles in colon: switch points between inflammation and colorectal cancer? World J Gastroenterol. 2011;17(13):1666–1673. doi: 10.3748/wjg.v17.i13.1666. [DOI] [PMC free article] [PubMed] [Google Scholar]
- 51.Wen J, Pang Y, Zhou T, Qi X, Zhao M, Xuan B, Meng X, Guo Y, Liu Q, Liang H, Li Y, Dong H, Wang Y. Essential role of Na+/Ca2+ exchanger 1 in smoking-induced growth and migration of esophageal squamous cell carcinoma. Oncotarget. 2016;7(39):63816–63828. doi: 10.18632/oncotarget.11695. [DOI] [PMC free article] [PubMed] [Google Scholar]
- 52.Colciago A, Mornati O, Ferri N, Castelnovo LF, Fumagalli L, Bolchi C, Pallavicini M, Valoti E, Negri-Cesi P. A selective alpha1D-adrenoreceptor antagonist inhibits human prostate cancer cell proliferation and motility "in vitro". Pharmacol Res. 2016;103:215–226. doi: 10.1016/j.phrs.2015.11.017. [DOI] [PubMed] [Google Scholar]
- 53.Hu J, Duan W, Liu Y. Ketamine inhibits aerobic glycolysis in colorectal cancer cells by blocking the NMDA receptor-CaMK II-c-Myc pathway. Clin Exp Pharmacol Physiol. 2020;47(5):848–856. doi: 10.1111/1440-1681.13248. [DOI] [PubMed] [Google Scholar]
- 54.Pathak T, Gueguinou M, Walter V, Delierneux C, Johnson MT, Zhang X, Xin P, Yoast RE, Emrich SM, Yochum GS, Sekler I, Koltun WA, Gill DL, Hempel N, Trebak M. Dichotomous role of the human mitochondrial Na+/Ca2+/Li+ exchanger NCLX in colorectal cancer growth and metastasis. Elife. 2020;9:e59686. doi: 10.7554/eLife.59686. [DOI] [PMC free article] [PubMed] [Google Scholar]
- 55.Chen W, An P, Quan XJ, Zhang J, Zhou ZY, Zou LP, Luo HS. Ca2+/calmodulin-dependent protein kinase II regulates colon cancer proliferation and migration via ERK1/2 and p38 pathways. World J Gastroenterol. 2017;23(33):6111–6118. doi: 10.3748/wjg.v23.i33.6111. [DOI] [PMC free article] [PubMed] [Google Scholar]
- 56.Gao M, Guo Y, Xiao Y, Shang X. Comprehensive analyses of correlation and survival reveal informative lncRNA prognostic signatures in colon cancer. World J Surg Oncol. 2021;19(1):104. doi: 10.1186/s12957-021-02196-4. [DOI] [PMC free article] [PubMed] [Google Scholar]
- 57.Wang X, Xu Y, Li T, Chen B, Yang W. Development of prognosis model for colon cancer based on autophagy-related genes. World J Surg Oncol. 2020;18(1):285. doi: 10.1186/s12957-020-02061-w. [DOI] [PMC free article] [PubMed] [Google Scholar]
- 58.Chen S, Cao GD, Wei W, Yida L, Xiaobo H, Lei Y, Ke C, Chen B, Xiong MM. Prediction and identification of immune genes related to the prognosis of patients with colon adenocarcinoma and its mechanisms. World J Surg Oncol. 2020;18(1):146. doi: 10.1186/s12957-020-01921-9. [DOI] [PMC free article] [PubMed] [Google Scholar]
Associated Data
This section collects any data citations, data availability statements, or supplementary materials included in this article.
Data Availability Statement
Please contact author with requests for data.








