Abstract
Fusobacterium nucleatum is an anaerobe that is commensal to the human oral cavity. It is usually a component of periodontal plaque that is emerging as a pathogen and quickly attracting attention of the medical and research communities. It has been even discovered in bronchoalveolar lavage of some patients with lung cancer. Lemierre's syndrome (LS) is characterized as septic thrombophlebitis of the internal jugular vein, which usually begins with oropharyngeal infection that worsens and leads to inflammation of the wall of the jugular vein. This is the hallmark of the disease. However, in this case, there was no thrombophlebitis of the internal jugular vein. There is one other case presentation where it was diagnosed without the internal jugular vein involvement. Most sequelae involve infected thrombus of the vein, soft tissue inflammation, persistent bacteremia, and septic emboli, often leading to metastatic infections. Interestingly enough, in the age of SARS-COV-2, LS has also been mistaken for multisystem inflammatory syndrome in children (MIS-C).
We present a previously healthy 20-year-old female college student who was transferred from her local hospital to Bristol-Myers Squibb Children's Hospital (BMSCH) at Robert Wood Johnson University Hospital for suspected LS with loculated pleural effusions and necrotizing pneumonia with lung abscess secondary to Fusobacterium nucleatum, systemic and emphysematous osteomyelitis possibly secondary to septic emboli, thrombocytopenia, and palatine tonsil and thyroid abscesses.
1. Introduction
Fusobacterium nucleatum was first reported as an anaerobic oral commensal and a periodontal pathogen associated with multiple human diseases, described for the first time in early 1900's [1]. The pathogen has five proposed subspecies (ss): animalis, fusiforme, nucleatum, polymorphum, and vincentii [2] and often present in small numbers as part of the normal human throat flora [3,2].
LS is a rare disease that presents in healthy young adults without any underlying medical conditions [4]. LS is highly curable if appropriate antibiotic therapy is administered on a timely basis. In the pre-antibiotic era, LS was a common complication of pharyngitis with poor prognosis, resulting in 90%–100% mortality [5]. Although the prompt use of β-lactam antibiotics has reduced the incidence to 0.8 to 1.5 cases per million persons per year, LS still remains a potentially life-threatening disease that results in a 15% mortality rate [4,6,7]. A study in Denmark revealed the annual incidence of 14.4 cases per million people among young adults aged 14–24 years old [8]. Lastly, surgical drainage of abscesses is indicated for patients who fail to respond successfully to antibiotics alone [9]. Although using anticoagulation in LS is common, it remains controversial.
Moreover, it is important for physicians to include LS in their differentials for patients presenting with a toxic appearance, fever, sore throat, respiratory distress and cough to ensure timely diagnosis of this potentially life-threatening disease and to start appropriate microbiological therapy [10].
2. Clinical case
The patient is a 20-year-old female initially presented with pharyngitis and evaluated via telemedicine by her physician. She was prescribed a 5-days course of azithromycin due to exposure to two friends, one who had positive rapid test for group A beta-hemolytic streptococcus, and the other with positive Epstein-Barr virus (EBV) serology.
She was attending virtual college classes this year, and then traveled to Florida during her spring break to visit friends. In Florida, she stayed in a college dormitory for the week and attended social events. Of note, her mother works at an elderly center and routinely tests negative for COVID-19 biweekly. No other family members were sick.
Two weeks after returning home from Florida, she presents to a local emergency room with persistent fever of five days, cough, swollen glands, worsening sore throat, shortness of breath, increased work of breathing, rash on left wrist, scleral icterus, and bright blurry vision. Her ER vitals: afebrile at 98.4 °F, O2 saturation 93% room air, blood pressure 98/67, respiratory rate 40 breaths per minute, and heart rate 116 beats per minute. Physical exam was significant for erythema of the posterior pharynx with mild exudate (Fig. 1), anterior cervical lymphadenopathy, neck stiffness, decreased breath sounds at bases bilaterally, dullness on percussion of left lung area, and diffuse abdominal tenderness on deep palpation.
Fig. 1.
Exudative pharyngitis is demonstrated 12 days prior to BMSCH admission.
She was admitted at outside hospital with diagnosis of respiratory distress, possible sepsis, and pharyngitis. Workup there included blood culture, four negative COVID -19 PCR tests, complete blood count with white blood cell count of 3.9 thousand/ul, absolute neutrophil count of >2000 thousand/ul, C-reactive protein 30.75 mg/dL, ferritin >1600 ng/mL, and procalcitonin 100 ng/mL. Imaging studies included chest x-ray and CT scan of the chest, which showed bilateral cavitary pneumonia with left pleural effusion, but no pulmonary emboli. Other negative studies included HIV, urine legionella, urine streptococcus antigen, CMV PCR, EBV IgM (positive for IgG), throat culture, acid-fast bacillus sputum, mycoplasma pneumonia IgM by immunofluorescence assay (IFA), and Rickettsia rickettsia serology. The patient was started on doxycycline and ceftriaxone.
Due to concerns of impending septic shock and worsening respiratory distress, she was transferred to our BMSCH pediatric intensive care unit (PICU). Her admission vitals: afebrile at 99.0 °F, pulse 100 bpm, BP 111/55, RR 31 bpm, SpO2 95% room air. Physical exam showed pertinent findings of mild acute respiratory distress, tachypnea with suprasternal retractions bilaterally, rashes along ulnar side of the left hand characterized by swelling and tenderness, diminished breath sounds along both lung bases with no wheezes, rales, or rhonchi. She was then placed on high-flow nasal cannula 20L at FiO2 30%. At the time of admission, outside hospital laboratory reported blood culture growing gram-negative rods. As a result, she was started on IV vancomycin and cefepime to include coverage for methicillin-resistant Staphylococcus aureus (MRSA) and gram-negative enteric bacteria. Metronidazole was also added to cover Fusobacterium since LS was suspected at this time.
On day three of hospitalization, repeat CT scan of the chest showed bilateral multifocal, necrotizing pneumonia, pleural effusions with loculations, cavitary abscess, left empyema, and mediastinal lymphadenopathy (Fig. 3). CT of neck showed right palatine tonsil and thyroid abscesses (Fig. 2). No thrombi of the bilateral internal jugular veins were identified. Otolaryngology evaluated her and attempted bedside drainage, which was unsuccessful. Daily chest radiographs showed worsening multifocal pneumonia.
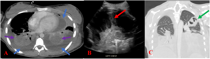
Fig. 3.
Image A is an axial CT scan of the chest with intravenous contrast, which demonstrates bilateral pleural effusions (blue arrows) and bilateral pulmonary consolidations (purple arrows). Image B is an ultrasound of the chest, which shows bilateral hypoechoic pleural effusions with thick septations (red arrow) consistent with empyema. Image C is a coronal CT of the chest with intravenous contrast shows a cavitary left upper lobe mass (green arrow) concerning for cavitary/necrotizing pneumonia. (For interpretation of the references to colour in this figure legend, the reader is referred to the Web version of this article.)
Fig. 2.
Image A is a plain film radiograph of the chest, which demonstrates a left sided pleural effusion (red arrow). Additionally, there are multiple airspace opacities (blue arrows) including cavitation in the left upper lobe. These findings are concerning for multifocal pneumonia with pleural effusion and cavitary necrosis. Images B (axial) and C (coronal) are CT scans of the neck with intravenous contrast which demonstrate enlargement of the right palatine tonsil with area of low attenuation centrally with mild peripheral rim enhancement with foci of air (green arrow). This represents a tonsillar abscess. (For interpretation of the references to colour in this figure legend, the reader is referred to the Web version of this article.)
On hospital day six, the outside hospital laboratory confirmed that the anaerobic gram-negative rods growing in the blood culture were identified as Fusobacterium nucleatum. As a result, the patient's cefepime was changed to ceftriaxone, and vancomycin and metronidazole were continued. During her PICU course, her left wrist pain gradually migrated to the entire left hand and arm, and then caused limited mobility of the left shoulder. Her platelets decreased to 11,000 platelets per microliter, requiring both plasma and platelet transfusions. Initial echocardiogram showed fractional shortening of 38.5%, and ejection fraction (EF) measured by the area length method was 60%.
The patient was placed on synchronized intermittent mandatory ventilation (SIMV) for worsening respiratory distress and septic shock, requiring inotropes. Due to her worsening pneumonia, she also underwent left pleurocentesis and video-assisted bilateral thoracoscopic surgery (VATS) along with insertion of bilateral chest tubes for pleural effusion, lung abscess, and empyema.
The tubes drained 950 mLs serosanguinous pleural fluid. The pleural fluid was purulent based on diagnostic testing: LDH 2786 IU/L, glucose <5 mg/dL, protein 1.5 g/dL, 46,906 #/cubic mm red blood cell count, and 6156 #/cubic mm total nucleated cells; with 81% polysegmented neutrophils, 8% lymphocytes, 4% monocytes, and 7% histiocytes. Surgical pathology report of the pleural fluid showed left pleura-fibrinopurulent exudate, and negative cytology for malignancy. Repeat pleural fluid cultures, including anaerobic bacteria done thrice did not grow any organisms. Surgical pathology did not show any growth.
Towards the end of her PICU course, she was weaned to high flow nasal cannula (HFLNC) to maintain oxygen saturations above 92% when her respiratory status improved.
Progressively, her labs showed improvement: procalcitonin and C-reactive protein initially elevated at 98.01 ng/mL and 46.12 mg/dL, respectively, trended down to 0.33 ng/mL and 4.32 mg/dL 27 days later. The patient's hemodynamic status improved with continued antibiotics and chest tube drainage. Due to the complex loculations in upper left lung, two additional chest tubes were placed. In total, her three chest tubes drained 7702 mL.
A repeat echocardiogram showed tissue near the tricuspid valve, a small pericardial effusion, but no vegetation. The patient required prolonged hospitalization for continued fevers and oxygen dependence after she was transferred out of the PICU.
Due to pain in the left scapular area with a limited range of motion of the left shoulder, further diagnostic studies including MR of left upper extremity was done. The study revealed musculoskeletal edema and proximal humeral osteomyelitis and T12 vertebral body emphysematous osteomyelitis (Fig. 4) supporting hematogenous spread of infection. Her bilateral duplex venous ultrasounds of the upper extremities and bilateral neck showed no thrombosis. The duplex ultrasound of the bilateral carotids was unremarkable, which showed a difference from other LS cases due to the lack of thrombi in both internal jugular veins. In summary, multiple specialists including pediatric infectious disease, pediatric surgery, pediatric otolaryngology, orthopedics, and pediatric pulmonary were consulted throughout her hospital course.
Fig. 4.
Images A and B are sagittal CT scans of the spine in bone and lung windows which show foci of dark low attenuation (red arrow) within the T12 vertebral body, which are suspected to be air within the vertebral body and represent emphysematous osteomyelitis by a gas forming organism. Follow up MRI of the thoracic spine is shown. The T12 vertebral body has high signal intensity on T2 weighted imaging (not shown). Images C and D are sagittal images pre and post contrast T1 weighted images. There is heterogenous enhancement (blue arrow) of the vertebral body without significant enhancement of the adjacent disc spaces, consistent with osteomyelitis. There is an associated tiny epidural abscess. (For interpretation of the references to colour in this figure legend, the reader is referred to the Web version of this article.)
3. Discussion
Our case is unique because we present a complicated LS patient without internal or external jugular vein thrombophlebitis (IJV/EJV). However, all other signs and symptoms of Lemierre's Syndrome were present: septic shock secondary to Fusobacterium nucleatum with sequelae involving osteomyelitis, multi-organ abscesses, pericardial effusion, and bilateral pleural effusions secondary to bilateral necrotizing pneumonia (left > right) with lung abscesses. The patient had what was classically described as LS by Lee et al. but it includes deep neck infections, subsequent septicemia, and metastatic infections with associated septic emboli [11]. Although the most common infectious agent for LS is Fusobacterium necrophorum, our case demonstrates a severe hospital course of the second most common cause of LS: Fusobacterium nucleatum.
This patient presented with continued fevers and worsening of symptoms for several weeks, confirming the suspicion for Lemierre's syndrome given the patient's age group and deteriorating respiratory status. Inflammatory markers also make LS highly likely [12]. Of note, LS can also present as sinusitis or mastoiditis in young adults, and approximately 75% of patients are male. Those affected are young individuals who are usually immunocompetent without serious comorbidity [13]. Although thrombophlebitis was not identified on any imaging studies; the patient's improvement with antibiotics, thoracentesis, VATS, and pleural fluid drained by chest tubes indicate that the etiology of her medical condition likely to be LS. The patient received contrast-enhanced CT, best diagnostic method for LS due to its availability and visualization of surrounding structures [11].
Our patient demonstrated all criteria except for either internal or external jugular vein thrombophlebitis, suggesting possibility of Lemierre's Syndrome without IJV or EJV thrombi. Although this is an uncommon finding in LS, our case shows how LS must be kept in a clinician's differential diagnosis even when there is no jugular vein thrombophlebitis present on imaging studies.
One other case report has shown a patient with LS without internal jugular vein thrombhlebitis [14]. We highlight the idea that this syndrome is difficult to diagnose, and stress that awareness about the syndrome may help save a patient's life. As it takes 5–8 days for Fusobacterium to grow, making sure LS is not the ‘forgotten disease’ greatly benefit patients and reduce long-term sequelae [15]. As a matter of fact, several authors have noted an increase in LS cases since the 1990's due to increased awareness of this syndrome, population changes, and more judicious use of antibiotics for streptococcal pharyngitis treatment [16].
Due to Fusobacterium nucleatum's ubiquitous nature as normal flora in many healthy individuals' oropharyngeal, gastrointestinal, and genitourinary tracts, it is imperative to obtain a history of the patient's onset of symptoms. Our patient traveled out of state to visit friends, attended several social events, and shared utensils and beverages with multiple people.
Furthermore, patient had dental cleaning done approximately two months prior to onset of symptoms that may or may not have attributed to her condition. With the initial onset of pharyngitis after her trip in the context of dental cleaning, she may possibly demonstrate weakened host mucosal barriers, allowing commensal organisms such as Fusobacterium nucleatum to disseminate into her bloodstream during her presentation. It was likely that local invasion of her pharyngeal spaces occurred in the last several weeks. Reported risk factors for Fusobacterium bacteremia include immunosuppression, alcohol abuse, malignancy, older age, dialysis, and hospital acquired [17]. Moreover, Fusobacterium nucleatum has been shown to be associated with liver involvement [18].
Additionally, early detection of the pathogen is imperative to foster favorable prognosis. The rapid administration of treatment depends on the clinician's awareness of LS and considering it in the differential diagnosis. It cannot be unreasonable to suspect LS in any young adult who presents with ongoing fevers with pharyngitis, even when a source is unknown or presumed like streptococcus pyogenes. Internal jugular vein thrombosis is life-threatening and may even propagate inferiorly into the subclavian vein or superiorly into the cavernous, sigmoid, or transverse sinuses [16].
Literature shows other patients with Lemierre's syndrome have presented with severe sepsis and abdominal pain, successfully treated with ampicillin-sulbactam and metronidazole intravenously for weeks, intravenous hydration, inotropic support, and thoracostomy tube drainage of pleural effusion [19].
Lack of characteristic neck symptoms or a negative initial neck ultrasound exam does not rule out LS [20]. Case studies have demonstrated metastatic infections in the lung and brain including meningitis that also a complicated hospital course that require aggressive management and therapies [21,22,18]. Another case study demonstrated patient with LS showing septic arthritis of right shoulder, as well as parapharyngeal abscess extending from base of skull to thoracic inlet, complicated by right IJV and subclavian vein thrombosis, and multiple lung emboli [23].
There are few case reports out of Belgium that report Fusobacterium as a possible complication of COVID-19 virus, as none of the patients had any risk factors for F. nucleatum bacteremia [17]. They were tested COVID PCR positive for SARS-CoV-2, which resulted in digestive tract invasion, and hence leading to Fusobacterium bacteremia [17]. Other organisms besides Fusobacterium necrophorum can cause LS such as Streptococcus, Proteus, Bacteroides, and Peptostreptococcus.
In this particular case report, the patient had severe respiratory and renal involvement without thrombosis of the jugular vein similar to our case [14]. Lastly, it is imperative to not delay seeking medical attention due to concerns about the SARS-CoV-2 outbreak, as our patient with delayed care presented with atypical Lemierre's syndrome involving the brain, liver, and lungs following a dental infection, ultimately resulting in serious and complex sequelae [18].
4. Conclusion
Our case report highlights the fact that although LS is a rare medical condition, it can be deadly. It is essential to recognize early clinical presentation, especially in young adults presenting with sore throat, fever, or cough. Early recognition of LS will ensure favorable prognosis. In our patient's case, although the lungs are the most common areas of septic emboli, her osteomyelitis is suspicious to be secondary to septic emboli, suggesting that other organs are not immune to disease pathogenesis. She did not have internal jugular vein thrombosis, which is part of the classic diagnosis, stressing the importance that successful management should include a multidisciplinary approach, and LS should not be excluded in the differential diagnosis, even when there is no IJV or EJV thrombophlebitis.
We strive to raise awareness to clinicians, especially in the era of SARS-CoV-2, including family medicine clinicians and pediatricians to maintain high level of clinical suspicion for any adolescent or young adult patient who present with unexplained, persistent fever after oropharyngeal infection. Implementation of diagnostic studies and appropriate therapies to prolong survival and favorable outcomes are warranted to prevent life-threatening consequences for our children.
Declaration of competing interest
There are no conflicts of interest with any of the authors.
Acknowledgements
The authors thank all those who were involved with the care of the patient at RWJ BMSCH, and to those who helped read and edited the manuscript.
References
- 1.Camelo C., Brandao M., Fernandes L., et al. Lemierre syndrome: a case report. J Vasc Bras. 2015;14:253–257. (Google) [Google Scholar]
- 2.Han Yiping W. Fusobacterium nucleatum: a commensal-turned pathogen. Curr. Opin. Microbiol. 2015 Feb:141–147. doi: 10.1016/j.mib.2014.11.013. 0. [DOI] [PMC free article] [PubMed] [Google Scholar]
- 3.Jensen A., Hagelskjaer Kristensen L., Prag J. Detection of Fusobacterium necrophorum subsp. funduliforme in tonsillitis in young adults by real-time PCR. Clin. Microbiol. Infect. 2007;13:695. doi: 10.1111/j.1469-0691.2007.01719.x. [DOI] [PubMed] [Google Scholar]
- 4.Williams A., Nagy M., Wingate J., Bailey L., Wax M. Lemierre's syndrome: a complication of acute pharyngitis. Int J Pediatr Otorhinlaryngol. 1998;45(1):51–57. doi: 10.1016/s0165-5876(98)00092-5. [DOI] [PubMed] [Google Scholar]
- 5.Lemierre A. On certain septicemias due to anaerobic organisms. Lancet. 1936;1:701–703. [Google Scholar]
- 6.Allen Brady W., Anjum Fatima, Bentley Thomas P. StatPearls Publishing; FL: Jan 2021. Lemierre Syndrome. Treasure Island. [PubMed] [Google Scholar]
- 7.Stallworth J.R., Carroll J.M. Lemierre's syndrome: new insights into an old disease. Clin Pediatr (Phila). 1997 Dec;36(12):715–717. doi: 10.1177/000992289703601209. [DOI] [PubMed] [Google Scholar]
- 8.Hagelskjaer Kristensen L., Prag J. Lemierre's syndrome and other disseminated Fusobacterium necrophorum infections in Denmark: a prospective epidemiological and clinical survey. Eur. J. Clin. Microbiol. Infect. Dis. 2008;27:779–789. doi: 10.1007/s10096-008-0496-4. [DOI] [PMC free article] [PubMed] [Google Scholar]
- 9.Pastorino A., Tavarez M.M. StatPearls. Treasure Island. StatPearls Publishing; FL: 2021 Jan. Incision and drainage. [Google Scholar]
- 10.Hagelskjaer L.H., Prag J., Malczynski J., Kristensen J.H. Incidence and clinical epidemiology of necrobacillosis, including Lemierre's syndrome, in Denmark 1990–1995. Eur. J. Clin. Microbiol. Infect. Dis. 1998;17(8):561–565. doi: 10.1007/BF01708619. [DOI] [PubMed] [Google Scholar]
- 11.Lee Wen-Sen, et al. Lemierre's syndrome: a forgotten and re-emerging infection. J. Microbiol. Immunol. Infect. 2020;53:513–517. doi: 10.1016/j.jmii.2020.03.027. [DOI] [PubMed] [Google Scholar]
- 12.Johannesen K.M., Bodtger U. Lemierre's syndrome: current perspectives on diagnosis and management. Infect. Drug Resist. 2016;9:221–227. doi: 10.2147/IDR.S95050. [DOI] [PMC free article] [PubMed] [Google Scholar]
- 13.Cheung W., et al. Fusobacterium Elusive cause of life-threatening septic thromboembolism. Can. Fam. Phys. 2007 Sep;53(9):1451–1453. [PMC free article] [PubMed] [Google Scholar]
- 14.Rana M., Kumar Y., Lashari A., Mady A. Human infection with Fusobacterium necrophorum without jugular venous thrombosis: a varied presentation of Lemierre’s syndrome. Case Rep. Infect. Dis. 2017;2017(5358095) doi: 10.1155/2017/5358095. In press. [DOI] [PMC free article] [PubMed] [Google Scholar]
- 15.Weesner C.L., Cisek J.E. Lemierre's syndrome: the forgotten disease. Ann. Emerg. Med. 1993;22(2):256–258. doi: 10.1016/s0196-0644(05)80216-1. [DOI] [PubMed] [Google Scholar]
- 16.Ramirez S., et al. Increased diagnosis of Lemierre's syndrome and other Fusobacterium necrophorum infections at a children's hospital. Pediatrics. 2003;112(9):779–789. doi: 10.1542/peds.112.5.e380. [DOI] [PubMed] [Google Scholar]
- 17.Wolff L., Martiny D., Deyi V., Mailart E., Clevenbergh P., Dauby N. COVDID 19 associated Fusobacterium nucleatum Bacterimia, Belgium. Emerg. Infect. Dis. March 2021;27(No 3) doi: 10.3201/eid2703.202284. [DOI] [PMC free article] [PubMed] [Google Scholar]
- 18.Howley F., O'Doherty L., McEniff N., et al. Late presentation of ‘Lemierre's syndrome’: how a delay in seeking healthcare and reduced access to routine services resulted in widely disseminated Fusobacterium necrophorum infection during the global COVID-19 pandemicBMJ Case Reports. CP. 2020;13 doi: 10.1136/bcr-2020-239269. [DOI] [PMC free article] [PubMed] [Google Scholar]
- 19.Hoehn S., Dominguez T.E. Lemierre's syndrome: an unusual cause of sepsis and abdominal pain. Crit. Care Med. 01 Jul 2002;30(7):1644–1647. doi: 10.1097/00003246-200207000-00040. [DOI] [PubMed] [Google Scholar]
- 20.Nguyen-Dinh K.V., Marsot-Dupuch K., Portier F., Lamblin B., Lasjaunias P. Lemierre syndrome: usefulness of CT in detection of extensive occult thrombophlebitis. J. Neuroradiol. 2002;29(2):132–135. [PubMed] [Google Scholar]
- 21.Dool H., Soetekouw R., van Zanten M., Grooters E. Lemierre's syndrome: three cases and a review. Eur. Arch. Oto-Rhino-Laryngol. 2005;262(8):651–654. doi: 10.1007/s00405-004-0880-3. Epub 2004 Dec 15. [DOI] [PubMed] [Google Scholar]
- 22.Sudarshana Murthy K.A., Thippeswamy T., Kiran H.S., et al. Case report: the ‘forgotten disease’ (or the never known) JAPI. 2013;61:754–757. (Google) [PubMed] [Google Scholar]
- 23.Chan J.K.C., Rashid M., Karagama Y.G., Bhalla R.K. An unusual presentation of Lemierre's syndrome: case report and review of the literature. Am J Otolaryngol Head Neck Surg. 2020;3(3):1093. [Google Scholar]




